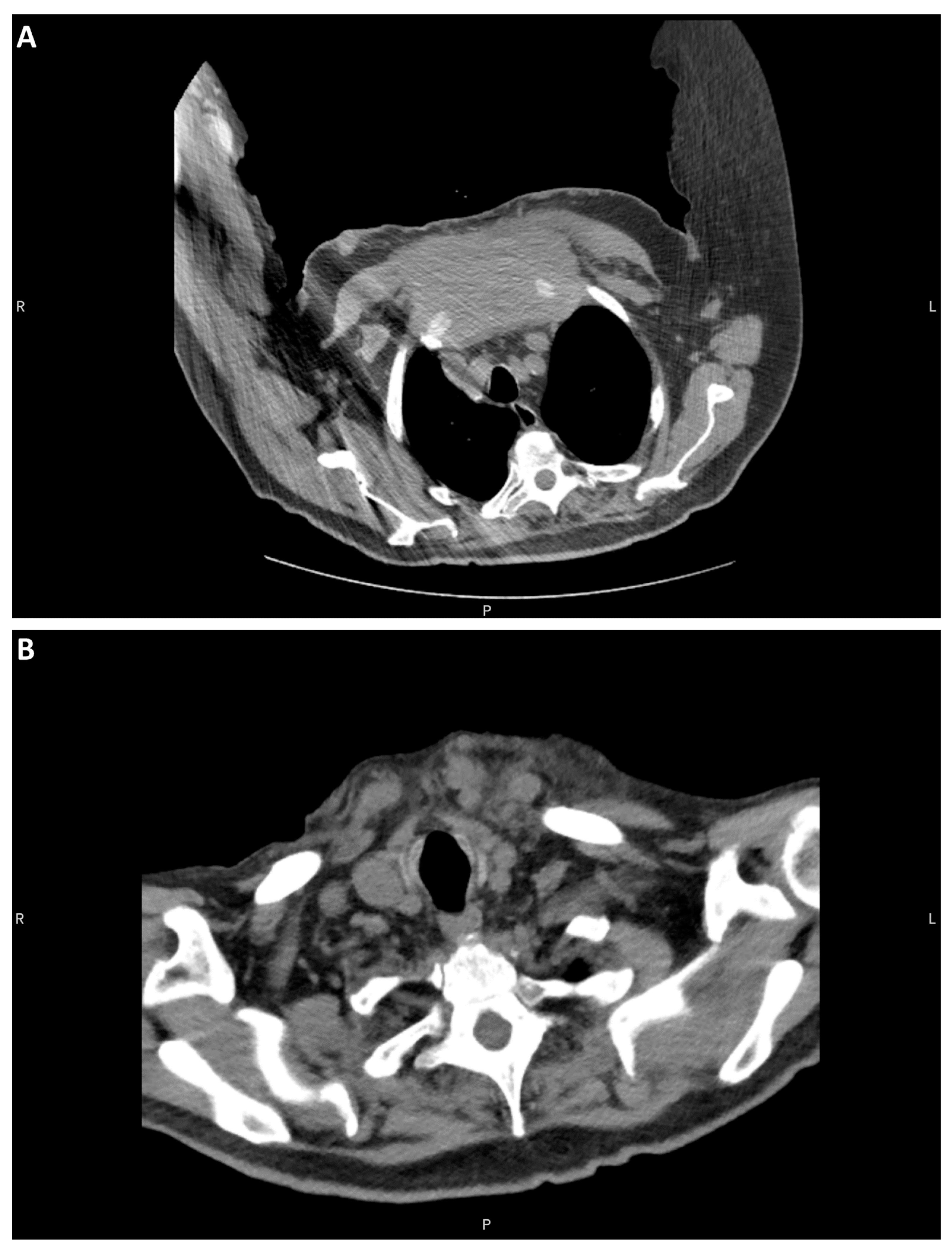
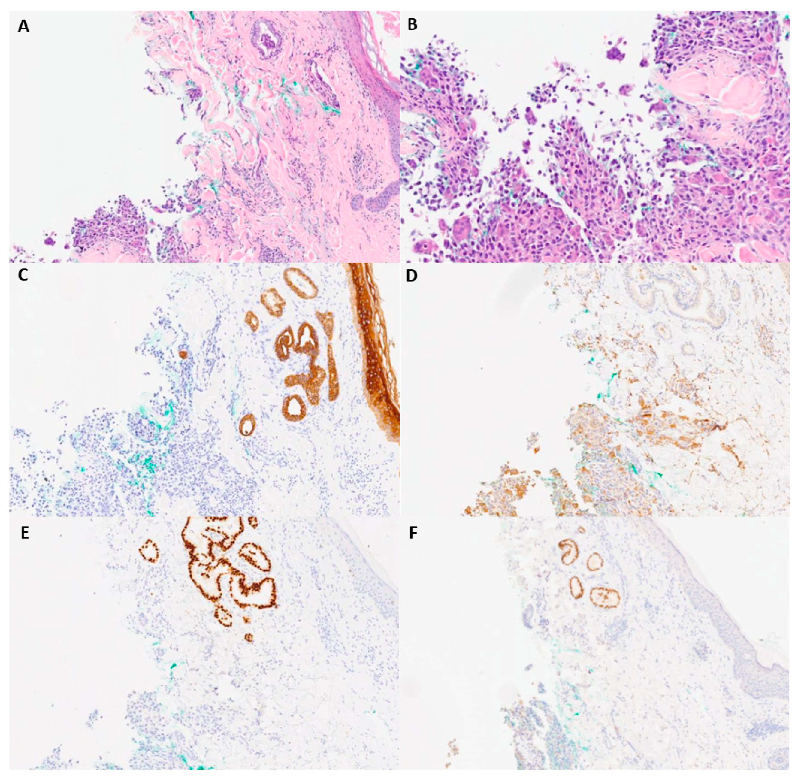
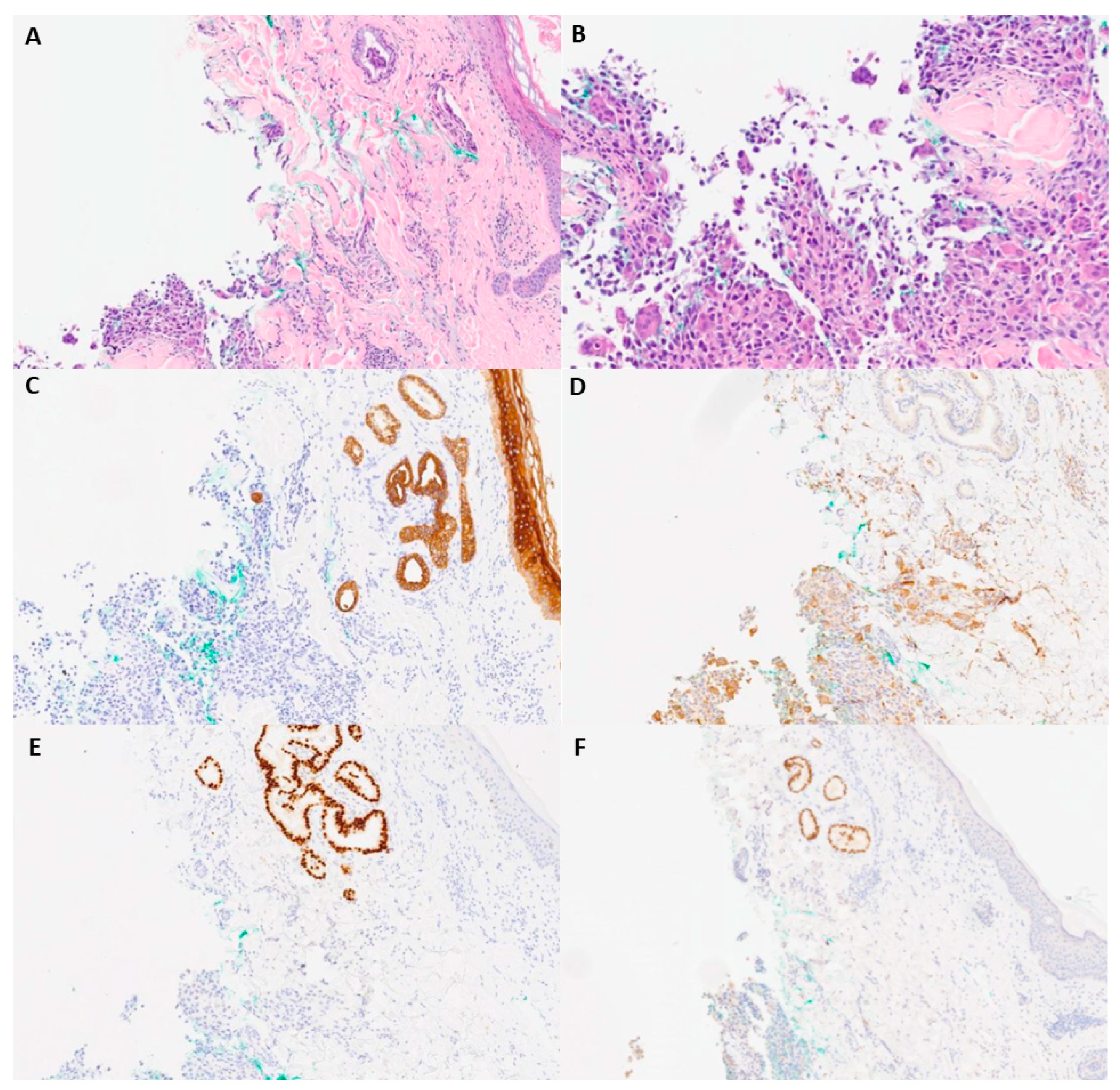
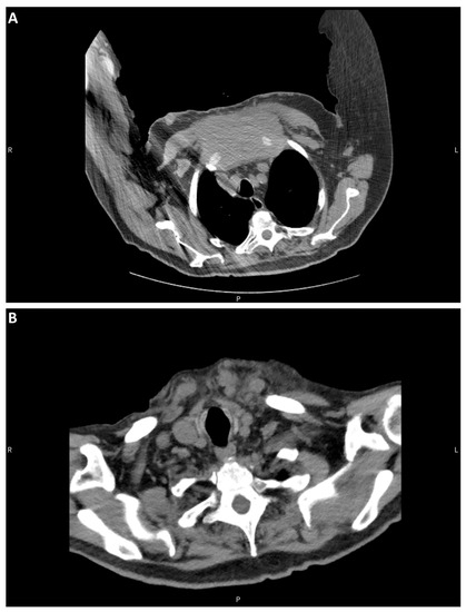
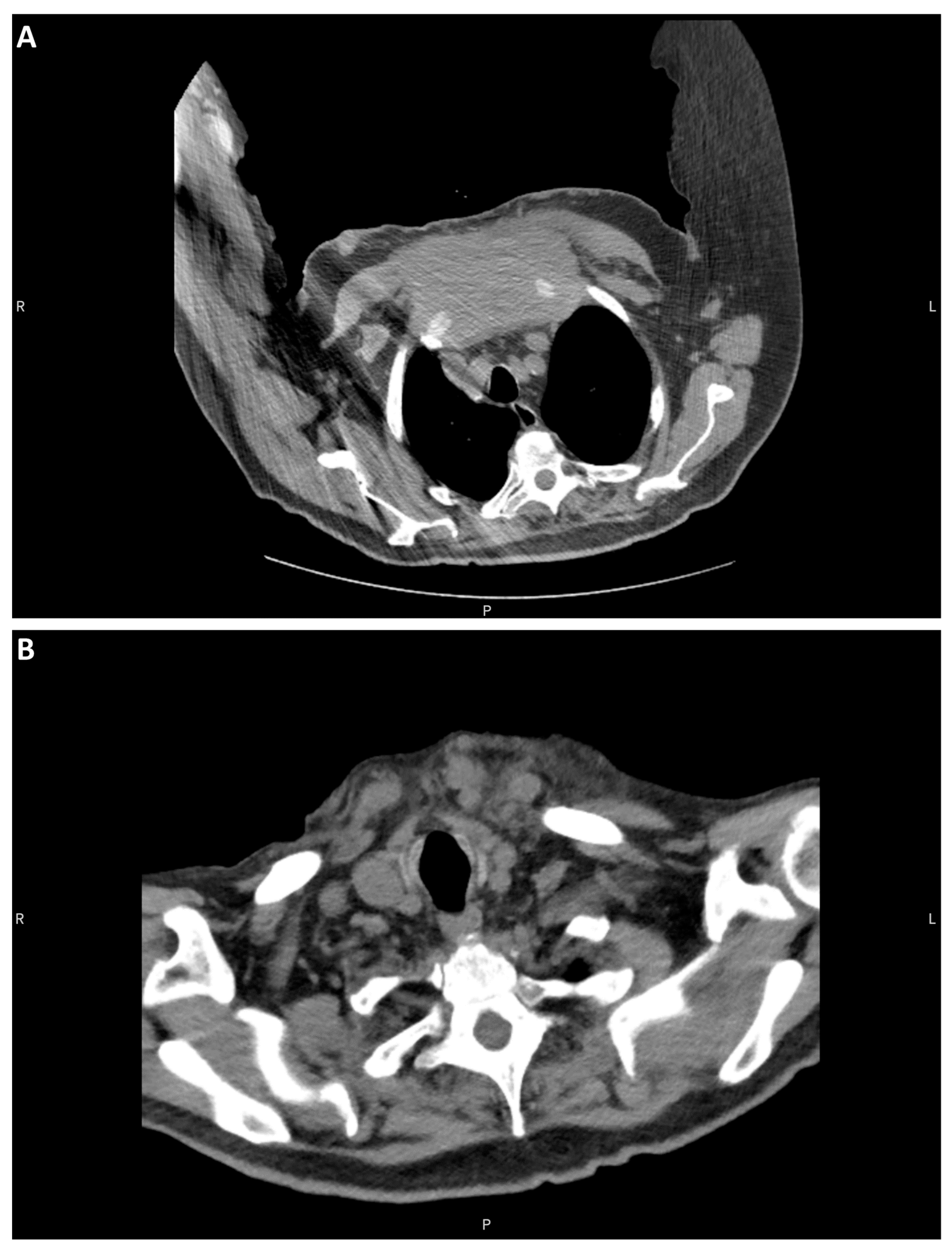
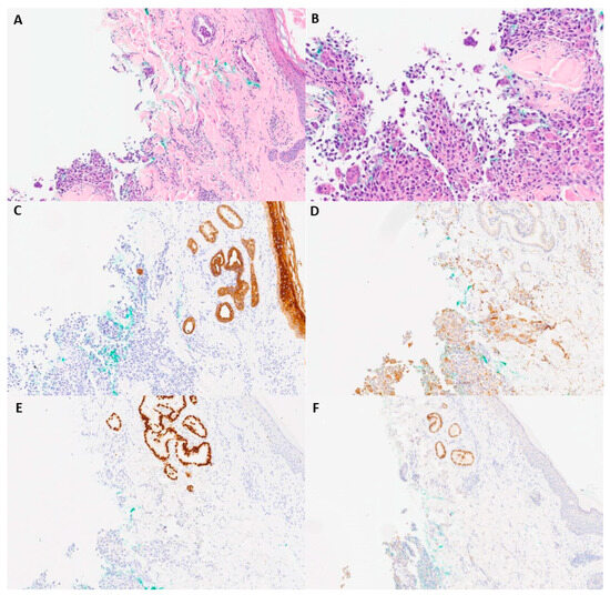
An Anaplastic Thyroid Carcinoma of the Giant-Cell Type from a Mediastinal Ectopic Thyroid Gland
Abstract
:Author Contributions
Funding
Institutional Review Board Statement
Informed Consent Statement
Data Availability Statement
Conflicts of Interest
References
- Guerra, G.; Cinelli, M.; Mesolella, M.; Tafuri, D.; Rocca, A.; Amato, B.; Rengo, S.; Testa, D. Morphological, Diagnostic and Surgical Features of Ectopic Thyroid Gland: A Review of Literature. Int. J. Surg. 2014, 12 (Suppl. S1), S3–S11. [Google Scholar] [CrossRef] [PubMed]
- Santangelo, G.; Pellino, G.; De Falco, N.; Colella, G.; D’Amato, S.; Maglione, M.G.; De Luca, R.; Canonico, S.; De Falco, M. Prevalence, Diagnosis and Management of Ectopic Thyroid Glands. Int. J. Surg. 2016, 28 (Suppl. S1), S1–S6. [Google Scholar] [CrossRef] [PubMed]
- El Bouhmadi, K.; Oukessou, Y.; Rouadi, S.; Abada, R.; Roubal, M.; Mahtar, M. Lateral Neck Ectopic Thyroid Carcinoma: Rare Location for Ectopic Malignancy. Int. J. Surg. Case Rep. 2021, 89, 106628. [Google Scholar] [CrossRef] [PubMed]
- Barrea, L.; Fonderico, F.; DI Somma, C.; Pugliese, G.; DE Alteriis, G.; Mascolo, M.; Colao, A.; Savastano, S. Papillary Thyroid Carcinoma Arising in Ectopic Thyroid Tissue within Sternocleidomastoid Muscle: A Review of Current Literature. Minerva Endocrinol. 2020, 45, 318–325. [Google Scholar] [CrossRef] [PubMed]
- Huang, N.-S.; Wei, W.-J.; Qu, N.; Wang, Y.-L.; Wang, Y.; Ji, Q.-H. Lingual Ectopic Papillary Thyroid Carcinoma: Two Case Reports and Review of the Literature. Oral Oncol. 2019, 88, 186–189. [Google Scholar] [CrossRef] [PubMed]
- Lin, B.; Ma, H.; Ma, M.; Zhang, Z.; Sun, Z.; Hsieh, I.-Y.; Okenwa, O.; Guan, H.; Li, J.; Lv, W. The Incidence and Survival Analysis for Anaplastic Thyroid Cancer: A SEER Database Analysis. Am. J. Transl. Res. 2019, 11, 5888–5896. [Google Scholar] [PubMed]
- Xu, B.; Fuchs, T.; Dogan, S.; Landa, I.; Katabi, N.; Fagin, J.A.; Tuttle, R.M.; Sherman, E.; Gill, A.J.; Ghossein, R. Dissecting Anaplastic Thyroid Carcinoma: A Comprehensive Clinical, Histologic, Immunophenotypic, and Molecular Study of 360 Cases. Thyroid 2020, 30, 1505–1517. [Google Scholar] [CrossRef] [PubMed]
- Deeken-Draisey, A.; Yang, G.-Y.; Gao, J.; Alexiev, B.A. Anaplastic Thyroid Carcinoma: An Epidemiologic, Histologic, Immunohistochemical, and Molecular Single-Institution Study. Hum. Pathol. 2018, 82, 140–148. [Google Scholar] [CrossRef] [PubMed]
- Shelly, D.; Gupta, D.; Mishra, S.; Bharadwaj, R. Osteoclastic Variant of Anaplastic Thyroid Carcinoma: A Case Report of Rare Entity. J. Cancer Res. Ther. 2019, 15, 704–707. [Google Scholar] [CrossRef] [PubMed]
- Haroon Al Rasheed, M.R.; Xu, B. Molecular Alterations in Thyroid Carcinoma. Surg. Pathol. Clin. 2019, 12, 921–930. [Google Scholar] [CrossRef] [PubMed]




Disclaimer/Publisher’s Note: The statements, opinions and data contained in all publications are solely those of the individual author(s) and contributor(s) and not of MDPI and/or the editor(s). MDPI and/or the editor(s) disclaim responsibility for any injury to people or property resulting from any ideas, methods, instructions or products referred to in the content. |
© 2023 by the authors. Licensee MDPI, Basel, Switzerland. This article is an open access article distributed under the terms and conditions of the Creative Commons Attribution (CC BY) license (https://creativecommons.org/licenses/by/4.0/).
Share and Cite
Nguyen, D.; Htun, N.N.; Wang, B.; Lee, B.; Johnson, C. An Anaplastic Thyroid Carcinoma of the Giant-Cell Type from a Mediastinal Ectopic Thyroid Gland. Diagnostics 2023, 13, 2941. https://doi.org/10.3390/diagnostics13182941
Nguyen D, Htun NN, Wang B, Lee B, Johnson C. An Anaplastic Thyroid Carcinoma of the Giant-Cell Type from a Mediastinal Ectopic Thyroid Gland. Diagnostics. 2023; 13(18):2941. https://doi.org/10.3390/diagnostics13182941
Chicago/Turabian StyleNguyen, Daniel, Nyein Nyein Htun, Beverly Wang, Bonnie Lee, and Cary Johnson. 2023. "An Anaplastic Thyroid Carcinoma of the Giant-Cell Type from a Mediastinal Ectopic Thyroid Gland" Diagnostics 13, no. 18: 2941. https://doi.org/10.3390/diagnostics13182941
APA StyleNguyen, D., Htun, N. N., Wang, B., Lee, B., & Johnson, C. (2023). An Anaplastic Thyroid Carcinoma of the Giant-Cell Type from a Mediastinal Ectopic Thyroid Gland. Diagnostics, 13(18), 2941. https://doi.org/10.3390/diagnostics13182941

