Myeloma Spine and Bone Damage Score (MSBDS) on Whole-Body Computed Tomography (WBCT): Multiple Reader Agreement in a Multicenter Reliability Study
Abstract
:1. Introduction
2. Methods
2.1. Patients
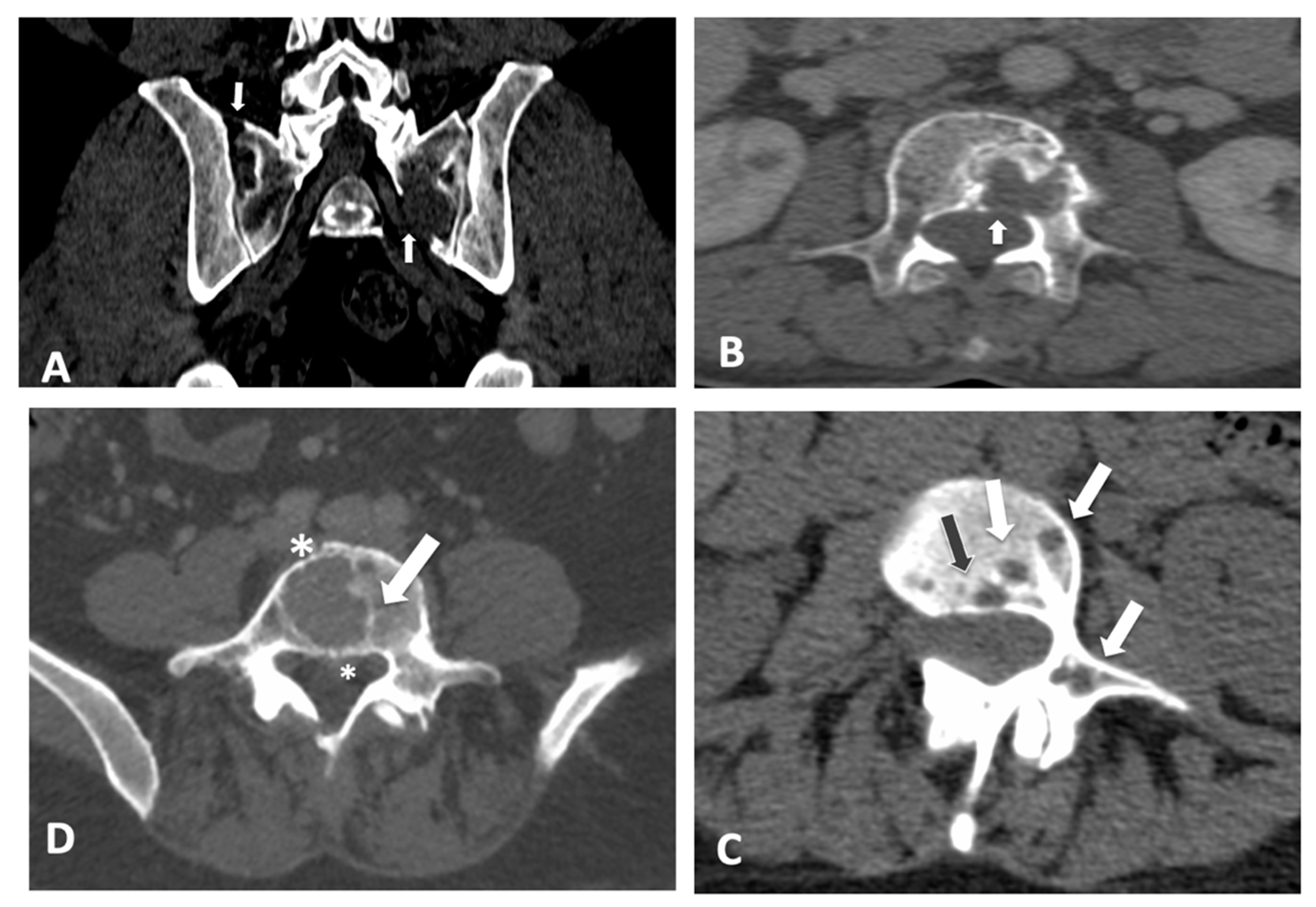
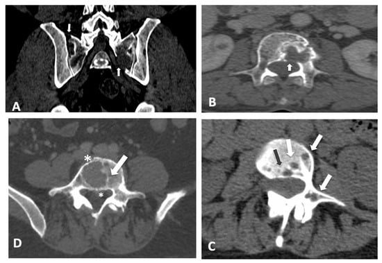
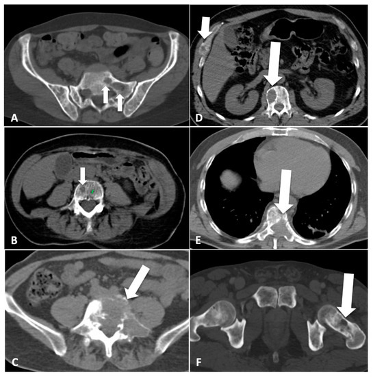
2.2. CT Imaging Atlas
2.3. Web-Based Evaluation
2.4. Statistical Analysis
3. Results
3.1. CT Imaging Atlas
3.2. Web-Based Reliability Assessment
3.3. Overall Agreement for MSBDS
4. Discussion
Author Contributions
Funding
Institutional Review Board Statement
Informed Consent Statement
Data Availability Statement
Conflicts of Interest
Abbreviations
| MM | multiple myeloma |
| CT | computed tomography |
| ISS | Revised International Staging System |
| ICC | intraclass correlation coefficient |
| MSBDS | Myeloma Spine and Bone Damage Score |
| MRI | magnetic resonance imaging |
| MY-RADS | Myeloma Response Assessment and Diagnosis System |
References
- Nassar, S.; Taher, A.; Spear, R.; Wang, F.; Madewell, J.E.; Mujtaba, B. Multiple Myeloma: Role of Imaging in Diagnosis, Staging, and Treatment Response Assessment. Semin. Ultrasound CT MR 2021, 42, 184–193. [Google Scholar] [CrossRef]
- Mosebach, J.; Thierjung, H.; Schlemmer, H.P.; Delorme, S. Multiple Myeloma Guidelines and Their Recent Updates: Implications for Imaging. Rofo 2019, 191, 998–1009. [Google Scholar] [CrossRef] [PubMed] [Green Version]
- Salwender, H.; Bertsch, U.; Weisel, K.; Duerig, J.; Kunz, C.; Benner, A.; Blau, I.W.; Raab, M.S.; Hillengass, J.; Hose, D.; et al. Rationale and design of the German-Speaking myeloma multicenter group (GMMG) trial HD6: A randomized phase III trial on the effect of elotuzumab in VRD induction/consolidation and lenalidomide maintenance in patients with newly diagnosed myeloma. BMC Cancer 2019, 19, 504. [Google Scholar] [CrossRef] [PubMed] [Green Version]
- Tagliafico, A.S.; Cea, M.; Rossi, F.; Valdora, F.; Bignotti, B.; Succio, G.; Gualco, S.; Conte, A.; Dominietto, A. Differentiating diffuse from focal pattern on Computed Tomography in multiple myeloma: Added value of a Radiomics approach. Eur. J. Radiol. 2019, 121, 108739. [Google Scholar] [CrossRef] [PubMed]
- Joseph, N.S.; Gentili, S.; Kaufman, J.L.; Lonial, S.; Nooka, A.K. High-Risk Multiple Myeloma: Definition and Management. Clin. Lymphoma Myeloma Leuk. 2017, 17, S80–S87. [Google Scholar] [CrossRef]
- Palumbo, A.; Avet-Loiseau, H.; Oliva, S.; Lokhorst, H.M.; Goldschmidt, H.; Rosinol, L.; Richardson, P.; Caltagirone, S.; Lahuerta, J.J.; Facon, T.; et al. Revised International Staging System for Multiple Myeloma: A Report From International Myeloma Working Group. J. Clin. Oncol. 2015, 33, 2863–2869. [Google Scholar] [CrossRef]
- Liu, J.; Zeng, P.; Guo, W.; Wang, C.; Geng, Y.; Lang, N.; Yuan, H. Prediction of High-Risk Cytogenetic Status in Multiple Myeloma Based on Magnetic Resonance Imaging: Utility of Radiomics and Comparison of Machine Learning Methods. J. Magn. Reson. Imaging 2021, 54, 1303–1311. [Google Scholar] [CrossRef]
- Mosci, C.; Pericole, F.V.; Oliveira, G.B.; Delamain, M.T.; Takahashi, M.E.S.; Carvalheira, J.B.C.; Etchebehere, E.C.S.C.; Santos, A.O.; Miranda, E.C.M.; Lima, M.C.L.; et al. 99mTc-sestamibi SPECT/CT and 18F-FDG-PET/CT have similar performance but different imaging patterns in newly diagnosed multiple myeloma. Nucl. Med. Commun. 2020, 41, 1081–1088. [Google Scholar] [CrossRef]
- Tagliafico, A.S. Imaging in multiple myeloma: Computed tomography or magnetic resonance imaging? World J. Radiol. 2021, 13, 223–226. [Google Scholar] [CrossRef]
- Yoshihara, S.; Yoshihara, K.; Shimizu, Y.; Imado, T.; Takatsuka, H.; Kawamoto, H.; Misawa, M.; Ifuku, H.; Ohe, Y.; Okada, M.; et al. Feasibility of six cycles of lenalidomide-based triplet induction before stem cell collection for newly diagnosed transplant-eligible multiple myeloma. Hematology 2021, 26, 388–392. [Google Scholar] [CrossRef]
- Tagliafico, A.S.; Dominietto, A.; Belgioia, L.; Campi, C.; Schenone, D.; Piana, M. Quantitative Imaging and Radiomics in Multiple Myeloma: A Potential Opportunity? Medicina 2021, 57, 94. [Google Scholar] [CrossRef] [PubMed]
- Tagliafico, A.S.; Belgioia, L.; Bonsignore, A.; Rossi, F.; Succio, G.; Bignotti, B.; Dominietto, A. Subspecialty Second-Opinion in Multiple Myeloma CT: Emphasis on Clinically Significant Lytic Lesions. Medicina 2020, 56, 195. [Google Scholar] [CrossRef] [PubMed] [Green Version]
- Tagliafico, A.S.; Belgioia, L.; Bonsignore, A.; Signori, A.; Formica, M.; Rossi, F.; Piana, M.; Schenone, D.; Dominietto, A. Development and definition of a simplified scoring system in patients with multiple myeloma undergoing stem cells transplantation on standard computed tomography: Myeloma spine and bone damage score (MSBDS). Cancer Imaging 2020, 20, 31. [Google Scholar] [CrossRef] [PubMed]
- Koo, T.K.; Li, M.Y. A Guideline of Selecting and Reporting Intraclass Correlation Coefficients for Reliability Research. J. Chiropr. Med. 2016, 15, 155–163. [Google Scholar] [CrossRef] [PubMed] [Green Version]
- Shoukri, M.M.; Colak, D.; Kaya, N.; Donner, A. Comparison of two dependent within subject coefficients of variation to evaluate the reproducibility of measurement devices. BMC Med. Res. Methodol. 2008, 8, 24. [Google Scholar] [CrossRef] [PubMed] [Green Version]
- Shrout, P.E.; Fleiss, J.L. Intraclass correlations: Uses in assessing rater reliability. Psychol. Bull. 1979, 86, 420–428. [Google Scholar] [CrossRef]
- Landis, J.R.; Koch, G.G. The measurement of observer agreement for categorical data. Biometrics 1977, 33, 159–174. [Google Scholar] [CrossRef] [Green Version]
- Christiansen, S.N.; Østergaard, M.; Slot, O.; Fana, V.; Terslev, L. Retrospective longitudinal assessment of the ultrasound gout lesions using the OMERACT semi-Quantitative scoring system. Rheumatology 2022. [Google Scholar] [CrossRef]
- Di Matteo, A.; Cipolletta, E.; Destro Castaniti, G.M.; Smerilli, G.; Airoldi, C.; Aydin, S.Z.; Becciolini, A.; Bonfiglioli, K.; Bruns, A.; Carrara, G.; et al. Reliability assessment of the definition of ultrasound enthesitis in SpA: Results of a large, multicentre, international web-Based study. Rheumatology 2022. [Google Scholar] [CrossRef]
- Rajkumar, S.V. Updated Diagnostic Criteria and Staging System for Multiple Myeloma. Am. Soc. Clin. Oncol. Educ. Book 2016, 35, e418–e423. [Google Scholar] [CrossRef]
- Derlin, T.; Bannas, P. Imaging of multiple myeloma: Current concepts. World J. Orthop. 2014, 5, 272–282. [Google Scholar] [CrossRef] [PubMed]
- Hillengass, J.; Moehler, T.; Hundemer, M. Monoclonal gammopathy and smoldering multiple myeloma: Diagnosis, staging, prognosis, management. Recent Results Cancer Res. 2011, 183, 113–131. [Google Scholar] [PubMed]
- Lecouvet, F.E.; Vekemans, M.C.; Van Den Berghe, T.; Verstraete, K.; Kirchgesner, T.; Acid, S.; Malghem, J.; Wuts, J.; Hillengass, J.; Vandecaveye, V.; et al. Imaging of treatment response and minimal residual disease in multiple myeloma: State of the art WB-MRI and PET/CT. Skelet. Radiol. 2022, 51, 59–80. [Google Scholar] [CrossRef] [PubMed]
- Merz, A.M.A.; Merz, M.; Hillengass, J.; Holstein, S.A.; McCarthy, P. The evolving role of maintenance therapy following autologous stem cell transplantation in multiple myeloma. Expert Rev. Anticancer Ther. 2019, 19, 889–898. [Google Scholar] [CrossRef]
- Chen, F.; Leng, Y.; Ni, J.; Niu, T.; Zhang, L.; Li, J.; Zheng, Y. Symptom clusters and quality of life in ambulatory patients with multiple myeloma. Support. Care Cancer 2022, 30, 4961–4970. [Google Scholar] [CrossRef]
- Efficace, F.; Cottone, F.; Sparano, F.; Caocci, G.; Vignetti, M.; Chakraborty, R. Patient-Reported Outcomes in Randomized Controlled Trials of Patients with Multiple Myeloma: A Systematic Literature Review of Studies Published Between 2014 and 2021. Clin. Lymphoma Myeloma Leuk. 2022, 22, 442–459. [Google Scholar] [CrossRef]
- LeBlanc, M.R.; Bryant, A.L.; LeBlanc, T.W.; Yang, Q.; Sellars, E.; Chase, C.C.; Smith, S.K. A cross-Sectional observational study of health-Related quality of life in adults with multiple myeloma. Support. Care Cancer 2022, 30, 5239–5248. [Google Scholar] [CrossRef]
- Nicol, J.L.; Woodrow, C.; Cunningham, B.J.; Mollee, P.; Weber, N.; Smith, M.D.; Nicol, A.J.; Gordon, L.G.; Hill, M.M.; Skinner, T.L. An Individualized Exercise Intervention for People with Multiple Myeloma-Study Protocol of a Randomized Waitlist-Controlled Trial. Curr. Oncol. 2022, 29, 901–923. [Google Scholar] [CrossRef]
- Piechotta, V.; Skoetz, N.; Engelhardt, M.; Einsele, H.; Goldschmidt, H.; Scheid, C. Clinical Practice Guideline: Patients With Multiple Myeloma or Monoclonal Gammopathy of Undetermined Significance-Diagnosis, Treatment, and Follow Up. Dtsch. Arztebl. Int. 2022, 119, 253–260. [Google Scholar]
- Feroz, I.; Makhdoomi, R.H.; Khursheed, N.; Shaheen, F.; Shah, P. Utility of Computed Tomography-Guided Biopsy in Evaluation of Metastatic Spinal Lesions. Asian J. Neurosurg. 2018, 13, 577–584. [Google Scholar]
- Toocheck, C.; Pinkhas, D. Treatment of relapsed multiple myeloma complicated by cardiac extramedullary plasmacytoma with D-PACE chemotherapy. BMJ Case Rep. 2018, 2018, bcr2017223611. [Google Scholar] [CrossRef] [PubMed]
- Yang, W.; Zheng, J.; Li, R.; Ren, H.; Hou, B.; Zhao, Z.; Wang, D.; Wang, G.; Liu, J.; Yan, J.; et al. Multiple myeloma with pathologically proven skull plasmacytoma after a mild head injury: Case report. Medicine 2018, 97, e12327. [Google Scholar] [CrossRef]
- Dong, H.; Huang, W.; Ji, X.; Huang, L.; Zou, D.; Hao, M.; Deng, S.; Shen, Z.; Lu, X.; Wang, J.; et al. Prediction of Early Treatment Response in Multiple Myeloma Using MY-RADS Total Burden Score, ADC, and Fat Fraction From Whole-Body MRI: Impact of Anemia on Predictive Performance. AJR Am. J. Roentgenol. 2022, 218, 310–319. [Google Scholar] [CrossRef] [PubMed]
- Messiou, C.; Hillengass, J.; Delorme, S.; Lecouvet, F.E.; Moulopoulos, L.A.; Collins, D.J.; Blackledge, M.D.; Abildgaard, N.; Østergaard, B.; Schlemmer, H.-P.; et al. Guidelines for Acquisition, Interpretation, and Reporting of Whole-Body MRI in Myeloma: Myeloma Response Assessment and Diagnosis System (MY-RADS). Radiology 2019, 291, 5–13. [Google Scholar] [CrossRef] [PubMed] [Green Version]
- Mulligan, M.E. Myeloma Response Assessment and Diagnosis System (MY-RADS): Strategies for practice implementation. Skelet. Radiol. 2022, 51, 11–15. [Google Scholar] [CrossRef]
- Rossi, F.; Torri, L.; Dominietto, A.; Tagliafico, A.S. Spectrum of magnetic resonance imaging findings in transplanted multiple myeloma patients with hip/pelvic pain (according to MY-RADS): A single center experience. Eur. J. Radiol. 2020, 130, 109154. [Google Scholar] [CrossRef]
- Fisher, C.G.; DiPaola, C.P.; Ryken, T.C.; Bilsky, M.H.; Shaffrey, C.I.; Berven, S.H.; Harrop, J.S.; Fehlings, M.G.; Boriani, S.; Chou, D.; et al. A novel classification system for spinal instability in neoplastic disease: An evidence-Based approach and expert consensus from the Spine Oncology Study Group. Spine 2010, 35, E1221–E1229. [Google Scholar] [CrossRef] [Green Version]



| Location | Points |
|---|---|
| Junctional Spine (C0-C2, C7-T2, T11-L1, L5-S1) | 3 |
| Mobile Spine (C3-C6, L2-L4) * only 1 point for semi-rigid (T3-T10) | 2 |
| Collapse/involvement >50% | 3 |
| Collapse <50% * | 2 |
| Posterolateral (facet, pedicle) involvement monolateral | 2 |
| Posterolateral (facet, pedicle) bilateral monolateral | 3 |
| Spinal Canal involvement | 5 |
| Trochanteric region focal lesions <10 mm | 2 |
| Femoral neck or entire trochanteric region | 5 |
| More than 2/3 of bone diameter | 3 |
| Focal lesion >5 mm at any site * | 1 |
| Diffuse Pattern | 1 ** |
| Number | Percentage | |
|---|---|---|
| Patients | 104 | 100 |
| Age (mean years) | 58 | |
| Age Standard Deviation | 8.1 | |
| Males | 62 | 59.6 |
| Females | 42 | 40.4 |
| Cytogenetics | ||
| Normal | 72 | 69.2 |
| High-risk | 32 | 30.8 |
| Relapsed | ||
| 71/104 | 68 | |
| Days before relapse (mean) | 1173 | |
| Days of follow-up (mean) | 1466 | |
| International Staging System | ||
| Stage I | 48 | 46 |
| Stage II | 28 | 27 |
| Stage III | 28 | 27 |
| Inter-observer | ICC | 95% Confidence Interval |
| MSBDS ≤ 6 points | 0.81 | 0.72–0.86 |
| Intra-observer | ICC | 95% Confidence Interval |
| MSBDS ≥ 6 points | 0.94 | 0.91–0.98 |
Publisher’s Note: MDPI stays neutral with regard to jurisdictional claims in published maps and institutional affiliations. |
© 2022 by the authors. Licensee MDPI, Basel, Switzerland. This article is an open access article distributed under the terms and conditions of the Creative Commons Attribution (CC BY) license (https://creativecommons.org/licenses/by/4.0/).
Share and Cite
Tagliafico, A.S.; Valle, C.; Bonaffini, P.A.; Attieh, A.; Bauckneht, M.; Belgioia, L.; Bignotti, B.; Brunetti, N.; Bonsignore, A.; Capaccio, E.; et al. Myeloma Spine and Bone Damage Score (MSBDS) on Whole-Body Computed Tomography (WBCT): Multiple Reader Agreement in a Multicenter Reliability Study. Diagnostics 2022, 12, 1894. https://doi.org/10.3390/diagnostics12081894
Tagliafico AS, Valle C, Bonaffini PA, Attieh A, Bauckneht M, Belgioia L, Bignotti B, Brunetti N, Bonsignore A, Capaccio E, et al. Myeloma Spine and Bone Damage Score (MSBDS) on Whole-Body Computed Tomography (WBCT): Multiple Reader Agreement in a Multicenter Reliability Study. Diagnostics. 2022; 12(8):1894. https://doi.org/10.3390/diagnostics12081894
Chicago/Turabian StyleTagliafico, Alberto Stefano, Clarissa Valle, Pietro Andrea Bonaffini, Ali Attieh, Matteo Bauckneht, Liliana Belgioia, Bianca Bignotti, Nicole Brunetti, Alessandro Bonsignore, Enrico Capaccio, and et al. 2022. "Myeloma Spine and Bone Damage Score (MSBDS) on Whole-Body Computed Tomography (WBCT): Multiple Reader Agreement in a Multicenter Reliability Study" Diagnostics 12, no. 8: 1894. https://doi.org/10.3390/diagnostics12081894
APA StyleTagliafico, A. S., Valle, C., Bonaffini, P. A., Attieh, A., Bauckneht, M., Belgioia, L., Bignotti, B., Brunetti, N., Bonsignore, A., Capaccio, E., De Giorgis, S., Garlaschi, A., Morbelli, S., Rossi, F., Torri, L., Caprioli, S., Tosto, S., Cea, M., & Dominietto, A. (2022). Myeloma Spine and Bone Damage Score (MSBDS) on Whole-Body Computed Tomography (WBCT): Multiple Reader Agreement in a Multicenter Reliability Study. Diagnostics, 12(8), 1894. https://doi.org/10.3390/diagnostics12081894

