Vessel Wall Magnetic Resonance Imaging in Cerebrovascular Diseases
Abstract
:1. Introduction
2. Acquisition
3. Clinical Applications
3.1. Atherosclerosis
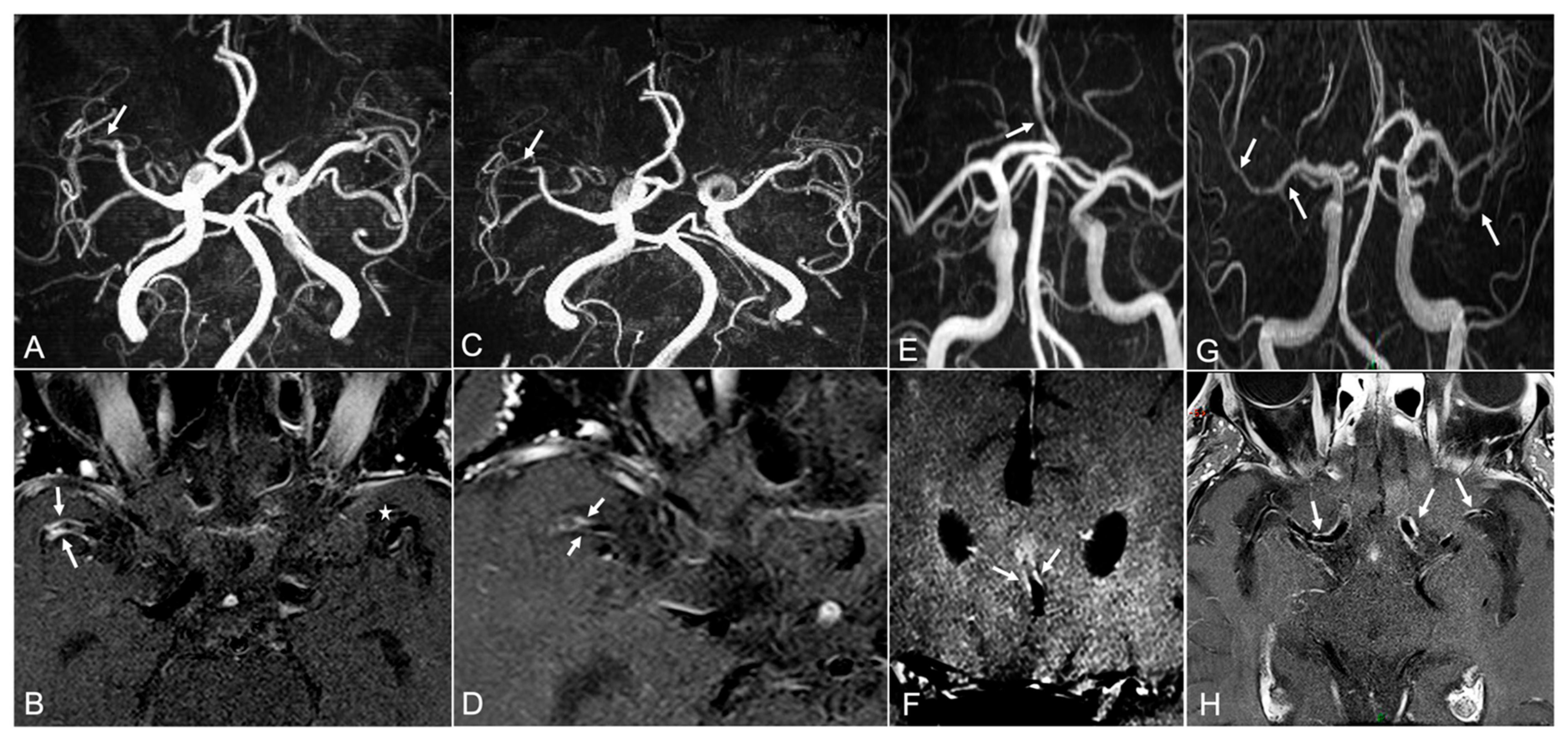
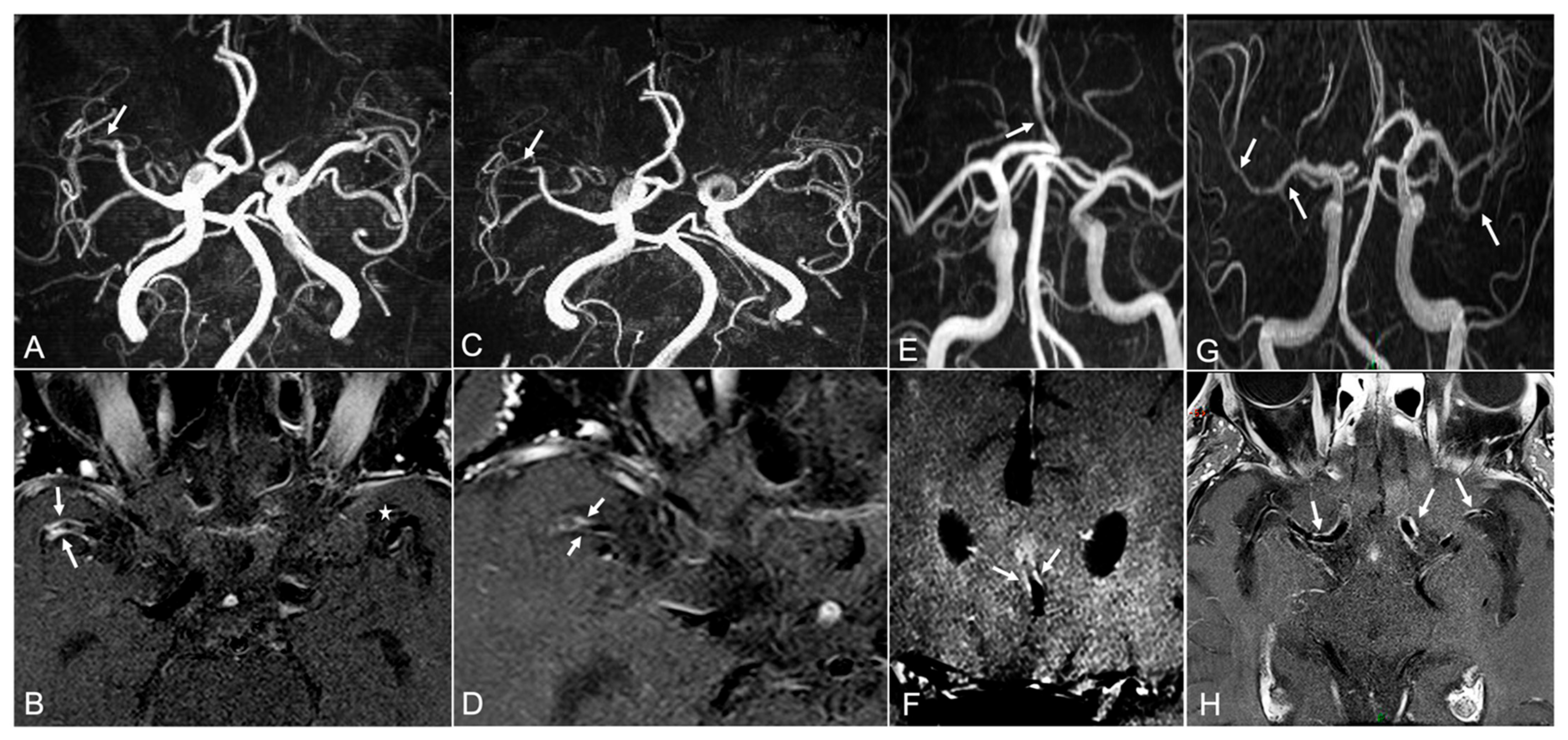
3.2. Vasculitis
3.3. Intracranial Dissections
3.4. Reversible Cerebral Vasoconstriction Syndrome
3.5. Moyamoya Disease and Moyamoya Syndrome
3.6. Intracranial Aneurysms
3.7. Brain Arteriovenous Malformations
4. Pitfalls
5. Conclusions
Author Contributions
Funding
Conflicts of Interest
References
- Morotti, A.; Poli, L.; Costa, P. Acute Stroke. Semin. Neurol. 2019, 39, 61–72. [Google Scholar] [CrossRef]
- Diener, H.-C.; Hankey, G.J. Primary and Secondary Prevention of Ischemic Stroke and Cerebral Hemorrhage: JACC Focus Seminar. J. Am. Coll. Cardiol. 2020, 75, 1804–1818. [Google Scholar] [CrossRef] [PubMed]
- Kim, S.M.; Ha, S.H.; Kwon, H.; Kim, Y.J.; Ahn, S.H.; Kim, B.J. Targeting the culprit: Vessel wall magnetic resonance imaging for evaluating stroke. Ann. Clin. Neurophysiol. 2021, 23, 17–28. [Google Scholar] [CrossRef]
- Mandell, D.M.; Mossa-Basha, M.; Qiao, Y.; Hess, C.P.; Hui, F.; Matouk, C.; Johnson, M.H.; Daemen, M.J.A.P.; Vossough, A.; Edjlali, M.; et al. Intracranial vessel wall MRI: Principles and expert consensus recommendations of the American society of neuroradiology. Am. J. Neuroradiol. 2017, 38, 218–229. [Google Scholar] [CrossRef] [Green Version]
- Young, C.C.; Bonow, R.H.; Barros, G.; Mossa-Basha, M.; Kim, L.J.; Levitt, M.R. Magnetic resonance vessel wall imaging in cerebrovascular diseases. Neurosurg. Focus 2019, 47, E4. [Google Scholar] [CrossRef] [Green Version]
- Kern, K.C.; Liebeskind, D.S. Vessel Wall Imaging of Cerebrovascular Disorders. Curr. Treat. Options Cardiovasc. Med. 2019, 21, 65. [Google Scholar] [CrossRef]
- Destrebecq, V.; Sadeghi, N.; Lubicz, B.; Jodaitis, L.; Ligot, N.; Naeije, G. Intracranial Vessel Wall MRI in Cryptogenic Stroke and Intracranial Vasculitis. J. Stroke Cerebrovasc. Dis. 2020, 29, 104684. [Google Scholar] [CrossRef] [PubMed]
- Zwarzany, Ł.; Tyburski, E.; Poncyljusz, W. High-Resolution Vessel Wall Magnetic Resonance Imaging of Small Unruptured Intracranial Aneurysms. J. Clin. Med. 2021, 10, 225. [Google Scholar] [CrossRef] [PubMed]
- Kathuveetil, A.; Sylaja, P.N.; Senthilvelan, S.; Kesavadas, C.; Banerjee, M.; Jayanand Sudhir, B. Vessel Wall Thickening and Enhancement in High-Resolution Intracranial Vessel Wall Imaging: A Predictor of Future Ischemic Events in Moyamoya Disease. AJNR Am. J. Neuroradiol. 2020, 41, 100–105. [Google Scholar] [CrossRef] [Green Version]
- Vranic, J.E.; Hartman, J.B.; Mossa-Basha, M. High-Resolution Magnetic Resonance Vessel Wall Imaging for the Evaluation of Intracranial Vascular Pathology. Neuroimaging Clin. N. Am. 2021, 31, 223–233. [Google Scholar] [CrossRef]
- Antiga, L.; Wasserman, B.A.; Steinman, D.A. On the overestimation of early wall thickening at the carotid bulb by black blood MRI, with implications for coronary and vulnerable plaque imaging. Magn. Reson. Med. 2008, 60, 1020–1028. [Google Scholar] [CrossRef] [PubMed]
- Mossa-Basha, M.; Hwang, W.D.; De Havenon, A.; Hippe, D.; Balu, N.; Becker, K.J.; Tirschwell, D.T.; Hatsukami, T.; Anzai, Y.; Yuan, C. Multicontrast high-resolution vessel wall magnetic resonance imaging and its value in differentiating intracranial vasculopathic processes. Stroke 2015, 46, 1567–1573. [Google Scholar] [CrossRef] [PubMed] [Green Version]
- Leao, D.J.; Agarwal, A.; Mohan, S.; Bathla, G. Intracranial vessel wall imaging: Applications, interpretation, and pitfalls. Clin. Radiol. 2020, 75, 730–739. [Google Scholar] [CrossRef]
- Kang, N.; Qiao, Y.; Wasserman, B.A. Essentials for Interpreting Intracranial Vessel Wall MRI Results: State of the Art. Radiology 2021, 300, 492–505. [Google Scholar] [CrossRef]
- Zhu, C.; Haraldsson, H.; Tian, B.; Meisel, K.; Ko, N.; Lawton, M.; Grinstead, J.; Ahn, S.; Laub, G.; Hess, C.; et al. High resolution imaging of the intracranial vessel wall at 3 and 7 T using 3D fast spin echo MRI. MAGMA 2016, 29, 559–570. [Google Scholar] [CrossRef] [PubMed]
- de Havenon, A.; Mossa-Basha, M.; Shah, L.; Kim, S.-E.; Park, M.; Parker, D.; McNally, J.S. High-resolution vessel wall MRI for the evaluation of intracranial atherosclerotic disease. Neuroradiology 2017, 59, 1193–1202. [Google Scholar] [CrossRef]
- Edelman, R.R.; Mattle, H.P.; Wallner, B.; Bajakian, R.; Kleefield, J.; Kent, C.; Skillman, J.J.; Mendel, J.B.; Atkinson, D.J. Extracranial carotid arteries: Evaluation with "black blood" MR angiography. Radiology 1990, 177, 45–50. [Google Scholar] [CrossRef]
- Busse, R.F.; Hariharan, H.; Vu, A.; Brittain, J.H. Fast spin echo sequences with very long echo trains: Design of variable refocusing flip angle schedules and generation of clinical T2 contrast. Magn. Reson. Med. 2006, 55, 1030–1037. [Google Scholar] [CrossRef]
- Wang, J.; Helle, M.; Zhou, Z.; Börnert, P.; Hatsukami, T.S.; Yuan, C. Joint blood and cerebrospinal fluid suppression for intracranial vessel wall MRI. Magn. Reson. Med. 2016, 75, 831–838. [Google Scholar] [CrossRef]
- Li, L.; Chai, J.T.; Biasiolli, L.; Robson, M.D.; Choudhury, R.P.; Handa, A.I.; Near, J.; Jezzard, P. Black-blood multicontrast imaging of carotid arteries with DANTE-prepared 2D and 3D MR imaging. Radiology 2014, 273, 560–569. [Google Scholar] [CrossRef]
- Yang, H.; Zhang, X.; Qin, Q.; Liu, L.; Wasserman, B.A.; Qiao, Y. Improved cerebrospinal fluid suppression for intracranial vessel wall MRI. J. Magn. Reson. Imaging 2016, 44, 665–672. [Google Scholar] [CrossRef] [PubMed]
- Campbell, B.C.V.; De Silva, D.A.; Macleod, M.R.; Coutts, S.B.; Schwamm, L.H.; Davis, S.M.; Donnan, G.A. Ischaemic stroke. Nat. Rev. Dis. Prim. 2019, 5, 70. [Google Scholar] [CrossRef] [PubMed]
- Qureshi, A.I.; Caplan, L.R. Intracranial atherosclerosis. Lancet 2014, 383, 984–998. [Google Scholar] [CrossRef]
- Brinjikji, W.; Huston, J.; Rabinstein, A.A.; Kim, G.-M.; Lerman, A.; Lanzino, G. Contemporary carotid imaging: From degree of stenosis to plaque vulnerability. J. Neurosurg. 2016, 124, 27–42. [Google Scholar] [CrossRef] [PubMed] [Green Version]
- Lindholt, J.S.; ESC Scientific Document Group. 2017 ESC Guidelines on the Diagnosis and Treatment of Peripheral Arterial Diseases, in collaboration with the European Society for Vascular Surgery (ESVS): Document covering atherosclerotic disease of extracranial carotid and vertebral, mesenteric, renal, upper and lower extremity arteriesEndorsed by: The European Stroke Organization (ESO)The Task Force for the Diagnosis and Treatment of Peripheral Arterial Diseases of the European Society of Cardiology (ESC) and of the European Society for Vasc. Eur. Heart J. 2018, 39, 763–816. [Google Scholar] [CrossRef] [Green Version]
- Kleindorfer, D.O.; Towfighi, A.; Chaturvedi, S.; Cockroft, K.M.; Gutierrez, J.; Lombardi-Hill, D.; Kamel, H.; Kernan, W.N.; Kittner, S.J.; Leira, E.C.; et al. 2021 Guideline for the Prevention of Stroke in Patients With Stroke and Transient Ischemic Attack: A Guideline From the American Heart Association/American Stroke Association. Stroke 2021, 52, e364–e467. [Google Scholar] [CrossRef]
- Freilinger, T.M.; Schindler, A.; Schmidt, C.; Grimm, J.; Cyran, C.; Schwarz, F.; Bamberg, F.; Linn, J.; Reiser, M.; Yuan, C.; et al. Prevalence of nonstenosing, complicated atherosclerotic plaques in cryptogenic stroke. JACC Cardiovasc. Imaging 2012, 5, 397–405. [Google Scholar] [CrossRef] [Green Version]
- Saba, L.; Saam, T.; Jäger, H.R.; Yuan, C.; Hatsukami, T.S.; Saloner, D.; Wasserman, B.A.; Bonati, L.H.; Wintermark, M. Imaging biomarkers of vulnerable carotid plaques for stroke risk prediction and their potential clinical implications. Lancet Neurol. 2019, 18, 559–572. [Google Scholar] [CrossRef]
- Saba, L.; Yuan, C.; Hatsukami, T.S.; Balu, N.; Qiao, Y.; DeMarco, J.K.; Saam, T.; Moody, A.R.; Li, D.; Matouk, C.C.; et al. Carotid Artery Wall Imaging: Perspective and Guidelines from the ASNR Vessel Wall Imaging Study Group and Expert Consensus Recommendations of the American Society of Neuroradiology. AJNR Am. J. Neuroradiol. 2018, 39, E9–E31. [Google Scholar] [CrossRef] [Green Version]
- Schaafsma, J.D.; Rawal, S.; Coutinho, J.M.; Rasheedi, J.; Mikulis, D.J.; Jaigobin, C.; Silver, F.L.; Mandell, D.M. Diagnostic Impact of Intracranial Vessel Wall MRI in 205 Patients with Ischemic Stroke or TIA. AJNR Am. J. Neuroradiol. 2019, 40, 1701–1706. [Google Scholar] [CrossRef]
- Tan, H.W.; Chen, X.; Maingard, J.; Barras, C.D.; Logan, C.; Thijs, V.; Kok, H.K.; Lee, M.J.; Chandra, R.V.; Brooks, M.; et al. Intracranial Vessel Wall Imaging with Magnetic Resonance Imaging: Current Techniques and Applications. World Neurosurg. 2018, 112, 186–198. [Google Scholar] [CrossRef]
- Mossa-Basha, M.; Shibata, D.K.; Hallam, D.K.; de Havenon, A.; Hippe, D.S.; Becker, K.J.; Tirschwell, D.L.; Hatsukami, T.; Balu, N.; Yuan, C. Added Value of Vessel Wall Magnetic Resonance Imaging for Differentiation of Nonocclusive Intracranial Vasculopathies. Stroke 2017, 48, 3026–3033. [Google Scholar] [CrossRef]
- Park, J.E.; Jung, S.C.; Lee, S.H.; Jeon, J.Y.; Lee, J.Y.; Kim, H.S.; Choi, C.-G.; Kim, S.J.; Lee, D.H.; Kim, S.-O.; et al. Comparison of 3D magnetic resonance imaging and digital subtraction angiography for intracranial artery stenosis. Eur. Radiol. 2017, 27, 4737–4746. [Google Scholar] [CrossRef]
- Kim, J.-M.; Jung, K.-H.; Sohn, C.-H.; Moon, J.; Shin, J.-H.; Park, J.; Lee, S.-H.; Han, M.H.; Roh, J.-K. Intracranial plaque enhancement from high resolution vessel wall magnetic resonance imaging predicts stroke recurrence. Int. J. Stroke 2016, 11, 171–179. [Google Scholar] [CrossRef]
- Fakih, R.; Roa, J.A.; Bathla, G.; Olalde, H.; Varon, A.; Ortega-Gutierrez, S.; Derdeyn, C.; Adams, H.P.; Hasan, D.M.; Leira, E.C.; et al. Detection and Quantification of Symptomatic Atherosclerotic Plaques With High-Resolution Imaging in Cryptogenic Stroke. Stroke 2020, 51, 3623–3631. [Google Scholar] [CrossRef] [PubMed]
- Song, J.W.; Pavlou, A.; Xiao, J.; Kasner, S.E.; Fan, Z.; Messé, S.R. Vessel Wall Magnetic Resonance Imaging Biomarkers of Symptomatic Intracranial Atherosclerosis: A Meta-Analysis. Stroke 2021, 52, 193–202. [Google Scholar] [CrossRef]
- Kasab, S.A.; Bathla, G.; Varon, A.; Roa, J.A.; Sabotin, R.; Raghuram, A.; Chaorong, W.; Hasan, D.M.; Turan, T.N.; Chatterjee, R.; et al. High-resolution vessel wall imaging after mechanical thrombectomy. Neuroradiol. J. 2021, 34, 593–599. [Google Scholar] [CrossRef] [PubMed]
- Lee, H.N.; Ryu, C.-W.; Yun, S.J. Vessel-Wall Magnetic Resonance Imaging of Intracranial Atherosclerotic Plaque and Ischemic Stroke: A Systematic Review and Meta-Analysis. Front. Neurol. 2018, 9, 1032. [Google Scholar] [CrossRef] [PubMed] [Green Version]
- Xu, W.-H.; Li, M.-L.; Gao, S.; Ni, J.; Yao, M.; Zhou, L.-X.; Peng, B.; Feng, F.; Jin, Z.-Y.; Cui, L.-Y. Middle cerebral artery intraplaque hemorrhage: Prevalence and clinical relevance. Ann. Neurol. 2012, 71, 195–198. [Google Scholar] [CrossRef] [PubMed]
- Yang, W.-Q.; Huang, B.; Liu, X.-T.; Liu, H.-J.; Li, P.-J.; Zhu, W.-Z. Reproducibility of high-resolution MRI for the middle cerebral artery plaque at 3T. Eur. J. Radiol. 2014, 83, e49–e55. [Google Scholar] [CrossRef]
- Saba, L.; Moody, A.R.; Saam, T.; Kooi, M.E.; Wasserman, B.A.; Staub, D.; van der Lugt, A.; DeMarco, J.K.; Saloner, D.; Wintermark, M.; et al. Vessel Wall-Imaging Biomarkers of Carotid Plaque Vulnerability in Stroke Prevention Trials: A viewpoint from The Carotid Imaging Consensus Group. JACC Cardiovasc. Imaging 2020, 13, 2445–2456. [Google Scholar] [CrossRef]
- Younger, D.S. Stroke due to Vasculitis in Children and Adults. Neurol. Clin. 2019, 37, 279–302. [Google Scholar] [CrossRef] [PubMed]
- Berlit, P.; Kraemer, M. Cerebral vasculitis in adults: What are the steps in order to establish the diagnosis? Red flags and pitfalls. Clin. Exp. Immunol. 2014, 175, 419–424. [Google Scholar] [CrossRef]
- Beuker, C.; Strunk, D.; Rawal, R.; Schmidt-Pogoda, A.; Werring, N.; Milles, L.; Ruck, T.; Wiendl, H.; Meuth, S.; Minnerup, H.; et al. Primary Angiitis of the CNS: A Systematic Review and Meta-analysis. Neurol. Neuroimmunol. Neuroinflamm. 2021, 8, e1093. [Google Scholar] [CrossRef]
- Birnbaum, J.; Hellmann, D.B. Primary Angiitis of the Central Nervous System. Arch. Neurol. 2009, 66, 704–709. [Google Scholar] [CrossRef]
- Salvarani, C.; Brown, R.D.; Christianson, T.J.H.; Huston, J.; Giannini, C.; Miller, D.V.; Hunder, G.G. Adult Primary Central Nervous System Vasculitis Treatment and Course: Analysis of One Hundred Sixty-Three Patients. Arthritis Rheumatol. 2015, 67, 1637–1645. [Google Scholar] [CrossRef]
- de Boysson, H.; Arquizan, C.; Touzé, E.; Zuber, M.; Boulouis, G.; Naggara, O.; Guillevin, L.; Aouba, A.; Pagnoux, C. Treatment and Long-Term Outcomes of Primary Central Nervous System Vasculitis. Stroke 2018, 49, 1946–1952. [Google Scholar] [CrossRef]
- Edjlali, M.; Qiao, Y.; Boulouis, G.; Menjot, N.; Saba, L.; Wasserman, B.A.; Romero, J.M. Vessel wall MR imaging for the detection of intracranial inflammatory vasculopathies. Cardiovasc. Diagn. Ther. 2020, 10, 1108–1119. [Google Scholar] [CrossRef] [PubMed]
- Lindenholz, A.; van der Kolk, A.G.; Zwanenburg, J.J.M.; Hendrikse, J. The Use and Pitfalls of Intracranial Vessel Wall Imaging: How We Do It. Radiology 2018, 286, 12–28. [Google Scholar] [CrossRef] [PubMed]
- Arnett, N.; Pavlou, A.; Burke, M.P.; Cucchiara, B.L.; Rhee, R.L.; Song, J.W. Vessel wall MR imaging of central nervous system vasculitis: A systematic review. Neuroradiology 2021, 64, 43–58. [Google Scholar] [CrossRef]
- Arktout, S. Vessel Wall MRI in HIV-Associated Cerebral Angiitis. J. Belgian Soc. Radiol. 2020, 104, 60. [Google Scholar] [CrossRef]
- Yang, W.; Krakauer, J.W.; Wasserman, B.A. Radiation-induced intracranial vasculitis on high-resolution vessel wall MRI. J. Neurol. 2021, 269, 483–485. [Google Scholar] [CrossRef]
- Zhang, K.; Chu, F.; Wang, C.; Shi, M.; Yang, Y. Progressive Stroke Caused by Neurosyphilis With Concentric Enhancement in the Internal Cerebral Artery on High-Resolution Magnetic Resonance Imaging: A Case Report. Front. Neurol. 2021, 12, 1416. [Google Scholar] [CrossRef]
- Keller, E.; Brandi, G.; Winklhofer, S.; Imbach, L.L.; Kirschenbaum, D.; Frontzek, K.; Steiger, P.; Dietler, S.; Haeberlin, M.; Willms, J.; et al. Large and Small Cerebral Vessel Involvement in Severe COVID-19: Detailed Clinical Workup of a Case Series. Stroke 2020, 51, 3719–3722. [Google Scholar] [CrossRef]
- Mazzacane, F.; Zito, A.; Magno, S.; Persico, A.; Mazzoleni, V.; Asteggiano, C.; Rognone, E.; Pichiecchio, A.; Padovani, A.; Cavallini, A.; et al. Vessel wall magnetic resonance imaging in COVID-19-associated cryptogenic ischemic stroke. Eur. J. Neurol. 2022, 29, 615–619. [Google Scholar] [CrossRef]
- Zeiler, S.R.; Qiao, Y.; Pardo, C.A.; Lim, M.; Wasserman, B.A. Vessel Wall MRI for Targeting Biopsies of Intracranial Vasculitis. AJNR Am. J. Neuroradiol. 2018, 39, 2034–2036. [Google Scholar] [CrossRef] [PubMed]
- Corrêa, D.G.; Hygino da Cruz, L.C. High-Resolution Vessel Wall MR Imaging as an Alternative to Brain Biopsy. AJNR Am. J. Neuroradiol. 2019, 40, E17–E18. [Google Scholar] [CrossRef] [Green Version]
- Klink, T.; Geiger, J.; Both, M.; Ness, T.; Heinzelmann, S.; Reinhard, M.; Holl-Ulrich, K.; Duwendag, D.; Vaith, P.; Bley, T.A. Giant Cell Arteritis: Diagnostic Accuracy of MR Imaging of Superficial Cranial Arteries in Initial Diagnosis—Results from a Multicenter Trial. Radiology 2014, 273, 844–852. [Google Scholar] [CrossRef] [PubMed]
- Poillon, G.; Collin, A.; Benhamou, Y.; Clavel, G.; Savatovsky, J.; Pinson, C.; Zuber, K.; Charbonneau, F.; Vignal, C.; Picard, H.; et al. Increased diagnostic accuracy of giant cell arteritis using three-dimensional fat-saturated contrast-enhanced vessel-wall magnetic resonance imaging at 3 T. Eur. Radiol. 2020, 30, 1866–1875. [Google Scholar] [CrossRef] [PubMed]
- Mohammed-Brahim, N.; Clavel, G.; Charbonneau, F.; Duron, L.; Picard, H.; Zuber, K.; Savatovsky, J.; Lecler, A. Three Tesla 3D High-Resolution Vessel Wall MRI of the Orbit may Differentiate Arteritic From Nonarteritic Anterior Ischemic Optic Neuropathy. Investig. Radiol. 2019, 54, 712–718. [Google Scholar] [CrossRef] [PubMed]
- Karaman, A.K.; Korkmazer, B.; Arslan, S.; Uygunoglu, U.; Karaarslan, E.; Kızılkılıc, O.; Kocer, N.; Islak, C. The diagnostic contribution of intracranial vessel wall imaging in the differentiation of primary angiitis of the central nervous system from other intracranial vasculopathies. Neuroradiology 2021, 63, 1635–1644. [Google Scholar] [CrossRef]
- Patzig M, Forbrig R, Küpper C, Eren O, Saam T, Kellert L, Liebig T, Schöberl F. Diagnosis and follow-up evaluation of central nervous system vasculitis: An evaluation of vessel-wall MRI findings. J Neurol. 2021, 8, 1–15. [Google Scholar] [CrossRef]
- Kim, S.T.; Brinjikji, W.; Lanzino, G.; Kallmes, D.F. Neurovascular manifestations of connective-tissue diseases: A review. Interv. Neuroradiol. 2016, 22, 624–637. [Google Scholar] [CrossRef]
- Kanoto, M.; Hosoya, T. Diagnosis of Intracranial Artery Dissection. Neurol. Med. Chir. 2016, 56, 524–533. [Google Scholar] [CrossRef] [PubMed] [Green Version]
- Bond, K.M.; Krings, T.; Lanzino, G.; Brinjikji, W. Intracranial dissections: A pictorial review of pathophysiology, imaging features, and natural history. J. Neuroradiol. 2021, 48, 176–188. [Google Scholar] [CrossRef]
- Sui, B.; Bai, X.; Gao, P.; Lin, Y.; Zhang, Y.; Liang, J.; Yang, X. High-resolution vessel wall magnetic resonance imaging for depicting imaging features of unruptured intracranial vertebrobasilar dissecting aneurysms. J. Int. Med. Res. 2021, 49, 300060520977388. [Google Scholar] [CrossRef] [PubMed]
- Debette, S.; Compter, A.; Labeyrie, M.-A.; Uyttenboogaart, M.; Metso, T.M.; Majersik, J.J.; Goeggel-Simonetti, B.; Engelter, S.T.; Pezzini, A.; Bijlenga, P.; et al. Epidemiology, pathophysiology, diagnosis, and management of intracranial artery dissection. Lancet Neurol. 2015, 14, 640–654. [Google Scholar] [CrossRef] [Green Version]
- Cho, S.J.; Choi, B.S.; Bae, Y.J.; Baik, S.H.; Sunwoo, L.; Kim, J.H. Image Findings of Acute to Subacute Craniocervical Arterial Dissection on Magnetic Resonance Vessel Wall Imaging: A Systematic Review and Proportion Meta-Analysis. Front. Neurol. 2021, 12, 446. [Google Scholar] [CrossRef] [PubMed]
- Tsuda, Y.; Sakurai, K.; Madokoro, Y.; Inoue, H.; Yuasa, H.; Kano, Y.; Yamada, K.; Inui, S.; Oomura, M.; Matsukawa, N. Importance of Chronological Changes on High-Resolution Vessel Wall Imaging for Diagnosis of Isolated Anterior Cerebral Artery Dissection. J. Stroke Cerebrovasc. Dis. 2020, 29, 105146. [Google Scholar] [CrossRef]
- Kano, Y.; Inui, S.; Oguri, T.; Kato, H.; Yuasa, H.; Morimoto, S.; Sakurai, K. Utility of T2-weighted high-resolution vessel wall imaging for the diagnosis of isolated posterior inferior cerebellar artery dissection at acute and early subacute stages. J. Neurol. Sci. 2020, 411, 116693. [Google Scholar] [CrossRef]
- Han, M.; Rim, N.-J.; Lee, J.S.; Kim, S.Y.; Choi, J.W. Feasibility of high-resolution MR imaging for the diagnosis of intracranial vertebrobasilar artery dissection. Eur. Radiol. 2014, 24, 3017–3024. [Google Scholar] [CrossRef] [PubMed]
- Choi, Y.J.; Jung, S.C.; Lee, D.H. Vessel Wall Imaging of the Intracranial and Cervical Carotid Arteries. J. Stroke 2015, 17, 238–255. [Google Scholar] [CrossRef] [PubMed] [Green Version]
- Kim, J.H.; Kwak, H.S.; Hwang, S.B.; Chung, G.H. Differential Diagnosis of Intraplaque Hemorrhage and Dissection on High-Resolution MR Imaging in Patients with Focal High Signal of the Vertebrobasilar Artery on TOF Imaging. Diagnostics 2021, 11, 1024. [Google Scholar] [CrossRef]
- Ducros, A. Reversible cerebral vasoconstriction syndrome. Lancet Neurol. 2012, 11, 906–917. [Google Scholar] [CrossRef]
- Santos, L.; Azevedo, E. Reversible cerebral vasoconstriction syndrome—A narrative revision of the literature. Porto Biomed. J. 2016, 1, 65–71. [Google Scholar] [CrossRef] [Green Version]
- Boitet, R.; de Gaalon, S.; Duflos, C.; Marin, G.; Mawet, J.; Burcin, C.; Roos, C.; Fiedler, U.; Bousser, M.-G.; Ducros, A. Long-Term Outcomes After Reversible Cerebral Vasoconstriction Syndrome. Stroke 2020, 51, 670–673. [Google Scholar] [CrossRef]
- Caria, F.; Zedde, M.; Gamba, M.; Bersano, A.; Rasura, M.; Adami, A.; Piantadosi, C.; Quartuccio, L.; Azzini, C.; Melis, M.; et al. The clinical spectrum of reversible cerebral vasoconstriction syndrome: The Italian Project on Stroke at Young Age (IPSYS). Cephalalgia 2019, 39, 1267–1276. [Google Scholar] [CrossRef]
- Rocha, E.A.; Topcuoglu, M.A.; Silva, G.S.; Singhal, A.B. RCVS 2 score and diagnostic approach for reversible cerebral vasoconstriction syndrome. Neurology 2019, 92, e639–e647. [Google Scholar] [CrossRef] [PubMed]
- Cappelen-Smith, C.; Calic, Z.; Cordato, D. Reversible Cerebral Vasoconstriction Syndrome: Recognition and Treatment. Curr. Treat. Options Neurol. 2017, 19, 21. [Google Scholar] [CrossRef]
- Singhal, A.B.; Topcuoglu, M.A. Glucocorticoid-associated worsening in reversible cerebral vasoconstriction syndrome. Neurology 2017, 88, 228–236. [Google Scholar] [CrossRef] [Green Version]
- Mandell, D.M.; Matouk, C.C.; Farb, R.I.; Krings, T.; Agid, R.; terBrugge, K.; Willinsky, R.A.; Swartz, R.H.; Silver, F.L.; Mikulis, D.J. Vessel wall MRI to differentiate between reversible cerebral vasoconstriction syndrome and central nervous system vasculitis: Preliminary results. Stroke 2012, 43, 860–862. [Google Scholar] [CrossRef] [Green Version]
- Burton, T.M.; Bushnell, C.D. Reversible Cerebral Vasoconstriction Syndrome. Stroke 2019, 50, 2253–2258. [Google Scholar] [CrossRef]
- Chen, C.-Y.; Chen, S.-P.; Fuh, J.-L.; Lirng, J.-F.; Chang, F.-C.; Wang, Y.-F.; Wang, S.-J. Vascular wall imaging in reversible cerebral vasoconstriction syndrome—A 3-T contrast-enhanced MRI study. J. Headache Pain 2018, 19, 74. [Google Scholar] [CrossRef] [PubMed]
- Eiden, S.; Beck, C.; Venhoff, N.; Elsheikh, S.; Ihorst, G.; Urbach, H.; Meckel, S. High-resolution contrast-enhanced vessel wall imaging in patients with suspected cerebral vasculitis: Prospective comparison of whole-brain 3D T1 SPACE versus 2D T1 black blood MRI at 3 Tesla. PLoS ONE 2019, 14, e0213514. [Google Scholar] [CrossRef] [PubMed] [Green Version]
- Obusez, E.C.; Hui, F.; Hajj-Ali, R.A.; Cerejo, R.; Calabrese, L.H.; Hammad, T.; Jones, S.E. High-resolution MRI vessel wall imaging: Spatial and temporal patterns of reversible cerebral vasoconstriction syndrome and central nervous system vasculitis. AJNR Am. J. Neuroradiol. 2014, 35, 1527–1532. [Google Scholar] [CrossRef] [Green Version]
- Kim, J.S. Moyamoya Disease: Epidemiology, Clinical Features, and Diagnosis. J. Stroke 2016, 18, 2–11. [Google Scholar] [CrossRef] [Green Version]
- Berry, J.A.; Cortez, V.; Toor, H.; Saini, H.; Siddiqi, J. Moyamoya: An Update and Review. Cureus 2020, 12, e10994. [Google Scholar] [CrossRef]
- Mossa-Basha, M.; de Havenon, A.; Becker, K.J.; Hallam, D.K.; Levitt, M.R.; Cohen, W.A.; Hippe, D.S.; Alexander, M.D.; Tirschwell, D.L.; Hatsukami, T.; et al. Added Value of Vessel Wall Magnetic Resonance Imaging in the Differentiation of Moyamoya Vasculopathies in a Non-Asian Cohort. Stroke 2016, 47, 1782–1788. [Google Scholar] [CrossRef] [Green Version]
- Han, C.; Li, M.-L.; Xu, Y.-Y.; Ye, T.; Xie, C.-F.; Gao, S.; Duan, L.; Xu, W.-H. Adult moyamoya-atherosclerosis syndrome: Clinical and vessel wall imaging features. J. Neurol. Sci. 2016, 369, 181–184. [Google Scholar] [CrossRef] [PubMed]
- Kim, Y.J.; Lee, D.H.; Kwon, J.Y.; Kang, D.W.; Suh, D.C.; Kim, J.S.; Kwon, S.U. High resolution MRI difference between moyamoya disease and intracranial atherosclerosis. Eur. J. Neurol. 2013, 20, 1311–1318. [Google Scholar] [CrossRef]
- Lehman, V.T.; Cogswell, P.M.; Rinaldo, L.; Brinjikji, W.; Huston, J.; Klaas, J.P.; Lanzino, G. Contemporary and emerging magnetic resonance imaging methods for evaluation of moyamoya disease. Neurosurg. Focus 2019, 47, E6. [Google Scholar] [CrossRef] [Green Version]
- Ryoo, S.; Cha, J.; Kim, S.J.; Choi, J.W.; Ki, C.-S.; Kim, K.H.; Jeon, P.; Kim, J.-S.; Hong, S.-C.; Bang, O.Y. High-resolution magnetic resonance wall imaging findings of Moyamoya disease. Stroke 2014, 45, 2457–2460. [Google Scholar] [CrossRef] [PubMed] [Green Version]
- Cogswell, P.M.; Lants, S.K.; Davis, L.T.; Juttukonda, M.R.; Fusco, M.R.; Donahue, M.J. Vessel Wall and Lumen Features in North American Moyamoya Patients. Clin. Neuroradiol. 2020, 30, 545–552. [Google Scholar] [CrossRef]
- Lu, M.; Zhang, H.; Liu, D.; Liu, X.; Zhang, L.; Peng, P.; Yuan, F.; Liu, S.; Sheng, F.; Liu, Y.; et al. Association of intracranial vessel wall enhancement and cerebral hemorrhage in moyamoya disease: A high-resolution magnetic resonance imaging study. J. Neurol. 2021, 268, 4768–4777. [Google Scholar] [CrossRef] [PubMed]
- Neifert, S.N.; Chapman, E.K.; Martini, M.L.; Shuman, W.H.; Schupper, A.J.; Oermann, E.K.; Mocco, J.; Macdonald, R.L. Aneurysmal Subarachnoid Hemorrhage: The Last Decade. Transl. Stroke Res. 2021, 12, 428–446. [Google Scholar] [CrossRef]
- Hackenberg, K.A.M.; Hänggi, D.; Etminan, N. Unruptured Intracranial Aneurysms. Stroke 2018, 49, 2268–2275. [Google Scholar] [CrossRef]
- Kleinloog, R.; de Mul, N.; Verweij, B.H.; Post, J.A.; Rinkel, G.J.E.; Ruigrok, Y.M. Risk Factors for Intracranial Aneurysm Rupture: A Systematic Review. Neurosurgery 2018, 82, 431–440. [Google Scholar] [CrossRef] [PubMed]
- van der Kamp, L.T.; Rinkel, G.J.E.; Verbaan, D.; van den Berg, R.; Vandertop, W.P.; Murayama, Y.; Ishibashi, T.; Lindgren, A.; Koivisto, T.; Teo, M.; et al. Risk of Rupture After Intracranial Aneurysm Growth. JAMA Neurol. 2021, 78, 1228. [Google Scholar] [CrossRef]
- Shimonaga, K.; Matsushige, T.; Ishii, D.; Sakamoto, S.; Hosogai, M.; Kawasumi, T.; Kaneko, M.; Ono, C.; Kurisu, K. Clinicopathological Insights From Vessel Wall Imaging of Unruptured Intracranial Aneurysms. Stroke 2018, 49, 2516–2519. [Google Scholar] [CrossRef]
- Hudson, J.S.; Zanaty, M.; Nakagawa, D.; Kung, D.K.; Jabbour, P.; Samaniego, E.A.; Hasan, D. Magnetic Resonance Vessel Wall Imaging in Human Intracranial Aneurysms. Stroke 2019, 50, e1. [Google Scholar] [CrossRef]
- Samaniego, E.A.; Roa, J.A.; Hasan, D. Vessel wall imaging in intracranial aneurysms. J. Neurointerv. Surg. 2019, 11, 1105–1112. [Google Scholar] [CrossRef] [Green Version]
- Roa, J.A.; Zanaty, M.; Osorno-Cruz, C.; Ishii, D.; Bathla, G.; Ortega-Gutierrez, S.; Hasan, D.M.; Samaniego, E.A. Objective quantification of contrast enhancement of unruptured intracranial aneurysms: A high-resolution vessel wall imaging validation study. J. Neurosurg. 2021, 134, 862–869. [Google Scholar] [CrossRef] [PubMed]
- Edjlali, M.; Guédon, A.; Ben Hassen, W.; Boulouis, G.; Benzakoun, J.; Rodriguez-Régent, C.; Trystram, D.; Nataf, F.; Meder, J.-F.; Turski, P.; et al. Circumferential Thick Enhancement at Vessel Wall MRI Has High Specificity for Intracranial Aneurysm Instability. Radiology 2018, 289, 181–187. [Google Scholar] [CrossRef] [Green Version]
- Hashimoto, Y.; Matsushige, T.; Shimonaga, K.; Hosogai, M.; Kaneko, M.; Ono, C.; Mizoue, T. Vessel Wall Imaging Predicts the Presence of Atherosclerotic Lesions in Unruptured Intracranial Aneurysms. World Neurosurg. 2019, 132, e775–e782. [Google Scholar] [CrossRef] [PubMed]
- Texakalidis, P.; Hilditch, C.A.; Lehman, V.; Lanzino, G.; Pereira, V.M.; Brinjikji, W. Vessel Wall Imaging of Intracranial Aneurysms: Systematic Review and Meta-analysis. World Neurosurg. 2018, 117, 453–458.e1. [Google Scholar] [CrossRef]
- Obusez, E.C.; Jones, S.E.; Mandell, D.; Bullen, J.; Gonzalez, F.; Hui, F.K. Feasibility of vessel wall imaging in assessing unruptured paraclinoid aneurysms: Clinical observations and preliminary experience. J. Clin. Neurosci. 2019, 61, 59–65. [Google Scholar] [CrossRef] [PubMed]
- Matouk, C.C.; Mandell, D.M.; Günel, M.; Bulsara, K.R.; Malhotra, A.; Hebert, R.; Johnson, M.H.; Mikulis, D.J.; Minja, F.J. Vessel wall magnetic resonance imaging identifies the site of rupture in patients with multiple intracranial aneurysms: Proof of principle. Neurosurgery 2013, 72, 492–496. [Google Scholar] [CrossRef]
- Mossa-Basha, M.; Huynh, T.J.; Hippe, D.S.; Fata, P.; Morton, R.P.; Levitt, M.R. Vessel wall MRI characteristics of endovascularly treated aneurysms: Association with angiographic vasospasm. J. Neurosurg. 2018, 131, 859–867. [Google Scholar] [CrossRef] [Green Version]
- Jung, H.N.; Suh, S.-I.; Ryoo, I.; Kim, I. Usefulness of 3D High-resolution Vessel Wall MRI in Diffuse Nonaneurysmal SAH Patients. Clin. Neuroradiol. 2021, 31, 1071–1081. [Google Scholar] [CrossRef] [PubMed]
- Chen, C.-J.; Ding, D.; Derdeyn, C.P.; Lanzino, G.; Friedlander, R.M.; Southerland, A.M.; Lawton, M.T.; Sheehan, J.P. Brain arteriovenous malformations: A review of natural history, pathobiology, and interventions. Neurology 2020, 95, 917–927. [Google Scholar] [CrossRef] [PubMed]
- Lawton, M.T.; Rutledge, W.C.; Kim, H.; Stapf, C.; Whitehead, K.J.; Li, D.Y.; Krings, T.; terBrugge, K.; Kondziolka, D.; Morgan, M.K.; et al. Brain arteriovenous malformations. Nat. Rev. Dis. Prim. 2015, 1, 15008. [Google Scholar] [CrossRef]
- Mohr, J.P.; Parides, M.K.; Stapf, C.; Moquete, E.; Moy, C.S.; Overbey, J.R.; Salman, R.A.-S.; Vicaut, E.; Young, W.L.; Houdart, E.; et al. Medical management with or without interventional therapy for unruptured brain arteriovenous malformations (ARUBA): A multicentre, non-blinded, randomised trial. Lancet 2014, 383, 614–621. [Google Scholar] [CrossRef] [Green Version]
- Feghali, J.; Huang, J. Stroke, & Updates in arteriovenous malformation management: The post-ARUBA era. Vasc. Neurol. 2020, 5, 248. [Google Scholar] [CrossRef] [Green Version]
- Matouk, C.C.; Cord, B.J.; Yeung, J.; Malhotra, A.; Johnson, M.H.; Minja, F.J. High-resolution Vessel Wall Magnetic Resonance Imaging in Intracranial Aneurysms and Brain Arteriovenous Malformations. Top. Magn. Reson. Imaging 2016, 25, 49–55. [Google Scholar] [CrossRef]
- Petridis, A.K.; Dibue-Adjei, M.; Cornelius, J.F.; Suresh, M.P.; Li, L.; Kamp, M.A.; Abusabha, Y.; Turowski, B.; Steiger, H.J.; May, R. Contrast enhancement of vascular walls of intracranial high flow malformations in black blood MRI indicates high inflammatory activity. Chin. Neurosurg. J. 2018, 4, 13. [Google Scholar] [CrossRef] [PubMed] [Green Version]
- Omodaka, S.; Endo, H.; Fujimura, M.; Niizuma, K.; Sato, K.; Matsumoto, Y.; Tominaga, T. High-grade Cerebral Arteriovenous Malformation Treated with Targeted Embolization of a Ruptured Site: Wall Enhancement of an Intranidal Aneurysm as a Sign of Ruptured Site. Neurol. Med. Chir. 2015, 55, 813–817. [Google Scholar] [CrossRef] [Green Version]
- Bhogal, P.; Lansley, J.; Wong, K.; Udani, S.D.; Uff, C.; Wadley, J.; Kumar, A.; Matouk, C.C.; Makalanda, H.L. Vessel wall enhancement of a ruptured intra-nidal aneurysm in a brain arteriovenous malformation. Interv. Neuroradiol. 2019, 25, 310–314. [Google Scholar] [CrossRef] [PubMed]
- Komatsu, K.; Takagi, Y.; Ishii, A.; Kikuchi, T.; Yamao, Y.; Fushimi, Y.; Grinstead, J.; Ahn, S.; Miyamoto, S. Ruptured intranidal aneurysm of an arteriovenous malformation diagnosed by delay alternating with nutation for tailored excitation (DANTE)–prepared contrast-enhanced magnetic resonance imaging. Acta Neurochir. 2018, 160, 2435–2438. [Google Scholar] [CrossRef]
- Eisenmenger, L.B.; Junn, J.C.; Cooke, D.; Hetts, S.; Zhu, C.; Johnson, K.M.; Manunga, J.M.; Saloner, D.; Hess, C.; Kim, H. Presence of Vessel Wall Hyperintensity in Unruptured Arteriovenous Malformations on Vessel Wall Magnetic Resonance Imaging: Pilot Study of AVM Vessel Wall “Enhancement"”. Front. Neurosci. 2021, 15, 697432. [Google Scholar] [CrossRef]
- Jara, H.; Yu, B.C.; Caruthers, S.D.; Melhem, E.R.; Yucel, E.K. Voxel sensitivity function description of flow-induced signal loss in MR imaging: Implications for black-blood MR angiography with turbo spin-echo sequences. Magn. Reson. Med. 1999, 41, 575–590. [Google Scholar] [CrossRef]
- Hui, F.K.; Zhu, X.; Jones, S.E.; Uchino, K.; Bullen, J.A.; Hussain, M.S.; Lou, X.; Jiang, W.-J. Early experience in high-resolution MRI for large vessel occlusions. J. Neurointerv. Surg. 2015, 7, 509–516. [Google Scholar] [CrossRef]
- Ahn, S.J.; Anrather, J.; Nishimura, N.; Schaffer, C.B. Diverse Inflammatory Response After Cerebral Microbleeds Includes Coordinated Microglial Migration and Proliferation. Stroke 2018, 49, 1719–1726. [Google Scholar] [CrossRef] [PubMed]
- Schrag, M.; McAuley, G.; Pomakian, J.; Jiffry, A.; Tung, S.; Mueller, C.; Vinters, H.V.; Haacke, E.M.; Holshouser, B.; Kido, D.; et al. Correlation of hypointensities in susceptibility-weighted images to tissue histology in dementia patients with cerebral amyloid angiopathy: A postmortem MRI study. Acta Neuropathol. 2010, 119, 291–302. [Google Scholar] [CrossRef] [PubMed] [Green Version]
- Johansson, E.; Fox, A.J. Carotid Near-Occlusion: A Comprehensive Review, Part 1—Definition, Terminology, and Diagnosis. AJNR Am. J. Neuroradiol. 2016, 37, 2–10. [Google Scholar] [CrossRef] [Green Version]
- Lehman, V.T.; Brinjikji, W.; Kallmes, D.F.; Huston, J.; Lanzino, G.; Rabinstein, A.A.; Makol, A.; Mossa-Bosha, M.; Mossa-Bosha, M. Clinical interpretation of high-resolution vessel wall MRI of intracranial arterial diseases. Br. J. Radiol. 2016, 89, 20160496. [Google Scholar] [CrossRef] [PubMed] [Green Version]
- Zheng, L.; Yang, W.J.; Niu, C.B.; Zhao, H.L.; Wong, K.S.; Leung, T.W.H.; Chen, X.Y. Correlation of Adventitial Vasa Vasorum with Intracranial Atherosclerosis: A Postmortem Study. J. Stroke 2018, 20, 342–349. [Google Scholar] [CrossRef] [PubMed] [Green Version]
- Kwee, R.M.; Qiao, Y.; Liu, L.; Zeiler, S.R.; Wasserman, B.A. Temporal course and implications of intracranial atherosclerotic plaque enhancement on high-resolution vessel wall MRI. Neuroradiology 2019, 61, 651–657. [Google Scholar] [CrossRef]
- Qiao, Y.; Zeiler, S.R.; Mirbagheri, S.; Leigh, R.; Urrutia, V.; Wityk, R.; Wasserman, B.A. Intracranial plaque enhancement in patients with cerebrovascular events on high-spatial-resolution MR images. Radiology 2014, 271, 534–542. [Google Scholar] [CrossRef]
- De Havenon, A.; Chung, L.; Park, M.; Mossa-Basha, M. Intracranial vessel wall MRI: A review of current indications and future applications. Neurovasc. Imaging 2016, 2, 10. [Google Scholar] [CrossRef] [Green Version]
- van der Kolk, A.G.; Zwanenburg, J.J.M.; Denswil, N.P.; Vink, A.; Spliet, W.G.M.; Daemen, M.J.A.P.; Visser, F.; Klomp, D.W.J.; Luijten, P.R.; Hendrikse, J. Imaging the intracranial atherosclerotic vessel wall using 7T MRI: Initial comparison with histopathology. AJNR Am. J. Neuroradiol. 2015, 36, 694–701. [Google Scholar] [CrossRef] [Green Version]
- Harteveld, A.A.; van der Kolk, A.G.; van der Worp, H.B.; Dieleman, N.; Siero, J.C.W.; Kuijf, H.J.; Frijns, C.J.M.; Luijten, P.R.; Zwanenburg, J.J.M.; Hendrikse, J. High-resolution intracranial vessel wall MRI in an elderly asymptomatic population: Comparison of 3T and 7T. Eur. Radiol. 2017, 27, 1585–1595. [Google Scholar] [CrossRef] [PubMed] [Green Version]
- Zwartbol, M.H.T.; van der Kolk, A.G.; Ghaznawi, R.; van der Graaf, Y.; Hendrikse, J.; Geerlings, M.I.; SMART Study Group. Intracranial Vessel Wall Lesions on 7T MRI (Magnetic Resonance Imaging). Stroke 2019, 50, 88–94. [Google Scholar] [CrossRef] [PubMed]

| MR Sequences | Technical Requirements | Contrast Medium | Findings |
|---|---|---|---|
| T1-weighted (or PD) sequence | High spatial resolution; multiplanar 2D or 3D acquisition; blood and CSF signal suppression | Before and after Gd iv administration | Depiction of VW enhancement |
| T2-weighted sequence | High spatial resolution; multiplanar 2D acquisition | No need of Gd iv administration | Additional; usually acquired in cases of suspected atherosclerosis |
| MRA | Extended brain coverage; MIP reconstructions. | With or without Gd iv administration | Depiction of the site of vascular pathology; consider CEMRA in case of severe arterial narrowing or dilation |
| Plaque Component | 3D TOF | T1W | T2W | PD | GdT1W | Clinical Significance |
|---|---|---|---|---|---|---|
| Fibrotic tissue (1) | Iso | Iso/Hyper | Iso/Hyper | Iso/Hyper | Yes | Thin/ruptured FC is associated with higher risk of stroke |
| Lipid core (2) | Iso | Iso/Hyper | Hypo | Iso/Hyper | No | Increasing LRNC is associated with FC rupture, and plaque vulnerability |
| Calcifications (3) | Hypo | Hypo | Hypo | Hypo | No | |
| Hemorrhage (4) | ||||||
| Acute (<1 week) | Hyper | Hyper | Iso/Hypo | Iso/Hypo | No | IPH is associated |
| Subacute (1–6 weeks) | Hyper | Hyper | Hyper | Hyper | No | to plaque progression |
| Chronic (>6 weeks) | Hypo | Hypo | Hypo | Hypo | No | |
![]() | ![]() | ![]() | ![]() | ![]() |
| Vasculitis | Atherosclerosis | RCVS | IAD | MMD | A-MMS | V-MMS | |
|---|---|---|---|---|---|---|---|
| Vessel wall | Thickened, concentric. | Thickened eccentric. | Thickened concentric. | Thickened eccentric with signal characteristic of blood products (intramural hematoma). | Thickened or normal. | Thickened, concentric. | Thickened, eccentric. |
| Contrast enhancement | Vivid, concentric, homogeneous. | Variable, present in active plaques; eccentric. | Absent or mild concentric. | Focal enhancement +/− | Absent or mild concentric (the latter associated with subsequent ischemic or hemorrhagic events). | Variable, present in active plaques; eccentric. | Vivid, concentric, homogeneous. |
| Vessel lumen | Stenosis, often multifocal. | Variable degree of stenosis; may present with positive vessel remodeling without stenosis. | Multifocal stenosis, reversible, posterior circulation often involved. | Luminal stenosis with associated dilatation of outer arterial wall diameter. Presence of intimal flap/double lumen sign. | Progressive stenosis of ICA and proximal MCA. Outer vessel diameter may be reduced. | Like MMD, concomitant atherosclerotic stenosis of other intracranial vessels may be present. | Like MMD but may involve other vessels atypical for MMD. |
| Pitfalls | Causes | Common Site of Artifact | Improvements |
|---|---|---|---|
| Conditions that may mimic atherosclerotic plaque or VW thickening | Incomplete blood flow suppression at T1w-images | Curved and large diameter vessels (genu of petrous ICA; cavernous segments of ICA); proximal or distal to a stenosis; laminar blood flow close to the VW | Acquisition of VW T1 sequences in multiples planes to increase the number of vessel segments parallel to the frequency-encoding direction to improve blood signal suppression |
| Flow artifacts at MRA | Curved and large diameter vessels (genu of petrous ICA; cavernous segments of ICA); proximal or distal to a stenosis | Acquisition of CEMRA to demonstrate proper lumen patency | |
| Conditions that may mimic inflammatory VW enhancement | Parenchymal enhancement of subacute ischemic stroke | Intraparenchymal vessels | DWI helps in depicting the area of ischemia |
| Microhemorrhages with surrounding inflammatory response | Intraparenchymal vessels | SWI and 3D imaging help to distinguish the single dot of hypointensity of the microbleed from the linear hypointensity of the vessel lumen. | |
| Enhancement of the vasa vasorum or of vascular venous plexus | Arteries at their entry in the intracranial compartment, petrous segment of the internal carotid artery and V4 segment of the vertebral artery | 3D multiplanar reconstructions parallel to long axis of the vessel or 2D perpendicular to short-axis section of the vessel for higher-spatial resolution to delineate the enhancement from vascular plexus | |
| Leptomeningeal enhancement | Pial vessels | Multiple oblique planes of reconstruction of 3D VW images may clarify the distribution of the enhancement. | |
| Conditions that may mask inflammatory VW enhancement | Use of steroid | Any vessels | MR scan acquisition before the start of steroid therapy |
| Inadequate delay after Gd administration | Any vessels | Acquisition of VW images at least 5 min after Gd administration |
Publisher’s Note: MDPI stays neutral with regard to jurisdictional claims in published maps and institutional affiliations. |
© 2022 by the authors. Licensee MDPI, Basel, Switzerland. This article is an open access article distributed under the terms and conditions of the Creative Commons Attribution (CC BY) license (https://creativecommons.org/licenses/by/4.0/).
Share and Cite
Mazzacane, F.; Mazzoleni, V.; Scola, E.; Mancini, S.; Lombardo, I.; Busto, G.; Rognone, E.; Pichiecchio, A.; Padovani, A.; Morotti, A.; et al. Vessel Wall Magnetic Resonance Imaging in Cerebrovascular Diseases. Diagnostics 2022, 12, 258. https://doi.org/10.3390/diagnostics12020258
Mazzacane F, Mazzoleni V, Scola E, Mancini S, Lombardo I, Busto G, Rognone E, Pichiecchio A, Padovani A, Morotti A, et al. Vessel Wall Magnetic Resonance Imaging in Cerebrovascular Diseases. Diagnostics. 2022; 12(2):258. https://doi.org/10.3390/diagnostics12020258
Chicago/Turabian StyleMazzacane, Federico, Valentina Mazzoleni, Elisa Scola, Sara Mancini, Ivano Lombardo, Giorgio Busto, Elisa Rognone, Anna Pichiecchio, Alessandro Padovani, Andrea Morotti, and et al. 2022. "Vessel Wall Magnetic Resonance Imaging in Cerebrovascular Diseases" Diagnostics 12, no. 2: 258. https://doi.org/10.3390/diagnostics12020258
APA StyleMazzacane, F., Mazzoleni, V., Scola, E., Mancini, S., Lombardo, I., Busto, G., Rognone, E., Pichiecchio, A., Padovani, A., Morotti, A., & Fainardi, E. (2022). Vessel Wall Magnetic Resonance Imaging in Cerebrovascular Diseases. Diagnostics, 12(2), 258. https://doi.org/10.3390/diagnostics12020258






