Automated Skin Lesion Classification on Ultrasound Images
Abstract
:1. Introduction
1.1. Motivation
1.2. Overview of Ultrasound-Based Lesion Diagnostic Methods
1.3. Ultrasound-Based Differential Diagnosis of Benign and Malignant Skin Lesions
1.4. Aims of Current Work
2. Materials and Methods
2.1. Ultrasound Data Collection
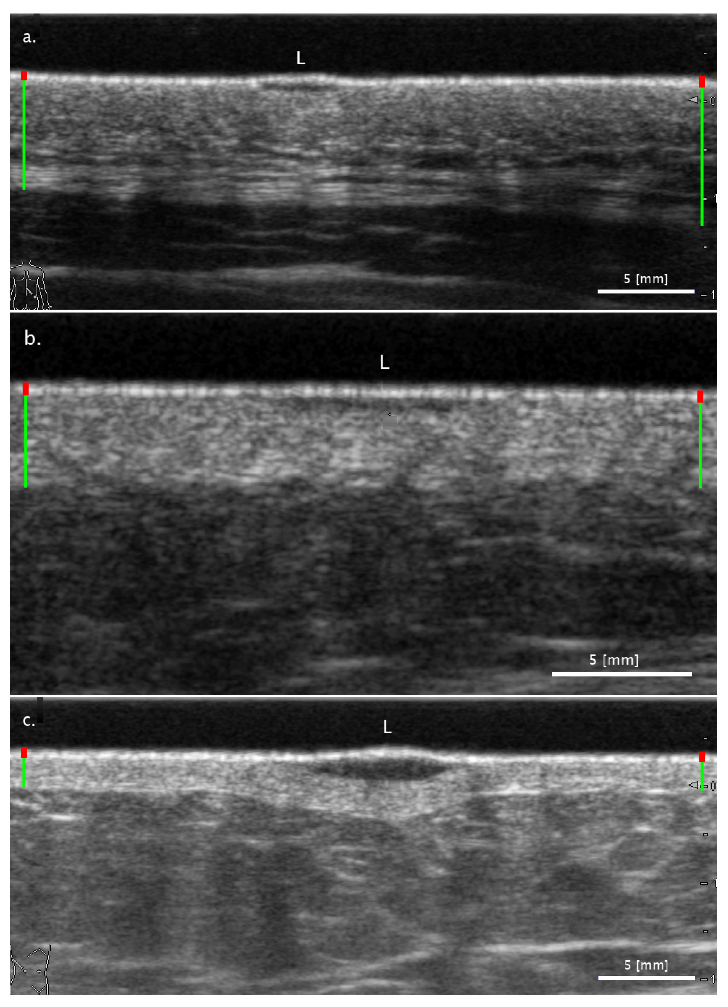
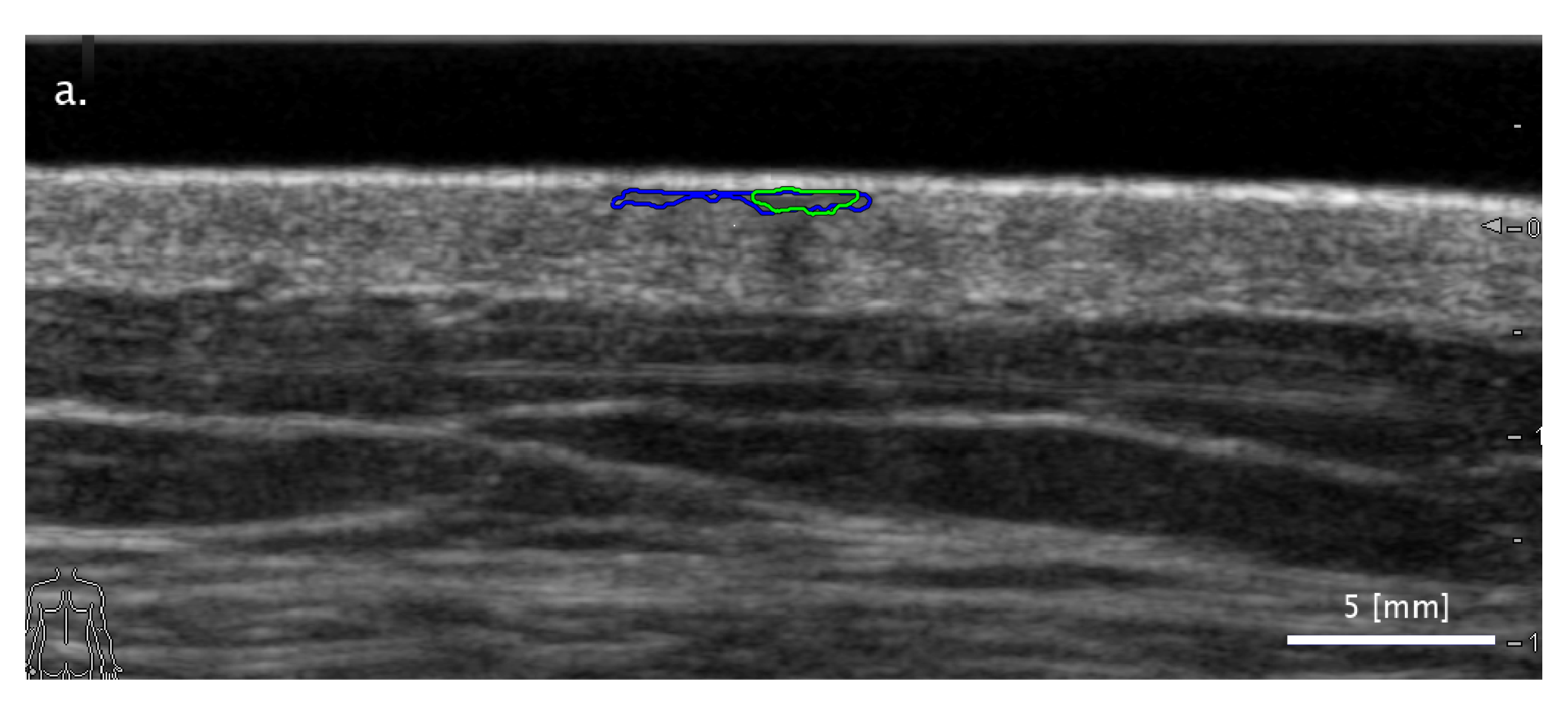
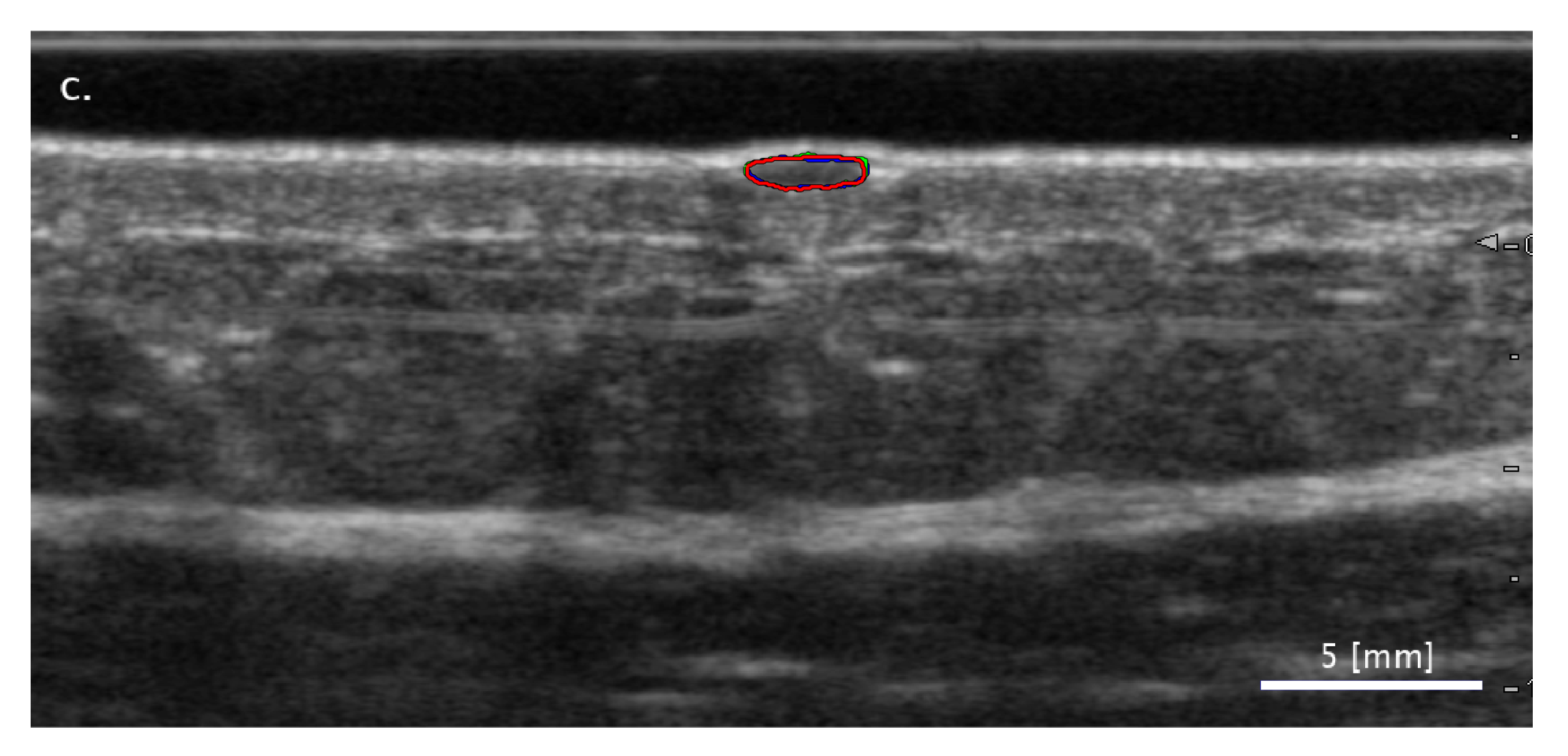
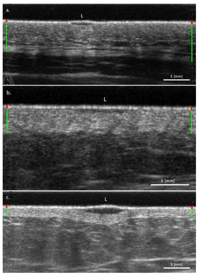
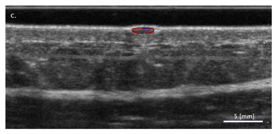
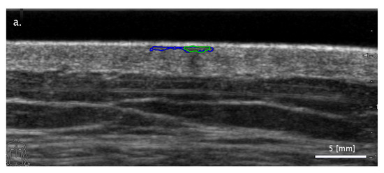
2.2. Segmentation
2.3. Feature Extraction
- Lesion region: all the pixels inside the lesion mask;
- Dermis region: pixels of the region of the dermis being right under the lesion mask;
- Lesion boundary: a lane of pixels being located within a fixed distance from the lesion mask boundary.
2.3.1. First-Order Textural Features
2.3.2. Second-Order Textural Features
2.3.3. Shape Features
2.4. Classification
| Algorithm 1: Skin lesion classification algorithm—Part I. Variables and Methods. |
| Inputs: N//where N is the number of ultrasound images collected //is the jth image collected (images are indexed by j) //is the lesion class of the jth image Outputs: , where //is the predicted class label of the jth image (nevus, BCC, MM, other) Parameters: //segmentation types: {FA, SA LAR, SA Freehand} //classification types: {‘Nevus vs. BCC’, ‘Nevus vs. MM’, ‘BCC vs. MM’, ‘Nevus vs. others’, ‘MM vs. others’, ‘BCC vs. others’} //is the lesion mask of the jth image //is the dermis mask of the jth image //is the feature vector of the jth image //is the kth group of feature vectors //is the kth group of label predictions of feature vectors Methods: //segmentation of lesion and dermis masks //first and second order textural & shape feature extraction, based on dermis and lesion crops //selects randomly 10 groups, with the same ratios of lesion types //image labeling based on the following classification types: ‘Nevus vs. others’, ‘MM vs. others’, ‘BCC vs. others’, ‘Nevus vs. BCC’, ‘Nevus vs. MM’, ‘BCC vs. MM’ //train SVM model, based on feature vector & label pair set //predict label for feature vector, using pre-defined SVM model //compute ACC & AUC values based on pre-defined and predicted labels |
2.5. Performance Metrics
| Algorithm 2: Skin lesion classification algorithm—Part II. Procedure. |
![]() |
3. Results and Discussion
3.1. Overview of Classification Performance
3.2. Comparison of FA and SA Classification Performance with Representative Images
3.2.1. Cases When FA Fails While SA Methods Perform Correctly
3.2.2. Cases When the Two SA Methods Return Different Classifications
3.2.3. Cases When the SA Methods Both Fail While the FA Method Performs Correctly
3.3. Sensitivity of Classification to Changes in Lesion Segmentation
3.4. Feature Performance
3.5. Runtime Measurements
4. Conclusions
Author Contributions
Funding
Institutional Review Board Statement
Informed Consent Statement
Acknowledgments
Conflicts of Interest
Abbreviations
| FA | fully-automated |
| SA | semi-automated |
| SVM | Support Vector Machine |
| ROC | receiver operating characteristic |
| AUC | area under the curve |
| ACC | classification accuracy |
| MM | malignant melanoma |
| BCC | basal cell carcinoma |
| CAD | Computer-Aided Diagnostic |
| DL | deep learning |
| MST | melanocytic skin tumor |
| NA | Not Available |
| LAR | largest area rectangle |
| ACM | active contour model |
| GLCM | gray level co-occurence matrix |
References
- American Cancer Society, Cancer Facts & Figures 2021. Available online: https://www.cancer.org/content/dam/cancer-org/research/cancer-facts-and-statistics/annual-cancer-facts-and-figures/2021/cancer-facts-and-figures-2021.pdf (accessed on 21 May 2021).
- Apalla, Z.; Lallas, A.; Sotiriou, E.; Lazaridou, E.; Ioannides, D. Epidemiological trends in skin cancer. Dermatol. Pract. Concept. 2017, 7. [Google Scholar] [CrossRef] [Green Version]
- Esteva, A.; Kuprel, B.; Novoa, R.A.; Ko, J.; Swetter, S.M.; Blau, H.M.; Thrun, S. Dermatologist-level classification of skin cancer with deep neural networks. Nature 2017, 542, 115–118. [Google Scholar] [CrossRef]
- Ha, Q.; Liu, B.; Liu, F. Identifying Melanoma Images using EfficientNet Ensemble: Winning Solution to the SIIM-ISIC Melanoma Classification Challenge. arXiv 2020, arXiv:2010.05351. [Google Scholar]
- Tiwari, K.A.; Raišutis, R.; Liutkus, J.; Valiukevičienė, S. Diagnostics of Melanocytic Skin Tumours by a Combination of Ultrasonic, Dermatoscopic and Spectrophotometric Image Parameters. Diagnostics 2020, 10, 632. [Google Scholar] [CrossRef] [PubMed]
- Edwards, C.; Al-Aboosi, M.; Marks, R. The use of A-scan ultrasound in the assessment of small skin tumours. Br. J. Dermatol. 1989, 121, 297–304. [Google Scholar] [CrossRef] [PubMed]
- Cammarota, T.; Pinto, F.; Magliaro, A.; Sarno, A. Current uses of diagnostic high-frequency US in dermatology. Eur. J. Radiol. 1998, 27, S215–S223. [Google Scholar] [CrossRef]
- Raju, B.I.; Swindells, K.J.; Gonzalez, S.; Srinivasan, M.A. Quantitative ultrasonic methods for characterization of skin lesions in vivo. Ultrasound Med. Biol. 2003, 29, 825–838. [Google Scholar] [CrossRef]
- Uhara, H.; Hayashi, K.; Koga, H.; Saida, T. Multiple Hypersonographic Spots in Basal Cell Carcinoma. Dermatol. Surg. 2007, 33, 1215–1219. [Google Scholar] [CrossRef]
- Samimi, M.; Perrinaud, A.; Naouri, M.; Maruani, A.; Perrodeau, E.; Vaillant, L.; Machet, L. High-resolution ultrasonography assists the differential diagnosis of blue naevi and cutaneous metastases of melanoma: Ultrasonography for differential diagnosis of naevi and melanoma metastases. Br. J. Dermatol. 2010, 163, 550–556. [Google Scholar] [CrossRef]
- Machet, L.; Samimi, M.; Georgesco, G.; Mourtada, Y.; Naouri, M.; Marc, J.; Ossant, F.; Patat, F.; Vaillant, L. High Resolution Ultrasound Imaging of Melanocytic and Other Pigmented Lesions of the Skin. Ultrasound Imaging 2011. [Google Scholar] [CrossRef] [Green Version]
- Wortsman, X. Sonography of the Primary Cutaneous Melanoma: A Review. Radiol. Res. Pract. 2012, 2012, 814396. [Google Scholar] [CrossRef] [PubMed] [Green Version]
- Mandava, A.; Ravuri, P.; Konathan, R. High-resolution ultrasound imaging of cutaneous lesions. Indian J. Radiol. Imaging 2013, 23, 269. [Google Scholar] [CrossRef] [PubMed]
- Piotrzkowska-Wroblewska, H.; Litniewski, J.; Szymanska, E.; Nowicki, A. Quantitative Sonography of Basal Cell Carcinoma. Ultrasound Med. Biol. 2015, 41, 748–759. [Google Scholar] [CrossRef]
- Dybiec, E.; Pietrzak, A.; Adamczyk, M.; Michalska-Jakubus, M.; Wawrzycki, B.; Lotti, T.; Rutkowski, P.; Krasowska, D. High frequency ultrasonography of the skin and its role as an auxillary tool in diagnosis of benign and malignant cutaneous tumors—A comparison of two clinical cases. Acta Dermatovenerol. Croat. ADC 2015, 23, 43–47. [Google Scholar] [PubMed]
- Bard, R.L. High-Frequency Ultrasound Examination in the Diagnosis of Skin Cancer. Dermatol. Clin. 2017, 35, 505–511. [Google Scholar] [CrossRef]
- Wortsman, X. Atlas of Dermatologic Ultrasound; Springer: Berlin/Heidelberg, Germany, 2018. [Google Scholar]
- Catalano, O.; Roldán, F.A.; Varelli, C.; Bard, R.; Corvino, A.; Wortsman, X. Skin cancer: Findings and role of high-resolution ultrasound. J. Ultrasound 2019, 22, 423–431. [Google Scholar] [CrossRef]
- Shankar, P.M.; Dumane, V.; Reid, J.M.; Genis, V.; Forsberg, F.; Piccoli, C.W.; Goldberg, B.B. Classification of ultrasonic B-mode images of breast masses using Nakagami distribution. IEEE Trans. Ultrason. Ferroelectr. Freq. Control. 2001, 48, 569–580. [Google Scholar] [CrossRef]
- Chen, C.M.; Chou, Y.H.; Han, K.C.; Hung, G.S.; Tiu, C.M.; Chiou, H.J.; Chiou, S.Y. Breast lesions on sonograms: Computer-aided diagnosis with nearly setting-independent features and artificial neural networks. Radiology 2003, 226, 504–514. [Google Scholar] [CrossRef]
- Singh, B.K.; Verma, K.; Thoke, A. Fuzzy cluster based neural network classifier for classifying breast tumors in ultrasound images. Expert Syst. Appl. 2016, 66, 114–123. [Google Scholar] [CrossRef]
- Prabusankarlal, K.M.; Thirumoorthy, P.; Manavalan, R. Assessment of combined textural and morphological features for diagnosis of breast masses in ultrasound. Hum. Centric Comput. Inf. Sci. 2015, 5, 1–17. [Google Scholar] [CrossRef] [Green Version]
- Sahiner, B.; Chan, H.P.; Roubidoux, M.A.; Hadjiiski, L.M.; Helvie, M.A.; Paramagul, C.; Bailey, J.; Nees, A.V.; Blane, C. Malignant and benign breast masses on 3D US volumetric images: Effect of computer-aided diagnosis on radiologist accuracy. Radiology 2007, 242, 716–724. [Google Scholar] [CrossRef] [PubMed] [Green Version]
- Han, S.; Kang, H.K.; Jeong, J.Y.; Park, M.H.; Kim, W.; Bang, W.C.; Seong, Y.K. A deep learning framework for supporting the classification of breast lesions in ultrasound images. Phys. Med. Biol. 2017, 62, 7714. [Google Scholar] [CrossRef] [PubMed]
- Acharya, U.R.; Faust, O.; Sree, S.V.; Molinari, F.; Suri, J.S. ThyroScreen system: High resolution ultrasound thyroid image characterization into benign and malignant classes using novel combination of texture and discrete wavelet transform. Comput. Methods Programs Biomed. 2012, 107, 233–241. [Google Scholar] [CrossRef] [PubMed]
- Acharya, U.R.; Chowriappa, P.; Fujita, H.; Bhat, S.; Dua, S.; Koh, J.E.; Eugene, L.; Kongmebhol, P.; Ng, K.H. Thyroid lesion classification in 242 patient population using Gabor transform features from high resolution ultrasound images. Knowl. Based Syst. 2016, 107, 235–245. [Google Scholar] [CrossRef]
- Chi, J.; Walia, E.; Babyn, P.; Wang, J.; Groot, G.; Eramian, M. Thyroid nodule classification in ultrasound images by fine-tuning deep convolutional neural network. J. Digit. Imaging 2017, 30, 477–486. [Google Scholar] [CrossRef] [PubMed]
- Sharifi, Y.; Bakhshali, M.A.; Dehghani, T.; Danai Ashgzari, M.; Sargolzaei, M.; Eslami, S. Deep learning on ultrasound images of thyroid nodules. Biocybern. Biomed. Eng. 2021, 41, 636–655. [Google Scholar] [CrossRef]
- Virmani, J.; Kumar, V.; Kalra, N.; Khandelwal, N. SVM-based characterization of liver ultrasound images using wavelet packet texture descriptors. J. Digit. Imaging 2013, 26, 530–543. [Google Scholar] [CrossRef] [Green Version]
- Acharya, U.R.; Fujita, H.; Sudarshan, V.K.; Mookiah, M.R.K.; Koh, J.E.; Tan, J.H.; Hagiwara, Y.; Chua, C.K.; Junnarkar, S.P.; Vijayananthan, A.; et al. An integrated index for identification of fatty liver disease using radon transform and discrete cosine transform features in ultrasound images. Inf. Fusion 2016, 31, 43–53. [Google Scholar] [CrossRef]
- Huang, Q.; Zhang, F.; Li, X. Machine learning in ultrasound computer-aided diagnostic systems: A survey. BioMed Res. Int. 2018, 2018, 5137904. [Google Scholar] [CrossRef]
- Wang, B.; Liu, M.; Zhu, M.; Eisenbrey, J. Artificial intelligence in ultrasound imaging: Current research and applications. Dep. Radiol. Fac. Pap. 2019, 75, 53–61. [Google Scholar]
- Zhou, B.; Yang, X.; Liu, T. Artificial Intelligence in Quantitative Ultrasound Imaging: A Review. arXiv 2020, arXiv:2003.11658. [Google Scholar]
- Junaid, M.J.A.; Kumar, R. Data Science is all Set to Revolutionize the Ultrasound Diagnosis in Medical Health Care. In Proceedings of the 2020 International Conference on Computation, Automation and Knowledge Management (ICCAKM), Dubai, United Arab Emirates, 9–10 January 2020; pp. 73–78. [Google Scholar]
- Wang, S. Applications of Automated Machine Learning Diagnosis in Medical Ultrasound. Master’s Thesis, Drexel University, Philadelphia, PA, USA, 2020. [Google Scholar]
- McDermott, C.; Lacki, M.B.; Sainsbury, B.; Henry, J.; Filippov, M.; Rossa, C. Sonographic diagnosis of COVID-19: A review of image processing for lung ultrasound. Front. Big Data 2021, 4, 2. [Google Scholar] [CrossRef]
- Narayanamurthy, V.; Padmapriya, P.; Noorasafrin, A.; Pooja, B.; Hema, K.; Firus Khan, A.Y.; Nithyakalyani, K.; Samsuri, F. Skin cancer detection using non-invasive techniques. RSC Adv. 2018, 8, 28095–28130. [Google Scholar] [CrossRef] [Green Version]
- Heibel, H.D.; Hooey, L.; Cockerell, C.J. A Review of Noninvasive Techniques for Skin Cancer Detection in Dermatology. Am. J. Clin. Dermatol. 2020, 21, 513–524. [Google Scholar] [CrossRef] [PubMed]
- Bhatta, A.K.; Keyal, U.; Liu, Y. Application of high frequency ultrasound in dermatology. Discov. Med. 2018, 26, 237–242. [Google Scholar] [PubMed]
- Dinnes, J.; Bamber, J.; Chuchu, N.; Bayliss, S.E.; Takwoingi, Y.; Davenport, C.; Godfrey, K.; O’Sullivan, C.; Matin, R.N.; Deeks, J.J.; et al. High-frequency ultrasound for diagnosing skin cancer in adults. Cochrane Database Syst. Rev. 2018. [Google Scholar] [CrossRef]
- Harland, C.; Bamber, J.; Gusterson, B.; Mortimer, P. High frequency, high resolution B-scan ultrasound in the assessment of skin tumours. Br. J. Dermatol. 1993, 128, 525–532. [Google Scholar] [CrossRef]
- Dummer, W. Preoperative Characterization of Pigmented Skin Lesions by Epiluminescence Microscopy and High-Frequency Ultrasound. Arch. Dermatol. 1995, 131, 279. [Google Scholar] [CrossRef]
- Lassau, N.; Spatz, A.; Avril, M.F.; Tardivon, A.; Margulis, A.; Mamelle, G.; Vanel, D.; Leclere, J. Value of high-frequency US for preoperative assessment of skin tumors. Radio Graph. 1997, 17, 1559–1565. [Google Scholar] [CrossRef] [Green Version]
- Harland, C.; Kale, S.; Jackson, P.; Mortimer, P.; Bamber, J. Differentiation of common benign pigmented skin lesions from melanoma by high-resolution ultrasound. Br. J. Dermatol. 2000, 143, 281–289. [Google Scholar] [CrossRef]
- Clément, A.; Hoeffel, C.; Fayet, P.; Benkanoun, S.; Sahut D’izarn, J.; Oudjit, A.; Legmann, P.; Gorin, I.; Escande, J.; Bonnin, A. Value of high frequency (20 mhZ) and doppler ultrasound in the diagnosis of pigmented cutaneous tumors. J. Radiol. 2001, 82, 563–571. [Google Scholar] [PubMed]
- Bessoud, B.; Lassau, N.; Koscielny, S.; Longvert, C.; Avril, M.F.; Duvillard, P.; Rouffiac, V.; Leclère, J.; Roche, A. High-frequency sonography and color Doppler in the management of pigmented skin lesions. Ultrasound Med. Biol. 2003, 29, 875–879. [Google Scholar] [CrossRef]
- Rallan, D.; Bush, N.L.; Bamber, J.C.; Harland, C.C. Quantitative Discrimination of Pigmented Lesions Using Three-Dimensional High-Resolution Ultrasound Reflex Transmission Imaging. J. Investig. Dermatol. 2007, 127, 189–195. [Google Scholar] [CrossRef] [PubMed]
- Csabai, D.; Szalai, K.; Gyongy, M. Automated classification of common skin lesions using bioinspired features. In Proceedings of the 2016 IEEE International Ultrasonics Symposium (IUS), Tours, France, 18–21 September 2016; pp. 1–4. [Google Scholar] [CrossRef]
- Andrėkutė, K.; Linkevičiūtė, G.; Raišutis, R.; Valiukevičienė, S.; Makštienė, J. Automatic Differential Diagnosis of Melanocytic Skin Tumors Using Ultrasound Data. Ultrasound Med. Biol. 2016, 42, 2834–2843. [Google Scholar] [CrossRef]
- Kia, S.; Setayeshi, S.; Shamsaei, M.; Kia, M. Computer-aided diagnosis (CAD) of the skin disease based on an intelligent classification of sonogram using neural network. Neural Comput. Appl. 2013, 22, 1049–1062. [Google Scholar] [CrossRef]
- Kia, S.; Setayeshi, S.; Pouladian, M.; Ardehali, S.H. Early diagnosis of skin cancer by ultrasound frequency analysis. J. Appl. Clin. Med. Phys. 2019, 20, 153–168. [Google Scholar] [CrossRef]
- Marosán, P.; Szalai, K.; Csabai, D.; Csány, G.; Horváth, A.; Gyöngy, M. Automated seeding for ultrasound skin lesion segmentation. Ultrasonics 2021, 110, 106268. [Google Scholar] [CrossRef]
- Levell, N.J.; Jones, S.K.; Bunker, C.B. Dermatology. Royal College of Physicians. 2013. Available online: https://www.bad.org.uk/library-media/documents/consultant%20physicians%20working%20with%20patients%202013.pdf (accessed on 21 May 2021).
- Sciolla, B.; Cowell, L.; Dambry, T.; Guibert, B.; Delachartre, P. Segmentation of Skin Tumors in High-Frequency 3-D Ultrasound Images. Ultrasound Med. Biol. 2017, 43, 227–238. [Google Scholar] [CrossRef]
- Nguyen, K.L.; Delachartre, P.; Berthier, M. Multi-Grid Phase Field Skin Tumor Segmentation in 3D Ultrasound Images. IEEE Trans. Image Process. 2019, 28, 3678–3687. [Google Scholar] [CrossRef]
- Marosán, P. Detection of Myocardial Infarction in Echocardiograms. Master’s Thesis, Pázmány Péter Catholic University, Budapest, Hungary, 2016. [Google Scholar]
- Haralick, R.M.; Shanmugam, K.; Dinstein, I. Textural Features for Image Classification. IEEE Trans. Syst. Man Cybern. 1973, SMC-3, 610–621. [Google Scholar] [CrossRef] [Green Version]
- Soh, L.K.; Tsatsoulis, C. Texture analysis of SAR sea ice imagery using gray level co-occurrence matrices. IEEE Trans. Geosci. Remote Sens. 1999, 37, 780–795. [Google Scholar] [CrossRef] [Green Version]
- Uppuluri, A. Avinash Uppuluri (2016). GLCM Texture Features, MATLAB Central File Exchange. Retrieved July. 2016. Available online: https://www.mathworks.com/matlabcentral/fileexchange/22187-glcm-texture-features (accessed on 20 June 2021).
- Manthiri, A.S. Avinash Uppuluri (2017). Multi Class SVM, MATLAB Central File Exchange. Retrieved July. 2017. Available online: https://www.mathworks.com/matlabcentral/fileexchange/62061-multi-class-svm (accessed on 20 June 2021).
- Su, J.; Vargas, D.V.; Sakurai, K. One pixel attack for fooling deep neural networks. IEEE Trans. Evol. Comput. 2019, 23, 828–841. [Google Scholar] [CrossRef] [Green Version]
- Wang, M.; Deng, W. Deep visual domain adaptation: A survey. Neurocomputing 2018, 312, 135–153. [Google Scholar] [CrossRef] [Green Version]











| Lesions Compared | Features Used | Performance AUC/Sens./Spec. | Ref. |
|---|---|---|---|
| nevi vs. MM | acoustic shadowing, dermal echo ratio mean & std echogenicity, entry echo line | NA/100%/<30% | [44] |
| BCC vs. others | high frequency and Doppler ultrasound | NA/91%/14% | [45] |
| MM vs. others | echostructure, homogeneity, lesion margin Color Doppler, intralesional vessels | NA/100%/32% NA/100%/34% | [46] [46] |
| nevi vs. MM | surface & intra-lesional reflectance attenuation, param. relative uniformity | NA/100%/55% | [47] |
| nevi vs. cancerous | shape & texture features | 86%/100%/19% | [48] |
| BCC vs. nevi | shape & texture features | 90%/100%/45% | [48] |
| MM vs. MST | acoustical, textural & shape features | 89%/85%/79% | [49] |
| Feature | Idx | Reference/Description |
|---|---|---|
| First-order textural features (Attenuation, Contrast, Boundary, Statistical features) | ||
| Attenuation | [48] | |
| Attenuation | 1 | |
| Contrast of attenuation | 2 | |
| Heterogeneity of attenuation | 3 | |
| Contrast | [48] | |
| Lesion contrast-based heterogeneity | 4 | |
| Mean lesion contrast | 5 | |
| Boundary | ||
| Mean boundary | 6 | [48] |
| Boundary heterogeneity | 7 | |
| Boundary contrast | 8 | |
| Boundary heterogeneity contrast | 9 | |
| Boundary-lesion contrast | 10 | |
| Dermis-lesion heterogeneity contrast | 11 | |
| Boundary-lesion heterogeneity contrast | 12 | |
| Statistical features | ||
| Skewness | 13 | |
| Kurtosis | 14 | |
| Entropy | 15 | |
| Shape features | ||
| Standard deviation of curvature | 16 | [48] |
| Circularity | 17 | [48] |
| Axis ratio | 18 | |
| PA ratio | 19 | |
| Compactness | 20 | |
| Second-order (GLCM) textural features | [57,58,59] | |
| Contrast | 21, 29, 42, 50 | |
| Correlation I. | 22, 30, 43, 51 | |
| Correlation II. | 23, 31, 44, 52 | |
| Dissimilarity | 24, 32, 45, 53 | |
| Energy | 33, 54 | |
| Entropy | 34, 55 | |
| Homogeneity I. | 35, 56 | |
| Homogeneity II. | 36, 57 | |
| Maximum probability | 25, 37, 46, 58 | |
| Difference variance | 26, 38, 47, 59 | |
| Difference entropy | 27, 39, 48, 60 | |
| Information measure of correlation I. | 28, 40, 49, 61 | |
| Information measure of correlation II. | 41, 62 | |
| List of symbols | ||
| avg—average | ||
| std—standard deviation | ||
| L—Lesion region (all the pixels inside the lesion mask) | ||
| D—Dermis region (pixels of the region of the dermis being right under the lesion mask) | ||
| LB—Lesion boundary (a lane of pixels being located within a fixed distance from the | ||
| lesion mask edges) | ||
| Ma—length of major axis of the lesion mask | ||
| ma—length of minor axis of the lesion mask | ||
| P—perimeter of lesion mask | ||
| A—area of lesion mask | ||
| AUC | SA Segmentation | SA Segmentation | FA Segmentation |
|---|---|---|---|
| (Binary) | (Freehand) | (LAR) | |
| Nevus vs. others | 0.921 | 0.953 | 0.914 |
| MM vs. others | 0.786 | 0.758 | 0.750 |
| BCC vs. others | 0.857 | 0.858 | 0.840 |
| Nevus vs. BCC | 0.930 | 0.957 | 0.921 |
| Nevus vs. MM | 0.925 | 0.933 | 0.896 |
| BCC vs. MM | 0.764 | 0.735 | 0.783 |
| Mean ACC | SA Segmentation | SA Segmentation | FA Segmentation |
|---|---|---|---|
| (Binary/Multiclass) | (Freehand) | (LAR) | |
| Nevus vs. others | 0.842/0.881 | 0.881/0.839 | 0.848/0.855 |
| MM vs. others | 0.777/0.752 | 0.784/0.768 | 0.761/0.777 |
| BCC vs. others | 0.784/0.781 | 0.784/0.781 | 0.765/0.713 |
| Nevus vs. BCC | 0.879/0.808 | 0.892/0.792 | 0.850/0.750 |
| Nevus vs. MM | 0.850/0.661 | 0.850/0.667 | 0.811/0.689 |
| BCC vs. MM | 0.705/0.625 | 0.670/0.635 | 0.745/0.620 |
| a. | |||||||||||
|---|---|---|---|---|---|---|---|---|---|---|---|
| Nevus vs. Others | MM vs. Others | BCC vs. Others | Nevus vs. BCC | Nevus vs. MM | BCC vs. MM | ||||||
| idx | AUC | idx | AUC | idx | AUC | idx | AUC | idx | AUC | idx | AUC |
| 18 | 0.910 | 18 | 0.738 | 15 | 0.850 | 20 | 0.927 | 18 | 0.866 | 11 | 0.738 |
| 15 | 0.913 | 7 | 0.777 | 4 | 0.850 | 49 | 0.927 | 7 | 0.905 | 4 | 0.747 |
| 13 | 0.918 | 34 | 0.780 | 9 | 0.851 | 2 | 0.928 | 20 | 0.908 | 26 | 0.749 |
| 7 | 0.918 | 32 | 0.780 | 32 | 0.854 | 10 | 0.928 | 9 | 0.909 | 17 | 0.752 |
| ... | ... | ... | ... | ... | ... | ||||||
| 55 | 0.929 | 11 | 0.794 | 14 | 0.864 | 55 | 0.937 | 4 | 0.930 | 18 | 0.771 |
| b. | |||||||||||
| Nevus vs. Others | MM vs. Others | BCC vs. Others | Nevus vs. BCC | Nevus vs. MM | BCC vs. MM | ||||||
| idx | ACC | idx | ACC | idx | ACC | idx | ACC | idx | ACC | idx | ACC |
| 20 | 0.826 | 1 | 0.771 | 15 | 0.768 | 6 | 0.875 | 18 | 0.789 | 13 | 0.680 |
| 18 | 0.832 | 8 | 0.771 | 34 | 0.774 | 15 | 0.875 | 8 | 0.828 | 7 | 0.690 |
| 41 | 0.832 | 11 | 0.771 | 6 | 0.777 | 21 | 0.879 | 13 | 0.833 | 21 | 0.690 |
| 43 | 0.832 | 20 | 0.771 | 8 | 0.777 | 26 | 0.879 | 15 | 0.839 | 26 | 0.690 |
| ... | ... | ... | ... | ... | ... | ||||||
| 9 | 0.868 | 26 | 0.784 | 39 | 0.790 | 8 | 0.896 | 19 | 0.861 | 5 | 0.725 |
| Method | Runtime Environment | Mean Runtime [s] |
|---|---|---|
| segmentation | ||
| lesion detection | Python 3.7 | 2.209 |
| border segmentation | MATLAB | 2.414 |
| feature extraction | MATLAB | 0.377 |
| binary classification | ||
| training (lesion class vs. others) | MATLAB | 3.129 |
| training (class 1 vs. class 2) | MATLAB | 2.043 |
| prediction | MATLAB | 0.002 |
Publisher’s Note: MDPI stays neutral with regard to jurisdictional claims in published maps and institutional affiliations. |
© 2021 by the authors. Licensee MDPI, Basel, Switzerland. This article is an open access article distributed under the terms and conditions of the Creative Commons Attribution (CC BY) license (https://creativecommons.org/licenses/by/4.0/).
Share and Cite
Marosán-Vilimszky , P.; Szalai , K.; Horváth , A.; Csabai , D.; Füzesi , K.; Csány , G.; Gyöngy , M. Automated Skin Lesion Classification on Ultrasound Images. Diagnostics 2021, 11, 1207. https://doi.org/10.3390/diagnostics11071207
Marosán-Vilimszky P, Szalai K, Horváth A, Csabai D, Füzesi K, Csány G, Gyöngy M. Automated Skin Lesion Classification on Ultrasound Images. Diagnostics. 2021; 11(7):1207. https://doi.org/10.3390/diagnostics11071207
Chicago/Turabian StyleMarosán-Vilimszky , Péter, Klára Szalai , András Horváth , Domonkos Csabai , Krisztián Füzesi , Gergely Csány , and Miklós Gyöngy . 2021. "Automated Skin Lesion Classification on Ultrasound Images" Diagnostics 11, no. 7: 1207. https://doi.org/10.3390/diagnostics11071207
APA StyleMarosán-Vilimszky , P., Szalai , K., Horváth , A., Csabai , D., Füzesi , K., Csány , G., & Gyöngy , M. (2021). Automated Skin Lesion Classification on Ultrasound Images. Diagnostics, 11(7), 1207. https://doi.org/10.3390/diagnostics11071207


