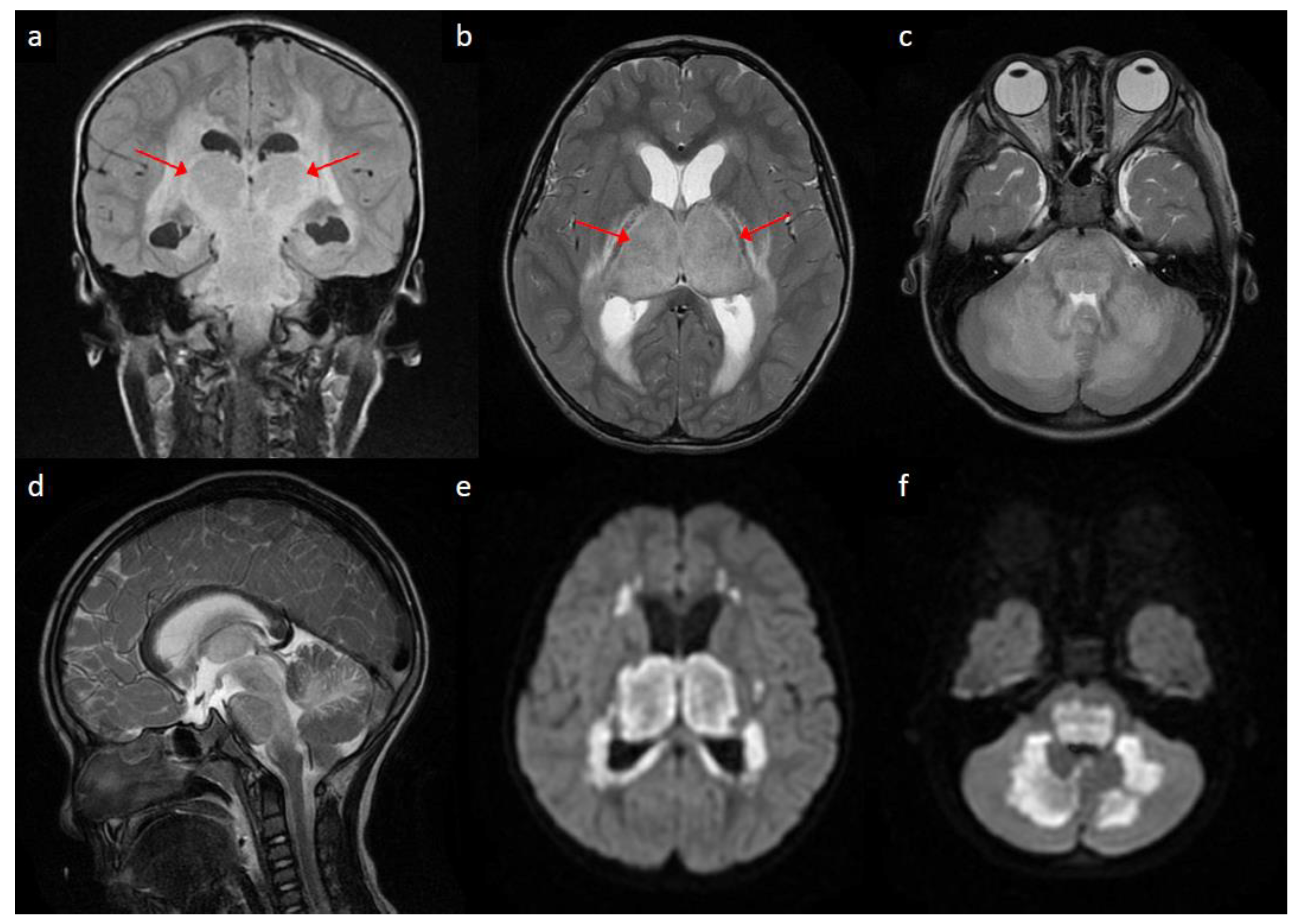
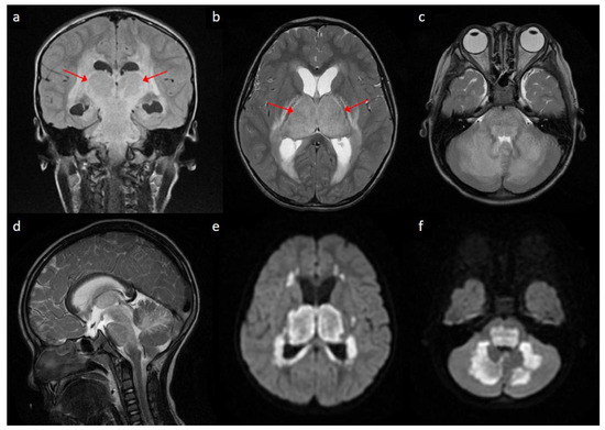
Acute Necrotizing Encephalopathy in a Four-Year-Old Boy
Abstract
Author Contributions
Funding
Institutional Review Board Statement
Informed Consent Statement
Conflicts of Interest
References
- Gudowius, S.; Messing-Jünger, M.; Reifenberger, G.; Engelbrecht, V.; Gärtner, J. Diagnostic difficulties in childhood bilateral thalamic astrocytomas. Neuropediatrics 2002, 33, 331–335. [Google Scholar] [CrossRef] [PubMed]
- Alves, C.A.P.F.; Teixeira, S.R.; Martin-Saavedra, J.S.; Gonçalves, F.G.; Russo, F.L.; Muraresku, C.; McCormick, E.M.; Falk, M.J.; Zolkipli-Cunningham, Z.; Ganetzky, R.; et al. Pediatric leigh syndrome: Neuroimaging features and genetic correlations. Ann. Neurol. 2020, 88, 218–232. [Google Scholar] [CrossRef] [PubMed]
- Leach, J.L.; Fortuna, R.B.; Jones, B.V.; Gaskill-Shipley, M.F. Imaging of cerebral venous thrombosis: Current techniques, spectrum of findings, and diagnostic pitfalls. Radiographics 2006, 26 (Suppl. 1), S19–S41. [Google Scholar] [CrossRef] [PubMed]
- Keng, L.-T.; Chang, L.-Y. Japanese encephalitis. Can. Med. Assoc. J. 2018, 190, E657. [Google Scholar] [CrossRef] [PubMed]
- Uluğ, A.M.; Truong, T.N.; Filippi, C.G.; Chun, T.; Lee, J.K.; Yang, C.; Souweidane, M.M.; Zimmerman, R.D. Diffusion imaging in obstructive hydrocephalus. Am. J. Neuroradiol. 2003, 24, 1171–1176. [Google Scholar] [PubMed]
- Larsh, T.; Hsich, G. Temporal course of imaging and laboratory findings in a child with fulminant acute necrotizing encephalopathy. Pediatr. Neurol. 2020, 102, 74–75. [Google Scholar] [CrossRef] [PubMed]
- Ormitti, F.; Ventura, E.; Summa, A.; Picetti, E.; Crisi, G. Acute necrotizing encephalopathy in a child during the 2009 Influenza A(H1N1) pandemia: MR imaging in diagnosis and follow-up. Am. J. Neuroradiol. 2010, 31, 396–400. [Google Scholar] [CrossRef] [PubMed]
- Mizuguchi, M. Acute necrotizing encephalopathy of childhood novel form of acute encephalopathy prevalent in Japan and Taiwan. Brain Dev. 1997, 19, 81–92. [Google Scholar] [CrossRef]
- Marco, E.J.; Anderson, J.E.; Neilson, D.E.; Strober, J.B. Acute necrotizing encephalopathy in 3 brothers. Pediatrics 2010, 125, e693–e698. [Google Scholar] [CrossRef] [PubMed]
- Singh, R.R.; Sedani, S.; Lim, M.; Wassmer, E.; Absoud, M. RANBP2 mutation and acute necrotizing encephalopathy: 2 cases and a literature review of the expanding clinico-radiological phenotype. Eur. J. Paediatr. Neurol. 2015, 19, 106–113. [Google Scholar] [CrossRef] [PubMed]
- Sanders, P.J.; A Van Waardenburg, D.; Vermeulen, R.J. Influenza A-associated acute necrotising encephalopathy in a 10-year-old child. BMJ Case Rep. 2020, 13, e233541. [Google Scholar] [CrossRef] [PubMed]
- Virhammar, J.; Kumlien, E.; Fällmar, D.; Frithiof, R.; Jackmann, S.; Sköld, M.K.; Kadir, M.; Frick, J.; Lindeberg, J.; Olivero-Reinius, H.; et al. Acute necrotizing encephalopathy with SARS-CoV-2 RNA confirmed in cerebrospinal fluid. Neurology 2020, 95, 445–449. [Google Scholar] [CrossRef]

Publisher’s Note: MDPI stays neutral with regard to jurisdictional claims in published maps and institutional affiliations. |
© 2021 by the authors. Licensee MDPI, Basel, Switzerland. This article is an open access article distributed under the terms and conditions of the Creative Commons Attribution (CC BY) license (http://creativecommons.org/licenses/by/4.0/).
Share and Cite
Tsai, C.-H.; Lin, W.-S. Acute Necrotizing Encephalopathy in a Four-Year-Old Boy. Diagnostics 2021, 11, 568. https://doi.org/10.3390/diagnostics11030568
Tsai C-H, Lin W-S. Acute Necrotizing Encephalopathy in a Four-Year-Old Boy. Diagnostics. 2021; 11(3):568. https://doi.org/10.3390/diagnostics11030568
Chicago/Turabian StyleTsai, Cheng-Hsien, and Wei-Sheng Lin. 2021. "Acute Necrotizing Encephalopathy in a Four-Year-Old Boy" Diagnostics 11, no. 3: 568. https://doi.org/10.3390/diagnostics11030568
APA StyleTsai, C.-H., & Lin, W.-S. (2021). Acute Necrotizing Encephalopathy in a Four-Year-Old Boy. Diagnostics, 11(3), 568. https://doi.org/10.3390/diagnostics11030568

