Parvovirus B19 in Pregnancy—Do We Screen for Fifth Disease or Not?
Abstract
1. Introduction
2. Materials and Methods
3. Taxonomy
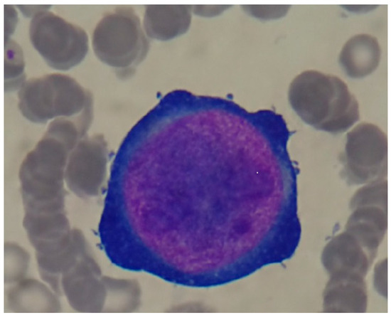
4. Epidemiology and Transmission
5. Clinical Presentation
6. Parvovirus B19 Infection During Pregnancy—Pathogenesis of Maternal–Fetal Impairment
- Spontaneous abortion: parvovirus-infected fetuses’ spontaneous loss rate before 20 weeks of gestation is 13%, and after this gestational age, the rate drops to 0.5%. The reason for this difference is not known, but one large study suggests that it may be related to multisystem damage, which may appear even in the absence of anemia or hydrops [10,15].
- Non-immune hydrops, often recognized as the most prevalent and visible sign of congenital infection, primarily present as fetal hydrops. The likelihood of hydrops development is closely associated with the gestational age at which maternal infection occurs. If the infection arises within the first 12 weeks of gestation, the risk of hydrops ranges from less than 5% to approximately 10%. During the 13th to 20th week, this risk diminishes to 5% or lower, and after the 20th week, it further declines to 1% or less [9,10,16]. When hydrops occurs in the fetus, sonographic indicators typically include ascites, skin edema, pleural and pericardial effusions, and placental edema. Mechanisms implicated in hydrops formation involve fetal anemia, caused by a transplacental viral infection that affects red cell progenitors in the fetal bone marrow. The shorter lifespan of fetal red blood cells, particularly during the liver stage of hematopoiesis, exacerbates anemia, leading to hypoxia and increased cardiac output, potentially resulting in heart failure. Additional factors include fetal viral myocarditis, which can lead to cardiac failure, and compromised liver function due to both direct hepatocyte damage and indirect injury from hemosiderin deposition [5,7,9,10,17,18].
- Long-term neonatal effects: studies examining the long-term impact of maternal parvovirus B19 infection on infants indicate that most newborns do not experience lasting adverse effects, though further research is warranted [5,9]. In a study by Miller et al., no increased risk of adverse outcomes was observed in children of mothers with parvovirus infection during pregnancy, assessed at 1 year (182 children) and 7–10 years (129 children) [5]. Conversely, research by Nagel et al. found abnormal neurodevelopment in 5 of 16 infants who had undergone intrauterine blood transfusions for parvovirus B19 infection [5]. Parvovirus infection alone, in the absence of hydrops or significant fetal anemia, does not seem to be linked with long-term neurological issues; however, severe anemia and fetal hydrops may independently increase the risk of neurological sequelae. Brain imaging studies could be considered for neonates diagnosed with severe anemia and hydrops [5,8]. Additionally, parvovirus-related myocarditis can lead to severe dilated cardiomyopathy, sometimes requiring heart transplant surgery [5,9,10].
7. Parvovirus B19 Infection During Pregnancy—Diagnosis of Maternal–Fetal Infection
7.1. Diagnosis of Maternal Infection
7.2. Diagnosis of Fetal Infection
- Higher detection rate: Amniotic fluid provides a higher detection rate for B19V DNA compared to fetal cord blood. This means that the virus is more likely to be identified in the amniotic fluid, leading to a more accurate diagnosis.
- Hess invasive: Amniocentesis is considered less invasive than cordocentesis (fetal blood sampling). It involves inserting a thin needle through the mother’s abdomen and uterus to collect a small sample of amniotic fluid, while cordocentesis requires accessing the umbilical cord, which carries a slightly higher risk of complications.
7.3. Implications of Antibody Determination in the Context of Anemia with Reticulocytopenia
8. Pregnancy Management
9. Should Parvovirus B19 Infection Be Included in Routine Screening of Pregnant Patients?
- Low Risk: Most infections are mild or asymptomatic, and serious complications are rare.
- No Prevention: There is no vaccine or treatment to prevent infection or transmission to the fetus.
- Costly: Universal screening would be expensive and may not be a good use of resources.
- Logistical Challenges: Screening and monitoring require significant healthcare infrastructure.
- False Positives: Inaccurate test results can cause unnecessary anxiety and invasive procedures.
- High-Risk Occupations: Healthcare workers, daycare providers, and teachers have increased exposure risk.
- Previous Complications: Women with a history of parvovirus-related pregnancy problems.
- Investigation for parvovirus B19 infection is advised as part of standard screening for hydrops fetalis or intrauterine fetal death (II-2A).
- Routine testing for parvovirus immunity in low-risk pregnancies is not recommended (II-2E).
- Pregnant women who have been exposed to or exhibit symptoms of parvovirus B19 infection should be assessed to determine their susceptibility to infection (non-immune) or whether they have an active infection by evaluating their immunoglobulin G and immunoglobulin M levels for parvovirus B19 (II-2A).
- If immunoglobulin G for parvovirus B19 is detected and immunoglobulin M is negative, the woman is considered immune and can be reassured that she will not develop the infection and that the virus will not adversely affect her pregnancy (II-2A).
- If both immunoglobulin G and immunoglobulin M for parvovirus B19 are negative (and the incubation period has passed), the woman is not immune and has not contracted the infection. She should be advised to minimize exposure at work and at home, with decisions regarding absence from work made on a case-by-case basis (II-2C). Further research is encouraged to explore strategies for minimizing exposure, particularly concerning occupational risks (III-A).
- If a woman is diagnosed with a recent parvovirus B19 infection, a referral to an obstetrician or maternal–fetal medicine specialist should be considered (III-B). She should be counseled regarding the risks of fetal transmission, fetal loss, and hydrops. Serial ultrasounds should be conducted every 1–2 weeks for up to 12 weeks post-infection to monitor for signs of anemia (using Doppler measurement of maximum middle cerebral artery systolic velocity) and hydrops (III-B). If hydrops or evidence of fetal anemia is detected, a referral should be made to a specialist capable of performing fetal blood sampling and intrauterine transfusions (II-2B).
10. Conclusions
Author Contributions
Funding
Institutional Review Board Statement
Informed Consent Statement
Data Availability Statement
Conflicts of Interest
References
- Auriti, C.; De Rose, D.U.; Santisi, A.; Martini, L.; Piersigilli, F.; Bersani, I.; Ronchetti, M.P.; Caforio, L. Pregnancy and viral infections: Mechanisms of fetal damage, diagnosis and prevention of neonatal adverse outcomes from cytomegalovirus to SARS-CoV-2 and Zika virus. Biochim. Biophys. Acta Mol. Basis Dis. 2021, 1867, 166198. [Google Scholar] [CrossRef] [PubMed] [PubMed Central]
- Leung, K.K.Y.; Hon, K.L.; Yeung, A.; Leung, A.K.C.; Man, E. Congenital infections in Hong Kong: An overview of TORCH. Med. J. 2020, 26, 127–138. [Google Scholar] [CrossRef] [PubMed]
- Neu, N.; Duchon, J.; Zachariah, P. TORCH infections. Clin. Perinatol. 2015, 42, 77–103. [Google Scholar] [CrossRef] [PubMed]
- Wilson, R.D. Acute Perinatal Infection and the Evidenced-Based Risk of Intrauterine Diagnostic Testing: A Structured Review. Fetal Diagn. Ther. 2020, 47, 653–664. [Google Scholar] [CrossRef] [PubMed]
- Gigi, C.E.; Anumba, D.O.C. Parvovirus b19 infection in pregnancy—A review. Eur. J. Obstet. Gynecol. Reprod. Biol. 2021, 264, 358–362. [Google Scholar] [CrossRef] [PubMed]
- Waring, G.J. Parvovirus B19 infection: Timely diagnosis in pregnancy essential. Case Rep. Womens Health 2018, 18, e00057. [Google Scholar] [CrossRef] [PubMed] [PubMed Central]
- Kielaite, D.; Paliulyte, V. Parvovirus (B19) Infection during Pregnancy: Possible Effect on the Course of Pregnancy and Rare Fetal Outcomes. A Case Report and Literature Review. Medicina 2022, 58, 664. [Google Scholar] [CrossRef] [PubMed] [PubMed Central]
- Ornoy, A.; Ergaz, Z. Parvovirus B19 infection during pregnancy and risks to the fetus. Birth Defects Res. 2017, 109, 311–323. [Google Scholar] [CrossRef] [PubMed]
- Bouraddane, M.; Warda, K.; Zouhair, S.; Bouraddane, M.; Warda, K.; Zouhair, S. Parvovirus B19 and Pregnant Women: A Bibliographic Review. Open J. Obstet. Gynecol. 2021, 11, 1543–1564. [Google Scholar] [CrossRef]
- Attwood, L.O.; Holmes, N.E.; Hui, L. Identification and management of congenital parvovirus B19 infection. Prenat. Diagn. 2020, 40, 1722–1731. [Google Scholar] [CrossRef] [PubMed]
- von Kietzell, K.; Pozzuto, T.; Heilbronn, R.; Grössl, T.; Fechner, H.; Weger, S. Antibody-mediated enhancement of parvovirus B19 uptake into endothelial cells mediated by a receptor for complement factor C1q. J. Virol. 2014, 88, 8102–8115. [Google Scholar] [CrossRef] [PubMed] [PubMed Central]
- Leeper, C.; Lutzkanin, A., 3rd. Infections During Pregnancy. Prim. Care 2018, 45, 567–586. [Google Scholar] [CrossRef] [PubMed]
- Lubomirova, M.; Bogov, B.; Filev, R.; Nikolova, R.; Kostadinova, I.; Bekerova, E.; Tzvetkova, G.; Hadjiev, E. Case Report—Parvovirus B19 Pure Red Cells Aplasia after Kidney Transplantation. J. Urol. Nephrol. 2023, 8, 000249. [Google Scholar]
- Xiong, Y.Q.; Tan, J.; Liu, Y.M.; He, Q.; Li, L.; Zou, K.; Sun, X. The risk of maternal parvovirus B19 infection during pregnancy on fetal loss and fetal hydrops: A systematic review and meta-analysis. J. Clin. Virol. 2019, 114, 12–20. [Google Scholar] [CrossRef] [PubMed]
- Giakoumelou, S.; Wheelhouse, N.; Cuschieri, K.; Entrican, G.; Howie, S.E.; Horne, A.W. The role of infection in miscarriage. Hum. Reprod. Update 2016, 22, 116–133. [Google Scholar] [CrossRef] [PubMed] [PubMed Central]
- Society for Maternal-Fetal Medicine (SMFM); Norton, M.E.; Chauhan, S.P.; Dashe, J.S. Society for maternal-fetal medicine (SMFM) clinical guideline #7: Nonimmune hydrops fetalis. Am. J. Obstet. Gynecol. 2015, 212, 127–139. [Google Scholar] [CrossRef] [PubMed]
- Melamed, N.; Whittle, W.; Kelly, E.N.; Windrim, R.; Seaward, P.G.; Keunen, J.; Keating, S.; Ryan, G. Fetal thrombocytopenia in pregnancies with fetal human parvovirus-B19 infection. Am. J. Obstet. Gynecol. 2015, 212, 793.e1–8. [Google Scholar] [CrossRef] [PubMed]
- Ota, S.; Sahara, J.; Mabuchi, A.; Yamamoto, R.; Ishii, K.; Mitsuda, N. Perinatal and one-year outcomes of non-immune hydrops fetalis by etiology and age at diagnosis. J. Obstet. Gynaecol. Res. 2016, 42, 385–391. [Google Scholar] [CrossRef] [PubMed]
- Crane, J.; Mundle, W.; Boucoiran, I.; Maternal Fetal Medicine Committee. Parvovirus B19 infection in pregnancy. J. Obstet. Gynaecol. Can. 2014, 36, 1107–1116. [Google Scholar] [CrossRef] [PubMed]
- Rogo, L.D.; Mokhtari-Azad, T.; Kabir, M.H.; Rezaei, F. Human parvovirus B19: A review. Acta Virol. 2014, 58, 199–213. [Google Scholar] [CrossRef] [PubMed]
- Feldman, D.M.; Keller, R.; Borgida, A.F. Toxoplasmosis, Parvovirus, and Cytomegalovirus in Pregnancy. Clin. Lab. Med. 2016, 36, 407–419. [Google Scholar] [CrossRef] [PubMed]
- Arnold, K.C.; Flint, C.J.; Arnold, K.C.; Flint, C.J. Practice bulletin no. 151: Cytomegalovirus, parvovirus B19, varicella zoster, and toxoplasmosis in pregnancy. Obstet. Gynecol. 2015, 125, 1510–1525. [Google Scholar] [CrossRef]
- Bhide, A.; Acharya, G.; Bilardo, C.M.; Brezinka, C.; Cafici, D.; Hernandez-Andrade, E.; Kalache, K.; Kingdom, J.; Kiserud, T.; Lee, W.; et al. ISUOG practice guidelines: Use of Doppler ultrasonography in obstetrics. Ultrasound Obstet. Gynecol. 2013, 41, 233–239. [Google Scholar] [CrossRef] [PubMed]
- Hartge, D.R.; Weichert, J.; Gembicki, M.; Krapp, M. Confirmation of etiology in fetal hydrops by sonographic evaluation of fluid allocation patterns. Eur. J. Obstet. Gynecol. Reprod. Biol. 2015, 195, 128–132. [Google Scholar] [CrossRef] [PubMed]
- Castleman, J.S.; Kilby, M.D. Red cell alloimmunization: A 2020 update. Prenat. Diagn. 2020, 40, 1099–1108. [Google Scholar] [CrossRef] [PubMed]
- Martinez-Portilla, R.J.; Lopez-Felix, J.; Hawkins-Villareal, A.; Villafan-Bernal, J.R.; Paz YMiño, F.; Figueras, F.; Borrell, A. Performance of fetal middle cerebral artery peak systolic velocity for prediction of anemia in untransfused and transfused fetuses: Systematic review and meta-analysis. Ultrasound Obstet. Gynecol. 2019, 54, 722–731. [Google Scholar] [CrossRef] [PubMed]
- Slaghekke, F.; Pasman, S.; Veujoz, M.; Middeldorp, J.M.; Lewi, L.; Devlieger, R.; Favre, R.; Lopriore, E.; Oepkes, D. Middle cerebral artery peak systolic velocity to predict fetal hemoglobin levels in twin anemia-polycythemia sequence. Ultrasound Obstet. Gynecol. 2015, 46, 432–436. [Google Scholar] [CrossRef] [PubMed]
- Hellmund, A.; Geipel, A.; Berg, C.; Bald, R.; Gembruch, U. Early Intrauterine Transfusion in Fetuses with Severe Anemia Caused by Parvovirus B19 Infection. Fetal Diagn. Ther. 2018, 43, 129–137. [Google Scholar] [CrossRef] [PubMed]



| Maternal Asymptomatic Erythema infectiosum Arthropathy Anemia Myocarditis | Fetal Fetal death Anemia/Hydrops Myocarditis |
Disclaimer/Publisher’s Note: The statements, opinions and data contained in all publications are solely those of the individual author(s) and contributor(s) and not of MDPI and/or the editor(s). MDPI and/or the editor(s) disclaim responsibility for any injury to people or property resulting from any ideas, methods, instructions or products referred to in the content. |
© 2024 by the authors. Licensee MDPI, Basel, Switzerland. This article is an open access article distributed under the terms and conditions of the Creative Commons Attribution (CC BY) license (https://creativecommons.org/licenses/by/4.0/).
Share and Cite
Malutan, A.M.; Ormindean, C.M.; Diculescu, D.; Ciortea, R.; Nicula, R.; Pop, D.; Bucuri, C.; Maria, R.; Nati, I.; Mihu, D. Parvovirus B19 in Pregnancy—Do We Screen for Fifth Disease or Not? Life 2024, 14, 1667. https://doi.org/10.3390/life14121667
Malutan AM, Ormindean CM, Diculescu D, Ciortea R, Nicula R, Pop D, Bucuri C, Maria R, Nati I, Mihu D. Parvovirus B19 in Pregnancy—Do We Screen for Fifth Disease or Not? Life. 2024; 14(12):1667. https://doi.org/10.3390/life14121667
Chicago/Turabian StyleMalutan, Andrei Mihai, Cristina Mihaela Ormindean, Doru Diculescu, Razvan Ciortea, Renata Nicula, Daria Pop, Carmen Bucuri, Roman Maria, Ionel Nati, and Dan Mihu. 2024. "Parvovirus B19 in Pregnancy—Do We Screen for Fifth Disease or Not?" Life 14, no. 12: 1667. https://doi.org/10.3390/life14121667
APA StyleMalutan, A. M., Ormindean, C. M., Diculescu, D., Ciortea, R., Nicula, R., Pop, D., Bucuri, C., Maria, R., Nati, I., & Mihu, D. (2024). Parvovirus B19 in Pregnancy—Do We Screen for Fifth Disease or Not? Life, 14(12), 1667. https://doi.org/10.3390/life14121667

