Positioning Transclival Tumor-Treating Fields for the Treatment of Diffuse Intrinsic Pontine Gliomas
Abstract
1. Introduction
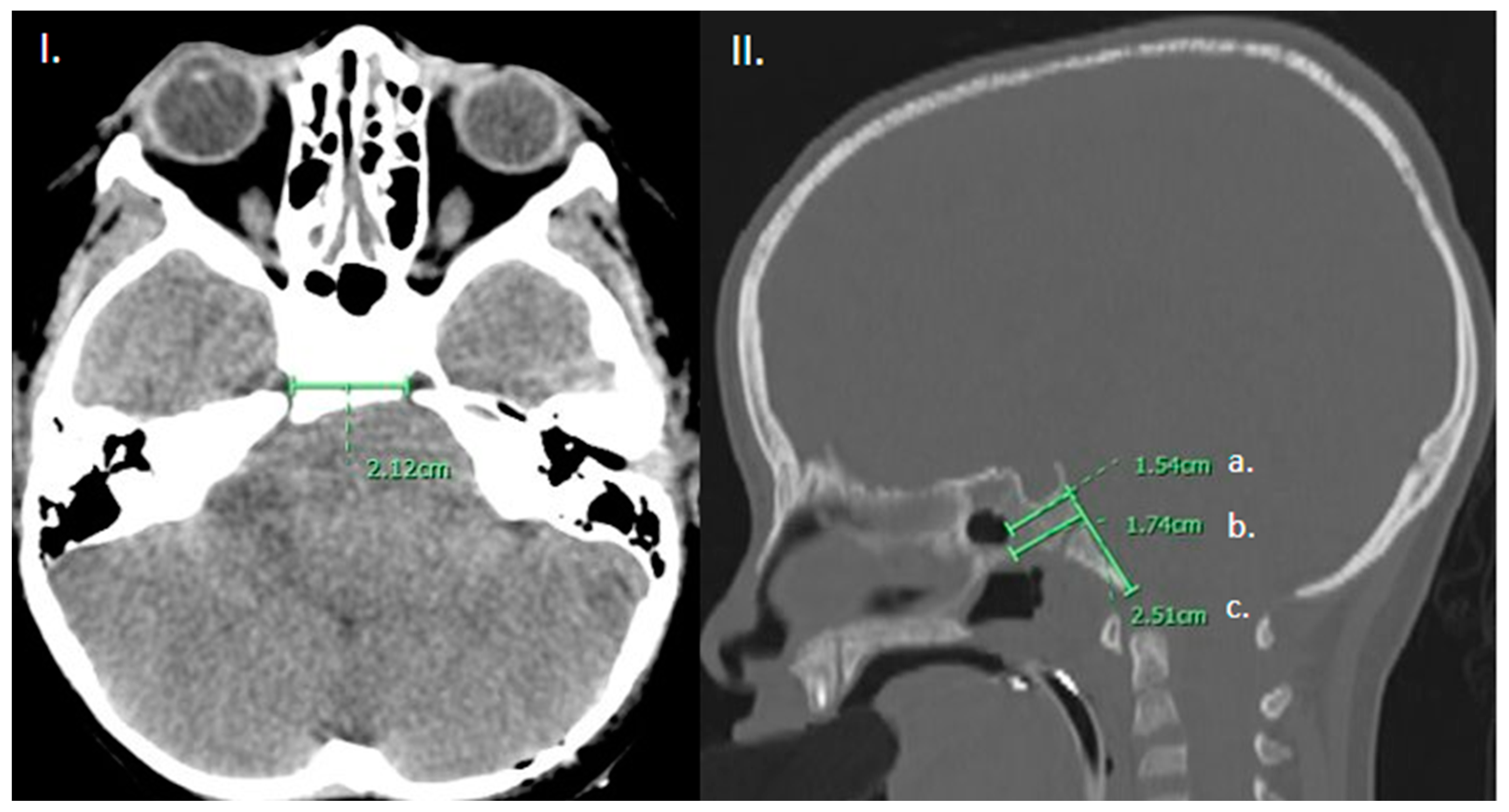
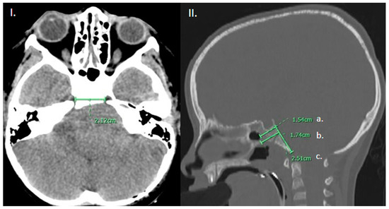
2. Materials and Methods
3. Results
4. Discussion
5. Limitations
6. Conclusions
7. Patents
Author Contributions
Funding
Institutional Review Board Statement
Informed Consent Statement
Data Availability Statement
Conflicts of Interest
References
- Fonseca, A.; Afzal, S.; Bowes, L.; Crooks, B.; Larouche, V.; Jabado, N.; Perreault, S.; Johnston, D.L.; Zelcer, S.; Fleming, A.; et al. Pontine gliomas a 10-year population-based study: A report from The Canadian Paediatric Brain Tumour Consortium (CPBTC). J. Neurooncol. 2020, 149, 45–54. [Google Scholar] [CrossRef] [PubMed]
- Oztek, M.A.; Noda, S.M.; Romberg, E.K.; Cole, B.L.; Wright, J.N.; Ishak, G.E.; Perez, F.A. Changes to pediatric brain tumors in 2021 World Health Organization classification of tumors of the central nervous system. Pediatr. Radiol. 2022. [Google Scholar] [CrossRef] [PubMed]
- Grimm, S.A.; Chamberlain, M.C. Brainstem glioma: A review. Curr. Neurol. Neurosci. Rep. 2013, 13, 346. [Google Scholar] [CrossRef]
- Rechberger, J.S.; Lu, V.M.; Zhang, L.; Power, E.A.; Daniels, D.J. Clinical trials for diffuse intrinsic pontine glioma: The current state of affairs. Childs Nerv. Syst. 2020, 36, 39–46. [Google Scholar] [CrossRef]
- Damodharan, S.; Lara-Velazquez, M.; Williamsen, B.C.; Helgager, J.; Dey, M. Diffuse Intrinsic Pontine Glioma: Molecular Landscape, Evolving Treatment Strategies and Emerging Clinical Trials. J. Pers. Med. 2022, 12, 840. [Google Scholar] [CrossRef] [PubMed]
- Bernstock, J.D.; Hoffman, S.E.; Kappel, A.D.; Valdes, P.A.; Essayed, W.; Klinger, N.V.; Kang, K.D.; Totsch, S.K.; Olsen, H.E.; Schlappi, C.W.; et al. Immunotherapy approaches for the treatment of diffuse midline gliomas. Oncoimmunology 2022, 11, 2124058. [Google Scholar] [CrossRef]
- Majzner, R.G.; Ramakrishna, S.; Yeom, K.W.; Patel, S.; Chinnasamy, H.; Schultz, L.M.; Richards, R.M.; Jiang, L.; Barsan, V.; Mancusi, R.; et al. GD2-CAR T cell therapy for H3K27M-mutated diffuse midline gliomas. Nature 2022, 603, 934–941. [Google Scholar] [CrossRef]
- Gállego Pérez-Larraya, J.; Garcia-Moure, M.; Labiano, S.; Patiño-García, A.; Dobbs, J.; Gonzalez-Huarriz, M.; Zalacain, M.; Marrodan, L.; Martinez-Velez, N.; Puigdelloses, M.; et al. Oncolytic DNX-2401 Virus for Pediatric Diffuse Intrinsic Pontine Glioma. N. Engl. J. Med. 2022, 386, 2471–2481. [Google Scholar] [CrossRef]
- Jenkins, E.P.W.; Finch, A.; Gerigk, M.; Triantis, I.F.; Watts, C.; Malliaras, G.G. Electrotherapies for Glioblastoma. Adv. Sci. 2021, 8, e2100978. [Google Scholar] [CrossRef]
- Kirson, E.D.; Gurvich, Z.; Schneiderman, R.; Dekel, E.; Itzhaki, A.; Wasserman, Y.; Schatzberger, R.; Palti, Y. Disruption of cancer cell replication by alternating electric fields. Cancer Res. 2004, 64, 3288–3295. [Google Scholar] [CrossRef]
- Rominiyi, O.; Vanderlinden, A.; Clenton, S.J.; Bridgewater, C.; Al-Tamimi, Y.; Collis, S.J. Tumour treating fields therapy for glioblastoma: Current advances and future directions. Br. J. Cancer 2021, 124, 697–709. [Google Scholar] [CrossRef] [PubMed]
- Di Sebastiano, A.R.; Deweyert, A.; Benoit, S.; Iredale, E.; Xu, H.; De Oliveira, C.; Wong, E.; Schmid, S.; Hebb, M.O. Preclinical outcomes of Intratumoral Modulation Therapy for glioblastoma. Sci. Rep. 2018, 8, 7301. [Google Scholar] [CrossRef] [PubMed]
- Xu, H.U.; Bihari, F.; Whitehead, S.; Wong, E.; Schmid, S.; Hebb, M.O. In Vitro Validation of Intratumoral Modulation Therapy for Glioblastoma. Anticancer Res. 2016, 36, 71–80. [Google Scholar] [PubMed]
- Deweyert, A.; Iredale, E.; Xu, H.; Wong, E.; Schmid, S.; Hebb, M.O. Diffuse intrinsic pontine glioma cells are vulnerable to low intensity electric fields delivered by intratumoral modulation therapy. J. Neurooncol. 2019, 143, 49–56. [Google Scholar] [CrossRef]
- Kaminska, M.; Perides, S.; Lumsden, D.E.; Nakou, V.; Selway, R.; Ashkan, K.; Lin, J.P. Complications of Deep Brain Stimulation (DBS) for dystonia in children—The challenges and 10 year experience in a large paediatric cohort. Eur. J. Paediatr. Neurol. 2017, 21, 168–175. [Google Scholar] [CrossRef]
- Elias, G.J.B.; Loh, A.; Gwun, D.; Pancholi, A.; Boutet, A.; Neudorfer, C.; Germann, J.; Namasivayam, A.; Gramer, R.; Paff, M.; et al. Deep brain stimulation of the brainstem. Brain 2021, 144, 712–723. [Google Scholar] [CrossRef]
- Moro, E. Neurosurgery: Complications of DBS surgery—Insights from large databases. Nat. Rev. Neurol. 2016, 12, 617–618. [Google Scholar] [CrossRef]
- Korshoej, A.R.; Mikic, N.; Hansen, F.L.; Saturnino, G.B.; Thielscher, A.; Bomzon, Z. Enhancing Tumor Treating Fields Therapy with Skull-Remodeling Surgery. The Role of Finite Element Methods in Surgery Planning. Annu. Int. Conf. IEEE Eng. Med. Biol. Soc. 2019, 2019, 6995–6997. [Google Scholar] [CrossRef]
- Korshoej, A.R.; Sørensen, J.C.H.; von Oettingen, G.; Poulsen, F.R.; Thielscher, A. Optimization of tumor treating fields using singular value decomposition and minimization of field anisotropy. Phys. Med. Biol. 2019, 64, 04NT03. [Google Scholar] [CrossRef]
- Korshoej, A.R.; Lukacova, S.; Lassen-Ramshad, Y.; Rahbek, C.; Severinsen, K.E.; Guldberg, T.L.; Mikic, N.; Jensen, M.H.; Cortnum, S.O.S.; von Oettingen, G.; et al. OptimalTTF-1: Enhancing tumor treating fields therapy with skull remodeling surgery. A clinical phase I trial in adult recurrent glioblastoma. Neurooncol. Adv. 2020, 2, vdaa121. [Google Scholar] [CrossRef]
- Korshoej, A.R.; Saturnino, G.B.; Rasmussen, L.K.; von Oettingen, G.; Sørensen, J.C.; Thielscher, A. Enhancing Predicted Efficacy of Tumor Treating Fields Therapy of Glioblastoma Using Targeted Surgical Craniectomy: A Computer Modeling Study. PLoS ONE 2016, 11, e0164051. [Google Scholar] [CrossRef]
- Mikic, N.; Poulsen, F.R.; Kristoffersen, K.B.; Laursen, R.J.; Guldberg, T.L.; Skjøth-Rasmussen, J.; Wong, E.T.; Møller, S.; Dahlrot, R.H.; Sørensen, J.C.H.; et al. Study protocol for OptimalTTF-2: Enhancing Tumor Treating Fields with skull remodeling surgery for first recurrence glioblastoma: A phase 2, multi-center, randomized, prospective, interventional trial. BMC Cancer 2021, 21, 1010. [Google Scholar] [CrossRef]
- Güldner, C.; Pistorius, S.M.; Diogo, I.; Bien, S.; Sesterhenn, A.; Werner, J.A. Analysis of pneumatization and neurovascular structures of the sphenoid sinus using cone-beam tomography (CBT). Acta Radiol. 2012, 53, 214–219. [Google Scholar] [CrossRef] [PubMed]
- Shenouda, G.; Souhami, L.; Petrecca, K.; Owen, S.; Panet-Raymond, V.; Guiot, M.C.; Corredor, A.G.; Abdulkarim, B. A Phase 2 Trial of Neoadjuvant Temozolomide Followed by Hypofractionated Accelerated Radiation Therapy With Concurrent and Adjuvant Temozolomide for Patients With Glioblastoma. Int. J. Radiat. Oncol. Biol. Phys. 2017, 97, 487–494. [Google Scholar] [CrossRef] [PubMed]
- Lee, J.; Grabowski, M.M.; Lathia, J.D. Tumor Treating Fields: Killing two birds with one stone. J. Clin. Investig. 2022, 132. [Google Scholar] [CrossRef] [PubMed]
- Segar, D.J.; Bernstock, J.D.; Arnaout, O.; Bi, W.L.; Friedman, G.K.; Langer, R.; Traverso, G.; Rampersad, S.M. Modeling of intracranial tumor treating fields for the treatment of complex high-grade gliomas. Sci. Rep. 2023, 13, 1636. [Google Scholar] [CrossRef]
- Wenger, C.; Miranda, P.C.; Salvador, R.; Thielscher, A.; Bomzon, Z.; Giladi, M.; Mrugala, M.M.; Korshoej, A.R. A Review on Tumor-Treating Fields (TTFields): Clinical Implications Inferred From Computational Modeling. IEEE Rev. Biomed. Eng. 2018, 11, 195–207. [Google Scholar] [CrossRef]
- Essayed, W.I.; Singh, H.; Lapadula, G.; Almodovar-Mercado, G.J.; Anand, V.K.; Schwartz, T.H. Endoscopic endonasal approach to the ventral brainstem: Anatomical feasibility and surgical limitations. J. Neurosurg. 2017, 127, 1139–1146. [Google Scholar] [CrossRef]
- Banu, M.; Greenfield, J.P.; Anand, V.K.; Schwartz, T.H. Anatomy of the Developing Pediatric Skull Base. In Pediatric Endoscopic Endonasal Skull Base Surgery; Singh, H., Greenfield, J.P., Anand, V.K., Schwartz, T.H., Eds.; Thieme Medical Publishers, Inc.: New York, NY, USA, 2020. [Google Scholar]
- Almodovar-Mercado, G.J.; Anand, V.K. Pediatric Rhinologie Considerations. In Pediatric Endoscopic Endonasal Skull Base Surgery; Singh, H., Greenfield, J.P., Anand, V.K., Schwartz, T.H., Eds.; Thieme Medical Publishers, Inc.: New York, NY, USA, 2020. [Google Scholar]
- Singh, H.; Rote, S.; Jada, A.; Bander, E.D.; Almodovar-Mercado, G.J.; Essayed, W.I.; Härtl, R.; Anand, V.K.; Schwartz, T.H.; Greenfield, J.P. Endoscopic endonasal odontoid resection with real-time intraoperative image-guided computed tomography: Report of 4 cases. J. Neurosurg. 2018, 128, 1486–1491. [Google Scholar] [CrossRef]
- Cho, J.; Rahimpour, S.; Cutler, A.; Goodwin, C.R.; Lad, S.P.; Codd, P. Enhancing Reality: A Systematic Review of Augmented Reality in Neuronavigation and Education. World Neurosurg. 2020, 139, 186–195. [Google Scholar] [CrossRef]
- Tatreau, J.R.; Patel, M.R.; Shah, R.N.; McKinney, K.A.; Zanation, A.M. Anatomical limitations for endoscopic endonasal skull base surgery in pediatric patients. Laryngoscope 2010, 120 (Suppl. 4), S229. [Google Scholar] [CrossRef] [PubMed]
- Nation, J.; Schupper, A.J.; Deconde, A.; Levy, M. Pediatric Endoscopic Endonasal Approaches for Skull Base Lesions in the Very Young: Is It Safe and Effective? J. Neurol. Surg. B Skull Base 2018, 79, 574–579. [Google Scholar] [CrossRef] [PubMed]
- Oviedo, P.; Zamora, S.; Vinocur, D.; Levy, M.L.; Nation, J. Influence of Pediatric Endoscopic Endonasal Skull Base Resections on Midface and Skull Base Development. Pediatr. Neurosurg. 2021, 56, 345–356. [Google Scholar] [CrossRef] [PubMed]
- Behbahani, M.; Rastatter, J.C.; Eide, J.; Karras, C.; Walz, P.; Suresh, K.; Leonard, J.R.; Alden, T.D. Pediatric Endoscopic Endonasal Skull Base Surgery: A Retrospective Review Over 11 Years. World Neurosurg. 2023, 170, e70–e78. [Google Scholar] [CrossRef]
- Ramirez-Fort, M.K.; Naveh, A.; McClelland, S.; Gilman, C.K.; Fort, M.; Mendez, M.; Matta, J.; Bomzon, Z.; Lange, C.S. Computational simulations establish a novel transducer array placement arrangement that extends delivery of therapeutic TTFields to the infratentorium of patients with brainstem gliomas. Rep. Pract. Oncol. Radiother. 2021, 26, 1045–1050. [Google Scholar] [CrossRef]
- Gardiner, Q.; Oluwole, M.; Tan, L.; White, P.S. An animal model for training in endoscopic nasal and sinus surgery. J. Laryngol. Otol. 1996, 110, 425–428. [Google Scholar] [CrossRef]
- Valentine, R.; Wormald, P.J. A Vascular Catastrophe during Endonasal Surgery: An Endoscopic Sheep Model. Skull Base 2011, 21, 109–114. [Google Scholar] [CrossRef]



| Sex | |
|---|---|
| Male | 10 |
| Female | 7 |
| Age | |
| 4–7 | 10 |
| 8–11 | 5 |
| 12–15 | 2 |
| Sphenoid pneumatization | |
| Conchal | 6 |
| Presellar | 5 |
| Sellar | 4 |
| Postsellar | 1 |
| Average | Standard Deviation | |
|---|---|---|
| Clival length (floor of sella to basion) | 3.34 | 0.39 |
| Width of clivus at sellar floor | 1.43 | 0.69 |
| Greatest width of clivus | 1.62 | 0.19 |
| Intercarotid distance | 1.68 | 0.36 |
| R2 | p-Value | |
|---|---|---|
| Clival length (floor of sella to basion) | 0.568 | 0.0005 * |
| Width of clivus at sellar floor | 0.372 | 0.009 * |
| Greatest width of clivus | 0.004 | 0.82 |
| Intercarotid distance | 0.006 | 0.76 |
| Sphenoid pneumatization | 0.605 | 0.0002 * |
Disclaimer/Publisher’s Note: The statements, opinions and data contained in all publications are solely those of the individual author(s) and contributor(s) and not of MDPI and/or the editor(s). MDPI and/or the editor(s) disclaim responsibility for any injury to people or property resulting from any ideas, methods, instructions or products referred to in the content. |
© 2023 by the authors. Licensee MDPI, Basel, Switzerland. This article is an open access article distributed under the terms and conditions of the Creative Commons Attribution (CC BY) license (https://creativecommons.org/licenses/by/4.0/).
Share and Cite
Ibn Essayed, W.; Jarvis, C.A.; Bernstock, J.D.; Slingerland, A.; Albanese, J.; Friedman, G.K.; Arnaout, O.; Baird, L. Positioning Transclival Tumor-Treating Fields for the Treatment of Diffuse Intrinsic Pontine Gliomas. Life 2023, 13, 601. https://doi.org/10.3390/life13030601
Ibn Essayed W, Jarvis CA, Bernstock JD, Slingerland A, Albanese J, Friedman GK, Arnaout O, Baird L. Positioning Transclival Tumor-Treating Fields for the Treatment of Diffuse Intrinsic Pontine Gliomas. Life. 2023; 13(3):601. https://doi.org/10.3390/life13030601
Chicago/Turabian StyleIbn Essayed, Walid, Casey A. Jarvis, Joshua D. Bernstock, Anna Slingerland, John Albanese, Gregory K. Friedman, Omar Arnaout, and Lissa Baird. 2023. "Positioning Transclival Tumor-Treating Fields for the Treatment of Diffuse Intrinsic Pontine Gliomas" Life 13, no. 3: 601. https://doi.org/10.3390/life13030601
APA StyleIbn Essayed, W., Jarvis, C. A., Bernstock, J. D., Slingerland, A., Albanese, J., Friedman, G. K., Arnaout, O., & Baird, L. (2023). Positioning Transclival Tumor-Treating Fields for the Treatment of Diffuse Intrinsic Pontine Gliomas. Life, 13(3), 601. https://doi.org/10.3390/life13030601

