Safety and Efficacy of an Innovative Everolimus-Coated Balloon in a Swine Coronary Artery Model
Abstract
1. Introduction
2. Materials and Methods
2.1. Anesthesia and Intubation
2.2. Coronary Artery Balloon Dilatation
2.3. Histotechnology and Histomorphology by Image Analysis
2.4. Data Comparison and Statistical Analysis
3. Results
3.1. Systemic Reactions
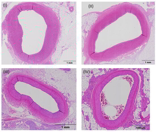
3.2. Arteries at the Dilatation Site and Host Reaction
- (a)
- Vascular wall findings: the endothelium lining often showed multifocal loss of endothelial cells. Occasionally, there were multifocal minimal to slight deposits of fibrin attached to the endothelial surface and increased intimal layer thickness due to smooth muscle proliferation and deposition of proteoglycan or collagen production;
- (b)
- Arterial inflammation: the tunica intima and/or media from most of the samples presented with minor infiltrate of inflammatory cells;
- (c)
- The tunica media appeared thickened by multifocal hypertrophy of the smooth muscle cells;
- (d)
- The occasional presence of lamina elastica rupture, more predominantly in the internal lamina;
- (e)
- Host reaction associated with the balloon treatment sites consisted of minimal to slight infiltrate in a small number of neutrophils (polymorphonuclear cells), lymphocytes, and/or macrophages.
4. Discussion
Limitations
5. Conclusions
Author Contributions
Funding
Institutional Review Board Statement
Informed Consent Statement
Data Availability Statement
Conflicts of Interest
References
- Stefanini, G.G.; Holmes, D.R., Jr. Drug-Eluting Coronary-Artery Stents. N. Engl. J. Med. 2013, 368, 254–265. [Google Scholar] [CrossRef] [PubMed]
- Moussa, I.D.; Mohananey, D.; Saucedo, J.; Stone, G.W.; Yeh, R.W.; Kennedy, K.F.; Waksman, R.; Teirstein, P.; Moses, J.W.; Simonton, C. Trends and Outcomes of Restenosis After Coronary Stent Implantation in the United States. J. Am. Coll. Cardiol. 2020, 76, 1521–1531. [Google Scholar] [CrossRef] [PubMed]
- Alfonso, F.; Kastrati, A. Clinical burden and implications of coronary interventions for in-stent restenosis. EuroIntervention 2021, 17, e355–e357. [Google Scholar] [CrossRef] [PubMed]
- Theodoropoulos, K.; Mennuni, M.G.; Dangas, G.D.; Meelu, O.A.; Bansilal, S.; Baber, U.; Sartori, S.; Kovacic, J.C.; Moreno, P.R.; Sharma, S.K.; et al. Resistant in-stent restenosis in the drug eluting stent era. Catheter. Cardiovasc. Interv. 2016, 88, 777–785. [Google Scholar] [CrossRef]
- Scheller, B.; Speck, U.; Abramjuk, C.; Bernhardt, U.; Böhm, M.; Nickenig, G. Paclitaxel Balloon Coating, a Novel Method for Prevention and Therapy of Restenosis. Circulation 2004, 110, 810–814. [Google Scholar] [CrossRef] [PubMed]
- Unverdorben, M.; Vallbracht, C.; Cremers, B.; Heuer, H.; Hengstenberg, C.; Maikowski, C.; Werner, G.S.; Antoni, D.; Kleber, F.X.; Bocksch, W.; et al. Paclitaxel-Coated Balloon Catheter Versus Paclitaxel-Coated Stent for the Treatment of Coronary In-Stent Restenosis. Circulation 2009, 119, 2986–2994. [Google Scholar] [CrossRef] [PubMed]
- Giacoppo, D.; Alfonso, F.; Xu, B.; Claessen, B.E.; Adriaenssens, T.; Jensen, C.; Pérez-Vizcayno, M.J.; Kang, D.-Y.; Degenhardt, R.; Pleva, L.; et al. Drug-Coated Balloon Angioplasty Versus Drug-Eluting Stent Implantation in Patients With Coronary Stent Restenosis. J. Am. Coll. Cardiol. 2020, 75, 2664–2678. [Google Scholar] [CrossRef] [PubMed]
- Jeger, R.V.; Eccleshall, S.; Ahmad, W.A.W.; Ge, J.; Poerner, T.C.; Shin, E.-S.; Alfonso, F.; Latib, A.; Ong, P.J.; Rissanen, T.T.; et al. Drug-Coated Balloons for Coronary Artery Disease. JACC Cardiovasc. Interv. 2020, 13, 1391–1402. [Google Scholar] [CrossRef] [PubMed]
- Piccolo, R.; Stefanini, G.G.; Franzone, A.; Spitzer, E.; Blöchlinger, S.; Heg, D.; Jüni, P.; Windecker, S. Safety and Efficacy of Resolute Zotarolimus-Eluting Stents Compared With Everolimus-Eluting Stents. Circ. Cardiovasc. Interv. 2015, 8, e002223. [Google Scholar] [CrossRef]
- Meng, M.; Gao, B.; Wang, X.; Bai, Z.-G.; Sa, R.-N.; Ge, B. Long-term clinical outcomes of everolimus-eluting stent versus paclitaxel-eluting stent in patients undergoing percutaneous coronary interventions: A meta-analysis. BMC Cardiovasc. Disord. 2016, 16, 34. [Google Scholar] [CrossRef]
- Park, K.W.; Kang, S.-H.; Velders, M.A.; Shin, D.-H.; Hahn, S.; Lim, W.-H.; Yang, H.-M.; Lee, H.-Y.; Van Boven, A.J.; Hofma, S.H.; et al. Safety and efficacy of everolimus- versus sirolimus-eluting stents: A systematic review and meta-analysis of 11 randomized trials. Am. Hear. J. 2013, 165, 241–250.e4. [Google Scholar] [CrossRef]
- Charan, J.; Kantharia, N.D. How to calculate sample size in animal studies? J. Pharmacol. Pharmacother. 2013, 4, 303–306. [Google Scholar] [CrossRef] [PubMed]
- du Sert, N.P.; Hurst, V.; Ahluwalia, A.; Alam, S.; Avey, M.T.; Baker, M.; Browne, W.J.; Clark, A.; Cuthill, I.C.; Dirnagl, U.; et al. The ARRIVE guidelines 2.0: Updated guidelines for reporting animal research. PLoS Biol. 2020, 18, e3000410. [Google Scholar] [CrossRef]
- Directive 2010/63/EU of the European Parliament and of the Council of 22 September 2010 on the Protection of Animals Used for Scientific Purposes. OJ L 276/33. 2010.
- Cicero, L.; Fazzotta, S.; Palumbo, V.D.; Cassata, G.; Monte, A.I.L. Anesthesia protocols in laboratory animals used for scientific purposes. Acta Bio Medica Atenei Parm. 2018, 89, 337–342. [Google Scholar] [CrossRef]
- Smith, A.C.; Swindle, M.M. Anesthesia and Analgesia in Swine. In Anesthesia and Analgesia in Laboratory Animals; Academic Press: Cambridge, MA, USA, 2008; pp. 413–440. [Google Scholar] [CrossRef]
- Tsigkas, G.; Vasilagkos, G.; Tousis, A.; Theofanis, M.; Apostolos, A.; Spyridonidis, I.; Goudas, L.; Karpetas, G.; Moulias, A.; Katsouras, C.S.; et al. Ultrasound-guided femoral approach for coronary angiography and interventions in the porcine model. Sci. Rep. 2022, 12, 1–7. [Google Scholar] [CrossRef]
- Tedesco-Silva, H.; Saliba, F.; Barten, M.J.; De Simone, P.; Potena, L.; Gottlieb, J.; Gawai, A.; Bernhardt, P.; Pascual, J. An overview of the efficacy and safety of everolimus in adult solid organ transplant recipients. Transplant. Rev. 2021, 36, 100655. [Google Scholar] [CrossRef] [PubMed]
- Arena, C.; Bizzoca, M.E.; Caponio, V.C.A.; Troiano, G.; Zhurakivska, K.; Leuci, S.; Muzio, L.L. Everolimus therapy and side-effects: A systematic review and meta-analysis. Int. J. Oncol. 2021, 59, 1–9. [Google Scholar] [CrossRef]
- Meng, L.-H.; Zheng, X.S. Toward rapamycin analog (rapalog)-based precision cancer therapy. Acta Pharmacol. Sin. 2015, 36, 1163–1169. [Google Scholar] [CrossRef]
- Semsroth, S.; Stigler, R.G.; Bernecker, O.Y.; Ruttmann-Ulmer, E.; Troppmair, J.; Macfelda, K.; Bonatti, J.O.; Laufer, G. Everolimus attenuates neointimal hyperplasia in cultured human saphenous vein grafts. Eur. J. Cardio-Thoracic Surg. 2009, 35, 515–520. [Google Scholar] [CrossRef] [PubMed][Green Version]
- Zhao, H.Q.; Nikanorov, A.; Virmani, R.; Schwartz, L.B. Inhibition of experimental neointimal hyperplasia and neoatherosclerosis by local, stent-mediated delivery of everolimus. J. Vasc. Surg. 2012, 56, 1680–1688. [Google Scholar] [CrossRef] [PubMed]
- Park, K.W.; Chae, I.-H.; Lim, D.-S.; Han, K.-R.; Yang, H.-M.; Lee, H.-Y.; Kang, H.-J.; Koo, B.-K.; Ahn, T.; Yoon, J.-H.; et al. Everolimus-Eluting Versus Sirolimus-Eluting Stents in Patients Undergoing Percutaneous Coronary Intervention: The EXCELLENT (Efficacy of Xience/Promus Versus Cypher to Reduce Late Loss After Stenting) Randomized Trial. J. Am. Coll. Cardiol. 2011, 58, 1844–1854. [Google Scholar] [CrossRef]
- Yano, H.; Horinaka, S.; Watahiki, M.; Watanabe, T.; Ishimitsu, T. Five-year outcomes after first- and second-generation drug-eluting stent implantation in all patients undergoing percutaneous coronary intervention. J. Cardiol. 2019, 74, 169–174. [Google Scholar] [CrossRef] [PubMed]
- Kandzari, D.E.; Koolen, J.J.; Doros, G.; Garcia-Garcia, H.M.; Bennett, J.; Roguin, A.; Gharib, E.G.; Cutlip, D.E.; Waksman, R. Ultrathin Bioresorbable Polymer Sirolimus-Eluting Stents Versus Durable Polymer Everolimus-Eluting Stents. JACC Cardiovasc. Interv. 2022, 15, 1852–1860. [Google Scholar] [CrossRef] [PubMed]
- Nakamura, M.; Kadota, K.; Nakagawa, Y.; Tanabe, K.; Ito, Y.; Amano, T.; Maekawa, Y.; Takahashi, A.; Shiode, N.; Otsuka, Y.; et al. Ultrathin, Biodegradable-Polymer Sirolimus-Eluting Stent vs Thin, Durable-Polymer Everolimus-Eluting Stent. JACC Cardiovasc. Interv. 2022, 15, 1324–1334. [Google Scholar] [CrossRef]
- de Winter, R.J.; Katagiri, Y.; Asano, T.; Milewski, K.P.; Lurz, P.; Buszman, P.; Jessurun, G.A.J.; Koch, K.T.; Troquay, R.P.T.; Hamer, B.J.B.; et al. A sirolimus-eluting bioabsorbable polymer-coated stent (MiStent) versus an everolimus-eluting durable polymer stent (Xience) after percutaneous coronary intervention (DESSOLVE III): A randomised, single-blind, multicentre, non-inferiority, phase 3 trial. Lancet 2017, 391, 431–440. [Google Scholar] [CrossRef]
- Ahmad, W.A.W.; Nuruddin, A.A.; Kader, M.A.S.A.; Ong, T.K.; Liew, H.B.; Ali, R.M.; Zuhdi, A.S.M.; Ismail, M.D.; Yusof, A.K.; Schwenke, C.; et al. Treatment of Coronary De Novo Lesions by a Sirolimus- or Paclitaxel-Coated Balloon. JACC Cardiovasc. Interv. 2022, 15, 770–779. [Google Scholar] [CrossRef]
- Otsuka, F.; Pacheco, E.; Perkins, L.E.; Lane, J.P.; Wang, Q.; Kamberi, M.; Frie, M.; Wang, J.; Sakakura, K.; Yahagi, K.; et al. Long-Term Safety of an Everolimus-Eluting Bioresorbable Vascular Scaffold and the Cobalt-Chromium XIENCE V Stent in a Porcine Coronary Artery Model. Circ. Cardiovasc. Interv. 2014, 7, 330–342. [Google Scholar] [CrossRef] [PubMed]
- Farb, A.; Weber, D.K.; Kolodgie, F.D.; Burke, A.P.; Virmani, R. Morphological Predictors of Restenosis After Coronary Stenting in Humans. Circulation 2002, 105, 2974–2980. [Google Scholar] [CrossRef] [PubMed]
- Wilson, G.J.; Nakazawa, G.; Schwartz, R.S.; Huibregtse, B.; Poff, B.; Herbst, T.J.; Baim, D.S.; Virmani, R. Comparison of Inflammatory Response After Implantation of Sirolimus- and Paclitaxel-Eluting Stents in Porcine Coronary Arteries. Circulation 2009, 120, 141–149. [Google Scholar] [CrossRef] [PubMed]
- Nakatani, M.; Takeyama, Y.; Shibata, M.; Yorozuya, M.; Suzuki, H.; Koba, S.; Katagiri, T. Mechanisms of restenosis after coronary intervention. Cardiovasc. Pathol. 2003, 12, 40–48. [Google Scholar] [CrossRef] [PubMed]
- Hermans, W.R.; Foley, D.P.; Rensing, B.J.; Serruys, P.W. Morphologic changes during follow-up after successful percutaneous transluminal coronary balloon angioplasty: Quantitative angiographic analysis in 778 lesions—further evidence for the restenosis paradox. Am. Hear. J. 1994, 127, 483–494. [Google Scholar] [CrossRef] [PubMed]
- Axel, D.I.; Kunert, W.; Göggelmann, C.; Oberhoff, M.; Herdeg, C.; Küttner, A.; Wild, D.H.; Brehm, B.R.; Riessen, R.; Köveker, G.; et al. Paclitaxel Inhibits Arterial Smooth Muscle Cell Proliferation and Migration In Vitro and In Vivo Using Local Drug Delivery. Circulation 1997, 96, 636–645. [Google Scholar] [CrossRef] [PubMed]
- Muramatsu, T.; Kozuma, K.; Tanabe, K.; Morino, Y.; Ako, J.; Nakamura, S.; Yamaji, K.; Kohsaka, S.; Amano, T.; Kobayashi, Y.; et al. Clinical expert consensus document on drug-coated balloon for coronary artery disease from the Japanese Association of Cardiovascular Intervention and Therapeutics. Cardiovasc. Interv. Ther. 2023, 38, 166–176. [Google Scholar] [CrossRef] [PubMed]
- Cremers, B.; Biedermann, M.; Mahnkopf, D.; Böhm, M.; Scheller, B. Comparison of two different paclitaxel-coated balloon catheters in the porcine coronary restenosis model. Clin. Res. Cardiol. 2009, 98, 325–330. [Google Scholar] [CrossRef] [PubMed]
- Radke, P.; Joner, M.; Joost, A.; Byrne, R.; Hartwig, S.; Bayer, G.; Steigerwald, K.; Wittchow, E. Vascular effects of paclitaxel following drug-eluting balloon angioplasty in a porcine coronary model: The importance of excipients. EuroIntervention 2011, 7, 730–737. [Google Scholar] [CrossRef]
- Liu, S.; Zhou, Y.; Shen, Z.; Chen, H.; Qiu, C.; Fu, G.; Li, H.; Yu, Z.; Zeng, Q.; Li, Z.; et al. A Randomized Comparison of 2 Different Drug-Coated Balloons for In-Stent Restenosis. JACC Cardiovasc. Interv. 2023, 16, 759–767. [Google Scholar] [CrossRef] [PubMed]
- Cortese, B.; Caiazzo, G.; Di Palma, G.; De Rosa, S. Comparison Between Sirolimus- and Paclitaxel-Coated Balloon for Revascularization of Coronary Arteries: The SIRPAC (SIRolimus-PAClitaxel). Cardiovasc. Revascularization Med. 2021, 28, 1–6. [Google Scholar] [CrossRef]




| Group A | Group B | Group C | Group D | |
|---|---|---|---|---|
| Number of animals | 4 | 3 | 4 | 4 |
| Total Sample number | 26 | 30 | 29 | 34 |
| Sum Host Reaction Score Total | 51 | 53 | 74 | 76 |
| Host Reaction Average Score associated with the balloon deployment site | 2.0 | 1.8 | 2.6 | 2.2 |
| Vascular wall findings | 5.2 | 5.9 | 5.7 | 5.4 |
| Artery Inflammation | 1.4 | 1.3 | 1.4 | 1.2 |
| Medial smooth muscle cell (SMC) loss | 0.0 | 0.0 | 0.0 | 0.0 |
| Medial smooth muscle cell replacement tissue | 0.0 | 0.0 | 0.0 | 0.0 |
| Medial hypertrophy | 1.8 | 2.1 | 1.6 | 2.8 |
| Lamina elastic rupture | 0.6 | 0.9 | 1.0 | 0.7 |
| TOTAL Arterial Reaction Average Score | 11.0 | 11.9 | 12.2 | 12.4 |
| Group A | Group B | Group C | Group D | |
|---|---|---|---|---|
| Lumen Area (mm2) | 3.23 (4.58) (1.38–5.08) | 2.21 (2.38) (1.29–3.14) | 1.64 (1.58) (1.03–2.25) | 2.06 (2.82) (1.02–3.09) |
| Medial Area (mm2) | 4.39 (6.01) * (1.97–6.82) | 3.25 (4.21) # (1.62–4.88) | 1.68 (2.07) (0.87–2.48) | 2.49 (3.71) (1.13–3.85) |
| Intimal Area (mm2) | 0.098 (0.113) (0.052–0.14) | 0.138 (0.202) (0.06–2.16) | 0.114 (0.189) (0.041–0.187) | 0.114 (0.195) (0.042–0.185) |
| Stenosis (%) | 7.97 (13.4) (2.58–13.37) | 5.63 (5.29) (3.58–7.68) | 6.41 (8.36) (3.17–9.66) | 7.11 (13.12) (2.30–11.92) |
| Intimal Mean Thickness (µm) | 15.06 (22.4) | 17.72 (21.2) | 17.1 (22.42) | 17.36 (27.65) |
| Group A | Group B | Group C | Group D | |
|---|---|---|---|---|
| Lumen Area (mm2) | 1.71 (1.76) (0.73–2.68) | 1.76 (1.48) (1.00–2.52) | 1.47 (0.77) (1.07–1.86) | 1.71 (1.30) (1.08–2.33) |
| Medial Area (mm2) | 2.61 (2.69) (1.13–4.10) | 2.42 (1.91) (1.44–3.41) | 1.31 (0.51) (1.05–1.57) | 1.94 (2.09) (0.93–2.94) |
| Intimal Area (mm2) | 0.11 (0.14) (0.03–0.18) | 0.14 (0.25) (0.06–0.19) | 0.05 (0.03) (0.04–0.07) | 0.13 (0.22) (0.02–0.23) |
| Stenosis (%) | 11.01 (16.88) (1.67–20.35) | 6.11 (6.58) (2.73–9.50) | 3.97 (3.05) (2.41–5.54) | 8.09 (15.67) (0.54–15.64) |
| Intimal Mean Thickness (µm) | 19.2 (28.7) (1.7–20.4) | 18.5 (25.7) (2.7–9.5) | 10.0 (7.7) (2.4–5.5) | 20.7 (34.1) (0.5–15.6) |
| Group A | Group B | Group C | Group D | |
|---|---|---|---|---|
| Lumen Area (mm2) | 5.30 (6.31) (1.06–9.54) | 2.91 (3.30) (0.69–5.12) | 1.91 (2.39) (0.30–3.51) | 2.60 (4.29) (0.00–5.32) |
| Medial Area (mm2) | 6.82 (8.30) (1.24–12.4) | 4.53 (6.24) (0.33–8.72) | 2.25 (3.26) (0.58–4.43) | 3.37 (5.38) (0.00–6.78) |
| Intimal Area (mm2) | 0.09 (0.08) (0.04–0.13) | 0.13 (0.12) (0.05–0.21) | 0.21 (0.28) (0.03–0.4) | 0.09 (0.15) (0.00–0.04) |
| Stenosis (%) | 3.80 (3.83) (1.26–6.41) | 4.87 (2.27) (3.34–6.39) | 10.19 (12.17) (2.01–18.36) | 5.57 (7.98) (0.49–10.64) |
| Intimal Mean Thickness (µm) | 9.5 (6.3) (5.3–13.8) | 16.5 (12.3) (8.2–24.8) | 28.1 (32.3) (6.4–49.8) | 12.1 (11.3) (4.9–19.3) |
Disclaimer/Publisher’s Note: The statements, opinions and data contained in all publications are solely those of the individual author(s) and contributor(s) and not of MDPI and/or the editor(s). MDPI and/or the editor(s) disclaim responsibility for any injury to people or property resulting from any ideas, methods, instructions or products referred to in the content. |
© 2023 by the authors. Licensee MDPI, Basel, Switzerland. This article is an open access article distributed under the terms and conditions of the Creative Commons Attribution (CC BY) license (https://creativecommons.org/licenses/by/4.0/).
Share and Cite
Katsouras, C.S.; Tousis, A.; Vasilagkos, G.; Semertzioglou, A.; Vratimos, A.; Samara, I.; Karanasiou, G.; Loukas, V.S.; Tsigkas, G.; Fotiadis, D.; et al. Safety and Efficacy of an Innovative Everolimus-Coated Balloon in a Swine Coronary Artery Model. Life 2023, 13, 2053. https://doi.org/10.3390/life13102053
Katsouras CS, Tousis A, Vasilagkos G, Semertzioglou A, Vratimos A, Samara I, Karanasiou G, Loukas VS, Tsigkas G, Fotiadis D, et al. Safety and Efficacy of an Innovative Everolimus-Coated Balloon in a Swine Coronary Artery Model. Life. 2023; 13(10):2053. https://doi.org/10.3390/life13102053
Chicago/Turabian StyleKatsouras, Christos S., Alexandros Tousis, Georgios Vasilagkos, Arsen Semertzioglou, Athanassios Vratimos, Ioanna Samara, Georgia Karanasiou, Vasileios S. Loukas, Grigorios Tsigkas, Dimitrios Fotiadis, and et al. 2023. "Safety and Efficacy of an Innovative Everolimus-Coated Balloon in a Swine Coronary Artery Model" Life 13, no. 10: 2053. https://doi.org/10.3390/life13102053
APA StyleKatsouras, C. S., Tousis, A., Vasilagkos, G., Semertzioglou, A., Vratimos, A., Samara, I., Karanasiou, G., Loukas, V. S., Tsigkas, G., Fotiadis, D., Michalis, L. K., Davlouros, P., & Moulas, A. N. (2023). Safety and Efficacy of an Innovative Everolimus-Coated Balloon in a Swine Coronary Artery Model. Life, 13(10), 2053. https://doi.org/10.3390/life13102053

