Licorice Extract Supplementation Affects Antioxidant Activity, Growth-Related Genes, Lipid Metabolism, and Immune Markers in Broiler Chickens
Abstract
1. Introduction
2. Materials and Methods
2.1. Animal Care
2.2. Experimental Design
2.3. Chemical Analysis of Ration: Dry Matter and Crude Nutrients
2.4. Growth Performance Parameters
2.5. Sample Collection
2.6. Relative Organs Weight
2.7. Chemical Analysis of Serum Samples
2.8. Antioxidant and Lysosomal Activity in Blood
2.9. Gene Expression Analysis
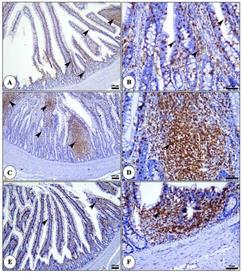
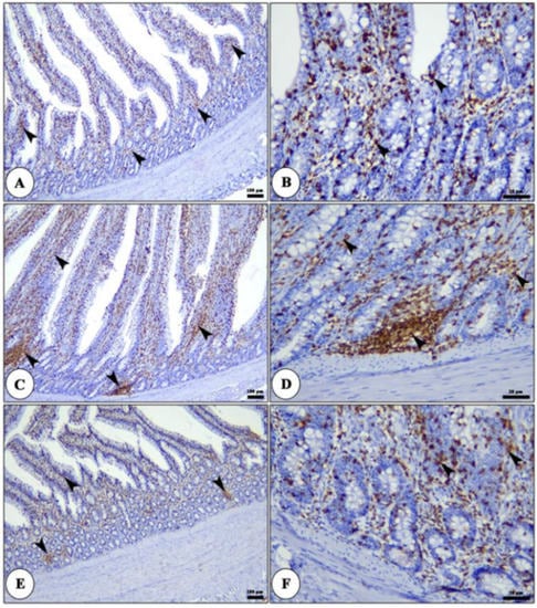
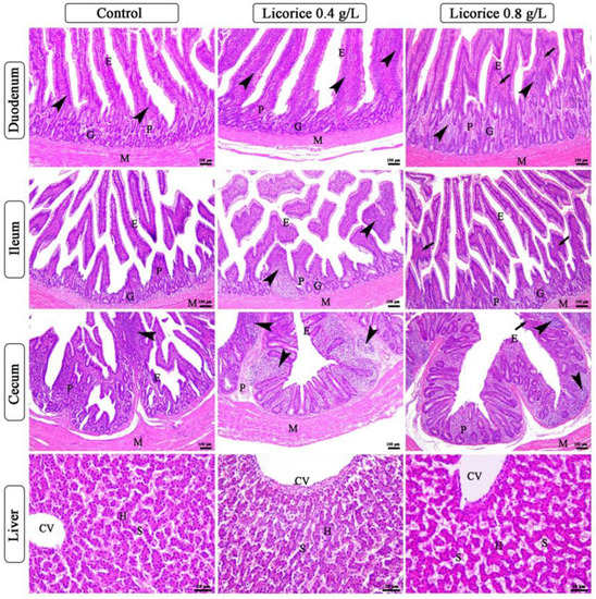
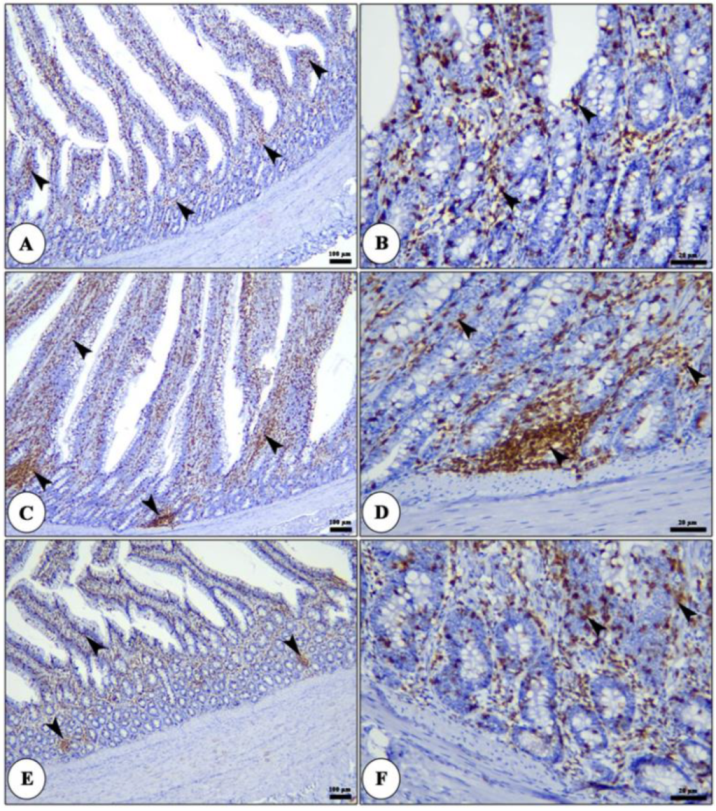
2.10. Histologic Staining and Immunohistochemistry
2.11. Statistical Analysis
3. Results
3.1. Growth Performance
3.2. Relative Organs Weight
3.3. Serum Lipid Profile
3.4. Serum Liver Biomarker and Serum Glucose Level
3.5. Oxidative Stress, Immunostimulant Biomarkers
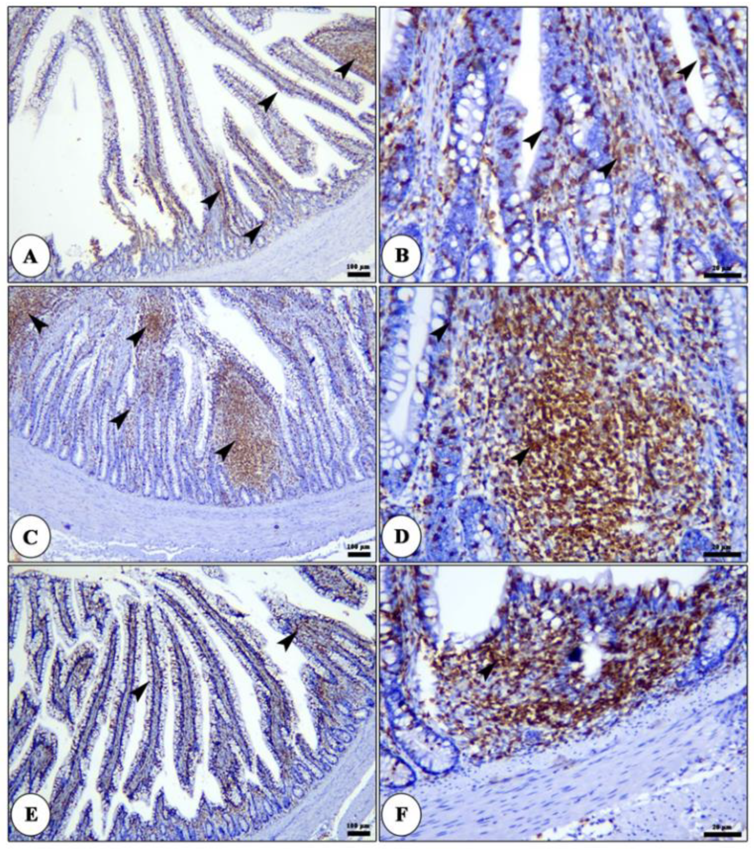
3.6. Histologic Staining and Immunohistochemistry
3.7. Gene Expression Analysis
4. Discussion
5. Conclusions
Author Contributions
Funding
Institutional Review Board Statement
Informed Consent Statement
Data Availability Statement
Acknowledgments
Conflicts of Interest
References
- Da Costa, P.M.; Bica, A.; Vaz-Pires, P.; Bernardo, F. Changes in antimicrobial resistance among faecal enterococci isolated from growing broilers prophylactically medicated with three commercial antimicrobials. Prev. Vet. Med. 2010, 93, 71–76. [Google Scholar] [CrossRef] [PubMed]
- Salary, J.; Kalantar, M.; Ala, M.; Ranjbar, K.; Matin, H.H. Drinking water supplementation of licorice and aloe vera extracts in broiler chickens. Sci. J. Anim. Sci. 2014, 3, 41–48. [Google Scholar]
- Alagawany, M.; Elnesr, S.S.; Farag, M.R.; Abd El-Hack, M.E.; Khafaga, A.F.; Taha, A.E.; Tiwari, R.; Yatoo, M.; Bhatt, P. Use of licorice (Glycyrrhiza glabra) herb as a feed additive in poultry: Current knowledge and prospects. Animals 2019, 9, 536. [Google Scholar] [CrossRef]
- Shibata, S. A drug over the millennia: Pharmacognosy, chemistry, and pharmacology of licorice. Yakugaku Zasshi 2000, 120, 849–862. [Google Scholar] [CrossRef] [PubMed]
- Dastagir, G.; Rizvi, M.A. Glycyrrhiza glabra L. (Liquorice). Pak. J. Pharm. Sci. 2016, 29, 5. [Google Scholar]
- Pastorino, G.; Cornara, L.; Soares, S.; Rodrigues, F.; Oliveira, M.B.P. Liquorice (Glycyrrhiza glabra): A phytochemical and pharmacological review. Phytother. Res. 2018, 32, 2323–2339. [Google Scholar] [CrossRef]
- Karahan, F.; Avsar, C.; Ozyigit, I.I.; Berber, I. Antimicrobial and antioxidant activities of medicinal plant Glycyrrhiza glabra var. glandulifera from different habitats. Biotechnol. Biotechnol. Equip. 2016, 30, 797–804. [Google Scholar] [CrossRef]
- Fiore, C.; Eisenhut, M.; Krausse, R.; Ragazzi, E.; Pellati, D.; Armanini, D.; Bielenberg, J. Antiviral effects of Glycyrrhiza species. Phytother. Res. Int. J. Devoted Pharmacol. Toxicol. Eval. Nat. Prod. Deriv. 2008, 22, 141–148. [Google Scholar]
- Somjen, D.; Knoll, E.; Vaya, J.; Stern, N.; Tamir, S. Estrogen-like activity of licorice root constituents: Glabridin and glabrene, in vascular tissues in vitro and in vivo. J. Steroid Biochem. Mol. Biol. 2004, 91, 147–155. [Google Scholar] [CrossRef]
- Alagawany, M.; Abd El-Hack, M.E.; Farag, M.R.; Elnesr, S.S.; El-Kholy, M.S.; Saadeldin, I.M.; Swelum, A.A. Dietary supplementation of Yucca schidigera extract enhances productive and reproductive performances, blood profile, immune function, and antioxidant status in laying Japanese quails exposed to lead in the diet. Poult. Sci. 2018, 97, 3126–3137. [Google Scholar] [CrossRef]
- Sedghi, M.; Golian, A.; Kermanshahi, H.; Ahmadi, H. Effect of dietary supplementation of licorice extract and a prebiotic on performance and blood metabolites of broilers. S. Afr. J. Anim. Sci. 2011, 40. [Google Scholar] [CrossRef]
- Ibrahim, D.; Sewid, A.H.; Arisha, A.H.; El-Fattah, A.H.A.; Abdelaziz, A.M.; Al-Jabr, O.A.; Kishawy, A.T.Y. Influence of Glycyrrhiza glabra Extract on Growth, Gene Expression of Gut Integrity, and Campylobacter jejuni Colonization in Broiler Chickens. Front. Vet. Sci. 2020, 7, 612063. [Google Scholar] [CrossRef] [PubMed]
- Alagawany, M.; Elnesr, S.; Farag, M. Use of liquorice (Glycyrrhiza glabra) in poultry nutrition: Global impacts on performance, carcass and meat quality. World’s Poult. Sci. J. 2019, 75, 293–304. [Google Scholar] [CrossRef]
- Jagadeeswaran, A.; Selvasubramanian, S. Effect of supplementation of licorice root (Glycyrrhiza glabra L.) extracts on immune status in commercial broilers. Int. J. Adv. Vet. Sci. Technol 2014, 3, 88–92. [Google Scholar] [CrossRef]
- Rashidi, N.; Ghorbani, M.R.; Tatar, A.; Salari, S. Response of broiler chickens reared at high density to dietary supplementation with licorice extract and probiotic. J. Anim. Physiol. Anim. Nutr. 2019, 103, 100–107. [Google Scholar] [CrossRef]
- Varsha, S.; Agrawal, R.; Sonam, P. Phytochemical screening and determination of anti-bacterial and anti-oxidant potential of Glycyrrhiza glabra root extracts. J. Environ. Res. Dev. 2013, 7, 1552. [Google Scholar]
- Sohail, M.; Rakha, A.; Butt, M.S.; Asghar, M. Investigating the antioxidant potential of licorice extracts obtained through different extraction modes. J. Food Biochem. 2018, 42, e12466. [Google Scholar] [CrossRef]
- Thakur, A.; Raj, P. Pharmacological perspective of Glycyrrhiza glabra Linn: A mini-review. J. Anal. Pharm. Res 2017, 5, 00156. [Google Scholar] [CrossRef]
- Badr, S.E.; Sakr, D.M.; Mahfouz, S.A.; Abdelfattah, M.S. Licorice (Glycyrrhiza glabra L.): Chemical composition and biological impacts. Res. J. Pharm. Biol. Chem. Sci. 2013, 4, 606–621. [Google Scholar]
- Shabani, L.; Ehsanpour, A.; Asghari, G.; Emami, J. Glycyrrhizin production by in vitro cultured Glycyrrhiza glabra elicited by methyl jasmonate and salicylic acid. Russ. J. Plant Physiol. 2009, 56, 621–626. [Google Scholar] [CrossRef]
- Beski, S.; Shekhu, N.; Sadeq, S.; Al-Khdri, A.; Ramadhan, N.; AL-Bayati, S. Effects of the Addition of Aqueous Liquorice (Glycyrrhiza glabra) Extract to Drinking Water in the Production Performance, Carcass Cuts and Intestinal Histomorphology Of Broiler Chickens. Iraqi J. Agric. Sci. 2019, 50, 842–849. [Google Scholar]
- NRC. Nutrient Requirements of Poultry; National Research Council: Washington, DC, USA, 1994. [Google Scholar]
- AOAC. Official Methods of Analysis; AOAC: Rockville, MA, USA, 1990. [Google Scholar]
- Randhir, S.; Pradhan, K. Forage Evaluation. First Published, Printox, New Dalhi; Dhawan Printing Works: New Dehri, India, 1981. [Google Scholar]
- Hanson, S. Application of the Bligh and Dyer method of lipid extraction to tissue homogenates. J. Biochem. 1963, 89, 101–102. [Google Scholar]
- Allain, C.C.; Poon, L.S.; Chan, C.S.; Richmond, W.; Fu, P.C. Enzymatic determination of total serum cholesterol. Clin. Chem. 1974, 20, 470–475. [Google Scholar] [CrossRef] [PubMed]
- Vassault, A.; Grafmeyer, D.; Naudin, C.; Dumont, G.; Bailly, M.; Henny, J.; Gerhardt, M.; Georges, P. Protocole de validation de techniques. Ann Biol Clin. 1986, 44, 45. [Google Scholar]
- McGowan, M.W.; Artiss, J.D.; Strandbergh, D.R.; Zak, B. A peroxidase-coupled method for the colorimetric determination of serum triglycerides. Clin. Chem. 1983, 29, 538–542. [Google Scholar] [CrossRef] [PubMed]
- Swelum, A.A.; Shafi, M.E.; Albaqami, N.M.; El-Saadony, M.T.; Elsify, A.; Abdo, M.; Taha, A.E.; Abdel-Moneim, A.E.; Al-Gabri, N.A.; Almaiman, A.A.; et al. COVID-19 in human, animal, and environment: A review. Front. Vet. Sci. 2020, 7, 578. [Google Scholar] [CrossRef]
- Songserm, T.; Engel, B.; Van Roozelaar, D.; Kok, G.; Pijpers, A.; Pol, J.; Ter Huurne, A. Cellular immune response in the small intestine of two broiler chicken lines orally inoculated with malabsorption syndrome homogenates. Vet. Immunol. Immunopathol. 2002, 85, 51–62. [Google Scholar] [CrossRef]
- Der, G.; Everitt, B.S. A Handbook of Statistical Analyses Using SAS; Chapman and Hall/CRC: Boca Raton, FL, USA, 2008. [Google Scholar]
- Dhama, K.; Latheef, S.K.; Mani, S.; Samad, H.A.; Karthik, K.; Tiwari, R.; Khan, R.U.; Alagawany, M.; Farag, M.R.; Alam, G.M. Multiple beneficial applications and modes of action of herbs in poultry health and production-A review. Int. J. Pharmacol. 2015, 11, 152–176. [Google Scholar] [CrossRef]
- Upadhayay, U.; Vishwa, P.C.V. Growth promoters and novel feed additives improving poultry production and health, bioactive principles and beneficial applications: The trends and advances-a review. Int. J. Pharm. 2014, 10, 129–159. [Google Scholar]
- Myandoab, M.P.; Hosseini Mansoub, N. Comparative effect of Liquorice root extract medicinal plants and probiotic in diets on performance, carcass traits and serum composition of Japanese quails. Glob. Vet. 2012, 8, 39–42. [Google Scholar]
- Al-Zuhairy, M.; Hashim, M.E. Influence of different levels of licorice (Glycyrrhizaglabra Inn.) and garlic (Alliumsativum) mixture powders supplemented diet on broiler Productive traits. Iraqi J. Vet. Med. 2015, 39, 9–14. [Google Scholar]
- Lashin, I.; Iborahem, I.; Ola, F.; Talkhan, F.; Mohamed, F. Influence of licorice extract on heat stress in broiler chickens. Anim. Health Res. J. 2017, 5, 40–46. [Google Scholar]
- Ocampo, C.; Gómez-Verduzco, G.; Tapia-Perez, G.; Gutierrez, O.; Sumano, L. Effects of glycyrrhizic acid on productive and immune parameters of broilers. Braz. J. Poult. Sci. 2016, 18, 435–442. [Google Scholar] [CrossRef]
- Alagawany, M.; Farag, M.R.; Salah, A.S.; Mahmoud, M.A. The role of oregano herb and its derivatives as immunomodulators in fish. Rev. Aquac. 2020, 12, 2481–2492. [Google Scholar] [CrossRef]
- Al-Daraji, H.J. Influence of drinking water supplementation with licorice extract on certain blood traits of broiler chickens during heat stress. Pharmacogn. Commun. 2012, 2, 29–33. [Google Scholar]
- Hosseini, S.; Goudarzi, M.; Zarei, A.; Meimandipour, A.; Sadeghipanah, A. The effects of funnel and licorice on immune response, blood parameter and gastrointestinal organs in broiler chiks. Iran. J. Med. Aromat. Plants 2014, 30, Pe583–Pe589. [Google Scholar]
- Moradi, N.; Ghazi, S.; Amjadian, T.; Khamisabadi, H.; Habibian, M. Performance and Some Immunological Parameter Responses of Broiler Chickens to Licorice (Glycyrrhiza glabra) Extract Administration in the Drinking Water. Annu. Res. Rev. Biol. 2014, 4, 675–683. [Google Scholar] [CrossRef]
- Bown, D. Encyclopedia of Herbs & Their Uses; Houghton Mifflin: Boston, MA, USA, 1995. [Google Scholar]
- Aoki, F.; Honda, S.; Kishida, H.; Kitano, M.; Arai, N.; Tanaka, H.; Yokota, S.; Nakagawa, K.; Asakura, T.; Nakai, Y. Suppression by licorice flavonoids of abdominal fat accumulation and body weight gain in high-fat diet-induced obese C57BL/6J mice. Biosci. Biotechnol. Biochem. 2007, 71, 206–214. [Google Scholar] [CrossRef]
- Tominaga, Y.; Mae, T.; Kitano, M.; Sakamoto, Y.; Ikematsu, H.; Nakagawa, K. Licorice flavonoid oil effects body weight loss by reduction of body fat mass in overweight subjects. J. Health Sci. 2006, 52, 672–683. [Google Scholar] [CrossRef]
- Visavadiya, N.P.; Narasimhacharya, A.V. Hypocholesterolaemic and antioxidant effects of Glycyrrhiza glabra (Linn) in rats. Mol. Nutr. Food Res. 2006, 50, 1080–1086. [Google Scholar] [CrossRef]
- Jung, J.-C.; Lee, Y.-H.; Kim, S.H.; Kim, K.-J.; Kim, K.-M.; Oh, S.; Jung, Y.-S. Hepatoprotective effect of licorice, the root of Glycyrrhiza uralensis Fischer, in alcohol-induced fatty liver disease. BMC Complementary Altern. Med. 2015, 16, 1–10. [Google Scholar] [CrossRef] [PubMed]
- Kwon, H.-M.; Choi, Y.-J.; Choi, J.-S.; Kang, S.-W.; Bae, J.-Y.; Kang, I.-J.; Jun, J.-G.; Lee, S.-S.; Lim, S.S.; Kang, Y.-H. Blockade of cytokine-induced endothelial cell adhesion molecule expression by licorice isoliquiritigenin through NF-κB signal disruption. Exp. Biol. Med. 2007, 232, 235–245. [Google Scholar] [CrossRef]
- Reda, F.M.; El-Saadony, M.T.; El-Rayes, T.K.; Farahat, M.; Attia, G.; Alagawany, M. Dietary effect of licorice (Glycyrrhiza glabra) on quail performance, carcass, blood metabolites and intestinal microbiota. Poult. Sci. 2021, 100, 101266. [Google Scholar] [CrossRef] [PubMed]
- Vaillancourt, K.; LeBel, G.; Pellerin, G.; Ben Lagha, A.; Grenier, D. Effects of the licorice isoflavans licoricidin and glabridin on the growth, adherence properties, and acid production of Streptococcus mutans, and assessment of their biocompatibility. Antibiotics 2021, 10, 163. [Google Scholar] [CrossRef]
- de Paiva, G.B.; Trindade, M.A.; Romero, J.T.; da Silva-Barretto, A.C. Antioxidant effect of acerola fruit powder, rosemary and licorice extract in caiman meat nuggets containing mechanically separated caiman meat. Meat Sci. 2021, 173, 108406. [Google Scholar] [CrossRef]
- Rashidi, N.; Khatibjoo, A.; Taherpour, K.; Akbari-Gharaei, M.; Shirzadi, H. Effects of licorice extract, probiotic, toxin binder and poultry litter biochar on performance, immune function, blood indices and liver histopathology of broilers exposed to aflatoxin-B1. Poult. Sci. 2020, 99, 5896–5906. [Google Scholar] [CrossRef]
- Dosoky, W.M.; Zeweil, H.S.; Ahmed, M.H.; Zahran, S.M.; Ali, A.M.; Abdelsalam, N.R.; Naiel, M.A.E. The influences of Tylosine and licorice dietary supplementation in terms of the productive performance, serum parameters, egg yolk lipid profile, antioxidant and immunity status of laying Japanese quail under heat stress condition. J. Therm. Biol. 2021, 99, 103015. [Google Scholar] [CrossRef]
- Hashem, M.A.; Abdallah, A.A.; Eldeen, I.G.; Amer, M.M. Biochemical Studies on Rosemary and Licorice against Lead-Induced Oxidative Stress in Rats. Zagazig Vet. J. 2017, 45, 244–256. [Google Scholar] [CrossRef][Green Version]
- Habibi, R.; Sadeghi, G.; Karimi, A. Effect of different concentrations of ginger root powder and its essential oil on growth performance, serum metabolites and antioxidant status in broiler chicks under heat stress. Br. Poult. Sci. 2014, 55, 228–237. [Google Scholar] [CrossRef]
- Sen, S.; Roy, M.; Chakraborti, A.S. Ameliorative effects of glycyrrhizin on streptozotocin-induced diabetes in rats. J. Pharm. Pharmacol. 2011, 63, 287–296. [Google Scholar] [CrossRef]
- Huo, H.Z.; Wang, B.; Liang, Y.K.; Bao, Y.Y.; Gu, Y. Hepatoprotective and antioxidant effects of licorice extract against CCl4-induced oxidative damage in rats. Int. J. Mol. Sci. 2011, 12, 6529–6543. [Google Scholar] [CrossRef] [PubMed]
- Yang, L.; Jiang, Y.; Zhang, Z.; Hou, J.; Tian, S.; Liu, Y. The anti-diabetic activity of licorice, a widely used Chinese herb. J. Ethnopharmacol. 2020, 263, 113216. [Google Scholar] [CrossRef] [PubMed]
- Wu, F.; Jin, Z.; Jin, J. Hypoglycemic effects of glabridin, a polyphenolic flavonoid from licorice, in an animal model of diabetes mellitus. Mol. Med. Rep. 2013, 7, 1278–1282. [Google Scholar] [CrossRef] [PubMed]
- Van Gaal, L.F.; Rissanen, A.M.; Scheen, A.J.; Ziegler, O.; Rössner, S.; Group, R.-E.S. Effects of the cannabinoid-1 receptor blocker rimonabant on weight reduction and cardiovascular risk factors in overweight patients: 1-year experience from the RIO-Europe study. Lancet 2005, 365, 1389–1397. [Google Scholar] [CrossRef]
- Nakai, M.; Fukui, Y.; Asami, S.; Toyoda-Ono, Y.; Iwashita, T.; Shibata, H.; Mitsunaga, T.; Hashimoto, F.; Kiso, Y. Inhibitory effects of oolong tea polyphenols on pancreatic lipase in vitro. J. Agric. Food Chem. 2005, 53, 4593–4598. [Google Scholar] [CrossRef]
- Murase, T.; Nagasawa, A.; Hase, T.; Tokimitsu, I.; Shimasaki, H.; Itakura, H. Dietary tea catechins reduce development of obesity accompanied with gene expression of lipid-metabolizing enzymes in mice. J. Oleo Sci. 2001, 50, 711–715. [Google Scholar] [CrossRef][Green Version]
- Alwash, Y.S.; Latif, A.R.A.; Al-Bayati, N.J. Effect of licorice extract on lipid profile in hypercholestermic male rabbits. Al-Qadisiyah Med. J. 2011, 7, 167–178. [Google Scholar]
- Won, S.-R.; Kim, S.-K.; Kim, Y.-M.; Lee, P.-H.; Ryu, J.-H.; Kim, J.-W.; Rhee, H.-I. Licochalcone A: A lipase inhibitor from the roots of Glycyrrhiza uralensis. Food Res. Int. 2007, 40, 1046–1050. [Google Scholar] [CrossRef]
- Yu, C.; Sun, Q.; Zhou, H. Enzymatic screening and diagnosis of lysosomal storage diseases. N. Am. J. Med. Sci. 2013, 6, 186. [Google Scholar] [CrossRef]
- Mishra, N.; Bstia, S.; Mishra, G.; Chowdary, K.; Patra, S. Anti-arthritic activity of Glycyrrhiza glabra, Boswellia serrata and their synergistic activity in combined formulation studied in freund’s adjuvant induced arthritic rats. J. Pharm. Educ. Res. 2011, 2, 92. [Google Scholar]
- Gilani, S.M.H.; Rashid, Z.; Galani, S.; Ilyas, S.; Sahar, S.; Al-Ghanim, K.; Zehra, S.; Azhar, A.; Al-Misned, F.; Ahmed, Z. Growth performance, intestinal histomorphology, gut microflora and ghrelin gene expression analysis of broiler by supplementing natural growth promoters: A nutrigenomics approach. Saudi J. Biol. Sci. 2021, 28, 3438–3447. [Google Scholar] [CrossRef] [PubMed]
- Reis, J.H.; Gebert, R.R.; Barreta, M.; Baldissera, M.D.; Dos Santos, I.D.; Wagner, R.; Campigotto, G.; Jaguezeski, A.M.; Gris, A.; de Lima, J.L. Effects of phytogenic feed additive based on thymol, carvacrol and cinnamic aldehyde on body weight, blood parameters and environmental bacteria in broilers chickens. Microb. Pathog. 2018, 125, 168–176. [Google Scholar] [CrossRef] [PubMed]
- Kim, S.C.; Byun, S.H.; Yang, C.H.; Kim, C.Y.; Kim, J.W.; Kim, S.G. Cytoprotective effects of Glycyrrhizae radix extract and its active component liquiritigenin against cadmium-induced toxicity (effects on bad translocation and cytochrome c-mediated PARP cleavage). Toxicology 2004, 197, 239–251. [Google Scholar] [CrossRef] [PubMed]
- Ouyang, K.; Xu, M.; Jiang, Y.; Wang, W. Effects of alfalfa flavonoids on broiler performance, meat quality, and gene expression. Can. J. Anim. Sci. 2016, 96, 332–341. [Google Scholar] [CrossRef]
- Honda, K.; Kamisoyama, H.; Tominaga, Y.; Yokota, S.; Hasegawa, S. The molecular mechanism underlying the reduction in abdominal fat accumulation by licorice flavonoid oil in high fat diet-induced obese rats. Anim. Sci. J. 2009, 80, 562–569. [Google Scholar] [CrossRef]
- Kamisoyama, H.; Honda, K.; Tominaga, Y.; Yokota, S.; Hasegawa, S. Investigation of the anti-obesity action of licorice flavonoid oil in diet-induced obese rats. Biosci. Biotechnol. Biochem. 2008, 72, 3225–3231. [Google Scholar] [CrossRef]
- Mandard, S.; Müller, M.; Kersten, S. Peroxisome proliferator-activated receptor α target genes. Cell. Mol. Life Sci. CMLS 2004, 61, 393–416. [Google Scholar] [CrossRef]
- Wang, C.; Duan, X.; Sun, X.; Liu, Z.; Sun, P.; Yang, X.; Sun, H.; Liu, K.; Meng, Q. Protective effects of glycyrrhizic acid from edible botanical Glycyrrhiza glabra against non-alcoholic steatohepatitis in mice. Food Funct. 2016, 7, 3716–3723. [Google Scholar] [CrossRef]
- Vlaisavljević, S.; Šibul, F.; Sinka, I.; Zupko, I.; Ocsovszki, I.; Jovanović-Šanta, S. Chemical composition, antioxidant and anticancer activity of licorice from Fruska Gora locality. Ind. Crops Prod. 2018, 112, 217–224. [Google Scholar] [CrossRef]
- Yatoo, M.; Gopalakrishnan, A.; Saxena, A.; Parray, O.R.; Tufani, N.A.; Chakraborty, S.; Tiwari, R.; Dhama, K.; Iqbal, H. Anti-inflammatory drugs and herbs with special emphasis on herbal medicines for countering inflammatory diseases and disorders-a review. Recent Pat. Inflamm. Allergy Drug Discov. 2018, 12, 39–58. [Google Scholar] [CrossRef]





| Ingredients | Starter | Grower | Finisher |
|---|---|---|---|
| Yellow corn (7.8% CP) | 53 | 60 | 66 |
| Soybean meal (44% CP) | 35.4 | 29.7 | 24.2 |
| Corn gluten (59.2% CP) | 5.8 | 5.4 | 5.2 |
| Vegetable oil 1 | 2 | 1.5 | 1.5 |
| DCP 2 | 1.35 | 1 | 0.9 |
| Lime-stone 3 | 1.6 | 1.6 | 1.4 |
| Lysine 4 | 0.05 | 0.05 | 0.05 |
| DL-Methionine 5 | 0.1 | 0.05 | 0.05 |
| Choline 6 | 0.05 | 0.05 | 0.05 |
| Mycotoxin adsorpant 7 | 0.05 | 0.05 | 0.05 |
| Salt | 0.3 | 0.3 | 0.3 |
| Premix (mineral and vitamin) 8 | 0.3 | 0.3 | 0.3 |
| Total | 100 | 100 | 100 |
| Chemical analysis: | |||
| Moisture % | 11.9 | 12.1 | 11.7 |
| Crude Protein % | 22.9 | 21.1 | 18.9 |
| Ether Extract % | 6.3 | 5.8 | 6.1 |
| Ash % | 5.8 | 5.6 | 5.9 |
| ME kcal/kg diet * | 3000 | 3053 | 3129 |
| Gene | Direction | Primer Sequence | Pb | Accession Number |
|---|---|---|---|---|
| SOD1 | Sense | CACTGCATCATTGGCCGTACCA | 226 | NM_205064.1 |
| Antisense | GCTTGCACACGGAAGAGCAAGT | |||
| CAT | Sense | TGGCGGTAGGAGTCTGGTCT | 115 | NM_001031215.1 |
| Antisense | GTCCCGTCCGTCAGCCATTT | |||
| IGF1 | Sense | CACCTAAATCTGCACGCT | 142 | NM_001004384.3 |
| Antisense | CTTGTGGATGGCATGATCT | |||
| GHr | Sense | AACACAGATACCCAACAGCC | 145 | AH007376.2 |
| Antisense | AGAAGTCAGTGTTTGTCAGGG | |||
| PPARα | Sense | ACGAATGCCAAGGTCTGAGA | 170 | NM_001001464.1 |
| Antisense | TGCAAGGATGACTCTGGCTT | |||
| FAS | Sense | TGGTTGACTGCCACCAATTG | 215 | J04485.1 |
| Antisense | ACCCCACTTTCCATCACGAT | |||
| LPL | Sense | GGATTGCTGGAAGTTTAACCAAG | 330 | NM_205282.2 |
| Antisense | AGAGATGGATGGATCGTTCATGA | |||
| Β.actin | Sense | AGCGAACGCCCCCAAAGTTCT | 139 | NM_205518.1 |
| Antisense | AGCTGGGCTGTTGCCTTCACA |
| Variable | Treatment Groups | p-Value | ||
|---|---|---|---|---|
| Group 1 (Control) | Group 2 (Licorice 0.4 gm/L) | Group 3 (Licorice 0.8 gm/L) | ||
| Initial weight, week 1 | 180.95 ± 2.11 | 181.60 ± 1.06 | 181.87 ± 1.42 | NS |
| Week 2 | 439.62 ± 5.29 b | 478.07 ± 4.18 a | 465.47 ± 6.14 a | <0.0001 |
| Week 3 | 872.93 ± 9.02 b | 963.36 ± 7.66 a | 944.40 ± 14.69 a | <0.0001 |
| Week 4 | 1533.31 ± 16.67 b | 1624.29 ± 13.98 a | 1546.20 ± 25.35 b | 0.0019 |
| Week 5 | 2078.57 ± 22.49 c | 2360.57 ± 29.57 a | 2230.13 ± 27.13 b | <0.0001 |
| Final Weight, Week 6 | 2573.43 ± 23.29 b | 2879.93 ± 36.06 a | 2652.40 ± 35.29 b | <0.0001 |
| Gain1, W1–W2 | 258.67 ± 3.39 c | 296.13 ± 3.40 a | 283.60 ± 5.49 b | <0.0001 |
| Gain2, W2–W3 | 433.31 ± 3.94 b | 485.29 ± 4.77 a | 478.93 ± 9.01 a | <0.0001 |
| Gain3, W3–W4 | 660.38 ± 8.47 a | 660.93 ± 6.67 a | 601.80 ± 12.05 b | <0.0001 |
| Gain4, W4–W5 | 545.26 ± 8.15 c | 736.29 ± 17.29 a | 683.93 ± 5.51 b | <0.0001 |
| Gain5, W5–W6 | 494.86 ± 17.80 a | 519.36 ± 8.74 a | 422.27 ± 10.08 b | <0.0001 |
| TGain, W1–W6 | 2392.48 ± 22.32 b | 2697.99 ± 35.13 a | 2470.53 ± 34.40 b | <0.0001 |
| FI1 | 428.6 ± 0.00 b | 424.20 ± 0.00 c | 436.70 ± 0.00 a | <0.0001 |
| FI2 | 626.37 ± 0.00 c | 703.20 ± 0.00 a | 696.80 ± 0.00 b | <0.0001 |
| FI3 | 969.06 ± 0.00 b | 1018.50 ± 0.00 a | 969.06 ± 0.00 b | <0.0001 |
| FI4 | 1148.00 ± 0.00 c | 1329.00 ± 0.00 a | 1290.00 ± 0.00 b | <0.0001 |
| FI5 | 1245.10 ± 0.00 b | 1219.20 ± 0.00 c | 1307.70 ± 0.00 a | <0.0001 |
| TFI | 4417.13 ± 0.00 b | 4694.10 ± 0.00 a | 4700.26 ± 0.00 a | <0.0001 |
| FCR1 | 1.66 ± 0.02 a | 1.44 ± 0.02 c | 1.57 ± 0.03 b | <0.0001 |
| FCR2 | 1.45 ± 0.01 | 1.46 ± 0.02 | 1.48 ± 0.02 | NS |
| FCR3 | 1.48 ± 0.02 c | 1.55 ± 0.02 b | 1.65 ± 0.03 a | <0.0001 |
| FCR4 | 2.13 ± 0.03 a | 1.88 ± 0.05 b | 1.89 ± 0.02 b | <0.0001 |
| FCR5 | 2.50 ± 0.06 b | 2.40 ± 0.05 b | 3.19 ± 0.07 a | <0.0001 |
| FCR | 1.84 ± 0.02 b | 1.74 ± 0.02 c | 1.90 ± 0.03 a | <0.0001 |
| Variable | Treatment Groups | p-Value | ||
|---|---|---|---|---|
| Group 1 (Control) | Group 2 (Licorice 0.4 gm/L) | Group 3 (Licorice 0.8 gm/L) | ||
| Liver | 2.32 ± 0.02 | 2.33 ± 0.07 | 2.43 ± 0.05 | NS |
| Gizzard | 0.95 ± 0.08 | 1.02 ± 0.03 | 0.99 ± 0.02 | NS |
| Proventriculous | 0.32 ± 0.01 | 0.29 ± 0.02 | 0.32 ± 0.02 | NS |
| Heart | 0.41 ± 0.01 | 0.45 ± 0.03 | 0.41 ± 0.03 | NS |
| Abdominal fat | 1.30 ± 0.06 a | 1.00 ± 0.17 ab | 0.78 ± 0.05 b | 0.008 |
| Spleen | 0.13 ± 0.01 | 0.10 ± 0.01 | 0.14 ± 0.02 | NS |
| Bursa of Fabricius | 0.18 ± 0.01 b | 0.41 ± 0.11 a | 0.13 ± 0.01 b | 0.01 |
| Thymus | 0.34 ± 0.02 | 0.24 ± 0.01 | 0.29 ± 0.04 | NS |
| Intestine | 4.05 ± 0.09 | 3.98 ± 0.30 | 3.67 ± 0.07 | NS |
| Variable | Treatment Groups | p-Value | ||
|---|---|---|---|---|
| Group 1 (Control) | Group 2 (Licorice 0.4 gm/L) | Group 3 (Licorice 0.8 gm/L) | ||
| TC (mg/dL) | 101.00 ± 4.44 a | 74.00 ± 3.33 b | 73.67 ± 2.05 b | <0.0001 |
| TG (mg/dL) | 44.00 ± 1.73 a | 26.33 ± 1.20 b | 28.67 ± 1.45 b | <0.0001 |
| HDL (mg/dL) | 9.47 ± 0.27 b | 14.23 ± 1.30 a | 14.73 ± 0.45 a | 0.0002 |
| LDL (mg/dL) | 82.73 ± 4.49 a | 54.50 ± 2.59 b | 53.20 ± 2.58 b | <0.0001 |
| HDL/LDL Ratio | 0.12 ± 0.1 b | 0.26 ± 0.02 a | 0.29 ± 0.02 a | <0.0001 |
| FFA | 10.37 ± 0.21 a | 7.63 ± 0.28 b | 7.83 ± 0.53 b | <0.0001 |
| Variable | Treatment Groups | p-Value | ||
|---|---|---|---|---|
| Group 1 (Control) | Group 2 (Licorice 0.4 gm/L) | Group 3 (Licorice 0.8 gm/L) | ||
| Protein (g/L) | 3.10 ± 0.26 | 2.77 ± 0.06 | 3.13 ± 0.03 | NS |
| Albumen (g/L) | 2.36 ± 0.11 a | 2.08 ± 0.03 b | 2.13 ± 0.03 b | 0.0171 |
| Globulin (g/L) | 0.74 ± 0.29 | 0.69 ± 0.09 | 1.00 ± 0.00 | NS |
| ALT (U/L) | 37.67 ± 1.20 a | 27.67 ± 0.93 b | 22.00 ± 1.04 c | <0.0001 |
| AST (U/L) | 47.67 ± 1.76 a | 34.00 ± 2.52 b | 34.67 ± 1.69 b | <0.0001 |
| Glucose (mg/dl) | 98.67 ± 3.06 a | 75.33 ± 2.24 b | 77.00 ± 3.50 b | <0.0001 |
| Variable | Treatment Groups | p-Value | ||
|---|---|---|---|---|
| Group 1 (Control) | Group 2 (Licorice 0.4 gm/L) | Group 3 (Licorice 0.8 gm/L) | ||
| GSH (mg/dL) | 40.33 ± 1.76 b | 48.67 ± 1.01 a | 50.67 ± 3.28 a | 0.0075 |
| MDA (nmol/mL) | 5.40 ± 0.16 a | 3.77 ± 0.12 b | 3.60 ± 0.22 b | <0.0001 |
| Catalase (U/L) | 35.33 ± 1.30 b | 42.00 ± 0.87 a | 42.67 ± 1.74 a | 0.0012 |
| Lysozyme | 86.33 ± 0.60 c | 92.00 ± 1.26 b | 103.33 ± 2.46 a | <0.0001 |
| Control | Licorice 0.4 g/L | Licorice 0.8 g/L | |
|---|---|---|---|
| Duodenum | |||
| villi height | 486.5 ± 8.5 b | 556.8 ± 9.45 a | 461.5 ± 14.5 c |
| crypt depth | 73.3 ± 5.2 b | 64.6 ± 5.6 c | 88.1 ± 7.1 a |
| villi height/crypt depth | 6.9 ± 0.45 b | 9 ± 0.25 a | 4.9 ± 0.47 c |
| villi width | 67.3 ± 2.14 b | 80.7 ± 4.1 a | 57.8 ± 2.1 c |
| Ileum | |||
| villi height | 285.396 ± 5.14 b | 290.12 ± 9.1 a | 278.9 ± 12.14 c |
| crypt depth | 41.766 ± 4.6 a | 31.2 ± 1.45 b | 40.14 ± 3.1 a |
| villi height/crypt depth | 6.8332 ± 0.78 b | 9.159 ± 0.78 a | 6.948 ± 0.78 b |
| villi width | 44.02 ± 3.1 b | 56.76 ± 3.6 a | 57.96 ± 3.4 a |
Publisher’s Note: MDPI stays neutral with regard to jurisdictional claims in published maps and institutional affiliations. |
© 2022 by the authors. Licensee MDPI, Basel, Switzerland. This article is an open access article distributed under the terms and conditions of the Creative Commons Attribution (CC BY) license (https://creativecommons.org/licenses/by/4.0/).
Share and Cite
Abo-Samaha, M.I.; Alghamdi, Y.S.; El-Shobokshy, S.A.; Albogami, S.; El-Maksoud, E.M.A.; Farrag, F.; Soliman, M.M.; Shukry, M.; El-Hack, M.E.A. Licorice Extract Supplementation Affects Antioxidant Activity, Growth-Related Genes, Lipid Metabolism, and Immune Markers in Broiler Chickens. Life 2022, 12, 914. https://doi.org/10.3390/life12060914
Abo-Samaha MI, Alghamdi YS, El-Shobokshy SA, Albogami S, El-Maksoud EMA, Farrag F, Soliman MM, Shukry M, El-Hack MEA. Licorice Extract Supplementation Affects Antioxidant Activity, Growth-Related Genes, Lipid Metabolism, and Immune Markers in Broiler Chickens. Life. 2022; 12(6):914. https://doi.org/10.3390/life12060914
Chicago/Turabian StyleAbo-Samaha, Magda I., Youssef S. Alghamdi, Set A. El-Shobokshy, Sarah Albogami, Eman M. Abd El-Maksoud, Foad Farrag, Mohamed M. Soliman, Mustafa Shukry, and Mohamed E. Abd El-Hack. 2022. "Licorice Extract Supplementation Affects Antioxidant Activity, Growth-Related Genes, Lipid Metabolism, and Immune Markers in Broiler Chickens" Life 12, no. 6: 914. https://doi.org/10.3390/life12060914
APA StyleAbo-Samaha, M. I., Alghamdi, Y. S., El-Shobokshy, S. A., Albogami, S., El-Maksoud, E. M. A., Farrag, F., Soliman, M. M., Shukry, M., & El-Hack, M. E. A. (2022). Licorice Extract Supplementation Affects Antioxidant Activity, Growth-Related Genes, Lipid Metabolism, and Immune Markers in Broiler Chickens. Life, 12(6), 914. https://doi.org/10.3390/life12060914

