Abstract
A strain of Leptospirillum sp. CC previously isolated from Akhtala polymetallic ore (Armenia) was studied. The main morphological and physiological characteristics of CC were revealed. The optimal growth temperature was 40 °C and optimal pH 1.5. A phylogenetic analysis based on 16S rRNA gene sequences (GenBank ID OM272948) showed that isolate CC was clustered with L. ferriphilum and possessed 99.8% sequence similarity with the strain L. ferriphilum OL12-2 (KF356024). The molar fraction of DNA (G + C) of the isolate was 58.5%. Bioleaching experiment indicates that L. ferriphilum CC can oxidize Fe(II) efficiently, and after 17 days, 44.1% of copper and 91.4% of iron are extracted from chalcopyrite and pyrite, respectively. The efficiency of L. ferriphilum CC in pyrite oxidation increases 1.7 times when co-cultivated with At. ferrooxidans ZnC. However, the highest activity in pyrite oxidation shows the association of L.ferriphilum CC with heterotrophic Acidocella sp. RBA bacteria. It was shown that bioleaching of copper and iron from chalcopyrite by association of L. ferriphilum CC, At. ferrooxidans ZnC, and At. albertensis SO-2 in comparison with pure culture L. ferriphilum CC for 21 days increased about 1.2 and 1.4–1.6 times, respectively.
1. Introduction
Although At. ferrooxidans was considered to be the most important microorganism in bioleaching of metals for many years, leptospirilla have been found to be the dominant iron-oxidizing bacteria in gold–arsenopyrite and pyrite biooxidation reactors operating at 40 °C [1,2,3,4,5,6]. One of the major factors that determines the dominance of particular microorganisms in the commercial bioleaching operations is the ratio of ferric/ferrous ions (related to the redox potential). In contrast to At. ferrooxidans, Leptospirillum ferrooxidans is found to be resistant even to 500 mM ferric iron concentration [7]. Both L. ferrooxidans and L. ferriphilum can oxidize ferrous iron even at a pH as low below 1.0 and up to 40 °C temperature [6,8,9,10,11].
On the basis of 16S rRNA gene phylogeny, the genus Leptospirillum has been divided into three groups [12]. At present, the genus Leptospirillum comprises four species of Gram-negative obligately aerobic chemolithotrophic bacteria: Leptospirillum ferrooxidans (group I) [13], Leptospirillum rubarum (group II) [14], Leptospirillum ferriphilum and L. ferrodiazotrophum (group III) [14,15]. In addition, microbial community genomics has identified further species of “Leptospirillum sp. group IV UBA BS” [14,16].
Leptospirillum spp. are vibrio and spiral-shaped chemolithotrophic organisms that fix carbon (CO2) using Fe(II) as energy source [1,17,18,19].
The temperature optimum is between 30 to 37 °C, although many isolated strains are defined as being moderately thermophilic (above 40 °C). Leptospirillum spp. bacteria are able to grow in a pH range from 1.0–2.0 [20].
Leptospirillum ferriphilum belongs to the bioleaching microbial communities involved in solubilization of metals from sulfide ores [21].
As reported by Galleguillos et al. (2009) [22], the metal resistance ability of the L. ferriphilum was far greater than At. ferrooxidans and L. ferrooxidans, which makes it an ideal candidate for bioreoxidation of ferrous iron from leachates containing different metals. The organism is quite useful in two-stage bioleaching processes for treatment of copper and other base metal concentrates [23,24,25,26].
Recently, scientists particularly highlighted species of Leptospirillum genera and their mixed cultures with other bacteria in the processes of biooxidation and bioleaching of minerals occurring at temperatures higher than 40 °C [17,27,28,29,30,31]. Leptospirillum spp. bacteria capable of oxidizing Fe(II) within the temperature range of 30–40 °C have been isolated from leaching pulps of copper concentrate and arsenopyrite concentrates.
This study addresses the characterization and reclassification based on 16S rRNA analysis of the previously isolated and described strain L. ferriphilum CC dominate in a bioleaching pulp of copper concentrate [32]. The objective of this study is to assess the potential of the isolated strain as a promising candidate for the regeneration of ferric iron and biodegradation of sulfide minerals.
2. Materials and Methods
2.1. Cultures and Growing Conditions
In this study, L. ferriphilum CC, iron- and sulfur-oxidizing At. ferrooxidans ZnC, sulfur-oxidizing At. albertensis SO-2 (KP455986), and heterotrophic Acidocella sp. RBA (KX784767) isolated by us previously were used [32,33,34,35]. Before bioleaching experiments, L. ferriphilum CC and At. ferrooxidans ZnC were grown on MAC medium [36] with ferrous iron as a source of energy at 40 and 30 °C, respectively, At. albertensis SO-2 was grown on MAC medium with elemental sulfur as a source of energy at 30 °C, and Acidocella sp. RBA was grown on LHET2 35 °C [37].
2.2. Morphology and SEM Images
Gram-staining was performed by Huker method [38] and was observed with Leica DM500 trinocular (×1000) microscope. For SEM studies, bacterial culture L. ferriphilum CC was grown on MAC medium at pH 3.0 containing ferrous iron at 40 °C. Then bacterial culture was filtered onto a 0.2 μm pore-size membrane, then the sample was successively dehydrated with acetone/water mixtures of 30%, 50%, and 70% acetone, and stored overnight at 4 °C in 90% acetone. The sample was dried by critical-point drying and coated with gold. A Zeiss Sigma 300V P FEG scanning electron microscope operating at 5 kV was used to observe samples.
2.3. Optimal pH and Temperature for Growth
The study of the effect of temperature and pH on the growth of CC strain was carried out in 100 mL flasks containing 50 mL of sterile MAC medium, 5 mL inoculum on the rotary shaker, and cultures were agitated at 150 rpm. Growth ranges for temperature and pH were set as 25–50 °C and 0.5 to 2.5, respectively.
2.4. Determination of Organic Acids in Culture Liquid of L. ferriphilum CC
Organic acids in the culture liquid were determined by HPLC. The method is based on the use of reverse-phase high-performance liquid chromatography (HPLC). The mass concentration (mass fraction) of organic acids in the sample was determined by a diode array detector. Eluent: phosphate buffer solution, molar concentration 0.1 mol/dm3, pH 2.2–2.6, column temperature−30 °C, ambient temperature −22 ± 1 °C. The measurements were carried out in the wavelength range of the diode array detector: 200–600 nm. Eluent flow rate: 1 ml/min, injected sample volume −5–10 µl.
Prior to analysis, the samples were preconcentrated under a stream of nitrogen in a NER-13 nitrogen concentrator, the concentrated samples were passed through a membrane filter with a pore diameter of 0.95 µm, and then through a C18 purification column.
2.5. Phylogenetic Analysis
Total DNA of CC strain was extracted by following a protocol provided by the NucleoSpin Microbial DNA Kit (Macherey-Nagel, Düren, Germany). Polymerase chain reaction (PCR) was performed to amplify the 16S rRNA gene region by using the genomic DNA of the strains as template, universal bacterial primers fD1 (27F) (AGAGTTTGATCCTGGCTCAG) and rP2 (ACGGCTACCTTGTTACGAG) as primers. PCR products were tested by 1.5% agarose gel electrophoresis and sequenced with primers 908fwd (16Sfwd) (GTGCCAGCAGCCGCG) and 796rev (16Srev) (GGGTTGCGCTCGTTG) by Microsynth AG (Balgach, Switzerland). Close relative and phylogenetic affiliation of the obtained 16S rRNA sequences were determined by submitting to the NCBI 16S ribosomal RNA GenBank database using NCBI BLAST search analyses (www.ncbi.nlm.nih.gov) performed with Geneious prime 2022.0.2. (https://www.geneious.com) and the 16S Biodiversity tool (RDP tool version 2.12) [39,40]. Construction of phylogenetic trees was performed by MEGA X software using neighbor-joining method [41,42].
DNA base composition (G + C) content was determined using HPLC Method [43].
2.6. Leaching Experiments
Pyrite (FeS2) and chalcopyrite (CuFeS2) from Shamlugh ore deposit (Armenia) were tested in the bioleaching experiments. Chemical composition of minerals is presented in Table 1. Feed minerals were ground to a particle size ≤ 63 µm.
Table 1.
Chemical composition of the analyzed minerals (wt%).
Bioleaching of pyrite and chalcopyrite was performed using pure culture of L. ferriphilum CC as well as its associations with At.ferrooxidans ZnC, At. albertensis SO-2, and heterotrophic bacteria Acidocella sp. RBA [34]. Bioleaching experiments with L. ferriphilum CC were carried out in 250 mL Erlenmeyer flasks containing 100 mL of MAC medium without iron at 40 °C. Comparative studies on bioleaching of minerals by pure and mixed cultures were performed at 35 °C, which is closer to optimal growth temperatures of all bacteria used. Pulp density (PD) was 4% and pH 1.5. The inoculum of used cultures was 5% and all experiments were carried out in triplicate. For each bioleaching experiment chemical controls with the same conditions and without inoculum were included. Copper, total iron, ferric (Fe(III)), and ferrous (Fe(II)) ions in leachate were analyzed at 24 h intervals and pH was recorded as well. The redox potential was measured with an oxidation/reduction potentials (ORP) electrode met BNC-connector (Pt/Ag/AgCl) of Hi2211-01 Benchtop pH/mV Meter (Hanna Instruments, Vöhringen, Germany). pH was determined with a Hi2211-01 Benchtop pH/mV Meter equipped with an Ag/AgCl electrode. Copper and total iron were determined by atomic-absorption spectrophotometer AAS 1N (Carl Zeiss, Jena, Germany) using an air–propane–butane flame. Concentrations of ferric (Fe(III)) and ferrous (Fe(II)) ions were determined by the complexometric method with EDTA [44].
3. Results
3.1. Cell Morphology
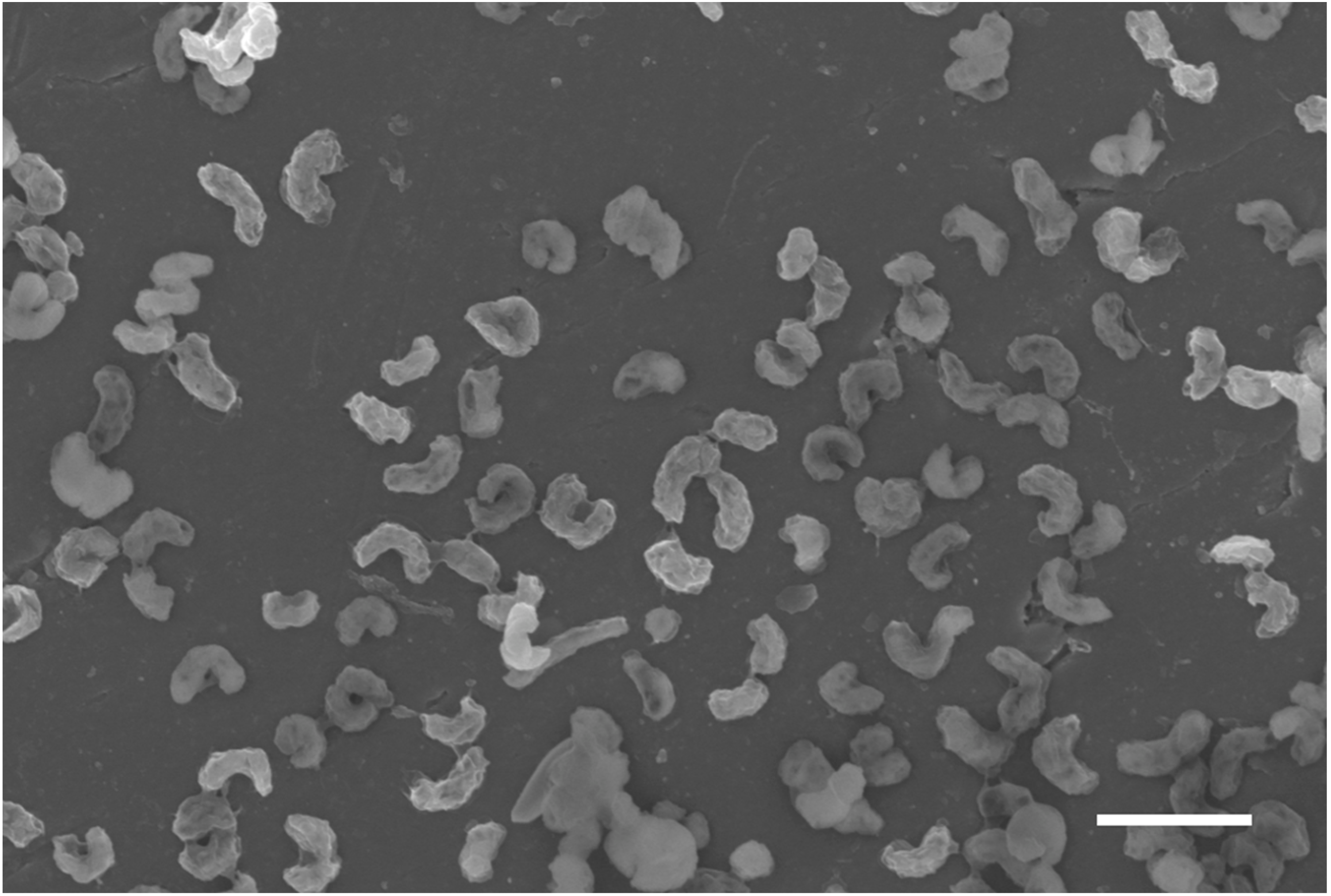
Cells of Leptospirillum sp. CC are Gram-negative and are motile, vibrio- or spiral-shaped (Figure 1, Supplementary Figure S1). They have a diameter of 0.2–0.6 µm and a length of 1.2–1.9 µm.
Figure 1.
SEM micrograph of Leptospirillum sp. CC. Cells were grown on ferrous iron at 40 °C for 5 days. Bar represents 2 µm.
This observation is typical for the genus of Leptospirillum. Cells were mainly vibrio-like, and seldom were spiral with up to ten turns (Supplementary Figure S1). The morphology results show that strain CC is consistent with previously described Leptospirillum species [45].
3.2. Physiological–Biochemical Characteristics
Optimal pH and temperature for growth: the study on the influence of temperature and pH on the growth of CC strain indicates an optimum of 40 °C and pH 1.5, respectively (Figure 2). No growth is detected at 50 °C. pH 0.5 is the lower limit for the growth of CC strain (Figure 2).
Figure 2.
Effect of temperature (a) at pH 1.6) and pH (b) at temperature 40 °C on iron oxidation by L. ferriphilum CC.
The influence of Fe2+/Fe3+, as well as Cu, Zn, Ni, and Co ions, on the growth of Leptospirillum sp. CC and Fe2+ oxidation was studied previously. The comparison of iron oxidation kinetic parameters of Leptospirillum sp. CC with other strains of L. ferriphilum indicates the high potential of Leptospirillum sp. CC strain in view of biogenic regeneration of concentrated ferric iron (Fe3+) during the bioleaching processes of ores and mineral concentrates [32].
3.3. Phylogenetic Analysis of 16S RNA
The sequence of 16S rRNA of Leptospirillum sp. CC was submitted to the GenBank and the accession number OM272948 was obtained. Based on homology of 16S rRNA, the phylogenetic tree was built as shown in Figure 3. Isolate CC was clustered with Leptospirillum ferriphilum strains and possessed 99.80% sequence similarity with L. ferriphilum OL 12-2 (Figure 3, Table 2). In Figure 3, Lactobacillus acidophilus is used as an outgroup to root the tree, and the database accession numbers of the gene sequences used are given in parentheses.
Figure 3.
Phylogenetic position of strain CC. The evolutionary history was inferred using the neighbor-joining method [46]. The percentage of replicate trees in which the associated taxa clustered together in the bootstrap test (10,000 replicates) are shown next to the branches [47].
Table 2.
Identity of 16S rRNA of isolated Leptospirillum sp. CC with other L. ferriphilum strains.
Chromosomal DNA base analysis shows that Leptospirillum sp. CC has a G + C content of 58.5%, which is close to, or coincides with, Group Ⅱ Leptospirilla capable of growing in the temperature range of 35−45 °C [30]. Thus, G + C content analysis suggests that strain CC belongs to Group Ⅱ Leptospirilla.
3.4. Leaching Results
Bioleaching of pyrite and chalcopyrite: the bioleaching trends for pyrite and chalcopyrite by L. ferriphilum CC at 40 °C are shown in Figure 4 and Figure 5, respectively. As shown in Figure 4, L. ferriphilum CC demonstrates an elevated pyrite-oxidizing activity. After 17 days of bioleaching, 26.3% of iron was leached resulting in 4.6 g/L concentration in the leached solution.
Figure 4.
Bioleaching of pyrite by L. ferriphilum CC (T 40 °C; pH 1,5; PD 4%).
Figure 5.
Bioleaching of iron (a) and copper (b) from chalcopyrite by L. ferriphilum CC (T 40 °C; pH 1.5, PD 4%).
As shown in Figure 5, the amount of leached copper increases with the bioleaching time and reaches 0.325 g/L corresponding to 3% for 15 days. Thus, activity of L. ferriphilum CC in biodegradation of chalcopyrite is much lower compared with pyrite.
3.4.1. Pyrite Leaching by L. ferriphilum CC with Associations of Other Iron- and Sulfur-Oxidizing and Heterotrophic Bacteria
The operational feasibility of the bioleaching and biooxidation processes is largely determined by the nature of the used microorganisms. It has been shown that associations and natural consortia of microorganisms function in a more efficient and stable way in commercial bioleaching installations than the corresponding pure cultures [52,53,54,55,56]. Therefore, the development and establishment of a highly active resistant microbial associations for use at commercial scale remains an important challenge.
Based on the above-mentioned, the associations of L. ferriphilum CC with iron- and sulfur-oxidizing bacteria At. ferrooxidans ZnC, sulfur-oxidizing bacteria At. albertensis SO-2, and heterotrophic bacteria Acidocella sp. RBA were studied.
The data presented in Figure 6 show that the efficiency of L. ferriphilum CC in pyrite oxidation increases by 1.7 times when co-cultivated with At. ferrooxidans ZnC. At. albertensis SO-2 in association with L. ferriphilum has no significant effect (1.2 times) on pyrite bioleaching. However, the association constructed on the basis of L. ferriphilum CC and Acidocella sp. RBA bacteria makes it possible to increase the amount of total iron leached from pyrite by about 2.8 times (Figure 6). Thus, the association of L. ferriphilum CC with heterotrophic bacteria shows the highest activity in pyrite oxidation (Figure 6).
Figure 6.
Bioleaching of pyrite by mono and mixed cultures of L. ferriphilum CC, At. ferrooxidans ZnC, At. albertensis SO-2, and Acidocella sp. RBA (T 35 °C; pH 1.8; 180rpm; PD 4%).
It should be noted that when using a pure culture of At. ferrooxidans ZnC, leached iron is present in the ferric and ferrous form in approximately equal amounts. Accordingly, the redox potential of the leaching solution differs slightly from that of the non-inoculated control (Table S1). A low ORP (625 mV) is also observed when using the association of L. ferriphilum CC with the sulfur-oxidizing bacterium At. albertensis SO-2. When using associations of L. ferriphilum CC with At. ferrooxidans ZnC, due to the high iron-oxidizing activity of L. ferriphilum CC, the leached iron is exclusively in the form of ferric iron, which provides the highest ORP (850 mV) value and, therefore, a high oxidizing power of the leaching solution. Despite the fact that when using L. ferriphilum CC with Acidocella sp. RBA, the highest amount of leached iron is observed, the ORP of the solution is significantly lower, at −715 mV (Table S1). Thus, the ORP, and, consequently, the oxidizing features of the leaching solution, depend on the activity of the iron-oxidizing bacteria or the associations between them.
The degree of iron extraction by the association of L. ferriphilum CC and Acidocella sp. RBA reach 56%, while in the case of the monoculture of L. ferriphilum CC and At. ferrooxidans ZnC, this parameter does not exceed 20%.
Pyrite is insoluble in acid and, therefore, according to the mechanism of oxidation of sulfide minerals, can be dissolved only under the action of ferric iron. Thus, the presence of L. ferriphilum CC in association with At. ferrooxidans ZnC leads to intensive oxidation of Fe(II) ions and regeneration of ferric iron (Fe(III)), which, in turn, accelerates the oxidation of pyrite according to the equation below (Equation (1)):
3.4.2. Bioleaching of Chalcopyrite by L. ferriphilum CC with Associations of At. ferrooxidans ZnC, At. albertensis SO-2, and Acidocella sp. RBA
The data shown in Figure 7 and Figure 8 indicate that associations of iron-oxidizing bacterium L. ferriphilum CC with At. ferrooxidans ZnC and sulfur-oxidizing At.albertensis SO-2 oxidize chalcopyrite much more actively than a pure culture of L. ferriphilum CC. Thus, in the presence of At. ferrooxidans ZnC and At. albertensis SO-2, the leaching of copper and iron by L. ferriphilum CC from chalcopyrite increases, approximately 1.2 and 1.4–1.6 times, respectively (Figure 7 and Figure 8). It is noteworthy that in the leaching of copper and iron from chalcopyrite, the association of L. ferriphilum CC with a heterotrophic bacterium seems to be more effective in comparison with pure culture (1.3 and 1.85 times, respectively). However, the association consisting of L. ferriphilum CC, At. ferrooxidans ZnC, and sulfur-oxidizing bacterium At. albertensis SO-2 shows the highest efficiency in leaching of copper and iron from chalcopyrite (Figure 7 and Figure 8). This is because for 25 days of bioleaching of chalcopyrite with the association of L. ferriphilum CC, At. ferrooxidans ZnC, and At. albertensis SO-2, copper extraction reaches 15% and iron extraction 33% (Table 3).
Figure 7.
Leaching of copper from chalcopyrite by a pure culture of L. ferriphilum CC and association with other iron- and sulfur-oxidizing bacteria (T 35 °C; pH 1.8; 180 rpm; PD 4%).
Figure 8.
Leaching of iron from chalcopyrite by a pure culture of L. ferriphilum CC and association with other iron- and sulfur-oxidizing bacteria and Acidocella sp. RBA heterotrophic bacteria (T 35 °C; pH 1.8; 180 rpm; PD 4%).
Table 3.
Leaching of iron and copper from chalcopyrite by L. ferriphilum CC and association with iron- and sulfur-oxidizing and heterotrophic bacteria.
The data in Table 3 show that chalcopyrite bioleaching is correlated with changes in solution pH and ORP. When using L. ferriphilum CC and At. ferrooxidans ZnC as monoculture, the final pH is 1.8 and 1.75, and the ORP is 640 and 600 mV, respectively, while in case of L. ferriphilum CC in association with At. albertensis SO-2, the pH is relatively lower (1.6), and the ORP is significantly higher (720 mV). The lowest pH (1.5) and the highest ORP value (815 mV) are observed in case of using the association consisting of L. ferriphilum CC, At. ferrooxidans ZnC, and At. albertensis SO-2 (Table 3).
Chalcopyrite is an acid-soluble sulfide mineral and is, therefore, attacked by both ferric iron (Fe3+) and protons (H+) (Equations (2) and (3)) [57,58].
Ferric ions oxidize chalcopyrite, releasing copper and iron, as well as elemental sulfur, into solution (Equation (2)). The role of L. ferriphilum CC lies in the regeneration of the oxidizing agent—Fe(III) (Equation (4)).
It is assumed that iron-oxidizing bacteria accelerate the leaching of chalcopyrite through the ferric iron they produce. At. albertensis in a mixed culture oxidizes sulfide sulfur to sulfuric acid, and thereby prevents the formation of jarosite and the hydrophobic layer of sulfur on the surface of chalcopyrite (Equation (5)). Thus, it ultimately limits the mineral passivation phenomena and promotes the oxidation rate of chalcopyrite.
3.5. Determination of Organic Acids in Culture Liquid of L. ferriphilum CC
The data shown in Table 4 and Table 5 have to be regarded in conjunction with the fact that both At. ferrooxidans and Leptospirillum excrete low molecular compounds (organic acids) to the solution. Excretion of some organic acids by the mentioned bacteria has been observed in our previous work [34].
Table 4.
Analysis of organic acids in culture liquid L. ferriphilum CC by HPLC.
Table 5.
Analysis of organic acids in culture liquid At. ferrooxidans ZnC by HPLC.
Analysis of the culture liquid of At. ferrooxidans ZnC and L. ferriphilum CC after cell removal by high-performance liquid chromatography (HPLC) shows the presence of tartaric, malic, acetic, and citric acids. The results of the analysis of organic acids in samples of the culture liquid At. ferrooxidans ZnC and L. ferriphilum CC are presented in Table 4 and Table 5.
Berthelot et al. [59]., Johnson and Roberto [60]., and Liu et al. [61] proposed that the presence of heterotrophs, such as A. acidophilum, could improve metal bioleaching by biodegrading organic matter and, thus, detoxify the growth environment for other acidophiles. Paiment et al. [62] in a 21 day bioleaching experiment, using At. ferrooxidans alone or mixed culture with A. acidophilum, showed that the recovery of copper from copper–nickel sulfide ore increased from 1.7 to 2.5% in case of mixed culture. Bacelar-Nicolau and Johnson [63] found that pyrite leaching was enhanced when mixed cultures containing iron oxidizers and A. acidophilum were used.
Thus, acidophilic heterotrophic Acidocella sp. RBA bacteria can utilize organic compounds contained in exudate or lysate of cells and, thus, reduce their toxic effect on autotrophic bacteria such as At. ferrooxidans ZnC and L. ferriphilum CC. In addition, heterotrophic Acidocella sp. RBA bacteria excrete CO2 during respiration that can be assimilated by autotrophic bacteria in their constructive metabolism.
Thus, interactions between iron-oxidizing and sulfur-oxidizing autotrophs and heterotrophs in association increase the extraction of metals.
It is well-known that a mixed culture consisting of moderately thermophilic bacteria L. ferrooxidans and At. caldus leaches chalcopyrite more efficiently than the mesophilic bacterium At. ferrooxidans in pure and mixed culture. In addition, it was noted that when using At. ferrooxidans, passivation of the chalcopyrite surface and inhibition of mineral leaching quickly occurred [52,54,64,65,66].
4. Conclusions
The cells of CC are Gram-negative and are motile, vibrio- or spiral-shaped, with a 0.12–0.13 μm width and a 0.6–1.0 μm length. It has a guanine plus cytosine (G + C) content of 58.5% and exhibits 99.8% similarity of 16S rRNA to L. ferriphilum OL12-2.
Physiological investigation has indicated that L. ferriphilum CC is an obligate chemolithoautotroph, metabolizing ferrous iron and pyrite. Optimal growth temperature for L. ferriphilum CC was found to be 40 °C and the optimal pH -1.5.
It has been shown that during bioleaching experiments L. ferriphilum CC can oxidize Fe(II) efficiently, and after 17 days, 44.1% of copper and 91.4% of iron are extracted from chalcopyrite and pyrite, respectively.
When co-cultivated with At. ferrooxidans ZnC, the efficiency of L. ferriphilum CC in pyrite oxidation increases by 1.7 times. The association of L. ferriphilum CC with heterotrophic Acidocella sp. RBA resulted in highest activity in pyrite oxidation.
It has also been shown that bioleaching of copper and iron from chalcopyrite by association of L. ferriphilum CC, At. ferrooxidans ZnC, and At. albertensis SO-2 in comparison with pure culture L. ferriphilum CC for 21 days increases about 1.2 and 1.4–1.6 times, respectively.
Thus, it is supposed that heterotrophic Acidocella sp. RBA bacteria can utilize organic compounds contained in exudate or lysate of cells and, therefore, reduce their toxic effect on autotrophic bacteria such as At. ferrooxidans ZnC and L. ferriphilum CC.
This indigenous strain may contribute to the iron cycling as well as to the acid mine drainage patterns in the local area.
Supplementary Materials
The following supporting information can be downloaded at: https://www.mdpi.com/article/10.3390/min13020243/s1, Figure S1: SEM micrograph of strain Leptospirillum sp. CC after growth of 5 days; Table S1: Iron leaching from pyrite by a pure culture of L. ferriphilum CC and associations with other iron- and sulfur-oxidizing and heterotrophic bacteria.
Author Contributions
Conceptualization, A.V., N.V. and R.Z.; methodology, A.V., N.V., R.Z. and L.C.; software, A.V.; validation, S.W., L.C., S.G., N.V. and R.Z.; formal analysis, A.V., A.K., L.C. and R.Z.; investigation, A.V., A.K. and R.Z.; resources, N.V.; data curation, N.V. and R.Z.; writing—original draft preparation, A.V.; writing—review and editing, N.V., R.Z., L.C., S.W. and S.G.; visualization, A.V., N.V. and A.K.; supervision, N.V. and R.Z.; project administration, N.V.; funding acquisition, N.V. and A.V. All authors have read and agreed to the published version of the manuscript.
Funding
This work was supported by the Science Committee of RA, Research project № 22rl-031.
Data Availability Statement
Not applicable.
Conflicts of Interest
The authors declare no conflict of interest. The funders had no role in the design of the study; in the collection, analyses, or interpretation of data; in the writing of the manuscript; or in the decision to publish the results.
References
- Gao, J.; Zhang, C.G.; Wu, X.L.; Wang, H.H.; Qio, G.Z. Isolation and identification of a strain of Leptospirillum ferriphilum from an extreme acid mine drainage site. Ann. Microbiol. 2007, 57, 171–176. [Google Scholar] [CrossRef]
- Lawson, E.N. The composition of mixed populations of leaching bacteria active in gold and nickel recovery from sulphide ores. In International Biohydrometallurgy Symposium: Biomine 97; Australian Mineral Foundation: Glenside, Australia, 1997; pp. QP4.1–QP4.10. [Google Scholar]
- Rawlings, D.E.; Coram, N.J.; Gardner, M.N.; Deane, S.M. Thiobacillus caldus and Leptospirillum ferrooxians are widely distributed in continuous-flow biooxidation tanks used to treat a variety of metalcontaining ores and concentrates. In Biohydrometrallurgy and the Environment toward the Mining of the 21st Century, Part A; Amils, R., Ballester, A., Eds.; Elsevier: Amsterdam, The Netherlands, 1999; pp. 773–778. [Google Scholar]
- Schippers, A. Microorganisms involved in bioleaching and nucleic acid-based molecular methods for their identification and quantification. In Microbial Processing of Metal Sulfides; Donati, R.E., Sand, W., Eds.; Springer: New York, NY, USA, 2007; pp. 3–33. [Google Scholar]
- Dave, S.R. Selection of Leptospirillum ferrooxidans SRPCBL and development for enhanced ferric regeneration in stirred tank and airlift column reactor. Bioresour. Technol. 2008, 99, 7803–7806. [Google Scholar] [CrossRef] [PubMed]
- Wu, X.; Liao, W.; Peng, T.; Shen, L.; Qiu, G.-Z.; Erdenechimeg, D.; Zeng, W.-M. Biodissolution of pyrite and bornite by moderate thermophiles. J. Cent. South Univ. 2022, 29, 3630–3644. [Google Scholar] [CrossRef]
- Curutchet, G.; Pogliani, C.; Donati, E.; Tedesco, P. Effect of iron (III) and its hydrolysis products (jarosites) onThiobacillus ferrooxidans growth and on bacterial leaching. Biotechnol. Lett. 1992, 14, 329–334. [Google Scholar] [CrossRef]
- Foucher, S.; Battaglia-Brunet, F.; D’Hugues, P.; Clarens, M.; Godon, J.J.; Morin, D. Evolution of the bacterial population during the batch bioleaching of a cobaltiferous pyrite in a suspended-solids bubble column and comparison with a mechanically agitated reactor. Hydrometallurgy 2003, 71, 5–12. [Google Scholar] [CrossRef]
- Rawlings, D.E.; Tributsch, H.; Hansford, G.S. Reasons why ‘Leptospirillum’-like species rather than Thiobacillus ferrooxidans are the dominant iron-oxidizing bacteria in many commercial processes for the biooxidation of pyrite and related ores. Microbiology 1999, 145, 5–13. [Google Scholar] [CrossRef]
- Liu, J.-S.; Xie, X.-H.; Xiao, S.-M.; Wang, X.-M.; Zhao, W.-J.; Tian, Z.-L. Isolation of Leptospirillum ferriphilum by single-layered solid medium. J. Cent. South Univ. Technol. 2007, 14, 467–473. [Google Scholar] [CrossRef]
- Rawlings, D. Characteristics and adaptability of iron- and sulfur-oxidizing microorganisms used for the recovery of metals from minerals and their concentrates. Microb. Cell Factories 2005, 4, 13. [Google Scholar] [CrossRef]
- Bond, P.L.; Banfield, J.F. Design and performance of rRNA targeted oligonucleotide probes for in situ detection and phylogenetic identification of microorganisms inhabiting acid mine drainage environments. Microb. Ecol. 2001, 41, 149–161. [Google Scholar] [CrossRef]
- Hippe, H. Leptospirillium gen. nov (ex Markoysan 1972), nom. rev., including Leptospirillium ferrooxidans sp. nov. (ex Markoysan 1972), nom. rev. and Leptospirillium thermoferrooxidans sp. nov. (Golovacheva et al. 1992). Int. J. Syst. Evol. Microbiol. 2000, 50, 501–503. [Google Scholar] [CrossRef]
- Goltsman, D.S.; Denef, V.J.; Singer, S.W.; VerBerkmoes, N.C.; Lefsrud, M.; Mueller, R.S.; Dick, G.J.; Sun, C.L.; Wheeler, K.E.; Zemla, A.; et al. Community genomic and proteomic analyses of chemoautotrophic iron-oxidizing “Leptospirillum rubarum” (group II) and “Leptospirillum ferrodiazotrophum” (group III) bacteria in acid mine drainage biofilms. Appl. Environ. Microbiol. 2009, 75, 4599–4615. [Google Scholar] [CrossRef]
- García-Moyano, A.; González-Toril, E.; Moreno-Paz, M.; Parro, V.; Amils, R. Evaluation of Leptospirillum spp. in the Río Tinto, a model of interest to biohydrometallurgy. Hydrometallurgy 2008, 94, 155–161. [Google Scholar] [CrossRef]
- Goltsman, D.S.A.; Dasari, M.; Thomas, B.C.; Shah, M.B.; VerBerkmoes, N.C.; Hettich, R.L.; Banfield, J.F. New Group in the Leptospirillum Clade: Cultivation-Independent Community Genomics, Proteomics, and Transcriptomics of the New Species “Leptospirillum Group IV UBA BS”. Appl. Environ. Microbiol. 2013, 79, 5384–5393. [Google Scholar] [CrossRef]
- Rivera-Araya, J.; Heine, T.; Chávez, R.; Schlömann, M.; Levicán, G. Transcriptomic analysis of chloride tolerance in Leptospirillum ferriphilum DSM 14647 adapted to NaCl. PLoS ONE 2022, 17, e0267316. [Google Scholar] [CrossRef]
- Markosyan, G.E. New iron oxidizing bacteria Leptospirillum ferrooxidans nov. gen. nov. sp. Biol. J. Armen. 1972, 25, 26–29. (In Russian) [Google Scholar]
- Johnson, D.B. Genus II Leptospirillum Hippe 2000 (ex Markosyan 1972, 26). In Bergey’s Manual of Systematic Bacteriology, 2nd ed.; Garrity, G., Ed.; Springer: Berlin, Germany, 2001; Volume I, pp. 453–457. [Google Scholar]
- Christel, S.; Herold, M.; Bellenberg, S.; El Hajjami, M.; Buetti-Dinh, A.; Pivkin, I.V.; Sand, W.; Wilmes, P.; Poetsch, A.; Dopson, M. Multi-omics Reveals the Lifestyle of the Acidophilic, Mineral-Oxidizing Model Species Leptospirillum ferriphilum. Appl. Environ. Microbiol. 2018, 84, e02091-17. [Google Scholar] [CrossRef]
- Schippers, A.; Hedrich, S.; Vasters, J.; Drobe, M.; Sand, W.; Willscher, S. Biomining: Metal Recovery from Ores with Microorganisms. In Geobiotechnology I; Advances in Biochemical Engineering/Biotechnology; Springer: Berlin/Heidelberg, Germany, 2014; Volume 141, pp. 1–47. [Google Scholar]
- Galleguillos, P.A.; Hallberg, K.B.; Johnson, D.B. Microbial Diversity and Genetic Response to Stress Conditions of Extremophilic Bacteria Isolated from the Escondida Copper Mine. Adv. Mater. Res. 2009, 71–73, 55–58. [Google Scholar] [CrossRef]
- Fomchenko, F.M.; Biryukov, F.M. A two-stage technology for bacterial and chemical leaching of copper–zinc raw materials by Fe3+ ions with their subsequent regeneration by chemolithotrophic bacteria. Appl. Biochem. Microbiol. 2009, 1, 56–60. [Google Scholar] [CrossRef]
- Carranza, F.; Palencia, I.; Romero, R. Silver catalyzed IBES process: Application to a Spanish copper-zinc sulphide concentrate. Hydrometallurgy 1997, 44, 29–42. [Google Scholar] [CrossRef]
- Palencia, I.; Romero, R.; Mazuelos, A.; Carranza, F. Treatment of secondary copper sulphides (chalcocite and covellite) by the BRISA process. Hydrometallurgy 2002, 66, 85–93. [Google Scholar] [CrossRef]
- Romero, R.; Mazuelos, A.; Palencia, I.; Carranza, F. Copper recovery from chalcopyrite concentrates by the BRISA process. Hydrometallurgy 2003, 70, 205–215. [Google Scholar] [CrossRef]
- Zhang, R.; Schippers, A. Stirred-tank bioleaching of copper and cobalt from mine tailings in Chile. Miner. Eng. 2022, 180, 107514. [Google Scholar] [CrossRef]
- Okibe, N.; Gericke, M.; Hallberg, K.B.; Johnson, D.B. Enumeration and Characterization of Acidophilic Microorganisms Isolated from a Pilot Plant Stirred-Tank Bioleaching Operation. Appl. Environ. Microbiol. 2003, 69, 1936–1943. [Google Scholar] [CrossRef] [PubMed]
- Sand, W.; Rohde, K.; Sobotke, U. Evolution of Leptospirillum ferrooxidans for bioleaching. Appl. Environ. Microbiol. 1992, 58, 85–92. [Google Scholar] [CrossRef] [PubMed]
- Dopson, M.; Lindstrom, E.B. Analysis of community composition during moderately thermophilic bioleaching of pyrite, arsenical pyrite, and chalcopyrite. J. Microb. Ecol. 2004, 48, 19–28. [Google Scholar] [CrossRef]
- Dew, D.W.; Lawson, E.N.; Broadhurst, J.L. The BIOX® process for biooxidation of gold-bearing ores or concentrates. In Biomining: Theory, Microbes and Industrial Processes; Rawlings, D.E., Ed.; Springer: Georgetown, TX, USA, 1997; pp. 45–80. [Google Scholar]
- Khachatryan, A.; Vardanyan, N.; Vardanyan, A.; Zhang, R.; Castro, L. The Effect of Metal Ions on the Growth and Ferrous IronOxidation by Leptospirillum ferriphilum CC Isolated from Armenia Mine Sites. Metals 2021, 11, 425. [Google Scholar] [CrossRef]
- Markosyan, L.S.; Badalyan, H.; Vardanyan, N.S.; Vardanyan, A.K. Study of colliodal polysaccharides produced by iron oxidizing bacteria Leptospirillum ferriphilum CC. Geomicrobiol. J. 2019, 36, 188–193. [Google Scholar] [CrossRef]
- Vardanyan, A.; Achilleos, P.; Kafa, N.; Papadopoulou, M.; Vardanyan, N.; Vyrides, I. Effect of Cell Lysis (CLs) Products on Acidophilic Chemolithotrophic Microorganisms and the Role of Acidocella Species. Geomicrobiol. J. 2017, 34, 916–922. [Google Scholar] [CrossRef]
- Vardanyan, N.; Vardanyan, A. New Sulphur Oxidizing Bacteria Isolated from Bioleaching Pulp of Zinc and Copper Concentrates. Univ. J. Microbiol. Res. 2014, 2, 27–31. [Google Scholar] [CrossRef]
- Mackintosh, M.E. Nitrogen Fixation by Thiobacillus ferrooxidans. J. Gen. Microbiol. 1978, 105, 215–218. [Google Scholar] [CrossRef]
- Bilgin, A.A.; Silverstein, J.; Jenkins, J.D. Iron respiration by Acidiphilium cryptum at pH 5. FEMS Microbiol. Ecol. 2004, 49, 137–143. [Google Scholar] [CrossRef]
- Gerhardt, P.; Murray, R.G.E.; Costilow, R.N.; Nester, E.W.; Wood, W.A.; Krieg, N.R.; Phillips, G.B. Manual of Methods for General Bacteriology; American Society of Microbiology: Washington, DC, USA, 1981. [Google Scholar]
- Altschul, S.F.; Madden, T.L.; Schäffer, A.A.; Zhang, J.; Zhang, Z.; Miller, W.; Lipman, D.J. Gapped BLAST and PSI-BLAST: A new generation of protein database search programs. Nucleic Acids Res. 1997, 25, 3389–3402. [Google Scholar] [CrossRef]
- Kearse, M.; Moir, R.; Wilson, A.; Stones-Havas, S.; Cheung, M.; Sturrock, S.; Buxton, S.; Cooper, A.; Markowitz, S.; Duran, C.; et al. Geneious Basic: An integrated and extendable desktop software platform for the organization and analysis of sequence data. Bioinformatics 2012, 28, 1647–1649. [Google Scholar] [CrossRef]
- Tamura, K.; Nei, M.; Kumar, S. Prospects for inferring very large phylogenies by using the neighbor-joining method. Proc. Natl. Acad. Sci. USA 2004, 101, 11030–11035. [Google Scholar] [CrossRef]
- Kumar, S.; Stecher, G.; Li, M.; Knyaz, C.; Tamura, K. MEGA X: Molecular Evolutionary Genetics Analysis across Computing Platforms. Mol. Biol. Evol. 2018, 35, 1547–1549. [Google Scholar] [CrossRef]
- Mesbah, M.; Premachandran, U.; Whitman, B. Precise measurement of the G+C content of deoxyribonucleic acid by high-performance liquid chromatography. Int. J. Syst. Bacteriol. 1989, 39, 159–167. [Google Scholar] [CrossRef]
- Lucchesi, C.A.; Hirn, C.F. EDTA Titration of total Iron in Iron(II) and Iron(III) mixtures. Application to Iron driers. Anal. Chem. 1960, 32, 1191–1193. [Google Scholar] [CrossRef]
- Zhang, R.Y.; Xia, J.L.; Peng, J.H.; Zhang, Q.; Zhang, C.G.; Nie, Z.Y.; Qiu, G.Z. A new strain Leptospirillum ferriphilum YTW315 for bioleaching of metal sulfides ores. Trans. Nonferrous Met. Soc. China 2010, 20, 135–141. [Google Scholar] [CrossRef]
- Saitou, N.; Nei, M. The neighbor-joining method: A new method for reconstructing phylogenetic trees. Mol. Biol. Evol. 1987, 4, 406–425. [Google Scholar] [CrossRef] [PubMed]
- Felsenstein, J. Confidence limits on phylogenies: An approach using the bootstrap. Evolution 1985, 39, 783–791. [Google Scholar] [CrossRef]
- Moshchanetskiy, P.V.; Pivovarova, T.A.; Belyy, A.V.; Kondratyeva, T.F. Effect of temperature on the rate of oxidation of pyrrhotite-rich sulfide ore flotation concentrate and the structure of the acidophilic chemolithotrophic microbial community. Microbiology 2014, 83, 255–261. [Google Scholar] [CrossRef]
- Muravyov, M.; Panyushkina, A. Distinct Roles of Acidophiles in Complete Oxidation of High-Sulfur Ferric Leach Product of Zinc Sulfide Concentrate. Microorganisms 2020, 8, 386. [Google Scholar] [CrossRef] [PubMed]
- Panyushkina, A.E.; Tsaplina, I.A.; Kondrat’eva, T.F.; Belyi, A.V.; Bulaev, A.G. Physiological and morphological characteristics of acidophilic bacteria Leptospirillum ferriphilum and Acidithiobacillus thiooxidans, members of a chemolithotrophic microbial consortium. Microbiology 2018, 87, 326–338. [Google Scholar] [CrossRef]
- Coram, N.J.; Rawlings, D.E. Molecular relationship between two groups of the genus Leptospirillum and the finding that Leptospirillum ferriphilum sp. nov. dominates in South African commercial biooxidation tanks that operate at 40 °C. Appl. Environ. Microbiol. 2002, 68, 838–845. [Google Scholar] [CrossRef]
- Akcil, A.; Ciftci, H.; Deveci, H. Role and contribution of pure and mixed cultures of mesophiles in bioleaching of a pyritic chalcopyrite concentrate. Miner. Eng. 2007, 20, 310–318. [Google Scholar] [CrossRef]
- Falco, L.; Pogliani, C.; Curutchet, G.; Donati, E. A comparison of bioleaching of covellite using pure cultures of Acidithiobacillus ferrooxidans and Acidithiobacillus thiooxidans or a mixed culture of Leptospirillum ferrooxidans and Acidithiobacillus thiooxidans. Hydrometallurgy 2003, 71, 31–36. [Google Scholar] [CrossRef]
- Fu, B.; Zhou, H.; Zhang, R.; Qiu, G. Bioleaching of chalcopyrite by pure and mixed cultures of Acidithiobacillus spp. and Leptospirillum ferriphilum. Int. Biodeterior. Biodegrad. 2008, 62, 109–115. [Google Scholar] [CrossRef]
- Johnson, D.B. Importance of microbial ecology in the development of new mineral technologies. Hydrometallurgy 2001, 59, 147–157. [Google Scholar] [CrossRef]
- Vardanyan, N.S.; Akopyan, V.P. Leptospirillum-like Bacteria and Evaluation of Their Role in Pyrite Oxidation. Microbiology 2003, 72, 438–442. [Google Scholar] [CrossRef]
- Schippers, A.; Sand, W. Bacterial Leaching of Metal Sulfides Proceeds by Two Indirect Mechanisms via Thiosulfate or via Polysulfides and Sulfur. Appl. Environ. Microbiol. 1999, 65, 319–321. [Google Scholar] [CrossRef]
- Watling, H.R. The bioleaching of sulphide minerals with emphasis on copper sulphides—A review. Hydrometallurgy 2006, 84, 81–108. [Google Scholar] [CrossRef]
- Berthelot, D.; LeDuc, L.G.; Ferroni, G.D. Iron-oxidizing autotrophs and acidophilic heterotrophs from uranium mine environments. Geomicrobiol. J. 1997, 14, 317–324. [Google Scholar] [CrossRef]
- Johnson, D.B.; Roberto, F.F. Heterotrophic acidophiles and their roles in the bioleaching of sulfide minerals. In Biomining; Rawlings, D.E., Johnson, B.D., Eds.; Springer: Berlin/Heidelberg, Germany, 1997; pp. 259–279. [Google Scholar]
- Liu, H.; Yin, H.; Dai, Y.; Dai, Z.; Liu, Y.; Li, Q.; Jiang, H.; Liu, X. The co-culture of Acidithiobacillus ferrooxidans and Acidiphilium acidophilum enhances the growth, iron oxidation, and CO2 fixation. Arch. Microbiol. 2011, 193, 857–866. [Google Scholar] [CrossRef]
- Paiment, A.; Leduc, L.G.; Ferroni, G.D. The Effect of the Facultative Chemolithotrophic Bacterium Thiobacillus acidophilus on the Leaching of Low-Grade Cu-Ni Sulfide Ore by Thiobacillus ferrooxidans. Geomicrobiol. J. 2001, 18, 157–165. [Google Scholar] [CrossRef]
- Bacelar-Nicolau, P.; Johnson, D.B. Leaching of Pyrite by Acidophilic Heterotrophic Iron-Oxidizing Bacteria in Pure and Mixed Cultures. Appl. Environ. Microbiol. 1999, 65, 585–590. [Google Scholar] [CrossRef]
- Johnson, D.B.; Okibe, N.; Wakeman, K.; Yajie, L. Effect of temperature on the bioleaching of chalcopyrite concentrates containing different concentrations of silver. Hydrometallurgy 2008, 94, 42–47. [Google Scholar] [CrossRef]
- Okibe, N.; Johnson, D. Biooxidation of pyrite by defined mixed cultures of moderately thermophilic acidophiles in pH-controlled bioreactors: Significance of microbial interactions. Biotechnol. Bioeng. 2004, 87, 574–583. [Google Scholar] [CrossRef]
- Wang, Y.; Zeng, W.; Qiu, G.; Chen, X.; Zhou, H. A Moderately Thermophilic Mixed Microbial Culture for Bioleaching of Chalcopyrite Concentrate at High Pulp Density. Appl. Environ. Microbiol. 2014, 80, 741–750. [Google Scholar] [CrossRef]
Disclaimer/Publisher’s Note: The statements, opinions and data contained in all publications are solely those of the individual author(s) and contributor(s) and not of MDPI and/or the editor(s). MDPI and/or the editor(s) disclaim responsibility for any injury to people or property resulting from any ideas, methods, instructions or products referred to in the content. |
© 2023 by the authors. Licensee MDPI, Basel, Switzerland. This article is an open access article distributed under the terms and conditions of the Creative Commons Attribution (CC BY) license (https://creativecommons.org/licenses/by/4.0/).







