Bioleaching of Sulfide Minerals by Leptospirillum ferriphilum CC from Polymetallic Mine (Armenia)
Abstract
1. Introduction
2. Materials and Methods
2.1. Cultures and Growing Conditions
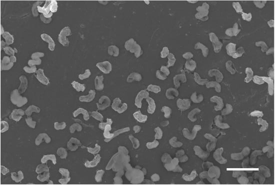
2.2. Morphology and SEM Images
2.3. Optimal pH and Temperature for Growth
2.4. Determination of Organic Acids in Culture Liquid of L. ferriphilum CC
2.5. Phylogenetic Analysis
2.6. Leaching Experiments
3. Results
3.1. Cell Morphology
3.2. Physiological–Biochemical Characteristics
3.3. Phylogenetic Analysis of 16S RNA
3.4. Leaching Results
3.4.1. Pyrite Leaching by L. ferriphilum CC with Associations of Other Iron- and Sulfur-Oxidizing and Heterotrophic Bacteria
3.4.2. Bioleaching of Chalcopyrite by L. ferriphilum CC with Associations of At. ferrooxidans ZnC, At. albertensis SO-2, and Acidocella sp. RBA
3.5. Determination of Organic Acids in Culture Liquid of L. ferriphilum CC
4. Conclusions
Supplementary Materials
Author Contributions
Funding
Data Availability Statement
Conflicts of Interest
References
- Gao, J.; Zhang, C.G.; Wu, X.L.; Wang, H.H.; Qio, G.Z. Isolation and identification of a strain of Leptospirillum ferriphilum from an extreme acid mine drainage site. Ann. Microbiol. 2007, 57, 171–176. [Google Scholar] [CrossRef]
- Lawson, E.N. The composition of mixed populations of leaching bacteria active in gold and nickel recovery from sulphide ores. In International Biohydrometallurgy Symposium: Biomine 97; Australian Mineral Foundation: Glenside, Australia, 1997; pp. QP4.1–QP4.10. [Google Scholar]
- Rawlings, D.E.; Coram, N.J.; Gardner, M.N.; Deane, S.M. Thiobacillus caldus and Leptospirillum ferrooxians are widely distributed in continuous-flow biooxidation tanks used to treat a variety of metalcontaining ores and concentrates. In Biohydrometrallurgy and the Environment toward the Mining of the 21st Century, Part A; Amils, R., Ballester, A., Eds.; Elsevier: Amsterdam, The Netherlands, 1999; pp. 773–778. [Google Scholar]
- Schippers, A. Microorganisms involved in bioleaching and nucleic acid-based molecular methods for their identification and quantification. In Microbial Processing of Metal Sulfides; Donati, R.E., Sand, W., Eds.; Springer: New York, NY, USA, 2007; pp. 3–33. [Google Scholar]
- Dave, S.R. Selection of Leptospirillum ferrooxidans SRPCBL and development for enhanced ferric regeneration in stirred tank and airlift column reactor. Bioresour. Technol. 2008, 99, 7803–7806. [Google Scholar] [CrossRef] [PubMed]
- Wu, X.; Liao, W.; Peng, T.; Shen, L.; Qiu, G.-Z.; Erdenechimeg, D.; Zeng, W.-M. Biodissolution of pyrite and bornite by moderate thermophiles. J. Cent. South Univ. 2022, 29, 3630–3644. [Google Scholar] [CrossRef]
- Curutchet, G.; Pogliani, C.; Donati, E.; Tedesco, P. Effect of iron (III) and its hydrolysis products (jarosites) onThiobacillus ferrooxidans growth and on bacterial leaching. Biotechnol. Lett. 1992, 14, 329–334. [Google Scholar] [CrossRef]
- Foucher, S.; Battaglia-Brunet, F.; D’Hugues, P.; Clarens, M.; Godon, J.J.; Morin, D. Evolution of the bacterial population during the batch bioleaching of a cobaltiferous pyrite in a suspended-solids bubble column and comparison with a mechanically agitated reactor. Hydrometallurgy 2003, 71, 5–12. [Google Scholar] [CrossRef]
- Rawlings, D.E.; Tributsch, H.; Hansford, G.S. Reasons why ‘Leptospirillum’-like species rather than Thiobacillus ferrooxidans are the dominant iron-oxidizing bacteria in many commercial processes for the biooxidation of pyrite and related ores. Microbiology 1999, 145, 5–13. [Google Scholar] [CrossRef]
- Liu, J.-S.; Xie, X.-H.; Xiao, S.-M.; Wang, X.-M.; Zhao, W.-J.; Tian, Z.-L. Isolation of Leptospirillum ferriphilum by single-layered solid medium. J. Cent. South Univ. Technol. 2007, 14, 467–473. [Google Scholar] [CrossRef]
- Rawlings, D. Characteristics and adaptability of iron- and sulfur-oxidizing microorganisms used for the recovery of metals from minerals and their concentrates. Microb. Cell Factories 2005, 4, 13. [Google Scholar] [CrossRef]
- Bond, P.L.; Banfield, J.F. Design and performance of rRNA targeted oligonucleotide probes for in situ detection and phylogenetic identification of microorganisms inhabiting acid mine drainage environments. Microb. Ecol. 2001, 41, 149–161. [Google Scholar] [CrossRef]
- Hippe, H. Leptospirillium gen. nov (ex Markoysan 1972), nom. rev., including Leptospirillium ferrooxidans sp. nov. (ex Markoysan 1972), nom. rev. and Leptospirillium thermoferrooxidans sp. nov. (Golovacheva et al. 1992). Int. J. Syst. Evol. Microbiol. 2000, 50, 501–503. [Google Scholar] [CrossRef]
- Goltsman, D.S.; Denef, V.J.; Singer, S.W.; VerBerkmoes, N.C.; Lefsrud, M.; Mueller, R.S.; Dick, G.J.; Sun, C.L.; Wheeler, K.E.; Zemla, A.; et al. Community genomic and proteomic analyses of chemoautotrophic iron-oxidizing “Leptospirillum rubarum” (group II) and “Leptospirillum ferrodiazotrophum” (group III) bacteria in acid mine drainage biofilms. Appl. Environ. Microbiol. 2009, 75, 4599–4615. [Google Scholar] [CrossRef]
- García-Moyano, A.; González-Toril, E.; Moreno-Paz, M.; Parro, V.; Amils, R. Evaluation of Leptospirillum spp. in the Río Tinto, a model of interest to biohydrometallurgy. Hydrometallurgy 2008, 94, 155–161. [Google Scholar] [CrossRef]
- Goltsman, D.S.A.; Dasari, M.; Thomas, B.C.; Shah, M.B.; VerBerkmoes, N.C.; Hettich, R.L.; Banfield, J.F. New Group in the Leptospirillum Clade: Cultivation-Independent Community Genomics, Proteomics, and Transcriptomics of the New Species “Leptospirillum Group IV UBA BS”. Appl. Environ. Microbiol. 2013, 79, 5384–5393. [Google Scholar] [CrossRef]
- Rivera-Araya, J.; Heine, T.; Chávez, R.; Schlömann, M.; Levicán, G. Transcriptomic analysis of chloride tolerance in Leptospirillum ferriphilum DSM 14647 adapted to NaCl. PLoS ONE 2022, 17, e0267316. [Google Scholar] [CrossRef]
- Markosyan, G.E. New iron oxidizing bacteria Leptospirillum ferrooxidans nov. gen. nov. sp. Biol. J. Armen. 1972, 25, 26–29. (In Russian) [Google Scholar]
- Johnson, D.B. Genus II Leptospirillum Hippe 2000 (ex Markosyan 1972, 26). In Bergey’s Manual of Systematic Bacteriology, 2nd ed.; Garrity, G., Ed.; Springer: Berlin, Germany, 2001; Volume I, pp. 453–457. [Google Scholar]
- Christel, S.; Herold, M.; Bellenberg, S.; El Hajjami, M.; Buetti-Dinh, A.; Pivkin, I.V.; Sand, W.; Wilmes, P.; Poetsch, A.; Dopson, M. Multi-omics Reveals the Lifestyle of the Acidophilic, Mineral-Oxidizing Model Species Leptospirillum ferriphilum. Appl. Environ. Microbiol. 2018, 84, e02091-17. [Google Scholar] [CrossRef]
- Schippers, A.; Hedrich, S.; Vasters, J.; Drobe, M.; Sand, W.; Willscher, S. Biomining: Metal Recovery from Ores with Microorganisms. In Geobiotechnology I; Advances in Biochemical Engineering/Biotechnology; Springer: Berlin/Heidelberg, Germany, 2014; Volume 141, pp. 1–47. [Google Scholar]
- Galleguillos, P.A.; Hallberg, K.B.; Johnson, D.B. Microbial Diversity and Genetic Response to Stress Conditions of Extremophilic Bacteria Isolated from the Escondida Copper Mine. Adv. Mater. Res. 2009, 71–73, 55–58. [Google Scholar] [CrossRef]
- Fomchenko, F.M.; Biryukov, F.M. A two-stage technology for bacterial and chemical leaching of copper–zinc raw materials by Fe3+ ions with their subsequent regeneration by chemolithotrophic bacteria. Appl. Biochem. Microbiol. 2009, 1, 56–60. [Google Scholar] [CrossRef]
- Carranza, F.; Palencia, I.; Romero, R. Silver catalyzed IBES process: Application to a Spanish copper-zinc sulphide concentrate. Hydrometallurgy 1997, 44, 29–42. [Google Scholar] [CrossRef]
- Palencia, I.; Romero, R.; Mazuelos, A.; Carranza, F. Treatment of secondary copper sulphides (chalcocite and covellite) by the BRISA process. Hydrometallurgy 2002, 66, 85–93. [Google Scholar] [CrossRef]
- Romero, R.; Mazuelos, A.; Palencia, I.; Carranza, F. Copper recovery from chalcopyrite concentrates by the BRISA process. Hydrometallurgy 2003, 70, 205–215. [Google Scholar] [CrossRef]
- Zhang, R.; Schippers, A. Stirred-tank bioleaching of copper and cobalt from mine tailings in Chile. Miner. Eng. 2022, 180, 107514. [Google Scholar] [CrossRef]
- Okibe, N.; Gericke, M.; Hallberg, K.B.; Johnson, D.B. Enumeration and Characterization of Acidophilic Microorganisms Isolated from a Pilot Plant Stirred-Tank Bioleaching Operation. Appl. Environ. Microbiol. 2003, 69, 1936–1943. [Google Scholar] [CrossRef] [PubMed]
- Sand, W.; Rohde, K.; Sobotke, U. Evolution of Leptospirillum ferrooxidans for bioleaching. Appl. Environ. Microbiol. 1992, 58, 85–92. [Google Scholar] [CrossRef] [PubMed]
- Dopson, M.; Lindstrom, E.B. Analysis of community composition during moderately thermophilic bioleaching of pyrite, arsenical pyrite, and chalcopyrite. J. Microb. Ecol. 2004, 48, 19–28. [Google Scholar] [CrossRef]
- Dew, D.W.; Lawson, E.N.; Broadhurst, J.L. The BIOX® process for biooxidation of gold-bearing ores or concentrates. In Biomining: Theory, Microbes and Industrial Processes; Rawlings, D.E., Ed.; Springer: Georgetown, TX, USA, 1997; pp. 45–80. [Google Scholar]
- Khachatryan, A.; Vardanyan, N.; Vardanyan, A.; Zhang, R.; Castro, L. The Effect of Metal Ions on the Growth and Ferrous IronOxidation by Leptospirillum ferriphilum CC Isolated from Armenia Mine Sites. Metals 2021, 11, 425. [Google Scholar] [CrossRef]
- Markosyan, L.S.; Badalyan, H.; Vardanyan, N.S.; Vardanyan, A.K. Study of colliodal polysaccharides produced by iron oxidizing bacteria Leptospirillum ferriphilum CC. Geomicrobiol. J. 2019, 36, 188–193. [Google Scholar] [CrossRef]
- Vardanyan, A.; Achilleos, P.; Kafa, N.; Papadopoulou, M.; Vardanyan, N.; Vyrides, I. Effect of Cell Lysis (CLs) Products on Acidophilic Chemolithotrophic Microorganisms and the Role of Acidocella Species. Geomicrobiol. J. 2017, 34, 916–922. [Google Scholar] [CrossRef]
- Vardanyan, N.; Vardanyan, A. New Sulphur Oxidizing Bacteria Isolated from Bioleaching Pulp of Zinc and Copper Concentrates. Univ. J. Microbiol. Res. 2014, 2, 27–31. [Google Scholar] [CrossRef]
- Mackintosh, M.E. Nitrogen Fixation by Thiobacillus ferrooxidans. J. Gen. Microbiol. 1978, 105, 215–218. [Google Scholar] [CrossRef]
- Bilgin, A.A.; Silverstein, J.; Jenkins, J.D. Iron respiration by Acidiphilium cryptum at pH 5. FEMS Microbiol. Ecol. 2004, 49, 137–143. [Google Scholar] [CrossRef]
- Gerhardt, P.; Murray, R.G.E.; Costilow, R.N.; Nester, E.W.; Wood, W.A.; Krieg, N.R.; Phillips, G.B. Manual of Methods for General Bacteriology; American Society of Microbiology: Washington, DC, USA, 1981. [Google Scholar]
- Altschul, S.F.; Madden, T.L.; Schäffer, A.A.; Zhang, J.; Zhang, Z.; Miller, W.; Lipman, D.J. Gapped BLAST and PSI-BLAST: A new generation of protein database search programs. Nucleic Acids Res. 1997, 25, 3389–3402. [Google Scholar] [CrossRef]
- Kearse, M.; Moir, R.; Wilson, A.; Stones-Havas, S.; Cheung, M.; Sturrock, S.; Buxton, S.; Cooper, A.; Markowitz, S.; Duran, C.; et al. Geneious Basic: An integrated and extendable desktop software platform for the organization and analysis of sequence data. Bioinformatics 2012, 28, 1647–1649. [Google Scholar] [CrossRef]
- Tamura, K.; Nei, M.; Kumar, S. Prospects for inferring very large phylogenies by using the neighbor-joining method. Proc. Natl. Acad. Sci. USA 2004, 101, 11030–11035. [Google Scholar] [CrossRef]
- Kumar, S.; Stecher, G.; Li, M.; Knyaz, C.; Tamura, K. MEGA X: Molecular Evolutionary Genetics Analysis across Computing Platforms. Mol. Biol. Evol. 2018, 35, 1547–1549. [Google Scholar] [CrossRef]
- Mesbah, M.; Premachandran, U.; Whitman, B. Precise measurement of the G+C content of deoxyribonucleic acid by high-performance liquid chromatography. Int. J. Syst. Bacteriol. 1989, 39, 159–167. [Google Scholar] [CrossRef]
- Lucchesi, C.A.; Hirn, C.F. EDTA Titration of total Iron in Iron(II) and Iron(III) mixtures. Application to Iron driers. Anal. Chem. 1960, 32, 1191–1193. [Google Scholar] [CrossRef]
- Zhang, R.Y.; Xia, J.L.; Peng, J.H.; Zhang, Q.; Zhang, C.G.; Nie, Z.Y.; Qiu, G.Z. A new strain Leptospirillum ferriphilum YTW315 for bioleaching of metal sulfides ores. Trans. Nonferrous Met. Soc. China 2010, 20, 135–141. [Google Scholar] [CrossRef]
- Saitou, N.; Nei, M. The neighbor-joining method: A new method for reconstructing phylogenetic trees. Mol. Biol. Evol. 1987, 4, 406–425. [Google Scholar] [CrossRef] [PubMed]
- Felsenstein, J. Confidence limits on phylogenies: An approach using the bootstrap. Evolution 1985, 39, 783–791. [Google Scholar] [CrossRef]
- Moshchanetskiy, P.V.; Pivovarova, T.A.; Belyy, A.V.; Kondratyeva, T.F. Effect of temperature on the rate of oxidation of pyrrhotite-rich sulfide ore flotation concentrate and the structure of the acidophilic chemolithotrophic microbial community. Microbiology 2014, 83, 255–261. [Google Scholar] [CrossRef]
- Muravyov, M.; Panyushkina, A. Distinct Roles of Acidophiles in Complete Oxidation of High-Sulfur Ferric Leach Product of Zinc Sulfide Concentrate. Microorganisms 2020, 8, 386. [Google Scholar] [CrossRef] [PubMed]
- Panyushkina, A.E.; Tsaplina, I.A.; Kondrat’eva, T.F.; Belyi, A.V.; Bulaev, A.G. Physiological and morphological characteristics of acidophilic bacteria Leptospirillum ferriphilum and Acidithiobacillus thiooxidans, members of a chemolithotrophic microbial consortium. Microbiology 2018, 87, 326–338. [Google Scholar] [CrossRef]
- Coram, N.J.; Rawlings, D.E. Molecular relationship between two groups of the genus Leptospirillum and the finding that Leptospirillum ferriphilum sp. nov. dominates in South African commercial biooxidation tanks that operate at 40 °C. Appl. Environ. Microbiol. 2002, 68, 838–845. [Google Scholar] [CrossRef]
- Akcil, A.; Ciftci, H.; Deveci, H. Role and contribution of pure and mixed cultures of mesophiles in bioleaching of a pyritic chalcopyrite concentrate. Miner. Eng. 2007, 20, 310–318. [Google Scholar] [CrossRef]
- Falco, L.; Pogliani, C.; Curutchet, G.; Donati, E. A comparison of bioleaching of covellite using pure cultures of Acidithiobacillus ferrooxidans and Acidithiobacillus thiooxidans or a mixed culture of Leptospirillum ferrooxidans and Acidithiobacillus thiooxidans. Hydrometallurgy 2003, 71, 31–36. [Google Scholar] [CrossRef]
- Fu, B.; Zhou, H.; Zhang, R.; Qiu, G. Bioleaching of chalcopyrite by pure and mixed cultures of Acidithiobacillus spp. and Leptospirillum ferriphilum. Int. Biodeterior. Biodegrad. 2008, 62, 109–115. [Google Scholar] [CrossRef]
- Johnson, D.B. Importance of microbial ecology in the development of new mineral technologies. Hydrometallurgy 2001, 59, 147–157. [Google Scholar] [CrossRef]
- Vardanyan, N.S.; Akopyan, V.P. Leptospirillum-like Bacteria and Evaluation of Their Role in Pyrite Oxidation. Microbiology 2003, 72, 438–442. [Google Scholar] [CrossRef]
- Schippers, A.; Sand, W. Bacterial Leaching of Metal Sulfides Proceeds by Two Indirect Mechanisms via Thiosulfate or via Polysulfides and Sulfur. Appl. Environ. Microbiol. 1999, 65, 319–321. [Google Scholar] [CrossRef]
- Watling, H.R. The bioleaching of sulphide minerals with emphasis on copper sulphides—A review. Hydrometallurgy 2006, 84, 81–108. [Google Scholar] [CrossRef]
- Berthelot, D.; LeDuc, L.G.; Ferroni, G.D. Iron-oxidizing autotrophs and acidophilic heterotrophs from uranium mine environments. Geomicrobiol. J. 1997, 14, 317–324. [Google Scholar] [CrossRef]
- Johnson, D.B.; Roberto, F.F. Heterotrophic acidophiles and their roles in the bioleaching of sulfide minerals. In Biomining; Rawlings, D.E., Johnson, B.D., Eds.; Springer: Berlin/Heidelberg, Germany, 1997; pp. 259–279. [Google Scholar]
- Liu, H.; Yin, H.; Dai, Y.; Dai, Z.; Liu, Y.; Li, Q.; Jiang, H.; Liu, X. The co-culture of Acidithiobacillus ferrooxidans and Acidiphilium acidophilum enhances the growth, iron oxidation, and CO2 fixation. Arch. Microbiol. 2011, 193, 857–866. [Google Scholar] [CrossRef]
- Paiment, A.; Leduc, L.G.; Ferroni, G.D. The Effect of the Facultative Chemolithotrophic Bacterium Thiobacillus acidophilus on the Leaching of Low-Grade Cu-Ni Sulfide Ore by Thiobacillus ferrooxidans. Geomicrobiol. J. 2001, 18, 157–165. [Google Scholar] [CrossRef]
- Bacelar-Nicolau, P.; Johnson, D.B. Leaching of Pyrite by Acidophilic Heterotrophic Iron-Oxidizing Bacteria in Pure and Mixed Cultures. Appl. Environ. Microbiol. 1999, 65, 585–590. [Google Scholar] [CrossRef]
- Johnson, D.B.; Okibe, N.; Wakeman, K.; Yajie, L. Effect of temperature on the bioleaching of chalcopyrite concentrates containing different concentrations of silver. Hydrometallurgy 2008, 94, 42–47. [Google Scholar] [CrossRef]
- Okibe, N.; Johnson, D. Biooxidation of pyrite by defined mixed cultures of moderately thermophilic acidophiles in pH-controlled bioreactors: Significance of microbial interactions. Biotechnol. Bioeng. 2004, 87, 574–583. [Google Scholar] [CrossRef]
- Wang, Y.; Zeng, W.; Qiu, G.; Chen, X.; Zhou, H. A Moderately Thermophilic Mixed Microbial Culture for Bioleaching of Chalcopyrite Concentrate at High Pulp Density. Appl. Environ. Microbiol. 2014, 80, 741–750. [Google Scholar] [CrossRef]








| Sample | Fe | Cu | S |
|---|---|---|---|
| Pyrite | 43.8 | - | 49.0 |
| Chalcopyrite * | 29.7 | 30.2 | 33.8 |
| Isolated Strain | Type Strains (Accession Numbers) | Identity, % | Reference |
|---|---|---|---|
| L. ferriphilum CC | L. ferriphilum OL 12-2 (KF356024.1) | 99.80 | Moshchanetskiy et al., 2014 [48] |
| L. ferriphilum MP1 (MN780596.1) | 99.73 | Muravyov and Panyushkina, 2020 [49] | |
| L. ferriphilum P1 (MG386692.1) | 99.60 | Panyushkina et al., 2018 [50] | |
| L. ferriphilum P3a (NR028818.1) | 98.27 | Coram and Rawlings, 2002 [51] |
| Bacteria and Their Associations | Extracted for 25 Days | Final | ||||||
|---|---|---|---|---|---|---|---|---|
| Iron | Copper | |||||||
| g/L | % | g/L | % | pH | ORP, mV | |||
| Fe3+ | Fe2+ | Fe total | Fe total | |||||
| Control | 0 | 0.672 | 0.672 | 5.6 | 0.44 | 3.5 | 1.8 | 520 |
| L. ferriphilum CC | 1.4 | 0.23 | 1.63 | 13.6 | 1.2 | 9.4 | 1.8 | 640 |
| At. ferrooxidans ZnC | 1.096 | 0.448 | 1.544 | 12.8 | 1.12 | 8.7 | 1.75 | 600 |
| L. ferriphilum CC + At. ferrooxidans ZnC | 2.632 | 0.112 | 2.632 | 22.1 | 1.43 | 11.2 | 1.7 | 680 |
| L. ferriphilum CC + At. albertensis SO-2 | 2.016 | 0.616 | 2.744 | 23.0 | 1.67 | 13.4 | 1.6 | 720 |
| L. ferriphilum CC + Acidocella sp. RBA | 0.336 | 3.024 | 3.360 | 28.2 | 1.55 | 12.1 | 1.6 | 620 |
| L. ferriphilum CC + At. ferrooxidans ZnC + At. albertensis SO-2 | 3.960 | 0 | 3.960 | 33.3 | 1.91 | 14.9 | 1.5 | 815 |
| N | Organic Acids | Exit Time | Peak Area | Height | Conc., g/L | Final Concentration, mg/L |
|---|---|---|---|---|---|---|
| 1 | Tartaric acid | 4.523 | 266,4847 | 80,296 | 1948.151 | 160.078 |
| 2 | Malic acid | 5.630 | 374,937 | 20,535 | 316.628 | 26.017 |
| 3 | Lactic acid | 7.200 | −506 | −7 | 0.000 | 0.000 |
| 4 | Acetic acid | 7.940 | −825 | −1 | 0.000 | 0.000 |
| 5 | Citric acid | 10.358 | 6377 | 394 | 2.316 | 0.19 |
| N | Organic Acids | Exit Time | Peak Area | Height | Concentration, g/L | Final Concentration, mg/L |
|---|---|---|---|---|---|---|
| 1 | Tartaric acid | 4.538 | 6,309,607 | 232,851 | 4612.673 | 230.6 |
| 2 | Malic acid | 5.657 | 562,506 | 42,482 | 475.027 | 23.75 |
| 3 | Lactic acid | 7.070 | −26,250 | −81 | 0.000 | 0.000 |
| 4 | Acetic acid | 8.481 | 5645 | 312 | 7.677 | 0.384 |
| 5 | Citric acid | 10.363 | 51,123 | 1937 | 18.569 | 0.928 |
Disclaimer/Publisher’s Note: The statements, opinions and data contained in all publications are solely those of the individual author(s) and contributor(s) and not of MDPI and/or the editor(s). MDPI and/or the editor(s) disclaim responsibility for any injury to people or property resulting from any ideas, methods, instructions or products referred to in the content. |
© 2023 by the authors. Licensee MDPI, Basel, Switzerland. This article is an open access article distributed under the terms and conditions of the Creative Commons Attribution (CC BY) license (https://creativecommons.org/licenses/by/4.0/).
Share and Cite
Vardanyan, A.; Khachatryan, A.; Castro, L.; Willscher, S.; Gaydardzhiev, S.; Zhang, R.; Vardanyan, N. Bioleaching of Sulfide Minerals by Leptospirillum ferriphilum CC from Polymetallic Mine (Armenia). Minerals 2023, 13, 243. https://doi.org/10.3390/min13020243
Vardanyan A, Khachatryan A, Castro L, Willscher S, Gaydardzhiev S, Zhang R, Vardanyan N. Bioleaching of Sulfide Minerals by Leptospirillum ferriphilum CC from Polymetallic Mine (Armenia). Minerals. 2023; 13(2):243. https://doi.org/10.3390/min13020243
Chicago/Turabian StyleVardanyan, Arevik, Anna Khachatryan, Laura Castro, Sabine Willscher, Stoyan Gaydardzhiev, Ruiyong Zhang, and Narine Vardanyan. 2023. "Bioleaching of Sulfide Minerals by Leptospirillum ferriphilum CC from Polymetallic Mine (Armenia)" Minerals 13, no. 2: 243. https://doi.org/10.3390/min13020243
APA StyleVardanyan, A., Khachatryan, A., Castro, L., Willscher, S., Gaydardzhiev, S., Zhang, R., & Vardanyan, N. (2023). Bioleaching of Sulfide Minerals by Leptospirillum ferriphilum CC from Polymetallic Mine (Armenia). Minerals, 13(2), 243. https://doi.org/10.3390/min13020243

