Clinical and Molecular Findings in PROM1-Associated Inherited Retinal Dystrophies
Abstract
1. Introduction
2. Patients and Methods
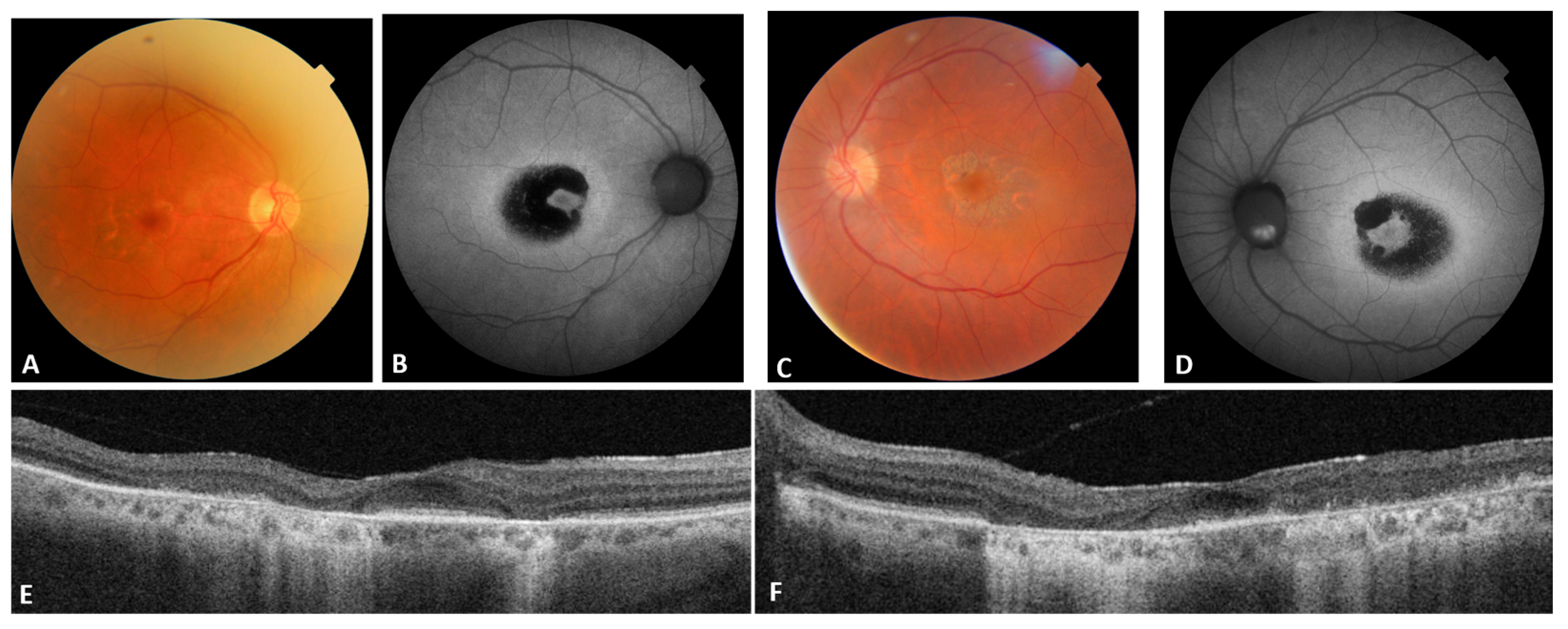
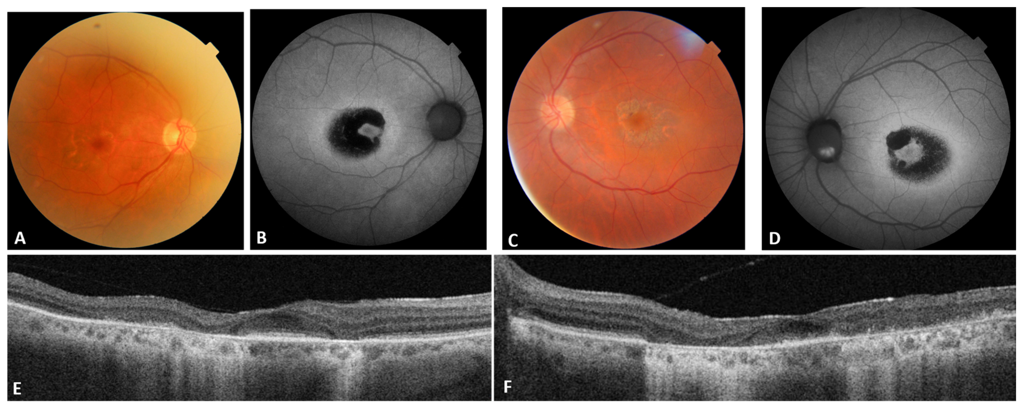
3. Results
4. Discussion
5. Conclusions
Supplementary Materials
Author Contributions
Funding
Institutional Review Board Statement
Informed Consent Statement
Data Availability Statement
Conflicts of Interest
References
- Ratra, D.; Ozdek, S.; Raviselvan, M.; Elchuri, S.; Sharma, T. Approach to inherited retinal diseases. Indian J. Ophthalmol. 2022, 70, 2305–2315. [Google Scholar] [CrossRef] [PubMed] [PubMed Central]
- Bansal, M. Advances in retina genetics: Progress, potential, and challenges. Indian J. Ophthalmol. 2025, 73 (Suppl. 1), S31–S36. [Google Scholar] [CrossRef] [PubMed] [PubMed Central]
- RetNet. Available online: https://retnet.org/ (accessed on 10 August 2025).
- Georgiou, M.; Robson, A.G.; Fujinami, K.; de Guimarães, T.A.C.; Fujinami-Yokokawa, Y.; Daich Varela, M.; Pontikos, N.; Kalitzeos, A.; Mahroo, O.A.; Webster, A.R.; et al. Phenotyping and genotyping inherited retinal diseases: Molecular genetics, clinical and imaging features, and therapeutics of macular dystrophies, cone and cone-rod dystrophies, rod-cone dystrophies, Leber congenital amaurosis, and cone dysfunction syndromes. Prog. Retin. Eye Res. 2024, 100, 101244. [Google Scholar] [CrossRef] [PubMed]
- Online Mendelian Inheritance in Man. Available online: https://www.omim.org/ (accessed on 10 August 2025).
- Yang, Z.; Chen, Y.; Lillo, C.; Chien, J.; Yu, Z.; Michaelides, M.; Klein, M.; Howes, K.A.; Li, Y.; Kaminoh, Y.; et al. Mutant prominin 1 found in patients with macular degeneration disrupts photoreceptor disk morphogenesis in mice. J. Clin. Investig. 2008, 118, 2908–2916. [Google Scholar] [CrossRef] [PubMed] [PubMed Central]
- Yanardag, S.; Rhodes, S.; Saravanan, T.; Guan, T.; Ramamurthy, V. Prominin 1 is crucial for the early development of photoreceptor outer segments. Sci. Rep. 2024, 14, 10498. [Google Scholar] [CrossRef] [PubMed] [PubMed Central]
- Bhattacharya, S.; Yin, J.; Winborn, C.S.; Zhang, Q.; Yue, J.; Chaum, E. Prominin-1 Is a Novel Regulator of Autophagy in the Human Retinal Pigment Epithelium. Investig. Ophthalmol. Vis. Sci. 2017, 58, 2366–2387. [Google Scholar] [CrossRef] [PubMed] [PubMed Central]
- Bhattacharya, S.; Yang, T.S.; Nabit, B.P.; Krystofiak, E.S.; Rex, T.S.; Chaum, E. Prominin-1 Knockdown Causes RPE Degeneration in a Mouse Model. Cells 2024, 13, 1761. [Google Scholar] [CrossRef] [PubMed] [PubMed Central]
- Pontikos, N.; Arno, G.; Jurkute, N.; Schiff, E.; Ba-Abbad, R.; Malka, S.; Gimenez, A.; Georgiou, M.; Wright, G.; Armengol, M.; et al. Genetic Basis of Inherited Retinal Disease in a Molecularly Characterized Cohort of More Than 3000 Families from the United Kingdom. Ophthalmology 2020, 127, 1384–1394. [Google Scholar] [CrossRef] [PubMed] [PubMed Central]
- Birtel, J.; Eisenberger, T.; Gliem, M.; Müller, P.L.; Herrmann, P.; Betz, C.; Zahnleiter, D.; Neuhaus, C.; Lenzner, S.; Holz, F.G.; et al. Clinical and genetic characteristics of 251 consecutive patients with macular and cone/cone-rod dystrophy. Sci. Rep. 2018, 8, 4824. [Google Scholar] [CrossRef] [PubMed] [PubMed Central]
- Cehajic-Kapetanovic, J.; Birtel, J.; McClements, M.E.; Shanks, M.E.; Clouston, P.; Downes, S.M.; Charbel Issa, P.; MacLaren, R.E. Clinical and Molecular Characterization of PROM1-Related Retinal Degeneration. JAMA Netw. Open. 2019, 2, e195752. [Google Scholar] [CrossRef] [PubMed] [PubMed Central]
- Moya-Molina, M.; Dorgau, B.; Flood, E.; Letteboer, S.J.F.; Lorentzen, E.; Coxhead, J.; Smith, G.; Roepman, R.; Nagaraja Grellscheid, S.; Armstrong, L.; et al. Deciphering the impact of PROM1 alternative splicing on human photoreceptor development and maturation. Cell Death Dis. 2024, 15, 721. [Google Scholar] [CrossRef] [PubMed] [PubMed Central]
- Maw, M.A.; Corbeil, D.; Koch, J.; Hellwig, A.; Wilson-Wheeler, J.C.; Bridges, R.J.; Kumaramanickavel, G.; John, S.; Nancarrow, D.; Röper, K.; et al. A frameshift mutation in prominin (mouse)-like 1 causes human retinal degeneration. Hum. Mol. Genet. 2000, 9, 27–34. [Google Scholar] [CrossRef] [PubMed]
- Zhang, Q.; Zulfiqar, F.; Xiao, X.; Riazuddin, S.A.; Ahmad, Z.; Caruso, R.; MacDonald, I.; Sieving, P.; Riazuddin, S.; Hejtmancik, J.F. Severe retinitis pigmentosa mapped to 4p15 and associated with a novel mutation in the PROM1 gene. Hum. Genet. 2007, 122, 293–299. [Google Scholar] [CrossRef] [PubMed]
- Permanyer, J.; Navarro, R.; Friedman, J.; Pomares, E.; Castro-Navarro, J.; Marfany, G.; Swaroop, A.; Gonzàlez-Duarte, R. Autosomal recessive retinitis pigmentosa with early macular affectation caused by premature truncation in PROM1. Investig. Ophthalmol. Vis. Sci. 2010, 51, 2656–2663. [Google Scholar] [CrossRef] [PubMed] [PubMed Central]
- Imani, S.; Cheng, J.; Shasaltaneh, M.D.; Wei, C.; Yang, L.; Fu, S.; Zou, H.; Khan, M.A.; Zhang, X.; Chen, H.; et al. Genetic identification and molecular modeling characterization reveal a novel PROM1 mutation in Stargardt4-like macular dystrophy. Oncotarget 2017, 9, 122–141. [Google Scholar] [CrossRef] [PubMed] [PubMed Central]
- Michaelides, M.; Gaillard, M.C.; Escher, P.; Tiab, L.; Bedell, M.; Borruat, F.X.; Barthelmes, D.; Carmona, R.; Zhang, K.; White, E.; et al. The PROM1 mutation p.R373C causes an autosomal dominant bull’s eye maculopathy associated with rod, rod-cone, and macular dystrophy. Investig. Ophthalmol. Vis. Sci. 2010, 51, 4771–4780. [Google Scholar] [CrossRef] [PubMed] [PubMed Central]
- Del Pozo-Valero, M.; Martin-Merida, I.; Jimenez-Rolando, B.; Arteche, A.; Avila-Fernandez, A.; Blanco-Kelly, F.; Riveiro-Alvarez, R.; Van Cauwenbergh, C.; De Baere, E.; Rivolta, C.; et al. Expanded Phenotypic Spectrum of Retinopathies Associated with Autosomal Recessive and Dominant Mutations in PROM1. Am. J. Ophthalmol. 2019, 207, 204–214. [Google Scholar] [CrossRef] [PubMed]
- Hwang, S.; Kang, S.W.; Jang, J.H.; Kim, S.J. Genetic and clinical characteristics of PROM1-related retinal degeneration in Korean. Sci. Rep. 2023, 13, 21877. [Google Scholar] [CrossRef] [PubMed] [PubMed Central]
- Lin, T.Y.; Wu, P.L.; Kang, E.Y.; Chi, Y.C.; Jenny, L.A.; Lin, P.H.; Lee, C.Y.; Liu, C.H.; Liu, L.; Yeh, L.K.; et al. Clinical Characteristics and Genetic Variants in Taiwanese Patients With PROM1-Related Inherited Retinal Disorders. Investig. Ophthalmol. Vis. Sci. 2023, 64, 25. [Google Scholar] [CrossRef] [PubMed] [PubMed Central]
- Fujinami, K.; Oishi, A.; Yang, L.; Arno, G.; Pontikos, N.; Yoshitake, K.; Fujinami-Yokokawa, Y.; Liu, X.; Hayashi, T.; Katagiri, S.; et al. Clinical and genetic characteristics of 10 Japanese patients with PROM1-associated retinal disorder: A report of the phenotype spectrum and a literature review in the Japanese population. Am. J. Med. Genet. C Semin. Med. Genet. 2020, 184, 656–674. [Google Scholar] [CrossRef] [PubMed]
- Großpötzl, M.; Riedl, R.; Schließleder, G.; Hu, Z.J.; Michaelides, M.; Sadda, S.; Birch, D.; Charbel Issa, P.; Wedrich, A.; Seidel, G.; et al. Progression of PROM1-Associated Retinal Degeneration as Determined by Spectral-Domain Optical Coherence Tomography Over a 24-Month Period. Am. J. Ophthalmol. 2024, 259, 109–116. [Google Scholar] [CrossRef] [PubMed]
- Strauss, R.W.; Muñoz, B.; Ahmed, M.I.; Bittencourt, M.; Schönbach, E.M.; Michaelides, M.; Birch, D.; Zrenner, E.; Ervin, A.M.; Charbel Issa, P.; et al. The Progression of the Stargardt Disease Type 4 (ProgStar-4) Study: Design and Baseline Characteristics (ProgStar-4 Report No. 1). Ophthalmic Res. 2018, 60, 185–194. [Google Scholar] [CrossRef] [PubMed]
- Kopanos, C.; Tsiolkas, V.; Kouris, A.; Chapple, C.E.; Albarca Aguilera, M.; Meyer, R.; Massouras, A. VarSome: The human genomic variant search engine. Bioinformatics 2019, 35, 1978–1980. [Google Scholar] [CrossRef] [PubMed] [PubMed Central]
- Richards, S.; Aziz, N.; Bale, S.; Bick, D.; Das, S.; Gastier-Foster, J.; Grody, W.W.; Hegde, M.; Lyon, E.; Spector, E.; et al. Standards and guidelines for the interpretation of sequence variants: A joint consensus recommendation of the American College of Medical Genetics and Genomics and the Association for Molecular Pathology. Genet. Med. 2015, 17, 405–424. [Google Scholar] [CrossRef] [PubMed] [PubMed Central]
- D’Esposito, F.; Capobianco, M.; Gagliano, C.; Avitabile, A.; Gagliano, G.; Esposito, G.; Dammino, E.; Carotenuto, A.; Zeppieri, M. Keep an Eye on Next Generation Sequencing (NGS) Technology: Secondary Findings and Differential Diagnosis in Inherited Retinal Dystrophies (IRDs). Biomedicines 2025, 13, 1117. [Google Scholar] [CrossRef] [PubMed]
- Fioretti, T.; Martora, F.; De Maggio, I.; Ambrosio, A.; Piscopo, C.; Vallone, S.; Amato, F.; Passaro, D.; Acquaviva, F.; Gaudiello, F.; et al. Comprehensive Molecular Analysis of Disease-Related Genes as First-Tier Test for Early Diagnosis, Classification, and Management of Patients Affected by Nonsyndromic Ichthyosis. Biomedicines 2024, 12, 1112. [Google Scholar] [CrossRef] [PubMed] [PubMed Central]

| Nucleotide Variant | Protein Effect | dbSNP Ref. no. | MAF | ACGM | |
|---|---|---|---|---|---|
| GenBank no. NM_006017.3 | Pathogenicity Criteria | Classification | |||
| c.436C>T | p.Arg146* | rs780697796 | 0.00003 | PS4, PVS1, PM2 | Pathogenic |
| c.1117C>T | p.Arg373Cys | rs137853006 | 0.0000014 | PS4, PM2 | Likely pathogenic |
| c.1142-1G>A | splicing | rs752619497 | 0.0000486 | PS4, PVS1, PM2 | Pathogenic |
| c.1321_1330dup | p.Leu444Hisfs*24 | NR | -- | PVS1, PM2 | Likely pathogenic |
| c.1354dupT | p.Tyr452Leufs*13 | rs543698823 | 0.000222 | PS4, PVS1, PM2 | Pathogenic |
| c.1405C>A | p.Pro469Thr | rs751216717 | 0.0000144 | PM2, PM3, PP1, PP2, PP3 [S1] | Likely pathogenic |
| c.1414C>T | p.Arg472* | rs761152494 | 0.0000180 | PS4, PVS1, PM2 | Pathogenic |
| Patient no. | Sex | Age at Observation | Age at Onset | Duration of Symptoms | BCVA | Symptoms/ Phenotype at Observation | Genotype |
|---|---|---|---|---|---|---|---|
| 1 | M | 45 | 25 | 20 | 6/60 OU | RCD + MDY | c.1414C>T (homozygous) |
| 2 | M | 22 | 4 | 18 | HM OU | RCD + MDY | c.1142-1G>A c.1117C>T |
| 3 | M | 51 | 32 | 19 | 6/9 OU | MDY | c.1117C>T (heterozygous) |
| 4 | M | 16 | 4 | 12 | 6/30 OD 6/15 OS | RCD Myopia (−8 D OU) Nyctalopia | c.436C>T c.1321_1330dup |
| 5 | F | 52 | 49 | 3 | 6/9 OU | MDY Nyctalopia | c.1354dupT c.1405C>A |
| 6 | M | 53 | 38 | 15 | HM OD 6/60 OS | MDY | c.1117C>T (heterozygous) |
| 7 | M | 60 | 50 | 10 | 6/24 OD 6/30 OS | MDY Nyctalopia | c.1117C>T (heterozygous) |
| 8 | M | 56 | 12 | 44 | HM OU | RCD MDY | c.436C>T c.1321_1330dup |
| 9 | M | 40 | 25 | 15 | LP OD 6/9 OS | MDY Nyctalopia Myopia (−12 D OU) RD OD | c.1117C>T (heterozygous) |
| 10 | M | 20 | 14 | 6 | 6/9 OD 6/18 OS | MDY Amblyopia OS | c.1117C>T (heterozygous) |
Disclaimer/Publisher’s Note: The statements, opinions and data contained in all publications are solely those of the individual author(s) and contributor(s) and not of MDPI and/or the editor(s). MDPI and/or the editor(s) disclaim responsibility for any injury to people or property resulting from any ideas, methods, instructions or products referred to in the content. |
© 2025 by the authors. Licensee MDPI, Basel, Switzerland. This article is an open access article distributed under the terms and conditions of the Creative Commons Attribution (CC BY) license (https://creativecommons.org/licenses/by/4.0/).
Share and Cite
D’Esposito, F.; Gagliano, C.; Vallone, S.; Cappellani, F.; Gagliano, G.; Randazzo, V.; Tognetto, D.; Esposito, G.; Zeppieri, M. Clinical and Molecular Findings in PROM1-Associated Inherited Retinal Dystrophies. Genes 2025, 16, 1299. https://doi.org/10.3390/genes16111299
D’Esposito F, Gagliano C, Vallone S, Cappellani F, Gagliano G, Randazzo V, Tognetto D, Esposito G, Zeppieri M. Clinical and Molecular Findings in PROM1-Associated Inherited Retinal Dystrophies. Genes. 2025; 16(11):1299. https://doi.org/10.3390/genes16111299
Chicago/Turabian StyleD’Esposito, Fabiana, Caterina Gagliano, Sabrina Vallone, Francesco Cappellani, Giuseppe Gagliano, Viviana Randazzo, Daniele Tognetto, Gabriella Esposito, and Marco Zeppieri. 2025. "Clinical and Molecular Findings in PROM1-Associated Inherited Retinal Dystrophies" Genes 16, no. 11: 1299. https://doi.org/10.3390/genes16111299
APA StyleD’Esposito, F., Gagliano, C., Vallone, S., Cappellani, F., Gagliano, G., Randazzo, V., Tognetto, D., Esposito, G., & Zeppieri, M. (2025). Clinical and Molecular Findings in PROM1-Associated Inherited Retinal Dystrophies. Genes, 16(11), 1299. https://doi.org/10.3390/genes16111299

