A Novel De Novo SP6 Mutation Causes Severe Hypoplastic Amelogenesis Imperfecta
Abstract
1. Introduction
2. Materials and Methods
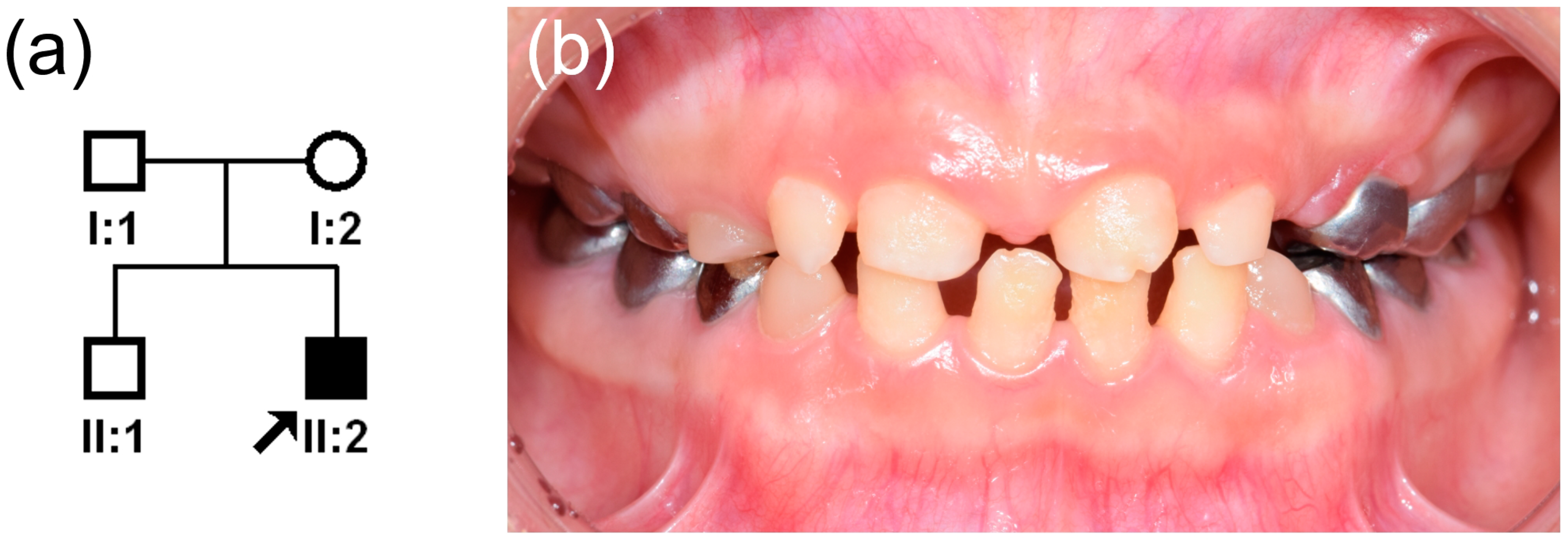
2.1. Study Subjects and Informed Consent
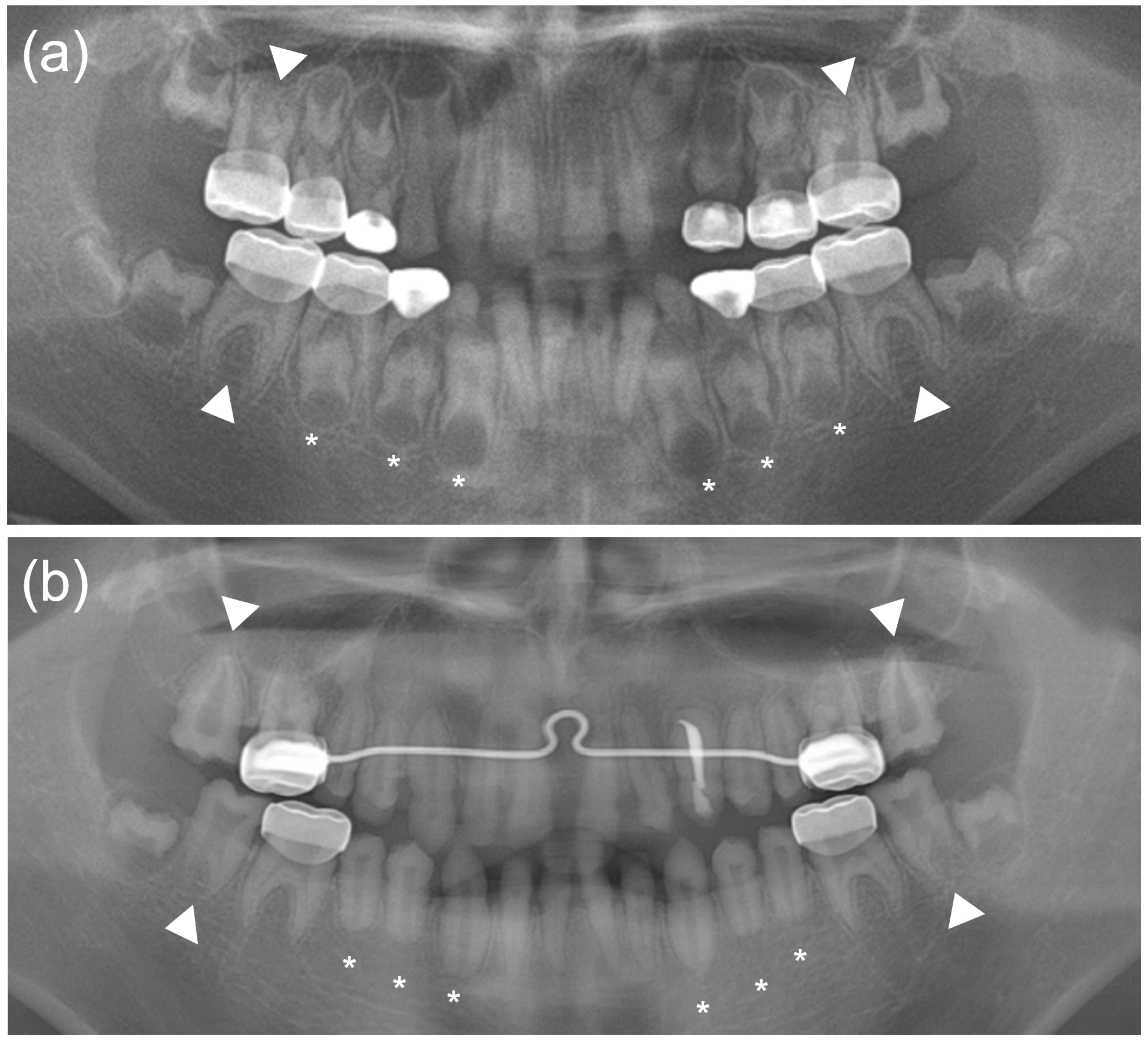
2.2. Clinical Examination and Sample Collection
2.3. DNA Isolation and Whole Exome Sequencing
2.4. Bioinformatics
2.5. Sanger Sequencing
2.6. Cloning of the Wild-Type and Mutant SP6 Expression Vectors
2.7. Western Blot and RT-PCR of the Wild-Type and Mutant SP6
3. Results
4. Discussion
Author Contributions
Funding
Institutional Review Board Statement
Informed Consent Statement
Data Availability Statement
Acknowledgments
Conflicts of Interest
References
- Smith, C.E.L.; Poulter, J.A.; Antanaviciute, A.; Kirkham, J.; Brookes, S.J.; Inglehearn, C.F.; Mighell, A.J. Amelogenesis Imperfecta; Genes, Proteins, and Pathways. Front. Physiol. 2017, 8, 435. [Google Scholar] [CrossRef] [PubMed]
- Backman, B.; Holm, A.K. Amelogenesis imperfecta: Prevalence and incidence in a northern Swedish county. Community Dent. Oral Epidemiol. 1986, 14, 43–47. [Google Scholar] [CrossRef] [PubMed]
- Wright, J.T.; Carrion, I.A.; Morris, C. The molecular basis of hereditary enamel defects in humans. J. Dent. Res. 2015, 94, 52–61. [Google Scholar] [CrossRef] [PubMed]
- Kim, J.W.; Zhang, H.; Seymen, F.; Koruyucu, M.; Hu, Y.; Kang, J.; Kim, Y.J.; Ikeda, A.; Kasimoglu, Y.; Bayram, M.; et al. Mutations in RELT cause autosomal recessive amelogenesis imperfecta. Clin. Genet. 2019, 95, 375–383. [Google Scholar] [CrossRef]
- Nikolopoulos, G.; Smith, C.E.L.; Brookes, S.J.; El-Asrag, M.E.; Brown, C.J.; Patel, A.; Murillo, G.; O’Connell, M.J.; Inglehearn, C.F.; Mighell, A.J. New missense variants in RELT causing hypomineralised amelogenesis imperfecta. Clin. Genet. 2020, 97, 688–695. [Google Scholar] [CrossRef]
- Prasad, M.K.; Laouina, S.; El Alloussi, M.; Dollfus, H.; Bloch-Zupan, A. Amelogenesis Imperfecta: 1 Family, 2 Phenotypes, and 2 Mutated Genes. J. Dent. Res. 2016, 95, 1457–1463. [Google Scholar] [CrossRef]
- Wright, J.T.; Torain, M.; Long, K.; Seow, K.; Crawford, P.; Aldred, M.J.; Hart, P.S.; Hart, T.C. Amelogenesis imperfecta: Genotype-phenotype studies in 71 families. Cells Tissues Organs 2011, 194, 279–283. [Google Scholar] [CrossRef]
- Hyun, H.K.; Kim, J.W. Thickness and microhardness of deciduous tooth enamel with known DLX3 mutation. Arch. Oral Biol. 2009, 54, 830–834. [Google Scholar] [CrossRef]
- Duan, X.; Yang, S.; Zhang, H.; Wu, J.; Zhang, Y.; Ji, D.; Tie, L.; Boerkoel, C.F. A Novel AMELX Mutation, Its Phenotypic Features, and Skewed X Inactivation. J. Dent. Res. 2019, 98, 870–878. [Google Scholar] [CrossRef]
- Morkmued, S.; Laugel-Haushalter, V.; Mathieu, E.; Schuhbaur, B.; Hemmerlé, J.; Dollé, P.; Bloch-Zupan, A.; Niederreither, K. Retinoic Acid Excess Impairs Amelogenesis Inducing Enamel Defects. Front. Physiol. 2016, 7, 673. [Google Scholar] [CrossRef]
- Kim, Y.J.; Kang, J.; Seymen, F.; Koruyucu, M.; Zhang, H.; Kasimoglu, Y.; Bayram, M.; Tuna-Ince, E.B.; Bayrak, S.; Tuloglu, N.; et al. Alteration of Exon Definition Causes Amelogenesis Imperfecta. J. Dent. Res. 2020, 99, 410–418. [Google Scholar] [CrossRef]
- Lagerstrom, M.; Dahl, N.; Nakahori, Y.; Nakagome, Y.; Backman, B.; Landegren, U.; Pettersson, U. A deletion in the amelogenin gene (AMG) causes X-linked amelogenesis imperfecta (AIH1). Genomics 1991, 10, 971–975. [Google Scholar] [CrossRef]
- Rajpar, M.H.; Harley, K.; Laing, C.; Davies, R.M.; Dixon, M.J. Mutation of the gene encoding the enamel-specific protein, enamelin, causes autosomal-dominant amelogenesis imperfecta. Hum. Mol. Genet. 2001, 10, 1673–1677. [Google Scholar] [CrossRef] [PubMed]
- Poulter, J.A.; Murillo, G.; Brookes, S.J.; Smith, C.E.; Parry, D.A.; Silva, S.; Kirkham, J.; Inglehearn, C.F.; Mighell, A.J. Deletion of ameloblastin exon 6 is associated with amelogenesis imperfecta. Hum. Mol. Genet. 2014, 23, 5317–5324. [Google Scholar] [CrossRef] [PubMed]
- Kim, J.W.; Simmer, J.P.; Hart, T.C.; Hart, P.S.; Ramaswami, M.D.; Bartlett, J.D.; Hu, J.C. MMP-20 mutation in autosomal recessive pigmented hypomaturation amelogenesis imperfecta. J. Med. Genet. 2005, 42, 271–275. [Google Scholar] [CrossRef] [PubMed]
- Hart, P.S.; Hart, T.C.; Michalec, M.D.; Ryu, O.H.; Simmons, D.; Hong, S.; Wright, J.T. Mutation in kallikrein 4 causes autosomal recessive hypomaturation amelogenesis imperfecta. J. Med. Genet. 2004, 41, 545–549. [Google Scholar] [CrossRef] [PubMed]
- Seymen, F.; Kim, Y.J.; Lee, Y.J.; Kang, J.; Kim, T.H.; Choi, H.; Koruyucu, M.; Kasimoglu, Y.; Tuna, E.B.; Gencay, K.; et al. Recessive Mutations in ACPT, Encoding Testicular Acid Phosphatase, Cause Hypoplastic Amelogenesis Imperfecta. Am. J. Hum. Genet. 2016, 99, 1199–1205. [Google Scholar] [CrossRef][Green Version]
- Smith, C.E.L.; Whitehouse, L.L.E.; Poulter, J.A.; Wilkinson Hewitt, L.; Nadat, F.; Jackson, B.R.; Manfield, I.W.; Edwards, T.A.; Rodd, H.D.; Inglehearn, C.F.; et al. A missense variant in specificity protein 6 (SP6) is associated with amelogenesis imperfecta. Hum. Mol. Genet. 2020, 29, 1417–1425. [Google Scholar] [CrossRef]
- Nakamura, T.; de Vega, S.; Fukumoto, S.; Jimenez, L.; Unda, F.; Yamada, Y. Transcription factor epiprofin is essential for tooth morphogenesis by regulating epithelial cell fate and tooth number. J. Biol. Chem. 2008, 283, 4825–4833. [Google Scholar] [CrossRef]
- Hertveldt, V.; De Mees, C.; Scohy, S.; Van Vooren, P.; Szpirer, J.; Szpirer, C. The Sp6 locus uses several promoters and generates sense and antisense transcripts. Biochimie 2007, 89, 1381–1387. [Google Scholar] [CrossRef]
- Muto, T.; Miyoshi, K.; Horiguchi, T.; Hagita, H.; Noma, T. Novel genetic linkage of rat Sp6 mutation to Amelogenesis imperfecta. Orphanet. J. Rare Dis. 2012, 7, 34. [Google Scholar] [CrossRef]
- Ruspita, I.; Das, P.; Xia, Y.; Kelangi, S.; Miyoshi, K.; Noma, T.; Snead, M.L.; D’Souza, R.N.; Bei, M. An Msx2-Sp6-Follistatin Pathway Operates During Late Stages of Tooth Development to Control Amelogenesis. Front. Physiol. 2020, 11, 582610. [Google Scholar] [CrossRef] [PubMed]
- Kim, J.W.; Seymen, F.; Lin, B.P.; Kiziltan, B.; Gencay, K.; Simmer, J.P.; Hu, J.C. ENAM mutations in autosomal-dominant amelogenesis imperfecta. J. Dent. Res. 2005, 84, 278–282. [Google Scholar] [CrossRef]
- Koruyucu, M.; Kang, J.; Kim, Y.J.; Seymen, F.; Kasimoglu, Y.; Lee, Z.H.; Shin, T.J.; Hyun, H.K.; Kim, Y.J.; Lee, S.H.; et al. Hypoplastic AI with Highly Variable Expressivity Caused by ENAM Mutations. J. Dent. Res. 2018, 97, 1064–1069. [Google Scholar] [CrossRef] [PubMed]
- Wang, S.K.; Aref, P.; Hu, Y.; Milkovich, R.N.; Simmer, J.P.; El-Khateeb, M.; Daggag, H.; Baqain, Z.H.; Hu, J.C. FAM20A mutations can cause enamel-renal syndrome (ERS). PLoS Genet. 2013, 9, e1003302. [Google Scholar] [CrossRef] [PubMed]



| Sample | Total Reads | Mapping Rate (%) | Median Target Coverage | Coverage of Target Region (%) | Fraction of Target Covered with at Least | |
|---|---|---|---|---|---|---|
| 20X | 10X | |||||
| I:1 | 69,365,294 | 99.6 | 95 | 96.5 | 93.5 | 95.5 |
| I:2 | 68,921,817 | 99.6 | 87 | 96.3 | 93.0 | 95.3 |
| II:2 | 59,890,807 | 99.7 | 82 | 96.5 | 92.8 | 95.4 |
Publisher’s Note: MDPI stays neutral with regard to jurisdictional claims in published maps and institutional affiliations. |
© 2021 by the authors. Licensee MDPI, Basel, Switzerland. This article is an open access article distributed under the terms and conditions of the Creative Commons Attribution (CC BY) license (http://creativecommons.org/licenses/by/4.0/).
Share and Cite
Kim, Y.J.; Lee, Y.; Zhang, H.; Song, J.-S.; Hu, J.C.-C.; Simmer, J.P.; Kim, J.-W. A Novel De Novo SP6 Mutation Causes Severe Hypoplastic Amelogenesis Imperfecta. Genes 2021, 12, 346. https://doi.org/10.3390/genes12030346
Kim YJ, Lee Y, Zhang H, Song J-S, Hu JC-C, Simmer JP, Kim J-W. A Novel De Novo SP6 Mutation Causes Severe Hypoplastic Amelogenesis Imperfecta. Genes. 2021; 12(3):346. https://doi.org/10.3390/genes12030346
Chicago/Turabian StyleKim, Youn Jung, Yejin Lee, Hong Zhang, Ji-Soo Song, Jan C.-C. Hu, James P. Simmer, and Jung-Wook Kim. 2021. "A Novel De Novo SP6 Mutation Causes Severe Hypoplastic Amelogenesis Imperfecta" Genes 12, no. 3: 346. https://doi.org/10.3390/genes12030346
APA StyleKim, Y. J., Lee, Y., Zhang, H., Song, J.-S., Hu, J. C.-C., Simmer, J. P., & Kim, J.-W. (2021). A Novel De Novo SP6 Mutation Causes Severe Hypoplastic Amelogenesis Imperfecta. Genes, 12(3), 346. https://doi.org/10.3390/genes12030346

