Genetic Diversity of Plasmodium vivax Cysteine-Rich Protective Antigen (PvCyRPA) in Field Isolates from Five Different Areas of the Brazilian Amazon
Abstract
1. Introduction
2. Materials and Methods
2.1. Study Areas and Blood Sample Collection
2.2. Ethical Considerations
2.3. Genomic DNA Extraction
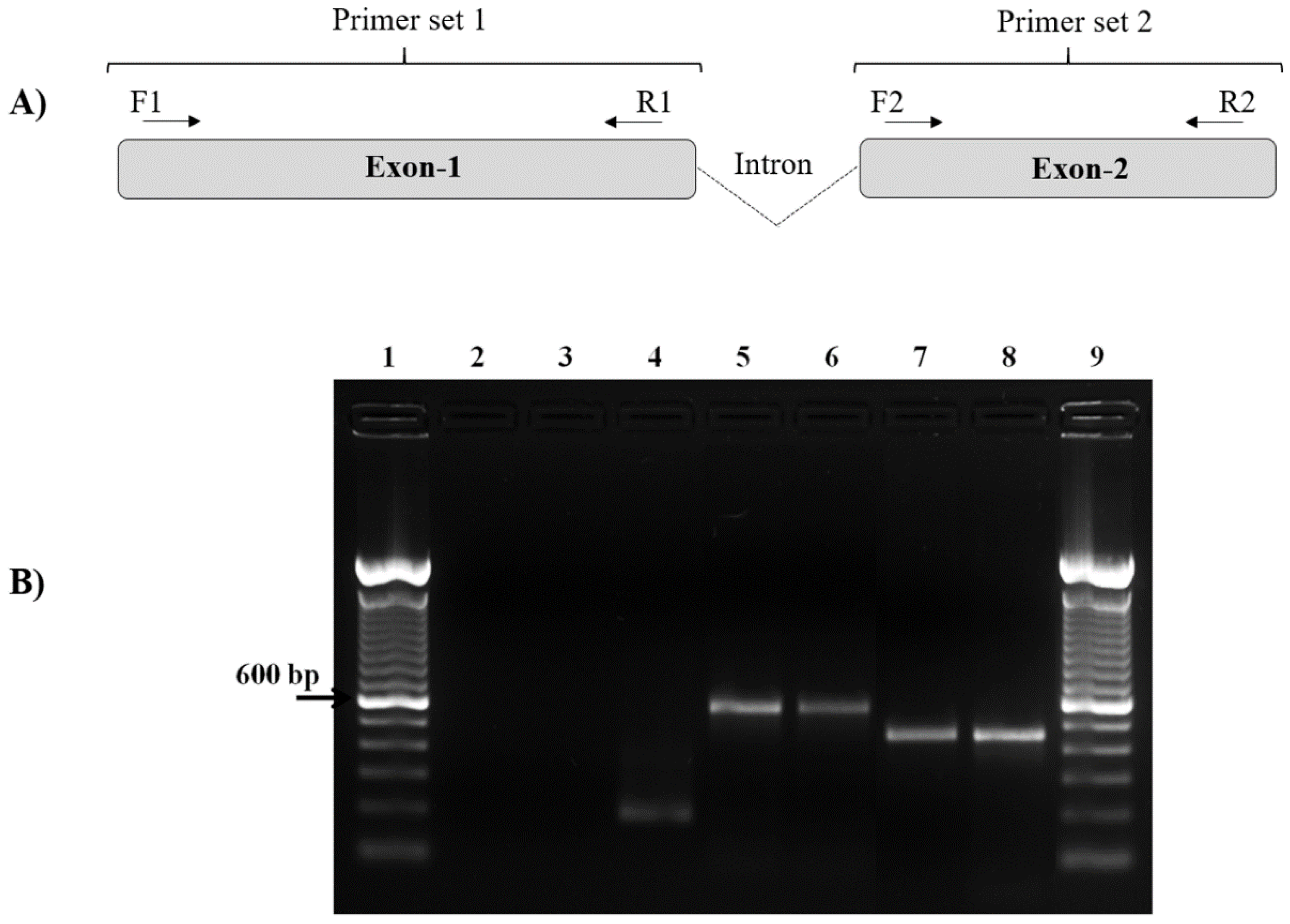
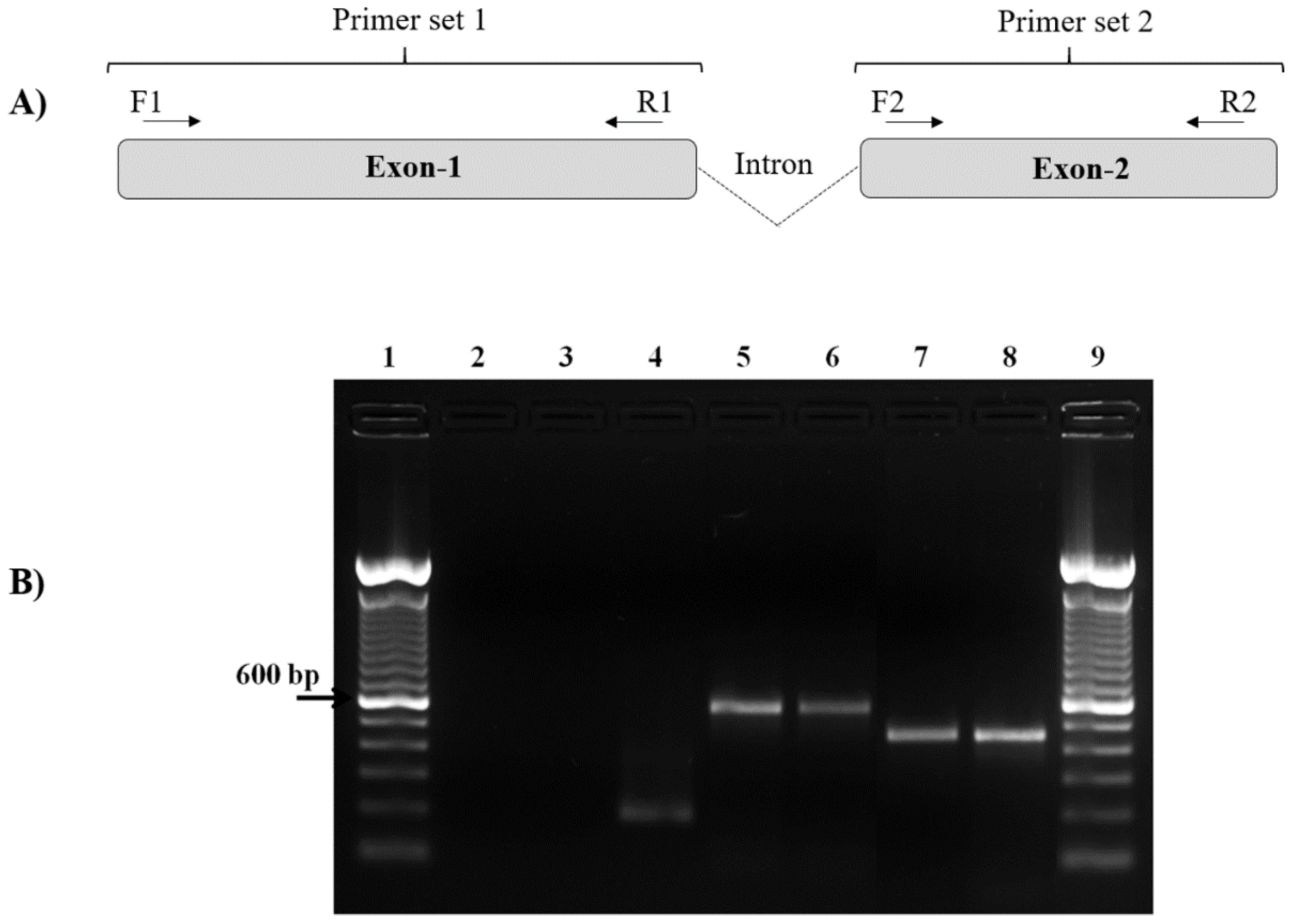
2.4. Design of Pvcyrpa Specific Primers
2.5. PCR Amplification of Pvcyrpa Gene
2.6. DNA Sequencing and Polymorphism Analysis
2.7. Genetic Analysis of the Coding Gene
2.8. Prediction of Linear B-Cell Epitopes
3. Results
3.1. Molecular Characterization of the Pvcyrpa Gene in the Studied Regions
3.2. Genetic Diversity of the Pvcyrpa Gene
3.3. Population Genetic Analysis
3.4. Haplotype Network Analysis
3.5. Comparison of Amino Acid Variations in PvCyRPA among Genome Sequences Available Worldwide
3.6. Polymorphisms and Potential B-Cell Epitopes
4. Discussion
5. Conclusions
Author Contributions
Funding
Institutional Review Board Statement
Informed Consent Statement
Data Availability Statement
Acknowledgments
Conflicts of Interest
References
- WHO. World Malaria Report 2020; World Health Organization: Geneva, Switzerland, 2020. [Google Scholar]
- Dalrymple, U.; Mappin, B.; Gething, P.W. Malaria mapping: Understanding the global endemicity of falciparum and vivax malaria. BMC Med. 2015, 13, 140. [Google Scholar] [CrossRef]
- da Silva-Nunes, M.; Moreno, M.; Conn, J.E.; Gamboa, D.; Abeles, S.; Vinetz, J.M.; Ferreira, M.U. Amazonian malaria: Asymptomatic human reservoirs, diagnostic challenges, environmentally driven changes in mosquito vector populations, and the mandate for sustainable control strategies. Acta Trop. 2012, 121, 281–291. [Google Scholar] [CrossRef]
- Saúde SdVeSMd. Boletim Epidemiológico Malária; Secretaria de Vigilância em Saúde | Ministério da Saúde: Brasilia, Brazil, 2021. [Google Scholar]
- Hulden, L.; Hulden, L. Activation of the hypnozoite: A part of Plasmodium vivax life cycle and survival. Malar. J. 2011, 10, 90. [Google Scholar] [CrossRef]
- Cotter, C.; Sturrock, H.J.; Hsiang, M.S.; Liu, J.; Phillips, A.A.; Hwang, J.; Gueye, C.S.; Fullman, N.; Gosling, R.D.; Feachem, R.G. The changing epidemiology of malaria elimination: New strategies for new challenges. Lancet 2013, 382, 900–911. [Google Scholar] [CrossRef]
- Miller, L.H.; Baruch, D.I.; Marsh, K.; Doumbo, O.K. The pathogenic basis of malaria. Nature 2002, 415, 673–679. [Google Scholar] [CrossRef] [PubMed]
- Mons, B.; Collins, W.E.; Skinner, J.C.; van der Star, W.; Croon, J.J.; van der Kaay, H.J. Plasmodium vivax: In vitro growth and reinvasion in red blood cells of Aotus nancymai. Exp. Parasitol. 1988, 66, 183–188. [Google Scholar] [CrossRef]
- Kanjee, U.; Rangel, G.W.; Clark, M.A.; Duraisingh, M.T. Molecular and cellular interactions defining the tropism of Plasmodium vivax for reticulocytes. Curr. Opin. Microbiol. 2018, 46, 109–115. [Google Scholar] [CrossRef]
- Mitchell, G.H.; Bannister, L.H. Malaria parasite invasion: Interactions with the red cell membrane. Crit. Rev. Oncol./Hematol. 1988, 8, 225–310. [Google Scholar] [CrossRef]
- Favuzza, P.; Guffart, E.; Tamborrini, M.; Scherer, B.; Dreyer, A.M.; Rufer, A.C.; Erny, J.; Hoernschemeyer, J.; Thoma, R.; Schmid, G.; et al. Structure of the malaria vaccine candidate antigen CyRPA and its complex with a parasite invasion inhibitory antibody. eLife 2017, 6, e20383. [Google Scholar] [CrossRef]
- Tamborrini, M.; Hauser, J.; Schafer, A.; Amacker, M.; Favuzza, P.; Kyungtak, K.; Fleury, S.; Pluschke, G. Vaccination with virosomally formulated recombinant CyRPA elicits protective antibodies against Plasmodium falciparum parasites in preclinical in vitro and in vivo models. NPJ Vaccines 2020, 5, 9. [Google Scholar] [CrossRef]
- Favuzza, P.; Blaser, S.; Dreyer, A.M.; Riccio, G.; Tamborrini, M.; Thoma, R.; Matile, H.; Pluschke, G. Generation of Plasmodium falciparum parasite-inhibitory antibodies by immunization with recombinantly-expressed CyRPA. Malar. J. 2016, 15, 161. [Google Scholar] [CrossRef] [PubMed]
- Dreyer, A.M.; Matile, H.; Papastogiannidis, P.; Kamber, J.; Favuzza, P.; Voss, T.S.; Wittlin, S.; Pluschke, G. Passive immunoprotection of Plasmodium falciparum-infected mice designates the CyRPA as candidate malaria vaccine antigen. J. Immunol. 2012, 188, 6225–6237. [Google Scholar] [CrossRef] [PubMed]
- Franca, C.T.; White, M.T.; He, W.Q.; Hostetler, J.B.; Brewster, J.; Frato, G.; Malhotra, I.; Gruszczyk, J.; Huon, C.; Lin, E.; et al. Identification of highly-protective combinations of Plasmodium vivax recombinant proteins for vaccine development. eLife 2017, 6, e28673. [Google Scholar] [CrossRef] [PubMed]
- Ndegwa, D.N.; Kundu, P.; Hostetler, J.B.; Marin-Menendez, A.; Sanderson, T.; Mwikali, K.; Verzier, L.H.; Coyle, R.; Adjalley, S.; Rayner, J.C. Using Plasmodium knowlesi as a model for screening Plasmodium vivax blood-stage malaria vaccine targets reveals new candidates. PLoS Pathog. 2021, 17, e1008864. [Google Scholar] [CrossRef] [PubMed]
- Beeson, J.G.; Drew, D.R.; Boyle, M.J.; Feng, G.; Fowkes, F.J.; Richards, J.S. Merozoite surface proteins in red blood cell invasion, immunity and vaccines against malaria. FEMS Microbiol. Rev. 2016, 40, 343–372. [Google Scholar] [CrossRef]
- Crompton, P.D.; Pierce, S.K.; Miller, L.H. Advances and challenges in malaria vaccine development. J. Clin. Investig. 2010, 120, 4168–4178. [Google Scholar] [CrossRef]
- Barry, A.E.; Arnott, A. Strategies for designing and monitoring malaria vaccines targeting diverse antigens. Front. Immunol. 2014, 5, 359. [Google Scholar] [CrossRef]
- The malERA Consultative Group on Vaccines, A research agenda for malaria eradication: Vaccines. PLoS Med. 2011, 8, e1000398. [CrossRef]
- Takala, S.L.; Plowe, C.V. Genetic diversity and malaria vaccine design, testing and efficacy: Preventing and overcoming ‘vaccine resistant malaria’. Parasite Immunol. 2009, 31, 560–573. [Google Scholar] [CrossRef]
- de Souza-Neiras, W.C.; de Melo, L.M.; Machado, R.L. The genetic diversity of Plasmodium vivax—A review. Mem. Inst. Oswaldo Cruz 2007, 102, 245–254. [Google Scholar] [CrossRef][Green Version]
- Gonzalez-Ceron, L.; Cebrian-Carmona, J.; Mesa-Valle, C.M.; Garcia-Maroto, F.; Santillan-Valenzuela, F.; Garrido-Cardenas, J.A. Plasmodium vivax Cysteine-Rich Protective Antigen Polymorphism at Exon-1 Shows Recombination and Signatures of Balancing Selection. Genes 2020, 12, 29. [Google Scholar] [CrossRef] [PubMed]
- Oliveira-Ferreira, J.; Lacerda, M.V.; Brasil, P.; Ladislau, J.L.; Tauil, P.L.; Daniel-Ribeiro, C.T. Malaria in Brazil: An overview. Malar. J. 2010, 9, 115. [Google Scholar] [CrossRef] [PubMed]
- Chaves, L.B.; Perce-da-Silva, D.S.; Totino, P.R.R.; Riccio, E.K.P.; Baptista, B.O.; de Souza, A.B.L.; Rodrigues-da-Silva, R.N.; Machado, R.L.D.; de Souza, R.M.; Daniel-Ribeiro, C.T.; et al. Plasmodium vivax ookinete surface protein (Pvs25) is highly conserved among field isolates from five different regions of the Brazilian Amazon. Infect. Genet. Evol. J. Mol. Epidemiol. Evol. Genet. Infect. Dis. 2019, 73, 287–294. [Google Scholar] [CrossRef] [PubMed]
- Snounou, G.; Viriyakosol, S.; Zhu, X.P.; Jarra, W.; Pinheiro, L.; do Rosario, V.E.; Thaithong, S.; Brown, K.N. High sensitivity of detection of human malaria parasites by the use of nested polymerase chain reaction. Mol. Biochem. Parasitol. 1993, 61, 315–320. [Google Scholar] [CrossRef]
- Garrido-Cardenas, J.A.; Gonzalez-Ceron, L.; Manzano-Agugliaro, F.; Mesa-Valle, C. Plasmodium genomics: An approach for learning about and ending human malaria. Parasitol. Res. 2019, 118, 1–27. [Google Scholar] [CrossRef]
- Singh, V.; Gupta, P.; Pande, V. Revisiting the multigene families: Plasmodium var and vir genes. J. Vector Borne Dis. 2014, 51, 75–81. [Google Scholar]
- Ferreira, M.U.; da Silva Nunes, M.; Wunderlich, G. Antigenic diversity and immune evasion by malaria parasites. Clin. Diagn. Lab. Immunol. 2004, 11, 987–995. [Google Scholar] [CrossRef]
- Pratt-Riccio, L.R.; Sallenave-Sales, S.; de Oliveira-Ferreira, J.; da Silva, B.T.; Guimaraes, M.L.; Santos, F.; de Simone, T.S.; Morgado, M.G.; de Simone, S.G.; Ferreira-Da-Cruz Mde, F.; et al. Evaluation of the genetic polymorphism of Plasmodium falciparum P126 protein (SERA or SERP) and its influence on naturally acquired specific antibody responses in malaria-infected individuals living in the Brazilian Amazon. Malar. J. 2008, 7, 144. [Google Scholar] [CrossRef]
- Burland, T.G. DNASTAR’s Lasergene sequence analysis software. Methods Mol. Biol. 2000, 132, 71–91. [Google Scholar] [CrossRef] [PubMed]
- Auburn, S.; Bohme, U.; Steinbiss, S.; Trimarsanto, H.; Hostetler, J.; Sanders, M.; Gao, Q.; Nosten, F.; Newbold, C.I.; Berriman, M.; et al. A new Plasmodium vivax reference sequence with improved assembly of the subtelomeres reveals an abundance of pir genes. Welcome Open Res. 2016, 1, 4. [Google Scholar] [CrossRef]
- Rozas, J.; Ferrer-Mata, A.; Sanchez-DelBarrio, J.C.; Guirao-Rico, S.; Librado, P.; Ramos-Onsins, S.E.; Sanchez-Gracia, A. DnaSP 6: DNA Sequence Polymorphism Analysis of Large Data Sets. Mol. Biol. Evol. 2017, 34, 3299–3302. [Google Scholar] [CrossRef] [PubMed]
- Tajima, F. Statistical method for testing the neutral mutation hypothesis by DNA polymorphism. Genetics 1989, 123, 585–595. [Google Scholar] [CrossRef] [PubMed]
- Nei, M.; Gojobori, T. Simple methods for estimating the numbers of synonymous and non-synonymous nucleotide substitutions. Mol. Biol. Evol. 1986, 3, 418–426. [Google Scholar] [CrossRef]
- Bandelt, H.J.; Forster, P.; Rohl, A. Median-joining networks for inferring intraspecific phylogenies. Mol. Biol. Evol. 1999, 16, 37–48. [Google Scholar] [CrossRef]
- Ponomarenko, J.; Bui, H.H.; Li, W.; Fusseder, N.; Bourne, P.E.; Sette, A.; Peters, B. ElliPro: A new structure-based tool for the prediction of antibody epitopes. BMC Bioinform. 2008, 9, 514. [Google Scholar] [CrossRef]
- Knuepfer, E.; Wright, K.E.; Kumar Prajapati, S.; Rawlinson, T.A.; Mohring, F.; Koch, M.; Lyth, O.R.; Howell, S.A.; Villasis, E.; Snijders, A.P.; et al. Divergent roles for the RH5 complex components, CyRPA and RIPR in human-infective malaria parasites. PLoS Pathog. 2019, 15, e1007809. [Google Scholar] [CrossRef]
- Miller, L.H.; Roberts, T.; Shahabuddin, M.; McCutchan, T.F. Analysis of sequence diversity in the Plasmodium falciparum merozoite surface protein-1 (MSP-1). Mol. Biochem. Parasitol. 1993, 59, 1–14. [Google Scholar] [CrossRef]
- Arnott, A.; Barry, A.E.; Reeder, J.C. Understanding the population genetics of Plasmodium vivax is essential for malaria control and elimination. Malar. J. 2012, 11, 14. [Google Scholar] [CrossRef]
- Ferreira, M.U.; Karunaweera, N.D.; da Silva-Nunes, M.; da Silva, N.S.; Wirth, D.F.; Hartl, D.L. Population structure and transmission dynamics of Plasmodium vivax in rural Amazonia. J. Infect. Dis. 2007, 195, 1218–1226. [Google Scholar] [CrossRef]
- Ferreira, M.U.; Castro, M.C. Challenges for malaria elimination in Brazil. Malar. J. 2016, 15, 284. [Google Scholar] [CrossRef] [PubMed]
- Souza, P.F.; Xavier, D.R.; Suarez Mutis, M.C.; da Mota, J.C.; Peiter, P.C.; de Matos, V.P.; Magalhaes, M.; Barcellos, C. Spatial spread of malaria and economic frontier expansion in the Brazilian Amazon. PLoS ONE 2019, 14, e0217615. [Google Scholar] [CrossRef]
- Renia, L.; Goh, Y.S. Malaria Parasites: The Great Escape. Front. Immunol. 2016, 7, 463. [Google Scholar] [CrossRef] [PubMed]
- Rougeron, V.; Elguero, E.; Arnathau, C.; Acuna Hidalgo, B.; Durand, P.; Houze, S.; Berry, A.; Zakeri, S.; Haque, R.; Shafiul Alam, M.; et al. Human Plasmodium vivax diversity, population structure and evolutionary origin. PLoS Negl. Trop. Dis. 2020, 14, e0008072. [Google Scholar] [CrossRef] [PubMed]
- de Oliveira, T.C.; Corder, R.M.; Early, A.; Rodrigues, P.T.; Ladeia-Andrade, S.; Alves, J.M.P.; Neafsey, D.E.; Ferreira, M.U. Population genomics reveals the expansion of highly inbred Plasmodium vivax lineages in the main malaria hotspot of Brazil. PLoS Negl. Trop. Dis. 2020, 14, e0008808. [Google Scholar] [CrossRef] [PubMed]
- Neafsey, D.E.; Galinsky, K.; Jiang, R.H.; Young, L.; Sykes, S.M.; Saif, S.; Gujja, S.; Goldberg, J.M.; Young, S.; Zeng, Q.; et al. The malaria parasite Plasmodium vivax exhibits greater genetic diversity than Plasmodium falciparum. Nat. Genet. 2012, 44, 1046–1050. [Google Scholar] [CrossRef] [PubMed]




| PCR Primers | Direction | Sequence (5′–3′) | Gene Length (bp) | |
|---|---|---|---|---|
| Exon-1 | PvCyRPA_F1 | Forward primer | TGCAATTTTCCTCTTCTTCTTCC | 600 |
| PvCyRPA_R1 | Reverse primer | CCCCATGTTCTTCCCTTGTCTT | ||
| Exon-2 | PvCyRPA_F2 | Forward primer | CCTGATAAACTACGAAGAGCTCCA | 466 |
| PvCyRPA_R2 | Reverse primer | CCTCGTATAGTAAAGCGTGTGT |
| Sal-1 a | Substitutions b | Isolates | |||||
|---|---|---|---|---|---|---|---|
| CZS (31) N (%) | ML (17) N (%) | GJ (4) N (%) | MAO (37) N (%) | OIA (9) N (%) | Total (98) N (%) | ||
| G69 | G69A | 12 (39%) | 7 (41%) | 2 (50%) | 19 (51%) | 3 (33%) | 43 (44%) |
| E86 | E86Q | 4 (13%) | 1 (6%) | 0 | 0 | 2 (22%) | 7 (7%) |
| T90 | T90K | 14 (45%) | 10 (59%) | 2 (50%) | 19 (51%) | 2 (22%) | 47 (48%) |
| K93 | K93E | 14 (45%) | 9 (53%) | 2 (50%) | 19 (51%) | 3 (33%) | 47 (48%) |
| H95 | H95N | 14 (45%) | 9 (53%) | 2 (50%) | 19 (51%) | 3 (33%) | 47 (48%) |
| R122 | R122K | 24 (77%) | 15 (88%) | 4 (100%) | 30 (81%) | 7 (78%) | 80 (82%) |
| E126 | E126K | 14 (45%) | 7 (41%) | 2 (50%) | 17 (46%) | 3 (33%) | 43 (44%) |
| G127 | G127E | 14 (45%) | 7 (41%) | 2 (50%) | 17 (46%) | 2 (22%) | 42 (43%) |
| I129 | I129S | 9 (29%) | 6 (35%) | 2 (50%) | 11 (30%) | 3 (33%) | 31 (32%) |
| K131 | K131E | 23 (74%) | 13 (76%) | 4 (100%) | 30 (81%) | 7 (78%) | 77 (79%) |
| Q142 | Q142K | 17 (55%) | 8 (47%) | 2 (50%) | 15 (41%) | 6 (67%) | 48 (49%) |
| Q142R | 1 (3%) | 2 (12%) | 0 | 0 | 0 | 3 (3%) | |
| D145 | D145G | 9 (29%) | 6 (35%) | 2 (50%) | 11 (30%) | 3 (33%) | 31 (32%) |
| D145N | 8 (26%) | 2 (12%) | 0 | 6 (16%) | 3 (33%) | 19 (19%) | |
| D149 | D149G | 23 (74%) | 13 (76%) | 4 (100%) | 16 (43%) | 6 (67%) | 62 (63%) |
| K150 | K150R | 6 (19%) | 5 (29%) | 2 (50%) | 0 | 0 | 13 (13%) |
| A154 | A154D | 20 (65%) | 11 (65%) | 4 (100%) | 19 (51%) | 6 (67%) | 60 (61%) |
| E159 | E159D | 23 (74%) | 14 (82%) | 4 (100%) | 19 (51%) | 6 (67%) | 66 (67%) |
| N170 | N170D | 12 (39%) | 8 (47%) | 2 (50%) | 7 (19%) | 0 | 29 (30%) |
| K185 | K185E | 10 (32%) | 6 (35%) | 2 (50%) | 0 (0%) | 1 (11%) | 19 (19%) |
| A187 | A187V | 2 (6%) | 2 (12%) | 0 | 2 (5%) | 0 | 6 (6%) |
| V220 | V220I | 2 (6%) | 2 (12%) | 0 | 13 (35%) | 2 (22%) | 19 (19%) |
| D232 | D232N | 9 (29%) | 3 (18%) | 3 (75%) | 7 (19%) | 3 (33%) | 25 (26%) |
| D259 | D259E | 12 (39%) | 8 (47%) | 1 (25%) | 18 (49%) | 2 (22%) | 41 (42%) |
| V260 | V260E | 12 (39%) | 8 (47%) | 1 (25%) | 18 (49%) | 2 (22%) | 41 (42%) |
| T261 | T261P | 12 (39%) | 8 (47%) | 1 (25%) | 18 (49%) | 2 (22%) | 41 (42%) |
| G264 | G264S | 14 (45%) | 8 (47%) | 1 (25%) | 18 (49%) | 2 (22%) | 43 (44%) |
| E267 | *** | 14 (45%) | 8 (47%) | 1 (25%) | 18 (49%) | 2 (22%) | 43 (44%) |
| V287 | V287I | 4 (13%) | 2 (12%) | 0 | 1 (3%) | 0 | 7 (7%) |
| Diversity | Entire Coding | Exon-1 | Exon-2 |
|---|---|---|---|
| Cruzeiro do Sul (n = 31) | |||
| No. of segregating sites (S) | 32 | 22 | 10 |
| No. of haplotypes (h) | 20 | 11 | 11 |
| Haplotype diversity (Hd) | 0.955 ± 0.022 | 0.875 ± 0.031 | 0.867 ± 0.038 |
| Nucleotide diversity (π) | 0.01248 ± 0.00037 | 0.01489 ± 0.00050 | 0.00921 ± 0.00048 |
| Tajima’s test (D) | 2.24953 * | 2.17555 * | 1.96672 ns1 |
| Tajima’s test (Z) | 0.774 | 1.330 | 0.884 |
| Mâncio Lima (n = 17) | |||
| No. of segregating sites (S) | 32 | 22 | 10 |
| No. of haplotypes (h) | 11 | 8 | 5 |
| Haplotype diversity (Hd) | 0.926 ± 0.045 | 0.846 ± 0.062 | 0.750 ± 0.088 |
| Nucleotide diversity (π) | 0.01272 ± 0.00064 | 0.01517 ± 0.00095 | 0.00938 ± 0.00077 |
| Tajima’s test (D) | 1.63472 ns | 1.59064 ns | 1.47204 ns |
| Tajima’s test (Z) | 1.014 | 1.391 | 0.743 |
| Guajará (n = 4) | |||
| No. of segregating sites (S) | 20 | 13 | 7 |
| No. of haplotypes (h) | 3 | 2 | 2 |
| Haplotype diversity (Hd) | 0.833 ± 0.222 | 0.667 ± 0.204 | 0.500 ± 0.265 |
| Nucleotide diversity (π) | 0.01168 ± 0.00338 | 0.01444 ± 0.00442 | 0.00792 ± 0.00420 |
| Tajima’s test (D) | 1.18178 ns | 2.24818 * | −0.81734 ns |
| Tajima’s test (Z) | 0.502 | 0.686 | 0.440 |
| Manaus (n = 37) | |||
| No. of segregating sites (S) | 27 | 18 | 9 |
| No. of haplotypes (h) | 19 | 11 | 6 |
| Haplotype diversity (Hd) | 0.943 ± 0.021 | 0.886 ± 0.031 | 0.818 ± 0.024 |
| Nucleotide diversity (π) | 0.01116 ± 0.00030 | 0.01285 ± 0.00050 | 0.00887 ± 0.00034 |
| Tajima’s test (D) | 2.75595 ** | 2.60865 ** | 2.42821 * |
| Tajima’s test (Z) | 0.908 | 1.258 | 0.685 |
| Oiapoque (n = 9) | |||
| No. of segregating sites (S) | 28 | 18 | 10 |
| No. of haplotypes (h) | 9 | 7 | 6 |
| Haplotype diversity (Hd) | 1.000 ± 0.052 | 0.917 ± 0.092 | 0.889 ± 0.091 |
| Nucleotide diversity (π) | 0.01136 ± 0.00113 | 0.01361 ± 0.00171 | 0.00830 ± 0.00233 |
| Tajima’s test (D) | 0.74327 ns | 1.13901 ns | −0.01607 ns |
| Tajima’s test (Z) | 0.932 | 1.156 | 0.402 |
| Isolates | Exon-1 | Exon-2 | ||||||||||||||||||||||||||||||
|---|---|---|---|---|---|---|---|---|---|---|---|---|---|---|---|---|---|---|---|---|---|---|---|---|---|---|---|---|---|---|---|---|
| Codon Number/Amino Acid Residue | ||||||||||||||||||||||||||||||||
| 63 | 69 | 86 | 90 | 93 | 95 | 122 | 125 | 126 | 127 | 129 | 131 | 142 | 145 | 147 | 149 | 150 | 154 | 159 | 170 | 180 | 185 | 187 | 220 | 232 | 260 | 261 | 264 | 287 | 361 | |||
| Sal-1 | I | G | E | T | K | H | R | R | E | G | I | K | Q | D | Q | D | K | A | E | N | L | K | A | V | D | D | V | T | G | V | Y | |
| Brazilian Amazon | Cruzeiro do Sul | • | G/A | E/Q | T/K | K/E | H/N | R/K | • | E/K | G/E | I/S | K/E | Q/R/K | D/G/N | • | D/G | K/R | A/D | E/D | N/D | • | K/E | A/V | V/I | D/N | D/E | V/E | T/P | G/S | V/I | • |
| Mâncio Lima | • | G/A | E/Q | T/K | K/E | H/N | R/K | • | E/K | G/E | I/S | K/E | Q/R/K | D/G/N | • | D/G | K/R | A/D | E/D | N/D | • | K/E | A/V | V/I | D/N | D/E | V/E | T/P | G/S | V/I | • | |
| Guajará | • | G/A | • | T/K | K/E | H/N | R/K | • | E/K | G/E | I/S | K/E | Q/K | D/G | • | D/G | K/R | A/D | E/D | N/D | • | K/E | • | • | D/N | D/E | V/E | T/P | G/S | • | • | |
| Manaus | • | G/A | • | T/K | K/E | H/N | R/K | • | E/K | G/E | I/S | K/E | Q/K | D/G/N | • | D/G | • | A/D | E/D | N/D | • | • | A/V | I | D/N | D/E | V/E | T/P | G/S | V/I | • | |
| Oiapoque | • | G/A | E/Q | T/K | K/E | H/N | R/K | • | E/K | G/E | I/S | K/E | Q/K | D/G/N | • | D/G | • | A/D | E/D | • | • | K/E | • | V/I | D/N | D/E | V/E | T/P | G/S | • | • | |
| GenBank | gb|KMZ81773.1 IndiaVII | • | • | • | • | • | • | K | • | • | • | • | • | • | • | • | G | • | • | • | • | H | • | • | • | N | • | • | • | • | • | • |
| gb|KNA00954.1 North Korean | T | • | • | K | • | • | K | • | K | E | • | E | R | • | • | G | • | D | D | • | • | • | V | I | • | • | • | • | • | • | H | |
| gb|KMZ94334.1 Mauritania I | • | • | • | • | • | • | K | • | • | S | E | K | G | • | G | • | • | • | • | • | • | • | • | N | E | E | P | S | • | • | ||
| gb|KMZ87926.1 Brazil I | • | A | • | K | E | N | K | • | K | E | • | E | K | N | • | G | • | D | D | • | • | • | V | • | N | • | • | • | • | • | • | |
| Sanger Institute | SCO 66052.1 | • | A | • | N | • | N | K | T | K | E | • | E | T | • | K | G | • | D | D | D | • | • | V | I | • | • | • | • | • | I | • |
| SCO 71483.1 | • | • | K | • | • | K | • | • | • | • | E | R | • | • | G | • | • | D | • | • | • | V | • | N | • | • | • | • | • | • | ||
| SGX 76259.1 | • | A | Q | K | E | N | K | • | K | E | • | E | K | • | • | • | • | • | D | • | • | E | P | • | • | E | E | P | • | • | • | |
| Mexico | Southern Mexican | • | A | • | • | E | N | • | • | K | E | • | • | • | N | • | • | • | D | D | D | • | • | • | • | • | E | E | P | S | • | • |
| Sequence | Start | End | Lenght | Conformational Epitope | Overlapped Prediction | ||||
|---|---|---|---|---|---|---|---|---|---|
| Ellipro | BCPred | ABCpred | BepiPred | Emini | |||||
| PvCyRPA-B1 | 81 | 91 | 11 | Yes | X | X | X | X | - |
| PvCyRPA-B2 | 119 | 129 | 11 | No | X | - | X | X | X |
| PvCyRPA-B3 | 134 | 151 | 18 | No | X | X | X | X | X |
| PvCyRPA-B4 | 181 | 192 | 12 | Yes | X | - | - | X | X |
| PvCyRPA-B5 | 241 | 249 | 9 | Yes | X | X | - | X | - |
| PvCyRPA-B6 | 257 | 272 | 16 | Yes | X | X | - | - | X |
| PvCyRPA-B7 | 312 | 330 | 19 | Yes | X | X | X | - | - |
| Epitope | Sequence | Epitope |
|---|---|---|
| PvCyRPA(I81–L91) | Sal-1 | INSTWETQTTL |
| E86Q | INSTWQTQTTL | |
| T90K | INSTWETQTKL | |
| T90N | INSTWETQTNL | |
| PvCyRPA(Y119–I129) | Sal-1 | YKQRSKREGTI |
| R122K | YKQKSKREGTI | |
| R125T | YKQRSKTEGTI | |
| E126K | YKQRSKRKGTI | |
| G127E | YKQRSKREGTI | |
| I129S | YKQRSKREGTS | |
| PvCyRPA(N134–151) | Sal-1 | NSVTGTIYQKEDVQIDKE |
| Q142R | NSVTGTIYRKEDVQIDKE | |
| Q142K | NSVTGTIYKKEDVQIDKE | |
| Q142T | NSVTGTIYTKEDVQIDKE | |
| D145G | NSVTGTIYQKEDVQIDKE | |
| D145N | NSVTGTIYQKENVQIDKE | |
| Q147K | NSVTGTIYQKEDVKIDKE | |
| D149G | NSVTGTIYQKEDVQIGKE | |
| K150R | NSVTGTIYQKEDVQIDRE | |
| PvCyRPA(S181–F192) | Sal-1 | SYEYKTANKDNF |
| K185E | SYEYETANKDNF | |
| A187V | SYEYKTVNKDNF | |
| A187P | SYEYKTPNKDNF | |
| PvCyRPA(R241–R249) | Sal-1 | RISTNNTAR |
| PvCyRPA(T257–C272) | Sal-1 | TLDVTNEGKKEYKFKC |
| D259E | TLEVTNEGKKEYKFKC | |
| V260E | TLDETNEGKKEYKFKC | |
| T261P | TLDVPNEGKKEYKFKC | |
| G264S | TLDVTNESKKEYKFKC | |
| PvCyRPA(T312–G330) | Sal-1 | TEQNAIVVKPKVQNDDLNG |
Publisher’s Note: MDPI stays neutral with regard to jurisdictional claims in published maps and institutional affiliations. |
© 2021 by the authors. Licensee MDPI, Basel, Switzerland. This article is an open access article distributed under the terms and conditions of the Creative Commons Attribution (CC BY) license (https://creativecommons.org/licenses/by/4.0/).
Share and Cite
Bitencourt Chaves, L.; Guimarães, G.d.O.; Perce-da-Silva, D.d.S.; Banic, D.M.; Totino, P.R.R.; Machado, R.L.D.; Rodrigues-da-Silva, R.N.; Pratt-Riccio, L.R.; Daniel-Ribeiro, C.T.; Lima-Junior, J.d.C. Genetic Diversity of Plasmodium vivax Cysteine-Rich Protective Antigen (PvCyRPA) in Field Isolates from Five Different Areas of the Brazilian Amazon. Genes 2021, 12, 1657. https://doi.org/10.3390/genes12111657
Bitencourt Chaves L, Guimarães GdO, Perce-da-Silva DdS, Banic DM, Totino PRR, Machado RLD, Rodrigues-da-Silva RN, Pratt-Riccio LR, Daniel-Ribeiro CT, Lima-Junior JdC. Genetic Diversity of Plasmodium vivax Cysteine-Rich Protective Antigen (PvCyRPA) in Field Isolates from Five Different Areas of the Brazilian Amazon. Genes. 2021; 12(11):1657. https://doi.org/10.3390/genes12111657
Chicago/Turabian StyleBitencourt Chaves, Lana, Glaucia de Oliveira Guimarães, Daiana de Souza Perce-da-Silva, Dalma Maria Banic, Paulo Renato Rivas Totino, Ricardo Luiz Dantas Machado, Rodrigo Nunes Rodrigues-da-Silva, Lilian Rose Pratt-Riccio, Cláudio Tadeu Daniel-Ribeiro, and Josué da Costa Lima-Junior. 2021. "Genetic Diversity of Plasmodium vivax Cysteine-Rich Protective Antigen (PvCyRPA) in Field Isolates from Five Different Areas of the Brazilian Amazon" Genes 12, no. 11: 1657. https://doi.org/10.3390/genes12111657
APA StyleBitencourt Chaves, L., Guimarães, G. d. O., Perce-da-Silva, D. d. S., Banic, D. M., Totino, P. R. R., Machado, R. L. D., Rodrigues-da-Silva, R. N., Pratt-Riccio, L. R., Daniel-Ribeiro, C. T., & Lima-Junior, J. d. C. (2021). Genetic Diversity of Plasmodium vivax Cysteine-Rich Protective Antigen (PvCyRPA) in Field Isolates from Five Different Areas of the Brazilian Amazon. Genes, 12(11), 1657. https://doi.org/10.3390/genes12111657
