Loss of C-Terminal Coiled-Coil Domains in SDCCAG8 Impairs Centriolar Satellites and Causes Defective Sperm Flagellum Biogenesis and Male Fertility
Abstract
1. Introduction
2. Materials and Methods
2.1. Animals
2.2. Reverse-Transcription PCR
2.3. Fertility Test
2.4. Tissue Collection and Histological Analysis
2.5. Sperm Motility and Sperm Count Assays
2.6. Transmission Electron Microscopy (TEM)
2.7. Scanning Electron Microscopy (SEM)
2.8. Isolation of Spermatids from Testes
2.9. Plasmids
2.10. Cell Culture, Transfection, Co-Immunoprecipitation (co-IP), and MS Analysis
2.11. Immunoprecipitation
2.12. Western Blot Analysis
2.13. Immunofluorescence
2.14. Antibodies
2.15. Proteomics Analysis
2.16. Conserved Motif Analysis
2.17. Protein–Protein Docking
2.18. Statistical Analysis
3. Results
3.1. C-Terminal Truncated Mutation of Sdccag8 Leads to Male Infertility in Mice
3.2. Sdccag8 Mutant Males Exhibit MMAF Phenotypes
3.3. The Sdccag8 Mutation Disrupts Spermiogenesis by Causing Abnormal Manchette Formation and Nuclear Elongation
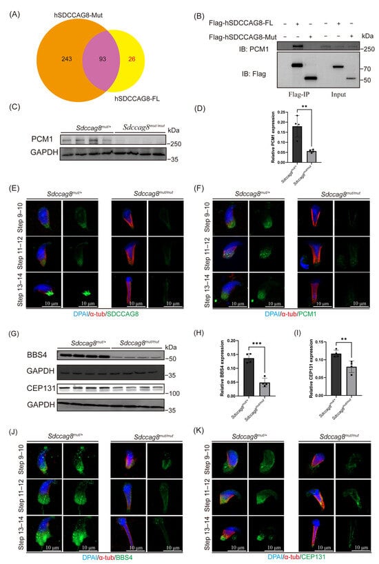
3.4. Sdccag8 c.1351–1352insG Mutation Destabilizes PCM1 and Disrupts the Centriolar Satellite Integrity in Spermatids
3.5. SDCCAG8 Interacted with PCM1 Through Its Fifth to Eighth Coiled-Coil Domains
4. Discussion
5. Conclusions
Supplementary Materials
Author Contributions
Funding
Institutional Review Board Statement
Informed Consent Statement
Data Availability Statement
Conflicts of Interest
Abbreviations
| BBS | Bardet–Biedl syndrome |
| CCs | Coiled-coil domains |
| H&E | Hematoxylin and eosin |
| IF | Immunofluorescence |
| IFT | Intra-flagellar transport |
| IP | Immunoprecipitation |
| MMAF | Multiple morphological abnormalities of the flagella |
| NPHP | Nephronophthisis |
| PAS | Periodic acid Schiff staining |
| RP | Retinitis pigmentosa |
| SDCCAG8 | Serologically defined colon cancer autoantigen protein 8 |
| SEM | Scanning electron microscopy |
| SLS | Senior–Løken syndrome |
| TEM | Transmission electron microscopy |
References
- Ombelet, W.; Cooke, I.; Dyer, S.; Serour, G.; Devroey, P. Infertility and the provision of infertility medical services in developing countries. Hum. Reprod. Update 2008, 14, 605–621. [Google Scholar] [CrossRef] [PubMed]
- Boivin, J.; Bunting, L.; Collins, J.A.; Nygren, K.G. International estimates of infertility prevalence and treatment-seeking: Potential need and demand for infertility medical care. Hum. Reprod. 2007, 22, 1506–1512. [Google Scholar] [CrossRef] [PubMed]
- Tüttelmann, F.; Ruckert, C.; Röpke, A. Disorders of spermatogenesis: Perspectives for novel genetic diagnostics after 20 years of unchanged routine. Med. Genet. 2018, 30, 12–20. [Google Scholar] [CrossRef] [PubMed]
- Jiao, S.Y.; Yang, Y.H.; Chen, S.R. Molecular genetics of infertility: Loss-of-function mutations in humans and corresponding knockout/mutated mice. Hum. Reprod. Update 2021, 27, 154–189. [Google Scholar] [CrossRef] [PubMed]
- Coutton, C.; Escoffier, J.; Martinez, G.; Arnoult, C.; Ray, P.F. Teratozoospermia: Spotlight on the main genetic actors in the human. Hum. Reprod. Update 2015, 21, 455–485. [Google Scholar] [CrossRef] [PubMed]
- Touré, A.; Martinez, G.; Kherraf, Z.E.; Cazin, C.; Beurois, J.; Arnoult, C.; Ray, P.F.; Coutton, C. The genetic architecture of morphological abnormalities of the sperm tail. Hum. Genet. 2021, 140, 21–42. [Google Scholar] [CrossRef] [PubMed]
- Arora, M.; Mehta, P.; Sethi, S.; Anifandis, G.; Samara, M.; Singh, R. Genetic etiological spectrum of sperm morphological abnormalities. J. Assist. Reprod. Genet. 2024, 41, 2877–2929. [Google Scholar] [CrossRef] [PubMed]
- Bärenz, F.; Mayilo, D.; Gruss, O.J. Centriolar satellites: Busy orbits around the centrosome. Eur. J. Cell Biol. 2011, 90, 983–989. [Google Scholar] [CrossRef] [PubMed]
- Begar, E.; Seyrek, E.; Firat-Karalar, E.N. Navigating centriolar satellites: The role of PCM1 in cellular and organismal processes. FEBS J. 2024, 292, 688–708. [Google Scholar] [CrossRef] [PubMed]
- Odabasi, E.; Batman, U.; Firat-Karalar, E.N. Unraveling the mysteries of centriolar satellites: Time to rewrite the textbooks about the centrosome/cilium complex. Mol. Biol. Cell 2020, 31, 866–872. [Google Scholar] [CrossRef] [PubMed]
- Quarantotti, V.; Chen, J.X.; Tischer, J.; Gonzalez Tejedo, C.; Papachristou, E.K.; D’Santos, C.S.; Kilmartin, J.V.; Miller, M.L.; Gergely, F. Centriolar satellites are acentriolar assemblies of centrosomal proteins. EMBO J. 2019, 38, e101082. [Google Scholar] [CrossRef] [PubMed]
- Tollenaere, M.A.; Mailand, N.; Bekker-Jensen, S. Centriolar satellites: Key mediators of centrosome functions. Cell. Mol. Life Sci. 2015, 72, 11–23. [Google Scholar] [CrossRef] [PubMed]
- Villumsen, B.H.; Danielsen, J.R.; Povlsen, L.; Sylvestersen, K.B.; Merdes, A.; Beli, P.; Yang, Y.G.; Choudhary, C.; Nielsen, M.L.; Mailand, N.; et al. A new cellular stress response that triggers centriolar satellite reorganization and ciliogenesis. EMBO J. 2013, 32, 3029–3040. [Google Scholar] [CrossRef] [PubMed]
- Hori, A.; Toda, T. Regulation of centriolar satellite integrity and its physiology. Cell. Mol. Life Sci. 2017, 74, 213–229. [Google Scholar] [CrossRef] [PubMed]
- Gupta, G.D.; Coyaud, E.; Goncalves, J.; Mojarad, B.A.; Liu, Y.; Wu, Q.; Gheiratmand, L.; Comartin, D.; Tkach, J.M.; Cheung, S.W.; et al. A Dynamic Protein Interaction Landscape of the Human Centrosome-Cilium Interface. Cell 2015, 163, 1484–1499. [Google Scholar] [CrossRef] [PubMed]
- Gheiratmand, L.; Coyaud, E.; Gupta, G.D.; Laurent, E.M.; Hasegan, M.; Prosser, S.L.; Gonçalves, J.; Raught, B.; Pelletier, L. Spatial and proteomic profiling reveals centrosome-independent features of centriolar satellites. EMBO J. 2019, 38, e101109. [Google Scholar] [CrossRef] [PubMed]
- Lopes, C.A.; Prosser, S.L.; Romio, L.; Hirst, R.A.; O’Callaghan, C.; Woolf, A.S.; Fry, A.M. Centriolar satellites are assembly points for proteins implicated in human ciliopathies, including oral-facial-digital syndrome 1. J. Cell Sci. 2011, 124, 600–612. [Google Scholar] [CrossRef] [PubMed]
- Hall, E.A.; Kumar, D.; Prosser, S.L.; Yeyati, P.L.; Herranz-Pérez, V.; García-Verdugo, J.M.; Rose, L.; McKie, L.; Dodd, D.O.; Tennant, P.A.; et al. Centriolar satellites expedite mother centriole remodeling to promote ciliogenesis. eLife 2023, 12, e79299. [Google Scholar] [CrossRef] [PubMed]
- Dammermann, A.; Merdes, A. Assembly of centrosomal proteins and microtubule organization depends on PCM-1. J. Cell Biol. 2002, 159, 255–266. [Google Scholar] [CrossRef] [PubMed]
- Mykytyn, K.; Mullins, R.F.; Andrews, M.; Chiang, A.P.; Swiderski, R.E.; Yang, B.; Braun, T.; Casavant, T.; Stone, E.M.; Sheffield, V.C. Bardet-Biedl syndrome type 4 (BBS4)-null mice implicate Bbs4 in flagella formation but not global cilia assembly. Proc. Natl. Acad. Sci. USA 2004, 101, 8664–8669. [Google Scholar] [CrossRef] [PubMed]
- Hall, E.A.; Keighren, M.; Ford, M.J.; Davey, T.; Jarman, A.P.; Smith, L.B.; Jackson, I.J.; Mill, P. Acute versus chronic loss of mammalian Azi1/Cep131 results in distinct ciliary phenotypes. PLoS Genet. 2013, 9, e1003928. [Google Scholar] [CrossRef] [PubMed]
- Yang, B.; Lei, C.; Yang, D.; Lu, C.; Xu, Y.; Wang, L.; Guo, T.; Wang, R.; Luo, H. Identification of a Novel OFD1 Variant in a Patient with Primary Ciliary Dyskinesia. Pharmacogenomics Pers. Med. 2022, 15, 697–704. [Google Scholar] [CrossRef] [PubMed]
- Wu, B.; Long, C.; Liu, J.; Huang, X.; Ma, S.; Ma, Y.; Wang, L.; Jiang, Y.; Yang, B.; Gong, C.; et al. A subset of evolutionarily conserved centriolar satellite core components is crucial for sperm flagellum biogenesis. Theranostics 2025, 15, 7025–7044. [Google Scholar] [CrossRef] [PubMed]
- Insolera, R.; Shao, W.; Airik, R.; Hildebrandt, F.; Shi, S.H. SDCCAG8 regulates pericentriolar material recruitment and neuronal migration in the developing cortex. Neuron 2014, 83, 805–822. [Google Scholar] [CrossRef] [PubMed]
- Otto, E.A.; Hurd, T.W.; Airik, R.; Chaki, M.; Zhou, W.; Stoetzel, C.; Patil, S.B.; Levy, S.; Ghosh, A.K.; Murga-Zamalloa, C.A.; et al. Candidate exome capture identifies mutation of SDCCAG8 as the cause of a retinal-renal ciliopathy. Nat. Genet. 2010, 42, 840–850. [Google Scholar] [CrossRef] [PubMed]
- Tsutsumi, R.; Chaya, T.; Tsujii, T.; Furukawa, T. The carboxyl-terminal region of SDCCAG8 comprises a functional module essential for cilia formation as well as organ development and homeostasis. J. Biol. Chem. 2022, 298, 101686. [Google Scholar] [CrossRef] [PubMed]
- Schaefer, E.; Zaloszyc, A.; Lauer, J.; Durand, M.; Stutzmann, F.; Perdomo-Trujillo, Y.; Redin, C.; Bennouna Greene, V.; Toutain, A.; Perrin, L.; et al. Mutations in SDCCAG8/NPHP10 Cause Bardet-Biedl Syndrome and Are Associated with Penetrant Renal Disease and Absent Polydactyly. Mol. Syndromol. 2011, 1, 273–281. [Google Scholar] [CrossRef] [PubMed]
- Watanabe, Y.; Fujinaga, S.; Sakuraya, K.; Morisada, N.; Nozu, K.; Iijima, K. Rapidly Progressive Nephronophthisis in a 2-Year-Old Boy with a Homozygous SDCCAG8 Mutation. Tohoku J. Exp. Med. 2019, 249, 29–32. [Google Scholar] [CrossRef] [PubMed]
- Shamseldin, H.E.; Shaheen, R.; Ewida, N.; Bubshait, D.K.; Alkuraya, H.; Almardawi, E.; Howaidi, A.; Sabr, Y.; Abdalla, E.M.; Alfaifi, A.Y.; et al. The morbid genome of ciliopathies: An update. Genet. Med. Off. J. Am. Coll. Med. Genet. 2020, 22, 1051–1060. [Google Scholar] [CrossRef] [PubMed]
- Halbritter, J.; Porath, J.D.; Diaz, K.A.; Braun, D.A.; Kohl, S.; Chaki, M.; Allen, S.J.; Soliman, N.A.; Hildebrandt, F.; Otto, E.A. Identification of 99 novel mutations in a worldwide cohort of 1,056 patients with a nephronophthisis-related ciliopathy. Hum. Genet. 2013, 132, 865–884. [Google Scholar] [CrossRef] [PubMed]
- Kang, H.G.; Lee, H.K.; Ahn, Y.H.; Joung, J.G.; Nam, J.; Kim, N.K.; Ko, J.M.; Cho, M.H.; Shin, J.I.; Kim, J.; et al. Targeted exome sequencing resolves allelic and the genetic heterogeneity in the genetic diagnosis of nephronophthisis-related ciliopathy. Exp. Mol. Med. 2016, 48, e251. [Google Scholar] [CrossRef] [PubMed]
- Billingsley, G.; Vincent, A.; Deveault, C.; Héon, E. Mutational analysis of SDCCAG8 in Bardet-Biedl syndrome patients with renal involvement and absent polydactyly. Ophthalmic Genet. 2012, 33, 150–154. [Google Scholar] [CrossRef] [PubMed]
- Yamamura, T.; Morisada, N.; Nozu, K.; Minamikawa, S.; Ishimori, S.; Toyoshima, D.; Ninchoji, T.; Yasui, M.; Taniguchi-Ikeda, M.; Morioka, I.; et al. Rare renal ciliopathies in non-consanguineous families that were identified by targeted resequencing. Clin. Exp. Nephrol. 2017, 21, 136–142. [Google Scholar] [CrossRef] [PubMed]
- Tay, S.A.; Vincent, A.L. Senior-Loken syndrome and intracranial hypertension. Ophthalmic Genet 2020, 41, 354–357. [Google Scholar] [CrossRef] [PubMed]
- Bahmanpour, Z.; Daneshmandpour, Y.; Kazeminasab, S.; Khalil Khalili, S.; Alehabib, E.; Chapi, M.; Soosanabadi, M.; Darvish, H.; Emamalizadeh, B. A novel splice site mutation in the SDCCAG8 gene in an Iranian family with Bardet-Biedl syndrome. Int. Ophthalmol. 2021, 41, 389–397. [Google Scholar] [CrossRef] [PubMed]
- Airik, R.; Schueler, M.; Airik, M.; Cho, J.; Ulanowicz, K.A.; Porath, J.D.; Hurd, T.W.; Bekker-Jensen, S.; Schrøder, J.M.; Andersen, J.S.; et al. SDCCAG8 Interacts with RAB Effector Proteins RABEP2 and ERC1 and Is Required for Hedgehog Signaling. PLoS ONE 2016, 11, e0156081. [Google Scholar] [CrossRef] [PubMed]
- Flynn, M.; Whitton, L.; Donohoe, G.; Morrison, C.G.; Morris, D.W. Altered gene regulation as a candidate mechanism by which ciliopathy gene SDCCAG8 contributes to schizophrenia and cognitive function. Hum. Mol. Genet. 2020, 29, 407–417. [Google Scholar] [CrossRef] [PubMed]
- Airik, R.; Slaats, G.G.; Guo, Z.; Weiss, A.C.; Khan, N.; Ghosh, A.; Hurd, T.W.; Bekker-Jensen, S.; Schrøder, J.M.; Elledge, S.J.; et al. Renal-retinal ciliopathy gene Sdccag8 regulates DNA damage response signaling. J. Am. Soc. Nephrol. 2014, 25, 2573–2583. [Google Scholar] [CrossRef] [PubMed]
- Weihbrecht, K.; Goar, W.A.; Carter, C.S.; Sheffield, V.C.; Seo, S. Genotypic and phenotypic characterization of the Sdccag8Tn(sb-Tyr)2161B.CA1C2Ove mouse model. PLoS ONE 2018, 13, e0192755. [Google Scholar] [CrossRef] [PubMed]
- Ren, Z.L.; Zhang, H.B.; Li, L.; Yang, Z.L.; Jiang, L. Characterization of two novel knock-in mouse models of syndromic retinal ciliopathy carrying hypomorphic Sdccag8 mutations. Zool. Res. 2022, 43, 442–456. [Google Scholar] [CrossRef] [PubMed]
- Liu, S.; Zhang, J.; Kherraf, Z.E.; Sun, S.; Zhang, X.; Cazin, C.; Coutton, C.; Zouari, R.; Zhao, S.; Hu, F.; et al. CFAP61 is required for sperm flagellum formation and male fertility in human and mouse. Development 2021, 148, dev199805. [Google Scholar] [CrossRef] [PubMed]
- Li, W.; Tang, W.; Teves, M.E.; Zhang, Z.; Zhang, L.; Li, H.; Archer, K.J.; Peterson, D.L.; Williams, D.C., Jr.; Strauss, J.F., 3rd; et al. A MEIG1/PACRG complex in the manchette is essential for building the sperm flagella. Development 2015, 142, 921–930. [Google Scholar] [CrossRef] [PubMed]
- Zhu, T.; Zhang, Y.; Sheng, X.; Zhang, X.; Chen, Y.; Zhu, H.; Guo, Y.; Qi, Y.; Zhao, Y.; Zhou, Q.; et al. Absence of CEP78 causes photoreceptor and sperm flagella impairments in mice and a human individual. eLife 2023, 12, e76157. [Google Scholar] [CrossRef] [PubMed]
- Jiang, L.; Tam, B.M.; Ying, G.; Wu, S.; Hauswirth, W.W.; Frederick, J.M.; Moritz, O.L.; Baehr, W. Kinesin family 17 (osmotic avoidance abnormal-3) is dispensable for photoreceptor morphology and function. FASEB J. Off. Publ. Fed. Am. Soc. Exp. Biol. 2015, 29, 4866–4880. [Google Scholar] [CrossRef] [PubMed]
- Castañeda, J.; Genzor, P.; van der Heijden, G.W.; Sarkeshik, A.; Yates, J.R., 3rd; Ingolia, N.T.; Bortvin, A. Reduced pachytene piRNAs and translation underlie spermiogenic arrest in Maelstrom mutant mice. EMBO J. 2014, 33, 1999–2019. [Google Scholar] [CrossRef] [PubMed]
- Zhou, J.; Li, F.; Jia, B.; Wu, Z.; Huang, Z.; He, M.; Weng, H.; So, K.F.; Qu, W.; Fu, Q.L.; et al. Intranasal delivery of small extracellular vesicles reduces the progress of amyotrophic lateral sclerosis and the overactivation of complement-coagulation cascade and NF-ĸB signaling in SOD1(G93A) mice. J. Nanobiotechnol. 2024, 22, 503. [Google Scholar] [CrossRef] [PubMed]
- Xie, Y.; Li, H.; Luo, X.; Li, H.; Gao, Q.; Zhang, L.; Teng, Y.; Zhao, Q.; Zuo, Z.; Ren, J. IBS 2.0: An upgraded illustrator for the visualization of biological sequences. Nucleic Acids Res. 2022, 50, W420–W426. [Google Scholar] [CrossRef] [PubMed]
- Paysan-Lafosse, T.; Blum, M.; Chuguransky, S.; Grego, T.; Pinto, B.L.; Salazar, G.A.; Bileschi, M.L.; Bork, P.; Bridge, A.; Colwell, L.; et al. InterPro in 2022. Nucleic Acids Res. 2023, 51, D418–D427. [Google Scholar] [CrossRef] [PubMed]
- Callaway, E. Major AlphaFold upgrade offers boost for drug discovery. Nature 2024, 629, 509–510. [Google Scholar] [CrossRef] [PubMed]
- Mooers, B.H.M. Shortcuts for faster image creation in PyMOL. Protein Sci. Publ. Protein Soc. 2020, 29, 268–276. [Google Scholar] [CrossRef] [PubMed]
- Kamio, T.; Asano, A.; Hosaka, Y.Z.; Khalid, A.M.; Yokota, S.; Ohta, M.; Ohyama, K.; Yamano, Y. Expression of the centrosomal colon cancer autoantigen gene during spermatogenesis in the maturing rat testis. Biosci. Biotechnol. Biochem. 2010, 74, 1466–1469. [Google Scholar] [CrossRef] [PubMed][Green Version]
- Griswold, M.D. Spermatogenesis: The Commitment to Meiosis. Physiol. Rev. 2016, 96, 1–17. [Google Scholar] [CrossRef] [PubMed]
- Wei, Y.L.; Yang, W.X. The acroframosome-acroplaxome-manchette axis may function in sperm head shaping and male fertility. Gene 2018, 660, 28–40. [Google Scholar] [CrossRef] [PubMed]
- Lehti, M.S.; Sironen, A. Formation and function of the manchette and flagellum during spermatogenesis. Reproduction 2016, 151, R43–R54. [Google Scholar] [CrossRef] [PubMed]
- O’Donnell, L.; O’Bryan, M.K. Microtubules and spermatogenesis. Semin. Cell Dev. Biol. 2014, 30, 45–54. [Google Scholar] [CrossRef] [PubMed]
- Gunes, S.; Sengupta, P.; Henkel, R.; Alguraigari, A.; Sinigaglia, M.M.; Kayal, M.; Joumah, A.; Agarwal, A. Microtubular Dysfunction and Male Infertility. World J. Men’s Health 2020, 38, 9–23. [Google Scholar] [CrossRef] [PubMed]
- Manfrevola, F.; Guillou, F.; Fasano, S.; Pierantoni, R.; Chianese, R. LINCking the Nuclear Envelope to Sperm Architecture. Genes 2021, 12, 658. [Google Scholar] [CrossRef] [PubMed]
- Wang, L.; Lee, K.; Malonis, R.; Sanchez, I.; Dynlacht, B.D. Tethering of an E3 ligase by PCM1 regulates the abundance of centrosomal KIAA0586/Talpid3 and promotes ciliogenesis. eLife 2016, 5, e12950. [Google Scholar] [CrossRef] [PubMed]
- Ben Khelifa, M.; Coutton, C.; Zouari, R.; Karaouzène, T.; Rendu, J.; Bidart, M.; Yassine, S.; Pierre, V.; Delaroche, J.; Hennebicq, S.; et al. Mutations in DNAH1, which encodes an inner arm heavy chain dynein, lead to male infertility from multiple morphological abnormalities of the sperm flagella. Am. J. Hum. Genet. 2014, 94, 95–104. [Google Scholar] [CrossRef] [PubMed]
- Teves, M.E.; Roldan, E.R.S.; Krapf, D.; Strauss, J.F., III; Bhagat, V.; Sapao, P. Sperm Differentiation: The Role of Trafficking of Proteins. Int. J. Mol. Sci. 2020, 21, 3702. [Google Scholar] [CrossRef] [PubMed]
- Vertii, A.; Bright, A.; Delaval, B.; Hehnly, H.; Doxsey, S. New frontiers: Discovering cilia-independent functions of cilia proteins. EMBO Rep. 2015, 16, 1275–1287. [Google Scholar] [CrossRef] [PubMed]
- Burakov, A.V.; Nadezhdina, E.S. Centering and Shifting of Centrosomes in Cells. Cells 2020, 9, 1351. [Google Scholar] [CrossRef] [PubMed]
- Tapia Contreras, C.; Hoyer-Fender, S. The Transformation of the Centrosome into the Basal Body: Similarities and Dissimilarities between Somatic and Male Germ Cells and Their Relevance for Male Fertility. Cells 2021, 10, 2266. [Google Scholar] [CrossRef] [PubMed]
- Ohata, H.; Fujiwara, Y.; Koyama, K.; Nakamura, Y. Mapping of the human autoantigen pericentriolar material 1 (PCM1) gene to chromosome 8p21.3-p22. Genomics 1994, 24, 404–406. [Google Scholar] [CrossRef] [PubMed]
- Wingfield, J.L.; Lechtreck, K.F.; Lorentzen, E. Trafficking of ciliary membrane proteins by the intraflagellar transport/BBSome machinery. Essays Biochem. 2018, 62, 753–763. [Google Scholar] [CrossRef] [PubMed]
- Tian, X.; Zhao, H.; Zhou, J. Organization, functions, and mechanisms of the BBSome in development, ciliopathies, and beyond. eLife 2023, 12, e87623. [Google Scholar] [CrossRef] [PubMed]
- Delvallée, C.; Dollfus, H. Retinal Degeneration Animal Models in Bardet-Biedl Syndrome and Related Ciliopathies. Cold Spring Harb. Perspect. Med. 2023, 13, a041303. [Google Scholar] [CrossRef] [PubMed]
- Wilkinson, C.J.; Carl, M.; Harris, W.A. Cep70 and Cep131 contribute to ciliogenesis in zebrafish embryos. BMC Cell Biol. 2009, 10, 17. [Google Scholar] [CrossRef] [PubMed]
- Ma, L.; Jarman, A.P. Dilatory is a Drosophila protein related to AZI1 (CEP131) that is located at the ciliary base and required for cilium formation. J. Cell Sci. 2011, 124, 2622–2630. [Google Scholar] [CrossRef] [PubMed]
- Kierszenbaum, A.L.; Rivkin, E.; Tres, L.L. Cytoskeletal track selection during cargo transport in spermatids is relevant to male fertility. Spermatogenesis 2011, 1, 221–230. [Google Scholar] [CrossRef] [PubMed]
- Russell, L.D.; Russell, J.A.; MacGregor, G.R.; Meistrich, M.L. Linkage of manchette microtubules to the nuclear envelope and observations of the role of the manchette in nuclear shaping during spermiogenesis in rodents. Am. J. Anat. 1991, 192, 97–120. [Google Scholar] [CrossRef] [PubMed]
- Hu, W.; Zhang, R.; Xu, H.; Li, Y.; Yang, X.; Zhou, Z.; Huang, X.; Wang, Y.; Ji, W.; Gao, F.; et al. CAMSAP1 role in orchestrating structure and dynamics of manchette microtubule minus-ends impacts male fertility during spermiogenesis. Proc. Natl. Acad. Sci. USA 2023, 120, e2313787120. [Google Scholar] [CrossRef] [PubMed]
- Gao, T.; Liu, Y.; Li, J.; Zhang, Y.; Wu, B. Function of manchette and intra-manchette transport in spermatogenesis and male fertility. Cell Commun. Signal. 2025, 23, 250. [Google Scholar] [CrossRef] [PubMed]
- He, J.; Lin, X.; Tan, C.; Li, Y.; Su, L.; Lin, G.; Tan, Y.Q.; Tu, C. Molecular insights into sperm head shaping and its role in human male fertility. Hum. Reprod. Update 2025, 31, 307–332. [Google Scholar] [CrossRef] [PubMed]
- Rai, D.; Song, Y.; Hua, S.; Stecker, K.; Monster, J.L.; Yin, V.; Stucchi, R.; Xu, Y.; Zhang, Y.; Chen, F.; et al. CAMSAPs and nucleation-promoting factors control microtubule release from γ-TuRC. Nat. Cell Biol. 2024, 26, 404–420. [Google Scholar] [CrossRef] [PubMed]
- Brito, C.; Serna, M.; Guerra, P.; Llorca, O.; Surrey, T. Transition of human γ-tubulin ring complex into a closed conformation during microtubule nucleation. Science 2024, 383, 870–876. [Google Scholar] [CrossRef] [PubMed]
- Aydin, Ö.Z.; Taflan, S.O.; Gurkaslar, C.; Firat-Karalar, E.N. Acute inhibition of centriolar satellite function and positioning reveals their functions at the primary cilium. PLoS Biol. 2020, 18, e3000679. [Google Scholar] [CrossRef] [PubMed]






Disclaimer/Publisher’s Note: The statements, opinions and data contained in all publications are solely those of the individual author(s) and contributor(s) and not of MDPI and/or the editor(s). MDPI and/or the editor(s) disclaim responsibility for any injury to people or property resulting from any ideas, methods, instructions or products referred to in the content. |
© 2025 by the authors. Licensee MDPI, Basel, Switzerland. This article is an open access article distributed under the terms and conditions of the Creative Commons Attribution (CC BY) license (https://creativecommons.org/licenses/by/4.0/).
Share and Cite
Li, K.; Zhou, X.; Liu, W.; Wang, Y.; Zhang, Z.; Zhang, H.; Jiang, L. Loss of C-Terminal Coiled-Coil Domains in SDCCAG8 Impairs Centriolar Satellites and Causes Defective Sperm Flagellum Biogenesis and Male Fertility. Cells 2025, 14, 1135. https://doi.org/10.3390/cells14151135
Li K, Zhou X, Liu W, Wang Y, Zhang Z, Zhang H, Jiang L. Loss of C-Terminal Coiled-Coil Domains in SDCCAG8 Impairs Centriolar Satellites and Causes Defective Sperm Flagellum Biogenesis and Male Fertility. Cells. 2025; 14(15):1135. https://doi.org/10.3390/cells14151135
Chicago/Turabian StyleLi, Kecheng, Xiaoli Zhou, Wenna Liu, Yange Wang, Zilong Zhang, Houbin Zhang, and Li Jiang. 2025. "Loss of C-Terminal Coiled-Coil Domains in SDCCAG8 Impairs Centriolar Satellites and Causes Defective Sperm Flagellum Biogenesis and Male Fertility" Cells 14, no. 15: 1135. https://doi.org/10.3390/cells14151135
APA StyleLi, K., Zhou, X., Liu, W., Wang, Y., Zhang, Z., Zhang, H., & Jiang, L. (2025). Loss of C-Terminal Coiled-Coil Domains in SDCCAG8 Impairs Centriolar Satellites and Causes Defective Sperm Flagellum Biogenesis and Male Fertility. Cells, 14(15), 1135. https://doi.org/10.3390/cells14151135
