Thiol–Ene Click Reaction Initiated Rapid Gelation of PEGDA/Silk Fibroin Hydrogels
Abstract
1. Introduction
2. Materials and Methods
2.1. Materials
2.2. Extraction and Purification of Silk Fibroin
2.3. Hydrogel Preparation
2.4. Compressive Test
2.5. Swelling Study
2.6. Fourier Transform Infrared Spectroscopy (FTIR) Analysis
2.7. Scanning Electron Microscope (SEM) Observation
2.8. Drug Release Test
2.9. Cytotoxicity Assay
2.10. Subcutaneous Implantation
2.11. Histological Analysis
3. Results
3.1. Preparation of Hydrogel
3.2. Compressive Test Result
3.3. Swelling Ratio
3.4. Fourier Transform Infrared Spectroscopy Test Results
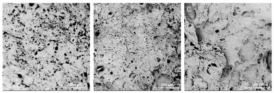
3.5. Scanning Electron Microscope
3.6. Drug Release
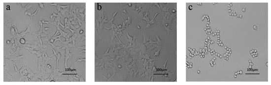
3.7. MTT Assay
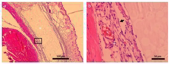
3.8. Subcutaneous Implantation of PEGDA/SF Hydrogel
3.9. Histological Analysis
4. Discussion
5. Conclusions
Supplementary Materials
Author Contributions
Funding
Acknowledgments
Conflicts of Interest
References
- Ribeiro, M.; Fernandes, M.H.; Beppu, M.M.; Monteiro, F.J.; Ferraz, M.P. Silk fibroin/nanohydroxyapatite hydrogels for promoted bioactivity and osteoblastic proliferation and differentiation of human bone marrow stromal cells. Mater. Sci. Eng. C 2018, 89, 336–345. [Google Scholar] [CrossRef] [PubMed]
- Mao, B.; Liu, C.; Zheng, W.; Li, X.; Ge, R.; Shen, H.; Guo, X.; Lian, Q.; Shen, X.; Li, C. Cyclic cRGDfk peptide and chlorin e6 functionalized silk fibroin nanoparticles for targeted drug delivery and photodynamic therapy. Biomaterials 2018, 161, 306–320. [Google Scholar] [CrossRef] [PubMed]
- Wang, D.; Liu, H.; Fan, Y. Silk fibroin for vascular regeneration. Microsc. Res. Tech. 2015, 80, 280–290. [Google Scholar] [CrossRef] [PubMed]
- Ma, D.; Wang, Y.; Dai, W. Silk fibroin-based biomaterials for musculoskeletal tissue engineering. Mater. Sci. Eng. C 2018, 89, 456–469. [Google Scholar] [CrossRef]
- Yang, N.; Qi, P.; Ren, J.; Yu, H.; Ling, S. Polyvinyl alcohol/silk fibroin/borax hydrogel ionotronics: A highly stretchable, self-healable, and biocompatible sensing platform. ACS Appl. Mater. Interfaces 2019, 11, 23632–23638. [Google Scholar] [CrossRef]
- Dong, T.; Mi, R.X.; Wu, M.; Zhong, N.P.; Zhao, X.; Chen, X.; Shao, Z.S. The regenerated silk fibroin hydrogel with designed architecture bioprinted by its microhydrogel. J. Mater. Chem. B 2019, 7, 4328–4337. [Google Scholar] [CrossRef]
- Lai, Y.; Hu, Y. Probing the swelling-dependent mechanical and transport properties of polyacrylamide hydrogels through AFM-based dynamic nanoindentation. Soft Matter 2018, 14, 2619–2627. [Google Scholar] [CrossRef]
- Cao, H.; Duan, Y.; Lin, Q.; Yang, Y.; Shao, Z. Dual-loaded, long-term sustained drug releasing and thixotropic hydrogel for localized chemotherapy of cancer. Biomater. Sci. 2019, 7, 2975–2985. [Google Scholar] [CrossRef]
- Dosh, R.H.; Jordan-Mahy, N.; Sammon, C.; Maitre, C.L.L. Use of L-pNIPAM hydrogel as a 3D-scaffold for intestinal crypts and stem cell tissue engineering. Biomater. Sci. 2019, 7, 4310–4324. [Google Scholar] [CrossRef]
- Joo, C.; Hayan, J.; Jeong, S.; Joaquim, O.; Rui, R.; Gilson, K. Biofunctionalized lysophosphatidic acid/silk fibroin film for cornea endothelial cell regeneration. Nanomaterials 2018, 8, 290. [Google Scholar]
- Mcgill, M.; Coburn, J.M.; Partlow, B.P.; Mu, X.; Kaplan, D.L. Molecular and macro-scale analysis of enzyme-crosslinked silk hydrogels for rational biomaterial design. Acta Biomater. 2017, 63, 76–84. [Google Scholar] [CrossRef] [PubMed]
- Luo, K.; Yang, Y.; Shao, Z. Physically crosslinked biocompatible silk-fibroin-based hydrogels with high mechanical performance. Adv. Funct. Mater. 2016, 26, 872–880. [Google Scholar] [CrossRef]
- Pacelli, S.; Paolicelli, P.; Avitabile, M.; Varani, G.; Casadei, M.A. Design of a tunable nanocomposite double network hydrogel based on gellan gum for drug delivery applications. Eur. Polym. J. 2018, 104, 184–193. [Google Scholar] [CrossRef]
- Floren, M.L.; Spilimbergo, S.; Motta, A.; Migliaresi, C. Carbon dioxide induced silk protein gelation for biomedical applications. Biomacromolecules 2012, 13, 2060–2072. [Google Scholar] [CrossRef]
- Wang, X.; Kluge, J.A.; Leisk, G.G.; Kaplan, D.L. Sonication-induced gelation of silk fibroin for cell encapsulation. Biomaterials 2008, 29, 1054–1064. [Google Scholar] [CrossRef]
- Hari, K.; Alaeddin, A.; Haris, Z.; Elaine, S.; Bipin, P.; Harsha, J.; Morshed, K. Evaluation of polyethylene glycol diacrylate-polycaprolactone scaffolds for tissue engineering applications. J. Funct. Biomater. 2017, 8, 39. [Google Scholar]
- Schesny, M.K.; Monaghan, M.; Bindermann, A.H.; Freund, D.; Seifert, M.; Eble, J.A.; Vogel, S.; Gawaz, M.P.; Hinderer, S.; Schenke-Layland, K. Preserved bioactivity and tunable release of a SDF1-GPVI bi-specific protein using photo-crosslinked PEGda hydrogels. Biomaterials 2014, 35, 7180–7187. [Google Scholar] [CrossRef]
- Xia, B.; Jiang, Z.; Debroy, D.; Li, D.; Oakey, J. Cytocompatible cell encapsulation via hydrogel photopolymerization in microfluidic emulsion droplets. Biomicrofluidics 2017, 11, 044102. [Google Scholar] [CrossRef]
- Sullivan, J.P.A.; Stevenson, P. Rapid room-temperature-curing monomer platform. In Paint & Coatings Industry; Johansson, K., Parker, K., Eds.; Fowler T: Troy, MI, USA, 2014. [Google Scholar]
- 1- Hydroxycyclohexyl Phenyl Ketone; CAS No. 947-19-3 [Online]; Sigma Aldrich: St. Louis, MO, USA, 2019; Available online: https://www.sigmaaldrich.com/ (accessed on 27 November 2019).
- 2,4,6-Trimethylbenzoyl-Diphenylphosphine Oxide; CAS No. 75980-60-8 [Online]; Sigma Aldrich: St. Louis, MO, USA, 2019; Available online: https://www.sigmaaldrich.com/ (accessed on 27 November 2019).
- Phenylbis(2,4,6-Trimethylbenzoyl)Phosphine Oxide; CAS No. 162881-26-7 [Online]; Sigma Aldrich: St. Louis, MO, USA, 2019; Available online: https://www.sigmaaldrich.com/ (accessed on 27 November 2019).
- 2-Hydroxy-4′-(2-Hydroxyethoxy)-2-Methylpropiophenone; CAS No. 106797-53-9 [Online]; Sigma Aldrich: St. Louis, MO, USA, 2019; Available online: https://www.sigmaaldrich.com/ (accessed on 27 November 2019).
- Chan-Park, M.B.; Zhu, A.; Chu, S.L.; Lim, H.C. Argon-plasma-assisted graft polymerization of thick hydrogels with controllable water swelling on chronoflex. J. Adhes. Sci. Technol. 2004, 18, 1663–1673. [Google Scholar] [CrossRef]
- Li, H.; Ma, T.; Zhang, M.; Zhu, J.; Liu, J.; Tan, F. Fabrication of sulphonated poly(ethylene glycol)-diacrylate hydrogel as a bone grafting scaffold. J. Mater. Sci. Mater. Med. 2018, 29, 187. [Google Scholar] [CrossRef]
- Nelson, D.; Cox, M. Lehninger Principles of Biochemistry, 6th ed.; W.H. Freeman: New York, NY, USA, 2013; p. 300. [Google Scholar]
- Ryu, S.; Kim, H.H.; Park, Y.H.; Lin, C.C.; Um, I.C.; Ki, C.S. Dual mode gelation behavior of silk fibroin microgel embedded poly(ethylene glycol) hydrogels. J. Mater. Chem. B 2016, 4, 4574–4584. [Google Scholar] [CrossRef]
- Cis-5-Norbornene-endo-2,3-Dicarboxylic Anhydride; CAS No. 129-64-6 [Online]; Sigma Aldrich: St. Louis, MO, USA, 2018; Available online: https://www.sigmaaldrich.com/ (accessed on 27 November 2019).
- Gregoritza, M.; Abstiens, K.; Graf, M. Fabrication of antibody-loaded microgels using microfluidics and thiol-ene photoclick chemistry. Eur. J. Pharm. Biopharm. 2018, 127, 194–203. [Google Scholar] [CrossRef] [PubMed]
- Mckenas, C.G.; Fehr, J.M.; Donley, C.L.; Lockett, M.R. Thiol-ene modified amorphous carbon substrates: Surface patterning and chemically modified electrode preparation. Langmuir 2016, 32, 10529–10536. [Google Scholar] [CrossRef] [PubMed]
- 2,2-Dimethoxy-2-Phenylacetophenone; CAS No. 24650-42-8 [Online]; Sigma Aldrich: St. Louis, MO, USA, 2019; Available online: https://www.sigmaaldrich.com/ (accessed on 27 November 2019).
- Diphenyl(2,4,6-Trimethylbenzoyl)Phosphine Oxide; CAS No. 75980-60-8 [Online]; Sigma Aldrich: St. Louis, MO, USA, 2019; Available online: https://www.sigmaaldrich.com/ (accessed on 27 November 2019).
- Benzophenone; CAS No. 119-61-9 [Online]; Sigma Aldrich: St. Louis, MO, USA, 2019; Available online: https://www.sigmaaldrich.com/ (accessed on 27 November 2019).
- Isobutyronitrile; CAS No. 78-82-0 [Online]; Sigma Aldrich: St. Louis, MO, USA, 2015; Available online: https://www.sigmaaldrich.com/ (accessed on 27 November 2019).
- Zhang, X.; Bao, H.; Donley, C.; Liang, J.; Xu, S. Thiolation and characterization of regenerated Bombyx mori silk fibroin films with reduced glutathione. BMC Chem. 2018, 13, 62. [Google Scholar] [CrossRef] [PubMed]
- Hu, W.; Feng, X.; Liu, X.; Dai, S.; Zeng, W.; Jiang, Q.; Chen, B.; Quan, C.; Sun, K.; Zhang, C. Poly(γ-glutamic acid) modulates the properties of poly(ethylene glycol) hydrogel for biomedical applications. J. Biomater. Sci. Polym. Ed. 2016, 27, 1775–1787. [Google Scholar] [CrossRef]
- Gong, C.; Shan, M.; Li, B.; Wu, G. Injectable dual redox responsive diselenide-containing polyethylene glycol hydrogel. J. Biomed. Mater. Res. Part A 2017, 105, 2451–2460. [Google Scholar] [CrossRef]
- Zhu, L.; Qiu, J.; Sakai, E. A high modulus hydrogel obtained from hydrogen bond reconstruction and its application in vibration damper. RSC Adv. 2017, 7, 43755–43763. [Google Scholar] [CrossRef]
- Wang, H.; Zhu, H.; Fu, W.; Zhang, Y.; Xu, B.; Gao, F.; Cao, Z.; Liu, W. A high strength self-healable antibacterial and anti-inflammatory supramolecular polymer hydrogel. Macromol. Rapid Commun. 2017, 38, 1600695. [Google Scholar] [CrossRef]
- Guo, M.; Pitet, L.M.; Wyss, H.M.; Vos, M.; Dankers, P.Y.W.; Meijer, E.W. Tough stimuli-responsive supramolecular hydrogels with hydrogen-bonding network junctions. J. Am. Chem. Soc. 2014, 136, 6969–6977. [Google Scholar] [CrossRef]
- Cai, J.; Zhang, L.; Chang, C.; Cheng, G.; Chen, X.; Chu, B. Hydrogen-bond-induced inclusion complex in aqueous cellulose/LiOH/urea solution at low temperature. Chemphyschem 2007, 8, 1572–1579. [Google Scholar] [CrossRef]
- Xia, S.; Song, S.; Jia, F.; Gao, G. A flexible, adhesive and self-healable hydrogel-based wearable strain sensor for human motion and physiological signal monitoring. J. Mater. Chem. B 2019, 7, 4638–4648. [Google Scholar] [CrossRef] [PubMed]
- Tytgat, L.; Vagenende, M.; Declercq, H.; Martins, J.C.; Vlierberghe, S.V. Synergistic effect of κ-carrageenan and gelatin blends towards adipose tissue engineering. Carbohydr. Polym. 2018, 189, 1–9. [Google Scholar]
- Carbinatto, F.M.; de Castro, A.D.; Evangelista, R.C.; Cury, B.S.F. Insights into the swelling process and drug release mechanisms from cross-linked pectin/high amylose starch matrices. Asian J. Pharm. Sci. 2014, 9, 27–34. [Google Scholar] [CrossRef]
- Tan, H.P. Base-pairing hydrogel. In Medical Biodegradable Hydrogel Material; Tan, H.P., Ed.; China Science Publishing & Media Ltd.: Beijing, China, 2017; Volume 1, pp. 48–51. [Google Scholar]
- Liu, L.; Wen, H.; Rao, Z.; Zhu, C.; Tao, S. Preparation and characterization of chitosan—Collagen peptide/oxidized konjac glucomannan hydrogel. Int. J. Biol. Macromol. 2017, 108, 376–382. [Google Scholar] [CrossRef] [PubMed]
- Zarrintaj, P.; Urbanska, A.M.; Gholizadeh, S.S.; Goodarzi, V.; Saeb, M.R.; Mozafari, M. A facile route to the synthesis of anilinic electroactive colloidal hydrogels for neural tissue engineering applications. J. Colloid Interface Sci. 2018, 516, 57–66. [Google Scholar] [CrossRef]
- Shin, J.; Choi, S.; Kim, J.H.; Cho, J.H.; Cho, S.W. Tissue tapes—Phenolic hyaluronic acid hydrogel patches for off-the-Shelf therapy. Adv. Funct. Mater. 2019, 29, 1903863. [Google Scholar] [CrossRef]
- Lucht, L.M.; Peppas, N.A. Transport of penetrants in the macromolecular structure of coals. V. anomalous transport in pretreated coal particles. J. Appl. Polym. Sci. 1987, 33, 1557–1566. [Google Scholar] [CrossRef]
- Vermonden, T.; Censi, R.; Hennink, W.E. Hydrogels for protein delivery. Chem. Rev. 2012, 112, 2853–2888. [Google Scholar] [CrossRef]
- Maitlo, I.; Ali, S.; Akram, M.Y.; Shehzad, F.K.; Nie, J. Binary phase solid-state photopolymerization of acrylates: Design, characterization and biomineralization of 3D scaffolds for tissue engineering. Front. Mater. Sci. 2017, 11, 307–317. [Google Scholar] [CrossRef]
- LibrePathology. Available online: https://librepathology.org/wiki/Main_Page/ (accessed on 27 November 2019).
- Xu, K.; Fu, Y.; Chung, W.; Zheng, X.; Cui, Y.; Hsu, I.C.; Kao, W.J. Thiol-ene-based biological/synthetic hybrid biomatrix for 3D living cell culture. ACTA Biomater. 2012, 8, 2504–2516. [Google Scholar] [CrossRef]
- Yao, H.; Wang, J.Q.; Mi, S.L. Photo processing for biomedical hydrogels design and functionality: A review. Polymers 2017, 10, 11. [Google Scholar] [CrossRef]












| Sample (UV Light Treated Time) | The Pore’s Average Diameter |
|---|---|
| 1 min | 16.91 ± 7.26 μm |
| 2 min | 10.61 ± 4.35 μm |
| 3 min | 7.37 ± 5.52 μm |
© 2019 by the authors. Licensee MDPI, Basel, Switzerland. This article is an open access article distributed under the terms and conditions of the Creative Commons Attribution (CC BY) license (http://creativecommons.org/licenses/by/4.0/).
Share and Cite
Liang, J.; Zhang, X.; Chen, Z.; Li, S.; Yan, C. Thiol–Ene Click Reaction Initiated Rapid Gelation of PEGDA/Silk Fibroin Hydrogels. Polymers 2019, 11, 2102. https://doi.org/10.3390/polym11122102
Liang J, Zhang X, Chen Z, Li S, Yan C. Thiol–Ene Click Reaction Initiated Rapid Gelation of PEGDA/Silk Fibroin Hydrogels. Polymers. 2019; 11(12):2102. https://doi.org/10.3390/polym11122102
Chicago/Turabian StyleLiang, Jianwei, Xiaoning Zhang, Zhenyu Chen, Shan Li, and Chi Yan. 2019. "Thiol–Ene Click Reaction Initiated Rapid Gelation of PEGDA/Silk Fibroin Hydrogels" Polymers 11, no. 12: 2102. https://doi.org/10.3390/polym11122102
APA StyleLiang, J., Zhang, X., Chen, Z., Li, S., & Yan, C. (2019). Thiol–Ene Click Reaction Initiated Rapid Gelation of PEGDA/Silk Fibroin Hydrogels. Polymers, 11(12), 2102. https://doi.org/10.3390/polym11122102

