Implications of Fumarate Hydratase Deficiency (FHD) and Cancer Risk: A Window into the Clinical and Oncological Implications of a Rare Disorder in Gynecology
Simple Summary
Abstract
1. Introduction
2. FH Deficiency
Somatic and Germinal Prevalence
3. Role in Gynecology and Oncology
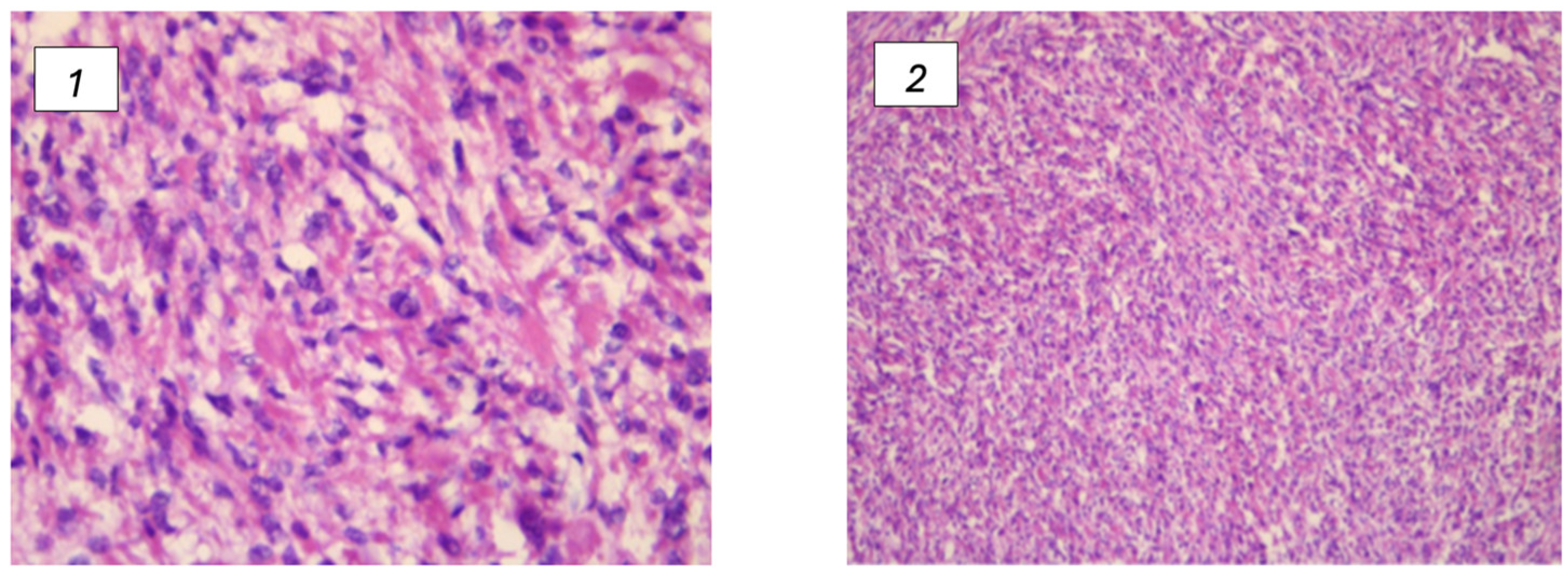
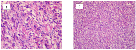
3.1. Evidence in Literature
3.2. FH Deficiency and Cancer Risk
3.3. Management and Surveillance
4. Future Perspectives
5. Conclusions
Author Contributions
Funding
Conflicts of Interest
Abbreviations
| FH | Fumarate hydratase |
| HLRCC | Hereditary leiomyomatosis and renal cell carcinoma |
| STUMP | Smooth muscle tumor of uncertain malignant potential |
| uLMS | Uterine leiomyosarcoma |
| FHD | Fumarate hydratase deficiency |
| HIFs | Hypoxia-inducible factors |
| NADH | Nicotinamide adenine dinucleotide |
| (FAD)H2 | Flavin adenine dinucleotide |
| ATP | Adenosine triphosphate |
| IHC | Immunohistochemistry |
| HIFU | High-intensity focused ultrasound |
| SDH | Succinate dehydrogenase |
| LBMS | Leiomyomas with bizarre nuclei |
| FHDL | Fumarate hydratase deficient leiomyomas |
| GI | Genomic instability |
| LOH | Loss of heterozygosity |
| PARP | Poly ADP Ribose Polymerase |
| ccRCC | Clear cell renal cell carcinoma |
References
- Harrison, W.J.; Andrici, J.; Maclean, F.; Madadi-Ghahan, R.; Farzin, M.; Sioson, L.; Toon, C.W.; Clarkson, A.; Watson, N.; Pickett, J.; et al. Fumarate Hydratase-deficient Uterine Leiomyomas Occur in Both the Syndromic and Sporadic Settings. Am. J. Surg. Pathol. 2016, 40, 599–607. [Google Scholar] [CrossRef] [PubMed]
- Huang, Y.; Zhou, Y.; Chen, X.; Fang, Q.; Cai, H.; Xie, M.; Xing, Y. Uterine leiomyoma with fumarate hydratase deficiency: A case report. Medicine 2021, 100, e28142. [Google Scholar] [CrossRef] [PubMed]
- Zyla, R.E.; Hodgson, A. Gene of the month: FH. J. Clin. Pathol. 2021, 74, 615–619. [Google Scholar] [CrossRef] [PubMed]
- Alkhrait, S.; Ali, M.; Kertowidjojo, E.; Romero, I.L.; Hathaway, F.; Madueke-Laveaux, O.S. Investigating Fumarate Hydratase-Deficient Uterine Fibroids: A Case Series. J. Clin. Med. 2023, 12, 5436. [Google Scholar] [CrossRef] [PubMed]
- Fontanges, Q.; Dubos, P.; Lesluyes, T.; Laizet, Y.; Velasco, V.; Meléndez, B.; D’Haene, N.; Oliva, E.; Young, R.H.; Mayeur, L.; et al. Genomic profile analysis of leiomyomas with bizarre nuclei and fumarate hydratase deficient leiomyomas: Strengths, weaknesses, and limitations of array-CGH interpretation. Genes Chromosomes Cancer 2024, 63, e23229. [Google Scholar] [CrossRef]
- Siegler, L.; Erber, R.; Burghaus, S.; Brodkorb, T.; Wachter, D.; Wilkinson, N.; Bolton, J.; Stringfellow, H.; Haller, F.; Beckmann, M.W.; et al. Fumarate hydratase (FH) deficiency in uterine leiomyomas: Recognition by histological features versus blind immunoscreening. Virchows Arch. 2018, 472, 789–796. [Google Scholar] [CrossRef]
- Lindner, A.K.; Tulchiner, G.; Seeber, A.; Siska, P.J.; Thurnher, M.; Pichler, R. Targeting strategies in the treatment of fumarate hydratase deficient renal cell carcinoma. Front. Oncol. 2022, 12, 906014. [Google Scholar] [CrossRef]
- Peetsold, M.; Goorden, S.; Breuning, M.; Williams, M.; Bakker, J.; Jacobs, E.; Hussaarts-Odijk, L.; Peeters, C. Fumarase Deficiency: A Case with a New Pathogenic Mutation and a Review of the Literature. J. Child. Neurol. 2021, 36, 310–323. [Google Scholar] [CrossRef]
- Jovanović, L.; Milenković, S.; Andrić, L.; Stefanović, R.; Milošević, B.; Micić, J.; Pilić, I.; Beleslin, A.; Mihaljević, O.; Dokić, M. Uterine Leiomyomas with Specific Histology Features of Two Fumarate Hydratase/Succinate Dehydrogenase-Deficient Tumors: A Double Case Report. Medicina 2024, 60, 825. [Google Scholar] [CrossRef]
- Bužinskienė, D.; Grinciūtė, D.; Šilkūnas, M.; Šidlovska, E. Case report: Uterine leiomyoma with fumarate hydratase deficiency. Front. Med. 2024, 11, 1391978. [Google Scholar] [CrossRef]
- Lu, E.; Hatchell, K.E.; Nielsen, S.M.; Esplin, E.D.; Ouyang, K.; Nykamp, K.; Zavoshi, S.; Li, S.; Zhang, L.; Wilde, B.R.; et al. Fumarate hydratase variant prevalence and manifestations among individuals receiving germline testing. Cancer 2022, 128, 675–684. [Google Scholar] [CrossRef] [PubMed]
- Liu, C.; Dillon, J.; Beavis, A.L.; Liu, Y.; Lombardo, K.; Fader, A.N.; Hung, C.F.; Wu, T.C.; Vang, R.; Garcia, J.E.; et al. Prevalence of somatic and germline mutations of Fumarate hydratase in uterine leiomyomas from young patients. Histopathology 2020, 76, 354–365. [Google Scholar] [CrossRef] [PubMed]
- Picaud, S.; Kavanagh, K.L.; Yue, W.W.; Lee, W.H.; Muller-Knapp, S.; Gileadi, O.; Sacchettini, J.; Oppermann, U. Structural basis of fumarate hydratase deficiency. J. Inherit. Metab. Dis. 2011, 34, 671–676. [Google Scholar] [CrossRef]
- Lehtonen, R.; Kiuru, M.; Vanharanta, S.; Sjöberg, J.; Aaltonen, L.M.; Aittomäki, K.; Arola, J.; Butzow, R.; Eng, C.; Husgafvel-Pursiainen, K.; et al. Biallelic inactivation of fumarate hydratase (FH) occurs in nonsyndromic uterine leiomyomas but is rare in other tumors. Am. J. Pathol. 2004, 164, 17–22. [Google Scholar] [CrossRef]
- Schmidt, L.S.; Linehan, W.M. Hereditary leiomyomatosis and renal cell carcinoma. Int. J. Nephrol. Renov. Dis. 2014, 7, 253–260. [Google Scholar] [CrossRef]
- Kipnis, L.M.; Breen, K.M.; Koeller, D.R.; Levine, A.S.; Yang, Z.; Jun, H.; Tayob, N.; Stokes, S.M.; Hayes, C.P.; Ghazani, A.A.; et al. Germline and Somatic Fumarate Hydratase Testing in Atypical Uterine Leiomyomata. Cancer Prev. Res. 2024, 17, 201–208. [Google Scholar] [CrossRef]
- Zhang, L.; Liao, Z.; Jiang, J. High-intensity focused ultrasound ablation in the treatment of fumarate hydratase-deficient uterine leiomyoma. Int. J. Hyperth. 2024, 41, 2384459. [Google Scholar] [CrossRef]
- Mittal, K.R.; Chen, F.; Wei, J.J.; Rijhvani, K.; Kurvathi, R.; Streck, D.; Dermody, J.; Toruner, G.A. Molecular and immunohistochemical evidence for the origin of uterine leiomyosarcomas from associated leiomyoma and symplastic leiomyoma-like areas. Mod. Pathol. 2009, 22, 1303–1311. [Google Scholar] [CrossRef]
- Ciccarone, F.; Biscione, A.; Lorusso, D.; Zannoni, G.F.; Cina, A.; Ferrandina, G.; Scambia, G.; Testa, A.C. Diagnosis of uterine leiomyosarcoma 5 years after magnetic-resonance-guided high-intensity focused ultrasound treatment of fibroid. Ultrasound Obstet. Gynecol. 2022, 59, 125–126. [Google Scholar] [CrossRef]
- Uimari, O.; Ahtikoski, A.; Kämpjärvi, K.; Butzow, R.; Järvelä, I.Y.; Ryynänen, M.; Aaltonen, L.A.; Vahteristo, P.; Kuismin, O. Uterine leiomyomas in hereditary leiomyomatosis and renal cell cancer (HLRCC) syndrome can be identified through distinct clinical characteristics and typical morphology. Acta Obstet. Gynecol. Scand. 2021, 100, 2066–2075. [Google Scholar] [CrossRef]
- Launonen, V.; Vierimaa, O.; Kiuru, M.; Isola, J.; Roth, S.; Pukkala, E.; Sistonen, P.; Herva, R.; Aaltonen, L.A. Inherited susceptibility to uterine leiomyomas and renal cell cancer. Proc. Natl. Acad. Sci. USA 2001, 98, 3387–3392. [Google Scholar] [CrossRef] [PubMed]
- Alam, N.A.; Barclay, E.; Rowan, A.J.; Tyrer, J.P.; Calonje, E.; Manek, S.; Kelsell, D.; Leigh, I.; Olpin, S.; Tomlinson, I.P. Clinical features of multiple cutaneous and uterine leiomyomatosis: An underdiagnosed tumor syndrome. Arch. Dermatol. 2005, 141, 199–206. [Google Scholar] [CrossRef] [PubMed]
- Chapel, D.B.; Sharma, A.; Maccio, L.; Bragantini, E.; Zannoni, G.F.; Yuan, L.; Quade, B.J.; Parra-Herran, C.; Nucci, M.R. Fumarate Hydratase and S-(2-Succinyl)-Cysteine Immunohistochemistry Shows Evidence of Fumarate Hydratase Deficiency in 2% of Uterine Leiomyosarcomas: A Cohort Study of 348 Tumors. Int. J. Gynecol. Pathol. 2023, 42, 120–135. [Google Scholar] [CrossRef] [PubMed]
- Yanus, G.A.; Kuligina, E.S.; Imyanitov, E.N. Hereditary Renal Cancer Syndromes. Med. Sci. 2024, 12, 12. [Google Scholar] [CrossRef]
- Patel, V.M.; Handler, M.Z.; Schwartz, R.A.; Lambert, W.C. Hereditary leiomyomatosis and renal cell cancer syndrome: An update and review. J. Am. Acad. Dermatol. 2017, 77, 149–158. [Google Scholar] [CrossRef]
- Stewart, L.; Glenn, G.M.; Stratton, P.; Goldstein, A.M.; Merino, M.J.; Tucker, M.A.; Linehan, W.M.; Toro, J.R. Association of germline mutations in the fumarate hydratase gene and uterine fibroids in women with hereditary leiomyomatosis and renal cell cancer. Arch. Dermatol. 2008, 144, 1584–1592. [Google Scholar] [CrossRef]
- Sulkowski, P.L.; Sundaram, R.K.; Oeck, S.; Corso, C.D.; Liu, Y.; Noorbakhsh, S.; Niger, M.; Boeke, M.; Ueno, D.; Kalathil, A.N.; et al. Krebs-cycle-deficient hereditary cancer syndromes are defined by defects in homologous-recombination DNA repair. Nat. Genet. 2018, 50, 1086–1092. [Google Scholar] [CrossRef]
- Braun, D.A.; Hou, Y.; Bakouny, Z.; Ficial, M.; Sant’ Angelo, M.; Forman, J.; Ross-Macdonald, P.; Berger, A.C.; Jegede, O.A.; Elagina, L.; et al. Interplay of somatic alterations and immune infiltration modulates response to PD-1 blockade in advanced clear cell renal cell carcinoma. Nat. Med. 2020, 26, 909–918. [Google Scholar] [CrossRef]
- Wang, D.Y.; Johnson, D.B.; Davis, E.J. Toxicities Associated with PD-1/PD-L1 Blockade. Cancer J. 2018, 24, 36–40. [Google Scholar] [CrossRef]


| Year | Main Author | Type of Article | N° of Patients | Type of Tumor | Main Findings |
|---|---|---|---|---|---|
| 2016 | Harrison WJ | Research article | Not specified | Uterine Leiomyomas | FH-deficient leiomyoma linked to HLRCC syndrome [1] |
| 2021 | Uimari O | Research article | 97 | Uterine Leiomyomas | Clinical characteristics and typical morphology of leiomyomas in HLRCC compared to those sporadic [20] |
| 2022 | Lu E | Research article | 120,061 | Uterine Leiomyomas, renal cell carcinoma | Germline FH variants associated with HLRCC syndrome [11] |
| 2024 | Kipnis LM | Review article | Not specified | Uterine Leiomyomas, renal cell carcinoma | Expert-reviewed summary on HLRCC syndrome [16] |
| 2024 | Bužinskienė D | Case report | 1 | Uterine Leiomyomas, renal cell carcinoma | Details familiar cancer syndromes caused by FH and SDH mutations [10] |
| 2024 | Jovanović L | Research article | 2 | Uterine Leiomyomas | Identified specific histological features of FH deficiency in uterine leiomyomas [9] |
| 2024 | Fontanges Q | Research article | 64 | Uterine Leiomyomas | Genomic landscape of benign leiomyomas in relation to differential diagnosis with STUMP and uLMS [5] |
| Perspectives | Objectives |
|---|---|
| Biomarker Development |
|
| Target Therapy |
|
| Clinical Trials |
|
| Genetic Counseling and Screening Programs |
|
Disclaimer/Publisher’s Note: The statements, opinions and data contained in all publications are solely those of the individual author(s) and contributor(s) and not of MDPI and/or the editor(s). MDPI and/or the editor(s) disclaim responsibility for any injury to people or property resulting from any ideas, methods, instructions or products referred to in the content. |
© 2025 by the authors. Licensee MDPI, Basel, Switzerland. This article is an open access article distributed under the terms and conditions of the Creative Commons Attribution (CC BY) license (https://creativecommons.org/licenses/by/4.0/).
Share and Cite
D’Indinosante, M.; Lardino, S.; Bruno, M.; Stabile, G.; Pavone, M.; Giannone, G.; Lombardi, P.; Daniele, G.; Fanfani, F.; Ciccarone, F.; et al. Implications of Fumarate Hydratase Deficiency (FHD) and Cancer Risk: A Window into the Clinical and Oncological Implications of a Rare Disorder in Gynecology. Cancers 2025, 17, 573. https://doi.org/10.3390/cancers17040573
D’Indinosante M, Lardino S, Bruno M, Stabile G, Pavone M, Giannone G, Lombardi P, Daniele G, Fanfani F, Ciccarone F, et al. Implications of Fumarate Hydratase Deficiency (FHD) and Cancer Risk: A Window into the Clinical and Oncological Implications of a Rare Disorder in Gynecology. Cancers. 2025; 17(4):573. https://doi.org/10.3390/cancers17040573
Chicago/Turabian StyleD’Indinosante, Marco, Sara Lardino, Matteo Bruno, Guglielmo Stabile, Matteo Pavone, Gaia Giannone, Pasquale Lombardi, Gennaro Daniele, Francesco Fanfani, Francesca Ciccarone, and et al. 2025. "Implications of Fumarate Hydratase Deficiency (FHD) and Cancer Risk: A Window into the Clinical and Oncological Implications of a Rare Disorder in Gynecology" Cancers 17, no. 4: 573. https://doi.org/10.3390/cancers17040573
APA StyleD’Indinosante, M., Lardino, S., Bruno, M., Stabile, G., Pavone, M., Giannone, G., Lombardi, P., Daniele, G., Fanfani, F., Ciccarone, F., & Scambia, G. (2025). Implications of Fumarate Hydratase Deficiency (FHD) and Cancer Risk: A Window into the Clinical and Oncological Implications of a Rare Disorder in Gynecology. Cancers, 17(4), 573. https://doi.org/10.3390/cancers17040573

