PLS3 Is a Prognostic Biomarker and Correlates with Immune Infiltrates in Head and Neck Squamous Cell Carcinoma
Simple Summary
Abstract
1. Introduction
2. Materials and Methods
2.1. Culture
2.2. Quantitative Real-Time PCR (RT-qPCR)
2.3. Western Blotting
2.4. Immunohistochemistry (IHC)
2.5. siRNA Transfection
2.6. shRNA Transfection
2.7. Functional Assays
2.8. Animal Model
2.9. Data Acquisition and Bioinformatics Analysis
2.9.1. Immune Microenvironment Profiling
2.9.2. Regulatory Network and Co-Expression Analysis
2.10. Statistical Analysis
3. Results
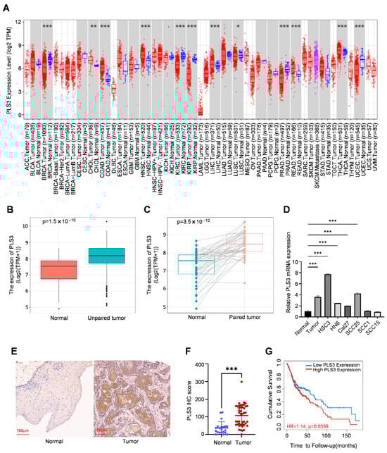
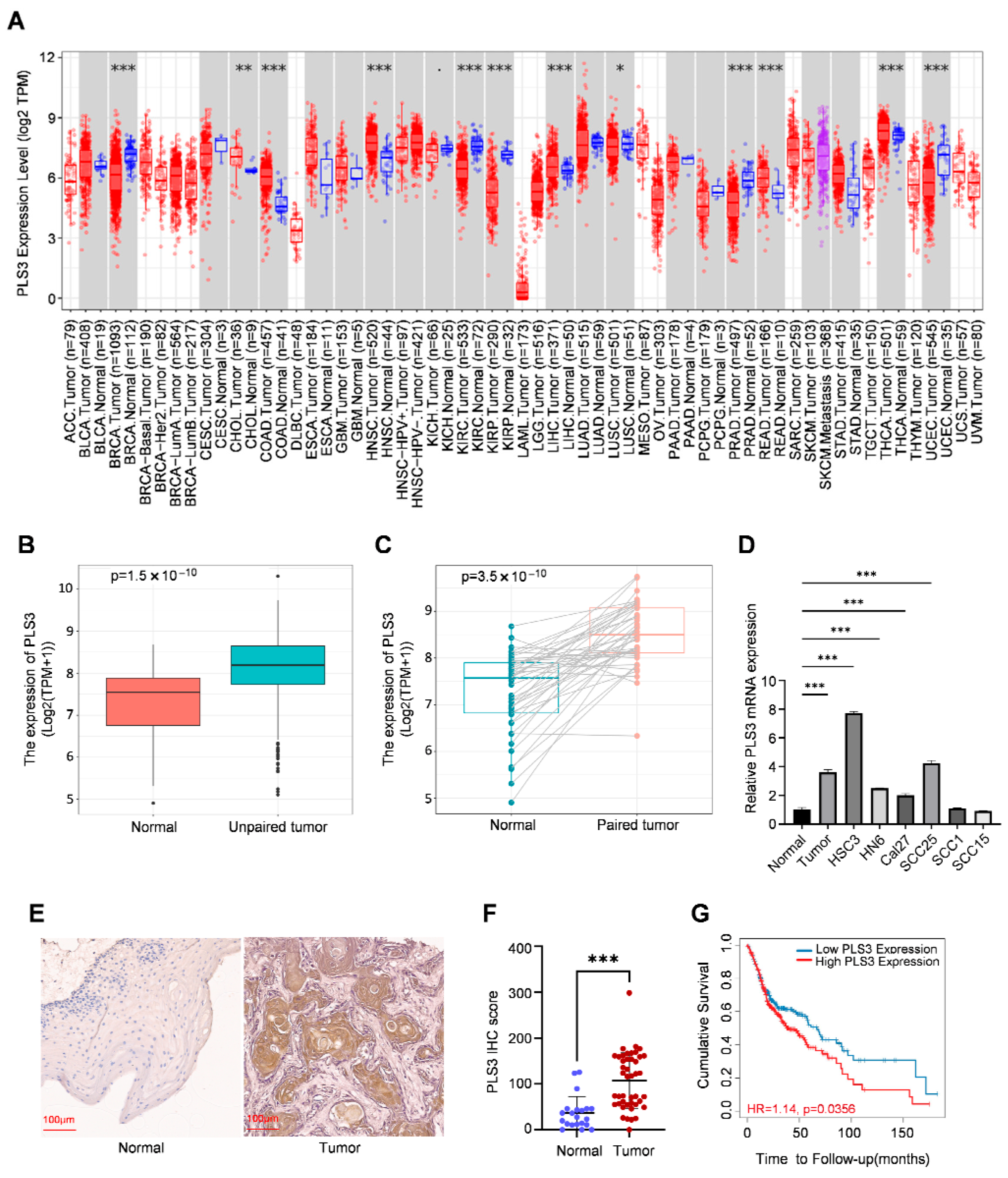
3.1. High PLS3 Expression Correlates with Poor Prognosis in HNSCC Patients
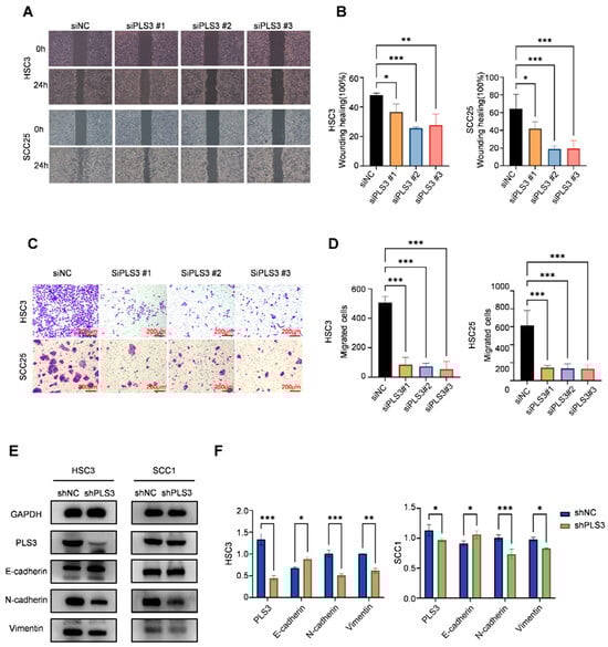
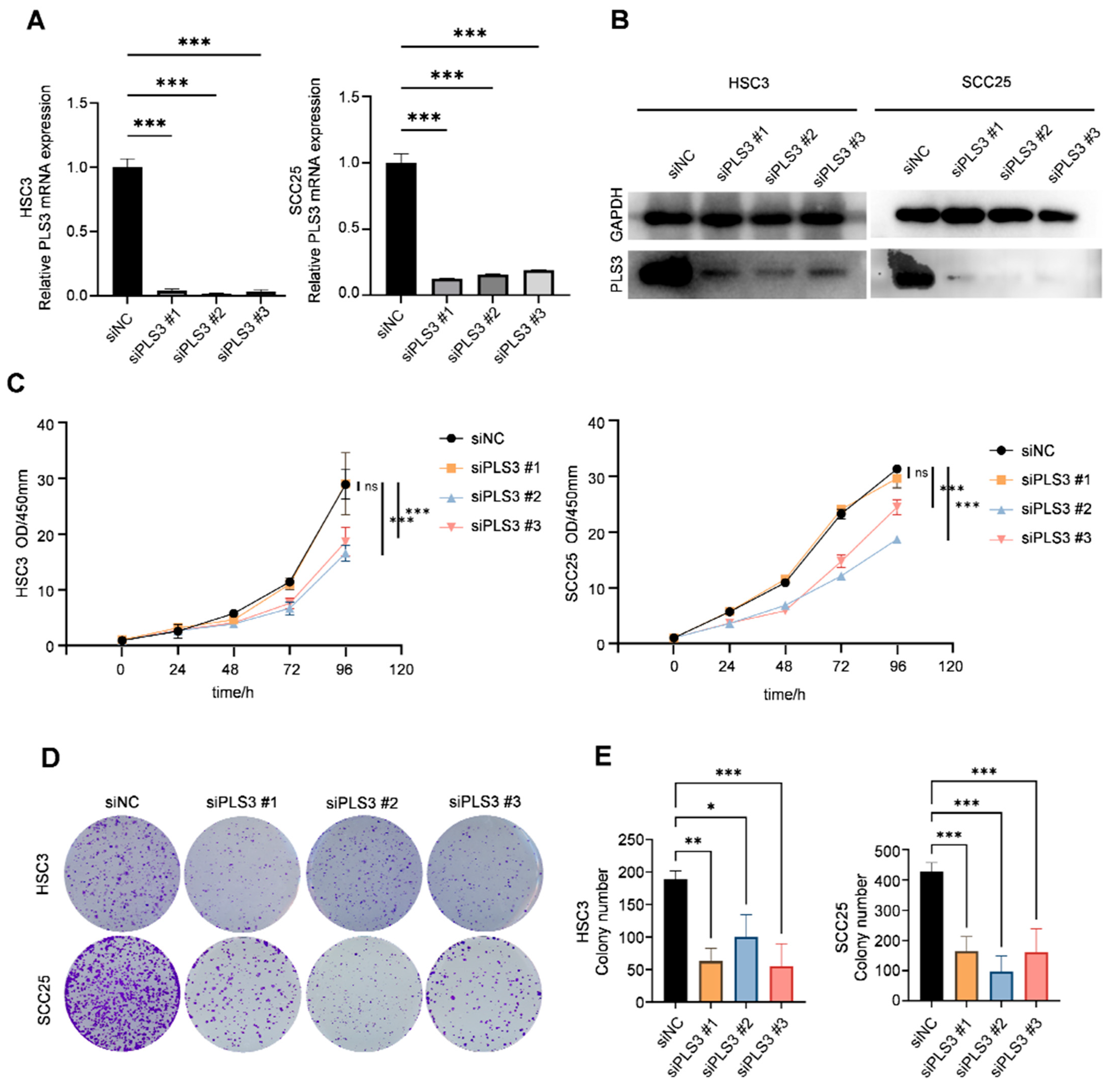
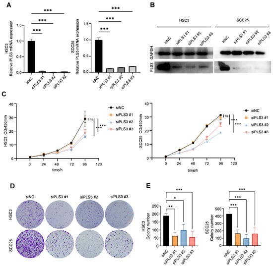
3.2. PLS3 Promotes Malignant Progression of HNSCC Through EMT
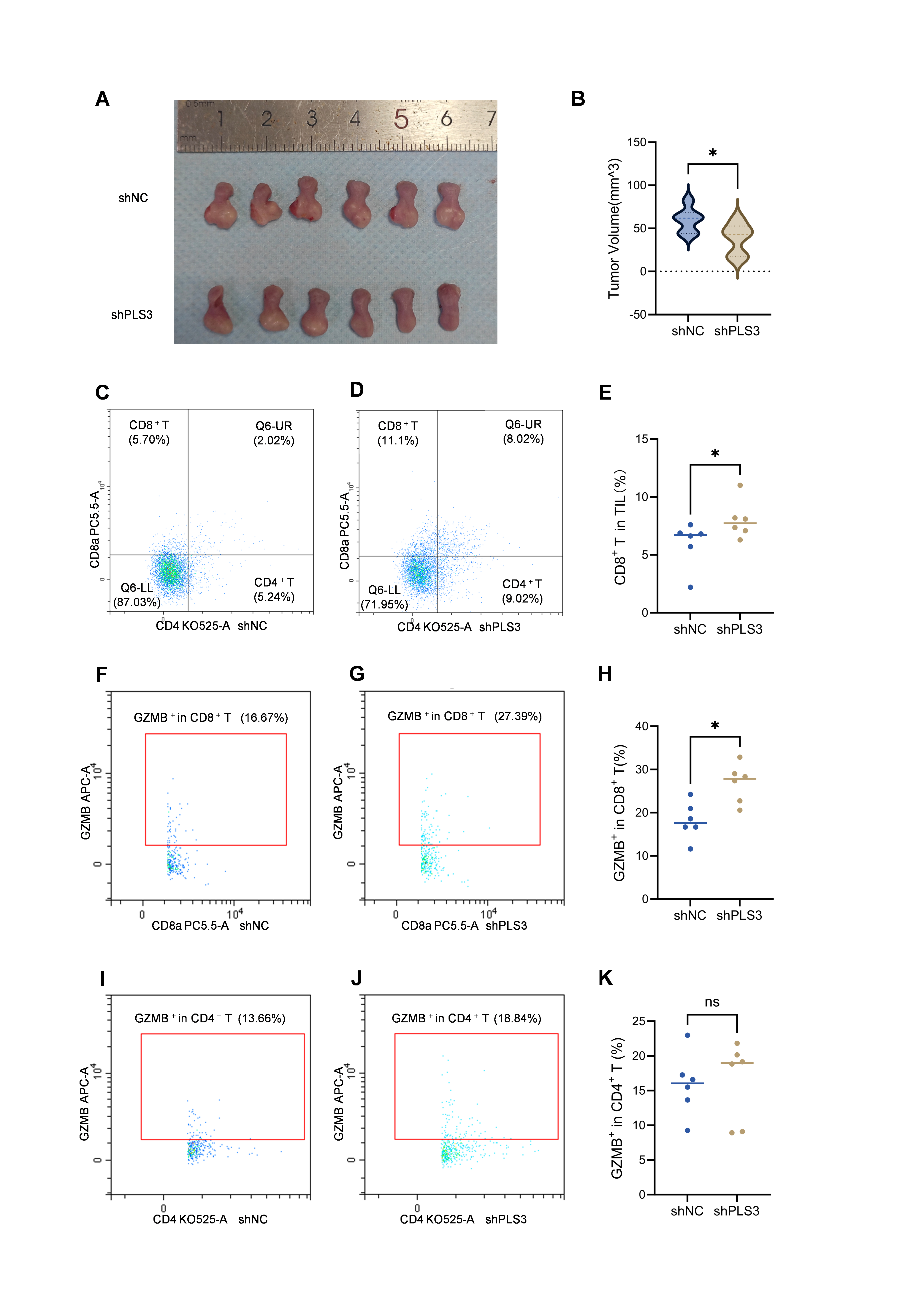
3.3. Knockdown of PLS3 Inhibits HNSCC Growth in Vivo
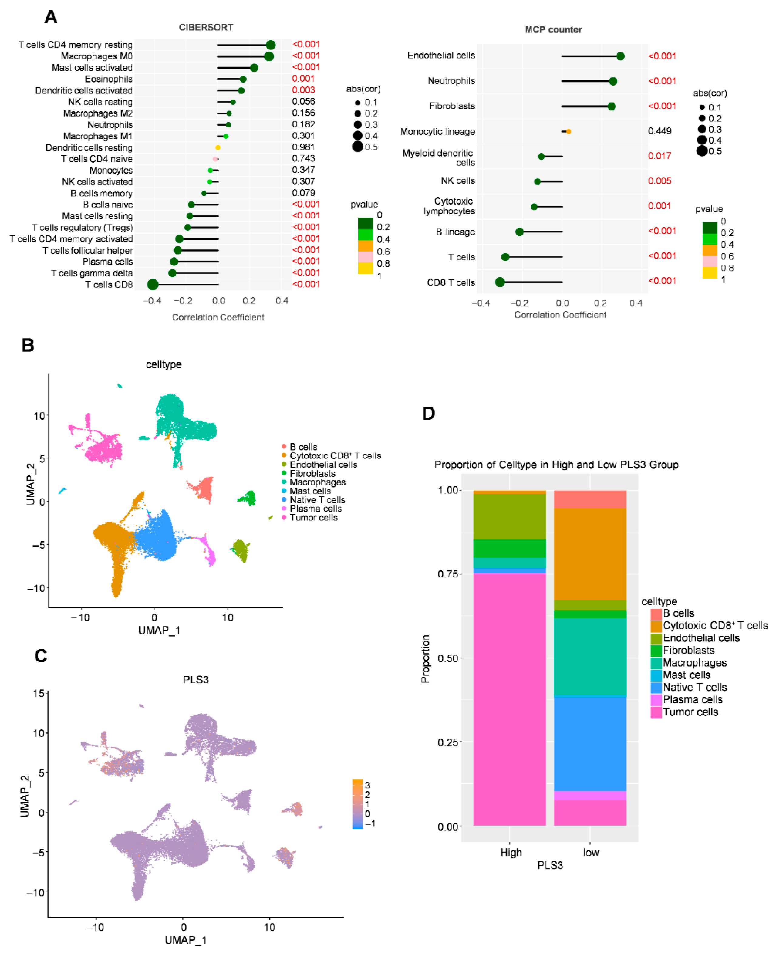
3.4. PLS3 Is Closely Related to Immune Regulation
3.5. Correlation of PLS3 Expression with Immune Characteristics
4. Discussion
5. Conclusions
Supplementary Materials
Author Contributions
Funding
Data Availability Statement
Conflicts of Interest
References
- Johnson, D.E.; Burtness, B.; Leemans, C.R.; Lui, V.W.Y.; Bauman, J.E.; Grandis, J.R. Head and neck squamous cell carcinoma. Nat. Rev. Dis. Primers 2020, 6, 92. [Google Scholar] [CrossRef]
- Bray, F.; Laversanne, M.; Sung, H.; Ferlay, J.; Siegel, R.L.; Soerjomataram, I.; Jemal, A. Global cancer statistics 2022: GLOBOCAN estimates of incidence and mortality worldwide for 36 cancers in 185 countries. CA A Cancer J. Clin. 2024, 74, 229–263. [Google Scholar] [CrossRef] [PubMed]
- Chow, L.Q.M. Head and neck cancer. N. Engl. J. Med. 2020, 382, 60–72. [Google Scholar] [CrossRef] [PubMed]
- Cohen, E.E.W.; Bell, R.B.; Bifulco, C.B.; Burtness, B.; Gillison, M.L.; Harrington, K.J.; Le, Q.-T.; Lee, N.Y.; Leidner, R.; Lewis, R.L.; et al. The society for immunotherapy of cancer consensus statement on immunotherapy for the treatment of squamous cell carcinoma of the head and neck (HNSCC). J. Immunother. Cancer 2019, 7, 184. [Google Scholar] [CrossRef]
- Cramer, J.D.; Burtness, B.; Le, Q.T.; Ferris, R.L. The changing therapeutic landscape of head and neck cancer. Nat. Rev. Clin. Oncol. 2019, 16, 669–683. [Google Scholar] [CrossRef]
- Ferris, R.L.; Blumenschein, G.; Fayette, J.; Guigay, J.; Colevas, A.D.; Licitra, L.; Harrington, K.; Kasper, S.; Vokes, E.E.; Even, C.; et al. Nivolumab for recurrent squamous-cell carcinoma of the head and neck. N. Engl. J. Med. 2016, 375, 1856–1867. [Google Scholar] [CrossRef]
- Litchfield, K.; Reading, J.L.; Puttick, C.; Thakkar, K.; Abbosh, C.; Bentham, R.; Watkins, T.B.K.; Rosenthal, R.; Biswas, D.; Rowan, A.; et al. Meta-analysis of tumor- and T cell-intrinsic mechanisms of sensitization to checkpoint inhibition. Cell 2021, 184, 596–614.e14. [Google Scholar] [CrossRef]
- Schreiber, R.D.; Old, L.J.; Smyth, M.J. Cancer immunoediting: Integrating immunity’s roles in cancer suppression and promotion. Science 2011, 331, 1565–1570. [Google Scholar] [CrossRef]
- Puram, S.V.; Tirosh, I.; Parikh, A.S.; Patel, A.P.; Yizhak, K.; Gillespie, S.; Rodman, C.; Luo, C.L.; Mroz, E.A.; Emerick, K.S.; et al. Single-cell transcriptomic analysis of primary and metastatic tumor ecosystems in head and neck cancer. Cell 2017, 171, 1611–1624.e24. [Google Scholar] [CrossRef]
- Plaschka, M.; Benboubker, V.; Grimont, M.; Berthet, J.; Tonon, L.; Lopez, J.; Le-Bouar, M.; Balme, B.; Tondeur, G.; de la Fouchardière, A.; et al. ZEB1 transcription factor promotes immune escape in melanoma. J. Immunother. Cancer 2022, 10, e003484. [Google Scholar] [CrossRef]
- Mariathasan, S.; Turley, S.J.; Nickles, D.; Castiglioni, A.; Yuen, K.; Wang, Y.; Kadel, E.E.; Koeppen, H.; Astarita, J.L.; Cubas, R.; et al. TGFβ attenuates tumour response to PD-L1 blockade by contributing to exclusion of T cells. Nature 2018, 554, 544–548. [Google Scholar] [CrossRef]
- Kumar, V.; Donthireddy, L.; Marvel, D.; Condamine, T.; Wang, F.; Lavilla-Alonso, S.; Hashimoto, A.; Vonteddu, P.; Behera, R.; Goins, M.A.; et al. Cancer-associated fibroblasts neutralize the anti-tumor effect of CSF1 receptor blockade by inducing PMN-MDSC infiltration of tumors. Cancer Cell 2017, 32, 654–668.e5. [Google Scholar] [CrossRef]
- Dongre, A.; Rashidian, M.; Reinhardt, F.; Bagnato, A.; Keckesova, Z.; Ploegh, H.L.; Weinberg, R.A. Epithelial-to-mesenchymal transition contributes to immunosuppression in breast carcinomas. Cancer Res. 2017, 77, 3982–3989. [Google Scholar] [CrossRef]
- Terry, S.; Savagner, P.; Ortiz-Cuaran, S.; Mahjoubi, L.; Saintigny, P.; Thiery, J.-P.; Chouaib, S. New insights into the role of EMT in tumor immune escape. Mol. Oncol. 2017, 11, 824–846. [Google Scholar] [CrossRef]
- Wolff, L.; Strathmann, E.A.; Müller, I.; Mählich, D.; Veltman, C.; Niehoff, A.; Wirth, B. Plastin 3 in health and disease: A matter of balance. Cell. Mol. Life Sci. 2021, 78, 5275–5301. [Google Scholar] [CrossRef] [PubMed]
- Yokobori, T.; Iinuma, H.; Shimamura, T.; Imoto, S.; Sugimachi, K.; Ishii, H.; Iwatsuki, M.; Ota, D.; Ohkuma, M.; Iwaya, T.; et al. Plastin3 is a novel marker for circulating tumor cells undergoing the epithelial-mesenchymal transition and is associated with colorectal cancer prognosis. Cancer Res. 2013, 73, 2059–2069. [Google Scholar] [CrossRef]
- Sugimachi, K.; Yokobori, T.; Iinuma, H.; Ueda, M.; Ueo, H.; Shinden, Y.; Eguchi, H.; Sudo, T.; Suzuki, A.; Maehara, Y.; et al. Aberrant expression of plastin-3 via copy number gain induces the epithelial-mesenchymal transition in circulating colorectal cancer cells. Ann. Surg. Oncol. 2014, 21, 3680–3690. [Google Scholar] [CrossRef]
- Ueo, H.; Sugimachi, K.; Gorges, T.M.; Bartkowiak, K.; Yokobori, T.; Müller, V.; Shinden, Y.; Ueda, M.; Ueo, H.; Mori, M.; et al. Circulating tumour cell-derived plastin3 is a novel marker for predicting long-term prognosis in patients with breast cancer. Br. J. Cancer 2015, 112, 1519–1526. [Google Scholar] [CrossRef]
- Xin, Z.; Li, D.; Mao, F.; Du, Y.; Wang, X.; Xu, P.; Li, Z.; Qian, J.; Yao, J. PLS3 predicts poor prognosis in pancreatic cancer and promotes cancer cell proliferation via PI3K/AKT signaling. J. Cell Physiol. 2020, 235, 8416–8423. [Google Scholar] [CrossRef] [PubMed]
- Cui, X.; Zhang, Y.; Zhang, L.; Liu, J.; Bai, Y.; Cui, Y.; Wang, B.; Zhang, S.; Li, X. Role of LONP2 in head and neck squamous cell carcinoma. Gene 2023, 851, 147033. [Google Scholar] [CrossRef] [PubMed]
- Suma, S.; Suehara, Y.; Fujisawa, M.; Abe, Y.; Hattori, K.; Makishima, K.; Sakamoto, T.; Sawa, A.; Bando, H.; Kaji, D.; et al. Tumor heterogeneity and immune-evasive T follicular cell lymphoma phenotypes at single-cell resolution. Leukemia 2024, 38, 340–350. [Google Scholar] [CrossRef]
- Ozga, A.J.; Chow, M.T.; Luster, A.D. Chemokines and the immune response to cancer. Immunity 2021, 54, 859–874. [Google Scholar] [CrossRef]
- Saxena, S.; Singh, R.K. Chemokines orchestrate tumor cells and the microenvironment to achieve metastatic heterogeneity. Cancer Metastasis Rev. 2021, 40, 447–476. [Google Scholar] [CrossRef]
- Wang, G.; Zhang, M.; Cheng, M.; Wang, X.; Li, K.; Chen, J.; Chen, Z.; Chen, S.; Chen, J.; Xiong, G.; et al. Tumor microenvironment in head and neck squamous cell carcinoma: Functions and regulatory mechanisms. Cancer Lett. 2021, 507, 55–69. [Google Scholar] [CrossRef]
- Shinomiya, H. Plastin family of actin-bundling proteins: Its functions in leukocytes, neurons, intestines, and cancer. Int. J. Cell Biol. 2012, 2012, 213492. [Google Scholar] [CrossRef]
- Zhong, W.; Neugebauer, J.; Pathak, J.L.; Li, X.; Pals, G.; Zillikens, M.C.; Eekhoff, E.M.W.; Bravenboer, N.; Zhang, Q.; Hammerschmidt, M.; et al. Functional insights in PLS3-mediated osteogenic regulation. Cells 2024, 13, 1507. [Google Scholar] [CrossRef] [PubMed]
- Pollard, T.D.; Cooper, J.A. Actin, a central player in cell shape and movement. Science 2009, 326, 1208–1212. [Google Scholar] [CrossRef]
- Ning, Y.; Gerger, A.; Zhang, W.; Hanna, D.L.; Yang, D.; Winder, T.; Wakatsuki, T.; Labonte, M.J.; Stintzing, S.; Volz, N.; et al. Plastin Polymorphisms Predict Gender- and Stage-Specific Colon Cancer Recurrence after Adjuvant Chemotherapy. Mol. Cancer Ther. 2014, 13, 528–539. [Google Scholar] [CrossRef]
- Wang, D.; Liu, J.; Chen, Y.; Jia, L.; Zhao, K.; He, X. PLS3 promotes papillary thyroid carcinoma progression by activating the notch signaling pathway. Environ. Toxicol. 2024, 39, 539–550. [Google Scholar] [CrossRef] [PubMed]
- Lamouille, S.; Xu, J.; Derynck, R. Molecular mechanisms of epithelial-mesenchymal transition. Nat. Rev. Mol. Cell Biol. 2014, 15, 178–196. [Google Scholar] [CrossRef]
- Erin, N.; Grahovac, J.; Brozovic, A.; Efferth, T. Tumor microenvironment and epithelial mesenchymal transition as targets to overcome tumor multidrug resistance. Drug Resist. Updat. 2020, 53, 100715. [Google Scholar] [CrossRef]
- Taki, M.; Abiko, K.; Ukita, M.; Murakami, R.; Yamanoi, K.; Yamaguchi, K.; Hamanishi, J.; Baba, T.; Matsumura, N.; Mandai, M. Tumor immune microenvironment during epithelial-mesenchymal transition. Clin. Cancer Res. 2021, 27, 4669–4679. [Google Scholar] [CrossRef]
- Yuan, Y.; Wang, P.; Zhang, H.; Liu, Y. Identification of M2 macrophage-related key genes in advanced atherosclerotic plaques by network-based analysis. J. Cardiovasc. Pharmacol. 2024, 83, 276–288. [Google Scholar] [CrossRef]
- Canning, M.; Guo, G.; Yu, M.; Myint, C.; Groves, M.W.; Byrd, J.K.; Cui, Y. Heterogeneity of the head and neck squamous cell carcinoma immune landscape and its impact on immunotherapy. Front. Cell Dev. Biol. 2019, 7, 52. [Google Scholar] [CrossRef] [PubMed]
- Chen, S.; Yang, Y.; Wang, R.; Fang, J. Neoadjuvant PD-1/PD-L1 inhibitors combined with chemotherapy had a higher ORR than mono-immunotherapy in untreated HNSCC: Meta-analysis. Oral Oncol. 2023, 145, 106479. [Google Scholar] [CrossRef]
- Elmusrati, A.; Wang, J.; Wang, C.-Y. Tumor microenvironment and immune evasion in head and neck squamous cell carcinoma. Int. J. Oral. Sci. 2021, 13, 24. [Google Scholar] [CrossRef]
- Jie, H.-B.; Schuler, P.J.; Lee, S.C.; Srivastava, R.M.; Argiris, A.; Ferrone, S.; Whiteside, T.L.; Ferris, R.L. CTLA-4+ regulatory T cells increased in cetuximab-treated head and neck cancer patients suppress NK cell cytotoxicity and correlate with poor prognosis. Cancer Res. 2015, 75, 2200–2210. [Google Scholar] [CrossRef]
- Rowshanravan, B.; Halliday, N.; Sansom, D.M. CTLA-4: A moving target in immunotherapy. Blood 2018, 131, 58–67. [Google Scholar] [CrossRef]










| Characteristic | Low Expression of PLS3 | High Expression of PLS3 | p-Value |
|---|---|---|---|
| n | 237 | 237 | |
| T Stage, n (%) | 0.033 | ||
| T1 | 20 (4.2%) | 13 (2.7%) | |
| T2 | 78 (16.5%) | 60 (12.7%) | |
| T3 | 66 (13.9%) | 62 (13.1%) | |
| T4 | 73 (15.4%) | 102 (21.5%) | |
| N Stage, n (%) | 0.546 | ||
| N0 | 122 (25.7%) | 111 (23.4%) | |
| N1 | 36 (7.6%) | 43 (9.1%) | |
| N2 | 76 (16%) | 77 (16.2%) | |
| N3 | 3 (0.6%) | 6 (1.3%) | |
| M Stage, n (%) | >0.999 | ||
| M0 | 234 (49.4%) | 235 (29.6%) | |
| M1 | 3 (0.6%) | 2 (0.4%) | |
| Clinical Stage, n (%) | 0.268 | ||
| Stage I | 10 (2.1%) | 8 (1.7%) | |
| Stage II | 52 (11%) | 40 (8.4%) | |
| Stage III | 52 (11%) | 45 (9.5%) | |
| Stage IV | 123 (25.9%) | 144 (30.4%) | |
| Gender, n (%) | 0.532 | ||
| Female | 59 (12.4%) | 66 (13.9%) | |
| Male | 178 (37.6%) | 171 (36.1%) | |
| Smoker, n (%) | 0.781 | ||
| Yes | 130 (27.4%) | 134 (28.3%) | |
| No | 107 (22.6%) | 103 (21.7%) | |
| Alcohol History, n (%) | 0.767 | ||
| Yes | 160 (33.8%) | 164 (34.6%) | |
| No | 77 (16.2%) | 73 (15.4%) | |
| Age group, n (%) | 0.52 | ||
| >60 | 126 (26.6%) | 119 (25.1%) | |
| ≤60 | 111 (23.4%) | 118 (24.9%) | |
| Age, median (IQR) | 61 (54, 69) | 61 (52,69) | 0.444 |
Disclaimer/Publisher’s Note: The statements, opinions and data contained in all publications are solely those of the individual author(s) and contributor(s) and not of MDPI and/or the editor(s). MDPI and/or the editor(s) disclaim responsibility for any injury to people or property resulting from any ideas, methods, instructions or products referred to in the content. |
© 2025 by the authors. Licensee MDPI, Basel, Switzerland. This article is an open access article distributed under the terms and conditions of the Creative Commons Attribution (CC BY) license (https://creativecommons.org/licenses/by/4.0/).
Share and Cite
Wang, Y.; Chen, K.; Tian, G.; Hou, C.; Huang, Y.; Song, F.; Zhang, M.; Hou, J. PLS3 Is a Prognostic Biomarker and Correlates with Immune Infiltrates in Head and Neck Squamous Cell Carcinoma. Cancers 2025, 17, 3882. https://doi.org/10.3390/cancers17233882
Wang Y, Chen K, Tian G, Hou C, Huang Y, Song F, Zhang M, Hou J. PLS3 Is a Prognostic Biomarker and Correlates with Immune Infiltrates in Head and Neck Squamous Cell Carcinoma. Cancers. 2025; 17(23):3882. https://doi.org/10.3390/cancers17233882
Chicago/Turabian StyleWang, Yuhong, Kunyi Chen, Guoli Tian, Chen Hou, Yingzhao Huang, Fan Song, Ming Zhang, and Jinsong Hou. 2025. "PLS3 Is a Prognostic Biomarker and Correlates with Immune Infiltrates in Head and Neck Squamous Cell Carcinoma" Cancers 17, no. 23: 3882. https://doi.org/10.3390/cancers17233882
APA StyleWang, Y., Chen, K., Tian, G., Hou, C., Huang, Y., Song, F., Zhang, M., & Hou, J. (2025). PLS3 Is a Prognostic Biomarker and Correlates with Immune Infiltrates in Head and Neck Squamous Cell Carcinoma. Cancers, 17(23), 3882. https://doi.org/10.3390/cancers17233882

