Long-Term Clinical Results of MR-Guided Stereotactic Body Radiotherapy of Liver Metastases
Abstract
Simple Summary
Abstract
1. Introduction
2. Materials and Methods
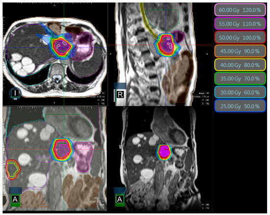
2.1. Treatment Characteristics
2.2. Statistical Methods, Response Evaluation and Follow-Up
3. Results
4. Discussion
5. Conclusions
Author Contributions
Funding
Institutional Review Board Statement
Informed Consent Statement
Data Availability Statement
Conflicts of Interest
References
- Goodman, B.D.; Mannina, E.M.; Althouse, S.K.; Maluccio, M.A.; Cárdenes, H.R. Long-term safety and efficacy of stereotactic body radiation therapy for hepatic oligometastases. Pract. Radiat. Oncol. 2016, 6, 86–95. [Google Scholar] [CrossRef] [PubMed]
- Andratschke, N.; Alheid, H.; Allgäuer, M.; Becker, G.; Blanck, O.; Brunner, T.; Duma, M.; Gerum, S.; Guckenberger, M.; Hildebrandt, G.; et al. The SBRT database initiative of the German Society for Radiation Oncology (DEGRO): Patterns of care and outcome analysis of stereotactic body radiotherapy (SBRT) for liver oligometastases in 474 patients with 623 metastases. BMC Cancer 2018, 18, 283. [Google Scholar] [CrossRef] [PubMed]
- Joo, J.H.; Park, J.-H.; Kim, J.C.; Yu, C.S.; Lim, S.-B.; Park, I.J.; Kim, T.W.; Hong, Y.S.; Kim, K.-P.; Yoon, S.M.; et al. Local Control Outcomes Using Stereotactic Body Radiation Therapy for Liver Metastases From Colorectal Cancer. Int. J. Radiat. Oncol. Biol. Phys. 2017, 99, 876–883. [Google Scholar] [CrossRef] [PubMed]
- Zeng, Z.-C.; Fan, J.; Tang, Z.-Y.; Zhou, J.; Qin, L.-X.; Wang, J.-H.; Sun, H.-C.; Wang, B.-L.; Zhang, J.-Y.; Jiang, G.-L.; et al. A comparison of treatment combinations with and without radiotherapy for hepatocellular carcinoma with portal vein and/or inferior vena cava tumor thrombus. Int. J. Radiat. Oncol. Biol. Phys. 2005, 61, 432–443. [Google Scholar] [CrossRef]
- Lanciano, R.; Lamond, J.; Yang, J.; Feng, J.; Arrigo, S.; Good, M.; Brady, L.J.F.i.o. Stereotactic body radiation therapy for patients with heavily pretreated liver metastases and liver tumors. Front. Oncol. 2012, 2, 23. [Google Scholar] [CrossRef]
- Doi, H.; Shiomi, H.; Masai, N.; Tatsumi, D.; Igura, T.; Imai, Y.; Oh, R.J. Threshold doses and prediction of visually apparent liver dysfunction after stereotactic body radiation therapy in cirrhotic and normal livers using magnetic resonance imaging. J. Radiat. Res. 2016, 57, 294–300. [Google Scholar] [CrossRef]
- Kavanagh, B.D.; Pan, C.C.; Dawson, L.A.; Das, S.K.; Li, X.A.; Ten Haken, R.K.; Miften, M. Radiation dose-volume effects in the stomach and small bowel. Int. J. Radiat. Oncol. Biol. Phys. 2010, 76, S101–S107. [Google Scholar] [CrossRef]
- Miften, M.; Vinogradskiy, Y.; Moiseenko, V.; Grimm, J.; Yorke, E.; Jackson, A.; Tome, W.A.; Ten Haken, R.K.; Ohri, N.; Mendez Romero, A.; et al. Radiation Dose-Volume Effects for Liver SBRT. Int. J. Radiat. Oncol. Biol. Phys. 2018, 110, 196–205. [Google Scholar] [CrossRef]
- Bae, S.H.; Kim, M.-S.; Cho, C.K.; Kang, J.-K.; Lee, S.Y.; Lee, K.-N.; Lee, D.H.; Han, C.J.; Yang, K.Y.; Kim, S.B. Predictor of Severe Gastroduodenal Toxicity After Stereotactic Body Radiotherapy for Abdominopelvic Malignancies. Int. J. Radiat. Oncol. Biol. Phys. 2012, 84, e469–e474. [Google Scholar] [CrossRef]
- Noel, C.E.; Parikh, P.J.; Spencer, C.R.; Green, O.L.; Hu, Y.; Mutic, S.; Olsen, J.R. Comparison of onboard low-field magnetic resonance imaging versus onboard computed tomography for anatomy visualization in radiotherapy. Acta Oncol. 2015, 54, 1474–1482. [Google Scholar] [CrossRef]
- Van den Begin, R.; Engels, B.; Gevaert, T.; Duchateau, M.; Tournel, K.; Verellen, D.; Storme, G.; De Ridder, M. Impact of inadequate respiratory motion management in SBRT for oligometastatic colorectal cancer. Radiother. Oncol. 2014, 113, 235–239. [Google Scholar] [CrossRef] [PubMed]
- Bertholet, J.; Worm, E.S.; Fledelius, W.; Hoyer, M.; Poulsen, P.R. Time-Resolved Intrafraction Target Translations and Rotations During Stereotactic Liver Radiation Therapy: Implications for Marker-based Localization Accuracy. Int. J. Radiat. Oncol. Biol. Phys. 2016, 95, 802–809. [Google Scholar] [CrossRef]
- Poulsen, P.R.; Worm, E.S.; Petersen, J.B.; Grau, C.; Fledelius, W.; Hoyer, M. Kilovoltage intrafraction motion monitoring and target dose reconstruction for stereotactic volumetric modulated arc therapy of tumors in the liver. Radiother. Oncol. J. Eur. Soc. Ther. Radiol. Oncol. 2014, 111, 424–430. [Google Scholar] [CrossRef]
- Worm, E.S.; Hoyer, M.; Fledelius, W.; Hansen, A.T.; Poulsen, P.R. Variations in magnitude and directionality of respiratory target motion throughout full treatment courses of stereotactic body radiotherapy for tumors in the liver. Acta Oncol. 2013, 52, 1437–1444. [Google Scholar] [CrossRef] [PubMed]
- Sterzing, F.; Brunner, T.B.; Ernst, I.; Baus, W.W.; Greve, B.; Herfarth, K.; Guckenberger, M. Stereotactic body radiotherapy for liver tumors. Strahlenther. Und Onkol. 2014, 190, 872–881. [Google Scholar] [CrossRef] [PubMed]
- Brock, K.K.; Dawson, L.A. Adaptive management of liver cancer radiotherapy. Semin. Radiat. Oncol. 2010, 20, 107–115. [Google Scholar] [CrossRef] [PubMed]
- van Sörnsen de Koste, J.R.; Palacios, M.A.; Bruynzeel, A.M.E.; Slotman, B.J.; Senan, S.; Lagerwaard, F.J. MR-guided Gated Stereotactic Radiation Therapy Delivery for Lung, Adrenal, and Pancreatic Tumors: A Geometric Analysis. Int. J. Radiat. Oncol. *Biol. *Phys. 2018, 102, 858–866. [Google Scholar] [CrossRef]
- Padgett, K.R.; Simpson, G.; Asher, D.; Portelance, L.; Bossart, E.; Dogan, N. Assessment of online adaptive MR-guided stereotactic body radiotherapy of liver cancers. Phys. Med. 2020, 77, 54–63. [Google Scholar] [CrossRef]
- Mayinger, M.; Ludwig, R.; Christ, S.M.; Dal Bello, R.; Ryu, A.; Weitkamp, N.; Pavic, M.; Garcia Schüler, H.; Wilke, L.; Guckenberger, M.; et al. Benefit of replanning in MR-guided online adaptive radiation therapy in the treatment of liver metastasis. Radiat. Oncol. 2021, 16, 84. [Google Scholar] [CrossRef]
- Rogowski, P.; von Bestenbostel, R.; Walter, F.; Straub, K.; Nierer, L.; Kurz, C.; Landry, G.; Reiner, M.; Auernhammer, C.J.; Belka, C.; et al. Feasibility and Early Clinical Experience of Online Adaptive MR-Guided Radiotherapy of Liver Tumors. Cancers 2021, 13, 1523. [Google Scholar] [CrossRef]
- Nierer, L.; Eze, C.; da Silva Mendes, V.; Braun, J.; Thum, P.; von Bestenbostel, R.; Kurz, C.; Landry, G.; Reiner, M.; Niyazi, M.; et al. Dosimetric benefit of MR-guided online adaptive radiotherapy in different tumor entities: Liver, lung, abdominal lymph nodes, pancreas and prostate. Radiat. Oncol. 2022, 17, 53. [Google Scholar] [CrossRef] [PubMed]
- Bordeau, K.; Michalet, M.; Keskes, A.; Valdenaire, S.; Debuire, P.; Cantaloube, M.; Cabaillé, M.; Jacot, W.; Draghici, R.; Demontoy, S.; et al. Stereotactic MR-Guided Radiotherapy for Liver Metastases: First Results of the Montpellier Prospective Registry Study. J. Clin. Med. 2023, 12, 1183. [Google Scholar] [CrossRef] [PubMed]
- Gani, C.; Boeke, S.; McNair, H.; Ehlers, J.; Nachbar, M.; Mönnich, D.; Stolte, A.; Boldt, J.; Marks, C.; Winter, J.; et al. Marker-less online MR-guided stereotactic body radiotherapy of liver metastases at a 1.5 T MR-Linac—Feasibility, workflow data and patient acceptance. Clin. Transl. Radiat. Oncol. 2021, 26, 55–61. [Google Scholar] [CrossRef]
- Rosenberg, S.A.; Henke, L.E.; Shaverdian, N.; Mittauer, K.; Wojcieszynski, A.P.; Hullett, C.R.; Kamrava, M.; Lamb, J.; Cao, M.; Green, O.L.; et al. A Multi-Institutional Experience of MR-Guided Liver Stereotactic Body Radiation Therapy. Adv. Radiat. Oncol. 2019, 4, 142–149. [Google Scholar] [CrossRef] [PubMed]
- Guckenberger, M.; Baus, W.W.; Blanck, O.; Combs, S.E.; Debus, J.; Engenhart-Cabillic, R.; Gauer, T.; Grosu, A.L.; Schmitt, D.; Tanadini-Lang, S.; et al. Definition and quality requirements for stereotactic radiotherapy: Consensus statement from the DEGRO/DGMP Working Group Stereotactic Radiotherapy and Radiosurgery. Strahlenther. Und Onkol. 2020, 196, 417–420. [Google Scholar] [CrossRef]
- Weykamp, F.; Hoegen, P.; Klüter, S.; Spindeldreier, C.K.; König, L.; Seidensaal, K.; Regnery, S.; Liermann, J.; Rippke, C.; Koerber, S.A. Magnetic resonance-guided stereotactic body radiotherapy of liver tumors: Initial clinical experience and patient-reported outcomes. Front. Oncol. 2021, 11, 610637. [Google Scholar] [CrossRef]
- Weykamp, F.; Katsigiannopulos, E.; Piskorski, L.; Regnery, S.; Hoegen, P.; Ristau, J.; Renkamp, C.K.; Liermann, J.; Forster, T.; Lang, K. Dosimetric Benefit of Adaptive Magnetic Resonance-Guided Stereotactic Body Radiotherapy of Liver Metastases. Cancers 2022, 14, 6041. [Google Scholar] [CrossRef]
- Klüter, S.; Katayama, S.; Spindeldreier, C.K.; Koerber, S.A.; Major, G.; Alber, M.; Akbaba, S.; Debus, J.; Hörner-Rieber, J. First prospective clinical evaluation of feasibility and patient acceptance of magnetic resonance-guided radiotherapy in Germany. Strahlenther. Und Onkol. 2020, 196, 691–698. [Google Scholar] [CrossRef]
- Klüter, S. Technical design and concept of a 0.35 T MR-Linac. Clin. Transl. Radiat. Oncol. 2019, 18, 98–101. [Google Scholar] [CrossRef]
- Bohoudi, O.; Bruynzeel, A.M.E.; Senan, S.; Cuijpers, J.P.; Slotman, B.J.; Lagerwaard, F.J.; Palacios, M.A. Fast and robust online adaptive planning in stereotactic MR-guided adaptive radiation therapy (SMART) for pancreatic cancer. Radiother. Oncol. J. Eur. Soc. Ther. Radiol. Oncol. 2017, 125, 439–444. [Google Scholar] [CrossRef]
- Jin, J.; Wu, X.; Yin, J.; Li, M.; Shen, J.; Li, J.; Zhao, Y.; Zhao, Q.; Wu, J.; Wen, Q.; et al. Identification of Genetic Mutations in Cancer: Challenge and Opportunity in the New Era of Targeted Therapy. Front. Oncol. 2019, 9, 263. [Google Scholar] [CrossRef] [PubMed]
- Zhao, Q.; Jiang, Y.; Xiang, S.; Kaboli, P.J.; Shen, J.; Zhao, Y.; Wu, X.; Du, F.; Li, M.; Cho, C.H.; et al. Engineered TCR-T Cell Immunotherapy in Anticancer Precision Medicine: Pros and Cons. Front. Immunol. 2021, 12, 658753. [Google Scholar] [CrossRef] [PubMed]
- Ohri, N.; Tome, W.A.; Mendez Romero, A.; Miften, M.; Ten Haken, R.K.; Dawson, L.A.; Grimm, J.; Yorke, E.; Jackson, A. Local Control After Stereotactic Body Radiation Therapy for Liver Tumors. Int. J. Radiat. Oncol. Biol. Phys. 2018, 110, 188–195. [Google Scholar] [CrossRef] [PubMed]
- Hoegen, P.; Zhang, K.; Tonndorf-Martini, E.; Weykamp, F.; Regnery, S.; Naumann, P.; Lang, K.; Ristau, J.; Körber, S.; Dreher, C. MR-guided adaptive versus ITV-based stereotactic body radiotherapy for hepatic metastases (MAESTRO): A randomized controlled phase II trial. Radiat. Oncol. 2022, 17, 59. [Google Scholar] [CrossRef] [PubMed]
- Leclerc, C.G.F. Adaptative MR-Guided Stereotactic Body Radiotherapy of Liver Tumors (RASTAF). ClinicalTrials.gov2020. Available online: https://clinicaltrials.gov/ct2/show/NCT04242342 (accessed on 20 February 2023).



| 3 fx | 5 fx | 8 fx | 10 fx | |
|---|---|---|---|---|
| esophagus 0.5 cc | <25.2 Gy | <34 Gy | <40 Gy | <43.5 Gy |
| stomach/intestine 0.5 cc | <22.2 Gy | <35 Gy | <40 Gy | <43.5 Gy |
| liver minus CTV ≥ 700 cc | <19.2 Gy | <24 Gy | <29 Gy | <32 Gy |
| kidney mean dose | <8.5 Gy | <10 Gy | <11.5 Gy | <12 Gy |
| spinal cord 0.1 cc | <21.6 Gy | <27 Gy | <32 Gy | <35 Gy |
| heart 0.5 cc | <26 Gy | <29 Gy | <60 Gy | <66 Gy |
| All dose constraints were (strict) minimum requirements. Whenever possible, lower thresholds were aimed for. | ||||
| median age | 62 years (37–89 years) |
| median Karnofsky Score | 90% (70–100%) |
| female/male | 19/21 |
| prior liver surgery | 13 (33%) |
| prior liver microwave ablation | 1 (3%) |
| prior liver radiotherapy | 4 (10%) |
| systemic therapy within 4 weeks before irradiation | 27 (68%) |
| systemic therapy within 4 weeks after irradiation | 16 (40%) |
| metastatic disease in prior medical history * | 29 (73%) |
| liver metastases in prior medical history * | 26 (65%) |
| >3 liver metastases in prior medical history * | 17 (43%) |
| total number of irradiated liver targets per patient | |
| n = 1 | 35 (88%) |
| n = 2 | 3 (7%) |
| n = 3 | 0 |
| n = 4 | 2 (5%) |
| Primary Tumor | |
|---|---|
| Colorectal carcinoma | 21 (39%) |
| Breast cancer | 10 (19%) |
| Pancreatic cancer | 9 (17%) |
| Esophageal cancer | 3 (6%) |
| Melanoma | 3 (6%) |
| Other * | 8 (15%) |
| median PTV volume | 54 cc (10–445 cc) |
| median prescribed total dose | 50 Gy (45–60 Gy) |
| median number of fractions | 5 (3–12) |
| median EQD2 (α/β = 10) | 83 Gy (54–94 Gy) |
| median BED (α/β = 10) | 100 Gy (65–113 Gy) |
| Clinical events (during and 8 weeks after irradiation) | |
| Grade 1 | 14 (26%) |
| Grade 2 | 4 (7%) |
| Grade ≥ 3 | 0 |
Disclaimer/Publisher’s Note: The statements, opinions and data contained in all publications are solely those of the individual author(s) and contributor(s) and not of MDPI and/or the editor(s). MDPI and/or the editor(s) disclaim responsibility for any injury to people or property resulting from any ideas, methods, instructions or products referred to in the content. |
© 2023 by the authors. Licensee MDPI, Basel, Switzerland. This article is an open access article distributed under the terms and conditions of the Creative Commons Attribution (CC BY) license (https://creativecommons.org/licenses/by/4.0/).
Share and Cite
Weykamp, F.; Hoegen, P.; Regnery, S.; Katsigiannopulos, E.; Renkamp, C.K.; Lang, K.; König, L.; Sandrini, E.; Meixner, E.; Rippke, C.; et al. Long-Term Clinical Results of MR-Guided Stereotactic Body Radiotherapy of Liver Metastases. Cancers 2023, 15, 2786. https://doi.org/10.3390/cancers15102786
Weykamp F, Hoegen P, Regnery S, Katsigiannopulos E, Renkamp CK, Lang K, König L, Sandrini E, Meixner E, Rippke C, et al. Long-Term Clinical Results of MR-Guided Stereotactic Body Radiotherapy of Liver Metastases. Cancers. 2023; 15(10):2786. https://doi.org/10.3390/cancers15102786
Chicago/Turabian StyleWeykamp, Fabian, Philipp Hoegen, Sebastian Regnery, Efthimios Katsigiannopulos, C. Katharina Renkamp, Kristin Lang, Laila König, Elisabetta Sandrini, Eva Meixner, Carolin Rippke, and et al. 2023. "Long-Term Clinical Results of MR-Guided Stereotactic Body Radiotherapy of Liver Metastases" Cancers 15, no. 10: 2786. https://doi.org/10.3390/cancers15102786
APA StyleWeykamp, F., Hoegen, P., Regnery, S., Katsigiannopulos, E., Renkamp, C. K., Lang, K., König, L., Sandrini, E., Meixner, E., Rippke, C., Buchele, C., Liermann, J., Debus, J., Klüter, S., & Hörner-Rieber, J. (2023). Long-Term Clinical Results of MR-Guided Stereotactic Body Radiotherapy of Liver Metastases. Cancers, 15(10), 2786. https://doi.org/10.3390/cancers15102786

