Diffuse PRAME Expression Is Highly Specific for Thin Melanomas in the Distinction from Severely Dysplastic Nevi but Does Not Distinguish Metastasizing from Non-Metastasizing Thin Melanomas
Abstract
:Simple Summary
Abstract
1. Introduction
2. Materials and Methods
3. Results
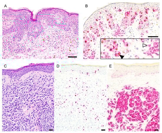
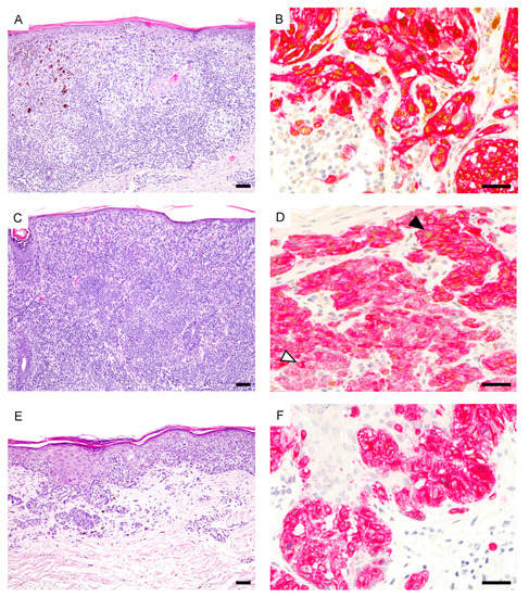
3.1. Melanomas
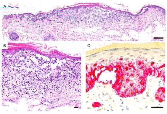
3.2. Compound Nevi
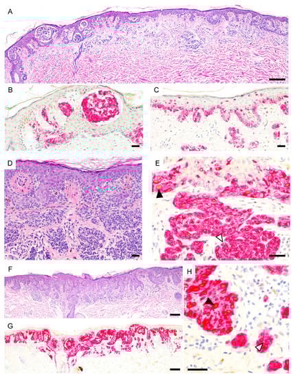
3.3. Severely Dysplastic Compound Nevi (SDN)
3.4. Summary of PRAME Immunohistochemistry
4. Discussion
- (I)
- (II)
- The utility of PRAME IHC for the distinction of thin melanomas from SDN, the most common dilemma in the diagnosis of melanocytic lesions, was not studied.
- (III)
- PRAME expression was not compared between metastasizing and non-metastasizing melanomas and the prognostic significance of PRAME in cutaneous melanomas remains to be clarified.
5. Conclusions
Supplementary Materials
Author Contributions
Funding
Institutional Review Board Statement
Informed Consent Statement
Data Availability Statement
Acknowledgments
Conflicts of Interest
References
- Lezcano, C.; Jungbluth, A.A.; Nehal, K.S.; Hollmann, T.J.; Busam, K.J. PRAME Expression in Melanocytic Tumors. Am. J. Surg. Pathol. 2018, 42, 1456–1465. [Google Scholar] [CrossRef] [PubMed]
- Lezcano, C.; Pulitzer, M.; Moy, A.P.; Hollmann, T.J.; Jungbluth, A.A.; Busam, K.J. Immunohistochemistry for PRAME in the Distinction of Nodal Nevi From Metastatic Melanoma. Am. J. Surg. Pathol. 2020, 44, 503–508. [Google Scholar] [CrossRef]
- Tio, D.; Willemsen, M.; Krebbers, G.; Kasiem, F.R.; Hoekzema, R.; van Doorn, R.; Bekkenk, M.W.; Luiten, R.M. Differential Expression of Cancer Testis Antigens on Lentigo Maligna and Lentigo Maligna Melanoma. Am. J. Dermatopathol. 2020, 42, 625–627. [Google Scholar] [CrossRef]
- Raghavan, S.S.; Wang, J.Y.; Kwok, S.; Rieger, K.E.; Novoa, R.A.; Brown, R.A. PRAME expression in melanocytic proliferations with intermediate histopathologic or spitzoid features. J. Cutan. Pathol. 2020, 47, 1123–1131. [Google Scholar] [CrossRef] [PubMed]
- Lohman, M.E.; Steen, A.; Grekin, R.C.; North, J.P. The utility of PRAME staining in identifying malignant transformation of melanocytic nevi. J. Cutan. Pathol. 2021, 48, 856–862. [Google Scholar] [CrossRef]
- Gradecki, S.E.; Valdes-Rodriguez, R.; Wick, M.R.; Gru, A.A. PRAME Immunohistochemistry as an Adjunct for Diagnosis and Histological Margin Assessment in Lentigo Maligna. Histopathology 2020, 78, 1000–1008. [Google Scholar] [CrossRef]
- Gradecki, S.E.; Slingluff, C.L., Jr.; Gru, A.A. PRAME expression in 155 cases of metastatic melanoma. J. Cutan. Pathol. 2020, 48, 479–485. [Google Scholar] [CrossRef]
- Figueiredo, D.L.; Mamede, R.C.; Proto-Siqueira, R.; Neder, L.; Silva, W.A., Jr.; Zago, M.A. Expression of cancer testis antigens in head and neck squamous cell carcinomas. Head Neck 2006, 28, 614–619. [Google Scholar] [CrossRef]
- Neumann, E.; Engelsberg, A.; Decker, J.; Storkel, S.; Jaeger, E.; Huber, C.; Seliger, B. Heterogeneous expression of the tumor-associated antigens RAGE-1, PRAME, and glycoprotein 75 in human renal cell carcinoma: Candidates for T-cell-based immunotherapies? Cancer Res. 1998, 58, 4090–4095. [Google Scholar]
- Mitsuhashi, K.; Masuda, A.; Wang, Y.H.; Shiseki, M.; Motoji, T. Prognostic significance of PRAME expression based on immunohistochemistry for diffuse large B-cell lymphoma patients treated with R-CHOP therapy. Int. J. Hematol. 2014, 100, 88–95. [Google Scholar] [CrossRef]
- Steinbach, D.; Hermann, J.; Viehmann, S.; Zintl, F.; Gruhn, B. Clinical implications of PRAME gene expression in childhood acute myeloid leukemia. Cancer Genet. Cytogenet. 2002, 133, 118–123. [Google Scholar] [CrossRef]
- Field, M.G.; Decatur, C.L.; Kurtenbach, S.; Gezgin, G.; van der Velden, P.A.; Jager, M.J.; Kozak, K.N.; Harbour, J.W. PRAME as an Independent Biomarker for Metastasis in Uveal Melanoma. Clin. Cancer Res. 2016, 22, 1234–1242. [Google Scholar] [CrossRef] [PubMed] [Green Version]
- Epping, M.T.; Hart, A.A.; Glas, A.M.; Krijgsman, O.; Bernards, R. PRAME expression and clinical outcome of breast cancer. Br. J. Cancer 2008, 99, 398–403. [Google Scholar] [CrossRef] [Green Version]
- Oberthuer, A.; Hero, B.; Spitz, R.; Berthold, F.; Fischer, M. The tumor-associated antigen PRAME is universally expressed in high-stage neuroblastoma and associated with poor outcome. Clin. Cancer Res. 2004, 10, 4307–4313. [Google Scholar] [CrossRef] [PubMed] [Green Version]
- Whiteman, D.C.; Baade, P.D.; Olsen, C.M. More people die from thin melanomas (1 mm) than from thick melanomas (>4 mm) in Queensland, Australia. J. Investig. Dermatol. 2015, 135, 1190–1193. [Google Scholar] [CrossRef] [PubMed] [Green Version]
- Elmore, J.G.; Barnhill, R.L.; Elder, D.E.; Longton, G.M.; Pepe, M.S.; Reisch, L.M.; Carney, P.A.; Titus, L.J.; Nelson, H.D.; Onega, T.; et al. Pathologists’ diagnosis of invasive melanoma and melanocytic proliferations: Observer accuracy and reproducibility study. BMJ 2017, 357, j2813. [Google Scholar] [CrossRef] [PubMed] [Green Version]
- Welch, H.G.; Woloshin, S.; Schwartz, L.M. Skin biopsy rates and incidence of melanoma: Population based ecological study. BMJ 2005, 331, 481. [Google Scholar] [CrossRef] [Green Version]
- Welch, H.G.; Mazer, B.L.; Adamson, A.S. The Rapid Rise in Cutaneous Melanoma Diagnoses. N. Engl. J. Med. 2021, 384, 72–79. [Google Scholar] [CrossRef]
- Elder, D.E.; Massi, D.; Scolyer, R.A.; Willemze, R. (Eds.) Dysplastic naevus. In WHO Classification of Skin Tumours, 4th ed.; International Agency for Research on Cancer (IARC): Lyon, France, 2018; pp. 82–86. [Google Scholar]
- Elder, D.E.; Xu, X. The approach to the patient with a difficult melanocytic lesion. Pathology 2004, 36, 428–434. [Google Scholar] [CrossRef]
- Lezcano, C.; Jungbluth, A.A.; Busam, K.J. Comparison of Immunohistochemistry for PRAME With Cytogenetic Test Results in the Evaluation of Challenging Melanocytic Tumors. Am. J. Surg. Pathol. 2020, 44, 893–900. [Google Scholar] [CrossRef]
- Criscione, V.D.; Weinstock, M.A. Melanoma thickness trends in the United States, 1988-2006. J. Invest. Dermatol. 2010, 130, 793–797. [Google Scholar] [CrossRef] [PubMed] [Green Version]
- Shaikh, W.R.; Dusza, S.W.; Weinstock, M.A.; Oliveria, S.A.; Geller, A.C.; Halpern, A.C. Melanoma Thickness and Survival Trends in the United States, 1989 to 2009. J. Natl. Cancer Inst. 2016, 108, djv294. [Google Scholar] [CrossRef] [PubMed] [Green Version]
- Frangos, J.E.; Duncan, L.M.; Piris, A.; Nazarian, R.M.; Mihm, M.C., Jr.; Hoang, M.P.; Gleason, B.; Flotte, T.J.; Byers, H.R.; Barnhill, R.L.; et al. Increased diagnosis of thin superficial spreading melanomas: A 20-year study. J. Am. Acad. Dermatol. 2012, 67, 387–394. [Google Scholar] [CrossRef]
- Lee, Y.K.; Park, U.H.; Kim, E.J.; Hwang, J.T.; Jeong, J.C.; Um, S.J. Tumor antigen PRAME is up-regulated by MZF1 in cooperation with DNA hypomethylation in melanoma cells. Cancer Lett. 2017, 403, 144–151. [Google Scholar] [CrossRef] [PubMed]
- Epping, M.T.; Wang, L.; Plumb, J.A.; Lieb, M.; Gronemeyer, H.; Brown, R.; Bernards, R. A functional genetic screen identifies retinoic acid signaling as a target of histone deacetylase inhibitors. Proc. Natl. Acad. Sci. USA 2007, 104, 17777–17782. [Google Scholar] [CrossRef] [PubMed] [Green Version]
- Ikeda, H.; Lethe, B.; Lehmann, F.; van Baren, N.; Baurain, J.F.; de Smet, C.; Chambost, H.; Vitale, M.; Moretta, A.; Boon, T.; et al. Characterization of an antigen that is recognized on a melanoma showing partial HLA loss by CTL expressing an NK inhibitory receptor. Immunity 1997, 6, 199–208. [Google Scholar] [CrossRef] [Green Version]
- Scanlan, M.J.; Gure, A.O.; Jungbluth, A.A.; Old, L.J.; Chen, Y.T. Cancer/testis antigens: An expanding family of targets for cancer immunotherapy. Immunol. Rev. 2002, 188, 22–32. [Google Scholar] [CrossRef]
- Sigalotti, L.; Fratta, E.; Coral, S.; Tanzarella, S.; Danielli, R.; Colizzi, F.; Fonsatti, E.; Traversari, C.; Altomonte, M.; Maio, M. Intratumor heterogeneity of cancer/testis antigens expression in human cutaneous melanoma is methylation-regulated and functionally reverted by 5-aza-2’-deoxycytidine. Cancer Res. 2004, 64, 9167–9171. [Google Scholar] [CrossRef] [Green Version]
- Ecsedi, S.; Hernandez-Vargas, H.; Lima, S.C.; Vizkeleti, L.; Toth, R.; Lazar, V.; Koroknai, V.; Kiss, T.; Emri, G.; Herceg, Z.; et al. DNA methylation characteristics of primary melanomas with distinct biological behaviour. PLoS ONE 2014, 9, e96612. [Google Scholar] [CrossRef] [Green Version]
- Arumi-Uria, M.; McNutt, N.S.; Finnerty, B. Grading of atypia in nevi: Correlation with melanoma risk. Mod. Pathol. 2003, 16, 764–771. [Google Scholar] [CrossRef] [Green Version]







| Metastasizing Melanomas | Non-Metastasizing Melanomas | |||||||||||
|---|---|---|---|---|---|---|---|---|---|---|---|---|
| Patient No./Sex | Site | Age (y) | Depth (mm) | PRAME IHC | Stage | FU (mo) and Outcome | Age (y) | Depth (mm) | PRAME IHC | FU (mo) | ||
| Epidermis | Dermis | Epidermis | Dermis | |||||||||
| 1/F | T | 52 | 0.8 | 1+ | 0 | III | 93/A | 48 | 0.8 | 4+ | 4+ | 88 |
| 2/F | T | 64 | 0.7 | 4+ | 4+ | III | 68/A | 69 | 0.6 | 1+ | 1+ | 93 |
| 3/M | T | 59 | 0.4 | 1+ | 0 | IV | 9/D | 54 | 0.4 | 1+ | 0 | 133 |
| 4/M | T | 49 | 0.5 | 2+ | 1+ | IV | 91/D | 49 | 0.4 | 4+ | 4+ | 153 |
| 5/M | H&N | 54 | 0.5 | 4+ | 4+ | IV | 139/A | 61 | 0.5 | 4+ | 3+ | 123 |
| 6/F | LE | 67 | 0.6 | 4+ | 4+ | IV | 86/D | 70 | 0.6 | 4+ | 4+ | 117 |
| 7/M | LE | 60 | 0.6 | 4+ | 4+ | IV | 103/A | 65 | 0.7 | 4+ | 2+ | 146 |
| 8/M | H&N | 80 | 0.4 | 4+ | 3+ | IV | 70/D | 80 | 0.4 | 4+ | 4+ | 84 |
| 9/M | LE | 61 | 0.4 | 4+ | 4+ | IV | 80/A | 65 | 0.5 | 1+ | 0 | 123 |
| 10/M | LE | 35 | 0.7 | 4+ | 4+ | IV | 30/D | 45 | 0.6 | 1+ | 1+ | 121 |
| 11/M | T | 31 | 0.3 | 4+ | 4+ | IV | 5/D | 36 | 0.4 | 4+ | 4+ | 110 |
| 12/M | H&N | 32 | 0.6 | 4+ | 4+ | IV | 121/A | 30 | 0.5 | 2+ | 2+ | 51 |
| 13/M | T | 70 | 0.6 | 3+ | 2+ | IV | 26/A | 76 | 0.6 | 1+ | 0 | 134 |
| 14/F | H&N | 54 | 0.6 | 3+ | 2+ | IV | 84/D | 55 | 0.6 | 4+ | 4+ | 74 |
| 15/M | T | 79 | 0.7 | 0 | 0 | IV | 73/D | 72 | 0.7 | 4+ | 4+ | 116 |
| 16M | H&N | 91 | 0.8 | 4+ | 4+ | IV | 14/A | 81 | 0.7 | 4+ | 4+ | 53 |
| 17/F | T | 61 | 0.8 | 4+ | 3+ | IV | 6/D | 56 | 0.9 | 1+ | 1+ | 118 |
| 18/M | H&N | 87 | 0.5 | 4+ | 4+ | IV | 17/A | 78 | 0.5 | 4+ | 3+ | 142 |
| 19/F | H&N | 77 | 0.8 | 4+ | 4+ | III | 43/A | 68 | 0.7 | 4+ | 4+ | 91 |
| 20/M | H&N | 90 | 0.8 | 4+ | 4+ | IV | 75/D | 86 | 0.8 | 4+ | 4+ | 31 |
| 21/F | LE | 41 | 0.8 | 2+ | 1+ | IV | 76/D | 35 | 0.9 | 4+ | 4+ | 63 |
| 22/M | UE | 53 | 0.8 | 4+ | 4+ | III | 42/A | 61 | 0.9 | 4+ | 4+ | 50 |
| 23/F | LE | 66 | 0.8 | 4+ | 4+ | IV | 129/A | 60 | 0.9 | 4+ | 4+ | 104 |
| 24/F | UE | 36 | 0.9 | 4+ | 2+ | III | 38/A | 42 | 0.8 | 3+ | 4+ | 113 |
| 25/M | H&N | 72 | 0.9 | 4+ | 4+ | IV | 86/A | 69 | 0.8 | 4+ | 4+ | 129 |
| 26/F | UE | 62 | 0.9 | 2+ | 1+ | III | 75/A | 67 | 0.8 | 4+ | 4+ | 96 |
| 27/F | T | 54 | 0.9 | 4+ | 4+ | III | 109/A | 56 | 0.9 | 1+ | 0 | 118 |
| 28/F | T | 31 | 0.9 | 0 | 0 | III | 17/A | 37 | 0.9 | 4+ | 4+ | 64 |
| 29/M | T | 66 | 0.9 | 3+ | 2+ | III | 63/A | 70 | 0.9 | 1+ | 1+ | 85 |
| 30/M | H&N | 76 | 0.9 | 4+ | 4+ | III | 9/A | 75 | 1.0 | 4+ | 4+ | 67 |
| 31/M | T | 64 | 0.9 | 4+ | 3+ | III | 114/D | 61 | 0.9 | 2+ | 3+ | 123 |
| 32/M | T | 59 | 1.0 | 4+ | 4+ | III | 71/A | 60 | 1.0 | 4+ | 4+ | 124 |
| 33/M | UE | 72 | 1.0 | 4+ | 4+ | IV | 88/A | 71 | 1.0 | 4+ | 4+ | 57 |
| 34/F | LE | 66 | 1.0 | 4+ | 4+ | IV | 87/D | 60 | 1.0 | 3+ | 2+ | 110 |
| 35/F | T | 87 | 0.9 | 4+ | 4+ | III | 31/A | 83 | 1.0 | 4+ | 4+ | 54 |
| Histological Diagnosis and Characteristics | Cases with Diffuse PRAME Expression † | p-Value |
|---|---|---|
| Nevus | ||
| Compound nevus | 0/10 | |
| Severely dysplastic compound nevus | 1/35 (2.9%) ‡ | <0.001 |
| Melanoma | 41/70 (58.6%) | |
| Metastasizing | 21/35 (60.0%) | 0.81 |
| Non-metastasizing | 20/35 (57.1%) | |
| Subtype | ||
| Superficial spreading | 26/48 (54.2%) | 0.074 |
| Lentigo maligna | 12/16 (75.0%) | |
| Acral lentiginous | 3/3 (100%) | |
| Nevoid | 0/2 (0%) | |
| Spitzoid | 0/1 (0) | |
| Regression | ||
| Present | 17/33 (51.5%) | 0.26 |
| Absent | 24/37 (64.9%) | |
| TNM | ||
| pT1a | 17/31 (54.8%) | 0.57 |
| pT1b | 24/39 (61.5%) |
| Patient No./Sex. | Site | Age (y) | PRAME IHC | Known Invasive Melanoma | FU (mo) | |
|---|---|---|---|---|---|---|
| Epidermis | Dermis | |||||
| 1/M | T | 38 | 0 | 0 | − | 113 |
| 2/M | T | 56 | 0 | 0 | + | 76 |
| 3/F | LE | 48 | 1+ | 0 | − | 54 |
| 4/M | T | 42 | 0 | 0 | − | 126 |
| 5/F | T | 46 | 0 | 0 | − | 45 |
| 6/F | T | 50 | 0 | 0 | − | 71 |
| 7/F | T | 20 | 0 | 0 | + | 141 |
| 8/M | LE | 33 | 2+ | 1+ | − | 70 |
| 9/M | T | 66 | 2+ | 2+ | + | 118 |
| 10/F | H&N | 41 | 1+ | 0 | − | 48 |
| 11/F | T | 45 | 0 | 0 | − | 105 |
| 12/F | T | 42 | 1+ | 1+ | − | 138 |
| 13/M | T | 49 | 1+ | 0 | − | 88 |
| 14/F | T | 34 | 0 | 0 | + | 31 |
| 15/M | T | 47 | 1+ | 0 | + | 112 |
| 16M | T | 56 | 4+ | 1+ | − | 125 |
| 17/M | LE | 44 | 3+ | 1+ | + | 93 |
| 18/M | T | 62 | 3+ | 2+ | − | 126 |
| 19/M | T | 32 | 0 | 0 | − | 47 |
| 20/M | T | 65 | 1+ | 1+ | − | 78 |
| 21/M | T | 51 | 1+ | 0 | + | 98 |
| 22/F | LE | 63 | 1+ | 1+ | + | 132 |
| 23/F | T | 50 | 1+ | 0 | − | 72 |
| 24/M | T | 38 | 0 | 0 | − | 74 |
| 25/M | T | 34 | 0 | 0 | − | 96 |
| 26/M | LE | 26 | 1+ | 0 | − | 64 |
| 27/F | T | 42 | 2+ | 1+ | − | 114 |
| 28/F | UE | 32 | 2+ | 1+ | − | 81 |
| 29/M | T | 61 | 1+ | 0 | + | 45 |
| 30/M | LE | 28 | 0 | 0 | + | 80 |
| 31/F | T | 28 | 1+ | 0 | − | 95 |
| 32/M | T | 40 | 1+ | 0 | + | 116 |
| 33/F | LE | 62 | 2+ | 1+ | + | 129 |
| 34/M † | H&N | 70 | 4+ | 4+ | + | 121 |
| 35/F | T | 25 | 0 | 0 | − | 99 |
Publisher’s Note: MDPI stays neutral with regard to jurisdictional claims in published maps and institutional affiliations. |
© 2021 by the authors. Licensee MDPI, Basel, Switzerland. This article is an open access article distributed under the terms and conditions of the Creative Commons Attribution (CC BY) license (https://creativecommons.org/licenses/by/4.0/).
Share and Cite
Gassenmaier, M.; Hahn, M.; Metzler, G.; Bauer, J.; Yazdi, A.S.; Keim, U.; Garbe, C.; Wagner, N.B.; Forchhammer, S. Diffuse PRAME Expression Is Highly Specific for Thin Melanomas in the Distinction from Severely Dysplastic Nevi but Does Not Distinguish Metastasizing from Non-Metastasizing Thin Melanomas. Cancers 2021, 13, 3864. https://doi.org/10.3390/cancers13153864
Gassenmaier M, Hahn M, Metzler G, Bauer J, Yazdi AS, Keim U, Garbe C, Wagner NB, Forchhammer S. Diffuse PRAME Expression Is Highly Specific for Thin Melanomas in the Distinction from Severely Dysplastic Nevi but Does Not Distinguish Metastasizing from Non-Metastasizing Thin Melanomas. Cancers. 2021; 13(15):3864. https://doi.org/10.3390/cancers13153864
Chicago/Turabian StyleGassenmaier, Maximilian, Matthias Hahn, Gisela Metzler, Jürgen Bauer, Amir Sadegh Yazdi, Ulrike Keim, Claus Garbe, Nikolaus Benjamin Wagner, and Stephan Forchhammer. 2021. "Diffuse PRAME Expression Is Highly Specific for Thin Melanomas in the Distinction from Severely Dysplastic Nevi but Does Not Distinguish Metastasizing from Non-Metastasizing Thin Melanomas" Cancers 13, no. 15: 3864. https://doi.org/10.3390/cancers13153864
APA StyleGassenmaier, M., Hahn, M., Metzler, G., Bauer, J., Yazdi, A. S., Keim, U., Garbe, C., Wagner, N. B., & Forchhammer, S. (2021). Diffuse PRAME Expression Is Highly Specific for Thin Melanomas in the Distinction from Severely Dysplastic Nevi but Does Not Distinguish Metastasizing from Non-Metastasizing Thin Melanomas. Cancers, 13(15), 3864. https://doi.org/10.3390/cancers13153864

