Ameliorative Effects of Neutral Electrolyzed Water on Growth Performance, Biochemical Constituents, and Histopathological Changes in Turkey Poults during Aflatoxicosis
Abstract
:1. Introduction
2. Results and Discussion
2.1. Physicochemical Properties of NEW
2.2. Aflatoxin Analyses and NEW Detoxifying Capacity
2.3. Poult Performance
2.4. Biochemical Constituents
2.5. Serum Enzyme Activities
2.6. Relative Organ Weight
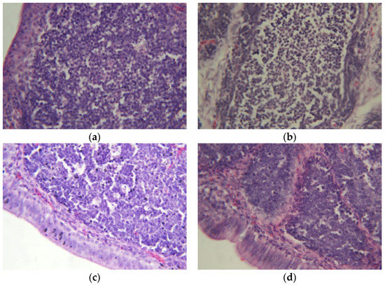
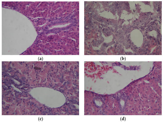
2.7. Gross Morphological Changes and Histopathological Studies
3. Materials and Methods
3.1. Safety Precautions
3.2. Animal Ethics
3.3. Chemicals and Reagents
3.4. Preparation of Neutral Electrolyzed Water (NEW)
3.5. Maize Grain
3.6. Fungal Isolate
3.7. Aflatoxins Production
3.8. Aflatoxin Analyses
3.8.1. Using Immunoaffinity Columns (IACs)
3.8.2. Using Ultra Performance Liquid Chromatography (UPLC)
3.9. Detoxification of the Aflatoxin-Contaminated Maize with NEW and Diet Formulation
3.10. Birds and Housing
3.11. Collection of Samples and Measurements
3.12. Statistical Analysis
Acknowledgments
Author Contributions
Conflicts of Interest
References
- Lala, A.; Oso, A.; Ajao, A.; Idowu, O.; Oni, O. Effect of supplementation with molecular or nano-clay adsorbent on growth performance and haematological indices of starter and grower turkeys fed diets contaminated with varying dosages of aflatoxin B1. Livest. Sci. 2015, 178, 209–215. [Google Scholar] [CrossRef]
- McKenzie, K.; Kubena, L.; Denvir, A.; Rogers, T.; Hitchens, G.; Bailey, R.; Harvey, R.; Buckley, S.; Phillips, T. Aflatoxicosis in turkey poults is prevented by treatment of naturally contaminated corn with ozone generated by electrolysis. Poult. Sci. 1998, 77, 1094–1102. [Google Scholar] [CrossRef] [PubMed]
- Miazzo, R.; Peralta, M.; Magnoli, C.; Salvano, M.; Ferrero, S.; Chiacchiera, S.; Carvalho, E.; Rosa, C.; Dalcero, A. Efficacy of sodium bentonite as a detoxifier of broiler feed contaminated with aflatoxin and fumonisin. Poult. Sci. 2005, 84, 1–8. [Google Scholar] [CrossRef] [PubMed]
- Rauber, R.; Dilkin, P.; Giacomini, L.; de Almeida, C.A.; Mallmann, C. Performance of turkey poults fed different doses of aflatoxins in the diet. Poult. Sci. 2007, 86, 1620–1624. [Google Scholar] [CrossRef] [PubMed]
- Asao, T.; Buchi, G.; Abdel-Kader, M.; Chang, S.; Wick, E.L.; Wogan, G. Aflatoxins B and G. J. Am. Chem. Soc. 1963, 85, 1706–1707. [Google Scholar] [CrossRef]
- Boyacioglu, D.; Gönül, M. Survey of aflatoxin contamination of dried figs grown in Turkey in 1986. Food Addit. Contam. 1990, 7, 235–237. [Google Scholar] [CrossRef] [PubMed]
- Njapau, H.; Muzungaile, E.M.; Changa, R.C. The effect of village processing techniques on the content of aflatoxins in corn and peanuts in Zambia. J. Sci. Food Agric. 1998, 76, 450–456. [Google Scholar] [CrossRef]
- Rustom, I.Y. Aflatoxin in food and feed: Occurrence, legislation and inactivation by physical methods. Food Chem. 1997, 59, 57–67. [Google Scholar] [CrossRef]
- Del Bianchi, M.; Oliveira, C.; Albuquerque, R.; Guerra, J.; Correa, B. Effects of prolonged oral administration of aflatoxin B1 and fumonisin B1 in broiler chickens. Poult. Sci. 2005, 84, 1835–1840. [Google Scholar] [CrossRef] [PubMed]
- Yang, J.; Bai, F.; Zhang, K.; Bai, S.; Peng, X.; Ding, X.; Li, Y.; Zhang, J.; Zhao, L. Effects of feeding corn naturally contaminated with aflatoxin B1 and B2 on hepatic functions of broilers. Poult. Sci. 2012, 91, 2792–2801. [Google Scholar] [CrossRef] [PubMed]
- Fernandez, A.; Verde, M.; Gomez, J.; Gascon, M.; Ramos, J. Changes in the prothrombin time, haematology and serum proteins during experimental aflatoxicosis in hens and broiler chickens. Res. Vet. Sci. 1995, 58, 119–122. [Google Scholar] [CrossRef]
- Quist, C.; Bounous, D.; Kilburn, J.; Nettles, V.; Wyatt, R. The effect of dietary aflatoxin on wild Turkey poults. J. Wildl. Dis. 2000, 36, 436–444. [Google Scholar] [CrossRef] [PubMed]
- Neucere, J.N. Inhibition of Aspergillus flavus growth by silk extracts of resistant and susceptible corn. J. Agric. Food Chem. 1996, 44, 1982–1983. [Google Scholar] [CrossRef]
- Zeringue, H.; Brown, R.; Neucere, J.; Cleveland, T. Relationships between C6–C12 alkanal and alkenal volatile contents and resistance of maize genotypes to Aspergillus flavus and aflatoxin production. J. Agric. Food Chem. 1996, 44, 403–407. [Google Scholar] [CrossRef]
- Milićević, D.R.; Škrinjar, M.; Baltić, T. Real and perceived risks for mycotoxin contamination in foods and feeds: Challenges for food safety control. Toxins 2010, 2, 572–592. [Google Scholar] [CrossRef] [PubMed]
- Guentzel, J.L.; Lam, K.L.; Callan, M.A.; Emmons, S.A.; Dunham, V.L. Reduction of bacteria on spinach, lettuce, and surfaces in food service areas using neutral electrolyzed oxidizing water. Food Microbiol. 2008, 25, 36–41. [Google Scholar] [CrossRef] [PubMed]
- Xiong, K.; Liu, H.J.; Li, L.T. Product identification and safety evaluation of aflatoxin B1 decontaminated by electrolyzed oxidizing water. J. Agric. Food Chem. 2012, 60, 9770–9778. [Google Scholar] [CrossRef] [PubMed]
- Audenaert, K.; Monbaliu, S.; Deschuyffeleer, N.; Maene, P.; Vekeman, F.; Haesaert, G.; De Saeger, S.; Eeckhout, M. Neutralized electrolyzed water efficiently reduces Fusarium spp. in vitro and on wheat kernels but can trigger deoxynivalenol (DON) biosynthesis. Food Control 2012, 23, 515–521. [Google Scholar] [CrossRef]
- Suzuki, T.; Noro, T.; Kawamura, Y.; Fukunaga, K.; Watanabe, M.; Ohta, M.; Sugiue, H.; Sato, Y.; Kohno, M.; Hotta, K. Decontamination of aflatoxin-forming fungus and elimination of aflatoxin mutagenicity with electrolyzed NaCl anode solution. J. Agric. Food Chem. 2002, 50, 633–641. [Google Scholar] [CrossRef] [PubMed]
- Jardon-Xicotencatl, S.; Díaz-Torres, R.; Marroquín-Cardona, A.; Villarreal-Barajas, T.; Méndez-Albores, A. Detoxification of aflatoxin-contaminated maize by neutral electrolyzed oxidizing water. Toxins 2015, 7, 4294–4314. [Google Scholar] [CrossRef] [PubMed]
- Zhang, Q.; Xiong, K.; Tatsumi, E.; Liu, H.-J. Elimination of aflatoxin B1 in peanuts by acidic electrolyzed oxidizing water. Food Control 2012, 27, 16–20. [Google Scholar] [CrossRef]
- Len, S.-V.; Hung, Y.-C.; Erickson, M.; Kim, C. Ultraviolet spectrophotometric characterization and bactericidal properties of electrolyzed oxidizing water as influenced by amperage and pH. J. Food Prot. 2000, 63, 1534–1537. [Google Scholar] [CrossRef] [PubMed]
- Méndez-Albores, A.; Arambula-Villa, G.; Loarca-Piña, M.; Castano-Tostado, E.; Moreno-Martínez, E. Safety and efficacy evaluation of aqueous citric acid to degrade B-aflatoxins in maize. Food Chem. Toxicol. 2005, 43, 233–238. [Google Scholar] [CrossRef] [PubMed]
- Escobedo-González, R.; Méndez-Albores, A.; Villarreal-Barajas, T.; Aceves-Hernández, J.M.; Miranda-Ruvalcaba, R.; Nicolás-Vázquez, I. A theoretical study of 8-chloro-9-hydroxy-aflatoxin B1, the conversion product of aflatoxin B1 by neutral electrolyzed water. Toxins 2016, 8. [Google Scholar] [CrossRef] [PubMed]
- Hamilton, P.; Tung, H.-T.; Harris, J.; Gainer, J.; Donaldson, W. The effect of dietary fat on aflatoxicosis in turkeys. Poult. Sci. 1972, 51, 165–170. [Google Scholar] [CrossRef] [PubMed]
- Giambrone, J.; Diener, U.; Davis, N.; Panangala, V.; Hoerr, F. Effects of aflatoxin on young turkeys and broiler chickens. Poult. Sci. 1985, 64, 1678–1684. [Google Scholar] [CrossRef] [PubMed]
- Klein, P.J.; Buckner, R.; Kelly, J.; Coulombe, R.A. Biochemical basis for the extreme sensitivity of turkeys to aflatoxin B1. Toxicol. Appl. Pharm. 2000, 165, 45–52. [Google Scholar] [CrossRef] [PubMed]
- Arafa, A.S.; Bloomer, R.J.; Wilson, H.R.; Simpson, C.F.; Harms, R.H. Susceptibility of various poultry species to dietary aflatoxin. Brit. Poult. Sci. 1981, 22, 431–436. [Google Scholar] [CrossRef] [PubMed]
- Gumbmann, M.; Williams, S.; Booth, A.; Vohra, P.; Ernst, R.; Bethard, M. Aflatoxin susceptibility in various breeds of poultry. Exp. Biol. Med. 1970, 134, 683–688. [Google Scholar] [CrossRef]
- Mathuria, N.; Verma, R.J. Ameliorative effect of curcumin on aflatoxin-induced toxicity in serum of mice. Acta Pol. Pharm. 2008, 65, 339–343. [Google Scholar] [PubMed]
- Kubena, L.; Edrington, T.; Kamps-Holtzapple, C.; Harvey, R.; Elissalde, M.; Rottinghaus, G. Effects of feeding fumonisin B1 present in Fusarium moniliforme culture material and aflatoxin singly and in combination to Turkey poults. Poult. Sci. 1995, 74, 1295–1303. [Google Scholar] [CrossRef] [PubMed]
- Méndez-Albores, A.; Del Río-García, J.; Moreno-Martinez, E. Decontamination of aflatoxin duckling feed with aqueous citric acid treatment. Anim. Feed Sci. Technol. 2007, 135, 249–262. [Google Scholar] [CrossRef]
- Castegnaro, M.; Hunt, D.; Sansone, E.; Schuller, P.; Siriwardana, M.; Telling, G.; Van Egmond, H.; Walker, E. Laboratory Decontamination and Destruction of Aflatoxins B1, B2, G1, G2 in Laboratory Wastes; IARC Scientific Publications; WHO Publications Centre: Lyon, France, 1980. [Google Scholar]
- Morris, J.C. The acid ionization constant of HOCl from 5 to 35. J. Phys. Chem. 1966, 70, 3798–3805. [Google Scholar] [CrossRef]
- Mendez-Albores, A.; Cardenas-Rodriguez, D.A.; Vazquez-Duran, A. Efficacy of microwave-heating during alkaline processing of fumonisin-contaminated maize. Iran. J. Public Health 2014, 43, 147–155. [Google Scholar] [PubMed]
- Pérez-Flores, G.; Moreno-Martínez, E.; Méndez-Albores, A. Effect of Microwave Heating during Alkaline-Cooking of Aflatoxin Contaminated Maize. J. Food Sci. 2011, 76, T48–T52. [Google Scholar] [CrossRef] [PubMed]
- Horwitz, W. Official Methods of Analysis of AOAC International; AOAC International: Gaithersburg, MD, USA, 2000. [Google Scholar]
- National Research Council. Nutrient Requirements of Poultry, 9th ed.; National Academy Press: Washington, DC, USA, 1994. [Google Scholar]
- Coenen, A.; Smit, A.; Zhonghua, L.; Van Luijtelaar, G. Gas mixtures for anaesthesia and euthanasia in broiler chickens. World Poult. Sci. J. 2000, 56, 226–234. [Google Scholar] [CrossRef]
- SAS/STAT User’s Guide. Version 8. Available online: http://www.okstate.edu/sas/v8/saspdf/stat/pdfidx.htm (accessed on 7 January 2017).





| Treatment | Body Weight Gain (g) | Deviation from CONTROL (%) | FCR (g Feed: g Gain) | MR (%) | ||
|---|---|---|---|---|---|---|
| 6 to 13 days old | 13 to 20 days old | 6 to 20 days old | ||||
| CONTROL | 51.3 ± 4.2 a | 131.9 ± 4.5 a | 183.2 | 0 | 2.021 a | 0 |
| AF | 52.2 ± 1.9 a | 87.6 ± 5.8 b | 139.8 | −24 | 2.841 b | 22 |
| AF + NEW | 50.5 ± 3.3 a | 111.8 ± 7.5 a | 162.3 | −11 | 2.184 a | 3 |
| NEW | 52.2 ± 3.0 a | 131.8 ± 11.9 a | 184.0 | 0 | 2.149 a | 0 |
| Treatment | Total Protein | Albumin | Total Bilirubin | Creatinine | Uric Acid |
|---|---|---|---|---|---|
| (g/dL) | (mg/dL) | ||||
| CONTROL | 2.42 ± 0.64 a | 0.69 ± 0.16 a | 0.28 ± 0.32 a | 0.35 ± 0.04 a | 6.98 ± 1.88 a |
| AF | 1.57 ± 0.07 b | 0.43 ± 0.02 b | 0.22 ± 0.15 a | 0.52 ± 0.10 b | 4.09 ± 0.92 a |
| AF + NEW | 1.97 ± 0.33 a | 0.61 ± 0.23 a | 0.25 ± 0.04 a | 0.35 ± 0.12 a | 4.24 ± 0.17 a |
| NEW | 2.38 ± 0.51 a | 0.79 ± 0.09 a | 0.25 ± 0.19 a | 0.39 ± 0.08 a | 6.26 ± 1.70 a |
| Treatment | AST | ALT | GGT | AP |
|---|---|---|---|---|
| (IU/L) | ||||
| CONTROL | 478.00 ± 8.49 a | 49.55 ± 3.66 a | 7.60 ± 0.75 a | 2360.91 ± 26.35 a |
| AF | 644.32 ± 5.60 b | 54.82 ± 9.83 a | 7.60 ± 0.61 a | 2136.66 ± 59.52 a |
| AF + NEW | 369.01 ± 2.50 a | 67.32 ± 5.55 a | 6.66 ± 0.78 a | 2189.73 ± 33.80 a |
| NEW | 536.44 ± 7.05 a | 50.60 ± 7.17 a | 9.67 ± 0.42 a | 2481.40 ± 85.24 a |
| Treatment | Liver | Kidney | Spleen | Bursa of Fabricius |
|---|---|---|---|---|
| CONTROL | 3.18 ± 0.27 a | 1.02 ± 0.12 a | 0.09 ± 0.01 a | 0.18 ± 0.03 a |
| AF | 2.55 ± 0.10 b | 1.40 ± 0.07 b | 0.08 ± 0.01 a | 0.14 ± 0.02 a |
| AF + NEW | 2.91 ± 0.08 a | 1.07 ± 0.04 a | 0.08 ± 0.01 a | 0.14 ± 0.02 a |
| NEW | 3.16 ± 0.04 a | 0.97 ± 0.05 a | 0.08 ± 0.01 a | 0.14 ± 0.01 a |
© 2017 by the authors. Licensee MDPI, Basel, Switzerland. This article is an open access article distributed under the terms and conditions of the Creative Commons Attribution (CC BY) license ( http://creativecommons.org/licenses/by/4.0/).
Share and Cite
Gómez-Espinosa, D.; Cervantes-Aguilar, F.J.; Del Río-García, J.C.; Villarreal-Barajas, T.; Vázquez-Durán, A.; Méndez-Albores, A. Ameliorative Effects of Neutral Electrolyzed Water on Growth Performance, Biochemical Constituents, and Histopathological Changes in Turkey Poults during Aflatoxicosis. Toxins 2017, 9, 104. https://doi.org/10.3390/toxins9030104
Gómez-Espinosa D, Cervantes-Aguilar FJ, Del Río-García JC, Villarreal-Barajas T, Vázquez-Durán A, Méndez-Albores A. Ameliorative Effects of Neutral Electrolyzed Water on Growth Performance, Biochemical Constituents, and Histopathological Changes in Turkey Poults during Aflatoxicosis. Toxins. 2017; 9(3):104. https://doi.org/10.3390/toxins9030104
Chicago/Turabian StyleGómez-Espinosa, Denise, Francisco Javier Cervantes-Aguilar, Juan Carlos Del Río-García, Tania Villarreal-Barajas, Alma Vázquez-Durán, and Abraham Méndez-Albores. 2017. "Ameliorative Effects of Neutral Electrolyzed Water on Growth Performance, Biochemical Constituents, and Histopathological Changes in Turkey Poults during Aflatoxicosis" Toxins 9, no. 3: 104. https://doi.org/10.3390/toxins9030104
APA StyleGómez-Espinosa, D., Cervantes-Aguilar, F. J., Del Río-García, J. C., Villarreal-Barajas, T., Vázquez-Durán, A., & Méndez-Albores, A. (2017). Ameliorative Effects of Neutral Electrolyzed Water on Growth Performance, Biochemical Constituents, and Histopathological Changes in Turkey Poults during Aflatoxicosis. Toxins, 9(3), 104. https://doi.org/10.3390/toxins9030104

