Next Article in Journal
Degradation of Aflatoxins by Means of Laccases from Trametes versicolor: An In Silico Insight
Previous Article in Journal
The Anatomical Basis of Paradoxical Masseteric Bulging after Botulinum Neurotoxin Type A Injection
 
 
Font Type:
Arial Georgia Verdana
Font Size:
Aa Aa Aa
Line Spacing:
Column Width:
Background:
Article

Deoxynivalenol (DON) Contamination of Feed and Grinding Fineness: Are There Interactive Implications on Stomach Integrity and Health of Piglets?

1
Institute of Animal Nutrition, Friedrich-Loeffler-Institute (FLI), Federal Research Institute for Animal Health, Bundesallee 50, D-38116 Braunschweig, Germany
2
Institute of Pathology, University of Veterinary Medicine Hannover, Foundation, Bünteweg 17, D30559 Hannover, Germany
*
Author to whom correspondence should be addressed.
Toxins 2017, 9(1), 16; https://doi.org/10.3390/toxins9010016
Submission received: 27 September 2016 / Revised: 10 December 2016 / Accepted: 26 December 2016 / Published: 1 January 2017
(This article belongs to the Section Mycotoxins)

Abstract

:
The common feed contaminant deoxynivalenol (DON) was reported to influence the morphology of the pars nonglandularis (PN) of porcine stomach. Moreover, finely ground feed is known to trigger the development of ulcers and other pathologies of PN while coarsely ground feed protects from such lesions. The interactions between grinding fineness and DON contamination of feed were not examined so far. Therefore, both finely and coarsely ground feeds were tested either in the absence or presence of a DON contaminated wheat on growth performance and health of rearing piglets, including stomach integrity. DON contamination significantly reduced feed intake and serum albumin concentration with this effect being more pronounced after feeding the coarsely ground feed. Albeit at a higher level, albumin concentration was also reduced after feeding the finely ground and uncontaminated feed. Finely ground and DON-contaminated feed caused a significantly more pronounced lymphoplasmacytic infiltration both of PN and pars glandularis, partly paralleled by lymph follicle formation and detritus filled foveolae and tubes suggesting a local immune response probably triggered by epithelial lesions. It is concluded that DON contamination of feed exacerbates the adverse effects of finely ground feed on stomach mucosal integrity.

1. Introduction

Deoxynivalenol (DON) is a common contaminant of pig feed mainly originating from Fusarium-infected cereal grains. Under practical feeding conditions, most prominent toxic effects of DON include a decrease in feed intake causing a reduced live weight gain and contributing to the DON-associated immune-modulation [1]. Besides, DON effects on stomach weight and pathology have been reported [2,3,4,5,6]. Gross macroscopical findings of the pars nonglandularis (seu pars oesophagea, pars proventricularis) were described as a less extended area, a thicker appearance and a smaller degree of folding [4,6]. These alterations were suggested to reduce the susceptibility of pigs to ulceration [6].
Porcine stomach ulcers predominantly affecting the pars nonglandularis are a common organ pathology observed in modern pig production systems. Evaluations from slaughterhouses suggest that 20% of pigs show erosions and further 60% pre-ulcerative parakeratotic lesions [7]. Amongst others, feed particle size was described as an important predisposing factor for gastric ulcera [7]. Feed particle size influences mixing of gastric chyme and stomach filling whereby finely ground feed accelerates stomach emptying and increases the time in which pars nonglandularis remains unprotected from hydrochloric acid and fundus and duodenum originating digestive juices [7]. Not only an accelerated gastric emptying due to feeding finely ground feed but also the gastric filling itself has been identified as main risk factors for the development of gastric lesions [7]. As DON contamination of feed decreases feed intake, it might be assumed that gastric filling is also reduced. Taking into consideration the anorectic effect of DON and the mentioned DON-associated gross-macroscopical alterations of the pars nonglandularis it seems reasonable to hypothesize that DON might interfere with the feed particle size in developing stomach lesions in pigs. Besides possible implications of grinding fineness and DON contamination on stomach integrity, other nutritional consequences also have to be considered. For example, due to coarse ground feed a higher proportion of undigested nutrients might be shifted to the hindgut [8] giving rise to an altered fermentation pattern in this segment. Moreover, Fusarium infection associated physico-chemical alterations, including cell-wall pre-digestion and altered enzymatic activities of grain, could also contribute to regional changes in nutrient digestion and fermentation [9,10]. Therefore, main endproducts of microbial fermentation such as volatile fatty acids (VFA) in chyme of small and large intestine might reflect alterations in the sites of nutrient utilization.
To test these hypotheses, two diet types differing in particle size distribution, either in the absence or presence of a Fusarium toxin contaminated wheat containing mainly DON, were fed to rearing piglets. As endpoints we investigated growth performance, fermentative pattern in intestinal chyme and health parameters, including gross-macroscopic appearance and histological lesions of stomach.

2. Results

2.1. Particle Size Distribution of the Diets

Using two different hammer mill screen sizes for grinding the feedstuffs of the two diet types resulted in clearly different particle size distributions. Finely ground feed contained approximately twice as much particles lower than 125 µm in size compared to coarsely ground feed (Table 1) while larger particles (>710 µm) were approximately 1/3 less abundant in the finely ground diets. Inclusion of Fusarium toxin contaminated wheat instead of control wheat appeared to increase the proportion of large particles (>710 µm) at the expense of small particles (<125 µm). Interestingly, this effect occurred when feedstuffs were ground both with the small and large sized hammer mill screen.

2.2. Nutrient Composition and DON Concentration of the Diets

Irrespective of grinding fineness, small differences in nutrient composition were noticed between the diets containing control wheat and Fusarium toxin contaminated wheat. Therefore, neutral detergent fiber (aNDFOM) content of the diets containing the Fusarium toxin contaminated wheat was slightly lower compared to the diets containing the control wheat.
Preliminary DON analysis of the contaminated wheat resulted in a concentration of 20 mg/kg whereby a theoretical DON concentration of 5 mg/kg diet was expected. The analyzed DON concentrations were slightly lower than the targeted DON concentration (−1.4 and −1.6 mg/kg for FUS-fine and FUS-coarse, respectively).

2.3. Growth Performance

Feed intake was significantly stimulated in piglets fed the CON-coarse diet compared to both FUS-diets within the 1st 3 weeks of the experiment (Table 2). During the last two weeks of the study the piglets of group CON-fine consumed more feed than piglets fed the FUS-diets. Taking the whole five weeks together, both control groups consumed significantly more feed than their FUS-fed counterparts. Live weight gain mostly mirrored the differences in feed intake between the groups albeit the significance relationships slightly differed. Here, the feed structure tended to influence live weight gain in the last two weeks of the experiment (p = 0.062) in addition to the significant effect of the cereal type (p = 0.001). Feed to gain ratio was significantly influenced by feed structure and in tendency by cereal type in an interactive manner (pCTxStr = 0.092) when evaluated over the whole experiment. Feeding of FUS-coarse diet significantly increased feed to gain ratio compared to FUS-fine while such an effect was not observed in the CON-diets.

2.4. Blood Clinical-Chemical Traits and DON Residues

While total bilirubin concentration, ASAT, GLDH and GGT activities remained uninfluenced, total protein and albumin concentration were significantly decreased in piglets fed the FUS-diets (Table 3). Moreover, feed structure additionally decreased albumin concentration in piglets fed the FUS-coarse diet when compared to the FUS-fine diet. A similar feed structure related effect was observed in the CON-coarse group compared to their CON-fine counterpart albeit this decrease occurred at a higher level. DON and de-DON concentrations in serum clearly reflected the cereal type without any further influence of the feed structure.
Because both grinding fineness and cereal type affected serum albumin concentration distinctively, the relationships between serum albumin concentration and serum DON concentration as an indicator of DON exposure resulting from the consumption of the FUS-diets was examined regressively. Here, two linear regression analyses were performed, including either both finely ground diets (CON-fine and FUS-fine) or both coarsely ground diets (CON-coarse and FUS-coarse). The results revealed that the albumin concentration decreased significantly more steeply with each increase in serum DON concentration for groups fed the finely ground diets compared to their coarsely ground counterparts (Figure 1).

2.5. Cell Culture Tests

Absorbance of unstimulated peripheral blood mononuclear cells (PBMC) was not influenced by treatments while ConA-stimulation resulted in significantly higher absorbance due to feeding the FUS-diets (pCT = 0.028) and a tendency for an increase in groups fed coarsely ground diets (pStr = 0.109, Figure 2). The corresponding stimulation indices differed not significantly between groups and amounted to 2.9 ± 1.5, 2.8 ± 0.7, 4.3 ± 2.2 and 3.0 ± 1.1 in groups CON-fine, CON-coarse, FUS-fine and FUS-coarse, respectively.

2.6. Ingesta pH-Values

pH-values were neither influenced by cereal type nor by feed structure (Table 4). On average, pH-value in stomach chyme amounted to 3.55 and increased continuously from duodenum to jejunum and ileum to a value of 6.63. In caecum, a drop of approximately 0.76 pH-units compared to ileum was noticed while pH-values increased again in colonic chyme and rectal feces to 6.33 and 6.54, respectively.

2.7. Microbial Fermentation Profile in Jejunum and Caecum

Total volatile fatty acid (VFA) concentrations were approximately 6-fold higher in caecal chyme compared to jejunal ingesta when evaluated across treatments (Table 5). Inclusion of Fusarium toxin contaminated instead of uncontaminated control wheat in the diets resulted in an approximately 38% lower concentration of total VFA in caecal chyme while such effects were not observed in jejunum. This explained the significant interactions between intestinal segment and cereal type. Feed structure was without influence with regard to VFA. In contrast, the fermentative pattern was solely influenced by the intestinal segment with the exception of the proportion of butyric acid (C4). While in caecum the proportion of acetic acid (C2) of total VFA was approximately 23% lower compared to jejunum, the share of propionic acid (C3) was 133% higher in caecum. The butyric acid proportion was comparable in jejunum and caecum but was influenced by an interaction between intestinal segment and feed structure caused by an increase after feeding the coarsely ground control diet while the opposite was observed in the diets containing the Fusarium toxin contaminated wheat. Interestingly, this effect was detected both in jejunum and in caecum. The percentages of the minor fatty acids valeric acid (C5), iso-C5 and iso-C4 were approximately 11.4, 2.3 and 2.2-fold higher in caecum than in jejunum and remained uninfluenced by treatments.

2.8. Organ Weights

Of the relative organ weights, only the empty stomach weight was significantly influenced by treatments (Table 6). Feeding of the coarsely ground diets resulted in an increased weight whereby this effect appeared to be more pronounced when the diet FUS-coarse was fed.

2.9. Gross Macroscopical Evaluation of Stomach Mucosa and Histopathology of Pars nonglandularis and Pars glandularis

Gross macroscopical inspection of stomach mucosa revealed no obvious treatment effects. Only 1 pig out of group CON-fine, 2 pigs of group CON-coarse and 1 pig of group FUS-coarse were characterized by mild changes, partial bile staining and hyperkeratosis in the pars nonglandularis (score 1) while all other pigs, including group FUS-fine, were visually inconspicuous.
In contrast to gross macroscopical findings, pars nonglandularis and pars glandularis of pigs fed FUS-fine were significantly more infiltrated by lymphocytes compared to group FUS-coarse while a higher scoring variation was noticed within group CON-fine (Table 7). In both stomach regions, the lymphoplasmacytic infiltration resulted in follicular structures partially extending from epithelium mucosae to tela submucosa and tunica muscularis (Figure 3). Such follicles were more abundant in groups FUS-fine and CON-fine than in group FUS-coarse.
Two pigs of group FUS-fine and one of group CON-fine impressed by several detritus filled foveolae and tubes (Figure 3) in the pars glandularis. In addition, in one of the two affected pigs of group FUS-fine, an intraluminal accumulation of fibrinous material with neutrophilic granulocytes, partially as aggregates, and bacteria was noticed (Figure 3).

2.10. Principal Component Analysis (PCA)

The PCA was performed to visualize possible relationships between 15 variables previously shown to be significantly influenced by treatments or closely related to the significant parameters. PCA was based on correlations. The results revealed that the first two components (PC 1 and PC 2) extracted approximately 45% of the total variance. The scree plot as a visualization between successively extracted components and the corresponding eigenvalues showed a distinct break point after extraction of 5 principal components. This is accepted to indicate the transition from the most important components to those not contributing significantly to the total explained variance. Moreover, the eigenvalue of 1.0 as the mean value of all 15 eigenvalues also corresponded to a total of five extracted components that cumulatively explained approximately 76% of the total variance.
Projecting the additional variables into the variable space (Figure 4) showed that both Fusarium toxin contaminated diets, containing mainly DON, (*FUS) and grinding fineness (*GF) were highly positively correlated to PC 1 and clustered together with serum DON concentration (DON), proliferation of PBMC after ConA-stimulation (STIM) and stomach weight relative to body weight (STO). Further clusters were formed by lymphoplasmacytic infiltration of pars nonglandularis (LPZI_PN), lymphoplasmacytic infiltration of pars glandularis (LPZI_PG), stimulation ability of PBMC after ConA-stimulation relative to unstimulated PBMC (SI) and pH-value in stomach chyme (STO_pH) which correlated moderately positive with PC 2.
Body weight at day 35 of experiment (BW), serum protein concentration (PROT) and serum albumin concentration (ALB) formed a further cluster which correlated strongly negative with PC 1. Chyme characteristics correlated moderately negative with PC 2 and partly with PC 1.
Projecting the cases (i.e., individual pigs) based on the evaluated 15 variables clearly separated the CON-fine group from groups FUS-fine and FUS-coarse. The latter two groups apparently did not form distinct clusters (Figure 4).

3. Discussion

DON is well known for its anorectic effects in pigs. Literature compilation revealed a decrease in feed intake by approximately 5% per each 1 mg increase in dietary DON concentration exceeding the critical dietary concentration of 0.9 mg/kg [1,11]. In the present experiment the piglet groups fed the DON-contaminated diets (FUS-fine and FUS-coarse) consumed approximately 20% less feed than their control counterparts over the entire experimental period of 35 days and roughly approached the predicted decrease.
If a lower feed consumption is associated with a lower gut fill, then it seems reasonable to assume that general stomach filling would also be reduced in DON-fed piglets. Taking further into account that finely ground feed additionally contributes to an accelerated gastric emptying, group FUS-fine would be at a higher risk to develop gastric lesions than all other groups as gastric filling is generally considered as a risk factor [7]. This might be due to a disproportion between gastric acid production and a parallel depletion of the gastric buffering ingesta [12]. Stomach filling might be associated to the weight of this organ. In the present experiment, the observed higher relative stomach weights due to feeding coarsely ground compared to finely ground feed agree with literature reports (e.g., [13,14]). They are discussed as a reactive muscle hypertrophy resulting from the higher physical efforts to transport a chyme with a higher dry matter content as it has been observed after feeding coarsely ground feed [14,15]. The increased relative stomach weight due to feeding coarsely ground feed occurred at a higher level when the diet contained the DON-contaminated wheat. An increased relative stomach weight due to feeding of DON contaminated diets was also previously reported [2,6]. This effect might be due to the fact that piglets fed DON-contaminated diets consumed less feed, had lower live weight gain and consequently lower body weights at the end of the experiment. As visceral organs grow faster than the rest of the body, especially after weaning, the apparently increased relative stomach weights might simply reflect an allometric effect.
Neither grinding fineness nor DON contamination of the diet influenced the mild gross macroscopical lesions (Score 1). These results are in contrast to other findings where finely ground feedstuffs caused pronounced gross-macroscopical stomach lesions including ulcera (e.g., [13,16,17,18,19,20,21]). The failure to induce overt ulcers in the present experiment might be due to several variables known or discussed as triggering factors, such as duration of the study, age of the pigs, diet composition and feeding technique, exposure to pathogens and other stressors [7]. The incidence of gastric ulcers might also include a genetic component as suggested by Flatlandsmo and Slagsvold [22] who observed differences between sire groups used in their experiments.
While gross macroscopical findings revealed no differences amongst the groups of the present experiment the histological evaluation showed that both pars nonglandularis and pars glandularis were characterized by a more pronounced lymphoplasmacytic infiltration in groups FUS-fine and CON-fine when compared to group FUS-coarse.
Regarding pars glandularis, adequate regulation of the mucus layer is an important part of the first-line defense mechanisms against pathogens and antigens potentially harmful for the epithelium and the organism. Therefore, any imbalances in mucus turnover could trigger a local immune response resulting in recruitment and proliferation of immune cells. Feeding of coarse meal compared to pelleted feed was shown to enhance the proportion of acid mucins in the intestines which was discussed to have consequences for the adherence capability of bacteria [14]. Although this effect was not demonstrated for stomach mucus, it seems reasonable to assume that grinding fineness might have consequences for the mucus composition and thus protective properties in this part of the digestive tract. Moreover, different particle sizes were suggested to result in different epitope patterns which could contribute to local immune reactions [23].
At least the more pronounced lymphoplasmacytic infiltration of the gastric mucosa along with a higher abundance of lymphocyte follicles in groups fed the finely ground feed suggest that the local immune system had to tackle with invaded antigens.
The detritus filled foveolae and tubes observed in these groups could be interpreted as necrotic lesions of epithelial cells giving rise to a facilitated entry of antigens and the triggering of the local immune response.
An increased incidence of lymphoplasmacytic infiltration of the pars nonglandularis without gross-macroscopical alterations was also observed by Madson, et al. [24] after feeding a diet with a DON concentration of 5 mg/kg whereby grinding fineness was not addressed in this study. DON is known to modulate immune responses in pigs [1,25], whereat a stimulation or a depression might evolve, depending on dose and duration of exposure [26]. In the present experiment, we examined the responsiveness of PBMC to a mitogenic stimulus ex vivo and found these circulating immune cells to react with a higher proliferation when DON-contaminated wheat was fed. Therefore, the question remains whether this DON-associated immune-stimulating effect in circulating PBMC also occurred locally in the stomach mucosa and was responsible for the higher incidence of lymphocyte follicles observed in group FUS-fine. Additionally, the results of the PCA would support an association between local immune response and stimulation ability of circulating PBMC as indicated by clustering together with lymphoplasmacytic infiltration of pars nonglandularis, lymphoplasmacytic infiltration of pars glandularis and pH-value in stomach chyme. The involvement of the pH-value in stomach chyme is pathogenetically interesting as no significant treatment effects were observed for this parameter.
While our findings did not reveal any effect of treatments on chyme pH-values others found a significantly higher pH-value in caecal content of pigs fed coarsely ground feed [27]. This effect was associated with a lower dry matter content whilst the starch content remained unaltered. In contrast, an increased starch inflow into the caecum has been deduced from higher starch contents in caecal chyme of piglets fed coarsely ground feed [8]. This was associated with a significant increase in lactobacilli and Gram-positive cocci and proposed to alter the fermentative profile in the hindgut in favor of propionic and butyric acid. Our results suggest that the effect of grinding fineness on the fermentative pattern in caecum is generally less pronounced and further influenced by Fusarium infection of the wheat. The increase in butyric acid in caecum of group CON-coarse compared to group CON-fine resulted both from a rise in its proportion and from an enhanced total VFA concentration. The decrease in group FUS-coarse compared to its finely ground counterpart, however, was solely due to a reduced butyric acid proportion. As similar relationships for butyric acid were observed in jejunal chyme it might be deduced that dietary treatments affected the microbial community in small and large intestine similarly.
The markedly lower concentration of total VFA measured in caecal chyme of piglets fed the diets containing the DON-contaminated wheat occurred independently of grinding fineness. This strongly suggests that it might be simply a reflection of the lower substrate flow to the caecum due to feed intake reduction observed both in group FUS-fine and FUS-coarse at the same order of magnitude. Besides feed intake level and associated substrate flows to the caecum a possible involvement of physico-chemical alterations might have contributed to the lower total VFA-concentrations measured in caecal chyme of FUS-fed piglets. In particular, increased activities of non-starch-polysaccharide (NSP) hydrolyzing enzymes were detected as a result of Fusarium infection whereby the proportion of soluble NSP and extract viscosity was enhanced [9]. Moreover, not only cell wall cleaving enzyme activities were augmented but also amylase and protease activities were increased. These effects might have consequences for both the accessibility of endogenous enzymes to their substrates within the small intestine and the proportion of nutrients escaping digestion and absorption up to the terminal ileum and thus entering the large intestine. Clinical-chemical serum characteristics revealed clear treatment effects both on total protein and albumin concentration whilst indicators of hepatocyte integrity such as GLDH, GGT, ASAT and total bilirubin remained inconspicuous. The decreased serum protein concentration observed in FUS-fed piglets independently of grinding fineness might be caused by a compromised protein synthesis in the liver as the main site of synthesis of serum proteins. Other reasons for a reduced serum protein concentration might include a blood loss which can be observed due to gastric ulcers. Moreover, a decreased serum protein concentration might also be caused by a relative hyper-hydration induced by an excessive intake of water which, however, cannot be proved as water consumption was not recorded. Furthermore, as gross macroscopic inspection of gastric mucosa did not reveal any overt ulcers, a blood loss into the gastric lumen as a cause for the decreased protein concentration seems less probable. The DON-associated decrease in serum protein concentration which appeared to be independent of grinding fineness can only partly be explained by the lower albumin content as it further decreased in group FUS-coarse compared to group FUS-fine. This grinding fineness associated effect was also observed after feeding the CON-diets albeit at a higher level. Moreover, low background DON-exposure (CON-fine vs. CON-coarse) was associated with larger differences in serum albumin concentrations than a higher DON exposure (FUS-fine vs. FUS-coarse). Looking at the effects of grinding fineness in particular, the steeper negative slope of the regression of serum DON concentration on albumin concentration in piglets fed finely ground diets (CON-fine and FUS-fine) compared to their counterparts (CON-coarse and FUS-coarse) suggests that albumin concentration responded more sensitively to increasing DON exposure when DON containing diets were fed in a finely ground form.
While the effects of DON on albumin synthesis were inconsistent and demonstrated either a decrease [28] or no effect [29], grinding fineness was hardly examined with regard to albumin and protein concentration which were shown to remain uninfluenced [27]. Similarly, feeding of fattening pigs with DON-contaminated diets up to a concentration of 1.12 mg DON/kg, either in a mash or pelleted form, did not influence serum protein concentration [30]. Despite these controversial literature reports it seems to be necessary to examine the possible underlying mechanisms of the clear treatment effects on albumin concentration that were observed in the present experiment in more detail. Thus, direct measurement of albumin synthesis using isotope techniques could clarify whether differences in serum albumin concentration are due to a variation in synthesis. Moreover, recording of water consumption together with indicators of water balance could provide information and help explain treatment effects on serum albumin concentration.
In conclusion, DON contamination of feed exacerbates the adverse effects of finely ground feed on stomach mucosal integrity of rearing piglets with possible consequences for the local and systemic immune system. Consequently, finely ground feed and DON might influence the immune system in an interactive manner. From a preventive viewpoint, it is recommended to avoid a too fine particle size distribution and to minimize DON contamination of feed for rearing piglets.

4. Materials and Methods

The piglet experiment was conducted according to the European Community regulations concerning the protection of experimental animals and the guidelines of the Regional Council of Braunschweig, Lower Saxony, Germany (File number 509.42502/09-01.03).

4.1. Experimental Design

The experiment was planned according to a complete two by two 2-factorial design and included two diets containing Fusarium-toxin contaminated wheat (FUS) at a proportion of 20% to target a DON concentration of 5 mg/kg while the other two diets contained uncontaminated control wheat instead (CON). The intended DON concentration of 5 mg/kg was more than five times higher than the guidance value for the critical dietary DON concentration of 0.9 mg/kg [11] in order to ensure adverse effects as a precondition for studying the interactions between dietary DON-contamination and grinding fineness.
Components of the two diet types were ground on a hammer mill either with a sieve width of 5 mm (coarse) or 3 mm (fine) with the same rotational speed. The four resulting diets and the piglet groups fed therewith were designated as CON-fine, CON-coarse, FUS-fine and FUS-coarse.

4.2. Piglet Experiment

Crossbred piglets (“Bundeshybridzuchtprogramm”, BHZP, Germany) weaned at an age of 21 days were used for the experiment. A total of 16 castrated piglets were assigned to each of the four treatment groups. Four piglets were kept in each of the 16 slatted floor pens in an air-conditioned sub-unit of the pig house. The floor pens had a width of 85 cm, a depth of 173 cm and they were equipped with two nipple drinkers and an automatic feeder for dry feed with a width of 70 cm at the front of the box. The stable was air-conditioned and temperature was adjusted to 32 °C on arrival of the piglets and thereafter continuously decreased to 20 °C. The light–dark cycle included 12 h light and 12 h dark. Piglets were clinically monitored during the experiment.
The experiment started after a period of 10 d in which piglets were fed a commercial diet for weaned piglets. The mean piglet weights of the CON-fine, CON-coarse, FUS-fine and FUS-coarse groups were 7.8 ± 1.5 kg, 7.7 ± 1.1 kg, 7.7 ± 1.2 kg, and 7.7 ± 1.1 kg, respectively, at the beginning of the experiment. The experiment lasted 5 weeks and covered the typical period for rearing piglets under practical conditions. Individual body weight and feed consumption per box were recorded weekly. Diets were provided in a dry meal form and offered for ad libitum consumption.
In addition, after 3 weeks of feeding the experimental diets, blood was collected from superficial neck vessels from 6 piglets per group. Serum and heparinized plasma were used for clinical-chemical analyses and for the ex vivo viability and activity assays performed with PBMC.
At the end of the experiment, these 6 piglets of each group sampled previously for blood were slaughtered by bleeding after electrical stunning. Stomach, duodenum, jejunum, ileum, caecum, colon and rectum were quickly localized in situ, incised in the fundus region of the stomach and in the approximate mid third of the intestinal segments and pH-values were measured by using a pH-meter equipped with an insertion electrode (WTW pH 530, BLB, Brunswick, Germany). Ingesta was collected from the corresponding sites of the jejunum and the caecum and either used fresh for ammonia-N determination or kept frozen at −20 °C for later analysis of volatile fatty acids. Finally, the weights of the emptied stomach, of liver, kidneys, spleen and heart were recorded. Stomach mucosa was grossly inspected macroscopically and graded according to a scoring system after Betscher [31]: score 0—intact epithelium, smooth and glistening white surface; score 1—mild changes, partially bile staining and hyperkeratosis; score 2—moderate degree of hyperkeratosis and bile staining over entire surface; score 3—high-degree hyperkeratosis; and score 4—severe lesions and scarring. Finally, pars nonglandularis and adjacent pars glandularis of the cardia glandular region of the stomach were excised and further processed for histology.

4.3. Analyses

4.3.1. Diets

Particle size distribution of the diets was determined by dry sieve analyses according to DIN 66165-1:1987-04 [32] and DIN 66165-2:1987-04 [33] employing sieves according to DIN ISO 3310/1 [34].
DON in diet samples was analyzed by high performance liquid chromatography (HPLC) coupled to a diode array detector (DAD) after a cleanup with immuno-affinity columns (IAC) (DONprep™, R-Biopharm Rhone Ltd., Darmstadt, Germany) according to slightly modified method as recommended by R-Biopharm Rhone [35]. The detection limit was 0.03 mg/kg and the recovery rate amounted to approximately 89%.
Nutrients in diets were analyzed according to the methods of the VDLUFA (Verband Deutscher Landwirtschaftlicher Untersuchungs- und Forschungsanstalten, Germany). In particular, the following methods were applied: No. 3.1 for dry matter (DM), No. 4.1.1 for Kjeldahl Nitrogen, No. 5.1.1 for ether extract, No. 6.1.1 for crude fiber, and No. 6.5.2 for aNDFOM [36].

4.3.2. Chyme

Ammonia-N in fresh chyme was determined by a modified Conway-method as described in detail by Voigt and Steeger [37], using a micro-diffusion vessel. Volatile fatty acids in chyme were determined according to Geissler, et al. [38] by using a gas chromatograph (Hewlett Packard 5580, Avondale, PA, USA) with a flame ionization detector.

4.3.3. Blood

Plasma samples were analyzed for DON and de-epoxy-DON (de-DON) by using an HPLC method as described by Valenta, et al. [39] with modifications. In brief, samples were incubated overnight with β-glucuronidase (Type H2, Sigma-Aldrich Chemie GmbH, Taufkirchen, Germany) at a pH of 5.5 and a temperature of 37 °C. Thereafter, samples were extracted with ethyl acetate using disposable ChemElut® columns for liquid/liquid extraction containing diatomaceous earth (Varian Deutschland GmbH, Darmstadt, Germany). Extracts were cleaned up using IAC (DONtest™ of VICAM, Klaus Ruttmann GmbH, Hamburg, Germany). HPLC was equipped with an UV-detector for detecting DON and de-DON. The detection limits for both substances were approximately 2 ng/mL with mean recoveries of 87%–98% and 88%–101% for DON and de-DON, respectively.
Total bilirubin, total protein, albumin, aspartat-aminotransferase (ASAT), glutamat-dehydrogenase (GLDH), and γ-glutamyl transferase (GGT) were determined in serum samples by using an automatic clinical chemistry analyser (Eurolyser CCA180, Eurolab, Austria).
For ex vivo examination of basal metabolic activity and concanavalin A (ConA) stimulated metabolic activity PBMC were isolated from heparinized blood, diluted with phosphate buffered saline (PBS) at a ratio of 1:1, by density gradient centrifugation using Biocoll separation solution (Biochrome AG, Berlin, Germany). Metabolic activity was determined by the 3-[4,5-dimethylthiazol-2-yl]-2,5-diphenyl-tetrazolium bromide (MTT) as described elsewhere [40,41]. The results of the test are reported as optical density of the ConA-stimulated and non-stimulated cells, and as ratio between both measures, defined as stimulation index (SI).

4.3.4. Histology

Tissue samples of pars nonglandularis and pars glandularis of the stomachs were fixed in a 10% formaldehyde solution buffered with CaCO3 for at least 24 h and embedded in paraffin. Tissues were then sectioned at a thickness of 5 µm and stained with hematoxylin and eosin (H & E) for histological examination.
The tissue sections were visually graded according to the occurrence of lymphoplasmacytic infiltration (score 1, 2 and 3 for low, medium and high degree, respectively) blind to the treatments. Scores are reported as cumulative scores of two evaluated slides.
For technical reasons, the samples of group CON-coarse were lost. Therefore, only groups CON-fine, FUS-coarse and FUS-fine were evaluated.

4.4. Calculations and Statistics

Performance parameters, clinical-chemical serum characteristics, results of the cell culture tests and organ weights were evaluated according to a complete two by two 2-factorial design of analysis of variance (ANOVA) with cereal type (CT) (uncontaminated control wheat, CON, Fusarium-toxin contaminated wheat, FUS) and structure, resulting from different sieve widths of the hammer mill used for feedstuff grinding, (Str) (fine, coarse) and the interactions between CT and Str as fixed factors. Chyme characteristics (pH, volatile fatty acids) were analyzed according to a complete two by two by two 3-factorial design ANOVA with the intestinal segment (Seg, jejunum, caecum) and the corresponding interactions as additional fixed factors. A “Repeated” statement was applied to account for possible dependencies of a specific parameter measured both in jejunum and caecum of the same animal.
Results are reported as LSmeans and pooled standard error of means (PSEM). Tukey test was used for post-hoc testing of differences between LSmeans in case of significance of the fixed factors.
De-DON concentrations in serum and histological lesion scores were not normally distributed and were evaluated by the non-parametric Mann–Whitney U test. Corresponding results were presented as medians and ranges (minimum–maximum).
Finally, to visualize the relationships between the large number of variables in a two-dimensional space, a principal component analysis (PCA) based on correlations was performed additionally.
The relationships between serum DON and albumin concentration were further examined by linear regressions and slope comparisons.
All statistics were performed using STATISTICA 12.0 (StatSoft, Inc. 2014, Tulsa, OK, USA).

Acknowledgments

The assistance of the co-workers of the Institutes of Animal Nutrition, Friedrich-Loeffler-Institute Braunschweig, Germany, and of Pathology, University of Veterinary Medicine Hannover, Foundation, Germany, is gratefully acknowledged.

Author Contributions

S.D. and S.K. conceived and designed the experiment; S.D., A.B. and S.K. performed the experiment; A.Bk. performed histopathology; S.D. wrote the paper.

Conflicts of Interest

The authors declare no conflict of interest.

References

  1. Döll, S.; Dänicke, S. The Fusarium toxins deoxynivalenol (DON) and zearalenone (ZON) in animal feeding. Prev. Vet. Med. 2011, 102, 132–145. [Google Scholar] [CrossRef] [PubMed]
  2. Döll, S.; Gericke, S.; Dänicke, S.; Raila, J.; Ueberschär, K.H.; Valenta, H.; Schnurrbusch, U.; Schweigert, F.J.; Flachowsky, G. The efficacy of a modified aluminosilicate as a detoxifying agent in Fusarium toxin contaminated maize containing diets for piglets. J. Anim. Physiol. Anim. Nutr. 2005, 89, 342–358. [Google Scholar] [CrossRef] [PubMed]
  3. Rotter, R.G.; Thompson, B.K.; Trenholm, H.L.; Prelusky, D.B.; Hartin, K.E.; Miller, J.D. A preliminary examination of potential interactions between deoxynivalenol (DON) and other selected Fusarium metabolites in growing pigs. Can. J. Anim. Sci. 1992, 72, 107–116. [Google Scholar] [CrossRef]
  4. Friend, D.W.; Trenholm, H.L.; Young, J.C.; Thompson, B.K.; Hartin, K.E. Effect of adding potential vomitoxin (deoxynivalenol) detoxicants or a F. graminearum inoculated corn supplement to wheat diets fed to pigs. Can. J. Anim. Sci. 1984, 64, 733–741. [Google Scholar] [CrossRef]
  5. Friend, D.W.; Trenholm, H.L.; Thompson, B.K.; Prelusky, D.B.; Hartin, K.E. Effect of deoxynivalenol (DON)-contaminated diet fed to growing-finishing pigs on their performance at market weight, nitrogen retention and don excretion. Can. J. Anim. Sci. 1986, 66, 1075–1085. [Google Scholar] [CrossRef]
  6. Friend, D.W.; Trenholm, H.L.; Thompson, B.K.; Fiser, P.S.; Hartin, K.E. Effect of feeding diets containing deoxynivalenol (vomitoxin)-contaminated wheat or corn on the feed consumption, weight gain, organ weight and sexual development of male and female pigs. Can. J. Anim. Sci. 1986, 66, 765–775. [Google Scholar] [CrossRef]
  7. Friendship, R.M. Gastric ulceration in swine. J. Swine Health Prod. 2004, 12, 34–35. [Google Scholar]
  8. Kamphues, J.; Bruning, I.; Papenbrock, S.; Mossler, A.; Wolf, P.; Verspohl, J. Lower grinding intensity of cereals for dietetic effects in piglets? Livest. Sci. 2007, 109, 132–134. [Google Scholar] [CrossRef]
  9. Matthäus, K.; Dänicke, S.; Vahjen, W.; Simon, O.; Wang, J.; Valenta, H.; Meyer, K.; Strumpf, A.; Zieseniß, H.; Flachowsky, G. Progression of mycotoxin and nutrient concentrations in wheat after inoculation with Fusarium culmorum. Arch. Anim. Nutr. 2004, 58, 19–35. [Google Scholar] [CrossRef] [PubMed]
  10. Dänicke, S.; Valenta, H.; Matthes, S. On the interactions between Fusarium toxin-contaminated wheat and nonstarch polysaccharide hydrolyzing enzymes in diets of broilers on performance, intestinal viscosity, and carryover of deoxynivalenol. Poult. Sci. 2007, 86, 291–298. [Google Scholar] [CrossRef] [PubMed]
  11. European Commission. Commission recommendation of 17 August 2006 on the presence of deoxynivalenol, zearalenone, ochratoxin a, T-2 and HT-2 and fumonisins in products intended for animal feeding. Off. J. Eur. Union 2006, 229, 7–9. [Google Scholar]
  12. O’Brien, J.J. Gastric ulceration (of the pars oesophagea) in the pig—A review. Commonw. Bur. Anim. Health Vet. Bull. 1969, 39, 75–82. [Google Scholar]
  13. Liermann, W.; Berk, A.; Böschen, V.; Dänicke, S. Effects of particle size and hydro-thermal treatment of feed on performance and stomach health in fattening pigs. Arch. Anim. Nutr. 2015, 69, 455–472. [Google Scholar] [CrossRef] [PubMed]
  14. Betscher, S.; Beineke, A.; Schonfeld, L.; Kamphues, J. Effects of diet’s physical form (grinding intensity; meal/pellets) on morphological and histological parameters (e.g. Ratio of neutral to acid mucins) of the gastrointestinal tract in weaned piglets. Livest. Sci. 2010, 134, 149–151. [Google Scholar] [CrossRef]
  15. Hedemann, M.S.; Mikkelsen, L.L.; Naughton, P.J.; Jensen, B.B. Effect of feed particle size and feed processing on morphological characteristics in the small and large intestine of pigs and on adhesion of salmonella enterica serovar typhimurium DT12 in the ileum in vitro. J. Anim. Sci. 2005, 83, 1554–1562. [Google Scholar] [CrossRef] [PubMed]
  16. Grosse Liesner, V.; Taube, V.; Leonhard-Marek, S.; Beineke, A.; Kamphues, J. Integrity of gastric mucosa in reared piglets—Effects of physical form of diets (meal/pellets), pre-processing grinding (coarse/fine) and addition of lignocellulose (0/2.5%). J. Anim. Physiol. Anim. Nutr. 2009, 93, 373–380. [Google Scholar] [CrossRef] [PubMed]
  17. Wondra, K.J.; Hancock, J.D.; Behnke, K.C.; Stark, C.R. Effects of mill type and particle size uniformity on growth performance, nutrient digestibility, and stomach morphology in finishing pigs. J. Anim. Sci. 1995, 73, 2564–2573. [Google Scholar] [CrossRef] [PubMed]
  18. Wondra, K.J.; Hancock, J.D.; Behnke, K.C.; Hines, R.H.; Stark, C.R. Effects of particle size and pelleting on growth performance, nutrient digestibility, and stomach morphology in finishing pigs. J. Anim. Sci. 1995, 73, 757–763. [Google Scholar] [CrossRef] [PubMed]
  19. Eisemann, J.H.; Argenzio, R.A. Effects of diets differing in propensity to promote gastric lesions on defense systems in gastric mucosae. J. Anim. Sci. 1999, 77, 2715–2720. [Google Scholar] [CrossRef] [PubMed]
  20. Dirkzwager, A.; Elbers, A.R.W.; van der Aar, P.; Vos, J.H. Effect of particle size and addition of sunflower hulls to diets on the occurrence of oesophagogastric lesions and performance in growing-finishing pigs. Livest. Prod. Sci. 1998, 56, 53–60. [Google Scholar] [CrossRef]
  21. Baustad, B.; Nafstad, I. Gastric ulcers in swine. 4. Effects of dietary particle size and crude fiber contents on ulceration. Pathol. Vet. 1969, 6, 546–556. [Google Scholar] [CrossRef] [PubMed]
  22. Flatlandsmo, K.; Slagsvold, P. Effect of grain particle size and pellets on development of gastric ulcers in swine. J. Anim. Sci. 1971, 33, 1263–1265. [Google Scholar] [CrossRef] [PubMed]
  23. Betscher, S.; Callies, A.; Kamphues, J. Effects of feed physical form (grinding intensity, compaction) on morphological and immunological parameters in the gastrointestinal tract of swine and poultry. Übers. Z. Tierern. 2010, 38, 123–137. [Google Scholar]
  24. Madson, D.M.; Ensley, S.M.; Patience, J.E.; Gauger, P.C.; Main, R.G. Diagnostic assessment and lesion evaluation of chronic deoxynivalenol ingestion in growing swine. J. Swine Health Prod. 2014, 22, 78–83. [Google Scholar]
  25. Tiemann, U.; Dänicke, S. In vivo and in vitro effects of the mycotoxins zearalenone and deoxynivalenol on different non-reproductive and reproductive organs in female pigs: A review. Food Addit. Contam. 2007, 24, 306–314. [Google Scholar] [CrossRef] [PubMed]
  26. Pestka, J.J.; Zhou, H.R.; Moon, Y.; Chung, Y.J. Cellular and molecular mechanisms for immune modulation by deoxynivalenol and other trichothecenes: Unraveling a paradox. Toxicol. Lett. 2004, 153, 61–73. [Google Scholar] [CrossRef] [PubMed]
  27. Liermann, W.; Berk, A.; Boschen, V.; Dänicke, S. Effects of diets differing in protein source and technical treatment on digestibility, performance and visceral and biochemical parameters of fattening pigs. Arch. Anim. Nutr. 2016, 70, 190–208. [Google Scholar] [CrossRef] [PubMed]
  28. Goyarts, T.; Grove, N.; Dänicke, S. Effects of the Fusarium toxin deoxynivalenol from naturally contaminated wheat given subchronically or as one single dose on the in vivo protein synthesis of peripheral blood lymphocytes and plasma proteins in the pig. Food Chem. Toxicol. 2006, 44, 1953–1965. [Google Scholar] [CrossRef] [PubMed]
  29. Kullik, K.; Brosig, B.; Kersten, S.; Valenta, H.; Diesing, A.K.; Panther, P.; Reinhardt, N.; Kluess, J.; Rothkotter, H.J.; Breves, G.; et al. Interactions between the fusarium toxin deoxynivalenol and lipopolysaccharides on the in vivo protein synthesis of acute phase proteins, cytokines and metabolic activity of peripheral blood mononuclear cells in pigs. Food Chem. Toxicol. 2013, 57, 11–20. [Google Scholar] [CrossRef] [PubMed]
  30. Döll, S.; Goyarts, T.; Tiemann, U.; Dänicke, S. Practically relevant concentrations of deoxynivalenol in diets for growing-finishing pigs offered as mash or pellets. Arch. Anim. Nutr. 2007, 61, 247–265. [Google Scholar] [CrossRef] [PubMed]
  31. Betscher, S.J. Untersuchungen zum Einfluss der Vermahlungsintensität und Konfektionierung des Mischfutters auf morphologische, histologische und immunologische Parameter im Magen-Darm-Trakt von jungen Schweinen. Dissertation, doctoral thesis, Tierärztlichen Hochschule Hannover, Hannover, Germany, 2010; pp. 1–189. [Google Scholar]
  32. Deutsches Institut für Normung e.V. Din 66165-1. In Partikelgrößenanalyse; Siebanalyse; Grundlagen; Beuth Verlag: Berlin, Germany, 1987.
  33. Deutsches Institut für Normung e.V. Din 66165-2. In Partikelgrößenanalyse; Siebanalyse; Durchführung; Beuth Verlag: Berlin, Germany, 1987.
  34. Deutsches Institut für Normung e.V. Din iso 3310-1. In Analysensiebe; Technische Anforderungen und Prüfungen; Teil 1: Analysensiebe Mit Metalldrahtgewebe 19.210; Beuth Verlag: Berlin, Germany, 2001.
  35. Oldenburg, E.; Bramm, A.; Valenta, H. Influence of nitrogen fertilization on deoxynivalenol contamination of winter wheat—Experimental field trials and evaluation of analytical methods. Mycotoxin Res. 2007, 23, 7–12. [Google Scholar] [CrossRef] [PubMed]
  36. Verband Deutscher Landwirtschaftlicher Untersuchungs- und Forschungsanstalten. Methoden no. 3.1 (Feuchtigkeit), no. 4.1.1 (Rohprotein, Kjeldahl-aufschluss), no. 5.1.1 (Rohfett), no. 6.1.1 (Rohfaser, Weender-Verfahren, halbautomatisch), no. 6.5.1 (Neutrale Detergentien-faser). In Handbuch der Landwirtschaftlichen Versuchs- und Untersuchungsmethodik (VDLUFA-Methodenbuch), Band III, Die Untersuchung von Futtermitteln, 3. Auflage; einschließlich 1.-8. Ergänzungslieferung; VDLUFA-Verlag: Darmstadt, Germany, 1976. [Google Scholar]
  37. Voigt, J.; Steeger, H. Zur quantitativen Bestimmung von Ammoniak, Harnstoff und Ketonkörpern in biologischem Material mit Hilfe eines modifizierten Mikrodiffusiongefäßes. Arch. Tierernähr. 1967, 17, 289–293. [Google Scholar] [CrossRef]
  38. Geissler, C.; Hoffmann, M.; Hickel, B. Ein beitrag zur gaschromatographischen bestimmung flüchtiger fettsäuren. Arch. Tierernähr. 1976, 76, 123–129. [Google Scholar] [CrossRef]
  39. Valenta, H.; Dänicke, S.; Döll, S. Analysis of deoxynivalenol and de-epoxy-deoxynivalenol in animal tissues by liquid chromatography after clean-up with an immunoaffinity column. Mycotoxin Res. 2003, 19, 51–55. [Google Scholar] [CrossRef] [PubMed]
  40. Renner, L.; Schwabe, A.; Döll, S.; Höltershinken, M.; Dänicke, S. Effect of rare earth elements on beef cattle growth performance, blood clinical chemical parameters and mitogen stimulated proliferation of bovine peripheral blood mononuclear cells in vitro and ex vivo. Toxicol. Lett. 2011, 201, 277–284. [Google Scholar] [CrossRef] [PubMed]
  41. Dänicke, S.; Keese, C.; Goyarts, T.; Döll, S. Effects of deoxynivalenol (DON) and related compounds on bovine peripheral blood mononuclear cells (PBMC) in vitro and in vivo. Mycotoxin Res. 2011, 27, 49–55. [Google Scholar] [CrossRef] [PubMed]
Figure 1. Relationship between blood concentrations of deoxynivalenol (DON) and albumin of weaned piglets fed a fine or coarse ground uncontaminated control diet (CON) or a Fusarium toxin contaminated diet (FUS). CON-fine , CON-coarse , FUS-fine , FUS-coarse ; Albumin (finely ground diets, N = 12) = 31.8 − 0.152a·x; r2 = 0.38, Albumin (coarsely ground diets, N = 12) = 26.5 − 0.096b·x; r2 = 0.12, a,b slopes are significantly different (p < 0.05).
Figure 1. Relationship between blood concentrations of deoxynivalenol (DON) and albumin of weaned piglets fed a fine or coarse ground uncontaminated control diet (CON) or a Fusarium toxin contaminated diet (FUS). CON-fine , CON-coarse , FUS-fine , FUS-coarse ; Albumin (finely ground diets, N = 12) = 31.8 − 0.152a·x; r2 = 0.38, Albumin (coarsely ground diets, N = 12) = 26.5 − 0.096b·x; r2 = 0.12, a,b slopes are significantly different (p < 0.05).
Toxins 09 00016 g001
Figure 2. Absorbance of unstimulated (pCT = 0.397, pStr = 0.105, pCTxStr = 0.460) and concanavalin A-stimulated (pCT = 0.028, pStr = 0.109, pCTxStr = 0.817) peripheral blood mononuclear cells (PBMC) isolated from weaned piglets fed a fine or coarse ground uncontaminated control diet (CON) or a Fusarium toxin contaminated diet (FUS) (n = 6) in the MTT (3-[4,5-dimethylthiazol-2-yl]-2,5-diphenyl-tetrazolium bromide)-assay (570 nm); a,b different letters close to whiskers indicate significant differences (p < 0.05).
Figure 2. Absorbance of unstimulated (pCT = 0.397, pStr = 0.105, pCTxStr = 0.460) and concanavalin A-stimulated (pCT = 0.028, pStr = 0.109, pCTxStr = 0.817) peripheral blood mononuclear cells (PBMC) isolated from weaned piglets fed a fine or coarse ground uncontaminated control diet (CON) or a Fusarium toxin contaminated diet (FUS) (n = 6) in the MTT (3-[4,5-dimethylthiazol-2-yl]-2,5-diphenyl-tetrazolium bromide)-assay (570 nm); a,b different letters close to whiskers indicate significant differences (p < 0.05).
Toxins 09 00016 g002
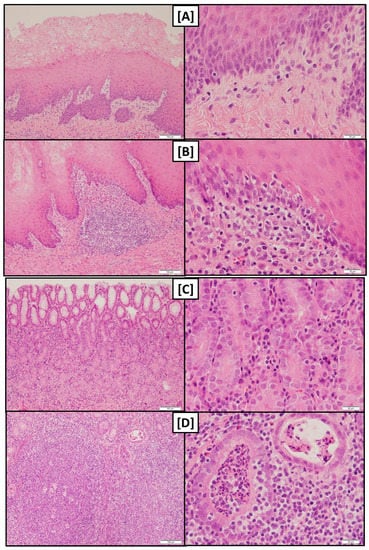
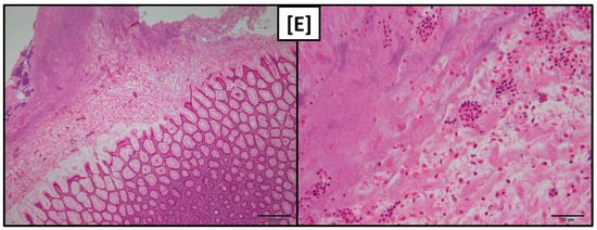
Figure 3. Examples of haematoxylin and eosin stained sections of stomach: (A) pars nonglandularis—low degree lymphoplasmacytic infiltration (normal finding); (B) pars nonglandularis—high degree lymphoplasmacytic infiltration; (C) pars glandularis—low degree lymphoplasmacytic infiltration (normal finding); (D) pars glandularis—high degree lymphoplasmacytic infiltration and detritus filled foveolae and tubes (group FUS-fine); and (E) intraluminal accumulation of fibrinous material with neutrophilic granulocytes, partially as aggregates, and bacteria (group FUS-fine). Magnification: (AD) left ×10, right ×40; (E) left ×4, right ×20.
Figure 3. Examples of haematoxylin and eosin stained sections of stomach: (A) pars nonglandularis—low degree lymphoplasmacytic infiltration (normal finding); (B) pars nonglandularis—high degree lymphoplasmacytic infiltration; (C) pars glandularis—low degree lymphoplasmacytic infiltration (normal finding); (D) pars glandularis—high degree lymphoplasmacytic infiltration and detritus filled foveolae and tubes (group FUS-fine); and (E) intraluminal accumulation of fibrinous material with neutrophilic granulocytes, partially as aggregates, and bacteria (group FUS-fine). Magnification: (AD) left ×10, right ×40; (E) left ×4, right ×20.
Toxins 09 00016 g003aToxins 09 00016 g003b
Figure 4. Principal Component (PC) Analysis for a two-dimensional visualization of the relationships between 15 variables collected from the experiment: Variables for the analysis: LPZI_PN, lymphoplasmacytic infiltration of pars nonglandularis; LPZI_PG, lymphoplasmacytic infiltration of pars glandularis; STIM, proliferation of peripheral blood mononuclear cells (PBMC) after Concanavalin A (ConA)-stimulation; SI, stimulation ability of PBMC after ConA-stimulation relative to unstimulated PBMC; C4_JEJ, butyric acid proportion in jejunal chyme; VFA_JEJ, volatile fatty acid concentration in jejunal chyme; C4_CAE, butyric acid proportion in caecal chyme; VFA_CAE, volatile fatty acid concentration in caecal chyme; PROT, serum protein concentration; ALB, serum albumin concentration; DON, serum deoxynivalenol concentration; BW, body weight at day 35 of experiment; STO, stomach weight relative to BW; STO_pH, pH-value in stomach chyme; CAE_PH pH-value in caecal chyme; Additional variables: *GF, grinding fineness; *FUS, Fusarium toxin contaminated diets, containing mainly DON. (A) Projection of variables; and (B) projection of cases (pigs): CON-fine , FUS-fine , FUS-coarse .
Figure 4. Principal Component (PC) Analysis for a two-dimensional visualization of the relationships between 15 variables collected from the experiment: Variables for the analysis: LPZI_PN, lymphoplasmacytic infiltration of pars nonglandularis; LPZI_PG, lymphoplasmacytic infiltration of pars glandularis; STIM, proliferation of peripheral blood mononuclear cells (PBMC) after Concanavalin A (ConA)-stimulation; SI, stimulation ability of PBMC after ConA-stimulation relative to unstimulated PBMC; C4_JEJ, butyric acid proportion in jejunal chyme; VFA_JEJ, volatile fatty acid concentration in jejunal chyme; C4_CAE, butyric acid proportion in caecal chyme; VFA_CAE, volatile fatty acid concentration in caecal chyme; PROT, serum protein concentration; ALB, serum albumin concentration; DON, serum deoxynivalenol concentration; BW, body weight at day 35 of experiment; STO, stomach weight relative to BW; STO_pH, pH-value in stomach chyme; CAE_PH pH-value in caecal chyme; Additional variables: *GF, grinding fineness; *FUS, Fusarium toxin contaminated diets, containing mainly DON. (A) Projection of variables; and (B) projection of cases (pigs): CON-fine , FUS-fine , FUS-coarse .
Toxins 09 00016 g004
Table 1. Composition of the experimental diets (g/kg as fed).
Table 1. Composition of the experimental diets (g/kg as fed).
Diet Type
CON-FineCON-CoarseFUS-FineFUS-Coarse
Components:
 Wheat300.0300.0100.0100.0
Fusarium toxin contaminated wheat--200.0200.0
 Barley400400400400
 Maize100.0100.0100.0100.0
 Soya bean meal150.0150.0150.0150.0
 Soybean oil10.010.010.010.0
 Vitamins and minerals 110.010.010.010.0
 Calcium carbonate10.010.010.010.0
 Sodium chloride0.50.50.50.5
l-lysine-HCl7.07.07.07.0
l-tryptophan1.01.01.01.0
dl-methionine2.92.92.92.9
l-threonine2.32.32.32.3
 Formic acid 26.06.06.06.0
 Phytase 30.30.30.30.3
Calculated composition:
 Crude protein160.5160.5160.5160.5
 Metabolizable energy (MJ/kg)13.2513.2513.2513.25
 Lysine12.612.612.612.6
 Methionine plus cystine7.97.97.97.9
 Threonine7.47.47.47.4
 Tryptophan2.82.82.82.8
 Calcium5.75.75.75.7
 Total phosphorus4.84.84.84.8
 Sodium1.41.41.41.4
 Deoxynivalenol (mg/kg)0.00.05.05.0
Analyzed composition:
 Dry matter886.6890.8888.2889.3
 Crude protein (Kjeldahl-N*6.25)160.1160.5157.3164.1
 Crude fat (Ether extract)33.633.634.836.0
 Neutral detergent fibre (aNDFOM)153.1154.4148.2147.9
 Crude fibre37.538.739.739.7
 Deoxynivalenol (mg/kg)0.20.23.43.6
Particle size distribution:
 >710 µm37.560.641.768.5
 125–710 µm48.832.247.025.1
 <125 µm13.67.211.46.4
 d50 (µm)5609406101130
1 Provided per kg of diet: Ca, 1.0 g; P, 1.4 g; Na, 0.9 g; Mg, 0.1 g; Fe, 75 mg; Cu, 15 mg; Mn, 40 mg; Zn, 50 mg; I, 1.0 mg; Se, 0.2 mg; Co, 0.4 mg; vitamin A, 10,000 IU; vitamin D3, 1000 IU; vitamin E, 50 mg; vitamin B1, 1.0 mg; vitamin B2, 3.1 mg; vitamin B6, 2.5 mg; vitamin B12, 20.0 µg; vitamin K3, 2.0 mg; nicotinic acid, 12.5 mg; pantothenic acid, 7.5 mg; choline chloride, 125 mg; biotine, 50 µg; folic acid, 0.5; vitamin C, 50 mg; 2 ACIDOMIX® Formic 65 G, Röthel GmbH, Gudensberg, Germany; 3 ZY PHYTASE 5.000 (LOHMANN ANIMAL HEALTH GmbH & Co. KG, Cuxhaven, Germany) declared phytase activity (EC 3.1.3.26): 5.000 FYT/g.
Table 2. Performance of weaned piglets fed a fine or coarse ground uncontaminated control diet (CON) or a Fusarium toxin contaminated diet (FUS) (n = 4).
Table 2. Performance of weaned piglets fed a fine or coarse ground uncontaminated control diet (CON) or a Fusarium toxin contaminated diet (FUS) (n = 4).
Cereal Type (CT)Structure (Str)Feed Intake (kg/d)Live Weight Gain (kg/d)Feed to Gain Ratio (kg/kg)
d 1–21d 22–35d 1–35d 1–21d 22–35d 1–35d 1–21d 22–35d 1–35
CONFine0.439 ab0.965 b0.649 b0.2430.684 c0.420 c1.8691.4301.552 ab
CONCoarse0.477 b0.818 ab0.614 b0.2640.565 b0.384 bc1.8021.4511.597 b
FUSFine0.370 a0.686 a0.496 a0.2430.485 ab0.340 ab1.5341.4281.459 a
FUSCoarse0.360 a0.752 a0.517 a0.2160.451 a0.310 a1.7111.6901.666 b
p-values
CT 0.0240.0090.0040.3680.0010.0030.1500.3570.783
Str 0.7000.4830.8290.8900.0620.1340.6980.2760.015
CT × Str 0.5170.0810.4360.3780.2790.8990.3940.3490.092
PSEM 0.0360.0560.0350.0260.0370.0200.1380.1240.044
Abbreviations: PSEM = pooled standard error of means; a–c Values with no common superscripts are significantly different within columns (p < 0.05).
Table 3. Clinical-chemical serum characteristics of weaned piglets fed a fine or coarse ground uncontaminated control diet (CON) or a Fusarium toxin contaminated diet (FUS) (n = 6).
Table 3. Clinical-chemical serum characteristics of weaned piglets fed a fine or coarse ground uncontaminated control diet (CON) or a Fusarium toxin contaminated diet (FUS) (n = 6).
Cereal Type (CT)Structure (Str)Total Bilirubin (µmol/L)Protein (g/L)Albumin (g/L)ASAT (U/L)GLDH (U/L)GGT (U/L)DON (ng/mL)De-DON 1 (ng/mL)
CONFine1.950.5 b31.5 c28.32.624.72.1 a0.0 a (0.0–0.0)
CONCoarse1.950.5 b26.5 ab25.02.221.71.2 a0.0 a (0.0–0.0)
FUSFine2.147.6 a28.2 bc25.32.421.323.4 b2.3 b (2.0–2.5)
FUSCoarse1.747.0 a23.9 a29.73.124.527.0 b2.4 b (1.3–3.4)
p-values
CT 0.8880.0030.0380.7360.3760.936<0.001
Str 0.3570.7710.0020.8400.6510.9790.423
CT × Str 0.5100.7710.8140.1320.1740.3280.176
PSEM 0.21.01.32.40.43.11.7
Abbreviations: GGT = γ-glutamyl transferase; ASAT = aspartate-aminotransferase; GLDH = glutamate-dehydrogenase; DON = deoxynivalenol; de-DON = de-epoxy-DON; PSEM = pooled standard error of means; a–c Values with no common superscripts are significantly different within columns (p < 0.05); 1 Mann-Whitney-U-test (p < 0.05).
Table 4. pH values in the chyme of consecutive gastro-intestinal segments of weaned piglets fed a fine or coarse ground uncontaminated control diet (CON) or a Fusarium toxin contaminated diet (FUS) (n = 6).
Table 4. pH values in the chyme of consecutive gastro-intestinal segments of weaned piglets fed a fine or coarse ground uncontaminated control diet (CON) or a Fusarium toxin contaminated diet (FUS) (n = 6).
Cereal Type (CT)Structure (Str)Segment (Seg)
StomachDuodenumJejunumIleumCaecumColonRectum
CONfine3.334.876.636.675.836.356.62
CONcoarse3.305.736.376.535.836.336.50
FUSfine3.805.676.156.685.886.586.52
FUScoarse3.755.506.426.655.936.076.53
......3.55 a5.44 b6.39 c6.63 c5.87 b6.33 c6.54 c
p-values
CT0.421
Str0.930
Seg<0.001
CT × Str0.631
CT × Seg0.836
Str × Seg0.925
CT × Str × Seg0.723
PSEM0.07
Abbreviations: PSEM = pooled standard error of means; a–c Values with no common superscripts are significantly different within lines (p < 0.05).
Table 5. Fermentation characteristics in ileum and caecum of weaned piglets fed a fine or coarse ground uncontaminated control diet (CON) or a Fusarium toxin contaminated diet (FUS) (n = 6).
Table 5. Fermentation characteristics in ileum and caecum of weaned piglets fed a fine or coarse ground uncontaminated control diet (CON) or a Fusarium toxin contaminated diet (FUS) (n = 6).
Cereal Type (CT)CONCONFUSFUS... p-Values PSEM
Structure (Str)FineCoarseFineCoarse...CTStrSegCT × StrCT × SegStr × SegCT × Str × Seg
ParameterSegment (Seg)
NH3Jejunum3.151.422.602.052.300.3460.7930.0220.8610.2990.5420.5040.70
(mMol/L)Caecum3.304.787.076.375.38
VFAJejunum16.720.721.821.720.20.0020.521<0.0010.215<0.0010.7500.3272.6
(mMol/L)Caecum139.0155.0109.7103.3126.8
C2Jejunum78.275.374.079.176.60.3290.587<0.0010.1800.1200.9410.2950.9
(%)Caecum57.156.859.962.059.0
C3Jejunum13.310.912.910.712.00.5520.288<0.0010.7480.5390.7960.7180.9
(%)Caecum30.227.527.126.627.9
Iso-C4Jejunum0.000.300.130.080.130.7190.7190.0210.1040.7950.1300.3690.03
(%)Caecum0.300.280.350.220.29
C4Jejunum8.513.012.410.011.00.4880.4790.7480.0120.1860.7190.5290.5
(%)Caecum10.213.010.78.810.7
Iso-C5Jejunum0.000.280.170.130.150.8730.4890.0170.0890.9570.3600.7860.04
(%)Caecum0.280.380.420.280.34
C5Jejunum0.000.250.400.000.160.9340.519<0.0010.7270.7280.3930.3930.12
(%)Caecum1.782.031.522.071.85
Abbreviations: NH3 = ammonia; VFA = volatile fatty acids; C2 = acetic acid; C3 = propionic acid; C4 = butyric acid; C5 = valeric acid; PSEM = pooled standard error of means.
Table 6. Relative organ weights (g/kg live weight) of weaned piglets fed a fine or coarse ground uncontaminated control diet (CON) or a Fusarium toxin contaminated diet (FUS) (n = 6).
Table 6. Relative organ weights (g/kg live weight) of weaned piglets fed a fine or coarse ground uncontaminated control diet (CON) or a Fusarium toxin contaminated diet (FUS) (n = 6).
Cereal Type (CT)Structure (Str)LiverKidneysSpleenStomachHeart
CONFine27.05.52.78.9 a4.8
CONCoarse28.14.92.89.9 ab4.5
FUSFine24.94.72.79.3 a4.8
FUSCoarse27.14.92.210.8 b4.8
p-values
CT 0.1740.1670.4220.1320.329
Str 0.1530.5940.5420.0060.491
CT × Str 0.6400.1350.4220.5340.329
PSEM 1.10.30.30.40.2
Abbreviations: PSEM = pooled standard error of means; a–b Values with no common superscripts are significantly different within columns (p < 0.05).
Table 7. Cumulative histopathological scores of pars nonglandularis and pars glandularis of stomach of weaned piglets fed a fine ground uncontaminated control diet (CON-fine) or a fine or coarse ground Fusarium toxin contaminated diet (FUS-fine and FUS-coarse, respectively) (n = 6, medians and ranges).
Table 7. Cumulative histopathological scores of pars nonglandularis and pars glandularis of stomach of weaned piglets fed a fine ground uncontaminated control diet (CON-fine) or a fine or coarse ground Fusarium toxin contaminated diet (FUS-fine and FUS-coarse, respectively) (n = 6, medians and ranges).
CON-FineFUS-FineFUS-Coarse
Pars nonglandularis
Lymphoplasmacytic infiltration 12.5 ab (1.0–4.0)3.0 b (3.0–3.0)2.5 a (2.0–3.0)
Pars glandularis
Lymphoplasmacytic infiltration 13.5 a (2.0–5.0)4.5 b (4.0–5.0)4.0 a (2.0–4.0)
1 Score 1, 2 and 3 represent low, medium and high degree, respectively. Scores of two slides were cumulated; a,b Medians with no common superscripts are significantly different within lines (p < 0.05).

Share and Cite

MDPI and ACS Style

Dänicke, S.; Beineke, A.; Berk, A.; Kersten, S. Deoxynivalenol (DON) Contamination of Feed and Grinding Fineness: Are There Interactive Implications on Stomach Integrity and Health of Piglets? Toxins 2017, 9, 16. https://doi.org/10.3390/toxins9010016

AMA Style

Dänicke S, Beineke A, Berk A, Kersten S. Deoxynivalenol (DON) Contamination of Feed and Grinding Fineness: Are There Interactive Implications on Stomach Integrity and Health of Piglets? Toxins. 2017; 9(1):16. https://doi.org/10.3390/toxins9010016

Chicago/Turabian Style

Dänicke, Sven, Andreas Beineke, Andreas Berk, and Susanne Kersten. 2017. "Deoxynivalenol (DON) Contamination of Feed and Grinding Fineness: Are There Interactive Implications on Stomach Integrity and Health of Piglets?" Toxins 9, no. 1: 16. https://doi.org/10.3390/toxins9010016

APA Style

Dänicke, S., Beineke, A., Berk, A., & Kersten, S. (2017). Deoxynivalenol (DON) Contamination of Feed and Grinding Fineness: Are There Interactive Implications on Stomach Integrity and Health of Piglets? Toxins, 9(1), 16. https://doi.org/10.3390/toxins9010016

Note that from the first issue of 2016, this journal uses article numbers instead of page numbers. See further details here.

Article Metrics

Back to TopTop