Comparative Investigation of the Efficacy of Three Different Adsorbents against OTA-Induced Toxicity in Broiler Chickens
Abstract
:1. Introduction
2. Results
2.1. Broiler Performance
| Days of the Study | ||||||
|---|---|---|---|---|---|---|
| Group | (n) | 1 | 7 | 14 | 21 | 42 |
| E-I | 20 | 48.26 ± 0.63 | 113.2 ± 2.82 | 184.8 ± 3.00 aaa | 293.8 ± 9.83 aaa | 1,080 ± 71.5 aaa |
| E-II | 20 | 48.30 ± 0.85 | 118.5 ± 3.17 | 219.6 ± 3.83 a,b | 358.1 ± 11.71 aa,b | 1,174 ± 31.09 aaa |
| E-III | 20 | 48.31 ± 0.82 | 127.3 ± 2.86 b | 220.4 ± 10.01 a,b | 362.8 ± 13.81 aa,b | 1,158 ± 62.89 aaa |
| E-IV | 20 | 48.27 ± 0.66 | 120.7 ± 3.60 | 206.8 ± 10.17 a | 340.0 ± 18.25 aaa | 1,102 ± 56.97 aaa |
| C | 20 | 48.24 ± 1.24 | 123.5 ± 4.87 | 262.8 ± 8.88 | 458.3 ± 18.52 | 1,796 ± 39.88 |
| Mz | 20 | 48.30 ± 0.81 | 142.8 ± 3.68 bbb,ccc,ee | 296.0 ± 9.98 bbb,ccc,ddd,eee | 533.3 ± 12.42 bbb,ccc,dd,eee | 1842 ± 42.99 bbb,ccc,ddd,eee |
| Ms | 20 | 48.29 ± 0.68 | 136.9 ± 3.69 bbb,c | 271.3 ± 11.47 bbb,cc,dd,eee | 429.4 ± 17.19 bbb,ee,ff | 1,736 ± 30.80 bbb,ccc,ddd,eee |
| Mf | 20 | 48.32 ± 1.01 | 133.5 ± 4.74 bb | 283.0 ± 10.83 bbb,ccc,ddd,eee | 458.3 ± 15.14 bbb,cc,dd,eee | 1,761 ± 35.02 bbb,ccc,ddd,eee |
| Days of the study | ||||||
|---|---|---|---|---|---|---|
| Group | (n) | 1–7 | 7–14 | 14–21 | 21–42 | 1–42 |
| E-I | 20 | 9.28 ± 0.32 | 10.67 ± 0.13 aaa | 15.43 ± 0.98 aaa | 37.17 ± 3.57 aaa | 24.54 ± 1.69 aaa |
| E-II | 20 | 10.0 ± 0.34 | 14.59 ± 0.23 aa | 20.16 ± 1.29 aa | 39.78 ± 1.25 aaa | 26.89 ± 0.73 aaa |
| E-III | 20 | 11.28 ± 0.29 b | 13.66 ± 0.94 aaa | 20.93 ± 0.69 a,b | 40.56 ± 2.52 aaa | 26.41 ± 1.47 aaa |
| E-IV | 20 | 10.35 ± 0.42 | 11.25 ± 0.89 aaa,cc | 19.54 ± 1.26 aaa | 41.57 ± 1.87 aaa | 25.06 ± 1.35 aaa |
| C | 20 | 10.74 ± 0.54 | 19.90 ± 0.70 | 27.93 ± 1.49 | 64.55 ± 1.89 | 42.12 ± 0.88 |
| Mz | 20 | 13.49 ± 0.41 aa,bbb,ccc,d,eee | 21.89 ± 1.58 bbb,ccc,ddd,eee | 34.03 ± 2.47 bbb,ccc,ddd,eee | 61.54 ± 1.96 bbb,ccc,ddd,eee | 42.88 ± 1.03 bbb,ccc,ddd,eee |
| Ms | 20 | 12.65 ± 0.44 bbb,cc,ee | 19.31 ± 1.24 bbb,cc,ddd,eee | 22.58 ± 0.96 aa,gg | 62.64 ± 1.43 bb,ff | 40.11 ± 0.76 bbb,ccc,ddd,eee |
| Mf | 20 | 12.17 ± 0.54 bbb,ccc,ddd,eee | 21.35 ± 0.97 bbb,ccc,ddd,eee | 27.77 ± 0.99 | 62.03 ± 1.83 bb,ff | 40.51 ± 0.84 bbb,ccc,ddd,eee |
| Days of the Study | ||||
|---|---|---|---|---|
| Group | 1–21 | 21–35 | 35–42 | 1–42 |
| E-I | 24.32 | 71.93 | 123.20 | 56.67 |
| E-II | 32.15 | 89.68 | 144.30 | 70.04 |
| E-III | 28.43 | 84.95 | 116.89 | 62.01 |
| E-IV | 28.79 | 77.47 | 130.23 | 61.92 |
| C | 34.39 | 130.00 | 188.94 | 92.02 |
| Mz | 35.91 | 130.85 | 202.00 | 95.24 |
| Ms | 36.02 | 128.53 | 179.46 | 93.77 |
| Mf | 35.93 | 127.95 | 203.59 | 94.54 |
| Days of the Study | ||||
|---|---|---|---|---|
| Group | 1–21 | 21–35 | 35–42 | 1–42 |
| E-I | 2.03 | 2.67 | 2.79 | 2.37 |
| E-II | 2.02 | 2.24 | 2.80 | 2.24 |
| E-III | 1.99 | 2.50 | 2.61 | 2.26 |
| E-IV | 2.02 | 2.22 | 2.75 | 2.23 |
| C | 1.87 | 2.24 | 2.66 | 2.12 |
| Mz | 1.81 | 2.16 | 2.54 | 2.05 |
| Ms | 1.80 | 2.12 | 2.10 | 2.03 |
| Mf | 1.81 | 2.17 | 2.56 | 2.05 |
2.2. Pathomorphological Examination
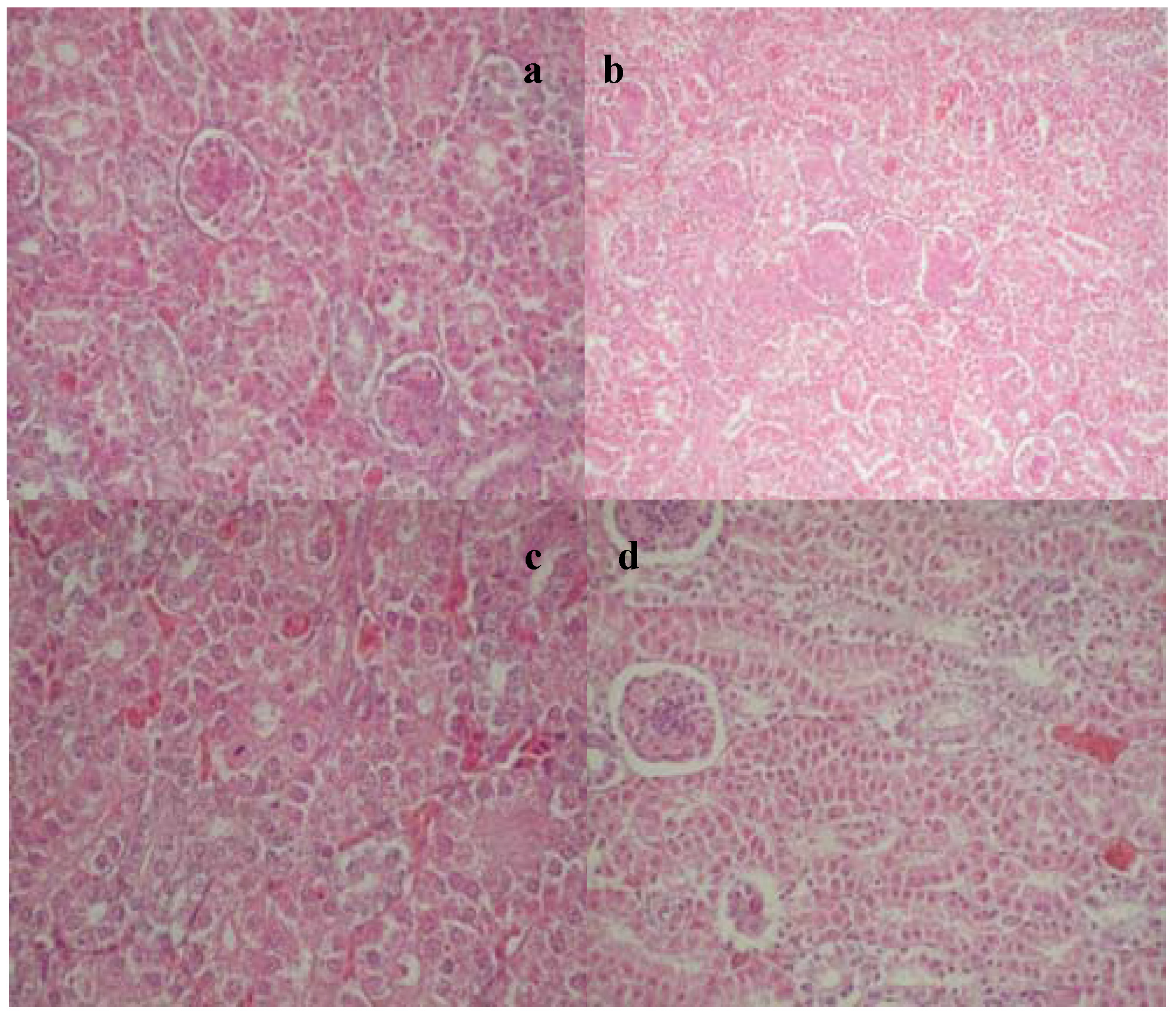
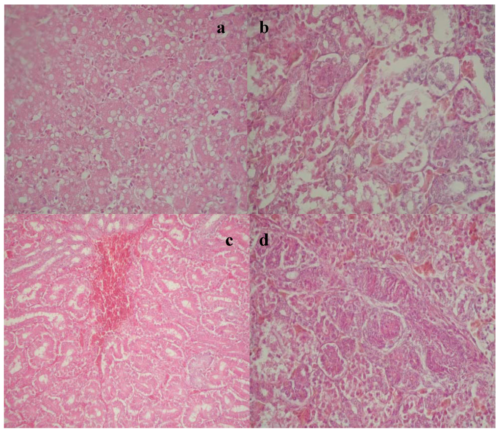
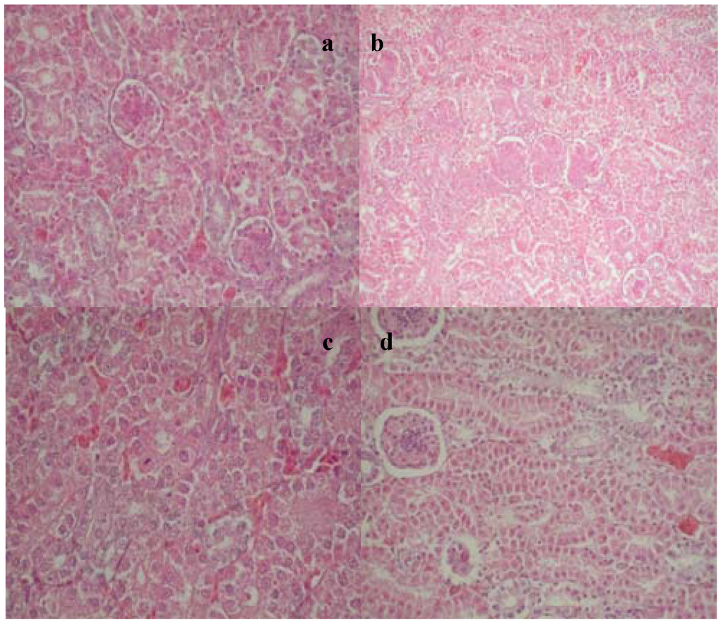
2.3. Pathohistological Examination


3. Discussion
3.1. Broiler Performance
3.2. Pathoanatomical Examination
3.3. Pathohistological Examination
4. Experimental Section
4.1. Animals
4.2. Feed Preparation
| Batch | Sample 1 (mg/kg OTA) | Sample 2 (mg/kg OTA) | Sample 3 (mg/kg OTA) | Sample 4 (mg/kg OTA) | Sample 5 (mg/kg OTA) | Sample 6 (mg/kg OTA) | RSD (%) |
|---|---|---|---|---|---|---|---|
| 1 | 1.87 | 1.90 | 2.21 | 1.69 | 2.31 | 2.05 | 11.49 |
| 2 | 2.06 | 1.88 | 1.87 | 2.03 | 2.22 | 1.90 | 6.88 |
4.3. Experimental Design
4.4. Sample Collection
4.5. Statistical Analysis
5. Conclusions
Acknowledgments
Author Contributions
Conflicts of Interest
References
- Merwe, K.J.; Steyn, P.S.; Fourie, L.; de Scott, B.; Theron, J.J. Ochratoxin A toxic metabolite produced by Aspergillus ochraceus Wilh. Nature 1965, 205, 1112–1116. [Google Scholar] [CrossRef] [PubMed]
- Weidenbörner, M. Encyclopedia of Food Mycotoxin; Springer-Verlag: New York, NY, USA, 2001; p. 243. [Google Scholar]
- Wordwide Regulations for Mycotoxins in Food and Feed in 2003. Available online: http://agris.fao.org/agris-search/search.do?recordID=US201300096971 (accessed on 20 March 2015).
- Nedeljković-Trailović, J.; Sinovec, S.; Sinovec, Z. Pathomorphological alterations and the reparatory processes in the kidneys of broiler treated with ochratoxin. Acta Vet. Beograd 2001, 5–6, 333–342. [Google Scholar]
- Hamilton, P.B.; Huff, E.W.; Harris, R.J.; Wyatt, R.D. Natural occurrence of ochratoxicosis in poultry. Poult. Sci. 1982, 61, 1832–1841. [Google Scholar] [CrossRef] [PubMed]
- Milicevic, D.; Jovanovic, M.; Matekalo-Sverak, V.; Radicevic, T.; Petrovic, M.; Lilic, S. A survey of spontaneous occurrence of ochratoxin A residues in chicken tissues and concurrence with histopathological changes in liver and kidneys. J. Environ. Sci. Heal. C 2011, 29, 159–175. [Google Scholar] [CrossRef]
- Marquardt, R.R.; Frohlich, A.A. A review of recent advances in understanding ochratoxicosis. J. Anim. Sci. 1992, 70, 3968–3988. [Google Scholar] [PubMed]
- Huff, W.E.; Kubena, L.F.; Harvey, R.B. Progression of ochratoxicosis in broiler chickens. Appl. Microbiol. 1988, 30, 48–52. [Google Scholar]
- Prior, M.G.; Sisodia, C.S.; O’Neil, J.B. Acute oral ochratoxicosis, in day-old White leghorns turkeys and Japanese quail. Poult. Sci. 1976, 55, 786–788. [Google Scholar] [CrossRef] [PubMed]
- Sreemannarayana, O.; Marquardt, R.R.; Frohlich, A.A.; Vitti, G.T.; Abramson, D. Organ weights, liver constituent and serum components in growing chicks fed ochratoxin A. Arch. Environ. Contam. Toxicol. 1989, 18, 404–408. [Google Scholar] [CrossRef] [PubMed]
- Koynarski, V.; Stoev, S.; Grozeva, N.; Mirtcheva, T.; Daskalov, H.; Mitev, J.; Mantle, P. Experimental coccidiosis provoked by Eimeria acervulina in chicks simultaneously fed on ochratoxin A diet. Res. Vet. Sci. 2007, 82, 225–231. [Google Scholar] [CrossRef] [PubMed]
- Garcia, A.R.; Avila, E.; Rosiles, R.; Petrone, V.M. Evaluation of two mycotoxin binders to reduce toxicity of broiler diets containing ochratoxin A and T-2 toxin contaminated grain. Avian Dis. 2003, 47, 691–699. [Google Scholar] [CrossRef] [PubMed]
- Nedeljković-Trailović, J.; Stefanović, S.; Trailovic, S. In vitro investigation three different adsorbents against ochratoxin A in broilers. Br. Poult. Sci. 2013, 54, 515–523. [Google Scholar] [CrossRef] [PubMed]
- Santin, E.; Paulillo, C.A.; Maiorka, C.P.; Alessi, C.A.; Krabbe, L.E.; Maiorka, A. The effect of ochratoxin A/aluminosilicate interaction on the tissues and humoral immune response of broilers. Avian Pathol. 2002, 31, 73–79. [Google Scholar] [CrossRef] [PubMed]
- Starkl, V.; Sarandan, H. Effect of conteraction of Ochratoxin A and deoxynivalenol in broilers chicken. Poultry Science 2006, 85, 182. [Google Scholar]
- Pfohl-Leszkowicz, A.; Hadjeba-Medjdoub, K.; Ballet, N.; Schrickx, J.; Fink-Gremmels, J. Assessment and characterisation of yeast-based products intended to mitigate ochratoxin exposure using in vitro and in vivo models. Food Addit. Contam. Part A 2014, 13, 1–13. [Google Scholar]
- Kumar, A.; Jindal, N.; Shukla, C.L.; Asrani, R.K.; Ledoux, D.; Rottinghouse, G. Pathological changes in broiler chicken fed ochratoxin A and inoculated with Escheria coli. Avian Pathol. 2004, 33, 413–417. [Google Scholar] [CrossRef] [PubMed]
- Chang, C.F.; Doerr, J.A.; Hamilton, P.B. Experimental ochratoxicosis in turkey poults. Poult. Sci. 1981, 60, 114. [Google Scholar] [CrossRef] [PubMed]
- Nedeljkovic-Trailovic, J.; Jovanovic, N.; Sinovec, Z. Effects of exposure time and dietary ochratoxin a level on broiler performance. Acta Vet. Beograd. 2004, 54, 419–426. [Google Scholar] [CrossRef]
- Santin, E.; Paulillo, C.A.; Nakagui, L.S.O.; Alessi, A.C.; Polveiro, W.J.C.; Maiorka, A. Evaluation of cell wall yeast as adsorbent of ochratoxin in broilers diets. Int. J. Poult. Sci. 2003, 2, 465–468. [Google Scholar] [CrossRef]
- Kubena, L.F.; Harvey, R.B.; Phillips, T.D.; Fletcher, O.J. Influence of ochratoxin A and vanadium on various parameters in growing chicks. Poult. Sci. 1986, 65, 1671–1678. [Google Scholar] [CrossRef] [PubMed]
- Harvey, R.B.; Kubena, L.F.; Lawhorn, B.D.; Flecher, O.J.; Philiphs, D. Feed refusal in swine feed ochratoxin contaminated grain sorghum evaluation of toxicity in chicks. J. Am. Vet. Med. Assoc. 1987, 190, 15–22. [Google Scholar]
- Stoev, S.; Djuvinov, D.; Mirtcheva, T.; Pavlov, D.; Mantle, P. Studies on some feed additives giving partial protection against ochratoxin A toxicity in chicks. Toxicol. Lett. 2002, 135, 33–50. [Google Scholar] [CrossRef] [PubMed]
- Stoev, S. Studies on some feed additives and materials giving partial protection against the suppressive effect of ochratoxin A on egg production of laying hens. Res. Vet. Sci. 2010, 88, 486–491. [Google Scholar] [CrossRef] [PubMed]
- Roth, A.; Chakor, K.; Creppy, E.E.; Kane, A.; Roschenthaler, R.; Dirheimer, G. Evidence for an enterohepatic circulation of ochratoxin A in mice. Toxicology 1988, 48, 293–295. [Google Scholar] [CrossRef] [PubMed]
- Fuchs, R.; Radic, B.; Peraica, M.; Hult, K.; Plestina, R. Enterohepatic circulation of ochratoxin A in rats. Period. Biol. 1988, 90, 39–42. [Google Scholar]
- Biro, K.; Solti, L.; Vetro, I.B.; Bago, G.; Glavits, R.; Szabo, E.; Gremmels, J.F. Tissue distribution of ochratoxin A as determined by HPLC and ELISA and histopathological effects in chickens. Avian Pathol. 2002, 31, 141–148. [Google Scholar] [CrossRef] [PubMed]
- Son, C.W.; Kamino, K.; Lee, Y.S.; Kang, K.S. Strain specific mammary proliferative lesion development following lifetime oral administration of ochratoxin A in DA and Lewis rats. Int. J. Cancer 2003, 105, 305–311. [Google Scholar] [CrossRef] [PubMed]
- National Research Council (NRC). Nutrient Requirements of Poultry, 9th ed.; National Academy Press: Washington, DC, USA, 1994. [Google Scholar]
- Tables, A.E.C. Recommendation for Animal Nutrition, 6th ed.; Rhone-Poulenc: Paris, France, 1993. [Google Scholar]
- Nedeljković-Trailović, J.; Trailović, S.; Dimitrijević Mirjana, I.V. Blood serum protein status in broilers feed with increasing concentrations of ochratoxin A. Acta Vet. Beograd. 2013, 63, 77–88. [Google Scholar] [CrossRef]
- Scheuer, P.J.; Chalk, B.T. Clinical test. In Histopathology; Wolfe Medical Publications: London, UK, 1986. [Google Scholar]
- European Union. Diective 2010/63/EU of the European parlament and of the council. Off. J. Eur. Un. 2010, 276, 33–79. [Google Scholar]
© 2015 by the authors; licensee MDPI, Basel, Switzerland. This article is an open access article distributed under the terms and conditions of the Creative Commons Attribution license (http://creativecommons.org/licenses/by/4.0/).
Share and Cite
Nedeljković-Trailović, J.; Trailović, S.; Resanović, R.; Milićević, D.; Jovanovic, M.; Vasiljevic, M. Comparative Investigation of the Efficacy of Three Different Adsorbents against OTA-Induced Toxicity in Broiler Chickens. Toxins 2015, 7, 1174-1191. https://doi.org/10.3390/toxins7041174
Nedeljković-Trailović J, Trailović S, Resanović R, Milićević D, Jovanovic M, Vasiljevic M. Comparative Investigation of the Efficacy of Three Different Adsorbents against OTA-Induced Toxicity in Broiler Chickens. Toxins. 2015; 7(4):1174-1191. https://doi.org/10.3390/toxins7041174
Chicago/Turabian StyleNedeljković-Trailović, Jelena, Saša Trailović, Radmila Resanović, Dragan Milićević, Milijan Jovanovic, and Marko Vasiljevic. 2015. "Comparative Investigation of the Efficacy of Three Different Adsorbents against OTA-Induced Toxicity in Broiler Chickens" Toxins 7, no. 4: 1174-1191. https://doi.org/10.3390/toxins7041174
APA StyleNedeljković-Trailović, J., Trailović, S., Resanović, R., Milićević, D., Jovanovic, M., & Vasiljevic, M. (2015). Comparative Investigation of the Efficacy of Three Different Adsorbents against OTA-Induced Toxicity in Broiler Chickens. Toxins, 7(4), 1174-1191. https://doi.org/10.3390/toxins7041174
