Preparation and Evaluation of a Horse Antiserum against the Venom of Sea Snake Hydrophis curtus from Hainan, China
Abstract
:1. Introduction
2. Results
2.1. Kinetic Changes of Immune Titer in Plasma after Immunization
2.2. Cytotoxicity Assay of the Immune Plasma
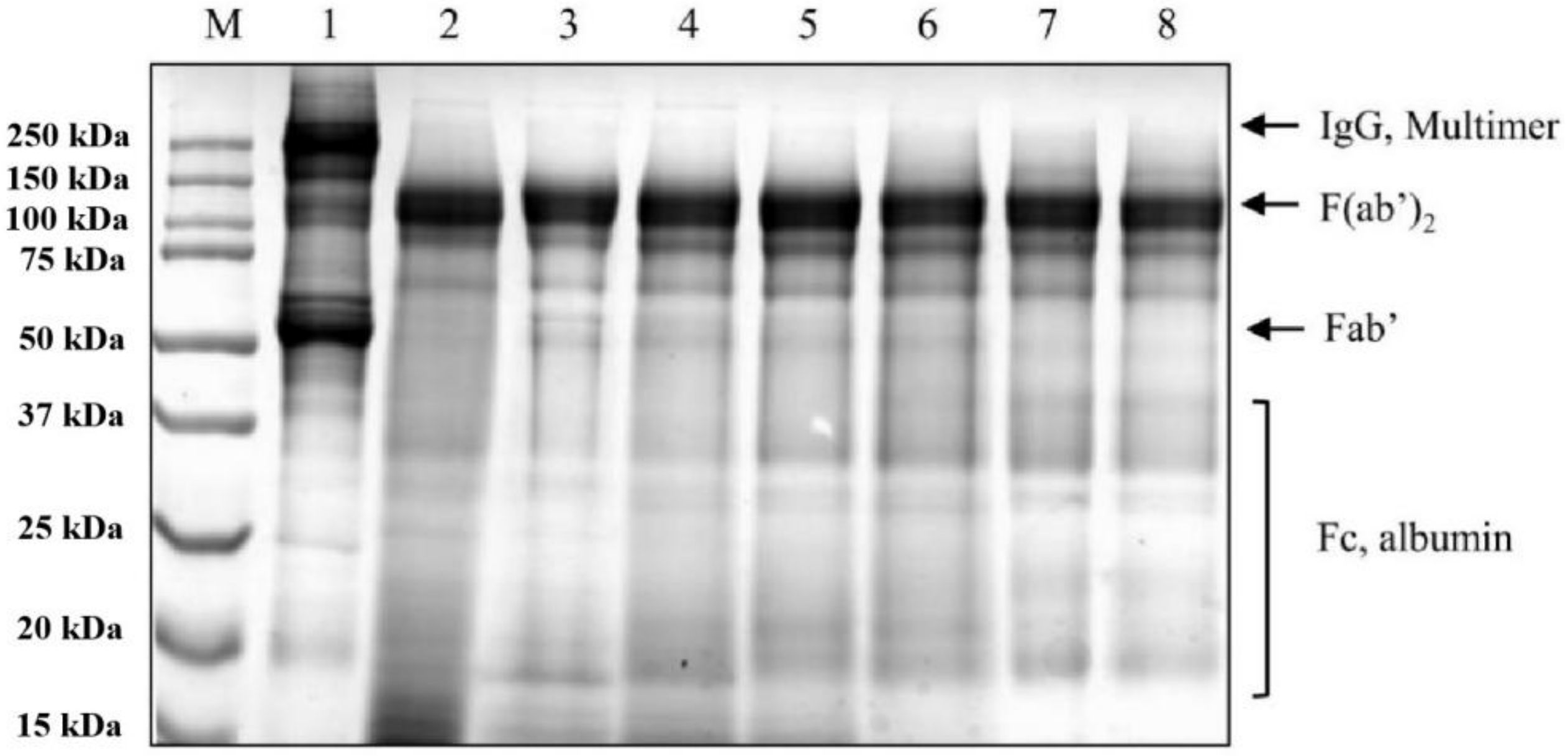
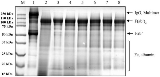
2.3. Purification of HcuAV and Quantitative Analysis
2.4. Binding Ability of HcuAV towards Various Snake Venoms
2.5. Neutralization Effects of HcuAV In Vitro
2.5.1. Neutralization against Neurotoxic Activity
2.5.2. Neutralization against Venom Lethality
2.6. Time-Effect of HcuAV against Sea Snake Venoms In Vivo
2.7. Protective Effects of HcuAV on Organ Damage
3. Discussion
4. Conclusions
5. Materials and Methods
5.1. Preparation of HcuV Antigen and Immunization of Horse
5.2. Immune Titer Detection and Cytotoxicity Assay of the Immune Plasma
5.3. Purification of Antibody
5.4. Binding Assay of HcuAV towards Snake Venoms
5.4.1. Double Immunodiffusion (DID) Assay
5.4.2. ELISA Assay
5.4.3. Western Blot Assay
5.5. Neutralizing Effect of HcuAV against HcuV and HcyV
5.5.1. Neutralization of Venom Neurotoxicity
5.5.2. Median Effective Dose
5.5.3. Time-Effect of HcuAV against Sea Snake Venoms In Vivo
5.5.4. Protective Effects of HcuAV on Organ Damage
5.6. Statistical Analysis
5.7. Ethical Identification
Author Contributions
Funding
Institutional Review Board Statement
Informed Consent Statement
Data Availability Statement
Conflicts of Interest
References
- Lee, C.-S.; Kumar, T.K.S.; Lian, L.-Y.; Cheng, J.-W.; Yu, C. Main-Chain Dynamics of Cardiotoxin II from Taiwan Cobra (Naja naja atra) as Studied by Carbon-13 NMR at Natural Abundance: Delineation of the Role of Functionally Important Residues. Biochemistry 1998, 37, 155–164. [Google Scholar] [CrossRef] [PubMed]
- Kasturiratne, A.; Wickremasinghe, A.R.; De Silva, N.; Gunawardena, N.K.; Pathmeswaran, A.; Premaratna, R.; Savioli, L.; Lalloo, D.G.; De Silva, H.J. The Global Burden of Snakebite: A Literature Analysis and Modelling Based on Regional Estimates of Envenoming and Deaths. PLoS Med. 2008, 5, e218. [Google Scholar] [CrossRef] [PubMed] [Green Version]
- Gutiérrez, J.M.; Calvete, J.J.; Habib, A.G.; Harrison, R.A.; Williams, D.J.; Warrell, D.A. Snakebite envenoming. Nat. Rev. Dis. Primers 2017, 3, 17063. [Google Scholar] [CrossRef] [PubMed]
- Kumar, T.K.S.; Jayaraman, G.; Lee, C.S.; Arunkumar, A.I.; Sivaraman, T.; Samuel, D.; Yu, C. Snake Venom Cardiotoxins-Structure, Dynamics, Function and Folding. J. Biomol. Struct. Dyn. 1997, 15, 431–463. [Google Scholar] [CrossRef]
- Wang, N.; Huang, Y.; Li, A.; Jiang, H.; Wang, J.; Li, J.; Qiu, L.; Li, K.; Lu, Y. Hydrostatin-TL1, an Anti-Inflammatory Active Peptide from the Venom Gland of Hydrophis cyanocinctus in the South China Sea. Int. J. Mol. Sci. 2016, 17, 1940. [Google Scholar] [CrossRef] [Green Version]
- Chen, P.-C.; Huang, M.-N.; Chang, J.-F.; Liu, C.-C.; Chen, C.-K.; Hsieh, C.-H. Snake venom proteome and immuno-profiling of the hundred-pace viper, Deinagkistrodon acutus, in Taiwan. Acta Trop. 2018, 189, 137–144. [Google Scholar] [CrossRef] [PubMed]
- Wißner, A.; Braud, S.; Bon, C. Snake Venom Proteinases as Tools in Hemostasis Studies: Structure-Function Relationship of a Plasminogen Activator Purified from Trimeresurus stejnegeri Venom. Pathophysiol. Haemost. Thromb. 2001, 31, 133–140. [Google Scholar] [CrossRef] [PubMed]
- Lee, C.H.; Lee, Y.C.; Leu, S.J.; Lin, L.T.; Chiang, J.R.; Hsu, W.J.; Yang, Y.Y. Production and Characterization of Neutralizing Antibodies against Bungarus multicinctus Snake Venom. Appl. Environ. Microbiol. 2016, 82, 6973–6982. [Google Scholar] [CrossRef] [PubMed] [Green Version]
- Liang, Q.; Huynh, T.M.; Ng, Y.Z.; Isbister, G.K.; Hodgson, W.C. In Vitro Neurotoxicity of Chinese Krait (Bungarus multicinctus) Venom and Neutralization by Antivenoms. Toxins 2021, 13, 49. [Google Scholar] [CrossRef] [PubMed]
- Dutta, S.; Chanda, A.; Kalita, B.; Islam, T.; Patra, A.; Mukherjee, A.K. Proteomic analysis to unravel the complex venom proteome of eastern India Naja naja: Correlation of venom composition with its biochemical and pharmacological properties. J. Proteom. 2017, 156, 29–39. [Google Scholar] [CrossRef] [PubMed]
- Sintiprungrat, K.; Watcharatanyatip, K.; Senevirathne, W.; Chaisuriya, P.; Chokchaichamnankit, D.; Srisomsap, C.; Ratanabanangkoon, K. A comparative study of venomics of Naja naja from India and Sri Lanka, clinical manifestations and antivenomics of an Indian polyspecific antivenom. J. Proteom. 2016, 132, 131–143. [Google Scholar] [CrossRef] [PubMed]
- Damotharan, P.; Veeruraj, A.; Arumugam, M.; Balasubramanian, T. Isolation and Characterization of Biologically Active Venom Protein from Sea SnakeEnhydrina schistosa. J. Biochem. Mol. Toxicol. 2014, 29, 140–147. [Google Scholar] [CrossRef] [PubMed]
- Neale, V.; Sotillo, J.; Seymour, J.E.; Wilson, D. The Venom of the Spine-Bellied Sea Snake (Hydrophis curtus): Proteome, Toxin Diversity and Intraspecific Variation. Int. J. Mol. Sci. 2017, 18, 2695. [Google Scholar] [CrossRef] [PubMed] [Green Version]
- Durban, J.; Sasa, M.; Calvete, J.J. Venom gland transcriptomics and microRNA profiling of juvenile and adult yellow-bellied sea snake, Hydrophis platurus, from Playa del Coco (Guanacaste, Costa Rica). Toxicon 2018, 153, 96–105. [Google Scholar] [CrossRef]
- Tan, C.H.; Wong, K.Y.; Tan, K.Y.; Tan, N.H. Venom proteome of the yellow-lipped sea krait, Laticauda colubrina from Bali: Insights into subvenomic diversity, venom antigenicity and cross-neutralization by antivenom. J. Proteom. 2017, 166, 48–58. [Google Scholar] [CrossRef]
- Ohno, M.; Ménez, R.; Ogawa, T.; Danse, J.M.; Shimohigashi, Y.; Fromen, C.; Ducancel, F.; Zinn-Justin, S.; Le Du, M.H.; Boulain, J.C.; et al. Molecular evolution of snake toxins: Is the functional diversity of snake toxins associated with a mechanism of accelerated evolution? Prog. Nucleic Acid Res. Mol. Biol. 1998, 59, 307–364. [Google Scholar]
- Barber, C.M.; Isbister, G.K.; Hodgson, W.C. Alpha neurotoxins. Toxicon 2013, 66, 47–58. [Google Scholar] [CrossRef]
- Nirthanan, S. Snake three-finger α-neurotoxins and nicotinic acetylcholine receptors: Molecules, mechanisms and medicine. Biochem. Pharm. 2020, 181, 114168. [Google Scholar] [CrossRef]
- Tamiya, N.; Abe, H. The isolation, properties and amino acid sequence of erabutoxin c, a minor neurotoxic component of the venom of a sea snake Katicauda semifasciata. Biochem. J. 1972, 130, 547–555. [Google Scholar] [CrossRef] [Green Version]
- Tu, A.T.; Ganthavorn, S. Immunological Properties and Neutralization of Sea-Snake Venoms from Southeast Asia. Am. J. Trop. Med. Hyg. 1969, 18, 151–154. [Google Scholar] [CrossRef]
- Tu, A.T.; Fulde, G. Sea snake bites. Clin. Derm. 1987, 5, 118–126. [Google Scholar] [CrossRef]
- Tu, A.T. Biotoxicology of sea snake venoms. Ann. Emerg. Med. 1987, 16, 1023–1028. [Google Scholar] [CrossRef]
- Wang, B.; Wang, Q.; Wang, C.; Wang, B.; Qiu, L.; Zou, S.; Zhang, F.; Liu, G.; Zhang, L. A comparative analysis of the proteomes and biological activities of the venoms from two sea snakes, Hydrophis curtus and Hydrophis cyanocinctus, from Hainan, China. Toxicon 2020, 187, 35–46. [Google Scholar] [CrossRef] [PubMed]
- Avau, B.; Borra, V.; Vandekerckhove, P.; De Buck, E. The Treatment of Snake Bites in a First Aid Setting: A Systematic Review. PLoS Negl. Trop. Dis. 2016, 10, e0005079. [Google Scholar] [CrossRef] [Green Version]
- Bawaskar, H.S. Snake venoms and antivenoms: Critical supply issues. J. Assoc. Physicians India 2004, 52, 11–13. [Google Scholar] [PubMed]
- Alangode, A.; Rajan, K.; Nair, B.G. Snake antivenom: Challenges and alternate approaches. Biochem. Pharmacol. 2020, 181, 114135. [Google Scholar] [CrossRef] [PubMed]
- Sakai, A. Snake antivenom. Chudoku Kenkyu 2017, 30, 41–45. [Google Scholar] [PubMed]
- Chetty, N.; Du, A.; Hodgson, W.C.; Winkel, K.; Fry, B.G. The in vitro neuromuscular activity of Indo-Pacific sea-snake venoms: Efficacy of two commercially available antivenoms. Toxicon 2004, 44, 193–200. [Google Scholar] [CrossRef] [PubMed]
- Tan, C.H.; Tan, K.Y.; Ng, T.S.; Sim, S.M.; Tan, N.H. Venom Proteome of Spine-Bellied Sea Snake (Hydrophis curtus) from Penang, Malaysia: Toxicity Correlation, Immunoprofiling and Cross-Neutralization by Sea Snake Antivenom. Toxins 2018, 11, 3. [Google Scholar] [CrossRef] [PubMed] [Green Version]
- Tan, C.H.; Tan, K.Y.; Tan, N.H. Revisiting Notechis scutatus venom: On shotgun proteomics and neutralization by the “bivalent” Sea Snake Antivenom. J. Proteom. 2016, 144, 33–38. [Google Scholar] [CrossRef]
- Hornbeak, K.B.; Auerbach, P.S. Marine Envenomation. Emerg. Med. Clin. N. Am. 2017, 35, 321–337. [Google Scholar] [CrossRef]
- Tu, A.T.; Hong, B.S. Purification and chemical studies of a toxin from the venom of Lapemis hardwickii (Hardwick’s sea snake). J. Biol. Chem. 1971, 246, 2772–2779. [Google Scholar] [CrossRef]
- Nagamizu, M.; Komori, Y.; Uchiya, K.-I.; Nikai, T.; Tu, A.T. Isolation and Chemical Characterization of a Toxin Isolated from the Venom of the Sea Snake, Hydrophis torquatus aagardi. Toxins 2009, 1, 162–172. [Google Scholar] [CrossRef] [PubMed] [Green Version]
- Tu, A.T.; Salafranca, E.S. Immunological Properties and Neutralization of Sea Snake Venoms (II). Am. J. Trop. Med. Hyg. 1974, 23, 135–138. [Google Scholar] [CrossRef] [PubMed]
- De Silva, H.A.; Ryan, N.M.; de Silva, H.J. Adverse reactions to snake antivenom, and their prevention and treatment. Br. J. Clin. Pharm. 2016, 81, 446–452. [Google Scholar] [CrossRef] [PubMed] [Green Version]
- Stone, S.F.; Isbister, G.; Shahmy, S.; Mohamed, F.; Abeysinghe, C.; Karunathilake, H.; Ariaratnam, A.; Jacoby-Alner, T.E.; Cotterell, C.L.; Brown, S.G.A. Immune Response to Snake Envenoming and Treatment with Antivenom; Complement Activation, Cytokine Production and Mast Cell Degranulation. PLoS Negl. Trop. Dis. 2013, 7, e2326. [Google Scholar] [CrossRef]
- Liu, C.-S.; Blackwell, R. Hydrophitoxin b from Hydrophis cyanocinctus venom. Toxicon 1974, 12, 543–544. [Google Scholar] [CrossRef]
- Ali, S.A.; Alam, J.M.; Abbasi, A.; Zaidi, Z.H.; Stoeva, S.; Voelter, W. Sea snake Hydrophis cyanocinctus venom. II. Histopathological changes, induced by a myotoxic phospholipase A2 (PLA2-H1). Toxicon 2000, 38, 687–705. [Google Scholar] [CrossRef]
- Jenkins, T.P.; Fryer, T.; Dehli, R.I.; Jürgensen, J.A.; Fuglsang-Madsen, A.; Føns, S.; Laustsen, A.H. Toxin Neutralization Using Alternative Binding Proteins. Toxins 2019, 11, 53. [Google Scholar] [CrossRef] [Green Version]
- Jenkins, T.P.; Laustsen, A.H. Cost of Manufacturing for Recombinant Snakebite Antivenoms. Front. Bioeng. Biotechnol. 2020, 8, 703. [Google Scholar] [CrossRef] [PubMed]
- Liu, J.; He, Q.; Wang, W.; Zhou, B.; Li, B.; Zhang, Y.; Luo, C.; Chen, D.; Tang, J.; Yu, X. Preparation and neutralization efficacy of IgY antibodies raised against Deinagkistrodon acutus venom. J. Venom. Anim. Toxins Incl. Trop. Dis. 2017, 23, 22. [Google Scholar] [CrossRef] [PubMed] [Green Version]
- Blackman, J.R.; Dillon, S. Venomous snakebite: Past, present, and future treatment options. J. Am. Board Fam. Pract. 1992, 5, 399–405. [Google Scholar] [PubMed]
- Bermúdez-Méndez, E.; Fuglsang-Madsen, A.; Føns, S.; Lomonte, B.; Gutiérrez, J.M.; Laustsen, A.H. Innovative Immunization Strategies for Antivenom Development. Toxins 2018, 10, 452. [Google Scholar] [CrossRef] [PubMed] [Green Version]
- Laustsen, A.H. Toxin-centric development approach for next-generation antivenoms. Toxicon 2018, 150, 195–197. [Google Scholar] [CrossRef] [Green Version]
- Laustsen, A.H.; Dorrestijn, N. Integrating Engineering, Manufacturing, and Regulatory Considerations in the Development of Novel Antivenoms. Toxins 2018, 10, 309. [Google Scholar] [CrossRef] [PubMed] [Green Version]
- Roncolato, E.C.; Campos, L.B.; Pessenda, G.; e Silva, L.C.; Furtado, G.P.; Barbosa, J.E. Phage display as a novel promising antivenom therapy: A review. Toxicon 2015, 93, 79–84. [Google Scholar] [CrossRef] [PubMed]
- Coleman, R.M.; Kaufman, L. Use of the immunodiffusion test in the serodiagnosis of aspergillosis. Appl. Microbiol. 1972, 23, 301–308. [Google Scholar] [CrossRef]
- Restrepo, M.A. The immunodiffusion technic in the diagnosis of paracoccidioidomycosis. Sabouraudia 1966, 4, 223–230. [Google Scholar] [CrossRef] [PubMed]
- Tamiya, N.; Yagi, T. Studies on sea snake venom. Proc. Jpn. Acad. Ser. B Phys. Biol. Sci. 2011, 87, 41–52. [Google Scholar] [CrossRef] [PubMed] [Green Version]
- Morais, V.; Ifran, S.; Berasain, P.; Massaldi, H. Antivenoms: Potency or median effective dose, which to use? J. Venom. Anim. Toxins Incl. Trop. Dis. 2010, 16, 191–193. [Google Scholar] [CrossRef]
- Faisal, T.; Tan, K.Y.; Sim, S.M.; Quraishi, N.; Tan, N.H.; Tan, C.H. Proteomics, functional characterization and antivenom neutralization of the venom of Pakistani Russell’s viper (Daboia russelii) from the wild. J. Proteom. 2018, 183, 1–13. [Google Scholar] [CrossRef] [PubMed]











| Horse | Plasma 1 (10 d) | Plasma 2 (20 d) | Plasma 3 (30 d) | Plasma 4 (40 d) | Plasma 5 (50 d) |
|---|---|---|---|---|---|
| 1 | 0.052 | 0.428 | 0.781 | 1.233 | 1.712 |
| 2 | 0.050 | 0.321 | 0.602 | 1.031 | 1.342 |
| 3 | 0.045 | 0.407 | 0.711 | 1.111 | 1.687 |
| 4 | 0.046 | 0.381 | 0.627 | 1.103 | 1.548 |
| No. | Sample | IgG, Multimer (%) | F(ab’)2 (%) | Fragments (%) (Fc, Fab’, Albumin) |
|---|---|---|---|---|
| 1 | Enzyme digestion solution | 17.8 | 19.8 | 62.4 |
| 2 | Supernatant I after primary precipitation | 2.6 | 42.8 | 54.6 |
| 3 | Precipitation resuspension after secondary precipitation | 3.5 | 57.7 | 38.8 |
| 4 | Supernatant II after alum adsorption | 0.02 | 76.3 | 23.6 |
| 5 | Ultrafiltrate | 2.9 | 84.5 | 12.6 |
| 6 | Stock solution | 1.2 | 91.6 | 7.2 |
Publisher’s Note: MDPI stays neutral with regard to jurisdictional claims in published maps and institutional affiliations. |
© 2022 by the authors. Licensee MDPI, Basel, Switzerland. This article is an open access article distributed under the terms and conditions of the Creative Commons Attribution (CC BY) license (https://creativecommons.org/licenses/by/4.0/).
Share and Cite
Wang, B.; Liu, G.; Luo, M.; Zhang, X.; Wang, Q.; Zou, S.; Zhang, F.; Jin, X.; Zhang, L. Preparation and Evaluation of a Horse Antiserum against the Venom of Sea Snake Hydrophis curtus from Hainan, China. Toxins 2022, 14, 253. https://doi.org/10.3390/toxins14040253
Wang B, Liu G, Luo M, Zhang X, Wang Q, Zou S, Zhang F, Jin X, Zhang L. Preparation and Evaluation of a Horse Antiserum against the Venom of Sea Snake Hydrophis curtus from Hainan, China. Toxins. 2022; 14(4):253. https://doi.org/10.3390/toxins14040253
Chicago/Turabian StyleWang, Bo, Guoyan Liu, Min Luo, Xin Zhang, Qianqian Wang, Shuaijun Zou, Fuhai Zhang, Xia Jin, and Liming Zhang. 2022. "Preparation and Evaluation of a Horse Antiserum against the Venom of Sea Snake Hydrophis curtus from Hainan, China" Toxins 14, no. 4: 253. https://doi.org/10.3390/toxins14040253
APA StyleWang, B., Liu, G., Luo, M., Zhang, X., Wang, Q., Zou, S., Zhang, F., Jin, X., & Zhang, L. (2022). Preparation and Evaluation of a Horse Antiserum against the Venom of Sea Snake Hydrophis curtus from Hainan, China. Toxins, 14(4), 253. https://doi.org/10.3390/toxins14040253

