Urine Cytological Diagnostics: Possibilities and Limitations—A 25-Year Review and Overview at Hannover Medical School
Abstract
1. Introduction
2. Material and Methods
2.1. Case Selection
2.2. Sample Collection
- Spontaneous urine, ideally from the second morning void, was preferred for standard analysis (Figure 1).
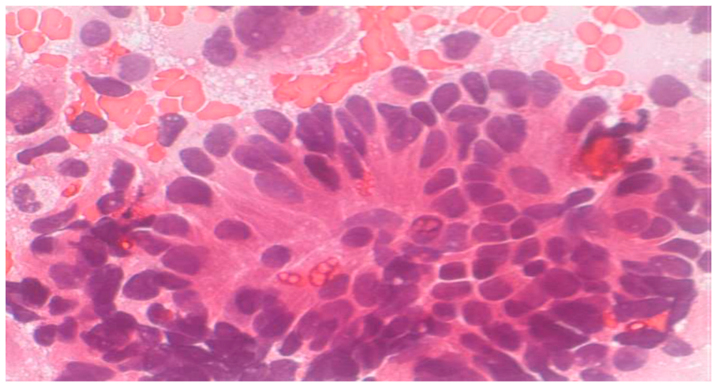
- Catheterized urine was frequently used and often contained epithelial formations from the urethra (Figure 2).
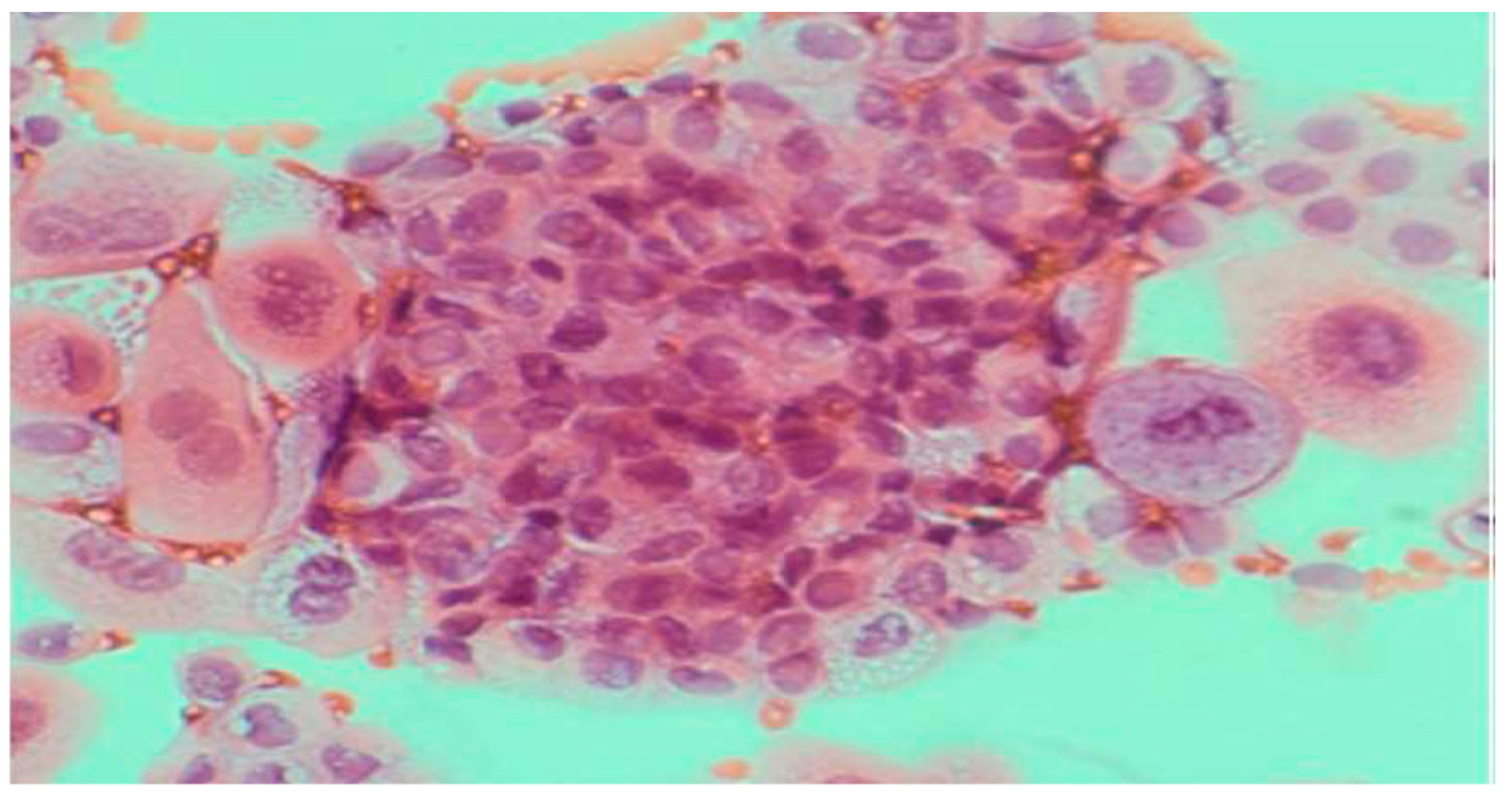
- Voided urine helped in localizing tumors within the urinary tract (Figure 3).
- Inadequate sample is defined when there are <500 cells, or heavily bloody or granular, >50% degenerated.
- Additional collection methods included:
- ○
- Timed urine collection (4–24 h)
- ○
- Midstream urine (primarily for infection diagnosis)
- ○
- Brush smear technique
- ○
- Ileum conduit samples
- ○
- Suprapubic bladder puncture
2.3. Slide Preparation and Staining Techniques
- For each case, four cytocentrifuge slides were prepared using a cytocentrifuge by Cytospin (Kirchlengern, North Rhine-Westphalia, Germany) at 800 rpm for 10 min. In cases of bloody or viscous samples, sediment smears were also prepared.
- Staining protocols included:
- May–Grünwald–Giemsa (MGG)
- Papanicolaou stain
- Additionally, phase contrast microscopy was performed using unstained slides without coverslips. Special stains were applied in selected cases to address specific diagnostic questions.
2.4. Cytological Classification and Ancillary Techniques
- To improve diagnostic accuracy in suspected metastatic cases, additional immunohistochemical and molecular techniques were employed.
2.5. The Atypical Urothelial Cells (AUCs)
2.6. Sensitivity and Specificity Calculation
- Positive cases: histologically confirmed low- or high-grade urothelial neoplasms.
- Negative cases: cytologically normal and inflammatory/reactive lesions.
- Excluded from sensitivity calculation: insufficient samples (n = 336).
- False-negative cases: cytologically non-malignant but histologically confirmed neoplasms.
- False-positive cases: cytologically atypical or suspicious but histologically benign.
3. Results
- Normal urothelial and non-urothelial cells: umbrella cells, intermediate, basal, squamous, renal tubular, seminal vesicle, and urethral gland cells (Figure 1, Figure 2 and Figure 3, and Figures S1–S4).
- Reactive/inflammatory changes: catheterization, metaplasia, post-radiotherapy, infections, cytostatic therapy, urothelial hyperplasia, crystal-associated changes, cystitis variants, metanephric metaplasia, malakoplakia, inflammatory pseudotumors (Figures S5–S12).
- Atypical, dysplastic, and neoplastic changes: AUC, flat neoplasms (dysplasia, CIS), benign and malignant papillary neoplasms, invasive carcinoma, metastatic tumors (Figure 4 and Figure 5, and Figures S13–S24,).
- In Summary (Table 6)
- Total cases: 9639; analyzed cases with sufficient cytology: 9303 (after excluding 336 cases with insufficient or inappropriate material).
- Cytologically normal: 88; insufficient: 336.
- Inflammatory/reactive changes: 7051; false negatives (FN) among these were 130 (1.84%), leaving 6921 true non-malignant cases.
- Atypical urothelial changes (AUCs): 895; of these, 451 were later confirmed as malignant, 245 showed no evidence of neoplasia (false positives, FP = 245), and 199 lacked histological correlation.
- Total number of non-malignant (inflammatory/reactive) samples: 6921. Atypical cellular changes were observed in 895 samples, of which 245 showed no malignancy (false positives, FP = 650).
- Most false-negative cases (63.86%) were HGUC (G2–G3), often masked by inflammation or ulceration.
- Malignant urothelial changes (TP) were confirmed in 1269 cases.
- Sensitivity = TP/(TP + FN) = 1269/(1269 + 130) = 90.7%
- Specificity = TN/(TN + FP) = 6921/(6921 + 245) = 96.64%
4. Discussion
- Sample heterogeneity (voided, catheterized, timed, ileal conduit, etc.) may affect cellular yield, contamination, and morphology, influencing sensitivity, specificity, and false-positive/negative rates over this 25-year period.
- Extensive cytomorphological descriptions were summarized in a dedicated section to improve readability.
- Diagnostic criteria for AUCs and differentiation from low/high-grade lesions are now explicitly described to enhance interpretative clarity.
- Of the 895 AUC cases, 199 (22.2%) lacked histological follow-up. Excluding these cases from false-positive calculations may lead to selection bias and overestimation of diagnostic accuracy. This limitation must be considered when interpreting the false-positive rate of 35.2% in the atypical category.
- Retrospective design, incomplete histology, heterogeneous sample collection, potential selection bias over the 25-year period.
- Future directions: integration of molecular diagnostics and AI-assisted cytology may enhance sensitivity and reduce interpretive variability.
Supplementary Materials
Author Contributions
Funding
Institutional Review Board Statement
Informed Consent Statement
Data Availability Statement
Conflicts of Interest
References
- Sung, H.; Ferlay, J.; Siegel, R.L.; Laversanne, M.; Soerjomataram, I.; Jemal, A.; Bray, F. Global Cancer Statistics 2020: GLOBOCAN Estimates of Incidence and Mortality Worldwide for 36 Cancers in 185 Countries. CA Cancer J. Clin. 2021, 71, 209–249. [Google Scholar] [CrossRef] [PubMed]
- Mokhtar, G.A.; Al-Dousari, M.; Al-Ghamedi, D. Diagnostic significance of atypical category in the voided urine samples: A retrospective study in a tertiary care center. Urol. Ann. 2010, 2, 100–106. [Google Scholar] [CrossRef] [PubMed]
- Papanicolaou, G.N.; Marshall, V.F. Urine sediment smears as a diagnostic procedure in cancers of the urinary tract. Science 1945, 101, 519–520. [Google Scholar] [CrossRef] [PubMed]
- Netto, G.J.; Amin, M.B.; Berney, D.M.; Compérat, E.M.; Gill, A.J.; Hartmann, A.; Menon, S.; Raspollini, M.R.; Rubin, M.A.; Srigley, J.R.; et al. The 2022 World Health Organization Classification of Tumors of the Urinary System and Male Genital Organs-Part B: Prostate and Urinary Tract Tumors. Eur. Urol. 2022, 82, 469–482. [Google Scholar] [CrossRef] [PubMed]
- World Health Organization Classification of Tumours. Pathology and Genetics of Tumours of the Urinary System and Male Genital Organs; Hartmann, A., Sauter, J.M., Dietel, M., Eble, R.E., Henke, G.S.H.W., Rübben, A., Eds.; IARC Press: Lyon, France, 2004. [Google Scholar]
- Reid, M.D.; Osunkoya, A.O.; Siddiqui, M.T.; Looney, S.W. Accuracy of grading of urothelial carcinoma on urine cytology: An analysis of interobserver and intraobserver agreement. Int. J. Clin. Exp. Pathol. 2012, 5, 882–891. [Google Scholar] [PubMed]
- Mowatt, G.; Zhu, S.; Kilonzo, M.; Boachie, C.; Fraser, C.; Griffiths, T.R.; N’Dow, J.; Nabi, G.; Cook, J.; Vale, L. Systematic review of the clinical effectiveness and cost-effectiveness of photodynamic diagnosis and urine biomarkers (FISH, ImmunoCyt, NMP22) and cytology for the detection and follow-up of bladder cancer. Health Technol. Assess. 2010, 14, 1–331. [Google Scholar] [CrossRef] [PubMed]
- Piaton, E.; Faynel, J.; Hutin, K.; Ranchin, M.C.; Cottier, M. Conventional liquid-based techniques versus Cytyc Thinprep processing of urinary samples: A qualitative approach. BMC Clin. Pathol. 2005, 5, 9. [Google Scholar] [CrossRef] [PubMed]
- Muus Ubago, J.; Mehta, V.; Wojcik, E.M.; Barkan, G.A. Evaluation of atypical urine cytology progression to malignancy. Cancer Cytopathol. 2013, 121, 387–391. [Google Scholar] [CrossRef] [PubMed]
- Lee, P.J.; Owens, C.L.; Lithgow, M.Y.; Jiang, Z.; Fischer, A.H. Causes of false-negative results for high-grade urothelial carcinoma in urine cytology. Diagn. Cytopathol. 2016, 44, 994–999. [Google Scholar] [CrossRef] [PubMed]
- Chang, S.; Smith, E.; Levin, M.; Rao, J.Y.; Moatamed, N.A. Comparative study of ProEx C immunocytochemistry and UroVysion fluorescent in-situ hybridization assays on urine cytology specimens. Cytojournal 2015, 12, 2. [Google Scholar] [CrossRef] [PubMed]






| Cytology | G1 | G2 | G3 |
|---|---|---|---|
| Cell polymorphy | −/+ | + | ++/+++ |
| Cell size | + | ++ | +++ |
| Nucleous-plasma-relation | + | ++ | +++ |
| Nucleus size | + | ++ | +++ |
| Nuclear shape | round-oval | irregular | pleomorph |
| Nuclear polymorphism | + | + | +++ |
| Chromatin | fine | irregular | hyperchromatic |
| Nucleoli | − | − | ++ |
| Mitosen | − | −/+ | ++ |
| Umbrella cells | ++ | + | −/++ |
| Cell groups | ++ | +/++ | −/+++ |
| Cytological Diagnosis | n | % |
|---|---|---|
| Non-sufficient material | 336 | 3.47 |
| Normal urine samples | 88 | 0.90 |
| Inflammatory-reactive changes | 7051 | 73.15 |
| Atypical urothelial changes | 895 | 9.30 |
| Malignant urothelial changes | 1269 | 13.18 |
| Total | 9639 | 100% |
| Histological Diagnosis | n | % |
|---|---|---|
| Low-grade samples (G1) | 75 | 8.38 |
| High-grade samples (G2 and G3) | 89 + 162 = 251 | 28.04 |
| Carcinoma in situ | 110 | 12.29 |
| PUNLMP | 15 | 1.68 |
| Urine samples without histological atypia or malignancy | 245 | 27.38 |
| Urine samples without histology | 199 | 22.23 |
| Total | 895 | 100% |
| Histological Diagnosis | n | % |
|---|---|---|
| Low-grade (G1) | 33 | 25.38 |
| High-grade (G2 and G3) | 83 | 63.86 |
| Carcinoma in situ | 12 | 9.23 |
| PUNLMP | 2 | 1.53 |
| Total | 130 | 100 |
| Diagnosis | n | % |
|---|---|---|
| Urothelial neoplasia | 1850 | 99.40 |
| Metastasis | 11 | 0.60 |
| Renal cell carcinoma | 2 | |
| Colonic carcinoma (Figure S12) | 2 | |
| Prostata carcinoma | 2 | |
| Chondrosacoma | 1 | |
| Vaginal carcinoma | 1 | |
| Malignant melanoma | 1 | |
| Gastric adenocarcinoma | 1 | |
| Pancreas carcinoma | 1 | |
| Total | 1861 | 100% |
| Cytology\Histology | Malignant (TP + FN) | Non-Malignant (TN + FP) | Total |
|---|---|---|---|
| Malignant (TP) | 1269 | 245 (false positives) | 1514 |
| Non-Malignant | 130 (false negatives) | 6921 | 7051 |
| Total | 1399 | 7166 | 8565 |
Disclaimer/Publisher’s Note: The statements, opinions and data contained in all publications are solely those of the individual author(s) and contributor(s) and not of MDPI and/or the editor(s). MDPI and/or the editor(s) disclaim responsibility for any injury to people or property resulting from any ideas, methods, instructions or products referred to in the content. |
© 2025 by the authors. Licensee MDPI, Basel, Switzerland. This article is an open access article distributed under the terms and conditions of the Creative Commons Attribution (CC BY) license (https://creativecommons.org/licenses/by/4.0/).
Share and Cite
Bisharah, S.; Raap, M.; Abbas, M. Urine Cytological Diagnostics: Possibilities and Limitations—A 25-Year Review and Overview at Hannover Medical School. Clin. Pract. 2025, 15, 234. https://doi.org/10.3390/clinpract15120234
Bisharah S, Raap M, Abbas M. Urine Cytological Diagnostics: Possibilities and Limitations—A 25-Year Review and Overview at Hannover Medical School. Clinics and Practice. 2025; 15(12):234. https://doi.org/10.3390/clinpract15120234
Chicago/Turabian StyleBisharah, Soudah, Mieke Raap, and Mahmoud Abbas. 2025. "Urine Cytological Diagnostics: Possibilities and Limitations—A 25-Year Review and Overview at Hannover Medical School" Clinics and Practice 15, no. 12: 234. https://doi.org/10.3390/clinpract15120234
APA StyleBisharah, S., Raap, M., & Abbas, M. (2025). Urine Cytological Diagnostics: Possibilities and Limitations—A 25-Year Review and Overview at Hannover Medical School. Clinics and Practice, 15(12), 234. https://doi.org/10.3390/clinpract15120234

