Ultrasound Assessment of the Tibial Nerve at the Retromalleolar Level: Influence of Anthropometric Characteristics and Clinical Implications
Abstract
1. Introduction
2. Materials and Methods
2.1. Study Design and Participants
2.2. Calibration
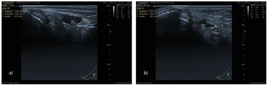
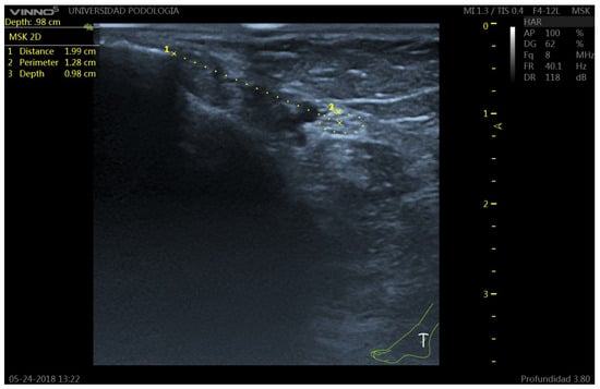
2.3. Ultrasound Protocol
- Distance (D): from the most prominent point of the medial malleolus to the center of the TN.
- Depth (d): perpendicular distance from the skin surface to the upper edge of the tibial nerve perimeter.
- Perimeter (P): measured along the outer contour of the TN.
- TN–PTA relationship: classified according to the relative position of both structures.
2.3.1. Classification of Nerve–Artery Relationship
- Type I: When, after outlining the perimeter of the tibial nerve, the nerve is located posterior to the posterior tibial artery.
- Type II: When, after outlining the perimeter of the tibial nerve, the nerve is located anterior to the posterior tibial artery.
- Type III: When, after outlining the perimeter of the tibial nerve, the nerve trunk is positioned beneath the vascular bundle, in a lateral position relative to the posterior tibial artery.
- Type IV: When more than one trunk corresponding to the tibial nerve is observed.
2.3.2. Anthropometric Variables
2.4. Statistical Analysis
3. Results
3.1. Participant Characteristics
3.2. Ultrasound Measurements of the Tibial Nerve
3.3. Anatomical Relationship Between the Tibial Nerve and Posterior Tibial Artery
3.4. Analysis of Tibial Nerve Position by Sex and BMI Category
3.5. Analysis of Anatomical Relationship Between the Tibial Nerve and Posterior Tibial Artery by Sex and BMI Category
3.6. Analysis of Anatomical Relationship Between the Tibial Nerve and Posterior Tibial Artery by Weight, Height, BMI and Ankle Circumference
3.7. Correlation Analysis
4. Discussion
Study Limitations
5. Conclusions
Author Contributions
Funding
Institutional Review Board Statement
Informed Consent Statement
Data Availability Statement
Acknowledgments
Conflicts of Interest
References
- De La Quintana, B.; López, E. Anestesia para la cirugía del pie. In Podología Quirúrgica; Izquierdo, J.O., Ed.; Elsevier: Madrid, Spain, 2006; pp. 1–10. [Google Scholar]
- Hromádka, R.; Barták, V.; Popelka, S.; Pokorný, D.; Jahoda, D.; Sosna, A. Ankle block implemented through two skin punctures. Foot Ankle Int. 2010, 31, 619–623. [Google Scholar] [CrossRef] [PubMed]
- Wassef, M.R. Posterior tibial nerve block. A new approach using the bony landmark of the sustentaculum tali. Anaesthesia. 1991, 46, 841–844. [Google Scholar] [CrossRef] [PubMed]
- Delgado-Martínez, A.D.; Marchal, J.M.; Molina, M.; Palma, A. Forefoot surgery with ankle tourniquet: Complete or selective ankle block? Reg. Anesth. Pain Med. 2001, 26, 184–186. [Google Scholar] [CrossRef] [PubMed]
- Benimeli-Fenollar, M.; Montiel-Company, J.M.; Almerich-Silla, J.M.; Cibrián, R.; Macián-Romero, C. Tibial Nerve Block: Supramalleolar or Retromalleolar Approach? A Randomized Trial in 110 Participants. Int. J. Environ. Res. Public Health 2020, 17, 3860. [Google Scholar] [CrossRef]
- Kim, D.-I.; Kim, Y.-S.; Han, S.-H. Topography of human ankle joint: Focused on posterior tibial artery and tibial nerve. Anat. Cell Biol. 2015, 48, 130–137. [Google Scholar] [CrossRef]
- Andreasen Struijk, L.N.S.; Birn, H.; Teglbjærg, P.S.; Haase, J.; Struijk, J.J. Size and separability of the calcaneal and the medial and lateral plantar nerves in the distal tibial nerve. Anat. Sci. Int. 2010, 85, 13–22. [Google Scholar] [CrossRef]
- Dellon, A.L.; Mackinnon, S.E. Tibial nerve branching in the tarsal tunnel. Arch. Neurol. 1984, 41, 645–646. [Google Scholar] [CrossRef]
- Bareither, D.J.; Genau, J.M.; Massaro, J.C. Variation in the division of the tibial nerve: Application to nerve blocks. J. Foot Surg. 1990, 29, 581–583. [Google Scholar]
- Louisia, S.; Masquelet, A.C. The medial and inferior calcaneal nerves: An anatomic study. Surg. Radiol. Anat. 1999, 21, 169–173. [Google Scholar] [CrossRef]
- Horwitz, M.T. Normal Anatomy and Variations of the Peripheral Nerves of the Leg and Foot: Application in Operations for Vascular Diseases: Study of One Hundred Specimens. Arch. Surg. 1938, 36, 626–636. [Google Scholar] [CrossRef]
- Havel, P.E.; Ebraheim, N.A.; Clark, S.E.; Jackson, W.T.; DiDio, L. Tibial nerve branching in the tarsal tunnel. Foot Ankle 1988, 9, 117–119. [Google Scholar] [CrossRef] [PubMed]
- Govsa, F.; Bilge, O.; Ozer, M.A. Variations in the origin of the medial and inferior calcaneal nerves. Arch. Orthop. Trauma Surg. 2006, 126, 6–14. [Google Scholar] [CrossRef] [PubMed]
- Gamie, Z.; Donnelly, L.; Tsiridis, E. The “safe zone” in medial percutaneous calcaneal pin placement. Clin. Anat. 2009, 22, 523–529. [Google Scholar] [CrossRef] [PubMed]
- Ghosh, S.K.; Raheja, S.; Tuli, A. Potential sites of compression of tibial nerve branches in foot: A cadaveric and imaging study. Clin. Anat. 2013, 26, 768–779. [Google Scholar] [CrossRef]
- Redborg, K.E.; Antonakakis, J.G.; Beach, M.L.; Chinn, C.D.; Sites, B.D. Ultrasound improves the success rate of a tibial nerve block at the ankle. Reg. Anesth. Pain Med. 2009, 34, 256–260. [Google Scholar] [CrossRef]
- Kim, B.S.; Choung, P.W.; Kwon, S.W.; Rhyu, I.J.; Kim, D.H. Branching patterns of medial and inferior calcaneal nerves around the tarsal tunnel. Ann. Rehabil. Med. 2015, 39, 52–55. [Google Scholar] [CrossRef]
- Davis, T.J.; Schon, L.C. Branches of the tibial nerve: Anatomic variations. Foot Ankle Int. 1995, 16, 21–29. [Google Scholar] [CrossRef]
- Zhou, G.-Q.; Zheng, Y.-P.; Zhou, P. Measurement of Gender Differences of Gastrocnemius Muscle and Tendon Using Sonomyography during Calf Raises: A Pilot Study. Biomed Res. Int. 2017, 2017, 6783824. [Google Scholar] [CrossRef]
- Otsuka, S.; Yakura, T.; Ohmichi, Y.; Ohmichi, M.; Naito, M.; Nakano, T.; Kawakami, Y. Site specificity of mechanical and structural properties of human fascia lata and their gender differences: A cadaveric study. J. Biomech. 2018, 77, 69–75. [Google Scholar] [CrossRef]
- Hattori, K.; Numata, N.; Ikoma, M.; Matsuzaka, A.; Danielson, R.R. Sex differences in the distribution of subcutaneous and internal fat. Hum. Biol. 1991, 63, 53–63. [Google Scholar]
- Karastergiou, K.; Smith, S.R.; Greenberg, A.S.; Fried, S.K. Sex differences in human adipose tissues–the biology of pear shape. Biol. Sex Differ. 2012, 3, 13. [Google Scholar] [CrossRef]
- Chiaramonte, R.; Bonfiglio, M.; Castorina, E.G.; Antoci, S.A.M. The primacy of ultrasound in the assessment of muscle architecture: Precision, accuracy, reliability of ultrasonography. Physiatrist, radiologist, general internist, and family practitioner’s experiences. Rev. Assoc. Med. Bras. 2019, 65, 165–170. [Google Scholar] [CrossRef]







| Variable | Mean (Range) | 95% CI |
|---|---|---|
| Age (years) | 27.5 (19–65) | [25.6–29.5] |
| Height (m) | 1.68 (1.51–1.93) | [1.66–1.70] |
| Weight (Kg) | 65.3 (40–105) | [62.7–67.9] |
| BMI (kg/m2) | 22.8 (16.6–36.3) | [22.1–23.5] |
| Ankle circumference (cm) | 24.9 (22–29) | [24.5–25.2] |
| Variable | Mean (Range) | 95% CI |
|---|---|---|
| TN-malleolus distance (cm) | 2.17 (1.03–3.28) | [2.09–2.25] |
| TN Depth (cm) | 0.91 (0.46–1.39) | [0.86–0.95] |
| TN perimeter (mm) | 1.35 (0.96–1.9) | [1.31–1.39] |
| N | Mean | 95% CI | Statistical Test | |||
|---|---|---|---|---|---|---|
| TN-malleolus distance | Sex | Woman | 58 | 1.99 | [1.91–2.08] | Student t p value < 0.001 * |
| Man | 42 | 2.42 | [2.28–2.54] | |||
| BMI category | 1 | 6 | 2.19 | [2.04–2.34] | ANOVA test p value = 0.276 | |
| 2 | 66 | 2.25 | [2.14–2.35] | |||
| 3 | 25 | 2.39 | [2.26–2.52] | |||
| 4 | 3 | 2.49 | [2.06–2.91] | |||
| TN depth | Sex | Woman | 58 | 0.94 | [0.88–1.00] | Student t p value = 0.047 * |
| Man | 42 | 0.86 | [0.79–0.92] | |||
| BMI category | 1 | 6 | 0.77 | [0.54–0.99] | ANOVA test p value = 0.055 | |
| 2 | 66 | 0.89 | [0.84–0.94] | |||
| 3 | 25 | 0,95 | [0.86–1.04] | |||
| 4 | 3 | 1.15 | [0.66–1.65] | |||
| Type I N = 60 | Type II N = 2 | Type III N = 28 | Type IV N = 10 | Statistical Test | |||||
|---|---|---|---|---|---|---|---|---|---|
| N (%) | 95% CI | N (%) | 95% CI | N (%) | 95% CI | N (%) | 95% CI | Chi2 Test | |
| Woman | 44 (75.9) | [63.5–85.0] | 1 (1.7) | [0.3–9.1] | 12 (20.7) | [12.3–32.8] | 1 (1.7) | [0.3–9.1] | p value < 0.001 * |
| Man | 16 (38.1) | [24.9–53.2] | 1 (2.4) | [0.4–12.3] | 16 (38.1) | [24.9–53.2] | 9 (21.4) | [11.7–35.9] | |
| Cat. 1 | 6 (100.0) | [60.9–100] | 0 (0.0) | [0–39.0] | 0 (0.0) | [0–39.0] | 0 (0.0) | [0–39.0] | p value = 0.602 |
| Cat. 2 | 39 (59.1) | [47.0–70.1] | 2 (3.0) | [0.8–10.4] | 17 (25.8) | [16.7–37.4] | 8 (12.1) | [6.3–22.1] | |
| Cat. 3 | 13 (52.0) | [33.5–69.9] | 0 (0.0) | [0–13.3] | 10 (40.0) | [23.4–59.3] | 2 (8.0) | [2.2–24.9] | |
| Cat. 4 | 2 (66.7) | [20.7–93.8] | 0 (0.0) | [0–56.1] | 1 (33.3) | [6.1–79.2] | 0 (0.0) | [0–56.1] | |
| Type I N = 60 | Type II N = 2 | Type III N = 28 | Type IV N = 10 | ANOVA Test | Bonferroni POST HOC | |||||
|---|---|---|---|---|---|---|---|---|---|---|
| Mean | 95% CI | Mean | 95% CI | Mean | 95% CI | Mean | 95% CI | |||
| Weight | 61.5 | [58.4–64.7] | 67.5 | [35.7–92.3] | 71.7 | [66.4–77.1] | 69.8 | [62.5–77.1] | p value = 0.004 * | Position 1 vs. 3 p value = 0.004 |
| Height | 1.65 | [1.63–1.67] | 1.72 | [1.21–2.22] | 1.72 | [1.69–1.76] | 1.77 | [1.72–1.82] | p value < 0.001 * | Position 1 vs. 3 p value = 0.001 |
| BMI | 22.4 | [21.6–23.2] | 22.8 | [20.1–25.6] | 23.9 | [22.4–25.4] | 22.3 | [20.1–24.5] | p value = 0.253 | - |
| Malleolar circumference | 24.5 | [24.0–24.9] | 24.3 | [21.1–27.4 | 25.2 | [24.6–25.8] | 26.4 | [25.2–27.5] | p value = 0.006 * | Position 1 vs. 4 p value = 0.008 |
| TN Perimeter | TN Depth | Malleolar Circumference | Age | BMI | Heigh | Weigh | ||
|---|---|---|---|---|---|---|---|---|
| TN-Malleolus distance | Pearson Correlation (two-tailed sig.) | 0.007 0.945 | −0.188 0.061 | 0.303 ** 0.002 | 0.076 0.453 | 0.159 0.155 | 0.409 ** 0.000 | 0.340 ** 0.001 |
| TN perimeter | Pearson Correlation (two-tailed sig.) | 0.128 0.205 | 0.019 0.851 | 0.027 0.788 | 0.202 * 0.044 | −0.192 0.055 | 0.038 0.707 | |
| TN depth | Pearson Correlation (two-tailed sig.) | −0.006 0.955 | −0.057 0.573 | 0.190 0.059 | −0.097 0.339 | 0.080 0.430 | ||
| Malleolar circumference | Pearson Correlation (two-tailed sig.) | 0.245 * 0.014 | 0.496 ** 0.000 | 0.699 ** 0.000 | 0.746 ** 0.000 | |||
| Age | Pearson Correlation (two-tailed sig.) | 0.308 ** 0.002 | −0.033 0.745 | 0.202 * 0.044 | ||||
| BMI | Pearson Correlation (two-tailed sig.) | 0.195 0.052 | 0.828 ** 0.000 | |||||
| Height | Pearson Correlation (two-tailed sig.) | 0.706 ** 0.000 | ||||||
| Variable | Comparison | Significant Result | p-Value |
|---|---|---|---|
| TN-malleolus distance | Sex (men vs. women) | Men showed a greater TN-malleolus distance | p = 0.000 |
| TN depth | Sex (men vs. women) | Women showed a greater TN depth | p = 0.047 |
| TN-PTA relationship | Sex | Differences in distribution of Types I–IV (women predominantly Type I; men more Type III and IV) | p = 0.000 |
| TN-PTA relationship | Weight categories | Significant differences mainly between Type I and Type III | p = 0.004 |
| TN-PTA relationship | Height categories | Significant differences mainly between Type I and Type III | p = 0.000 |
| TN-PTA relationship | Ankle circumference categories | Significant differences mainly between Type I and Type IV | p = 0.006 |
| Correlation (Pearson) | TN-malleolus distance and weight | Positive correlation | p = 0.001 |
| Correlation (Pearson) | TN-malleolus distance and height | Positive correlation | p = 0.000 |
| Correlation (Pearson) | TN-malleolus distance and ankle circumference | Positive correlation | p = 0.002 |
Disclaimer/Publisher’s Note: The statements, opinions and data contained in all publications are solely those of the individual author(s) and contributor(s) and not of MDPI and/or the editor(s). MDPI and/or the editor(s) disclaim responsibility for any injury to people or property resulting from any ideas, methods, instructions or products referred to in the content. |
© 2025 by the authors. Licensee MDPI, Basel, Switzerland. This article is an open access article distributed under the terms and conditions of the Creative Commons Attribution (CC BY) license (https://creativecommons.org/licenses/by/4.0/).
Share and Cite
Benimeli-Fenollar, M.; Macián-Romero, C.; Carbonell-José, L.; Chiva-Miralles, M.J.; Montiel-Company, J.M.; Almerich-Silla, J.M.; Cibrian, R.; Tomás-Martínez, V. Ultrasound Assessment of the Tibial Nerve at the Retromalleolar Level: Influence of Anthropometric Characteristics and Clinical Implications. Clin. Pract. 2025, 15, 227. https://doi.org/10.3390/clinpract15120227
Benimeli-Fenollar M, Macián-Romero C, Carbonell-José L, Chiva-Miralles MJ, Montiel-Company JM, Almerich-Silla JM, Cibrian R, Tomás-Martínez V. Ultrasound Assessment of the Tibial Nerve at the Retromalleolar Level: Influence of Anthropometric Characteristics and Clinical Implications. Clinics and Practice. 2025; 15(12):227. https://doi.org/10.3390/clinpract15120227
Chicago/Turabian StyleBenimeli-Fenollar, María, Cecili Macián-Romero, Lucía Carbonell-José, María José Chiva-Miralles, José Maria Montiel-Company, José Manuel Almerich-Silla, Rosa Cibrian, and Vicent Tomás-Martínez. 2025. "Ultrasound Assessment of the Tibial Nerve at the Retromalleolar Level: Influence of Anthropometric Characteristics and Clinical Implications" Clinics and Practice 15, no. 12: 227. https://doi.org/10.3390/clinpract15120227
APA StyleBenimeli-Fenollar, M., Macián-Romero, C., Carbonell-José, L., Chiva-Miralles, M. J., Montiel-Company, J. M., Almerich-Silla, J. M., Cibrian, R., & Tomás-Martínez, V. (2025). Ultrasound Assessment of the Tibial Nerve at the Retromalleolar Level: Influence of Anthropometric Characteristics and Clinical Implications. Clinics and Practice, 15(12), 227. https://doi.org/10.3390/clinpract15120227

