Topic Editors

1. Laboratory for Rehabilitation and Orthopedic Surgery (LAROS), Department of Clinical Surgical, Diagnostic and Pediatric Sciences, University of Pavia, Pavia, Italy
2. Laboratory of Adapted Motor Activity (LAMA), Department of Public Health, Experimental and Forensic Medicine, University of Pavia, Pavia, Italy
3. Department of Physiotherapy, Faculty of Medicine, University of Ostrava, Ostrava, Czech Republic
Facoltà di Medicina, Università di Pavia, 27100 Pavia, Italy
1. Laboratory of Adapted Motor Activity (LAMA), Department of Public Health, Experimental Medicine and Forensic Science, University of Pavia, 27100 Pavia, Italy
2. Department of Industrial Engineering, University of Rome Tor Vergata, 00133 Rome, Italy

The Use of New Technologies, Artificial Intelligence and Digital Twin in Health and Clinical Practice

Abstract submission deadline
10 August 2027
Manuscript submission deadline
15 October 2027
Viewed by
3881

Topic Information

Dear Colleagues,

We are proud to present the 2nd edition of the Topic, “The Use of New Technologies for Health and Clinical Practice”.

This follows the success of the previous edition, which included a large number of manuscripts spanning a variety of topics in new technology applications in health and clinical practice, and can be found at https://www.mdpi.com/topics/062X7Z39ID.

Technology has the potential to promote healthy lifestyles by reducing sedentary behaviors in both healthy and pathological populations. The use of new, valid, and accurate technologies and their continued study and progression allow clinicians and trainers to improve patient evaluations and tailor training or rehabilitation programs, thereby ensuring individualized, targeted care. In particular, the use of online technology is a relatively new approach to delivering healthcare assistance, especially following the outbreak of COVID-19. This issue encourages in-depth studies and literature reviews that highlight the role of technologies in the promotion of health and healthy behaviors in general and pathological populations.

Dr. Luca Marin
Dr. Matteo Vandoni
Dr. Vittoria Carnevale
Topic Editors

Keywords

  • AI
  • digital twin technology
  • technology
  • online technologies
  • healthcare
  • health evaluation
  • health care
  • health promotion

Participating Journals

Journal Name Impact Factor CiteScore Launched Year First Decision (median) APC
Clinics and Practice
clinpract
2.2 2.8 2011 25.7 Days CHF 1800 Submit
Diagnostics
diagnostics
3.3 5.9 2011 21.6 Days CHF 2600 Submit
Healthcare
healthcare
2.7 4.7 2013 22.4 Days CHF 2700 Submit
Journal of Clinical Medicine
jcm
2.9 5.2 2012 18.5 Days CHF 2600 Submit
Journal of Personalized Medicine
jpm
- 6.0 2011 25 Days CHF 2600 Submit

Preprints.org is a multidisciplinary platform offering a preprint service designed to facilitate the early sharing of your research. It supports and empowers your research journey from the very beginning.

MDPI Topics is collaborating with Preprints.org and has established a direct connection between MDPI journals and the platform. Authors are encouraged to take advantage of this opportunity by posting their preprints at Preprints.org prior to publication:

  1. Share your research immediately: disseminate your ideas prior to publication and establish priority for your work.
  2. Safeguard your intellectual contribution: Protect your ideas with a time-stamped preprint that serves as proof of your research timeline.
  3. Boost visibility and impact: Increase the reach and influence of your research by making it accessible to a global audience.
  4. Gain early feedback: Receive valuable input and insights from peers before submitting to a journal.
  5. Ensure broad indexing: Web of Science (Preprint Citation Index), Google Scholar, Crossref, SHARE, PrePubMed, Scilit and Europe PMC.

Published Papers (5 papers)

Order results
Result details
Journals
Select all
Export citation of selected articles as:
10 pages, 659 KB  
Article
Effects of 3D Virtual Reality on Postural Control in Young Adults: Clinical and Practical Implications
by Gustavo Christofoletti, Gabriela Maria da Silva Béé, Otávio Reginato, Nathalia Oliveira Rodrigues, Sidineia Silva Pinheiro Cavalcante Franco and Ana Beatriz Gomes de Souza Pegorare
Clin. Pract. 2026, 16(2), 40; https://doi.org/10.3390/clinpract16020040 - 13 Feb 2026
Viewed by 453
Abstract
Background: Previous studies have demonstrated the benefits of virtual reality (VR) as an intervention tool guided by specialists. However, little is known about whether VR may pose risks in uncontrolled environments. Considering its implications for clinics and practice, this study aimed to assess [...] Read more.
Background: Previous studies have demonstrated the benefits of virtual reality (VR) as an intervention tool guided by specialists. However, little is known about whether VR may pose risks in uncontrolled environments. Considering its implications for clinics and practice, this study aimed to assess the potential risks of a 3D VR simulation on postural control in young adults. Methods: Seventy-nine community-dwelling young adults completed a VR program using a head-mounted display that simulated a 3D roller-coaster ride while standing. Postural control was assessed using a force platform measuring frontal and lateral sway, center-of-pressure sway area, and frontal and lateral imbalance speed. The assessments were conducted with and without VR. Statistical analyses were performed using paired comparisons. Significance was set at 5%. Effect sizes (ESs) are reported. Results: Engaging in a VR roller-coaster simulation increased the participants’ imbalance in terms of frontal sway (p = 0.001; ES = 0.919), center-of-pressure sway area (p = 0.001; ES = 0.849), frontal imbalance speed (p = 0.001; ES = 0.910), and lateral imbalance speed (p = 0.001; ES = 0.663). No significant difference was observed in the lateral sway (p = 0.383). During VR exposure, 25% of the participants showed a clinically significant increase in postural instability. Despite having normal baseline parameters, participants with higher postural instability showed greater deterioration in postural control during VR exposure than those with lower postural instability. Conclusions: A 3D VR simulation affected several measures of postural control in community-dwelling young adults. Precautions should be taken when engaging in VR without appropriate specialist supervision. Full article
Show Figures

Figure 1

17 pages, 1088 KB  
Article
Forecasting Stone-Free Status Following Percutaneous Nephrolithotomy Utilizing Explainable Machine Learning
by Resul Çiçek, İbrahim Topçu, Bulut Dural, İpek Balıkçı Çiçek, Murat Yılmaz and Cemil Çolak
J. Clin. Med. 2026, 15(4), 1380; https://doi.org/10.3390/jcm15041380 - 10 Feb 2026
Viewed by 592
Abstract
Background: This study aimed to create and evaluate explainable machine learning models for forecasting postoperative stone-free status following percutaneous nephrolithotomy (PNL) utilizing a substantial clinical cohort. Methods: This retrospective single-center analysis encompassed 2144 adult patients who received PNL from 2010 to 2024. We [...] Read more.
Background: This study aimed to create and evaluate explainable machine learning models for forecasting postoperative stone-free status following percutaneous nephrolithotomy (PNL) utilizing a substantial clinical cohort. Methods: This retrospective single-center analysis encompassed 2144 adult patients who received PNL from 2010 to 2024. We employed clinical, radiographic, stone-related, and surgical data to train four supervised machine learning models: Extreme Gradient Boosting (XGBoost), Random Forest, Light Gradient Boosting Machine (LightGBM), and Adaptive Boosting (AdaBoost). We used the Synthetic Minority Oversampling Technique exclusively on the training set to fix the class imbalance. We assessed the model’s accuracy, precision, recall, F1-score, and area under the receiver operating characteristic curve (ROC–AUC) to see how well it worked. SHapley Additive exPlanations (SHAP) were used to measure explainability. Results: The total stone-free rate was 84.8%. XGBoost had the best predictive performance of the models tested, with an accuracy of 0.916 and a ROC–AUC of 0.975. LightGBM was close behind. Random Forest and AdaBoost had relatively inferior performance. SHAP analysis identified anatomical anomalies as demonstrated the strongest association with stone-free outcomes. The size of the access sheath and the number of stones were next. Other parameters that were identified by SHAP as important contributors to model predictions were the placement of the stone, Guy’s Stone Score, the length of the operation, and the density of the stone. These feature associations demonstrated clinical coherence with established knowledge in surgical practice. Conclusions: Explainable machine learning algorithms, especially XGBoost, can accurately predict stone-free outcomes following PNL in a way that makes sense to doctors. The incorporation of SHAP improves transparency and facilitates the prospective application of these models as decision-support instruments in personalized surgical planning. Full article
Show Figures

Figure 1

10 pages, 236 KB  
Review
Artificial Intelligence in Coronary Plaque Characterization: Clinical Implications, Evidence Gaps, and Future Directions
by Juthipong Benjanuwattra, Cristian Castillo-Rodriguez, Mahmoud Abdelnabi, Ramzi Ibrahim, Hoang Nhat Pham, Girish Pathangey, Mohamed Allam, Kwan Lee, Balaji Tamarappoo, Clinton Jokerst, Chadi Ayoub and Reza Arsanjani
J. Clin. Med. 2026, 15(2), 903; https://doi.org/10.3390/jcm15020903 - 22 Jan 2026
Viewed by 769
Abstract
Coronary artery disease (CAD) remains the leading cause of cardiovascular morbidity and mortality worldwide, with plaque composition and morphology being as key determinants of disease progression and clinical outcomes. Accurate plaque characterization is essential for risk stratification and therapeutic decision-making, yet conventional image [...] Read more.
Coronary artery disease (CAD) remains the leading cause of cardiovascular morbidity and mortality worldwide, with plaque composition and morphology being as key determinants of disease progression and clinical outcomes. Accurate plaque characterization is essential for risk stratification and therapeutic decision-making, yet conventional image interpretation is limited by inter-observer variability and time-intensive workflows. Artificial intelligence (AI) models have emerged as a transformative tool for automated coronary plaque analysis across multiple imaging modalities. AI-driven models demonstrate high diagnostic accuracy for plaque detection, segmentation, quantification, and vulnerability assessment. Integration of AI-derived imaging biomarkers with clinical risk scores can further enhance prediction of major adverse cardiovascular events and supports personalized management. These advances position AI-enhanced imaging as a powerful adjunct for both invasive and non-invasive evaluation of CAD. Despite its promise, important barriers to widespread clinical adoption remain, including data heterogeneity, algorithmic bias, limited model transparency, insufficient prospective validation, regulatory challenges, and incomplete integration into clinical workflows. Addressing these challenges will be essential to ensure safe, generalizable, and cost-effective implementation of AI in routine cardiovascular care. Full article
13 pages, 1321 KB  
Article
Digitized Acoustic Analysis for Monitoring Hemodialysis Access Dysfunction: Insights from Vascular Imaging and Post-Angioplasty Data
by Hsien-Yuan Chang, Yi-Ling Kuo, Christian Deantana, Chih-Chang Ko, Po-Wei Chen, Tsai-Chieh Ling, Che-Wei Lin and Kun-Chan Lan
J. Clin. Med. 2026, 15(2), 662; https://doi.org/10.3390/jcm15020662 - 14 Jan 2026
Viewed by 507
Abstract
Background: Hemodialysis access dysfunction can lead to missed treatments and increased mortality. Traditional monitoring methods, such as physical examination and ultrasound, have limitations, emphasizing the need for a more efficient approach. This study investigates the use of digitized acoustic data to identify and [...] Read more.
Background: Hemodialysis access dysfunction can lead to missed treatments and increased mortality. Traditional monitoring methods, such as physical examination and ultrasound, have limitations, emphasizing the need for a more efficient approach. This study investigates the use of digitized acoustic data to identify and monitor vascular access dysfunction. Methods: This prospective study involved patients undergoing hemodialysis with either arteriovenous fistulas (AVF) or arteriovenous grafts (AVG) between June 2023 and February 2025. All patients underwent vascular imaging (either angiography or ultrasound) to confirm the degree of stenosis. Acoustic data were recorded using a standardized procedure at various puncture sites. Pre- and post-angioplasty data were also collected to assess the effects of vascular intervention. The digitized acoustic data were analyzed for changes in relative loudness, peak-to-valley ratios, and frequency distribution. Results: A total of 157 patients with 236 audio recordings (mean age: 67 ± 11 years; 58% male) were included. Significant acoustic differences were found at the arterial puncture and anastomosis sites in AVF patients with dysfunction, particularly in venous site dysfunction, which exhibited a more pronounced reduction in sound volume and an increased peak-to-valley ratio. After angioplasty, acoustic changes were observed in both arterial and venous sites, with values moving toward normal levels. However, no significant acoustic changes were observed in AVG patients. Additionally, frequency distribution ratios showed minimal clinical relevance. Conclusions: Digitized acoustic data, particularly from the arterial puncture and anastomosis sites, can be an effective tool for detecting and monitoring hemodialysis access dysfunction. These findings suggest potential for acoustic analysis in clinical practice, especially when integrated with AI models for better diagnostics. Full article
Show Figures

Figure 1

15 pages, 2624 KB  
Article
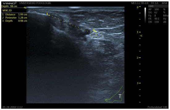
Ultrasound Assessment of the Tibial Nerve at the Retromalleolar Level: Influence of Anthropometric Characteristics and Clinical Implications
by María Benimeli-Fenollar, Cecili Macián-Romero, Lucía Carbonell-José, María José Chiva-Miralles, José Maria Montiel-Company, José Manuel Almerich-Silla, Rosa Cibrian and Vicent Tomás-Martínez
Clin. Pract. 2025, 15(12), 227; https://doi.org/10.3390/clinpract15120227 - 3 Dec 2025
Viewed by 563
Abstract
Background: Clinical procedures involving the tibial nerve (TN) are complex procedures due to its deep anatomical position and the variability of its course in the retromalleolar region. Few studies have described the ultrasound characteristics of the TN in vivo. This study aims to [...] Read more.
Background: Clinical procedures involving the tibial nerve (TN) are complex procedures due to its deep anatomical position and the variability of its course in the retromalleolar region. Few studies have described the ultrasound characteristics of the TN in vivo. This study aims to describe the ultrasound position of the TN and its relationship with the posterior tibial artery (PTA) at the retromalleolar level, evaluating the influence of sex, weight, height, and body mass index (BMI). Methods: A cross-sectional ultrasound study was performed on 100 volunteers. Anthropometric variables were recorded. Ultrasound measurements included the TN perimeter, distance from the medial malleolus to the TN center, depth, and spatial relationship with the PTA. Statistical analyses included Student’s t-test, ANOVA, Chi-square test, and Pearson’s correlation coefficient, with a significance level of p < 0.05. Results: The mean distance from the TN to the medial malleolus was 2.17 cm, and its mean depth was 0.91 cm. The most common anatomical pattern was Type I (TN posterior to the PTA) (60%). Sex influenced TN position, with men showing greater distances from the medial malleolus to the TN center (2.42 vs. 1.99 cm) and women showing greater depth from the skin surface to the upper edge of the tibial nerve perimeter (0.94 vs. 0.86 cm). Weight (p = 0.004), height (p < 0.001), and ankle circumference (p = 0.006) correlated significantly with TN location, whereas BMI did not (p = 0.253). Conclusion: These findings provide clinically relevant reference data that may improve the precision and safety of different tibial nerve procedures. Full article
Show Figures

Graphical abstract

Back to TopTop