Abstract
The present investigation was aimed to determine the effect of sub-chronic exposure to Solignum®, a permethrin-containing wood preservative on biochemical and histological changes in liver and kidneys of male Wistar albino rats. Thirty-two male rats were randomly divided into four groups: control and three treatment concentrations containing 8 rats each. The treatment groups were exposed to Solignum® at dose rates of 100, 200 and 400 mg/kg body weight (BW) respectively per day orally for four weeks. Data obtained from the study showed a progressive increase in the body weight of rats in control whereas, rats treated with different concentrations (100, 200 and 400 mg/kg BW) of Solignum® decreased significantly (≤0.05) especially at the end of the second and fourth week when compared with control. On the other hand, there was a significant decrease in the relative liver weights of rats treated with 100 and 200 mg/kg BW Solignum® while rats treated with 400 mg/kg BW showed a significant increase when compared with control. The relative weight of kidneys in experimental groups increased significantly when compared with control. Biochemical analysis results illustrated that there was a significant increase in marker enzymes namely alanine aminotransferase, aspartate aminotransferase and alkaline phosphatase activity at the end of the fourth week. Similarly, total bilirubin, serum urea, creatinine and electrolytes (Na+, K+ and Cl−) levels increased in a dose dependent manner in treated rats when compared with untreated control group. Serum total protein decreased significantly in experimental rats when compared with control. However, cholesterol and triglycerides showed no significant difference when compared with control. Histopathological examination of hepatocytes in treated rats was characterized by mild periportal inflammatory cells and cytoplasmic degeneration. Furthermore, histopathological examination of rat kidneys revealed inflammatory cells, congested vessel and interstitial hemorrhage in rats treated with Solignum®. Therefore, this present study is aimed to evaluate the hepatotoxic and nephrotoxic potentials associated with sub-chronic exposure to the commercial pesticide Solignum®.
Introduction
Solignum® is a brand of insecticide and wood preservative commonly used by carpenters, furniture makers and roof builders in general for wood preservation. Its main active constituent is permethrin, a type 1, broad spectrum, non-systemic, synthetic pyrethroid insecticide widely used in association with fungicidal agent providing protection against termites [1,2]. Pyrethroids are used primarily to control household and agricultural insect pests as well as in industrial uses. It is used in greenhouses, home gardens and for termite control [3]. Commonly used Synthetic pyrethroids include cypermethrin, permethrin and deltamethrin [4]. permethrin-containing products are usually applied as powders in many household for the killing of nuisance insects, like cockroaches. In the tropics, insecticide nets are often treated with pyrethroids as part of efforts in combating the scourge of Malaria [5]. Both agricultural and domestic uses of insecticides have resulted in different forms of diseases [6], and the effects are not only limited to the immediate users. Although they have high selectivity for insects [7] several studies have described the adverse effects of pyrethroids on different organs and systems of the body, such as the liver, gastro-intestinal, respiratory, nervous and immune systems [8]. Due to their lipophilicity, pyrethroid insecticides favor absorption through the gastrointestinal and respiratory tracts and also confer preferential distribution into lipid-rich internal tissues, including body fat, skin, liver, kidney, ovaries and the central and peripheral nervous systems [9]. Hallenbeck et al. [9], reported that exposure to permethrin; the active constituent in Solignum® caused enlargement of the liver and destruction of the lining of nerve tracts. Studies by Bloomquist et al. [10], suggested a link of permethrin exposure to Parkinson’s disease including very small (per kg) exposures. Permethrin has low mammalian toxicity [11]. The oral lethal dose (LD)50 for permethrin in rats ranged from 430 to 4000 mg/kg and its LD50 is over 270 mg/kg when injected intravenously [12]. Very few studies have been performed in recent years on the cancer-causing potential of permethrin. A 1994 review by the U.S. Army concluded that permethrin is a possible human carcinogen based on early studies in rodents [13]. In 2006 the EPA also classified permethrin as likely to be carcinogenic in humans, based on mouse studies showing evidence of lung and liver tumors related to permethrin [14]. It has been established that their mechanism of action is by acting on voltage-sensitive sodium channels to prolong the closure time, with consequent reduction in action potential threshold and repetitive firing [15,16]. Since there is little data available on the combined hepatotoxic and nephrotoxic effects of commonly used wood preservatives, the aim of this study was to determine the hepatotoxic and nephrotoxic potentials of sub-chronic exposure to Solignum®, a permethrin-containing wood preservative.
Materials and Methods
Sample collection
One gallon of commercial wood preservative- Solignum® was purchased from the Timber section of Mile 3 Market while Goya® Olive oil was purchased from Everyday Emporium Super Market all in Port Harcourt, Rivers State, Nigeria.
Animals
Male Wistar albino rats weighing between 110-120 g were purchased from the Animal House of the Department of Biochemistry, University of Port Harcourt, Rivers State, Nigeria. They were housed in individual cages and allowed to acclimatize under laboratory conditions at room temperature for one week prior to commencement of the experiment. They were kept under hygienic and favorable conditions, and maintained under a 12 h light/12 h dark cycle, with pelletized rat feeds (UAC Vital Feeds®, Nigeria) and water available ad libitum.
Experimental design
A total number of thirty-two adult male albino rats were used in the current study. Reports have shown that the LD50 for permethrin in rats ranges from 430-4000 mg/kg [17,18]. Therefore, 1/10 of the upper range (400 mg/kg) was selected as the highest dose in this study. The animals were randomly divided into 4 groups of 8 animals per group. Group I (control) received 1 mL olive oil orally only. Group II: received 100 mg/kg body weight (BW) Solignum® orally daily dissolved in olive oil in a ratio of 1:1. Group III: received 200 mg/kg BW Solignum® orally daily dissolved in olive oil in a ratio of 1:1. Group IV: received 400 mg/kg BW Solignum® orally daily dissolved in olive oil in a ratio of 1:1. The experimental animals were maintained under normal diet and water ad libitum throughout the period of the experiment. During the four-week dosing period, all the animals were observed daily for clinical signs and mortality patterns once daily. The body weights of the animals were evaluated weekly and recorded using sensitive balance [19].
Sample collection
Twenty-four hours after the last treatment, the rats were fasted overnight then anaesthetized in a chloroform-saturated chamber after which the animals were sacrificed using cervical dislocation method. Blood samples were obtained by cardiac puncture from each rat by means of a 2 mL hypodermic syringe and needle. The blood samples were collected in an anticoagulant free bottle for serum biochemical parameters. Serum was separated by centrifugation at 2500 rpm for 10 min and stored in a refrigerator at 4°C until use. The levels of marker enzymes [alanine aminotransferase (ALT), aspartate aminotransferase (AST) and alkaline phosphatase (ALP)] and biochemical parameters (total and direct bilirubin) were estimated using the Humazym MUV colorimetric test kits. Serum total protein was measured by Biuret method while cholesterol level was estimated by enzymatic colorimetric method (Cholesterol oxidase-phenol + aminophenazone), and triglyceride by enzymatic colorimetric method (Glycerol - 3-phosphate oxidase - phenol + aminophenazone) [20] using a spectrophotometer (Model AA200; Shimadzu, Tokyo, Japan). Blood urea was estimated by an enzymatic method [21] while serum creatinine was determined according to the method described by Faulkner and King [22].
Relative organ weight
At the end of the fourth week, the liver and kidneys were carefully dissected out and weighed in grams (absolute organ weight). The relative organ weight of each animal was then calculated as follows:
Histopathological examination
Histopathological examination was carried out according to the methods of Galigher and Kayloff [23], and modified by Sarkar et al. [24] Liver and kidneys were dissected out and fixed instantaneously in 10% buffered neutral formalin for 24 h. The specimens were washed in tap water, dehydrated in ascending grades of ethanol, treated in xylene and embedded in paraffin wax (melting point of 50-56°C). Paraffin sections were cut at 6 μm thicknesses using a rotary microtome (Model MR 60, Russian); the sections were stained with Harris hematoxylin and eosin. Observation was made using a light microscope (Zeiss Axiophot, Germany) and photographs were taken with an automatic photomicrographic camera.
Statistical analysis
The mean±standard error of the mean (S.E.M) was calculated for each parameter. Total variations present in a set of data were estimated by one-way analysis of variance (ANOVA), followed by Dunnet’s test. Significance was set at ≤0.05.
Results
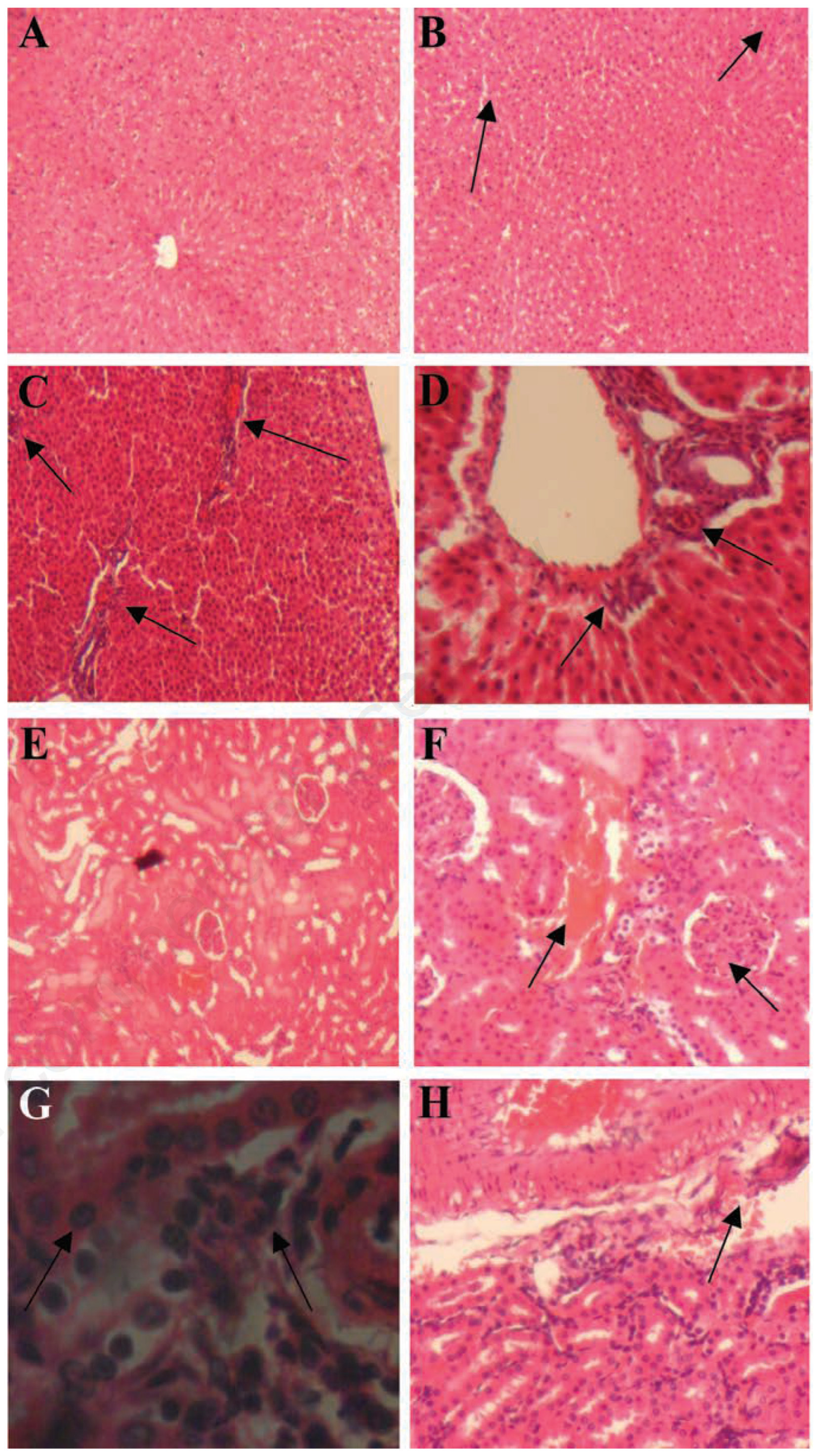
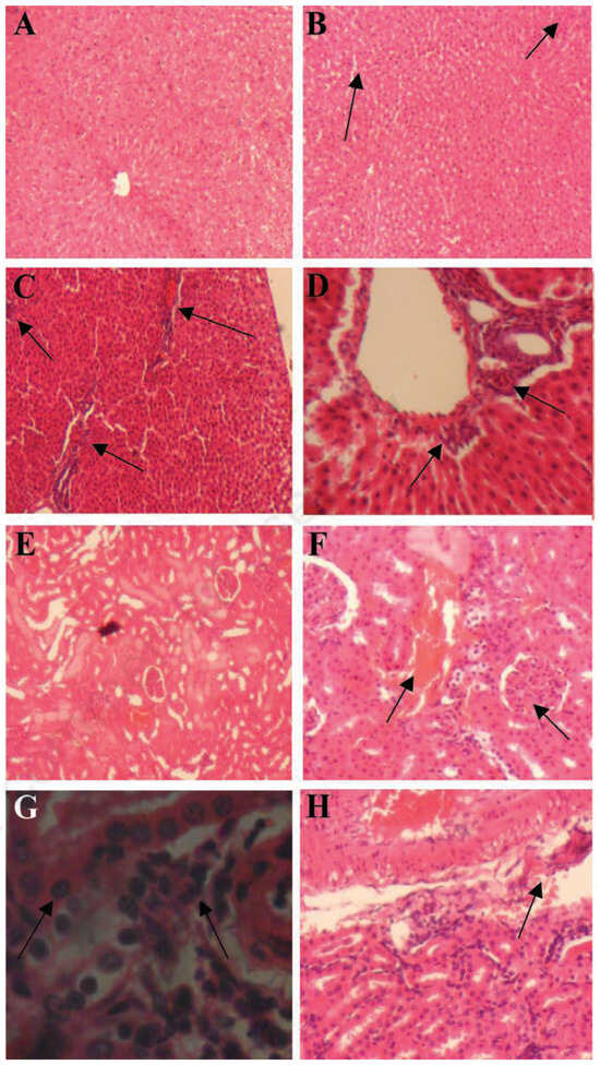
Oral administration of Solignum® at doses of 100, 200 and 400 mg/kg BW for four weeks showed no mortality or physical changes in skin and fur, eyes and mucus membrane (nasal), respiratory rate, circulatory signs (heart rate and blood pressure), autonomic effects (salivation, piloerection, urinary incontinence and defecation) and central nervous system (ptosis, drowsiness, gait, tremors and convulsion) among treated rats. The effects of the oral administration of Solignum® on body weight of male Wistar albino rats are presented in Figure 1. Treatment of experimental rats with increasing concentrations of Solignum® (100, 200 and 400 mg/kg BW) showed a significant (≤0.05) decrease in body weight while rats in control showed a progressive increase in the body weight up till the fourth week (Figure 1). Furthermore, absolute and relative liver weight of rats treated with 100 and 200 mg/kg BW decreased significantly. Whereas absolute and relative liver weight of rats treated with 400 mg/kg BW increased significantly when compared with control (Table 1). On the other hand, there was a significant increase in both absolute and relative kidney weights in a dose dependent manner in rats treated with Solignum® when compared with control (Table 1). The results of the effects of oral administration of different concentrations of Solignum® on biochemical parameters in male Wistar albino rats are shown in Table 2. Data from the study showed that there was a significant increase in the levels of AST, ALT, ALP and total bilirubin in a dose-dependent manner with group treated with 400 mg/kg BW recording the highest value when compared with control (Table 2). On the other hand, the level of conjugated bilirubin was highest in the group treated with 200 mg/kg BW while protein was lowest in the group treated with 200 mg/kg BW when compared with control (Table 2). There was no significant difference in the level of cholesterol and triglyceride when compared with control (Table 2). There was a significant increase in the levels of sodium ion (Na+), potassium ion (K+), chloride ion (Cl-), urea and creatinine in experimental groups treated with Solignum® in a dose-dependent manner when compared with control (Table 3). Histopathological examination of the liver and kidneys are shown in Figure 2. Hepatocytes of control group showed normal architecture whereas rats treated with different concentrations of Solignum® were characterized by mild periportal inflammatory cells and cytoplasmic degeneration (Figure 2A-D). Kidneys of control rats also showed normal architecture whereas treatment with different concentrations of Solignum® showed the presence of inflammatory cells, congested vessel and interstitial hemorrhage (Figure 2E-H).
Figure 1.
Effect of oral administration of Solignum® on body weight changes in control and treated rats.
Table 1.
Toxicological effects of Solignum® on body weight, absolute and relative organ weights of rats (g/100g body weight) on the day of sacrifice.
Table 2.
Toxicological effect of Solignum® on biochemical parameters of rats.
Table 3.
Toxicological effect of Solignum® on serum electrolytes in rats.
Figure 2.
Histopathological examination: section of rat liver tissues showing normal architecture in the control group (A); hepatocytes of rats treated with 100 mg/kg of Solignum® (B) showing mild inflammatory infiltrate; section of the rat liver tissues treated with 200 mg/kg of Solignum® showing inflammatory cells (C) and 400 mg/kg of Solignum® (D) showing mild periportal inflammation and cytoplasmic degeneration; section of the rat kidney tissues of control rats (E) showing normal architecture and rats treated with 100 mg/kg of Solignum® showing inflammatory cells and congested vessel (F); rat kidney tissues treated with 200 mg/kg body weight of Solignum® showing inflammatory cells (G) and 400 mg/kg of Solignum® showing interstitial hemorrhage (H).
Discussion and Conclusions
Liver and kidney are important vital organs in the animal body as they are the sites of detoxification and elimination of toxic materials. A foreign body in form of a chemical stress is sufficient enough to cause severe hepatic and renal dysfunction [25]. Permethrin, the active chemical compound in Solignum® is one of the most widely used insecticide active ingredient registered for use in agricultural and domestic uses. The common uses of permethrin-containing insecticides have resulted in different forms of diseases that are consistent with the observed effects in the present study [6]. In the present study, the oral administration of the commercial wood preservative-Solignum®, a permethrin-containing insecticide showed no mortality or physical changes up to 1/10 of the higher range of the LD50 for permethrin in rats. This corroborates earlier reports that the no-observed-adverse-effect-level is greater than 400 mg/kg BW [17,18]. Changes in body weight gain and internal organ weights reflect toxicityafter exposure to toxic substances [26]. Therefore, the significant decrease in the body weight of rats treated with Solignum® at the end of the second and fourth week may be an indication of adverse effects of sub-chronic administration of Solignum® to experimental rats. Body weight changes have been used as markers of adverse effects of chemicals especially if the body weight loss is more than 10% of the initial body [27]. A significant increase in the absolute and relative weight of liver and kidney of rats in the group treated with 400 mg/kg BW of Solignum® may be attributed to an increase in activity of inflammatory agents present in Solignum® that could have resulted to inflammation of liver and kidney tissues [28].
In the present study, treatment with different concentrations of Solignum® caused a significant elevation of marker enzymes namely ALT, AST and ALP. Aminotransferases (ALT and AST) are sensitive indicators of liver cell damage for both acute and chronic hepatocellular injury [29]. Therefore, serum levels of these enzymes reflect the state of hepatic function [30]. The elevated levels of ALT indicate a possible hepatotoxicity that would have resulted in the leakage of the enzyme into the serum. Similarly, Shakoori et al. [31], reported that the increase in the activity of ALT is mainly due to the leakage of this enzyme from the liver cytosol into the blood stream, which reflects liver damage and disruption of normal liver function. On the other hand, ALP is often employed to assess the integrity of the plasma membrane of the liver [32]. The significant increase in serum activity in ALP following treatment with different concentrations of Solignum® may be due to disruption of the liver plasma membrane. Furthermore, the increased level of total bilirubin in treated rats maybe an indicator of hyper-bilirubinemia - a useful index for the severity of hepato cellular dysfunction [33,34]. The hyper-bilirubinemia may be attributed to excessive haem destruction and blockage of biliary tract. This however, may have led to a mass inhibition of the conjugation reaction and release of unconjugated bilirubin from damaged and dead hepatocytes [35]. It is well known that one of the major functions of the liver is to synthesize serum protein. However, the decrease in the level of serum protein observed in rats treated with different concentrations of Solignum® may have resulted to hypoproteinemia, indicating liver damage which may have caused a significant fall in protein synthesis [36]. Since the liver is the site of protein synthesis. The oxidative damage of some amino acids may be attributed to the decrease in protein synthesis [37].
Data from this present study showed that treatment with different concentrations of Solignum® may have resulted to renal dysfunction. Renal function indices such as serum electrolytes, urea and creatinine are commonly used to evaluate the functional capacity of the nephrons of animals, elevated values being indicative of defective functional state [38]. The observed significant increase in serum potassium and sodium ions with a concomitant significant increase in chloride ion level may be due to renal dysfunction which may be attributed to the inability to regulate an electrolyte balance. Furthermore, the elevated level of serum urea observed in this study is suggestive of renal impairment or increased protein catabolism following treatment with different concentrations of Solignum®. In addition, the observed significant increase in creatinine level further corroborates these findings. Creatinine (the anhydride and excretal form of creatine from muscle), is formed by irreversible non-enzymatic dehydration of creatine phosphate, which serves as a temporary store of energy [39]. Studies have shown that serum creatine concentration is a better indicator of glomerular filtration rate [40]. The increase in creatinine may indicate changes in kidney function [41]. The increased chloride ion concentration observed in experimental rats is not surprising. It has been reported that sodium retention is associated and directly related with chloride ion, since most sodium reabsorption is coupled with chloride ion reabsorption [42].
Histological examination of the liver and kidney was carried out to corroborate the results of the biochemical parameters. Histological changes provide a less rapid means than serological analyses for detecting the effects of xenobiotics in various organs but provides stronger evident of toxic damage in tissues and reduced health [43,44]. The liver has been described as the major site of pyrethroid metabolism [45]. The present study revealed histological changes in hepatocytes of rats exposed to permethrin, the active constituent in Solignum®. Generally, they were characterized by mild periportal inflammatory cells and cytoplasmic degeneration; whereas treatment with different concentrations of Solignum® showed inflammatory cells, congested vessel and interstitial hemorrhage in the kidney. This observation was similar to the findings of Chargui et al. [46], who reported the histopathological alterations in the liver and kidney of female rats exposed to low doses of deltamethrin - a synthetic pyrethroid insectides. The histopathological pattern in this study is comparable with the report of Grewal et al. [47], who reported that cypermethrin administration at 14.5 mg/kg for 30 consecutive days produced congestion, marked degenerative changes of hepatocytes and kidneys. Our finding in this present study is also in agreement with the report of Saleh [48] who reported that liver of treated rats with diflubenzuron, cypermethrin and fenitrothion showed different phases of degenerative changes in the form of cloudy swelling, hydropic degeneration, chromatolysis, pyknosis, fatty degeneration, necrosis and karyorrhexis. Hence, the observed effects of Solignum® are associated, in part at least, to the presence of permetrin. In the same manner, data obtained by Farrag and Shalaby [49] showed that 1/10 LD50 of lufenuron caused venous congestion in the liver, focal necrosis of hepatocytes in the portal and periportal areas. Observations such as tubular necrosis, reduction in the size of glomeruli, degeneration of glomeruli as well as blood cell infiltration have also been observed by Anwar [50] in the kidney sections of newly hatched chick (Gallus domesticus) treated with permethrin (100 and 200 ppm). These histopathological changes in the liver and kidney may be explained by the fact that Solignum® induced oxidative stress or inflammation which may account for the degenerative changes in various organs such as liver and kidney. Data from the current study suggest that the active ingredient of Solignum®, permethrin may have caused adverse effects on biochemical parameters and subsequent damage to various organs such as liver and kidney through the generation of reactive oxygen species. The underlying mechanism may be attributed to 3-phenoxy benzoic acid, the major metabolite of several pyrethroid insecticides. However, further studies are needed to explore the mechanism underlying the role of this metabolite to induce oxidative stress as the contributing effects of the commercial formulation (solvents, dispersive agents etc.) cannot be ruled out in the present study.
Conflicts of Interest
the authors declare no conflicts of interests.
References
- Environmental Protection Agency. Overview of permethrin risk assessment; August 2005.
- Yuan, C.; Wang, C.; Gao, S.Q.; Kong, T.T.; Chen, L.; Li, X.F. Effects of permethrin, cypermethrin and 3-phenoxybenzoic acid on rat sperm motility in vitro evaluated with computerassisted sperm analysis. Toxicol In Vitro 2010, 24, 382–386. [Google Scholar] [CrossRef] [PubMed]
- Meister, R.T. Farm chemicals handbook 1992. Willoghby, OH: Meister Publishing Company; 1992.
- Gomma, S.M.; Abd Alla, M.A.; Sameer, M.M. The possible protective effect of propolis (bee glue) on cypermethrin-induced hepatotoxicity in adult albino rats. Mansoura J Forensic Med Clin Toxicol 2011, 1, 17–29. [Google Scholar] [CrossRef]
- Bradberry, S.M.; Cage, S.A.; Proudfoot, A.T.; Vale, J.A. Poisoning due to pyrethroids. Toxicol Rev 2005, 4, 93–106.55. [Google Scholar] [CrossRef] [PubMed]
- Otitoju, O. Sub-chronic effect of Rambo insect powder contaminated diet on super-oxide dismutase (SOD) activity in Wistar albino rats. Biokemistri 2005, 17, 157–163. [Google Scholar]
- Wolansky, M.J.; Harrill, J.A. Neurobehavioral toxicology of pyrethroid insecticides in adult animals: a critical review. Neurotoxicol Teratol 2008, 30, 55–78. [Google Scholar] [CrossRef] [PubMed]
- Omotoso, G.O.; Onanuga, I.O.; Ibrahim, R.B. Histological effects of permethrin insecticide on the testis of adult wistar rats. Ibnosina J Med BS 2014, 125–129. [Google Scholar]
- Soderlund, D.M.; Clark, J.M.; Sheets, L.P.; Mullin, L.S.; Piccirillo, V.J.; et al. Mechanisms of pyrethroid neurotoxicity: Implications for cumulative risk assessment. Toxicology 2002, 171, 53–59. [Google Scholar] [CrossRef]
- Hallenbeck, W.H. Cunningham-Burns KM. Pesticides and human health. New York, NY: Springer-Verlag; 1985.
- Bloomquist, J.R.; Kou, J. Neurotoxicity in murine striatal dopaminergic pathways following long-term application of low doses of permethrin and MPTP. Toxicol Lett 2007, 171, 154–161. [Google Scholar]
- Cox, C. Insecticide fact sheet: permethrin. J Pest Reform 1998, 18, 14–20. [Google Scholar]
- Berg, G.L. Farm chemical handbook. Willoughby, OH: Meister Publishing Company; 1986.
- US Army. Health effects of permethrinimpregnated army battle-dress uniforms; 1994. Ms:137 pp.
- Environmental Protection Agency. Permethrin Facts (RED Fact Sheet); 2006. Accessed: 2 September 2011.
- Kakko, I.; Toimela, T.; Tähti, H. The synaptosomal membrane bound ATPase as a target for the neurotoxic effects of pyrethroids, permethrin and cypermethrin. Chemosphere 2003, 51, 475–480. [Google Scholar] [CrossRef]
- Tomlin, C.D.S. The pesticide manual: a world compendium. 14th ed. Alton: British Crop Production Council; 2006.
- Toynton, K.; Luukinen, B.; Buhl, K.; Stone, D. Permethirn technical fact sheet; 2009. National Pesticide Information Center, Oregon State University Extension Services. Available from: http://npic. orst.edu/factsheets/Permtech.
- OECD, Organisation for Economic Cooperation and Development. Repeated dose 28-day Oral toxicity test method guideline 407 adopted 23.03.1996. In: OECD, Guidelines for testing of chemicals. Paris: Organisation for Economic Co-Operation and Development; 1995.
- McGowan, M.W.; Artiss, J.D.; Strandbergh, D.R.; Zak, B. A peroxidase coupled method for colorimetric determination of serum triglycerides. Clin Chem 1983, 29, 538–542. [Google Scholar] [CrossRef] [PubMed]
- Patton, G.J.; Crouch, S.R. Determination of urea (urease modified Berthelot reaction). Anal Chem 1977, 49, 464–469. [Google Scholar] [CrossRef]
- Faulkner, W.R.; King, J.W. Renal function. In Tietz N, ed. Fundamentals of chemistry. Philadelphia, PA: W. B. Saunders Co., 1976. pp 975-1014.
- Galigher, A.E.; Kayloff, E.N. Essentials of practical micro techniques. Philadelphia, PA: Lea and Febiger; 1971.
- Sarkar, B.; Chatterjee, A.; Adhikari, S.; Ayyappan, S. Carbofuran and cypermethrin induced histopathological alterations in the liver of Labeo rohita and its recovery. J Appl Ichthyol 2005, 21, 131–135. [Google Scholar] [CrossRef]
- Waggas, A.M. Biochemical and histological effects of cyfluthrinon liver and kidney of quail (Coturnix couternix): potentiating role of peg. Global Vet 2013, 10, 524–533. [Google Scholar]
- Teo, S.; Strlig, D.; Thomas, S.; Hoberman, A.; Kiorpes, A.; Khetani, V. A 90 days oral gavage toxicity study of d-methylphenidate and d,l-methylphenidate in Sprague-Dawley rats. Toxicology 2002, 79, 183–196. [Google Scholar] [CrossRef]
- Raza, M.; Al-Shabanah, O.A.; El-Hadiyah, T.M.; Al-Majed, A.A. Effect of prolonged vigabatrin treatment on hematological and biochemical parameters in plasma, liver and kidney of Swiss albino mice. Sci Pharm 2002, 70, 135–145. [Google Scholar]
- Park, J.S.; Choi, M.A.; Kim, B.S.; Han, I.S.; Kurata, T.; Yu, R. Capsaicin protects against ethanol-induced oxidative injury in the gastric mucosa of rats. Life Sci 2000, 67, 3087–3093. [Google Scholar] [CrossRef]
- Barth, R.C.; Steven, A.S.; Robert, W.S. Clinical internal medicine. New York: Little Brown & Co.; 1979. pp 211-214.
- Konan, N.A.; Bacchia, E.M.; Lincopan, N.; Varelac, S.D.; Varandac, E.A. Acute, sub-acute toxicity and genotoxic effects of a hydroethanolic extract of the Cashew (Anarcadium occidentale L.). J Ethnopharmacol 2007, 110, 30–38. [Google Scholar] [CrossRef]
- Shakoori, A.G.; Butt, R.; Riffat Aziz, F. Hematological and biochemical effects of danitol administrated for two months on the blood and liver of rabbits. Zeitchrift Fuer Angewandte Zool 1994, 80, 156–180. [Google Scholar]
- Akanji, M.A.; Olagoke, O.A.; Oloyede, O.B. Effect of chronic consumption of metabisulphite on the integrity of the kidney cellular system. Toxicol 1993, 81, 173–179. [Google Scholar] [CrossRef]
- Pimple, B.P.; Kadam, P.V.; Badgujar, N.S.; Bafna, A.R.; Patil, M.J. Protective effect of Tamarindus indica linn against paracetamol-induced hepatotoxicity in rats. Indian J Pharm Sci 2007, 69, 827–831. [Google Scholar]
- Fakurazi, S.; Hairuszah, I.; Nanthini, U. Moringa oleifera Lam prevents acetaminophen induced liver injury through restoration of glutathione level. Food Chem Toxicol 2008, 46, 2611–2615. [Google Scholar] [CrossRef] [PubMed]
- Wolf, A.; Diez-Fernandez, C.; Trendelenburg, C.F.; Prieto, P.; Hany, S.; Trammer, W.E. Paracetamol induced oxidative stress in rat hepatocytes. J Pharm Exp Ther 1997, 280, 1328–1334. [Google Scholar]
- Anitha, M.; Daffodil, E.D.; Muthukumarasamy, S.; Mohan, V.R. Hepatoprotective and antioxidant activity of ethanol extract of cynoglossum zeylanicum (Vahl ex Hornem) thurnb ex lehm in CCl4-treated rats. J App Pharm Sci 2012, 2, 99–103. [Google Scholar] [CrossRef]
- Dawn Marks, B. Nitrogen metabolism. In: Davidson VL, Sittman DB, eds. Biochemistry. Philadelphia, PA: Harwal Publishing; 1994.
- Yakubu, M.T.; Bilbis, L.S.; Lawal, M.; Akanji, M.A. Evaluation of selected parameters of rat liver and kidney function following repeated administration of yohimbine. Biokemistri 2003, 15, 50–56. [Google Scholar]
- Shalaby, S.E.M.; Farrag, A.R.H.; Farrag, A.R.H.; Gamila, S.M. Toxicological potential of thiamethoxam insecticide on Albino rats and its residues in some organs. JASMR 2010, 5, 165–172. [Google Scholar]
- Khalil, F.S.; Marzook, M.; Abd-Elmalak, R.H.; Hassan, N.A. Effects of some dietry growth promoters on some blood biochemical and hormonal concentrations, in male and female rabbits during growing period. Egypt J Rabbit Sci 2002, 12, 1–12. [Google Scholar]
- Soliman, A.Z.M.; El-Kady, R.I.; El-Shahat, A.A.; Sedki, M.Z. Effect of some commercial growth promoters on the growth performance and caecum microbiology of growing New Zealand white rabbits. Egypt J Rabbit Sci 2000, 10, 239–252. [Google Scholar]
- Browse, N. Introduction to the symptoms and signs of surgical diseases. 4th ed. Kolkata: Book Power; 2005. USA.
- Muller, J. Aldosterone, the minority hormone of the adrenal cortex. Steroids 1995, 60, 29. [Google Scholar] [CrossRef]
- Velmurugan, B.; Selvanayagama, M.; Cengiz, E.I.; Unlu, E. Histopathology of lambda cyhalothrin on tissues (gill, kidney, liver and intestine) of Cirrhinus mrigala. Environ Toxicol Pharmacol 2007, 24, 286–329. [Google Scholar] [CrossRef]
- Rickard, J.; Brodie, M.E. Correlation of blood and brain levels of the neurotoxic pyrethroids deltamethrin with the onset of symptoms in rats. Pestic Biochem Physiol 1985, 23, 143–146. [Google Scholar] [CrossRef]
- Chargui, I.; Grissa, I.; Bensassi, F.; Hrira, M.Y.; Haouem, S.; Haouas, Z.; et al. Oxidative stress, biochemical and histopathological alterations in the liver and kidney of female rats exposed to low doses of deltamethrin (DM): a molecular assessment. Biomed Environ Sci 2012, 25, 672–683. [Google Scholar] [PubMed]
- Grewal, K.K.; Sandhu, G.S.; Kaur, R.; Brar, R.S.; Sandhu, H.S. Toxic impacts of cypermethrin on behavior and histology of certain tissues of albino rats. Toxicol Int 2010, 17, 94–98. [Google Scholar] [PubMed]
- Saleh, A.A. Histopathological effect of three synthetic pyrethroids on lung and kidney of rat. J Agric Sci Mansoura Univ Egypt 1993, 18, 288–295. [Google Scholar]
- Farrag, A.H.; Shalaby, E.M. Histopathological and histochemical studies of insect growth regulator, lufenuron on albino rats. Egypt Med J NRC 2008, 7, 22–29. [Google Scholar]
- Anwar, K. Effect of permethrin treatment on the kidney of Newly Harched Chicks (Gallus domesticus). Pak J Appl Sci 2003, 3, 317–330. [Google Scholar] [CrossRef]
© Copyright K.C. Patrick-Iwuanyanwu, I.A. Charles, 2014 Licensee PAGEPress, Italy. This work is licensed under a Creative Commons Attribution NonCommercial 3.0 License (CC BY-NC 3.0).




