Abstract
Background and Objectives: Thoracolumbar fracture–dislocations (AO type C) are rare injuries that occur due to high-energy trauma, and the result is translational and rotational instability of the spinal column and neurological impairment. Several reduction maneuvers have thus far been published, each of which can be of use in certain specific situations. We developed a modification to the previously described reduction technique. Materials and Methods: This is a case study on the management of thoracic AO type C fracture–dislocations managed with a modified reduction technique. The success of the reduction and intraoperative iatrogenic complications such as dural tear and screw pull out were the outcomes analyzed. Results: A total of four cases were successfully reduced with this described reduction technique. We did not note any complications such as a dural tear or screw failure with this modified reduction technique. Conclusions: A modification to the reduction technique employed in the management of thoracic fracture–dislocations resulted in a successful reduction without the risk of iatrogenic complications due to the reduction maneuver.
1. Introduction
The junctional thoracic segment spanning from Th10 to T12 often experiences trauma due to its unique biomechanical properties. This particular region, frequently known as the junction between the thoracic and lumbar spine, is particularly vulnerable to injury. This vulnerability arises from its role as a transitional area, transitioning from the sturdy and relatively immobile thoracic spine, which is anchored by ribs on both sides, to the more flexible lumbar spine below. Thoracolumbar fracture–dislocations (AO type C injuries) are rare injuries that occur due to high-energy trauma, and the result is translational and rotational instability of the spinal column, as well as severe neurological impairment (Figure 1 and Figure 2) [1]. Thoracic and thoracolumbar fractures with bilateral dislocation and locking of the facet joint are rare and challenging fracture types for correction and management by surgical treatment (Figure 3). As a general guideline, surgical intervention is typically recommended for unstable spinal injuries, including flexion-distraction injuries, unstable burst fractures, and fracture–dislocations. While surgery can alleviate pain and facilitate early mobilization and rehabilitation, there is no discernible disparity in terms of neurological recovery and long-term functional outcomes between surgical and non-surgical treatments [2].
Figure 1.
A bilateral dislocation of the facet joint of the lower thoracic spine displayed on a plastic model. Arrows highlight the bilateral discloation of the facet joint.
Figure 2.
Preoperative CT scan showing a bilateral locked facet fracture–dislocation of the Th11–Th12 levels. The tips of the superior facet joints were also fractured indicating the high violence of the injury causing bilateral locked facet dislocation.
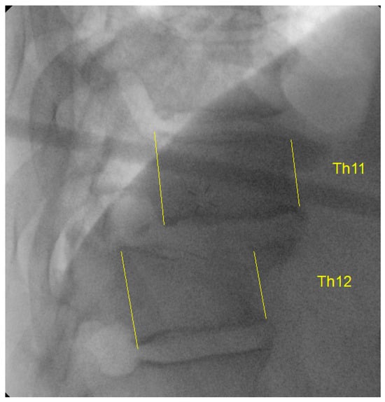
Figure 3.
Intraoperative fluoroscopic image showing dislocated Th11–Th12 levels. Yellow lines represent the anterior and posterior vertebral body height along with the translation noted between the vertebral levels that resulted in the facet dislcoation.
Various reduction techniques have been described, generally in a small series of patients, using a posterior approach with reduction and stabilization based on levering and manipulation using temporary short rods that join transpedicular screws [3,4,5,6]. The primary goals of the treatment are decompression of the spinal canal, realignment of the vertebral column, and stabilization to prevent further injury. The reduction of dislocated or locked facets in the thoracic vertebrae is a critical step in the surgical management of this injury. The goal of the reduction is to realign the dislocated vertebrae and unlock the facets. There are several techniques that a surgeon might employ depending on the specifics of the injury and the surgeon’s expertise [3,5]. In the case of locked facets, unlocking and realignment can be particularly challenging and may require a partial facetectomy. The exact technique used to unlock the facets can vary, but it often involves a combination of gentle distraction and rotation of the involved vertebrae, under direct visualization.
Occasionally, the dislocation may be so rigidly locked that great force is required to achieve reduction (such as in cases with intact intervertebral discs, which provide a lot of resistance to distraction) necessitating staged reduction procedures [7]. We introduce a modified reduction technique that places less emphasis on the strong traction of the temporary rods placed in the proximal end, thus reducing the risk of screw pull-out and the need to extend the fixation due to the potential loss of purchase of the pedicle screw (Figure 4). In any reduction technique, it is critical to be extremely cautious to avoid causing further injury to the spinal cord or the nerves exiting the spinal canal. Once the dislocation is successfully reduced, the vertebrae are typically stabilized with a fusion to maintain the correction and allow for healing. This study aims to report on the technique and the outcomes of this modified reduction technique employed in the management of thoracic fracture–dislocations.
Figure 4.
Placement of proximal pedicle screws and fixation with two short temporary rods to facilitate grip during the reduction maneuver.
2. Materials and Methods
This study was conducted after obtaining approval from the institutional ethical committee. A retrospective review was conducted from January 2022 to July 2023 following the inclusion criteria listed below: 1. Patients of age > 18 years presenting with thoracic fracture–dislocations (AO type C) irrespective of the neurological status; 2. patients managed by the modified reduction technique. The success of the reduction and iatrogenic intraoperative reduction maneuver-related complications such as dural tear and screw pull out were the outcomes analyzed.
Surgical Technique
Under general anesthesia, the patient is placed in the standard prone position on a soft support frame. Using the posterior approach, bilateral pedicular fixation is performed, two levels above the fracture, using the free hand technique with fluoroscopic screw verification. Before the reduction itself, we create an initial laminotomy window to get a sense of the damage done to the spinal cord, as intact spinous processes and laminae are required for the reduction technique. The laminotomy window can also be used to provide anchoring points for the lamina spreader in case of spinous process fracture. Definitive laminectomy and wide decompression are performed after reduction.
Our technique adds the use of a lamina spreader diagonally placed in the interspinous space of the dislocated level, combined with the temporary rod placement described above. The idea is that the lamina spreader provides two-dimensional correction forces, one blade simultaneously distracting and depressing the distal vertebra and the other simultaneously distracting and elevating the proximal vertebra. It may be necessary to “trim” the tips of the lower-level facet joints to facilitate “unlock” and further reduce the necessary force for the reduction maneuver, particularly in obese patients, where greater reduction forces are anticipated. Manual depression of the distal segment is performed simultaneously. We feel that the combination of the three simultaneous techniques reduces the overall force required at each individual component of the combined maneuver, making it overall easier to control, and ensuring the safety of the reduction technique (Figure 5A–C).

Figure 5.
Placement of 2 rod holders on the short temporary rods in the proximal segment and introduction of a lamina spreader held diagonally in the interlaminar space (red arrows) (A). Simultaneous gradual traction of the rod holders, expansion of the lamina spreader (red arrows), and digital depression of the distal segment to be reduced (blue arrows) (B). Final reduced position with the facets back in their original positions (C).
Following a successful reduction, a definitive central laminectomy and wide decompression were performed and stabilized with instrumentation two levels above and below the level of injury along with adequate grafting to achieve posterolateral fusion of the index level. We used mean and standard deviation to denote continuous variables.
3. Results
We screened 132 records of patients who presented to us with thoracic fracture and found four cases to be of AO type C fracture–dislocation. This modified reduction technique was performed in four cases presenting with thoracic fracture–dislocations. The mean age of the patients presented was 32.2 (±7.1) years. The included patients presented with complete paraplegia. All the patients were operated as early as possible with a mean time to surgery of 1.5 (±0.5) days. The mean operative time for the cases was 112.2 (±17.5) minutes with mean intraoperative bleeding of 148.5 (±25.7) mL. The baseline characteristics of the included patients are presented in Table 1.
Table 1.
Characteristics of the patients included in the study.
Upon the utilization of the above-mentioned technique, we did not experience any technical difficulties in carrying out the reduction, and the post-operative period was uneventful in all the cases without any intraoperative complications such as dural tears or screw failure (Figure 6 and Figure 7) [8]. The reduction was smooth, and we did not observe any worsening progression of motor or sensory levels in the postoperative period (Figure 8). Due to the initial violence of injury to the spinal cord that occurs with spinal dislocation, patients did not show drastic recovery following surgery. However, they improved from their initial grades of neurological presentation at 1.5 years follow-up as shown in Table 1 and they did not experience back pain.
Figure 6.
Intraoperative fluoroscopic images after successful reduction, decompression, and posterolateral fusion of Th10-L1. Yellow lines represent the vertebral body height and the translation that is restored with the surgical fixation.
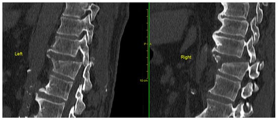
Figure 7.
Computerized tomography scan of thoracic fracture–dislocation (Th9/Th10) successfully and safely reduced using the described technique.
Figure 8.
Postoperative T2 weighted magnetic resonance image revealing adequate decompression. Despite the slight artifacts from the screws, the medullary contusion is visible.
4. Discussion
The thoracolumbar junction acts as a transition zone from a rigid thoracic spine to a more mobile lumbar spine. Injuries to this transitional level are typical due to the relative mismatch in stiffness on either side of the junction. High-energy trauma can affect any level, including dislocating the relatively stiff thoracic spine, and is frequently associated with severe neurologic deficits [9]. Most of the cases of thoracic spine fracture–dislocation present with complete paraplegia as noted in our cases. However, presentations of fracture–dislocations without neurological injury have also been described in the literature [10]. Narendra et al. [11] reported a case of bilateral facet joint dislocation in the lumbar spine without fracture of the facets that was treated with open reduction with instrumentation along with unilateral transforaminal discectomy and fusion. The case demonstrated good functional and neurological outcomes at 6 months follow-up. However, it is not always the case in thoracic injuries given the impact of the trauma on the cord in the limited spinal canal volume.
Despite the grim prognosis, we believe that most fracture–dislocations with complete neurologic deficits should be operated on as soon as possible (as soon as the patient arrives and is cleared for surgery) due to the sheer unpredictability of neurological recovery. The main goals of surgical management include the reduction and stabilization of the unstable spinal segment. In the case of patients presenting with paraplegia, the goal of surgery is towards early mobilization and rehabilitation [12]. Surgical treatment of these injuries is challenging, and the forces needed to achieve adequate reduction often result in complications such as dural tears, screw failure, or iatrogenic spinal cord injury. Our modified reduction maneuver is a simple, reliable, and safe method of reducing rigidly locked thoracic fracture–dislocations. The technique can be reliably used with minimal risk of dural tear utilizing the sufficient “laminotomy window” performed before the reduction. It requires minimal inventory to perform this technique without the need for additional expensive specialized reduction instruments, which may not be readily available at every center.
A similar technique utilizing short horizontal rods connected across the pedicle screws to enable the distraction across the locked facets employing three surgeons to act in synchrony has been documented earlier [13,14]. The greatest advantage of our described technique is the emphasis on leverage rather than strength, which allows for more precise maneuvering, which is a crucial element to take into consideration when performing complex reductions caused by high-energy trauma without demanding manpower. Using less brute force and strength while performing the reduction additionally allows for a slower, more deliberate, delicate movement which reduces the risk of adverse surgical events such as accidental slippage, which may have catastrophic consequences [15].
Some of the key aspects that should be reminded before embarking on the surgical reduction of the locked thoracic facets to maintain the efficacy and safety of the procedure include the following: First, preoperative planning with comprehensive imaging is vital to understand the exact nature and extent of the injury. This helps to plan the reduction strategy and predict potential challenges. If needed, technology with three-dimensional reconstruction with simulation and virtual navigation can be utilized [16]. Further, intraoperative use of fluoroscopy or other real-time imaging aids during the procedure allows the surgeon to verify the positioning and progress of the reduction with every step followed. Intraoperative neuromonitoring during the procedure can help detect potential spinal cord or nerve root compromise early [17]. The facets must be manipulated gently to unlock them. Forceful manipulation may lead to further injury. In some cases, partial facetectomy may be necessary to unlock the facets. A combination of gentle distraction and rotation of the involved vertebrae is often employed to unlock the facets which is made in a controlled manner using the laminar spreader in our technique. If there is spinal cord or nerve root compression due to disc material, bone fragments, or hematoma, a decompression laminectomy, or discectomy might be necessary. Once the facets are unlocked and the vertebrae are realigned, it is important to stabilize the spine using pedicle screw fixation, followed by fusion to maintain the correct alignment and allow healing. In addition to the above measures, postoperative neurologic assessment, pain control, and early mobilization are crucial for recovery.
Thoracic vertebrae fractures with facet dislocation are serious injuries that can result in significant complications. These complications can arise from the injury itself, or they can be associated with the surgical interventions used to manage the condition. One of the most serious complications is injury to the spinal cord or nerve roots, which can result in paralysis or sensory changes below the level of the injury. This can occur as a result of the initial trauma, or it can occur intraoperatively during the reduction or stabilization procedures [18,19]. Prevention of avoidable complications is crucial and it includes careful surgical technique, meticulous perioperative care, early mobilization, deep vein thrombosis prophylaxis, and close postoperative follow-up [20].
Liawrungrueang et al. [21] reported a case of thoracic facet dislocation without facet fracture at Th11-12 with complete paraplegia. The authors utilized 3D printing technology to make preoperative planning for the case. They performed open reduction and decompression followed by instrumentation with posterolateral fusion for the patient. Further, they made a 3D rending of the thoracolumbar junction to further understand the morphology and alignment following the procedure. The authors suggest the use of this technology for a better understanding of the pathology and trialing of the reduction maneuver pre-operatively to aid in the training and coordination of the surgical team effectively.
Our study has its limitations. The small clinical experience because of the sample size managed with the proposed reduction technique is not sufficient to generalize the results obtained. However, considering the rarity of the event, and the consistent performance of the technique at its every attempt, the authors recommend this technique for routine surgical usage in thoracic fracture–dislocation reduction scenarios. We did not compare the effectiveness of the technique in comparison with other techniques and also did not explore the long-term outcome of the patients managed by this technique. However, the authors believe that the impact of the reduction techniques is mostly evaluated in the immediate postoperative complications associated with the technique itself rather than the long-term outcomes which are influenced by the initial spinal cord trauma [22]. Further, a retrospective historical control could not be made out due to the lack of granular intraoperative data on the actual technique followed earlier for similar cases.
5. Conclusions
Our modified reduction maneuver is a simple, reliable, and safe method of reducing rigidly locked through-disk thoracic fracture–dislocations. The technique can be reliably used with minimal risk of iatrogenic complications due to the reduction maneuver.
Author Contributions
Conceptualization, J.P. and M.J.; methodology, J.P. and M.J.; writing—original draft preparation, J.P., M.J., S.D., and S.I.; writing—review and editing, M.J., S.Ć., S.M., A.M., and V.B.; visualization, S.I.; supervision, M.J. and V.B. All authors have read and agreed to the published version of the manuscript.
Funding
This research received no external funding.
Institutional Review Board Statement
The study was conducted adhering to Declaration of Helsinki after obtaining informed consent and institutional ethical committee approval from University Hospital Centre Sestre Milosrdnice.
Informed Consent Statement
Informed consent was obtained from all subjects who underwent the mentioned surgical procedure.
Data Availability Statement
The data presented in this study are available on request from the corresponding author. The data are not publicly available for privacy reasons by the patients and must be anonymized before disclosure to third parties.
Conflicts of Interest
The authors declare no conflict of interest.
References
- Kumar, S.; Patralekh, M.K.; Boruah, T.; Kareem, S.A.; Kumar, A.; Kumar, R. Thoracolumbar Fracture Dislocation (AO Type C Injury): A Systematic Review of Surgical Reduction Techniques. J. Clin. Orthop. Trauma 2020, 11, 730–741. [Google Scholar] [CrossRef]
- Vaccaro, A.R.; Kim, D.H.; Brodke, D.S.; Harris, M.; Chapman, J.R.; Schildhauer, T.; Routt, M.L.; Sasso, R.C. Diagnosis and Management of Thoracolumbar Spine Fractures. Instr. Course Lect. 2004, 53, 359–373. [Google Scholar] [CrossRef]
- Wang, F.; Zhu, Y. Treatment of Complete Fracture-Dislocation of Thoracolumbar Spine. J. Spinal Disord. Tech. 2013, 26, 421–426. [Google Scholar] [CrossRef] [PubMed]
- Vaccaro, A.R.; Albert, T.J. Spine Surgery: Tricks of the Trade, 2nd ed.; Thieme: New York, NY, USA, 2009; ISBN 978-1-58890-519-2. [Google Scholar]
- Mishra, A.; Agrawal, D.; Gupta, D.; Sinha, S.; Satyarthee, G.D.; Singh, P.K. Traumatic Spondyloptosis: A Series of 20 Patients. J. Neurosurg. Spine 2015, 22, 647–652. [Google Scholar] [CrossRef]
- Paulo, D.; Semonche, A.; Tyagi, R. Novel Method for Stepwise Reduction of Traumatic Thoracic Spondyloptosis. Surg. Neurol. Int. 2019, 10, 23. [Google Scholar] [CrossRef]
- Zygogiannis, K.; Manolakos, K.; Kalampokis, A.; Thivaios, G.C.; Moschos, S. Traumatic Fracture of the Thoracic Spine with Severe Posterolateral Dislocation: A Case Report. Cureus 2022, 14, e23830. [Google Scholar] [CrossRef]
- Abdel-Fattah, H.; Rizk, A.H. Complete Fracture-Dislocation of the Lower Lumbar Spine with Spontaneous Neurologic Decompression. Clin. Orthop. 1990, 251, 140–143. [Google Scholar] [CrossRef]
- Zeng, J.; Gong, Q.; Liu, H.; Rong, X.; Ding, C. Complete Fracture-Dislocation of the Thoracolumbar Spine without Neurological Deficit: A Case Report and Review of the Literature. Medicine 2018, 97, e0050. [Google Scholar] [CrossRef] [PubMed]
- Kumar, S.; Kumar, P.; Patralekh, M.K.; Srinivasan, R.; Agarwal, A.; Boruah, T. Fracture-Dislocation of the Thoracolumbar Spine without Neurological Deficit: A Report of Two Cases and Literature Review. Spinal Cord Ser. Cases 2020, 6, 67. [Google Scholar] [CrossRef] [PubMed]
- Medagam, N.R.; Dhillon, C.S.; Dwivedi, R.; Jindal, P.K.; Ega, S. Rare Case of Bilateral Pure Facet Joint Dislocation of Upper Lumbar Spine without Facet Fracture: A Case Report. J. Orthop. Case Rep. 2018, 8, 58–60. [Google Scholar] [CrossRef]
- Rahimizadeh, A.; Rahimizadeh, A. Management of Traumatic Double-Level Spondyloptosis of the Thoracic Spine with Posterior Spondylectomy: Case Report. J. Neurosurg. Spine 2015, 23, 715–720. [Google Scholar] [CrossRef]
- Li, Y.; Huang, M.; Manzano, G. Traumatic Dorsal Spondyloptosis of Upper Thoracic Spine: Case Report and Novel Open Reduction Technique. Br. J. Neurosurg. 2020, 37, 1704–1708. [Google Scholar] [CrossRef] [PubMed]
- Moore, T.A.; Steinmetz, M.P.; Anderson, P.A. Novel Reduction Technique for Thoracolumbar Fracture-Dislocations. J. Neurosurg. Spine 2011, 15, 675–677. [Google Scholar] [CrossRef] [PubMed]
- Montalva-Iborra, A.; Alcanyis-Alberola, M.; Grao-Castellote, C.; Torralba-Collados, F.; Giner-Pascual, M. Risk Factors in Iatrogenic Spinal Cord Injury. Spinal Cord 2017, 55, 818–822. [Google Scholar] [CrossRef]
- Heuts, S.; Sardari Nia, P.; Maessen, J.G. Preoperative Planning of Thoracic Surgery with Use of Three-Dimensional Reconstruction, Rapid Prototyping, Simulation and Virtual Navigation. J. Vis. Surg. 2016, 2, 77. [Google Scholar] [CrossRef] [PubMed]
- Park, J.-H.; Hyun, S.-J. Intraoperative Neurophysiological Monitoring in Spinal Surgery. World J. Clin. Cases WJCC 2015, 3, 765–773. [Google Scholar] [CrossRef]
- Shapiro, S.; Abel, T.; Rodgers, R.B. Traumatic Thoracic Spinal Fracture Dislocation with Minimal or No Cord Injury. Report of Four Cases and Review of the Literature. J. Neurosurg. 2002, 96, 333–337. [Google Scholar] [CrossRef]
- Tang, X.; Huang, Y.; He, S.; Tang, C.; Peng, M.; Dai, M.; Chen, W. Clinical Characteristics and Treatment of Fracture-Dislocation of Thoracic Spine with or without Minimal Spinal Cord Injury. J. Back Musculoskelet. Rehabil. 2020, 33, 437–442. [Google Scholar] [CrossRef]
- Bansal, T.; Sharan, A.D.; Garg, B. Enhanced Recovery after Surgery (ERAS) Protocol in Spine Surgery. J. Clin. Orthop. Trauma 2022, 31, 101944. [Google Scholar] [CrossRef]
- Liawrungrueang, W.; Sornsa-ard, T.; Boonchieng, E. Bilateral Pure Facet Joint Dislocation in Thoracolumbar Junction (T11–T12) without Facet Fracture Using a 3D Digital Printing Model for Surgical Planning: A Case Report. Trauma Case Rep. 2020, 25, 100273. [Google Scholar] [CrossRef]
- Rogers, L.F.; Thayer, C.; Weinberg, P.E.; Kim, K.S. Acute Injuries of the Upper Thoracic Spine Associated With Paraplegia. AJNR Am. J. Neuroradiol. 1980, 1, 89–95. [Google Scholar] [CrossRef] [PubMed]
Disclaimer/Publisher’s Note: The statements, opinions and data contained in all publications are solely those of the individual author(s) and contributor(s) and not of MDPI and/or the editor(s). MDPI and/or the editor(s) disclaim responsibility for any injury to people or property resulting from any ideas, methods, instructions or products referred to in the content. |
© 2024 by the authors. Licensee MDPI, Basel, Switzerland. This article is an open access article distributed under the terms and conditions of the Creative Commons Attribution (CC BY) license (https://creativecommons.org/licenses/by/4.0/).








