Next Article in Journal
Anterior Lumbar Interbody Fusion (ALIF) for Lumbar Hemivertebra in an Adult Using Three-Dimensional-Printed Patient-Specific Implants and Virtual Surgery Planning: A Technical Report
Previous Article in Journal
Robotic Liver Resection: Report of Institutional First 100 Cases
 
 
Font Type:
Arial Georgia Verdana
Font Size:
Aa Aa Aa
Line Spacing:
Column Width:
Background:
Article

Intraoperative Complications of the Anterior Retroperitoneal Approach to the Lumbosacral Spine in the Supine Position: A Proposal for an Algorithm to Predict the Degree of Difficulty of the Surgical Procedure

Instituto Quirúrgico Spano, Clinica Sagrada Familia, 08022 Barcelona, Spain
*
Author to whom correspondence should be addressed.
Surg. Tech. Dev. 2023, 12(4), 188-198; https://doi.org/10.3390/std12040018
Submission received: 12 July 2023 / Revised: 10 August 2023 / Accepted: 17 October 2023 / Published: 19 October 2023

Abstract

:
The main concern in anterior exposure of the lumbosacral spine is the risk of vascular injury during mobilization and retraction of the blood vessels. Preoperative planning is considered essential to reducing the incidence of vascular injury, although no consensus has been reached on the preferred methodology for such planning. This is a retrospective study, including all patients operated on by a single surgeon, who received anterior lumbar-spine surgery in the supine position as a primary procedure before undergoing an anterior lumbar interbody fusion (ALIF) or an artificial disc replacement (ADR). The aim of this study was to list the intraoperative complications observed. We included 156 patients (87 women; mean age, 48 years) who met the inclusion criteria. The overall complication rate was 6.4% (10/156). The most frequent complications were an incidental peritoneal opening (seven patients, 4.4%); two left–iliac-vein injuries (1.28%) that were sutured; and one dural tear during a decompression maneuver of the canal. No neurological, arterial, or ureteral injury or retrograde ejaculation was reported. The use of a sound protocol that includes planning, assessment of approach difficulty, and step-by-step surgical technique can reduce the rate of vascular injury in anterior lumbosacral-spine surgery.

1. Introduction

The anterior approach to the lumbar spine is now widely used to surgically treat degenerative disc disease by performing either an artificial disc replacement (ADR) or an anterior lumbar interbody fusion (ALIF; either a structural bone allograft or a cage). Several variations in surgical approach have been developed to minimize the complications associated with the procedure. Usually, a retroperitoneal approach is preferred to a transperitoneal one, as the use of the latter has been associated with a higher complication rate. This is of particular relevance to the rate of retrograde ejaculation in men [1].
In recent years, the use of the lateral decubitus position has increased in order to facilitate the mobilization of the great vessels by taking advantage of gravity to move the abdominal contents away from the operative field. Nevertheless, a recent systematic review revealed that complications are more common after an oblique lumbar interbody fusion (OLIF) than after ALIF, which is performed with the patient in the supine position (complication rates: OLIF, 18.83%; ALIF, 7.32%). This difference is mainly due to the subsidence rates of implants [2]. ALIF allows complete discectomy and improved endplate preparation by providing direct visualization of the anterior column. Moreover, if necessary, the surgeon can also access the spinal canal and perform decompressive maneuvers. ALIF allows better fitting of intersomatic devices to vertebral endplates, resulting in better postoperative disc height and segmental lordosis than for other intersomatic devices implanted using different techniques (posterior, transforaminal, or lateral lumbar interbody fusion [respectively PLIF, TLIF, and LLIF]) [3,4]. Stress distribution in the endplate has been found to be better in ALIF than in OLIF cages [5], which explains the lower subsidence rate of implants after ALIF than of those of obliquely or laterally implanted devices [2].
The main concern with anterior exposure of the lumbosacral spine is the risk of vascular injury during mobilization and retraction of the blood vessels. A recent systematic review reported an incidence rate of lacerations and deep-vein thrombosis (DVT) ranging from 0.8% to 4.3% in ALIF approaches. Arterial injuries occurred in 0.4–4.3% of cases, including arterial thrombosis, lacerations, and vasospasm. Vascular complications were identified as a cause of procedure cancellation in 0.5% of patients who underwent ALIF [6]. Other complications related to the anterior approach have been described, though they are uncommon; examples include bowel or ureteral injuries, retrograde ejaculation, and operative-wound complications (infection or incisional hernia) [7].
Most vascular lesions appear in the L4-L5 and L5-S1 space exposures. Several factors have been reported to favor the occurrence of vascular lesions, e.g., arteriosclerosis, which decreases vascular elasticity. The majority of arterial lesions are due to fixed retraction of the iliac vessels, including that caused by metallic retractors. Anatomical anomalies are also considered risk factors for the development of vascular injuries [8]. Consequently, preoperative planning is considered essential to reducing the incidence of vascular injury, although no consensus has been reached on the preferred methodology for such planning.
We hypothesized that the use of systematic preoperative planning and a step-by-step approach would reduce the number of intraoperative complications. The aim of this study was to describe intraoperative complications found in a cohort of patients operated on by a single surgeon using the same planning strategy and surgical technique to perform an anterior approach to the lumbosacral spine to manage different degenerative-spine pathologies.

2. Materials and Methods

This study received institutional research ethics approval (code number CEIm-51/23). This was a retrospective study that included all patients operated by the senior author (FC) during the period from September 2018 to December 2022 and who received anterior lumbar-spine surgery as a primary procedure to manage different chronic conditions such as degenerative disc disease, degenerative spondylolisthesis, or degenerative scoliosis, regardless of whether they received an additional posterior procedure. Patients with trauma, tumors, or infectious conditions or who underwent a revision procedure were excluded. We also excluded patients whose surgeries took an approach other than the anterior direct one (extreme lateral interbody fusion [XLIF], LLIF, or OLIF). Procedures were performed by a single surgeon (FC), who in all cases personally created access to the lumbar spine without the assistance of a vascular “access” surgeon. Each patient’s records were reviewed for age, gender, diagnosis, levels of surgery, procedure performed, and complications related to the approach. A major vascular injury was defined as occurring in any case requiring a suture to control bleeding or requiring vascular reconstruction [9]. A single surgical-planning protocol was used for all patients. The MRIs of all patients were evaluated by the surgeon himself (FC). All patients were placed in the same position, and the surgeon used the same approach, sequence and technique for all.
The statistical analysis consists solely of descriptive data for continuous variables (mean and standard deviation) and categorical variables (percentages).

2.1. Preoperative Planning

A priori, there are no absolute contraindications for a primary anterior approach. It is important to collect any history of previous abdominal surgery that might interfere with spinal access. Obesity is not a definite contraindication, although it should be taken into consideration, as it has been shown to have an impact on overall complication rates with post-operative complications including wound infection and lower fusion rates [10].
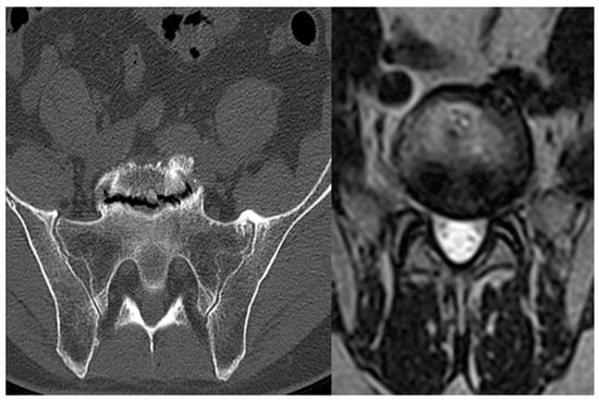
For proper preoperative planning, magnetic resonance imaging (MRI) is essential to identify different structures and to qualify the approach difficulty. First, the surgeon must determine the location of the aortoiliac bifurcation. The approach is classified as type 1 when performed caudally to the bifurcation and as type 2 when performed laterally to the bifurcation (usually on the left side). To approach the L5-S1 disc, a type 1 approach is usually used, whereas to access L4-L5 discs, a type 2 approach is commonly required. The type 1 approach is further classified as “narrow window” when the gap between the common iliac veins is 1.5–3 cm (Figure 1a); if this distance is >3 cm, the case is classified as “wide window” (Figure 1b).
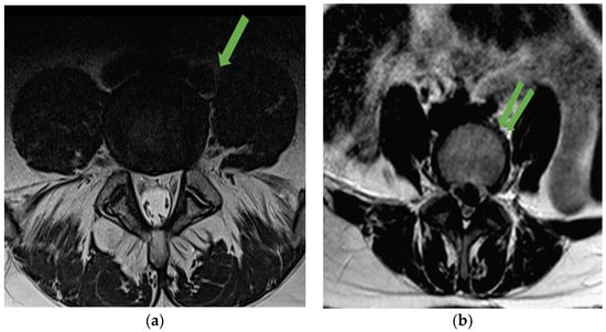
When the distance between the right and left iliac vessels is <1.5 cm, a type 2 approach must be used, i.e., lateral to the vessels (Figure 1c). This is the usual approach to accessing the L4-L5 disc, as the iliac bifurcation is usually located either at the level of this disc or even caudal to it. In the type 2 approach, the spine is accessed through the space between the psoas, laterally, and the iliac vessels, medially. Two subtypes of the type 2 approach also exist: the “narrow window” (Figure 2a), when the distance between the psoas and the iliac vessels is <2 cm, and the “wide window” (Figure 2b), when this distance is >2 cm.
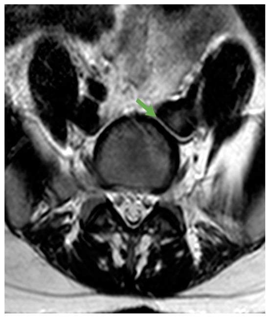
MRI also allows assessment of psoas muscle volume. Bulky muscles, especially at the L4-L5 level, occlude the access window, constituting an obstacle to vessel mobilization. Finally, the characteristics of the dissection plane (Figure 3) of the prediscal space located dorsal to the vasculature should be assessed. On MRI, it is identified as hyperintense tissue on the T2 sequence. The presence of a wide dissection plane indicates that manipulation and mobilization of the vessels will be comfortable. On the contrary, its absence warns us that vessel mobilization will be hazardous.

2.2. Surgical Technique

The patient is placed in the supine position with arms crossed open on a radiolucent table. Once the patient is positioned, the surgeon performs X-ray marking to identify the levels to be addressed. To work at the L4-L5-S1 levels, an infra-umbilical midline incision is required (6 cm for L5-S1; 8 m for L4-S1). When cephalic levels to L4 must be approached, a supra-infraumbilical left para-median incision is made (approximately 10 cm). The incision usually extends from the center of the upper vertebra to the center of the lower vertebra that are to be managed. Prior to surgery, the automatic retractor is set up, and basal evoked potentials are obtained. Beginning with a skin incision, the surgeon performs dissection down to the anterior rectus abdominis fascia through subcutaneous tissue. The linea alba is localized, and a longitudinal cut is made in the fascia of the left rectus abdominis. The posterior sheet of the rectus fascia and the arcuate line of Douglas are exposed. After transecting these structures, the surgeon reaches the retroperitoneal space. The peritoneum is separated medially using swabs of various sizes. It can be displaced medially using a brush-like motion with swabs, revealing the anterior aspect of the left psoas muscle. Blunt dissection continues, revealing the medial border of the psoas muscle. On the left side, the iliac-artery bifurcation can be identified. As stated in Section 2.1, access to the L4-L5 space requires going above the bifurcation, medially to the psoas, and laterally to the iliac vessels (type 2). To access the L5-S1 space, the surgeon must start by identifying the left iliac artery and left common iliac vein in a lateral-to-medial direction. When the L5-S1 space is to be approached from lateral to medial, the left iliac artery and the left common iliac vein must be identified. Once these structures are identified, the L5-S1 disc can be found medial to them (type 1 approach). At this point, the surgeon positions the spacer blades to expose the working window. The first blade exposes the psoas muscle in an upward and sideways direction; the second blade separates the rectus abdominis in a downward and lateral direction; and the third blade shifts the peritoneum cranially and medially to expose the aortic bifurcation.
To expose the L4-L5 space, it is necessary to displace the common iliac vessels (arteries and veins) to the right. Blunt swabs are used to carefully separate the vessels from the discovertebral plane. Clipping and transection of L4 segmental vessels are normally required. To keep the iliac vessels separated from the midline, the surgeon places a Hohmann pin in the center of the L4 and another in the lower-right corner of the L4 endplate. The next objective is to expose the upper-left corner of the L5 and ligate the ileolumbar vessels. The ileolumbar vein almost always prevents mobilization of the left common iliac vein to the right and therefore must be systematically divided. This fully exposes the L4-L5 disc, and the vessel position is set by placing a third Hohmann pin in the upper-right corner of L5.
To expose the L5-S1 disc, after the disc plane has been identified, the surgeon positions a fourth retractor blade to displace the peritoneum and the right iliac vessels to the right. To complete the procedure, it is necessary to ligate the median sacral vessels. We strongly advise against using monopolar coagulation at this level, since the hypogastric plexus could be damaged and result in retrograde ejaculation in males. The upper-right corner of the disc, where the right common iliac vein is located, is then exposed. This is delicate due to the risk of venous injury. The vein should be carefully mobilized using two small blunt swabs, and this should be done slowly, starting from the left and proceeding caudally to the sacral endplate. In the cranial area, the lower L5 endplate should be identified. One retractor blade is secured to protect the right iliac vessels and fully expose the L5-S1 disc.

3. Results

A total of 156 patients who met the specified requirements underwent surgery; 87 were female and 69 were male, with an age range of 16–77 years and an average age of 48 years. The senior surgeon performed all the surgeries with no assistance from another “access” surgeon. The same planning, positioning, and approach, as mentioned in Section 2.1 and Section 2.2, were followed for all patients.
The majority of patients (97) underwent surgery at a single level, 59 patients had surgery at two levels, and only three had surgery at three levels. Thirty-two patients underwent a standalone ALIF, and 31 received an ADR. Twenty patients underwent a mixed procedure consisting of an ALIF on the caudal disc and an ADR on the cephalic one. Finally, 73 patients were managed with an ALIF and, in the second stage, a posterior spine fusion and instrumentation (PSFI) using a percutaneous technique. Procedures are listed in Table 1.
The overall complication rate was 6.4% (10/156 patients). The most frequent complication was an incidental peritoneal opening in seven patients (4.4%), which was easily repaired without any consequence. We observed two left iliac-vein injuries (1.28%) that were sutured without consequences.
  • Case 1: 57-year-old male; diagnosis of L5-S1 spondylolisthesis with L5 bilateral spondylolysis. A transitional anomaly was observed with a bifurcation of the low iliac vessels. Surgical planning was ALIF L5-S1 plus posterior percutaneous stabilization. Preoperative MRI showed no dissection plane, so the approach was considered “challenging”. A type 2 approach to L5-S1 was used. At the end of the anterior procedure, after removing the retractor, left common iliac vein bleeding was noticed. A one-stich suture was performed with Prolene 5.0 suture, achieving bleeding control without any further inconvenience.
  • Case 2: 67-years-old male; diagnosis of degenerative spondylolisthesis L4-L5-S1. After performing L4-L5 ALIF without complications, we had left common iliac vein bleeding during the L5-S1 ALIF procedure. The patient had severe spondylosis and osteophyte formation, with the left iliac vein stuck to the sacrum. In the preoperative plan, we considered the L5-S1 approach as “difficult” due to the absence of dissection plane and osteophyte formation; a wide window was observed. During the mobilization maneuver a small laceration was noticed. The bleeding was controlled by compression of the valve retractor, and the cage was implanted. After releasing the retractor, the vein was still bleeding. The bleeding was controlled with Debakey forceps and sutured with a Prolene 5.0 suture without any further inconvenience.
Regarding the timing of the incidents in relation to the start of the series, the first case occurred in February 2019, 4 months after the start, and the second case occurred in February 2022, more than 3 years later. We experienced no other cases of bleeding that did not require sutures. Finally, one patient suffered a dural tear during a decompression maneuver of the spinal canal, which was controlled with fibrinogen plus thrombine adhesive sponge sealant. This event did not cause any neurological deficits.
All complications were deemed minor since they did not necessitate further surgery, did not extend the length of hospitalization, and did not result in prolonged illness. After 6 months post-surgery, we considered all cases fully resolved. It is important to note that no arterial or ureteral injuries were found. In addition, no instances of retrograde ejaculation were reported.

4. Discussion

In our series of 156 consecutive cases, the complication rate was 6.4%. The most frequent complication was an incidental peritoneal opening in 4.4% of patients, which was easily repaired without any consequence. Two cases of venous lesions were observed (incidence rate, 1.2%). Both were injuries to the left iliac vein that were repaired and had no further consequences. The incidence rates in our series compare favorably with the data reported in the literature. In a recent systematic review to identify studies reporting vascular complications during anterior lumbar spinal surgery, Pelletier et al. [6] reported a venous-injury rate of 0.8–4.3%; 15.4% of all venous injuries were classified as major. As a result of these injuries, the researchers found DVT in 1.0–4.5% of cases. In our series, we did not observe any cases of DVT. Furthermore, in this systematic review, the rate of arterial injury ranged from 0.4% to 4.3%. We observed no cases of arterial injury or arterial thrombosis in our cohort. Nor did we see any cases of excessive bleeding, and no surgery had to be canceled for this reason.
Mobbs et al. [7] reported the experience of a combined spine surgeon and vascular surgeon team; 227 patients underwent an open ALIF using an anterior approach to the lumbosacral spine. Intraoperative vascular injuries requiring primary repair with suturing occurred in 6.6% of cases, and four patients described retrograde ejaculation.
Manunga et al. [11] reported a retrospective analysis of prospectively collected data from 1178 patients undergoing ALIF. The approach was performed by an access surgeon (a vascular surgeon), who remained present for the duration of the case. There were 17 (1.4%) vascular injuries (13 venous, 4 arterial). Two of the four patients with arterial injuries developed acute limb ischemia, requiring embolectomy. All 13 venous injuries occurred while treating L4-L5 levels.
In our cohort, the senior neurosurgeon (FC) performed surgery without the assistance of an access surgeon. However, a vascular surgeon was readily available for all procedures. Our data compared favorably with those reported by other spine surgeons who also use the anterior approach without the assistance of an access surgeon. Quraishi et al. [12] reported that in their cohort, 4.6% of patients suffered venous injuries and 1.6% suffered arterial injuries requiring repair. Lindado et al. [9] reported a 2.6% rate of venous lesions and no arterial injuries in a series of 337 patients. The evidence in favor of the access surgeon’s assistance is inconclusive. A systematic review and meta-analysis that included 8028 patients found no difference in total intraoperative or approach-related complications with or without an access surgeon [13]. Moreover, the overall pooled rate of arterial injuries (no access, 0.44%; access, 1.16%; odds ratio [OR], 2.67) was higher in the “access surgeon” group. We believe that a professionally trained and experienced spine surgeon can safely take the anterior approach to the lumbosacral spine without the assistance of an access surgeon. Furthermore, vascular surgical assistance can be guaranteed if needed.
Apart from the two venous lesions described, we had no cases of venous bleeding that required non-suture control maneuvers. We observed no “learning curve” effect on vascular injury incidence in contrast to other authors reports [14]. We would like to point out that no male patient reported the occurrence of retrograde ejaculation in the postoperative period. This contrasts with a recent systematic review [15] including 2503 men undergoing first-time open anterior lumbar surgery, which reported an incidence of retrograde ejaculation of 2.3%.
Our hypothesis is that careful planning is essential to reducing the risk of unwanted complications during surgery. For assessing the vascular anatomy of the lumbosacral region, the T2 sequence of MRI is our preferred imaging modality over other options like contrast-enhanced computed tomography or angiography. MRI can be used to determine the distance between the two common iliac veins at the L5 caudal endplate and the S1 cranial endplate. The distance from the bifurcation of the common iliac vein and iliac artery to the L5 caudal endplate [16] can also be measured. In addition, MRI allows measurement of the space between the lateral border of the aorta (or of the most adjacent iliac vessel if below the bifurcation) and the medial border of the psoas (the so-called oblique corridor) [17].
There have been several attempts at classifying of the anatomical variants of the iliocaval bifurcation. Capellades et al. [18] conducted an in vivo anatomical study analyzing magnetic resonance angiography to identify the iliocava junction position (JP). They divided the coronal plane into four spaces (very high, high, low and very low) according to the distance between the L4-L5 disc and the L5-S1 disc in relation to the JP, and the axial plane of the disc into three spaces (medial, intermediate and lateral), so they described 12 positions of the JP. The most frequent configurations were high lateral (48.1%) and low lateral (15%). Vargas-Moreno et al. [19] described a classification of venous anatomy at the lumbosacral junction (common iliac vein bifurcation complex CIVC). Based on axial T2 MRI images at L5-S1 level, they divided the space disc into five zones and described four types of the CIVC anatomy depending on the position of the vessels. They found a significant relationship between the proposed classification and the perception of surgical difficulty. Ng et al. [20] analyzed the feasibility of anterior spinal access to the vascular corridor at the L5-S1 junction by evaluating three crucial anatomical landmarks: the vascular corridor (narrow if ≤25 mm, medium if 25–35 mm, and wide if >35 mm), the left common iliac vein location, and the presence or absence of a fat plane. They found that 43% of the patients had a wide corridor for anterior access, 37% would have easy anterior access, and a minority (1.85%) would have difficult anterior access.
With the help of this data, surgeons can effectively plan their approach to treating discs. This includes determining whether the discs should be approached below the bifurcation (type 1, which is typical for L5-S1) or on the medial side of the psoas (type 2, which is usually for L4-L5 and cephalic discs).
MRI also allows assessment of the dissection plane between vessels and discovertebral structures. On MRI, this plane appears as bright tissue on the T2 sequence. A wider dissection plane suggests that manipulation and movement of the vessels will be easier. Conversely, if the dissection plane is narrow or absent, it serves as a warning that mobilization of the vessels might be risky or dangerous. MRI is also useful in assessing the degenerative discovertebral process. Malham et al. [21] noted that factors associated with a difficult dissection due to vascular adhesions were the presence of Modic type 2 changes on MRI (OR, 2.1) and smoking status (OR, 2.2). Overall, in the Malham et al. series, 17.5% of patients were classified as having difficult dissections due to vascular adherence. Therefore, the presence of Modic type 2 changes must be considered. The dissection plane can also be altered by the presence of osteophytes. Osteophytic formation is ultimately due to an inflammatory process secondary to the degenerative process of the disc, leading to the formation of a tight adhesion between the vessel (usually the vein) and the osteophyte. In this scenario, the vein is much more difficult to mobilize, and the risk of laceration is greater (Figure 4). In these cases, we recommend that the surgeon dissect cranially and caudally first, leaving the adherent area for the end of the dissection.
When the L4-L5 disc is approached, a pulse oximeter is routinely placed on the left foot to monitor arterial oxygen saturation (SaO2) [22]. As long as SaO2 and neuromonitoring remain stable, the retractor valves remain in position. If SaO2 drops significantly, the retractor is removed until normal values are restored. The pause usually lasts about 5 min and is repeated every 20 min until the implant is placed, at which time the retractor is withdrawn.
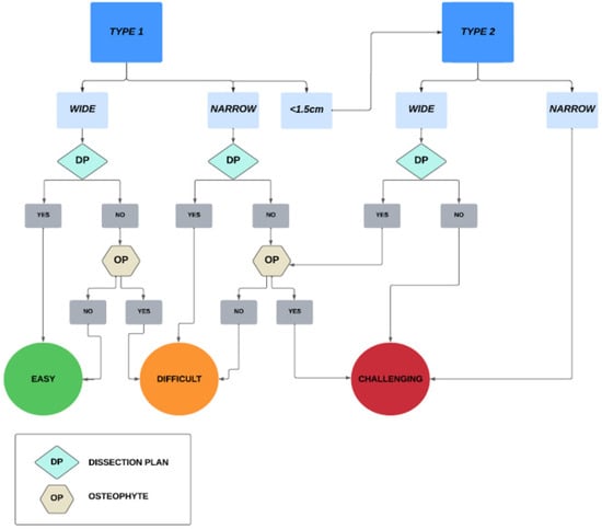
Taking into account all the variables mentioned above—i.e., height of the bifurcation, distance between the iliac vessels, oblique corridor dimensions, presence of Modic changes and/or osteophytes and quality of the dissection plane—we have developed an algorithm to predict the degree of difficulty that the surgical procedure may entail (Figure 5).
The main strength of this study is that it consisted of a consecutive series of patients operated on by a single surgeon using a single protocol for planning, estimation of approach difficulty, and surgical technique in all patients. All cases were primary procedures using a direct retroperitoneal anterior approach with the patient in the supine position. This leads us to highlight the many limitations of the study. The sample size was small compared with other reported series. It was an observational study, meaning that there was no control group with which to make comparisons. Finally, it should be emphasized that only primary surgery was included in this series. Revision of previous surgery is a complex procedure with a high risk of vascular, ureteral, peritoneal, or neurological injury [23].
The rate of vascular lesions we observed (1.28%) could be considered acceptable if we also consider that these were venous lesions that resolved satisfactorily within the same operation and did not cause any sequelae. Other injuries commonly reported in the literature, such as arterial injury or retrograde ejaculation, did not occur in our series. Nevertheless, our next goal is to reduce the overall complication rate to <5% and the vascular injury rate to <1%.

5. Conclusions

The use of a sound protocol that includes planning, assessment of approach difficulty, and step-by-step surgical technique can reduce the rate of vascular injury in primary anterior retroperitoneal supine lumbosacral-spine surgery.
We propose an algorithm for predicting the degree of difficulty of the approach. To validate the algorithm and demonstrate its effectiveness in reducing vascular injury, further studies and larger samples are needed.

Author Contributions

Conceptualization, F.C. and J.B.; methodology, J.B.; software, F.C.; validation, F.C. and J.B.; formal analysis, J.B.; investigation, L.C.; resources, F.C.; data curation, F.C. and L.C.; writing—original draft preparation, J.B.; writing—review and editing, J.B. and F.C.; visualization, J.B.; supervision, F.C.; project administration, F.C. All authors have read and agreed to the published version of the manuscript.

Funding

This research received no external funding.

Institutional Review Board Statement

The study was conducted in accordance with the Declaration of Helsinki and approved by the Ethics Committee of Hospital de Mataró/Consorci Sanitari del Maresme; the code number is CEIm-51/23.

Informed Consent Statement

Informed consent was obtained from all subjects involved.

Data Availability Statement

Data available on request due to restrictions e.g., privacy or ethical. The data presented in this study are available on request from the corresponding author.

Conflicts of Interest

F.C. Consultancy: Nuvasive and Spineart; Grants and other funding: Medtronic, Stryker, Nuvasive and Spineart. L.C. No conflict of interest J.B. No conflict of interest.

References

  1. Feeley, A.; Feeley, I.; Clesham, K.; Butler, J. Is there a variance in complication types associated with ALIF approaches? A systematic review. Acta Neurochir. 2021, 163, 2991–3004. [Google Scholar] [CrossRef]
  2. Sun, D.; Liang, W.; Hai, Y.; Yin, P.; Han, B.; Yang, J. OLIF versus ALIF: Which is the better surgical approach for degenerative lumbar disease? A systematic review. Eur. Spine J. 2023, 32, 689–699. [Google Scholar] [CrossRef]
  3. Watkins, R.G.; Hanna, R.; Chang, D.; Watkins, R.G. Sagittal Alignment after Lumbar Interbody Fusion. J. Spinal Disord. Tech. 2014, 27, 253–256. [Google Scholar] [CrossRef] [PubMed]
  4. Teng, I.; Han, J.; Phan, K.; Mobbs, R. A meta-analysis comparing ALIF, PLIF, TLIF and LLIF. J. Clin. Neurosci. 2017, 44, 11–17. [Google Scholar] [CrossRef] [PubMed]
  5. Ouyang, P.; Tan, Q.; He, X.; Zhao, B. Computational comparison of anterior lumbar interbody fusion and oblique lumbar interbody fusion with various supplementary fixation systems: A finite element analysis. J. Orthop. Surg. Res. 2023, 18, 4. [Google Scholar] [CrossRef] [PubMed]
  6. Pelletier, Y.; Lareyre, F.; Cointat, C.; Raffort, J. Management of Vascular Complications during Anterior Lumbar Spinal Surgery Using Mini-Open Retroperitoneal Approach. Ann. Vasc. Surg. 2021, 74, 475–488. [Google Scholar] [CrossRef]
  7. Mobbs, R.J.; Phan, K.; Daly, D.; Rao, P.J.; Lennox, A. Approach-Related Complications of Anterior Lumbar Interbody Fusion: Results of a Combined Spine and Vascular Surgical Team. Glob. Spine J. 2016, 6, 147–154. [Google Scholar] [CrossRef]
  8. Pappa, E.; Evangelopoulos, D.S.; Benetos, I.S.; Pnevmaticos, S. Vascular Injury in Elective Anterior Surgery of the Lumbar Spine: A Narrative Review. Cureus 2021, 13, e20267. [Google Scholar] [CrossRef]
  9. Lindado, C.A.; Devia, D.A.; Gutiérrez, S.; Patiño, S.I.; Ocampo, M.I.; Berbeo, M.E.; Diaz, R.C. Intraoperative Complications of Anterior Lumbar Interbody Fusion: A 5-Year Experience of a Group of Spine Surgeons Performing Their Own Approaches. Int. J. Spine Surg. 2022, 16, 714–719. [Google Scholar] [CrossRef]
  10. Feeley, A.; McDonnell, J.; Feeley, I.; Butler, J. Obesity: An Independent Risk Factor for Complications in Anterior Lumbar Interbody Fusion? A Systematic Review. Glob. Spine J. 2022, 12, 1894–1903. [Google Scholar] [CrossRef]
  11. Manunga, J.; Alcala, C.; Smith, J.; Mirza, A.; Titus, J.; Skeik, N.; Senthil, J.; Stephenson, E.; Alexander, J.; Sullivan, T. Technical approach, outcomes, and exposure-related complications in patients undergoing anterior lumbar interbody fusion. J. Vasc. Surg. 2021, 73, 992–998. [Google Scholar] [CrossRef]
  12. Quraishi, N.A.; Konig, M.; Booker, S.J.; Shafafy, M.; Boszczyk, B.M.; Grevitt, M.P.; Mehdian, H.; Webb, J.K. Access related complications in anterior lumbar surgery performed by spinal surgeons. Eur. Spine J. 2013, 22, 16–20. [Google Scholar] [CrossRef] [PubMed]
  13. Phan, K.; Xu, J.; Scherman, D.B.; Rao, P.J.; Mobbs, R.J. Anterior Lumbar Interbody Fusion with and without an “Access Surgeon”. Spine 2017, 42, E592–E601. [Google Scholar] [CrossRef] [PubMed]
  14. Mirza, M.Z.; Olson, S.L.; Panthofer, A.M.; Matsumura, J.S.; Williams, S.K. Surgeon Learning Curve and Clinical Outcomes of Minimally Invasive Anterior Lumbar Interbody Fusion with Posterior Percutaneous Instrumentation. JAAOS Glob. Res. Rev. 2022, 6, e22.00207. [Google Scholar] [CrossRef]
  15. Body, A.M.; Plummer, Z.J.; Krueger, B.M.; Virojanapa, J.; Nasser, R.; Cheng, J.S.; Prestigiacomo, C.J. Retrograde ejaculation following anterior lumbar surgery: A systematic review and pooled analysis. J. Neurosurg. Spine 2021, 35, 427–436. [Google Scholar] [CrossRef] [PubMed]
  16. Nagamatsu, M.; Ruparel, S.; Tanaka, M.; Fujiwara, Y.; Uotani, K.; Arataki, S.; Yamauchi, T.; Takeshita, Y.; Takamoto, R.; Tanaka, M.; et al. Assessment of 3D Lumbosacral Vascular Anatomy for OLIF51 by Non-Enhanced MRI and CT Medical Image Fusion Technique. Diagnostics 2021, 11, 1744. [Google Scholar] [CrossRef]
  17. Molinares, D.M.; Davis, T.T.; Fung, D.A. Retroperitoneal oblique corridor to the L2–S1 intervertebral discs: An MRI study. J. Neurosurg. Spine 2016, 24, 248–255. [Google Scholar] [CrossRef]
  18. Capellades, J.; Pellisé, F.; Rovira, A.; Grivé, E.; Pedraza, S.; Villanueva, C. Magnetic Resonance Anatomic Study of Iliocava Junction and Left Iliac Vein Positions Related to L5–S1 Disc. Spine 2000, 25, 1695–1700. [Google Scholar] [CrossRef]
  19. Vargas-Moreno, A.; Diaz-Orduz, R.; Berbeo-Calderón, M. Venous anatomy of the lumbar region applied to anterior lumbar interbody fusion (ALIF): Proposal of a new classification. N. Am. Spine Soc. J. 2021, 7, 100078. [Google Scholar] [CrossRef]
  20. Ng, J.P.-H.; Scott-Young, M.; Chan, D.N.-C.; Oh, J.Y.-L. The Feasibility of Anterior Spinal Access. Spine 2021, 46, 983–989. [Google Scholar] [CrossRef]
  21. Malham, G.M.; Johnson, N.; Claydon, M.H. Modic Changes on Magnetic Resonance Imaging and Smoking History Predict Vascular Adherence during Anterior Lumbar Exposure. Int. J. Spine Surg. 2021, 15, 1054–1059. [Google Scholar] [CrossRef] [PubMed]
  22. Brau, S.A.; Delamarter, R.B.; Schiffman, M.L.; Williams, L.A.; Watkins, R.G. Vascular injury during anterior lumbar surgery. Spine J. 2004, 4, 409–412. [Google Scholar] [CrossRef] [PubMed]
  23. Flouzat-Lachaniette, C.-H.; Delblond, W.; Poignard, A.; Allain, J. Analysis of intraoperative difficulties and management of operative complications in revision anterior exposure of the lumbar spine: A report of 25 consecutive cases. Eur. Spine J. 2013, 22, 766–774. [Google Scholar] [CrossRef] [PubMed]
Figure 1. L5-S1 approach. (a) Type 1 “narrow”; (b) Type 1 “wide”; (c) When the distance between the right and left iliac vessels is <1.5 cm, a type 2 approach (through the oblique corridor) is used. Vascular structures are shown outlined in red. The green arrows indicate the space available for approach.
Figure 1. L5-S1 approach. (a) Type 1 “narrow”; (b) Type 1 “wide”; (c) When the distance between the right and left iliac vessels is <1.5 cm, a type 2 approach (through the oblique corridor) is used. Vascular structures are shown outlined in red. The green arrows indicate the space available for approach.
Std 12 00018 g001
Figure 2. L4-L5 approach. (a) Type 2 “narrow”; (b) Type 2 “wide”. The green arrows indicate the space available for approach.
Figure 2. L4-L5 approach. (a) Type 2 “narrow”; (b) Type 2 “wide”. The green arrows indicate the space available for approach.
Std 12 00018 g002
Figure 3. Dissection plane can be identified between left iliac vessel and disc (green arrow).
Figure 3. Dissection plane can be identified between left iliac vessel and disc (green arrow).
Std 12 00018 g003
Figure 4. An osteophyte can be seen in close contact with the left iliac vein at L5-S1.
Figure 4. An osteophyte can be seen in close contact with the left iliac vein at L5-S1.
Std 12 00018 g004
Figure 5. Algorithm for determining the difficulty of the surgical procedure.
Figure 5. Algorithm for determining the difficulty of the surgical procedure.
Std 12 00018 g005
Table 1. Procedures by levels.
Table 1. Procedures by levels.
ProcedureDisc SpaceNumber of Patients
Stand-alone ALIFL4-L53
L5-S121
L4-L5-S18
ADRL4-L53
L5-S123
L4-L5-S15
Hybrid ALIF + ADRL3-L4-L56
L4-L5-S116
ALIF + PSFIL3-L41
L4-L54
L5-S138
L3-L4-L51
L4-L5-S125
L3-L4-L5-S12
ALIF: anterior lumbar interbody fusion; ADR artificial disc replacement; PSFI posterior spine fusion.
Disclaimer/Publisher’s Note: The statements, opinions and data contained in all publications are solely those of the individual author(s) and contributor(s) and not of MDPI and/or the editor(s). MDPI and/or the editor(s) disclaim responsibility for any injury to people or property resulting from any ideas, methods, instructions or products referred to in the content.

Share and Cite

MDPI and ACS Style

Caiazzo, F.; Capo, L.; Bago, J. Intraoperative Complications of the Anterior Retroperitoneal Approach to the Lumbosacral Spine in the Supine Position: A Proposal for an Algorithm to Predict the Degree of Difficulty of the Surgical Procedure. Surg. Tech. Dev. 2023, 12, 188-198. https://doi.org/10.3390/std12040018

AMA Style

Caiazzo F, Capo L, Bago J. Intraoperative Complications of the Anterior Retroperitoneal Approach to the Lumbosacral Spine in the Supine Position: A Proposal for an Algorithm to Predict the Degree of Difficulty of the Surgical Procedure. Surgical Techniques Development. 2023; 12(4):188-198. https://doi.org/10.3390/std12040018

Chicago/Turabian Style

Caiazzo, Francesco, Lucas Capo, and Juan Bago. 2023. "Intraoperative Complications of the Anterior Retroperitoneal Approach to the Lumbosacral Spine in the Supine Position: A Proposal for an Algorithm to Predict the Degree of Difficulty of the Surgical Procedure" Surgical Techniques Development 12, no. 4: 188-198. https://doi.org/10.3390/std12040018

APA Style

Caiazzo, F., Capo, L., & Bago, J. (2023). Intraoperative Complications of the Anterior Retroperitoneal Approach to the Lumbosacral Spine in the Supine Position: A Proposal for an Algorithm to Predict the Degree of Difficulty of the Surgical Procedure. Surgical Techniques Development, 12(4), 188-198. https://doi.org/10.3390/std12040018

Article Metrics

Back to TopTop