Composite Angioimmunoblastic T-Cell Lymphoma and Diffuse Large B-Cell Lymphoma Presenting with Distributive Shock
Abstract
:1. Introduction
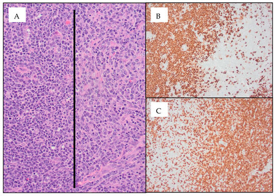
2. Case Presentation
3. Discussion
| Age/Sex | Diagnosis | Treatment | Outcome | Reference |
|---|---|---|---|---|
| 35F | PTCL NOS | Antibiotics (lymphoma diagnosed post-mortem) | Died inpatient | [25] |
| 70M | PTCL NOS (with features of AITL) | Stress-dose steroids | Off pressors within one day and discharged | [26] |
| 59M | AITL | Stress-dose steroids | Died inpatient | [12] |
| 73F | AITL | Steroids, alemtuzumab | Discharged | [13] |
| 79F | CLL | CHOP | Died inpatient | [11] |
| 53M | DLBCL | COP | Died inpatient | [11] |
| 76M | DLBCL | R-CHOP | Died inpatient | [11] |
| 79M | DLBCL | BR, followed by R-CHOP | Died inpatient | [11] |
| 82F | DLBCL | CHOP | Discharged | [11] |
| 68F | DLBCL with HLH | Etoposide | Discharged | [11] |
| 58F | B-cell endovascular lymphoma | R-CHOP, etoposide | Died inpatient | [11] |
| 56M | FL | COP | Discharged | [11] |
| 78F | AITL | CHOP | Died inpatient | [11] |
| 57F | T-cell lymphoma | Carmustine, cytarabine, etoposide, melphalan | Died inpatient | [11] |
| 19F | T-cell anaplastic lymphoma | CHOP | Died inpatient | [11] |
4. Conclusions
Author Contributions
Funding
Institutional Review Board Statement
Informed Consent Statement
Data Availability Statement
Conflicts of Interest
References
- The Non-Hodgkin’s Lymphoma Classification Project. A clinical evaluation of the International Lymphoma Study Group classification of non-Hodgkin’s lymphoma. Blood 1997, 89, 3909–3918. [Google Scholar] [CrossRef]
- Perry, A.M.; Diebold, J.; Nathwani, B.N.; MacLennan, K.A.; Müller-Hermelink, H.K.; Bast, M.; Boilesen, E.; Armitage, J.O.; Weisenburger, D.D. Non-Hodgkin lymphoma in the developing world: Review of 4539 cases from the International Non-Hodgkin Lymphoma Classification Project. Haematologica 2016, 101, 1244–1250. [Google Scholar] [CrossRef] [PubMed]
- Iannitto, E.; Ferreri, A.J.M.; Minardi, V.; Tripodo, C.; Kreipe, H.H. Angioimmunoblastic T-cell lymphoma. Crit. Rev. Oncol. Hematol. 2008, 68, 264–271. [Google Scholar] [CrossRef] [PubMed]
- Suefuji, N.; Niino, D.; Arakawa, F.; Karube, K.; Kimura, Y.; Kiyasu, J.; Takeuchi, M.; Miyoshi, H.; Yoshida, M.; Ichikawa, A.; et al. Clinicopathological analysis of a composite lymphoma containing both T- and B- cell lymphomas. Pathol. Int. 2012, 62, 690–698. [Google Scholar] [CrossRef]
- Kuppers, R. B cells under influence: Transformation of B cells by Epstein-Barr virus. Nat. Rev. Immunol. 2003, 3, 801–812. [Google Scholar] [CrossRef]
- Huang, J.; Zhang, P.; Gao, Y.; Qiu, L. Sequential development of diffuse large B-cell lymphoma in a patient with angioimmunoblastic T-cell lymphoma. Diagn. Cytopathol. 2012, 40, 346–351. [Google Scholar] [CrossRef]
- Xu, Y.; McKenna, R.W.; Hoang, M.P.; Collins, R.H.; Kroft, S.H. Composite angioimmunoblastic T-cell lymphoma and diffuse large B-cell lymphoma: A case report and review of the literature. Am. J. Clin. Pathol. 2002, 118, 848–854. [Google Scholar] [CrossRef]
- Naresh, K.N.; Menasce, L.P.; Shenjere, P.; Banerjee, S.S. Precursors of classical Hodgkin lymphoma in samples of angioimmunoblastic T-cell lymphoma. Br. J. Haematol. 2008, 141, 124–126. [Google Scholar] [CrossRef]
- Zettl, A.; Lee, S.-S.; Rüdiger, T.; Starostik, P.; Marino, M.; Kirchner, T.; Ott, M.; Müller-Hermelink, H.K.; Ott, G. Epstein-Barr virus-associated B-cell lymphoproliferative disorders in angioimmunoblastic T-cell lymphoma and peripheral T-cell lymphoma, unspecified. Am. J. Clin. Pathol. 2002, 117, 368–379. [Google Scholar] [CrossRef]
- Dunleavy, K.; Wilson, W.H.; Jaffe, E.S. Angioimmunoblastic T cell lymphoma: Pathobiological insights and clinical implications. Curr. Opin. Hematol. 2007, 14, 348–353. [Google Scholar] [CrossRef]
- Fujisawa, M.; Nguyen, T.B.; Abe, Y.; Suehara, Y.; Fukumoto, K.; Suma, S.; Makishima, K.; Kaneko, C.; Nguyen, Y.T.M.; Usuki, K.; et al. Clonal germinal center B cells function as a niche for T-cell lymphoma. Blood 2022, 140, 1937–1950. [Google Scholar] [CrossRef] [PubMed]
- Amengual, J.E. A Tet-a-Tet in T follicular helper cell lymphoma. Blood 2022, 140, 1919–1921. [Google Scholar] [CrossRef] [PubMed]
- Cherruault, M.; Le Goff, M.; Tamburini, J.; Pene, F. Urgent chemotherapy in sepsis-like shock related to hematologic malignancies. Crit. Care Med. 2018, 46, 465–468. [Google Scholar] [CrossRef] [PubMed]
- Reynolds, D.; Yadav, H. Refractory and progressive distributive shock due to angioimmunoblastic T cell lymphoma. Crit. Care Med. 2016, 44, 507. [Google Scholar] [CrossRef]
- Halene, S.; Zieske, A.; Berliner, N. Sustained remission from angioimmunoblastic T-cell lymphoma induced by alemtuzumab. Nat. Clin. Pract. Oncol. 2006, 3, 165–168. [Google Scholar] [CrossRef] [PubMed]
- Umemoto, T.; Watanabe, T.; Ogose, T.; Kondo, R.; Nakatsu, T.; Sakata, A.; Yamashita, M.; Gotho, T. Capillary leak syndrome: Initial presentation in a patient with ALK+ anaplastic large cell lymphoma associated with increased levels of serum cytokines. Leuk. Lymphoma 2011, 52, 1139–1142. [Google Scholar] [CrossRef]
- Lourdes, L.S.; Al-Quran, S.Z.; Dang, N.H.; Markham, M. Systemic capillary leak syndrome as an initial presentation of ALK-negative anaplastic large cell lymphoma. Case Rep. Hematol. 2012, 2012, 954201. [Google Scholar] [CrossRef]
- Horwitz, S.; O’Connor, O.A.; Pro, B.; Illidge, T.; Fanale, M.; Advani, R.; Bartlett, N.; Christensen, J.H.; Morschhauser, F.; Domenech, E.D.; et al. Brentuximab vedotin with chemotherapy for CD30-positive peripheral T-cell lymphoma (ECHELON-2): A global, double-blind, randomised, phase 3 trial. Lancet 2019, 393, 229–240. [Google Scholar] [CrossRef]
- Ghione, P.; Faruque, P.; Mehta-Shah, N.; Seshan, V.; Ozkaya, N.; Bhaskar, S.; Yeung, J.; Spinner, M.A.; Lunning, M.; Inghirami, G.; et al. T follicular helper phenotype predicts response to histone deacetylase inhibitors in relapsed/refractory peripheral T-cell lymphoma. Blood Adv. 2020, 4, 4640–4647. [Google Scholar] [CrossRef]
- Campidelli, C.; Sabattini, E.; Piccioli, M.; Rossi, M.; De Blasi, D.; Miraglia, E.; Rodriguez-Abreu, D.; Franscini, L.L.; Bertoni, F.; Mazzucchelli, L.; et al. Simultaneous occurrence of peripheral T-cell lymphoma unspecified and B-cell small lymphocytic lymphoma. Report of 2 cases. Hum. Pathol. 2007, 38, 787–792. [Google Scholar] [CrossRef]
- Hong, R.; Sheng, L.; Ouyang, G. Composite angioimmunoblastic T cell/diffuse large B-cell lymphoma treated with reduced-intensity conditioning HLA-haploidentical allo-HSCT: A case report and review of the literature. Int. J. Clin. Exp. Pathol. 2018, 11, 5473–5480. [Google Scholar]
- Attygalle, A.D.M.; Kyriakou, C.; Dupuis, J.; Grogg, K.L.; Diss, T.C.; Wotherspoon, A.C.M.; Chuang, S.S.; Cabeçadas, J.; Isaacson, P.G.F.; Du, M.-Q.M.; et al. Histologic evolution of angioimmunoblastic T-cell lymphoma in consecutive biopsies: Clinical correlation and insights into natural history and disease progression. Am. J. Surg. Pathol. 2007, 31, 1077–1088. [Google Scholar] [CrossRef] [PubMed]
- Svoboda, J.; Bair, S.M.; Landsburg, D.J.; Nasta, S.D.; Nagle, S.J.; Barta, S.K.; Khan, N.; Filicko-O’Hara, J.; Gaballa, S.; Strelec, L.; et al. Brentuximab vedotin in combination with rituximab, cyclophosphamide, doxorubicin, and prednisone as frontline treatment for patients with CD30-positive B-cell lymphomas. Haemtologica 2021, 106, 1705–1713. [Google Scholar] [CrossRef] [PubMed]
- Stefoni, V.; Pellegrini, C.; Argnani, L.; Corradini, P.; Dodero, A.; Orsucci, L.; Volpetti, S.; Zinzani, P.L. Brentuximab vedotin in the treatment of relapsed/refractory CD30+ peripheral T-cell lymphoma: A FIL phase 2 study. Hematol. Oncol. 2022, 40, 307–309. [Google Scholar] [CrossRef]
- Kumar, K.; Saad, M.; Chime, C.; Badipatla, K.; Tariq, H.; Nayudu, S.; Niazi, M.; Chilimuri, S. Refractory septic shock due to underlying immunocompromised disease: A case of fatal peripheral T-cell lymphoma not otherwise specified in a young Hispanic woman. Case Rep. Oncol. 2018, 11, 404–411. [Google Scholar] [CrossRef]
- Imamura, H.; Kashima, Y.; Hattori, M.; Mori, K.; Takeshige, K.; Nakazawa, H. Unexplained recurrent shock in peripheral T-cell lymphoma: A case report. Clin. Case Rep. 2021, 9, 04612. [Google Scholar] [CrossRef]

| Lab Parameter | Day of Admission | Day of Discharge |
|---|---|---|
| WBC (1000/mm3) | 34.4 | 15.0 |
| RBC (million/mm3) | 2.69 | 2.38 |
| Hgb (g/dL) | 9.7 | 8.3 |
| Hct (%) | 29.7 | 25.2 |
| MCV (μm3) | 110.4 | 105.9 |
| RDW (%) | 20.6 | 21.0 |
| Plt (1000/mm3) | 408 | 240 |
| ANC (1000/mm3) | 23.0 | 10.5 |
| Lymphocytes (1000/mm3) | 6.9 | 42 |
| Monocytes (1000/mm3) | 1.4 | 0.3 |
| Eosinophils (1000/mm3) | 1.4 | 0.0 |
| Basophils (1000/mm3) | 0.3 | 0.0 |
Disclaimer/Publisher’s Note: The statements, opinions and data contained in all publications are solely those of the individual author(s) and contributor(s) and not of MDPI and/or the editor(s). MDPI and/or the editor(s) disclaim responsibility for any injury to people or property resulting from any ideas, methods, instructions or products referred to in the content. |
© 2023 by the authors. Licensee MDPI, Basel, Switzerland. This article is an open access article distributed under the terms and conditions of the Creative Commons Attribution (CC BY) license (https://creativecommons.org/licenses/by/4.0/).
Share and Cite
Hariharan, N.; Kabadi, A.; Don, M.; Odish, M.; Heyman, B. Composite Angioimmunoblastic T-Cell Lymphoma and Diffuse Large B-Cell Lymphoma Presenting with Distributive Shock. Hematol. Rep. 2023, 15, 627-633. https://doi.org/10.3390/hematolrep15040064
Hariharan N, Kabadi A, Don M, Odish M, Heyman B. Composite Angioimmunoblastic T-Cell Lymphoma and Diffuse Large B-Cell Lymphoma Presenting with Distributive Shock. Hematology Reports. 2023; 15(4):627-633. https://doi.org/10.3390/hematolrep15040064
Chicago/Turabian StyleHariharan, Nisha, Alisha Kabadi, Michelle Don, Mazen Odish, and Benjamin Heyman. 2023. "Composite Angioimmunoblastic T-Cell Lymphoma and Diffuse Large B-Cell Lymphoma Presenting with Distributive Shock" Hematology Reports 15, no. 4: 627-633. https://doi.org/10.3390/hematolrep15040064
APA StyleHariharan, N., Kabadi, A., Don, M., Odish, M., & Heyman, B. (2023). Composite Angioimmunoblastic T-Cell Lymphoma and Diffuse Large B-Cell Lymphoma Presenting with Distributive Shock. Hematology Reports, 15(4), 627-633. https://doi.org/10.3390/hematolrep15040064

