You are currently viewing a new version of our website. To view the old version click .
Infectious Disease Reports
  • Review
  • Open Access

10 October 2024

Gallbladder Burkitt’s Lymphoma: A Literature Review Including a Case Report in a Child Living with HIV

,
,
,
,
,
,
and
1
Faculty of Medicine (FM), Federal University of Rio de Janeiro (UFRJ), Rio de Janeiro 21941590, Rio de Janeiro, Brazil
2
Martagão Gesteira Institute of Pediatrics and Childcare (IPPMG), Federal University of Rio de Janeiro (UFRJ), Rio de Janeiro 21941912, Rio de Janeiro, Brazil
3
Internal Medicine Department, Central Air Force Hospital (HCA), Rio de Janeiro 20261005, Rio de Janeiro, Brazil
4
National Institute of Science and Technology in Childhood Cancer Biology and Pediatric Oncology (INCT BioOncoPed), Porto Alegre 90035903, Rio Grande do Sul, Brazil
This article belongs to the Section Sexually Transmitted Diseases

Abstract

Malignant lymphoma is an unusual form of gallbladder neoplasm. Almost all these tumors are diffuse large B-cell lymphomas or mucosa-associated lymphoid tissue-type lymphomas. Herein, we present a literature review of gallbladder Burkitt’s lymphoma (BL) cases that includes also an unpublished case in an HIV-infected child, observed by our center. The patient (a five-year-old black female child) attended the Federal Hospital of Lagoa, Rio de Janeiro, Brazil, underwent cholecystectomy, and the postoperative pathological analysis of the gallbladder revealed a diagnosis of BL (EBV-positive). Also, HIV serology was performed and returned positive. She was transferred to the Martagão Gesteira Institute of Pediatrics and Childcare for oncological treatment, dying from sepsis and disease progression about 18 months later. The patient did not undergo ART/cART. Previous cases of gallbladder BL were herein described and analyzed to characterize the clinicopathological features and possible similarities. BL can occur in the gallbladder both in the context of HIV infection and in the pediatric population. A biopsy is mandatory in cases with suggestive findings of lymphoma, and an early diagnosis can change the course of the disease. Furthermore, the case highlights the importance of an early initiation of ART/cART in people living with HIV (PLWH), especially in children.

1. Introduction

Malignant gallbladder lymphoma is particularly uncommon [1,2,3,4,5,6]. Most patients diagnosed with this disease are referred for surgery with the diagnostic hypothesis of gallbladder adenocarcinoma or cholecystitis. That is because preoperative diagnosis is exceedingly challenging. Although several reports have documented malignant gallbladder lymphomas, most of these malignancies are diffuse large B-cell lymphomas (DLBCL) or Marginal Zone Lymphomas (MZL) [4,6,7]. Burkitt lymphoma (BL) is a subgroup of high-grade non-Hodgkin’s lymphoma (NHL) characterized by an aggressive clinical course. Patients with BL often present with solid tumors, large lymph nodes, or symptoms resembling acute leukemia, with bone marrow involvement in more than 25% of cases. Most sporadic BL cases occur in the bowel, respiratory tract-associated lymphoid tissue, and gut-associated lymphoid tissue, making the gallbladder an atypical site [8,9]. Only five reports have previously documented gallbladder BL [1,2,8,9,10]. This article aims to conduct a literature review of BL cases published to date, along with reporting a case of BL in a child living with HIV treated at a Brazilian center.

2. Literature Review

The first pediatric gallbladder BL case was reported in 1996 by Balonga et al. [10], involving an 11-year-old boy with anemia, abdominal distension, and masses. Imaging revealed extensive abdominal lesions, including in the gallbladder. The diagnosis was based solely on morphology, and chemotherapy reduced the tumor by 75% within eight days. The patient had no significant medical history; follow-up indicated a good prognosis post-chemotherapy.
Hosoda et al. [1] reported the first potential case of primary gallbladder BL in an adult, involving an 83-year-old man with an incidental gallbladder tumor and enlarged periportal lymph nodes in a computed tomography (CT) scan. Despite a history of cerebral artery stenosis and atrial fibrillation, the patient had no abdominal symptoms. Imaging suggested gallbladder adenocarcinoma, but histopathology confirmed BL. After surgery, recurrence occurred, and he was treated with a reduced-dose chemotherapy regimen.
Doherty et al. (2019) [8] reported a 65-year-old man with abdominal pain and distension, initially diagnosed with cholecystitis and pancreatitis. Despite treatment, his symptoms worsened, revealing pancytopenia, hyponatremia, and diffuse abdominal inflammation. A cholecystectomy revealed abnormal findings, and histology confirmed stage IV BL with neoplastic cells in the cerebrospinal fluid (CSF). The patient was subsequently treated with a chemotherapy regimen, including etoposide, vincristine, doxorubicin, prednisone, and rituximab.
Repine et al. (2004) [9] reported a 51-year-old man with a history of gallstones presenting with fever, jaundice, and abdominal discomfort. Imaging revealed a thickened gallbladder wall and a hepatic lesion, initially suspected as an abscess. Biopsies confirmed NHL with gallbladder involvement. The patient was treated with rituximab, systemic, and intrathecal chemotherapy, leading to significant improvement and complete remission.
Finally, Martín et al. (2021) [2] described a case of a 37-year-old HIV-positive male with BL involving the gallbladder, liver, pancreas, peritoneum, and bone marrow. The patient presented with a month-long history of epigastric pain and was classified as stage A2, with a CD4+ count of 374 cells. Advanced disease was confirmed by biopsy, with fluorescence in situ hybridization (FISH) revealing the characteristic t(8;14) translocation. He was diagnosed as stage IV-A and required chemotherapy following the diagnosis. There is no information available regarding his use of antiretroviral therapy (ART) or combined antiretroviral therapy (cART). This case represents the first reported instance of gallbladder BL in an HIV-positive individual.
All these five cases add knowledge to the limited medical literature on adult and pediatric gallbladder BL. Herein, we report the second published case of gallbladder BL in a child, and the second reported case in a patient living with HIV. Notably, this is the first case of a pediatric patient living with HIV diagnosed with this type of lymphoma.

3. Case Description

A five-year-old black female from Rio de Janeiro, Brazil, attended the Federal Hospital of Lagoa (HFL) with vomiting, abdominal pain (absence of Murphy’s sign), diarrhea, and jaundice for four days. Previously healthy, she began experiencing symptoms on 06/16/99 and was admitted on 06/20/99 with dehydration and jaundice. Diagnosed with intestinal subocclusion caused by Ascaris lumbricoides, she was treated with albendazole but developed severe cholangitis, requiring an emergency cholecystectomy on 07/15/99. Histopathological analysis revealed BL positive for Epstein–Barr Virus (EBV). HIV serology (enzyme-linked immunosorbent assay—ELISA) on 07/28/99 was positive, with a viral load of 200,000 copies/mL, CD4+ 2.00%, and CD8+ 45.00%. The child was classified as C3 under CDC criteria [11,12]. Vertical transmission (VT) of HIV was confirmed as her mother’s HIV test was also positive, with no history of blood transfusion or sexual abuse. No imaging tests were performed before surgery or for histopathological analysis.
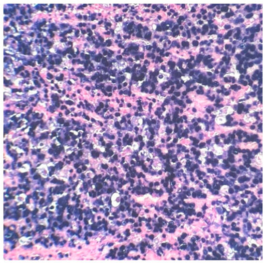
The postoperative histopathological examination of the resected specimen occurred on 07/16/99 at the Department of Pathology of Clementino Fraga Filho University Hospital (HUCFF/UFRJ). The macroscopic examination showed a gallbladder measuring 4 cm × 1.0 cm × 0.9 cm. The serosa was opaque, and the wall thickened and became white, with a firm consistency. The specimen was re-evaluated by a hematopathologist on 08/19/22 (C.B.M), who confirmed the diagnosis of BL through microscopic analysis and immunohistochemical study according to WHO, 2022 [13]. Morphological analysis revealed diffuse proliferation of intermediate-sized cells, with small nucleoli invading and destroying the bladder wall, with a high apoptotic and mitotic index. The neoplastic cells showed positivity for CD20, CD10, Ki67 99%, and EBER by in situ hybridization (EBER1) [13,14]. Combined with the patient’s medical history, the final diagnosis was gallbladder BL. This is an AIDS-defining malignancy (ADM), codified as 2A85.6 (BL) according to ICD-11 MMS [15]. There are five photographs of the sample in question below (Figure 1, Figure 2, Figure 3, Figure 4 and Figure 5).
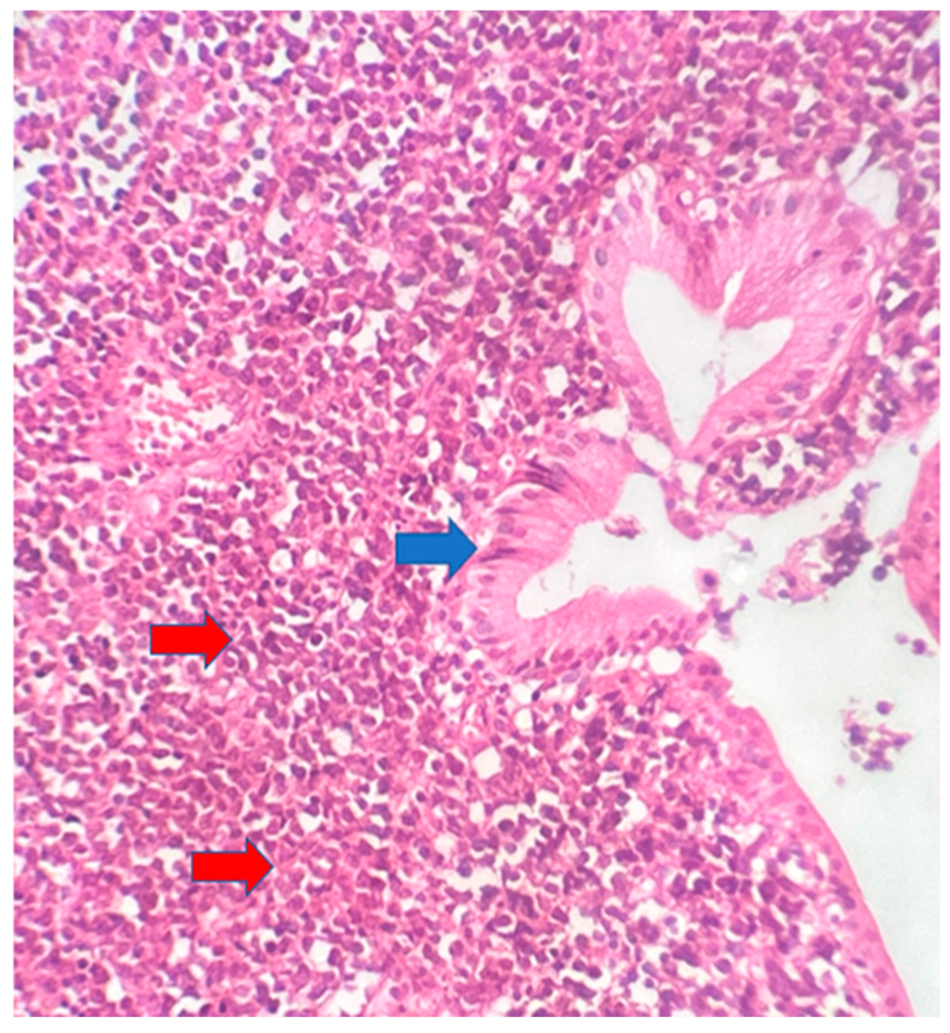
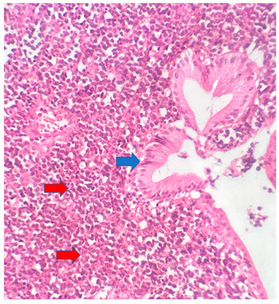
Figure 1. Gallbladder BL. Neoplasm consisting of intermediate-sized cells (red arrows) located in the gallbladder chorion (blue arrow). 10× magnification.
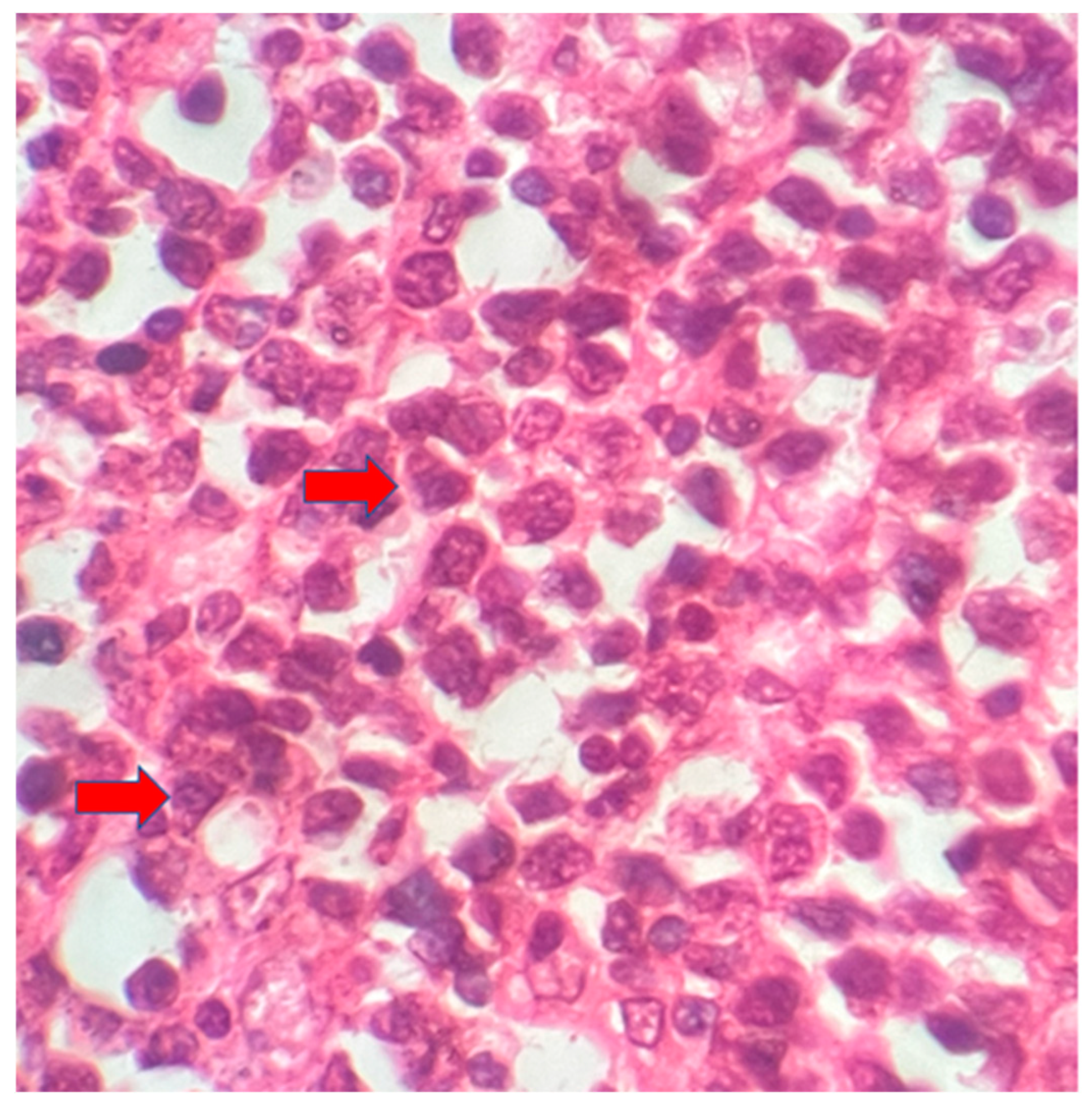
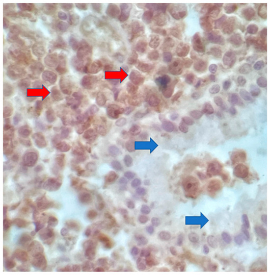
Figure 2. Intermediate-sized cells, with evident nucleoli and diffuse proliferation (red arrows). 40× magnification.
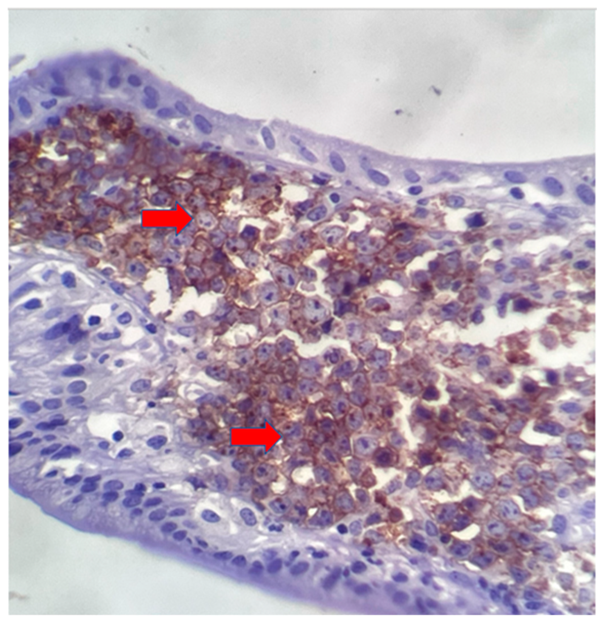
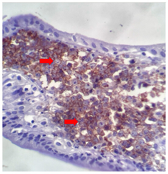
Figure 3. Diffuse immunostaining of cell membrane with anti-CD20 antibody in neoplastic cells (red arrows) and anti-CD10 antibody. 40× magnification.
Figure 4. Nuclear immunostaining with anti-Ki67 antibody in all neoplastic cells (red arrows) and negativity in the gallbladder epithelium (blue arrows). 40× magnification.
Figure 5. HIS technique showing positivity (blackish nuclei) for the EBER1 probe.
Transferred to the Martagão Gesteira Institute of Pediatrics and Childcare (IPPMG/UFRJ) on 07/31/99 for oncological treatment, the patient was presented with hemodynamic instability, severe malnutrition, hepatomegaly, and abdominal distension but with no neurological impairment. Initial laboratory tests revealed severe anemia, leukopenia, and thrombocytosis—hemoglobin (Hb) 7.3 g/dL, 3000 leukocytes/mm3 (43% neutrophils, 30% lymphocytes, and 17% monocytes) and 485,000/mm3 platelets. Bone marrow aspirates on 08/03/99 confirmed L3 Acute Lymphoblastic Leukemia (L3-ALL) by French-American-British Classification (now BL [13]), with a normal CSF. A radiograph of long bones showed lytic lesions in the femur, bilaterally. The patient was then classified as stage IVB lymphoma [16], with a Performance Status (PS) of 4.
The m-BACOD protocol [17] was initiated on 08/04/99, and the NHL-BFM 95 protocol [18] was started after a few weeks due to disease progression. It is essential to mention that the patient was kept off prophylaxis and ART/cART during all treatment periods [19]. Clinical remission was achieved by 09/23/00, but the central nervous system (CNS) relapsed on 10/04/00. A CT scan showed generalized lymphadenopathy, and LDH increased from 220 to 998 U/L. Her clinical condition progressively worsened, and the patient died from sepsis and disease progression on 12/24/00.

4. Discussion

Malignant lymphoma of the gallbladder is a rare type of gallbladder malignancy, which encompasses 0.1–0.2% of all gallbladder tumors [1,2,3,4,5]. In prior reports, the majority of them were described to be DLBCL or MZL [4,6]. In all medical literature, just five reports had documented Gallbladder BL [1,2,8,9,10]. The present case report grants some interesting clinical information once it is the second Gallbladder BL described in the pediatric population and the second one in an individual living with HIV as well. It can be observed that most cases of BL involving the gallbladder described in the literature—and reported in this review—occurred in elderly individuals without comorbidities that could be directly related to the tumor onset, such as the presence of gallstones or immunosuppression by HIV [2]. It is known that gastrointestinal symptoms are common in this type of neoplastic involvement [8,9,10]. Interestingly, in one of the cases, the patient did not even present with abdominal pain at the time of diagnosis of the neoplasm [1].
Even though BL responds well to chemotherapy, recurrences are common in patients with this neoplasm due to its aggressive nature [20], and this situation was observed in one of the cases [1]. Due to the localization, cholecystitis and pancreatitis can be critical differential diagnoses for gallbladder BL, with one of the cases initially mistaken for acute acalculous cholecystitis [8] and another for complicated cholecystitis with hepatic abscess [9]. In this context, cholecystectomy is often performed by default, but delay in the institution of chemotherapy can easily result in a poor outcome.
The 11-year-old patient with gallbladder BL had no significant past medical history. However, there is no information regarding HIV testing, which could be a plausible hypothesis for the development of the neoplasm. Unlike our case, the 11-year-old child presented with disseminated abdominal masses (e.g., pancreas, liver, and rectum-sigmoid), and the tumor was not localized solely in the gallbladder. It is important to mention that both gallbladder lesions were similar in size, measuring approximately 4 cm at their largest diameter. Additionally, it is unclear whether the Spanish case was a primary or secondary gallbladder BL due to the absence of other laboratory tests or imaging exams that could contribute to better case elucidation.
Also, as in the new case described in this paper, it is important to emphasize the importance of an early diagnosis to start chemotherapy properly. Since it is a rapidly growing neoplasm, the prognosis for BL depends more on the tumor size than its location, making a quick diagnosis crucial for initiating chemotherapy as soon as possible [20]. In the 1996 case, there was a significant reduction in tumor mass (75%) after eight days of chemotherapy, and the patient’s follow-up indicated a favorable prognosis. Considering that HIV-related lymphomas tend to be systematically more aggressive [21], the Spanish case probably does not affect an HIV-positive patient. Finally, in contrast to the report presented in this article (which was EBV-positive), the Spanish case lacks information regarding the presence of EBV in the biopsy sample. However, it is important to note that this pioneering 1996 case encompasses unique aspects of pediatric BL with atypical localization.
The same can be stated about the case published in 2021 by Martín et al. [2]. Although it was a unique case in the population living with HIV, many important details were not described, such as ART/cART use and whether the tumor was classified as primary or secondary. The patient’s outcome was also not provided. Nevertheless, the aggressive nature of HIV-related neoplasia can be observed, as the individual was only 37 years old at the time of the diagnosis of gallbladder BL. According to the diagnostic criteria of gastrointestinal lymphoma, which was defined by Dawson et al. [22] and Lewin et al. [23], our case is considered a “secondary” gallbladder BL because it included extra-gallbladder lesions, which probably occurred before gallbladder infiltration. Some days after surgery (24 days), the patient underwent an investigation in a quaternary hospital, which diagnosed an L3-ALL. There was no CNS infiltration. Besides this, an x-ray of long bones showed bilateral lytic lesions in the femurs.
Gastrointestinal symptoms (vomiting, abdominal pain, diarrhea, and jaundice) were notable and led the patient to seek medical assistance. It is well known that gallbladder BL can be presented as a localized disease that mimics gallbladder cancer. Ono et al. [5] reported imaging descriptions of malignant lymphomas, showing that high-grade malignant lymphomas can exhibit solid and bulky masses or unconventional wall thickening. Because BL is a highly aggressive and rapidly progressive disease, some extranodal sites are generally involved at the time of diagnosis, as in our case report [20,24].
In children living with HIV (CLWH), the incidence of malignant neoplasms is higher. This substantial increase is related to a high frequency of NHL, particularly B-NHL (like BL), Kaposi’s sarcoma (KS), leiomyosarcoma, and Hodgkin’s lymphoma (HL) [11,21,25,26,27,28].
When lymphomas and HIV occur simultaneously in children with immature immune systems, it can cause serious consequences. HIV-related lymphomas are typically linked to immune dysregulation, as HIV infection causes a depletion of both cellular and humoral immunity [27,29,30,31,32,33,34,35,36]. In this population, lymphomas are often detected at a late stage with the involvement of tissues outside the lymph nodes and usually with a rapid and aggressive progression [21,26,28,37]. It is widely acknowledged that the presence of HIV infection significantly worsens the prognosis for children and adolescents with lymphoma, even with the use of antiretroviral therapy and chemotherapy [38,39,40,41,42,43,44].
The accurate antiretroviral therapy reduced morbidity and mortality in people living with HIV (PLWH) since it inhibits viral replication and restores immunological surveillance [45,46,47,48]. So, starting ART/cART as soon as possible is related to a better recuperation of CD4+ T-cell counts and, consequently, to the reduction in problems caused by HIV immunosuppression—such as opportunistic infections and malignant neoplasms [45,46,47,48,49].
In the context of immunosuppression due to HIV infection, ART/cART, in combination with chemotherapy, has the highest priority in BL treatment, even if higher than surgery [1,43,44,45,49]. Unfortunately, the patient died from sepsis and disease progression about 18 months after the lymphoma diagnosis, despite the early beginning of chemotherapy (around 20 days after surgery and histopathological analysis). It is noteworthy that the patient did not undergo ART/cART in any moment during the treatment, although she had been treated in a reference center for HIV and cancer treatment in Brazil (IPPMG/UFRJ). In a recent work published by our research group, which encompasses the referred case, it was observed that patients who achieved complete remission but did not recover CD4+ levels had inferior survival rates with higher relapse occurrence and infections related to the rescue protocols instituted [44]. Nowadays, the role of antiretroviral therapy is well-established for a better prognosis of PLWH precisely because it prevents the appearance and recurrence of malignant tumors, especially lymphomas [12,21,43,44,45,49].
Even though the precise preoperative diagnosis of gallbladder malignant lymphoma is difficult, some previous reports [4,5,50,51] have suggested the possibility of an accurate preoperative suspicion of lymphoma centered on imaging analysis. Unfortunately, in the case in question, we did not have access to modern imaging resources for evaluation and comparison with other reports. In addition, the patient had an emergency cholecystectomy due to an initial inaccurate diagnosis (intestinal subocclusion by Ascaris lumbricoides), with rapid progression to cholangitis probably because of an obstruction caused by the tumor. Furthermore, the correct mass location in the topography of the gallbladder was not documented in the medical records. As this is a case from 1999, some information was lost, and valuable data for a contemporary case report were not collected. However, this did not harm the diagnosis or the focus of the discussion, once biopsy assessment is the gold standard diagnostic procedure in any lymphoma investigation [1,50,52].
Another important point of our case is the presence of EBV in the sample, confirmed by EBER1 [14]. Transcription of non-polyadenylated RNAs EBER1 and EBER2 is a constant feature of all EBV latent infection patterns and is, therefore, the best marker to demonstrate infection by this oncogenic virus [53,54,55,56]. It is known that EBV is linked to the development of a variety of HIV-related lymphomas [57,58,59], and it is present in 60% of BL cases in PLWH [21]. In sub-Saharan Africa, LB is endemic, and its risk increases both with increasing anti-EBV antibody titers and with HIV infection, for example [59]. Therefore, our finding corroborates the medical literature. However, the role of EBV in malignancies in CLWH across a range of Western countries in the post-cART era is still not fully recognized.

5. Conclusions

BL can occur in the gallbladder, especially in the context of immunosuppression—such as caused by HIV infection. To our knowledge, this is the first reported case of gallbladder BL in a pediatric patient living with HIV. It is already known that BL should be contemplated in the differential diagnosis of a gallbladder tumor, and biopsy is mandatory for diagnosis and the early beginning of chemotherapy. Neoplasms may present themselves more aggressively in immunosuppressed patients. In this scenario, an early diagnosis can change the course of the disease. Furthermore, the case highlights the importance of an early initiation of ART/cART in PLWH, especially in children. For this reason, this report is so important, since gallbladder BL should also be considered a differential diagnosis in this population.

Author Contributions

N.L.D., A.P.S.B., B.S.S., G.A.R., L.A.B., T.F.d.A., M.G.P.L. and C.B.M. contributed to investigation, data collection, resources, manuscript writing, reviewing and editing; N.L.D., M.G.P.L. and C.B.M. contributed to conceptualization, project administration, data curation, methodology, validation, formal analysis, supervision and funding acquisition; all authors have approved the submitted version and the version substantially edited by journal staff that involves their contribution to this study; all authors agree to be personally accountable for their own contributions and for ensuring that questions related to the accuracy or integrity of any part of this work, even ones in which they were not personally involved, are appropriately investigated, resolved, and documented in the literature. All authors have read and agreed to the published version of the manuscript.

Funding

This research was supported by grants from Coordenação de Aperfeiçoamento de Pessoal de Nível Superior—Brazil (CAPES)—Finance Code 001-88882.331795/2010-01. The APC was funded by grants from Fundação Carlos Chagas Filho de Amparo à Pesquisa do Estado do Rio de Janeiro—Brazil (FAPERJ)—Finance Code 266277_E_20/2021—APOIO A PROJ. DE PESQUISA E DESENVOLVIMENTO TECN. EM MEDICINA DE PRECISÃO—2021.

Institutional Review Board Statement

The study was conducted in accordance with the Declaration of Helsinki and approved by the Institutional Review Boards of Instituto de Puericultura e Pediatria Martagão Gesteira (IPPMG/UFRJ) (Ethics Committee approval number: 2,504,586; date of approval: 21 February 2018) and Hospital Universitário Clementino Fraga Filho (HUCFF/UFRJ) (Ethics Committee approval number: 2,581,674; date of approval: 5 April 2018).

Data Availability Statement

The data presented in this study are available on request from the corresponding author. The data are not publicly available due to ethical restrictions.

Acknowledgments

We would like to thank all clinicians and health professionals from the participating centers for their contributions to this study. We thank the Internal Medicine Postgraduate Program of the Faculty of Medicine, Federal University of Rio de Janeiro (FM/UFRJ), the Coordination for the Improvement of Higher Education Personnel (CAPES), and Carlos Chagas Filho Foundation for Research Support in the State of Rio de Janeiro (FAPERJ) for all the resources provided for the study. We also thank Elaine Sobral da Costa from the Transdisciplinary Center for Research in Child and Adolescent Health (NTISCA/IPPMG) for the academic support throughout the process of conducting this research. Finally, we gratefully thank José Carlos de Oliveira Morais from the Department of Pathology of HUCFF/UFRJ (in memoriam) for the technical and academic support.

Conflicts of Interest

The authors declare that they have no conflicts of interest to disclose.

References

  1. Hosoda, K.; Shimizu, A.; Kubota, K.; Notake, T.; Hayashi, H.; Yasukawa, K.; Umemura, K.; Kamachi, A.; Goto, T.; Tomida, H.; et al. Gallbladder Burkitt’s lymphoma mimicking gallbladder cancer: A case report. World J. Gastroenterol. 2022, 28, 675. [Google Scholar] [CrossRef] [PubMed]
  2. Martín, A.; Ronda, N.; Villalba, M.V.; Morena, A.M. Burkitt lymphoma with gallbladder, liver, pancreas, and bone marrow involvement. Eurorad 2021. [Google Scholar] [CrossRef]
  3. Yasuma, T.; Yanana, M. Primary sarcoma of the gallbladder--report of three cases. Acta Pathol. Jpn. 1971, 28, 285–304. [Google Scholar] [CrossRef] [PubMed]
  4. Jelic, T.M.; Barreta, T.M.; Yu, M.; Frame, J.N.; Estallila, O.C.; Mellen, P.F.; Newman, S.S.; Chang, H.H. Primary, extranodal, follicular non-Hodgkin lymphoma of the gallbladder: Case report and a review of the literature. Leuk. Lymphoma 2004, 45, 381–387. [Google Scholar] [CrossRef]
  5. Ono, A.; Tanoue, S.; Yamada, Y.; Takaji, Y.; Okada, F.; Matsumoto, S.; Mori, H. Primary malignant lymphoma of the gallbladder: A case report and literature review. Br. J. Radiol. 2009, 82, e15–e19. [Google Scholar] [CrossRef]
  6. Ayub, A.; Rehmani, S.; Al-Ayoubi, A.M.; Lewis, E.; Santana-Rodríguez, N.; Raad, W.; Bhora, F.; Kim, G. Primary non-Hodgkin’s lymphoma of the gallbladder: A population-based analysis. Anticancer Res. 2017, 37, 2581–2586. [Google Scholar] [CrossRef][Green Version]
  7. Mani, H.; Climent, F.; Colomo, L.; Pittaluga, S.; Raffeld, M.; Jaffe, E.S. Gall bladder and extrahepatic bile duct lymphomas: Clinicopathological observations and biological implications. Am. J. Surg. Pathol. 2010, 34, 1277–1286. [Google Scholar] [CrossRef]
  8. Doherty, B.; Palmer, W.; Cvinar, J.; Sadek, N. A Rare Case of Systemic Adult Burkitt Lymphoma Presenting as Acute Acalculous Cholecystitis. ACG Case Rep. J. 2019, 6, e00048. [Google Scholar] [CrossRef] [PubMed]
  9. Repine, T.B.; DeArmond, G.; López, J.D. Unusual sites of metastatic malignancy: Case 2. Burkitt’s lymphoma involving the gallbladder. J. Clin. Oncol. 2004, 22, 5014–5015. [Google Scholar] [CrossRef]
  10. Balonga, C.; Lencina, R.; Reus, M.; Garre, C.; de las Heras, M. Burkitt’s lymphoma: Unusual localization. Rev. Esp. Enf. Digest. 1996, 88, 439–441. [Google Scholar]
  11. Centers for Disease Control and Prevention. Revised classification system for human immunodeficiency virus infection in children less than 13 years of age. MMWR Morb. Mortal. Wkly. Rep. 1994, 43, 1–10. [Google Scholar]
  12. Brasil, Ministério da Saúde, Coordenação Geral de Vigilância do HIV/AIDS e Hepatites Virais—CGAHV/DATHI/SVSA/MS. Protocolo Clínico e Diretrizes Terapêuticas para Manejo da Infecção Pelo HIV em Crianças e Adolescentes: Módulos 1 e 2. 2023. Available online: https://portaldeboaspraticas.iff.fiocruz.br/atencao-recem-nascido/pcdt-para-manejo-da-infeccao-pelo-hiv-em-criancas-e-adolescentes/ (accessed on 11 May 2024).
  13. Khoury, J.D.; Solary, E.; Abla, O.; Akkari, Y.; Alaggio, R.; Apperley, J.F.; Bejar, R.; Berti, E.; Busque, L.; Chan, J.K.C.; et al. The 5th edition of the World Health Organization classification of haematolymphoid tumours: Myeloid and histiocytic/dendritic neoplasms. Leukemia 2022, 36, 1703–1719. [Google Scholar] [CrossRef]
  14. Gulley, M.L.; Glaser, S.L.; Craig, F.E.; Borowitz, M.; Mann, R.B.; Shema, S.J.; Ambinder, R.F. Guidelines for interpreting EBER in situ hybridization and LMP1 immunohistochemical tests for detecting Epstein-Barr virus in Hodgkin lymphoma. Am. J. Clin. Pathol. 2002, 117, 259–267. [Google Scholar] [CrossRef] [PubMed]
  15. World Health Organization. International Classification of Diseases, 11th Edition (ICD 11). Available online: https://www.who.int/standards/classifications/classification-of-diseases (accessed on 11 May 2024).
  16. Murphy, S.B. Classification, staging and end results of treatment of childhood non-Hodgkin’s lymphomas: Dissimilarities from lymphomas in adults. Semin. Oncol. 1980, 7, 332–339. [Google Scholar] [PubMed]
  17. Canellos, G.P.; Skarin, A.T.; Klatt, M.M.; Rosenthal, D.S.; Case, D.C., Jr.; Pinkus, G.S.; Jochelson, M.S.; Yeap, B.Y.; Shipp, M.A. The m-BACOD combination chemotherapy regimen in the treatment of diffuse large cell lymphoma. In: Seminars in Hematology. Semin. Hematol. 1987, 24, 2–7. [Google Scholar] [PubMed]
  18. Reiter, A.; Schrappe, M.; Parwaresch, R.; Henze, G.; Müller-Weihrich, S.; Sauter, S.; Sykora, K.W.; Ludwig, W.D.; Gadner, H.; Riehm, H. Non-Hodgkin’s lymphomas of childhood and adolescence: Results of a treatment stratified for biologic subtypes and stage—A report of the Berlin-Frankfurt-Münster Group. J. Clin. Oncol. 1995, 13, 359–372. [Google Scholar] [CrossRef]
  19. Brasil, Ministério da Saúde, Coordenação Nacional de DST e AIDS. Guia de Tratamento Clínico da Infecção pelo HIV em Crianças. 2001. Available online: https://bvsms.saude.gov.br/bvs/publicacoes/073_03Guia_tratamento.pdf (accessed on 11 May 2024).
  20. Crombie, J.; LaCasce, A. The treatment of Burkitt lymphoma in adults. Blood 2021, 11, 743–750. [Google Scholar] [CrossRef]
  21. Carbone, A.; Vaccher, E.; Gloghini, A. Hematologic cancers in individuals infected by HIV. Blood 2022, 139, 995–1012. [Google Scholar] [CrossRef]
  22. Dawson, I.M.; Cornes, J.S.; Morson, B.C. Primary malignant lymphoid tumours of the intestinal tract. Report of 37 cases with a study of factors influencing prognosis. Br. J. Surg. 1961, 49, 80–89. [Google Scholar] [CrossRef]
  23. Lewin, K.J.; Ranchod, M.; Dorfman, R.F. Lymphomas of the gastrointestinal tract. A study of 117 cases presenting with gastrointestinal disease. Cancer 1978, 42, 673–707. [Google Scholar] [CrossRef]
  24. Lin, Y.; Pan, Y.H.; Li, M.K.; Zong, X.D.; Pan, X.M.; Tan, S.Y.; Guo, Y.W. Clinical presentation of gastric Burkitt lymphoma presenting with paraplegia and acute pancreatitis: A case report. World J. Gastroenterol. 2021, 27, 7844–7854. [Google Scholar] [CrossRef]
  25. Biggar, R.J.; Frisch, M.; Goedert, J.J. Risk of cancer in children with AIDS. JAMA 2000, 284, 205–209. [Google Scholar] [CrossRef] [PubMed]
  26. Caselli, D.; Klersy, C.; de Martino, M.; Gabiano, C.; Galli, L.; Tovo, P.; Aricò, M.; Italian register for HIV Infection in Children. Human immunodeficiency virus–related cancer in children: Incidence and treatment outcome—Report of the Italian register. J. Clin. Oncol. 2000, 18, 3854–3861. [Google Scholar] [CrossRef] [PubMed]
  27. Chiappini, E.; Berti, E.; Gianesin, K.; Petrara, M.R.; Galli, L.; Giaquinto, C.; de Martino, M.; De Rossi, A. Pediatric human immunodeficiency virus infection and cancer in the highly active antiretroviral treatment (HAART) era. Cancer Lett. 2014, 347, 38–45. [Google Scholar] [CrossRef]
  28. Simard, E.P.; Shiels, M.S.; Bhatia, K.; Engels, E.A. Long-term cancer risk among people diagnosed with AIDS during childhood. Cancer Epidemiol. Biomark. Prev. 2012, 21, 148–154. [Google Scholar] [CrossRef] [PubMed]
  29. Pollock, B.H.; Jenson, H.B.; Leach, C.T.; McClain, K.L.; Hutchison, R.E.; Garzarella, L.; Joshi, V.V.; Parmley, R.T.; Murphy, S.B. Risk factors for pediatric human immunodeficiency virus–related malignancy. JAMA 2003, 289, 2393–2399. [Google Scholar] [CrossRef] [PubMed]
  30. Zicari, S.; Sessa, L.; Cotugno, N.; Ruggiero, A.; Morrocchi, E.; Concato, C.; Rocca, S.; Zangari, P.; Manno, E.C.; Palma, P. Immune activation, inflammation, and non-AIDS co-morbidities in HIV-infected patients under long-term ART. Viruses 2019, 11, 200. [Google Scholar] [CrossRef]
  31. Shindiapina, P.; Ahmed, E.H.; Mozhenkova, A.; Abebe, T.; Baiocchi, R.A. Immunology of EBV-related lymphoproliferative disease in HIV-positive individuals. Front. Oncol. 2020, 10, 1723. [Google Scholar] [CrossRef]
  32. Verdu-Bou, M.; Tapia, G.; Hernandez-Rodriguez, A.; Navarro, J.T. Clinical and Therapeutic Implications of Epstein–Barr Virus in HIV-Related Lymphomas. Cancers 2021, 13, 5534. [Google Scholar] [CrossRef]
  33. Hatano, Y.; Ideta, T.; Hirata, A.; Hatano, K.; Tomita, H.; Okada, H.; Shimizu, M.; Tanaka, T.; Hara, A. Virus-driven carcinogenesis. Cancers 2021, 13, 2625. [Google Scholar] [CrossRef]
  34. Gougeon, M.; Montagnier, L. Programmed Cell Death as a Mechanism of CD4 and CD8 T Cell Deletion in AIDS: Molecular Control and Effect of Highly Active Antiretroviral Therapy. Ann. N. Y. Acad. Sci. 1999, 887, 199–212. [Google Scholar] [CrossRef] [PubMed]
  35. Chanock, S.J.; Pizzo, P.A. Infection prevention strategies for children with cancer and AIDS: Contrasting dilemmas. J. Hosp. Infect. 1995, 30, 197–208. [Google Scholar] [CrossRef]
  36. Geel, J.A.; Eyal, K.C.; Hendricks, M.G.; Myezo, K.H.; Stones, D.K.; Omar, F.; Goga, Y.; van Zyl, A.; van Emmenes, B.; Vaithilingum, M.; et al. Prognostic factors affecting survival in children and adolescents with HIV and Hodgkin lymphoma in South Africa. Leuk. Lymphoma 2021, 62, 2854–2863. [Google Scholar] [CrossRef] [PubMed]
  37. Chiappini, E.; Galli, L.; Tovo, P.A.; Gabiano, C.; Lisi, C.; Giaquinto, C.; Rampon, O.; Gattinara, G.C.; De Marco, G.; Osimani, P.; et al. Cancer rates after year 2000 significantly decrease in children with perinatal HIV infection: A study by the Italian Register for HIV Infection in Children. J. Clin. Oncol. 2007, 25, 97–101. [Google Scholar] [CrossRef] [PubMed]
  38. Orem, J.; Mulumba, Y.; Algeri, S.; Bellocco, R.; Mangen, F.W.; Mbidde, E.K.; Weiderpass, E. Clinical characteristics, treatment and outcome of childhood Burkitt’s lymphoma at the Uganda Cancer Institute. Trans. R. Soc. Trop. Med. Hyg. 2011, 105, 717–726. [Google Scholar] [CrossRef]
  39. Stefan, D.C.; Stones, D.; Newton, R. Burkitt lymphoma in South African children: One or two entities? Transfus. Apher. Sci. 2011, 44, 191–194. [Google Scholar] [CrossRef]
  40. Abrahão, R.; Li, Q.W.; Malogolowkin, M.H.; Alvarez, E.M.; Ribeiro, R.C.; Wun, T.; Keegan, T.H.M. Chronic medical conditions and late effects following non-Hodgkin lymphoma in HIV-uninfected and HIV-infected adolescents and young adults: A population-based study. Br. J. Haematol. 2020, 190, 371–384. [Google Scholar] [CrossRef]
  41. Singh, E.; Naidu, G.; Davies, M.A.; Bohlius, J. HIV-associated malignancies in children. Curr. Opin. HIV AIDS 2017, 12, 77. [Google Scholar] [CrossRef]
  42. Katumba, R.G.; Sensoy Bahar, O.; Johnson, K.J.; Ssewamala, F.M. Cancer in Youth Living With HIV (YLWHIV): A Narrative Review of the Access to Oncological Services Among YLWHIV and the Role of Economic Strengthening in Child Health. Front. Public Health 2020, 8, 409. [Google Scholar] [CrossRef]
  43. Duarte, N.L.; Bueno, A.P.S.; Sanches, B.S.; Ramos, G.A.; Santos, J.M.B.D.; Silva, H.F.H.E.; de Oliveira Pondé, J.; de Sá, J.G.; Rossi, P.M.; Horn, P.R.C.B.; et al. Incidence and Clinical Description of Lymphomas in Children and Adolescents with Vertical Transmission of HIV in Rio de Janeiro, Brazil, in Pre-and Post-Combined Antiretroviral Therapy Eras: A Multicentric Hospital-Based Survival Analysis Study. Cancers 2022, 14, 6129. [Google Scholar] [CrossRef]
  44. Duarte, N.L.; Bueno, A.P.S.; Sanches, B.S.; Ramos, G.A.; Santos, J.M.B.D.; Silva, H.F.H.E.; de Oliveira Pondé, J.; de Sá, J.G.; Rossi, P.M.; Horn, P.R.C.B.; et al. Prognostic Factors in Children and Adolescents with Lymphomas and Vertical Transmission of HIV in Rio de Janeiro, Brazil: A Multicentric Hospital-Based Survival Analysis Study. Cancers 2023, 15, 2292. [Google Scholar] [CrossRef] [PubMed]
  45. Chiappini, E.; Larotonda, F.; Lisi, C.; Giacomet, V.; Erba, P.; Bernardi, S.; Zangari, P.; Di Biagio, A.; Taramasso, L.; Giaquinto, C.; et al. Real-world analysis of survival and clinical events in a cohort of Italian perinatally HIV-1 infected children from 2001 to 2018. Front. Pediatr. 2021, 9, 665764. [Google Scholar] [CrossRef] [PubMed]
  46. de Martino, M.; Tovo, P.A.; Balducci, M.; Galli, L.; Gabiano, C.; Rezza, G.; Pezzotti, P. Reduction in mortality with availability of antiretroviral therapy for children with perinatal HIV-1 infection. JAMA 2000, 284, 190–197. [Google Scholar] [CrossRef] [PubMed]
  47. Álvaro-Meca, A.; Micheloud, D.; Jensen, J.; Díaz, A.; García-Alvarez, M.; Resino, S. Epidemiologic trends of cancer diagnoses among HIV-infected children in Spain from 1997 to 2008. Pediatr. Infect. Dis. J. 2011, 30, 764–768. [Google Scholar] [CrossRef]
  48. Carrasco, I.; Tarancon-Diez, L.; Vázquez-Alejo, E.; Jiménez de Ory, S.; Sainz, T.; Apilanez, M.; Epalza, C.; Guillén, S.; Tomás Ramos, J.; Díez, C.; et al. Innate and adaptive abnormalities in youth with vertically acquired HIV through a multicentre cohort in Spain. J. Int. AIDS Soc. 2021, 24, e25804. [Google Scholar] [CrossRef]
  49. Chhabra, S.; Fidler, S.; Ayers, S.; Bower, M.; Lyall, H.; Foster, C. Malignancy and all-cause mortality; incidence in adolescents and young adults living with perinatally acquired HIV. J. Virus Erad. 2020, 6, 30–33. [Google Scholar] [CrossRef]
  50. Kato, H.; Naganuma, T.; Iizawa, Y.; Kitagawa, M.; Tanaka, M.; Isaji, S. Primary non-Hodgkin’s lymphoma of the gallbladder diagnosed by laparoscopic cholecystectomy. J. Hepatobiliary Pancreat. Surg. 2008, 15, 659–663. [Google Scholar] [CrossRef]
  51. Gupta, P.; Marodia, Y.; Bansal, A.; Kalra, N.; Kumar, M.P.; Sharma, V.; Dutta, U.; Sandhu, M.S. Imaging-based algorithmic approach to gallbladder wall thickening. World J. Gastroenterol. 2020, 26, 6163–6181. [Google Scholar] [CrossRef]
  52. Gascoyne, R.D. Establishing the diagnosis of lymphoma: From initial biopsy to clinical staging. Oncology (Williston Park) 1998, 12, 11–16. [Google Scholar]
  53. Carbone, A.; Gloghini, A.; Serraino, D.; Spina, M. HIV-associated Hodgkin lymphoma. Curr. Opin. HIV AIDS 2009, 4, 3–10. [Google Scholar] [CrossRef]
  54. Carbone, A.; Gloghini, A. AIDS-related lymphomas: From pathogenesis to pathology. Br. J. Haematol. 2005, 130, 662–670. [Google Scholar] [CrossRef] [PubMed]
  55. Cesarman, E. Gammaherpesvirus and lymphoproliferative disorders in immunocompromised patients. Cancer Lett. 2011, 305, 163–174. [Google Scholar] [CrossRef] [PubMed]
  56. Hijlkema, S.H.; van Kampen, J.J.A.; Voermans, J.J.C.; den Oudsten, M.Y.E.; Doorduijn, J.; van Lugtenburg, P.J.; van de Vijver, D.A.M.C.; van der Ende, M.E. A longitudinal and cross-sectional study of Epstein-Barr virus DNA load: A possible predictor of AIDS-related lymphoma in HIV-infected patients. Infect. Dis. 2018, 50, 847–852. [Google Scholar] [CrossRef] [PubMed]
  57. Gloghini, A.; Dolcetti, R.; Carbone, A. Lymphomas occurring specifically in HIV-infected patients: From pathogenesis to pathology. Semin. Cancer Biol. 2013, 23, 457–467. [Google Scholar] [CrossRef] [PubMed]
  58. Westmoreland, K.D.; Stanley, C.C.; Montgomery, N.D.; Kaimila, B.; Kasonkanji, E.; El-Mallawany, N.K.; Wasswa, P.; Mtete, I.; Butia, M.; Itimu, S.; et al. Hodgkin lymphoma, HIV, and Epstein–Barr virus in Malawi: Longitudinal results from the Kamuzu Central Hospital lymphoma study. Pediatr. Blood Cancer 2017, 64, e26302. [Google Scholar] [CrossRef]
  59. Newton, R.; Ziegler, J.; Beral, V.; Mbidde, E.; Carpenter, L.; Wabinga, H.; Mbulaiteye, S.; Appleby, P.; Reeves, G.; Jaffe, H. A case-control study of human immunodeficiency virus infection and cancer in adults and children residing in Kampala, Uganda. Int. J. Cancer 2001, 92, 622–627. [Google Scholar] [CrossRef]
Disclaimer/Publisher’s Note: The statements, opinions and data contained in all publications are solely those of the individual author(s) and contributor(s) and not of MDPI and/or the editor(s). MDPI and/or the editor(s) disclaim responsibility for any injury to people or property resulting from any ideas, methods, instructions or products referred to in the content.

Article Metrics

Citations

Article Access Statistics

Multiple requests from the same IP address are counted as one view.