Tricuspid Valve Endocarditis Due to Methicillin-Resistant Staphylococcus aureus in a Previously Healthy Young Patient without a Drug Abuse History: A Case Report and a Review of the Literature
Abstract
1. Introduction
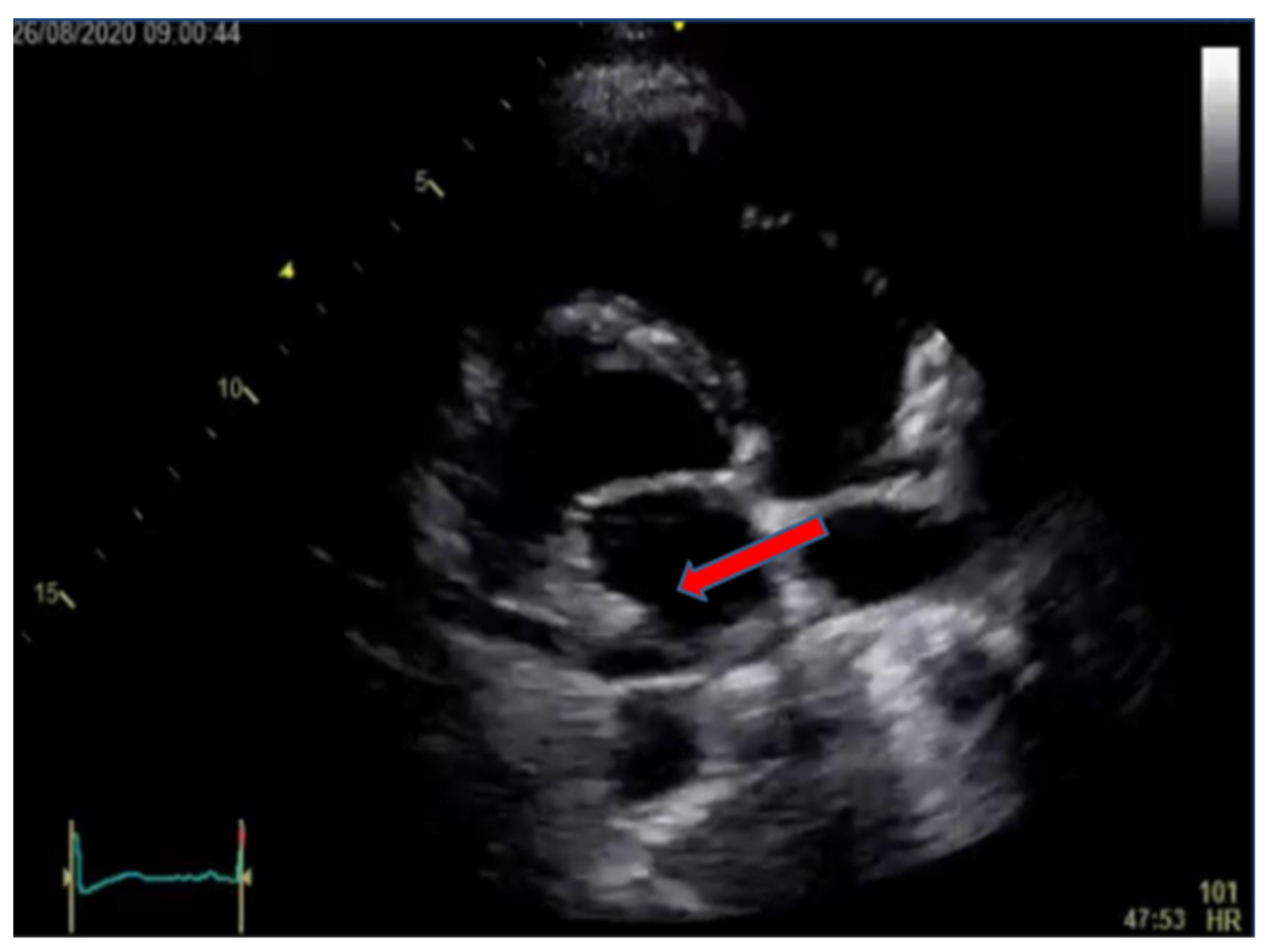
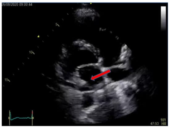
2. Case Presentation
3. Discussion
4. Conclusions
Author Contributions
Funding
Institutional Review Board Statement
Informed Consent Statement
Data Availability Statement
Acknowledgments
Conflicts of Interest
References
- Habib, G.; Erba, P.A.; Iung, B.; Donal, E.; Cosyns, B.; Laroche, C.; Popescu, B.A.; Prendergast, B.; Tornos, P.; Sadeghpour, A.; et al. Clinical presentation, aetiology and outcome of infective endocarditis. Results of the ESC-EORP EURO-ENDO (European infective endocarditis) registry: A prospective cohort study. Eur. Heart J. 2019, 40, 3222–3232. [Google Scholar] [CrossRef]
- Baddour, L.M.; Wilson, W.R.; Bayer, A.S.; Fowler, V.G.; Tleyjeh, I.M.; Rybak, M.J.; Barsic, B.; Lockhart, P.B.; Gewitz, M.H.; Levison, M.E.; et al. Infective Endocarditis in Adults: Diagnosis, Antimicrobial Therapy, and Management of Complications. Circulation 2015, 32, 1435–1486. [Google Scholar] [CrossRef] [PubMed]
- Murdoch, D.R. Clinical Presentation, Etiology, and Outcome of Infective Endocarditis in the 21st Century. Arch. Intern. Med. 2009, 169, 463. [Google Scholar] [CrossRef] [PubMed]
- Habib, G.; Lancellotti, P.; Antunes, M.J.; Bongiorni, M.G.; Casalta, J.-P.; Del Zotti, F.; Dulgheru, R.; El Khoury, G.; Erba, P.A.; Iung, B.; et al. 2015 ESC Guidelines for the management of infective endocarditis. Eur. Heart J. 2015, 36, 3075–3128. [Google Scholar] [CrossRef]
- Revilla, A.; López, J.; Villacorta, E.; Gómez, I.; Sevilla, T.; del Pozo, M.; de la Fuente, L.; Manzano, M.D.C.; Mota, P.; Flórez, S.; et al. Isolated Right-Sided Valvular Endocarditis in Non-Intravenous Drug Users. Rev. Española Cardiol. 2008, 61, 1253–1259. [Google Scholar] [CrossRef]
- Shmueli, H.; Thomas, F.; Flint, N.; Setia, G.; Janjic, A.; Siegel, R.J. Right-Sided Infective Endocarditis 2020: Challenges and Updates in Diagnosis and Treatment. J. Am. Heart Assoc. 2020, 9, e017293. [Google Scholar] [CrossRef]
- Lejko-Zupanc, T.; Kozelj, M.; Kranjec, I.; Pikelj, F. Right-sided endocarditis: Clinical and echocardiographic characteristics. J. Clin. Basic Cardiol. 1999, 2, 81–84. [Google Scholar]
- Hussain, S.T.; Witten, J.; Shrestha, N.K.; Blackstone, E.H.; Pettersson, G.B. Tricuspid valve endocarditis. Ann. Cardiothorac. Surg. 2017, 6, 255–261. [Google Scholar] [CrossRef] [PubMed]
- Chu, V.H.; Schranz, A.J. Right-sided native valve infective endocarditis. In UpToDate; Calderwood, S.B., Bolger, A., Eds.; UpToDate: Waltham, MA, USA, 2023; Available online: https://www.uptodate.com/contents/right-sided-native-valve-infective-endocarditis#H3849185484 (accessed on 13 March 2023).
- Raut, N.; Potdar, A.; Sharma, S. Tricuspid valve endocarditis in non-drug abusers: A case series from India. Indian Heart J. 2018, 70, 476–481. [Google Scholar] [CrossRef]
- Yuan, S.-M. Right-sided infective endocarditis: Recent epidemiologic changes. Int. J. Clin. Exp. Med. 2014, 7, 199–218. [Google Scholar]
- Chesi, G.; Colli, A.; Mestres, C.A.; Gambarati, G.; Boni, F.; Gherli, T. Multiresistant-MRSA tricuspid valve infective endocarditis with ancient osteomyelitis locus. BMC Infect. Dis. 2006, 6, 124. [Google Scholar] [CrossRef] [PubMed]
- Boukhari, E.; Al Dahri, K.; Al Mazrou, A.; Al Zamil, F.; Sulaiman, R.A. Right-Sided Methicillin-Resistant Staphylococcal Endocarditis in a Child. Ann. Saudi Med. 2000, 20, 489–491. [Google Scholar] [CrossRef] [PubMed]
- Antoun, M.; Deel, J.; Halpin, D.; Al-Akhrass, F. Bacterial Endocarditis of Anatomically Normal Native Pulmonic Valve with No Predisposing Risk Factors: Case Report and Review. Case Rep. Infect. Dis. 2020, 2020, 1453126. [Google Scholar] [CrossRef] [PubMed]
- DeLeo, F.R.; Otto, M.; Kreiswirth, B.N.; Chambers, H.F. Community-associated meticillin-resistant Staphylococcus aureus. Lancet 2010, 375, 1557–1568. [Google Scholar] [CrossRef]
- Moran, G.J.; Amii, R.N.; Abrahamian, F.M.; Talan, D.A. Methicillin-resistant Staphylococcus aureus in Community-acquired Skin Infections. Emerg. Infect. Dis. 2005, 11, 928–930. [Google Scholar] [CrossRef]
- Mitevska, E.; Wong, B.; Surewaard, B.G.J.; Jenne, C.N. The Prevalence, Risk, and Management of Methicillin-Resistant Staphylococcus aureus Infection in Diverse Populations across Canada: A Systematic Review. Pathogens 2021, 10, 393. [Google Scholar] [CrossRef]
- Bouchiat, C.; Curtis, S.; Spiliopoulou, I.; Bes, M.; Cocuzza, C.E.; Codita, I.; Dupieux, C.; Giormezis, N.; Kearns, A.; Laurent, F.; et al. MRSA infections among patients in the emergency department: A European multicentre study. J. Antimicrob. Chemother. 2016, 72, 372–375. [Google Scholar] [CrossRef]
- Morita, K.; Kato, T.; Kurosawa, K.; Yanagisawa, K.; Takama, N.; Tokue, Y.; Murakami, M. Methicillin-resistant Staphylococcus aureus-induced right-sided infective endocarditis detected by transthoracic echocardiography: The importance of parasternal short-axis view screening. J. Med. Ultrason. 2021, 48, 361–362. [Google Scholar] [CrossRef]
- Yazaki, M.; Oami, T.; Nakanishi, K.; Hase, R.; Watanabe, H. A successful salvage therapy with daptomycin and linezolid for right-sided infective endocarditis and septic pulmonary embolism caused by methicillin-resistant Staphylococcus aureus. J. Infect. Chemother. 2018, 24, 845–848. [Google Scholar] [CrossRef]
- Haque, N.; Davis, S.; Manierski, C.; Vager, D.; Donabedian, S.; Perri, M.; Sabbagh, R.; Cheema, F.; Zervos, M. Infective endocarditis caused by USA300 methicillin-resistant Staphylococcus aureus (MRSA). Int. J. Antimicrob. Agents 2007, 30, 72–77. [Google Scholar] [CrossRef]
- Saravu, K.; Mukhopadhyay, C.; Satyanarayanan, V.; Pai, A.; Komaranchath, A.S.; Munim, F.; Shastry, B.A.; Tom, D. Successful treatment of right-sided native valve methicillin-resistant Staphylococcus aureus endocarditis and septicaemia with teicoplanin and rifampicin: A case report. Scand. J. Infect. Dis. 2012, 44, 544–547. [Google Scholar] [CrossRef]
- Sundaragiri, P.R.; Vallabhajosyula, S.; Mahfood Haddad, T.; Esterbrooks, D.J. Tricuspid and mitral endocarditis due to methicillin-resistant Staphylococcus aureus exhibiting vancomycin-creep phenomenon. Case Rep. 2015, 2015, bcr2015211974. [Google Scholar]
- Galanter, K.M.; Ho, J. Treatment of tricuspid valve endocarditis with daptomycin and linezolid therapy. Am. J. Health Pharm. 2019, 76, 1033–1036. [Google Scholar] [CrossRef] [PubMed]
- Souli, M.; Pontikis, K.; Chryssouli, Z.; Galani, I.; Giamarellou, H. Successful treatment of right-sided prosthetic valve endocarditis due to methicillin-resistant teicoplanin-heteroresistant Staphylococcus aureus with linezolid. Eur. J. Clin. Microbiol. Infect. Dis. 2005, 24, 760–762. [Google Scholar] [CrossRef] [PubMed]
- Liu, C.Y.; Wang, J.L.; Huang, Y.T.; Hsueh, P.R. Development of multiple lung abscesses during daptomycin treatment for right-sided endocarditis caused by methicillin-resistant Staphylococcus aureus. Int. J. Antimicrob. Agents 2008, 32, 544–545. [Google Scholar] [CrossRef]
- Zainah, H.; Zervos, M.; Stephane, W.; Alhelo, S.C.; Alkhoury, G.; Weinmann, A. Daptomycin Failure for Treatment of Pulmonary Septic Emboli in Native Tricuspid and Mitral Valve Methicillin-Resistant Staphylococcus aureus Endocarditis. Case Rep. Infect. Dis. 2013, 2013, 653582. [Google Scholar]
- Villar, E.; Mohammedi, I.; Duperret, S.; Bouffard, Y.; Bouletreau, P. Community-acquired methicillin-resistant Staphylococcus aureus right-sided infective endocarditis in a non-addict patient with ventricular septal defect. Intensiv. Care Med. 1999, 25, B236–B237. [Google Scholar] [CrossRef]
- Hirakawa, N.; Tasaki, H.; Tanaka, S.; Yamashita, K.; Okazaki, M.; Nakashima, Y.; Kabashima, N.; Tamura, M. Infective Tricuspid Valve Endocarditis Due to Abscess of an Endogenous Arteriovenous Fistula in a Chronic Hemodialysis Patient. J. UOEH 2004, 26, 451–460. [Google Scholar] [CrossRef] [PubMed][Green Version]
- Dortet, L.; Anguel, N.; Fortineau, N.; Richard, C.; Nordmann, P. In vivo acquired daptomycin resistance during treatment of methicillin-resistant Staphylococcus aureus endocarditis. Int. J. Infect. Dis. 2013, 17, e1076–e1077. [Google Scholar] [CrossRef]
- Genestier, A.L.; Michallet, M.C.; Prévost, G.; Bellot, G.; Chalabreysse, L.; Peyrol, S.; Thivolet, F.; Etienne, J.; Lina, G.; Vellettw, F.M.; et al. Staphylococcus aureus Panton-Valentine leukocidin directly targets mitochondria and induces Bax-independent apoptosis of human neutrophils. J. Clin. Investig. 2005, 115, 3117–3127. [Google Scholar] [CrossRef] [PubMed]
- Millar, B.C.; Prendergast, B.D.; Moore, J.E. Community-associated MRSA (CA-MRSA): An emerging pathogen in infective endocarditis. J. Antimicrob. Chemother. 2007, 61, 1–7. [Google Scholar] [CrossRef]
- Tambic Andrasevic, A.; Lucic, S. Antibiotic resistance in 2020. In Antibiotic Resistance in Croatia, 2020; Tambic Andrasevic, A., Tambic, T., Eds.; Croatian Academy of Medical Sciences: Zagreb, Croatia, 2021; pp. 14–70. [Google Scholar]
- Budimir, A.; Bošnjak, Z.; Kalenić, S. Methicillin-resistant Staphylococcus aureus(MRSA) in Croatia. Croat. J. Infect. 2012, 32, 59–66. [Google Scholar]
- De La Vega, P.B.; Tandon, P.; Qureshi, W.; Nasr, Y.; Jayaprakash, R.; Arshad, S.; Moreno, D.; Jacobsen, G.; Ananthasubramaniam, K.; Ramesh, M.; et al. Simplified risk stratification criteria for identification of patients with MRSA bacteremia at low risk of infective endocarditis: Implications for avoiding routine transesophageal echocardiography in MRSA bacteremia. Eur. J. Clin. Microbiol. Infect. Dis. 2015, 35, 261–268. [Google Scholar] [CrossRef]
- Pro Implant Foundation, Pocket Guide to Diagnosis & Treatment of Infective Endocarditis in Native and Prosthetic Valves Version 1. 2020. Available online: https://pro-implant.org/tools/pocket-guide/9 (accessed on 13 March 2023).
- Maraolo, A.E.; Giaccone, A.; Gentile, I.; Saracino, A.; Bavaro, D.F. Daptomycin versus Vancomycin for the Treatment of Methicillin-Resistant Staphylococcus aureus Bloodstream Infection with or without Endocarditis: A Systematic Review and Meta-Analysis. Antibiotics 2021, 10, 1014. [Google Scholar] [CrossRef]
- Franklin, D.; Lowy, M. Methicillin-Resistant Staphylococcus Aureus (MRSA) in Adults: Treatment of Skin and Soft Tissue Infections; UpToDate: Waltham, MA, USA, 2023; Available online: https://www.uptodate.com/contents/methicillin-resistant-staphylococcus-aureus-mrsa-in-adults-treatment-of-skin-and-soft-tissue-infections?search=Methicillin-Resistant%20Staphylococcus%20Aureus%20(MRSA)%20in%20Adults:%20Treatment%20of%20Skin%20and%20Soft%20Tissue%20Infections.&source=search_result&selectedTitle=1~150&usage_type=default&display_rank=1 (accessed on 26 May 2023).
- Cosimi, R.A.; Beik, N.; Kubiak, D.; Johnson, J.A. Ceftaroline for Severe Methicillin-Resistant Staphylococcus aureus Infections: A Systematic Review. Open Forum Infect. Dis. 2017, 4, ofx084. [Google Scholar] [CrossRef]
- Lin, J.C.; Fierer, J.; Aung, G.; Johns, S.; Thomas, A.; Jahng, M. The use of ceftaroline fosamil in methicillin-resistant Staphylococcus aureus endocarditis and deep-seated MRSA infections: A retrospective case series of 10 patients. J. Infect. Chemother. 2013, 19, 42–49. [Google Scholar] [CrossRef]
- Johnson, T.M.; Molina, K.C.; Miller, M.A.; Kiser, T.H.; Huang, M.; Mueller, S.W. Combination ceftaroline and daptomycin salvage therapy for complicated methicillin-resistant Staphylococcus aureus bacteraemia compared with standard of care. Int. J. Antimicrob. Agents 2021, 57, 106310. [Google Scholar] [CrossRef] [PubMed]
- Musshoff, F.; Driever, F.; Lachenmeier, K.; Lachenmeier, D.; Banger, M.; Madea, B. Results of hair analyses for drugs of abuse and comparison with self-reports and urine tests. Forensic Sci. Int. 2006, 156, 118–123. [Google Scholar] [CrossRef]
- Frisoni, P.; Bacchio, E.; Bilel, S.; Talarico, A.; Gaudio, R.M.; Barbieri, M.; Neri, M.; Marti, M. Novel Synthetic Opioids: The Pathologist’s Point of View. Brain Sci. 2018, 8, 170. [Google Scholar] [CrossRef] [PubMed]
- Barbaro, G. Cardiovascular Manifestations of HIV Infection. Circulation 2002, 106, 1420–1425. [Google Scholar] [CrossRef] [PubMed]
- Radovanovic, M.; Petrovic, M.; Hanna, R.D.; Nordstrom, C.W.; Calvin, A.D.; Barsoum, M.K.; Milosavljevic, N.; Jevtic, D.; Sokanovic, M.; Dumic, I. Clinical Presentation and Management of Methicillin-Resistant Staphylococcus aureus Pericarditis—Systematic Review. J. Cardiovasc. Dev. Dis. 2022, 9, 103. [Google Scholar] [CrossRef] [PubMed]
- Dalman, M.; Bhatta, S.; Nagajothi, N.; Thapaliya, D.; Olson, H.; Naimi, H.M.; Smith, T.C. Characterizing the molecular epidemiology of Staphylococcus aureus across and within fitness facility types. BMC Infect. Dis. 2019, 19, 69. [Google Scholar] [CrossRef] [PubMed]
- Karanika, S.; Kinamon, T.; Grigoras, C.; Mylonakis, E. Colonization With Methicillin-resistant Staphylococcus aureus and Risk for Infection Among Asymptomatic Athletes: A Systematic Review and Metaanalysis. Clin. Infect. Dis. 2016, 63, 195–204. [Google Scholar] [CrossRef] [PubMed]

| Author, Year [References] | Country | Design | Age Male (M) Female (F) | IVDU | Medical Risk Factors | Record of MRSA Carrier or Previous MRSA Infection | Targeted MRSA Treatment | Heart Operation Performed | In Hospital Death |
|---|---|---|---|---|---|---|---|---|---|
| Morita K 2021 [19] | Japan | Case report | 28 M | No | No | No | Van | Yes | No |
| Yazaki M 2018 [20] | Japan | Case report | 26 F | No | Ventricular septal defect | No | Van + Rif + Gen Switch to Dapt + LZD | Yes | No |
| Haque N Z 2007 [21] | USA | Retrospective case series | 18 F | Yes | No | No | Van + Gen | No | No |
| 67 M | Yes | No | No | Van + Gen | No | No | |||
| 44 F | Yes | No | No | Van + Gen | No | No | |||
| 41 F | Yes | No | No | Van + Gen Switch to Dapt + Clin | No | No | |||
| 36 F | Yes | Previous MRSA endocarditis MRSA skin Abscess | Yes | Van + Rif + Gen | No | No | |||
| Saravu K 2012 [22] | India | Case report | 57 M | No | Alcohol abuse Multiple treatments of dehydration with saline sol. Iv | Yes | Tec + Rif | No | No |
| Sundaragiri P R 2015 [23] | USA | Case report | 31 M | Yes | A recent episode of MRSA IE | Yes | Van Switch to Dapt + Ceft | Yes | Yes |
| Galanter K M 2019 [24] | USA | Case report | 36 F | Yes | Previous MRSA bacteriemia | Yes | Van Switch to Dapt + Gen Switch to Dapt + Lzd Switch to Lzd + Gen | Yes | No |
| Souli M 2005 [25] | Greece | Case report | 67 M | No | Prosthetic valve Previous MRSA RSIE | Yes | Van + Rif + Gen + Sxt Switch to Tec + Rif + Sxt Switch to Lzd + Rif | No | No |
| Liu C L 2008 [26] | Taiwan | Case report | 86 M | No | ICD DM Chronic hemodialysis | No | Van + Rif Switch to Dapt + Rif Switch to Lzd + FucA Switch to Teico | No, but ICD removed | No |
| Zainah H 2013 [27] | USA | Case report | 24 F | Yes | No | No | Dapt Switch to Ceft | No | No |
| Villar E 1998 [28] | France | Case report | 49 M | No | Ventricular septal defect Skin Thoracic abscess | No | Van | Yes | No |
| Hirakava N 2004 [29] | Japan | Case report | 76 F | No | Chronic hemodialysis MRSA abscess at the site of the dialysis shunt | Yes | Van + Arb + Min | No | yes |
| Dortet L 2013 [30] | France | Case report | 55 F | No | COPD MRSA pneumonia and catheter-associated bacteriemia | Yes | Dapt + Rif Switch to Van + Gn + Lzd | No | No |
| Antoun M 2020 [14] | USA | Case report | 56 M | No | DM Skin MRSA infection | Yes | Van Switch to Dapt + LZD + Ceft | Yes | No |
| Chesi G 2006 [12] | Spain | Case report | 50 M | No | DM Previous MRSA osteomyelitis | Yes | Tec + Stx Switched to Lzd Switch to Van + Rif + Sxt Switch to Quin/Dalf | No | No |
| Boukhari E 2000 [13] | Saudi Arabia | Case report | 3 F | No | DM 10 days inserted iv cannula | No | Van + Gen Switch to Van + Gen + Cip + Rif | Yes | Yes |
| Revilla A 2021 [5] | Spain | Prospective case study | 54 M | No data | Aortic valve replacement | No data | No data | No | No |
| 22 M | No data | Intravascular catheter | No data | No data | No | No | |||
| 58 M | No data | Local infection | No data | No data | No | No |
| Laboratory Test | Result (H-High/L-Low) | Unit | Reference Interval |
|---|---|---|---|
| Leucocytes | 20.6 H | ×109/L | 3.4–9.7 |
| Erythrocytes | 4.32 L | ×1012/L | 4.34–5.72 |
| Hemoglobin | 129 L | g/L | 138–175 |
| Hematocrit | 0.380 L | L/L | 0.415–0.530 |
| Neutrophilic granulocytes | 16.1 H | ×109/L | 2.06–6.49 |
| Monocytes | 2.9 H | ×109/L | 0.12–0.84 |
| Neutrophil granulocytes | 82 H | rel % | 44–72 |
| Lymphocytes | 7.6 L | rel % | 20–46 |
| Monocytes | 14.0 H | rel % | 2–12 |
| CRP | 352.1 H | mg/L | <5 |
| LDH | 356 H | U/L | 127–231 |
| Procalcitonin | 0.804 H | µg/L | <0.5 |
| Fibrinogen-activity | 6.4 H | g/L | 1.8–3.5 |
| Ferritin | 1440 H | µg/L | 6–320 |
| D-dimers | 1.45 H | mg/L | <0.5 |
| CD3-/CD56+ (NK cells) | 21.0 H | % | 0.0–15.0 |
| CD3+/HLA-Dr+ (Activated T-lymphocytes) | 13.6 H | % | 0.0–10 |
| CD3+/CD38+ | 11.0 H | % | 0.9–7.0 |
| Albumin | 32.6 L | g/L | 39.5–58.6 |
| Alfa 1 globulin | 5.0 H | g/L | 0.7–2.6 |
| Alfa 2 globulin | 11.9 H | g/L | 4.9–10.2 |
Disclaimer/Publisher’s Note: The statements, opinions and data contained in all publications are solely those of the individual author(s) and contributor(s) and not of MDPI and/or the editor(s). MDPI and/or the editor(s) disclaim responsibility for any injury to people or property resulting from any ideas, methods, instructions or products referred to in the content. |
© 2023 by the authors. Licensee MDPI, Basel, Switzerland. This article is an open access article distributed under the terms and conditions of the Creative Commons Attribution (CC BY) license (https://creativecommons.org/licenses/by/4.0/).
Share and Cite
Andrijašević, N.; Perešin Vranjković, M.; Dobrović, K.; Pristaš, I.; Andrašević, S.; Tambić Andrašević, A. Tricuspid Valve Endocarditis Due to Methicillin-Resistant Staphylococcus aureus in a Previously Healthy Young Patient without a Drug Abuse History: A Case Report and a Review of the Literature. Infect. Dis. Rep. 2023, 15, 327-338. https://doi.org/10.3390/idr15030033
Andrijašević N, Perešin Vranjković M, Dobrović K, Pristaš I, Andrašević S, Tambić Andrašević A. Tricuspid Valve Endocarditis Due to Methicillin-Resistant Staphylococcus aureus in a Previously Healthy Young Patient without a Drug Abuse History: A Case Report and a Review of the Literature. Infectious Disease Reports. 2023; 15(3):327-338. https://doi.org/10.3390/idr15030033
Chicago/Turabian StyleAndrijašević, Nataša, Martina Perešin Vranjković, Karolina Dobrović, Irina Pristaš, Saša Andrašević, and Arjana Tambić Andrašević. 2023. "Tricuspid Valve Endocarditis Due to Methicillin-Resistant Staphylococcus aureus in a Previously Healthy Young Patient without a Drug Abuse History: A Case Report and a Review of the Literature" Infectious Disease Reports 15, no. 3: 327-338. https://doi.org/10.3390/idr15030033
APA StyleAndrijašević, N., Perešin Vranjković, M., Dobrović, K., Pristaš, I., Andrašević, S., & Tambić Andrašević, A. (2023). Tricuspid Valve Endocarditis Due to Methicillin-Resistant Staphylococcus aureus in a Previously Healthy Young Patient without a Drug Abuse History: A Case Report and a Review of the Literature. Infectious Disease Reports, 15(3), 327-338. https://doi.org/10.3390/idr15030033

