Genotypic Determination of Extended Spectrum β-Lactamases and Carbapenemase Production in Clinical Isolates of Klebsiella pneumoniae in Southwest Nigeria
Abstract
1. Introduction
2. Materials and Methods
2.1. Study Site and Sample Collection
2.2. Isolation and Identification of Bacteria
2.3. Antibiotic Susceptibility Testing
2.4. Detection of Antimicrobial Resistance Determinants
2.5. Genetic Diversity Assessment by Multi-locus Sequence Typing (MLST)
2.6. Statistical Analysis
3. Results
3.1. Distribution of Socio-Demographic Data of Selected Variables and Number of Klebsiella pneumoniae Positive Isolates
3.2. Antibiotic Resistance Patterns of K. pneumoniae Isolates
3.3. The Distribution of the ESBL Genes Produced by the Multidrug-Resistant K. pneumoniae Isolates
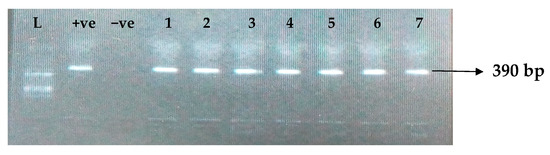
3.4. Distribution of Carbapenemase Genes among K. pneumoniae Isolates
3.5. Genetic Diversity Assessment by MLST
4. Discussion
5. Conclusions
Author Contributions
Funding
Institutional Review Board Statement
Informed Consent Statement
Data Availability Statement
Conflicts of Interest
References
- Gorrie, C.L.; Mirceta, M.; Wick, R.R.; Judd, L.M.; Wyres, K.L.; Thomson, N.R. Antimicrobial resistant Klebsiella pneumoniae carriage and infection in specialized geriatric care wards linked to acquisition in the referring hospital. Clin. Infect. Dis. 2018, 67, 161–170. [Google Scholar] [CrossRef] [PubMed]
- Caneiras, C.; Lito, L.; Melo-Cristino, J.; Duarte, A. Community- and Hospital-Acquired Klebsiella pneumoniae Urinary Tract Infections in Portugal: Virulence and Antibiotic Resistance. Microorganisms 2019, 7, 138. [Google Scholar] [CrossRef] [PubMed]
- Uzoamaka, M.; Ngozi, O.; Johnbull, O.S.; Martin, O. Bacterial Etiology of lower respiratory tract infections and their antimicrobial susceptibility. Am. J. Med. Sci. 2017, 354, 471–475. [Google Scholar] [CrossRef]
- Jafari, Z.; Harati, A.A.; Haeili, M.; Kardan-Yamchi, J.; Jafari, S.; Jabalameli, F. Molecular epidemiology and drug resistance pattern of carbapenemresistant Klebsiella pneumoniae isolates from Iran. Microb. Drug Resist. 2019, 25, 336–343. [Google Scholar] [CrossRef] [PubMed]
- Rossolini, G.M. Extensively drug-resistant carbapenemase-producing Enterobacteriaceae: An emerging challenge for clinicians and healthcare systems. J. Intern. Med. 2015, 277, 528–531. [Google Scholar] [CrossRef] [PubMed]
- WHO. Global Priority List of Antibiotic-Resistant Bacteria to Guide Research, Discovery, and Development of New Antibiotics. 2017. Available online: http://remed.org/wp-content/uploads/2017/03/lobal-priority-list-of-antibiotic-resistant-bacteria-2017.pdf (accessed on 20 February 2021).
- Ferreira, R.L.; da Silva, B.C.M.; Rezende, G.S.; Nakamura-Silva, R.; Pitondo-Silva, A.; Campanini, E.B. High prevalence of multidrug-resistant Klebsiella pneumoniae harboring several virulence and β-lactamase encoding genes in a Brazilian intensive care unit. Front. Microbiol. 2019, 9, 3198. [Google Scholar] [CrossRef]
- Rodriquez-Bano, J.; Navarro, M.D.; Romero, L.; Martinez-Martinez, L.; Muniain, M.A.; Perea, E.J. Epidemiology and clinical features of infections Caused by extended spectrum beta-lactamase producing Escherishia coli in non Hospitalized patients. J. Clin. Microbiol. 2004, 42, 1089–1094. [Google Scholar] [CrossRef]
- Pitout, J.D.D.; Laupland, K.B. Extended-spectrum β-lactamase-producing enterobacteriaceae: An emerging public-health concern. Lancet Infect. Dis. 2008, 8, 159–166. [Google Scholar] [CrossRef]
- Nasiri, M.J.; Mirsaeidi, M.; Mousavi, S.M.J.; Arshadi, M.; Fardsanei, F.; Deihim, B. Prevalence and mechanisms of carbapenem resistance in Klebsiella pneumoniae and Escherichia coli: A systematic review and meta-analysis of cross-sectional studies from Iran. Microb. Drug Resist. 2020, 26, 1491–1502. [Google Scholar] [CrossRef]
- Olowe, O.A.; Aboderin, B.W.; Motayo, B.O.; Ibeh, O.; Adegboyega, T.T.; Ogiowa, I.J. Detection of Extented Spectrum BetaLactamase producing strains of Escherichia coli and Klebsiella species in a tertiary health center in Ogun state, Nigeria. Int. J. Trop. Med. 2010, 5, 62–64. [Google Scholar]
- Ibrahim, Y.; Sani, Y.; Saleh, Q.; Saleh, A.; Hakeem, G. Phenotypic detection of extended-spectrum beta-lactamase and carbapenemase co-producing clinical isolates from two tertiary hospitals in Kano, northwest Nigeria. Ethiop. J. Health Sci. 2017, 27, 3–10. [Google Scholar] [CrossRef] [PubMed]
- Freire, M.P.; Pierrotti, L.C.; Filho, H.H.C.; Ibrahim, K.Y.; Magri, A.S.; Bonazzi, P.R. Infections with Klebsiella pneumoniae carbapenemase (KPC)-producing Klebsiella pneumoniae in cancer patients. Eur. J. Clin. Microbiol. Infect. Dis. 2015, 34, 277–286. [Google Scholar] [CrossRef] [PubMed]
- CLSI. Performance Standards for Antimicrobial Susceptibility Testing, 28th ed.; Clinical and Laboratory Standards Institute: Wayne, PA, USA, 2018; CLSI supplement M100. [Google Scholar]
- Mentasti, M.; Prime, K.; Sands, K.; Khan, S.; Wootton, M. Rapid detection of IMP, NDM, VIM, KPC and OXA-48-like carbapenemases from Enterobacteriales and Gram-negative non-fermenter bacteria by real-time PCR and melt-curve analysis. Eur. J. Clin. Microbiol. Infect. Dis. 2019, 38, 2029–2036. [Google Scholar] [CrossRef]
- Ghasemnejad, A.; Doudi, M.A.; Mirmozafari, N. Evaluation of modified hodge test as a non-molecular assay for accurate detection of KPC-producing Klebsiella pneumoniae. Pol. J. Microbiol. 2018, 67, 291–295. [Google Scholar] [CrossRef] [PubMed]
- Sharma, M.; Pathak, S.; Srivastava, P. Prevalence and antibiogram of Extended Spectrum β-Lactamase (ESBL) producing Gram negative bacilli and further molecular characterization of ESBL producing Escherichia coli and Klebsiella spp. J. Clin. Diagn. Res. 2013, 7, 2173–2177. [Google Scholar] [CrossRef]
- Batchelor, M.; Hopkins, K.; Threlfall, E.J.; Clifton-Hadley, F.A.; Stallwood, A.D.; Davies, R.H.; Liebana, E. Bla (CTXM) genes in clinical Salmonella isolates recovered from humans in England and Wales from 1992 to 2003. Antimicrob. Agents Chemother. 2005, 49, 1319–1322. [Google Scholar] [CrossRef] [PubMed]
- Park, Y.J.; Lee, S.; Kim, Y.R.; Oh, E.J.; Woo, G.J.; Lee, K. Occurrence of extended-spectrum (beta)-lactamases and plasmid-mediated AmpC (beta)-lactamases among Korean isolates of Proteus mirabilis. J. Antimicrob. Chemother. 2006, 57, 156–158. [Google Scholar] [CrossRef]
- Briñas, L.; Moreno, M.A.; Zarazaga, M.; Porrero, C.; Sáenz, Y.; García, M.; Dominguez, L.; Torres, C. Detection of CMY-2, CTX-M-14, and SHV-12 β-lactamases in Escherichia coli fecal-sample isolates from healthy chickens. Antimicrob. Agents Chemother. 2003, 47, 2056–2058. [Google Scholar] [CrossRef]
- Hendriksen, R.S.; Mikoleit, M.; Kornschober, C.; Rickert, R.L.; Duyne, S.V.; Kjelsø, C.; Hasman, H.; Cormican, M.; Mevius, D.; Threlfall, J.; et al. Emergence of Multidrug-Resistant Salmonella Concord Infections in Europe and the United States in Children Adopted from Ethiopia, 2003–2007. Pediatr. Infect. Dis. J. 2009, 28, 814–818. [Google Scholar] [CrossRef]
- Mushi, M.F.; Mshana, S.E.; Imirzalioglu, C.; Bwanga, F. Carbapenemase Genes among Multidrug Resistant Gram Negative Clinical Isolates from a Tertiary Hospital in Mwanza, Tanzania. BioMed Res. Int. 2014, 2014, 303104. [Google Scholar] [CrossRef]
- Nordmann, P.; Gniadkowski, M.; Giske, C.; Poirel, L.; Woodford, N.; Miriagou, V. Identification and screening of carbapenemase-producing Enterobacteriaceae. Clin. Microbiol. Infect. 2012, 5, 432–438. [Google Scholar] [CrossRef] [PubMed]
- Mendes, R.E.; Kiyota, K.A.; Monteiro, J. Rapid detection and identification of metallo-β-lactamase-encoding genes by multiplex real-time PCR assay and melt curve analysis. J. Clin. Microbiol. 2007, 45, 544–547. [Google Scholar] [CrossRef] [PubMed]
- Queenan, A.M.; Bush, K. Carbapenemases: The versatile beta-lactamases. Clin. Microbiol. Rev. 2007, 20, 440–458. [Google Scholar] [CrossRef] [PubMed]
- Poirel, L.; Walsh, T.R.; Cuvillier, V.; Nordmann, P. Multiplex PCR for detection of acquired carbapenemase genes. Diagn. Microbiol. Infect. Dis. 2011, 70, 119–123. [Google Scholar] [CrossRef]
- Yong, D.; Lee, K.; Yum, J.H.; Shin, H.B.; Rossolini, G.M.; Chong, Y. Imipenem-EDTA disk method for differentiation of metallo-beta-lactamase-producing clinical isolates of Pseudomonas spp. and Acinetobacter spp. J. Clin. Microbiol. 2002, 40, 3798–3801. [Google Scholar] [CrossRef]
- Van, T.T.; Chin, J.; Chapman, T.; Tran, L.T.; Coloe, P.J. Safety of raw meat and shellfish in Vietnam: An analysis of Escherichia coli isolations for antibiotic resistance and virulence genes. Int. J. Food Microbiol. 2008, 124, 217–223. [Google Scholar] [CrossRef]
- Perez-Perez, F.J.; Hanson, N.D. Detection of plasmid-mediated AmpC beta-lactamase genes in clinical isolates by using multiplex PCR. J. Clin. Microbiol. 2002, 40, 2153–2162. [Google Scholar] [CrossRef]
- Poirel, L.; Héritier, C.; Tolün, V.; Nordmann, P. Emergence of Oxacillinase-mediated resistance to imipenem in Klebsiella pneumoniae. Antimicrob. Agents Chemother. 2004, 48, 15–22. [Google Scholar] [CrossRef]
- Diancourt, L.; Passet, V.; Verhoef, J.; Grimont, P.A.; Brisse, S. Multilocus sequence typing of Klebsiella pneumoniae nosocomial isolates. J. Clin. Microbiol. 2005, 43, 4178–4182. [Google Scholar] [CrossRef]
- Moradigarav, J.; Martin, D.V.; Peacock, S.J.; Parkhill, J. Evolution and epidemiology of multidrugresistant Klebsiella pneumoniae in the United Kingdom and Ireland. MBio 2017, 8, 1–13. [Google Scholar]
- Akinyemi, K.O.; Abegunrin, R.O.; Iwalokun, B.A.; Fakorede, C.O.; Makarewicz, O.; Neubauer, H.; Pletz, M.W.; Wareth, G. The Emergence of Klebsiella pneumoniae with Reduced Susceptibility against Third Generation Cephalosporins and Carbapenems in Lagos Hospitals, Nigeria. Antibiotics 2021, 10, 142. [Google Scholar] [CrossRef] [PubMed]
- Olayemi, O.T.; Oyebanji, A.A.; Bashir, M.A.; Achancho, A.E.; Mih, T.M.; Daniel, E.T.; Nghonjuyi, N.W. Prevalence and Antimicrobial Susceptibility Pattern of Klebsiella Pneumoniae in Sputum Samples of Patients Attending Aminu Kano Teaching Hospital of Kano State, Nigeria. Acta Sci. Pharmacol. 2020, 1, 7–11. [Google Scholar]
- Olowo-okere, A.; Ibrahim, Y.K.E.; Olayinka, B.O.; Ehinmidu, J.O.; Mohammed, Y.; Nabti, L.Z.; Rolain, J.M.; Diene, S.M. Phenotypic and genotypic characterization of clinical carbapenem-resistant Enterobacteriaceae isolates from Sokoto, Northwest Nigeria. New Microbe New Infect. 2020, 37, 100727. [Google Scholar] [CrossRef]
- Mehta, Y.; Gupta, A.; Todi, S.; Myatra, S.; Samaddar, D.P.; Patil, V. Guidelines for prevention of hospital acquired infections. Indian J. Crit. Care Med. 2014, 18, 149–163. [Google Scholar] [PubMed]
- Onori, R.; Gaiarsa, S.; Comandatore, F.; Pongolini, S.; Brisse, S.; Colombo, A.; Cassani, G.; Marone, P.; Grossi, P.; Minoja, G.; et al. Tracking nosocomial Klebsiella pneumoniae infections and outbreaks by whole-genome analysis: Small-scale Italian scenario within a single hospital. J. Clin. Microbiol. 2015, 53, 2861–2868. [Google Scholar] [CrossRef]
- Gurung, S.; Kafle, S.; Dhungel, B.; Adhikari, N.; Thapa Shrestha, U.; Adhikari, B.; Banjara, M.R.; Rijal, K.R.; Ghimire, P. Detection of OXA-48 gene in carbapenem-resistant Escherichia coli and Klebsiella pneumoniae from urine samples. Infect. Drug Resist. 2020, 13, 2311–2321. [Google Scholar] [CrossRef]
- Ejikeugwu, C.; Nworie, O.; Saki, M.; Al-Dahmoshi, H.O.M.; Al-Khafaji, N.S.K.; Ezeador, C. Metallo-β-lactamase and AmpC genes in Escherichia coli, Klebsiella pneumoniae, and Pseudomonas aeruginosa isolates from abbatoir and poultry origin in Nigeria. BMC Microbiol. 2021, 21, 124. [Google Scholar] [CrossRef]
- Okunlola, A.T.; Olowe, O.A.; Taiwo, S.S. Healthcare associated infections caused by plasmid-encoded blaKPC and blaNDM strains of Klebsiella pneumoniae in Ibadan, Nigeria. Pan Afr. J. Life Sci. 2019, 1, 46–53. [Google Scholar] [CrossRef]
- Mukail, A.; Tytler, B.A.; Adeshina, G.O.; Igwe, J.C. Incidence of carbapenemase production among antibiotic resistant Klebsiella isolates in Zaria, Nigeria. Niger. J. Biotechnol. 2019, 36, 138–145. [Google Scholar] [CrossRef]
- Hoban, D.J.; Bouchillon, S.K.; Hawser, S.P.; Badal, R.E. Trends in the frequency of multiple drug-resistant Enterobacteriaceae and their susceptibility to ertapenem, imipenem, and other antimicrobial agents: Data from the Study for Monitoring Antimicrobial Resistance Trends 2002 to 2007. Diagn. Microbiol. Infect. Dis. 2010, 66, 78–86. [Google Scholar] [CrossRef]
- Asir, J.; Nair, S.; Devi, S.; Prashanth, K.; Saranathan, R.; Kanungo, R. Simultaneous gut colonisation and infection by ESBLproducing Escherichia coli in hospitalised patients. Australas. Med. J. 2015, 8, 200–207. [Google Scholar] [CrossRef]
- Khan, E.R.; Aung, M.S.; Paul, S.K.; Ahmed, S.; Haque, N.; Ahamed, F. Prevalence and molecular epidemiology of clinical isolates of Escherichia coli and Klebsiella pneumoniae harboring extended-spectrum beta-lactamase and carbapenemase genes in Bangladesh. Microb. Drug Resist. 2018, 24, 1568–1579. [Google Scholar] [CrossRef]
- Akinbami, O.R.; Olofinsae, S.; Ayeni, F.A. Prevalence of extended spectrum beta lactamase and plasmid mediated quinolone resistant genes in strains of Klebsiella pneumoniae, Morganella morganii, Leclercia adecarboxylata and Citrobacter freundii isolated from poultry in South Western Nigeria. PeerJ 2018, 6, e5053. [Google Scholar] [CrossRef] [PubMed]
- Okogeri, E.I.; Amala, S.E.; Nwokah, E.G.; Monsi, T.P. Cross-sectional study of extended spectrum β-lactamase genes (SHV, TEM, CTX-M and OXA) in Klebsiella species from clinical specimens in Port Hacourt, Nigeria. Am. J. Med. Sci. Med. 2020, 8, 180–186. [Google Scholar]
- Imtiaz, W.; Syed, Z.; Rafaque, Z.; Andrews, S.C.; Dasti, J.I. Analysis of antibiotic resistance and virulence traits (genetic and phenotypic) in Klebsiella pneumoniae clinical isolates from Pakistan: Identification of significant levels of carbapenem and colistin resistance. Infect. Drug Resist. 2021, 14, 227–236. [Google Scholar] [CrossRef] [PubMed]
- Kopotsa, K.; Mbelle, N.M.; Sekyere, J.O. Epigenomics, genomics, resistome, mobilome, virulome and evolutionary phylogenomics of carbapenem-resistant Klebsiella pneumoniae clinical strains. Microb. Genom. 2020, 6, 1–19. [Google Scholar] [CrossRef]
- Liu, X.; Zhang, J.; Li, Y.; Shen, Q.; Jiang, W.; Zhao, K. Diversity and frequency of resistance and virulence genes in blaKPC and blaNDM co-producing Klebsiella pneumoniae strains from China. Infect. Drug Resist. 2019, 12, 2819–2826. [Google Scholar] [CrossRef] [PubMed]
- Azargun, R.; Sadeghi, M.R.; Hossein, M.; Barhaghi, S.; Kafil, H.S.; Yeganeh, F. The prevalence of plasmid-mediated quinolone resistance and ESBL-production in Enterobacteriaceae isolated from urinary tract infections. Infect. Drug Resist. 2019, 11, 1007–1014. [Google Scholar] [CrossRef]
- Nouria, L.; Djamel, E.; Hassaine, H.; Frderic, R.; Richard, B. First characterization of CTX-M-15 and DHA-1-lactamases among clinical isolates of Klebsiella pneumoniae in Laghouat Hospital, Algeria. Afr. J. Microbiol. Res. 2014, 8, 1221–1227. [Google Scholar] [CrossRef]
- Vargas, J.M.; Mochi, M.P.M.; Nunez, J.M.; Caceres, M.; Mochi, S.; Moreno, R.D.; Jure, M.A. Virulence Factors and Clinical Patterns of Multiple-Clone Hypermucoviscous KPC-2 Producing K. Pneumoniae. Heliyon 2019, 5, e01829. [Google Scholar] [CrossRef]
- Zhang, J.; Zhou, K.; Zheng, B.; Zhao, L.; Shen, P.; Ji, J.; Wei, Z.; Li, L.; Zhou, J.; Xiao, Y. High prevalence of ESBL-producing Klebsiella pneumoniae causing community-onset infections in China. Front. Microbiol. 2016, 7, 1830. [Google Scholar] [CrossRef] [PubMed]
- Al-Agamy, M.H.M.; Shibl, A.M.; Tawfik, A.F. Prevalence and molecular characterization of extended spectrum β- lactamase -producing Klebsiella pneumonia in Riyadh, Saudi Arabia. Ann. Saudi Med. 2009, 29, 253–257. [Google Scholar] [CrossRef][Green Version]
- Wang, G.; Huang, T.; Surendraiah, P.K.M.; Wang, K.; Komal, R.; Zhuge, J.; Chern, C.R.; Kryszuk, A.A.; King, C.; Wormser, G.P. CTX-M ß-lactamase-producing Klebsiella pneumoniae in suburban New York City, New York, USA. Emerg. Infect. Dis. 2013, 19, 1803–1810. [Google Scholar] [CrossRef]
- Elmonir, W.; Abd El-Aziz, N.K.; Tartor, Y.H.; Moustafa, S.M.; Abo Remela, E.M.; Eissa, R.; Saad, H.A.; Tawab, A.A. Emergence of Colistin and Carbapenem Resistance in Extended-Spectrum β-Lactamase Producing Klebsiella pneumoniae Isolated from Chickens and Humans in Egypt. Biology 2021, 10, 373. [Google Scholar] [CrossRef]
- Kazemian, H.; Heidari, H.; Ghanavati, R.; Ghafourian, S.; Yazdani, F.; Sadeghifard, N. Phenotypic and genotypic characterization of ESBL-, AmpC-, and carbapenemase-producing Klebsiella pneumoniae and Escherichia coli isolates. Med. Princ. Pract. 2019, 28, 547–551. [Google Scholar] [CrossRef] [PubMed]
- Ragheb, S.M.; Tawfick, M.M.; El-Kholy, A.A.; Abdulall, A.K. Phenotypic and genotypic features of Klebsiella pneumoniae harboring carbapenemases in Egypt: OXA-48-like carbapenemases as an investigated model. Antibiotics 2020, 9, 852. [Google Scholar] [CrossRef] [PubMed]
- Onyedibe, K.I.; Bode-Thomas, F.; Nwadike, V.; Afolaranmi, T.; Okolo, M.O.; Uket, O. High Rates of Bacteria Isolates of Neonatal sepsis with Multidrug Resistance patterns in Jos Nigeria. Ann. Pediatr. Child Health 2015, 3, 1052. [Google Scholar]
- Jeremiah, I.A.; Nne, A.C.; Laura, O.I. Genotypic Determination of Carbapenamase Gene Production in Clinical Isolates of Klebsiella Pneumoniae in the University of Port-Harcourt Teaching Hospital. Am. J. Lab. Med. 2020, 5, 70–75. [Google Scholar] [CrossRef]
- Vasaikar, S.; Obi, L.; Morobe, I.; Bisi-Johnson, M. Molecular Characteristics and Antibiotic Resistance Profiles of Klebsiella Isolates in Mthatha, Eastern Cape Province, South Africa. Int. J. Microbiol. 2017, 2017, 8486742. [Google Scholar] [CrossRef]
- Castanheira, M.; Toleman, M.A.; Jones, R.N.; Schmidt, F.J.; Walsh, T.R. Molecular characterization of a β-lactamase gene, blaGIM-1, encoding a new subclass of metallo-β-lactamase. Antimicrob. Agents Chemother 2004, 12, 4654–4661. [Google Scholar] [CrossRef]
- Zorgani, A.; Daw, H.; Sufya, N. Cooccurrence of plasmid-mediated AmpC β-lactamase activity among Klebsiella pneumoniae and Escherichia coli. Open Microbiol. J. 2017, 11, 195. [Google Scholar] [CrossRef] [PubMed]
- Park, Y.S.; Yoo, S.; Seo, M.-R.; Kim, J.Y.; Cho, Y.K.; Pai, H. Risk factors and clinical features of infections caused by plasmid-mediated AmpC β-lactamase-producing Enterobacteriaceae. Int. J. Antimicrob. Agents. 2009, 34, 38–43. [Google Scholar] [CrossRef] [PubMed]
- Ayorinde, A.O.; Oaikhena, A.O.; Aboderin, A.O.; Olabisi, O.F.; Amupitan, A.A.; Abiri, O.V.; Ogunleye, V.O.; Odih, E.E.; Adeyemo, A.T.; Adeyemo, A.T.; et al. Clones and Clusters of Antimicrobial-Resistant Klebsiella from Southwestern Nigeria. Clin. Infect. Dis. 2021, 73, S308–S315. [Google Scholar]
- Bocanegra-Ibarias, P.; Garza-González, E.; Padilla-Orozco, M.; Mendoza-Olazarán, S.; Pérez-Alba, E.; Flores-Treviño, S.; Garza-Ramos, U.; Silva-Sánchez, J.; Camacho-Ortiz, A. The successful containment of a hospital outbreak caused by NDM-1-producing Klebsiella pneumoniae ST307 using active surveillance. PLoS ONE 2019, 14, e0209609. [Google Scholar] [CrossRef]
- Manenzhe, R.I.; Zar, H.J.; Nicol, M.P.; Kaba, M. The spread of carbapenemase-producing bacteria in Africa: A systematic review. J. Antimicrob. Chemother. 2015, 70, 23–40. [Google Scholar] [CrossRef] [PubMed]










| Primer | Sequence 51–31 | Annealing Temperature | Product Size (bp) | Reference |
|---|---|---|---|---|
| 16 s rRNA F 16 s rRNA R | ATTTGAAGAGGTTGCAAACGAT TTCACTCTGAAGTTTTCTTGTGTTC | 57 °C | 130 | [16] |
| TEM-H F TEM-H R | CCCCGAAGAACGTTTTC ATCAGCAATAAACCAGC | 52 °C | 517 | [17] |
| SHV-1 F SHV-1 R | AGGATTGACTGCCTTTTTG ATTTGCTGATTTCGCTCG | 57 °C | 393 | [17] |
| OXA F OXA R | ATATCTCTACTGTTGCATCTCC AAACCCTTCAAACCATCC | 57 °C | 619 | [17] |
| CTX-M F CTX-M R | CGATGTGCAGTACCAGTAA TTAGTGACCAGAACAGCGG | 57 °C | 585 | [18] |
| CTX-M-2 F CTX-M-2 R | ATGATGACTCAGAGCATTCG GAAACCGTGGGTTACGATTT | 60 °C | 1400 | [19] |
| CTX-M-9 F CTX-M-9 R | GTGACAAAGAGAGTGCAACGG ATGATTCTCGCCGCTGAAGCC | 60 °C | 857 | [20] |
| CTX-M-15 F CTX-M-15 R | CCATGGTTAAAAAATCACTGCG TGGGTRAARTARGTSACCAGAAYSAGCGG | 60 °C | 805 | [21] |
| KPC F KPC R | CATTCAAGGGCTTTCTTGCTGC ACGACGGCATAGTCATTTGC | 55 °C | 538 | [22] |
| NDM F NDM R | CACCTCATGTTTGAATTCGCC CTCTGTCACATCGAAATCGC | 58 °C | 984 | [23] |
| VIM2004A VIM2004B | GTTTGGTCGCATATCGCAAC AATGCGCAGCACCAGGATAG | 54 °C | 390 | [24] |
| IMP F IMP R | CATGGTTTGGTGGTTCTTGT ATAATTTGGCGGACTTTGGC | 55 °C | 488 | [25] |
| SPM F SPM R | CCTACAATCTAACGGCGACC TCGCCGTGTCCAGGTATAAC | 55 °C | 650 | [26] |
| GIM F GIM R | AGAACCTTGACCGAACGCAG ACTCATGACTCCTCACGAGG | 55 °C | 599 | [27] |
| CMY F CMY R | TGGCCAGAACTGACAGGCAAA TTTCTCCTGAACGTGGCTGG | 47 °C | 462 | [28] |
| FOXMF FOXMR | AACATGGGGTATCAGGGAGATG CAAAGCGCGTAACCGGATTGG | 54 °C | 190 | [29] |
| OXA 48F OXA 48R | TTGGTGGCATCGATTATCGG GAGCACTTCTTTTGTGATGGC | 55 °C | 743 | [30] |
| Primer | Sequence 51–31 | Annealing Temperature | Product Size (bp) |
|---|---|---|---|
| rpoBF rpoBR | GGCGAAATGGCWGAGAACCA GAGTCTTCGAAGTTGTAACC | 50 °C | 501 |
| gapA F gapA R | TGAAATATGACTCCACTCACGG CTTCAGAAGCGGCTTTGATGGCTT | 60 °C | 450 |
| mdh F mdh R | CCCAACTCGCTTCAGGTTCAG CCGTTTTTCCCCAGCAGCAG | 50 °C | 477 |
| pgi F pgi R | GAGAAAAACCTGCCTGTACTGCTGGC CGCGCCACGCTTTATAGCGGTTAAT | 50 °C | 432 |
| phoE F phoE R | ACCTACCGCAACACCGACTTCTTCGG TGATCAGAACTGGTAGGTGAT | 50 °C | 420 |
| infB F infB R | CTCGCTGCTGGACTATATTCG CGCTTTCAGCTCAAGAACTTC | 50 °C | 318 |
| tonB F tonB R | CTTTATACCTCGGTACATCAGGTT ATTCGCCGGCTGRGCRGAGAG | 45 °C | 414 |
| Variable | Number (%) | Positive No(%) | Pearson Chi-Square | df | p-Value | |
|---|---|---|---|---|---|---|
| Location | Ekiti Lagos Ogun Ondo Osun Oyo | 70 (16.7) 70 (16.7) 70 (16.7) 70 (16.7) 70 (16.7) 70 (16.7) | 16 (22.9) 32 (45.7) 17 (24.3) 20 (28.6) 18 (25.7) 25 (35.7) | 12.631 | 5 | 0.027 |
| Total | 420 | 128 (30.5) | ||||
| Age | ≤10 years | 19 (4.5) | 7 (36.8) | 0.634 | 3 | 0.889 |
| 11–25 years | 63 (15) | 19 (30.2) | ||||
| 26–50 years | 209 (49.8) | 61 (29.2) | ||||
| 51 years and above | 129 (30.7) | 41 (31.8) | ||||
| Sex | Female | 220 (52.4) | 69 (31.4) | 0.172 | 1 | 0.679 |
| Male | 200 (47.6) | 59 (29.5) | ||||
| Sample | Blood | 34 (8.0) | 7 (20.6) | 6.968 | 8 | 0.540 |
| High Vaginal Swab | 62 (14.8) | 20 (32.3) | ||||
| Pus | 65 (15.5) | 25 (38.5) | ||||
| Semen | 7 (1.7) | 1 (14.3) | ||||
| Sputum | 45 (10.7) | 12 (26.7) | ||||
| Stool | 14 (3.3) | 4 (28.6) | ||||
| Tracheal Aspirate | 7 (1.7) | 3 (42.9) | ||||
| Urine Wound Swab | 144 (34.3) 42 (10) | 40 (27.8) 16 (38.1) | ||||
| Ward | Accident and emergency | 10 (2.38) | 2 (20) | |||
| Intensive Care Unit | 16 (3.81) | 7 (43.7) | ||||
| Geriatrics | 25 (5.95) | 10 (40) | ||||
| Medical | 160 (38.1) | 41 (25.6) | ||||
| Obstetrics and Gynaecology | 96 (22.9) | 32 (33.3) | ||||
| Pediatrics | 13 (3.1) | 4 (30.8) | ||||
| Surgical | 100 (23.8) | 32 (32) | ||||
| S/N | Antibiotics | Resistant Number/Percentage |
|---|---|---|
| 1 | Levofloxacin | 66 (51.6) |
| 2 | Cefoxitin | 69 (53.9) |
| 3 | ceftazidime | 68 (53.1) |
| 4 | tetracycline | 86 (67.2) |
| 5 | aztreonam | 70 (54.7) |
| 6 | gentamicin | 69 (53.9) |
| 7 | Cefepime | 57 (44.5) |
| 8 | Imipenem | 62 (48.4) |
| 9 | Amikacin | 70 (54.7) |
| 10 | meropenem | 55 (43.0) |
| 11 | Ofloxacin | 69 (53.9) |
| 12 | cephalexin | 69 (53.9) |
| 13 | Amoxycillin/Clavulanic acid | 68 (53.1) |
| 14 | ciprofloxacin | 75 (58.6) |
| 15 | Cefuroxime | 74 (57.8) |
| 16 | ampicillin | 77 (60.2) |
| 17 | oxacillin | 79 (61.7) |
| 18 | Cefotaxime | 66 (51.6) |
| 19 | chloramphenicol | 72 (56.3) |
| 20 | Ceftriaxone | 69 (53.9) |
| 21 | Polymyxin B | 0 (0.0) |
| ESBL Genes | Frequency | Percent |
|---|---|---|
| TEM | 61 | 47.7 |
| SHV | 51 | 39.8 |
| OXA | 35 | 27.3 |
| CTX-M | 56 | 43.8 |
| CTX-M-2 | 15 | 11.1 |
| CTX-M-9 | 14 | 10.9 |
| CTX-M-15 | 25 | 19.5 |
| Frequency | Percent | |
|---|---|---|
| VIM | 55 | 43.0 |
| OXA-48 | 37 | 28.9 |
| IMP | 29 | 22.7 |
| NDM | 22 | 17.2 |
| KPC | 17 | 13.3 |
| CMY | 15 | 11.7 |
| FOX | 12 | 9.4 |
| SPM | 0 | 0.0 |
| GIM | 0 | 0.0 |
| Antibiotics | Number/% Resistant (Phenotype) | KPC Gene (17) | IMP Gene (29) | VIM Gene (55) | |||
|---|---|---|---|---|---|---|---|
| Number (%) | p Value | Number/% | p Value | Number/% | p Value | ||
| Levofloxacin | 66 (51.6) | 2 (11.8) | 0.505 | 16 (55.2) | 0.062 | 29 (52.7) | 0.480 |
| Cefoxitin | 69 (53.9) | 4 (23.5) | 0.447 | 11 (37.9) | 0.510 | 32 (58.2) | 0.254 |
| Ceftazidime | 68 (53.1) | 1 (5.9) | 0.274 | 14 (48.3) | 0.107 | 29 (52.7) | 0.540 |
| Tetracycline | 86 (67.2) | 6 (35.2) | 0.381 | 17 (58.6) | 0.403 | 37 (67.3) | 0.570 |
| Aztreonam | 70 (54.7) | 5 (29.4) | 0.325 | 12 (41.4) | 0.406 | 33 (60.0) | 0.193 |
| Gentamicin | 69 (53.9) | 4 (23.5) | 0.447 | 14 (48.3) | 0.130 | 31 (56.4) | 0.380 |
| Cefepime | 57 (44.5) | 2 (11.8) | 0.315 | 8 (27.6) | 0.395 | 27 (49.1) | 0.235 |
| Imipenem | 62 (48.4) | 5 (29.4) | 0.041 * | 16 (55.2) | 0.000 * | 30 (54.5) | 0.036 * |
| Amikacin | 70 (54.7) | 4 (23.5) | 0.486 | 8 (27.6) | 0.181 | 32 (58.2) | 0.305 |
| Meropenem | 55 (43.0) | 8 (47.1) | 0.001 * | 16 (55.2) | 0.000 * | 35 (63.6) | 0.000 * |
| Ofloxacin | 69 (53.9) | 7 (41.2) | 0.081 | 12 (41.4) | 0.361 | 33 (60.0) | 0.154 |
| Cephalexin | 69 (53.9) | 3 (17.6) | 0.553 | 13 (44.8) | 0.230 | 32 (58.2) | 0.254 |
| Amoxycillin/Clavulanic acid | 68 (53.1) | 1 (5.9) | 0.274 | 6 (20.7) | 0.076 | 28 (50.9) | 0.398 |
| Ciprofloxacin | 75 (58.6) | 7 (41.2) | 0.209 | 14 (48.3) | 0.342 | 36 (65.4) | 0.118 |
| Cefuroxime | 74 (57.8) | 3 (17.6) | 0.359 | 12 (41.4) | 0.556 | 31 (56.4) | 0.457 |
| Ampicillin | 77 (60.2) | 7 (41.2) | 0.270 | 11 (37.9) | 0.271 | 34 (61.8) | 0.441 |
| Oxacillin | 79 (61.7) | 10 (58.8) | 0.041 | 15 (51.7) | 0.377 | 41 (74.5) | 0.080 |
| Cefotaxime | 66 (51.6) | 1 (5.9) | 0.343 | 12 (41.4) | 0.273 | 31 (56.4) | 0.222 |
| Chloramphenicol | 72 (56.3) | 3 (17.6) | 0.436 | 9 (31.0) | 0.221 | 28 (50.9) | 0.190 |
| Ceftriaxone | 69 (53.9) | 4 (23.5) | 0.447 | 9 (31.0) | 0.342 | 31 (56.4) | 0.380 |
| Isolate | State | Sample | Beta-Lactamase Genes | Allelic Profile | MLST | Cloner Cluster (CC) |
|---|---|---|---|---|---|---|
| LK16 | Lagos | Urine | CTX-M-15, TEM, SHV, KPC | 3-3-1-1-1-1-4 | ST11 | 258 |
| LK23 | Lagos | Urine | CTX-M-15, VIM, OXA-48, KPC | 3-4-6-1-7-4-38 | ST147 | 147 |
| LK27 | Lagos | HVS | CTX-M-15, VIM, OXA-48, KPC, NDM | 4-1-2-52-1-1-7 | ST307 | 307 |
| OGK1032 | Ogun | Pus | CTX-M-15, VIM, KPC, NDM | 4-1-2-52-1-1-7 | ST307 | 307 |
| OYK39 | Oyo | Urine | CTX-M-15, VIM, OXA-48, KPC | 1-1-1-1-1-1-1 | ST15 | 15 |
| OYK24 | Oyo | Sputum | CTX-M-15, VIM, OXA-48, KPC, NDM | 4-1-2-52-1-1-7 | ST307 | 307 |
| EK55 | Ekiti | Urine | CTX-M-15, VIM, OXA-48, KPC, NDM | 4-1-2-52-1-1-7 | ST307 | 307 |
| ONK74 | Ondo | Wound swab | TEM, CTX-M-15, KPC, NDM | 3-3-1-1-1-1-79 | ST258 | 258 |
| OSK12 | Osun | Urine | CTX-M-15, KPC, OXA-48, NDM | 4-1-2-52-1-1-7 | ST307 | 307 |
| OSK16 | Osun | Urine | CTX-M-15, OXA-48 | 4-16-2-1-28-3-40 | ST321 | 321 |
Disclaimer/Publisher’s Note: The statements, opinions and data contained in all publications are solely those of the individual author(s) and contributor(s) and not of MDPI and/or the editor(s). MDPI and/or the editor(s) disclaim responsibility for any injury to people or property resulting from any ideas, methods, instructions or products referred to in the content. |
© 2023 by the authors. Licensee MDPI, Basel, Switzerland. This article is an open access article distributed under the terms and conditions of the Creative Commons Attribution (CC BY) license (https://creativecommons.org/licenses/by/4.0/).
Share and Cite
Odewale, G.; Jibola-Shittu, M.Y.; Ojurongbe, O.; Olowe, R.A.; Olowe, O.A. Genotypic Determination of Extended Spectrum β-Lactamases and Carbapenemase Production in Clinical Isolates of Klebsiella pneumoniae in Southwest Nigeria. Infect. Dis. Rep. 2023, 15, 339-353. https://doi.org/10.3390/idr15030034
Odewale G, Jibola-Shittu MY, Ojurongbe O, Olowe RA, Olowe OA. Genotypic Determination of Extended Spectrum β-Lactamases and Carbapenemase Production in Clinical Isolates of Klebsiella pneumoniae in Southwest Nigeria. Infectious Disease Reports. 2023; 15(3):339-353. https://doi.org/10.3390/idr15030034
Chicago/Turabian StyleOdewale, Gbolabo, Motunrayo Yemisi Jibola-Shittu, Olusola Ojurongbe, Rita Ayanbolade Olowe, and Olugbenga Adekunle Olowe. 2023. "Genotypic Determination of Extended Spectrum β-Lactamases and Carbapenemase Production in Clinical Isolates of Klebsiella pneumoniae in Southwest Nigeria" Infectious Disease Reports 15, no. 3: 339-353. https://doi.org/10.3390/idr15030034
APA StyleOdewale, G., Jibola-Shittu, M. Y., Ojurongbe, O., Olowe, R. A., & Olowe, O. A. (2023). Genotypic Determination of Extended Spectrum β-Lactamases and Carbapenemase Production in Clinical Isolates of Klebsiella pneumoniae in Southwest Nigeria. Infectious Disease Reports, 15(3), 339-353. https://doi.org/10.3390/idr15030034

