Intravascular Large B-Cell Lymphoma Diagnosed After Recurrent Stroke: Case Report and Literature Review
Abstract
1. Introduction
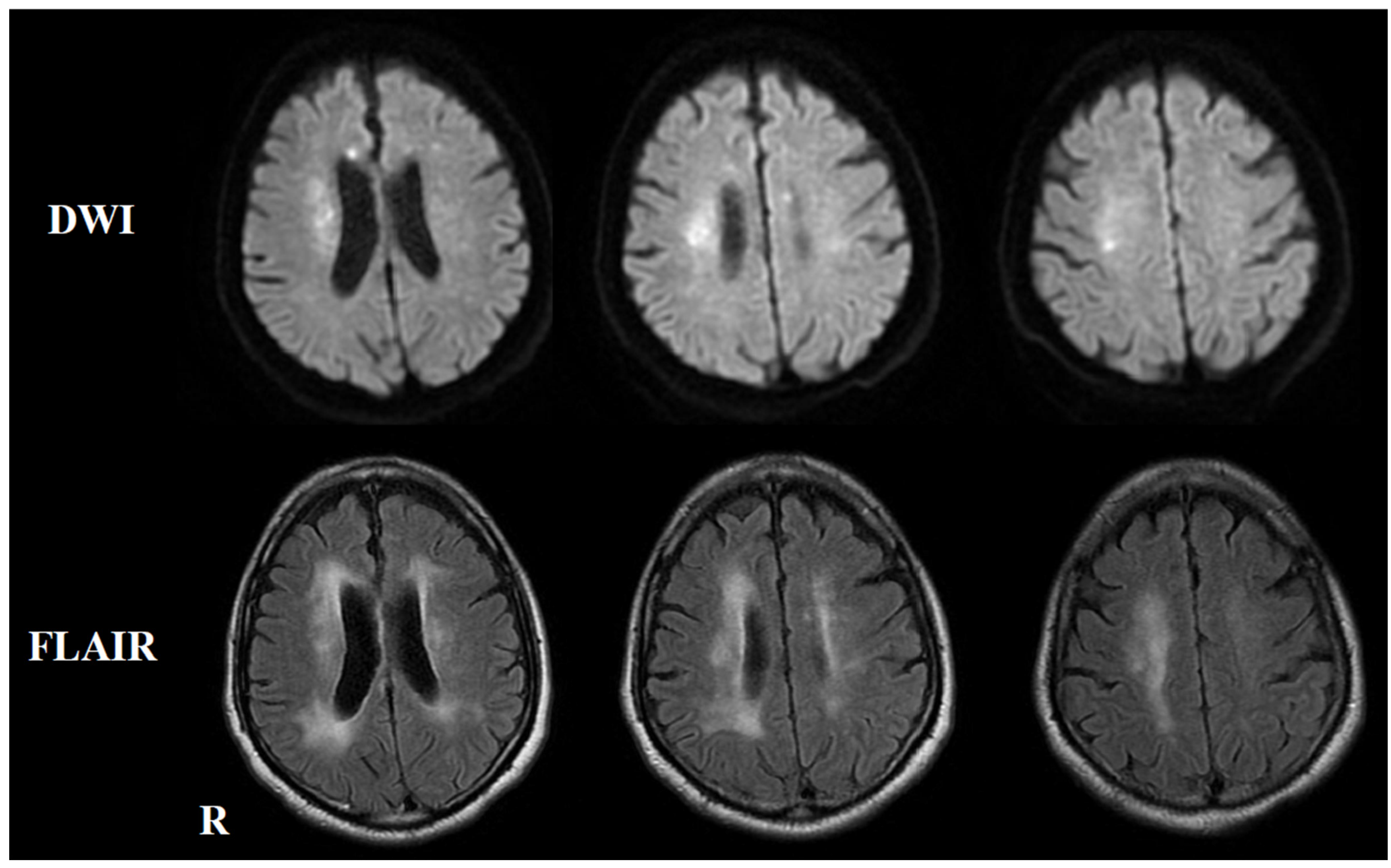
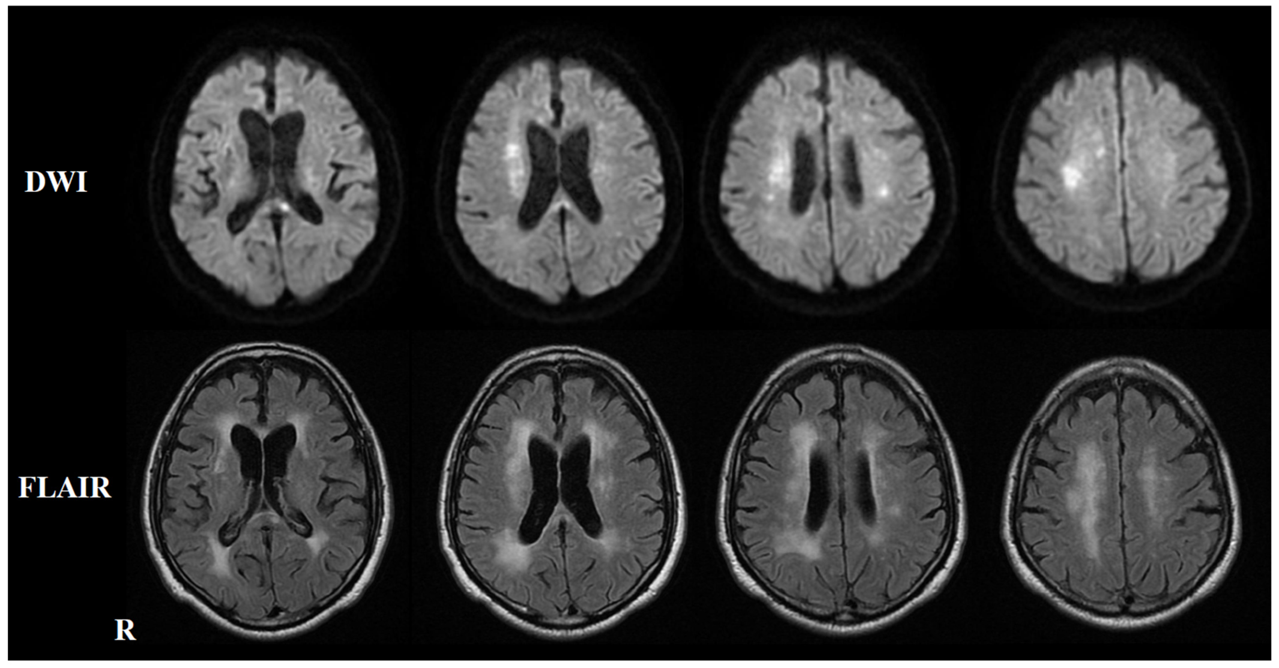
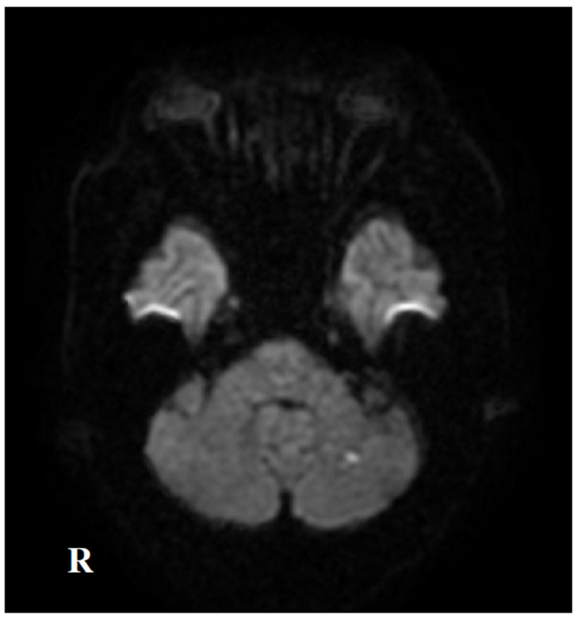
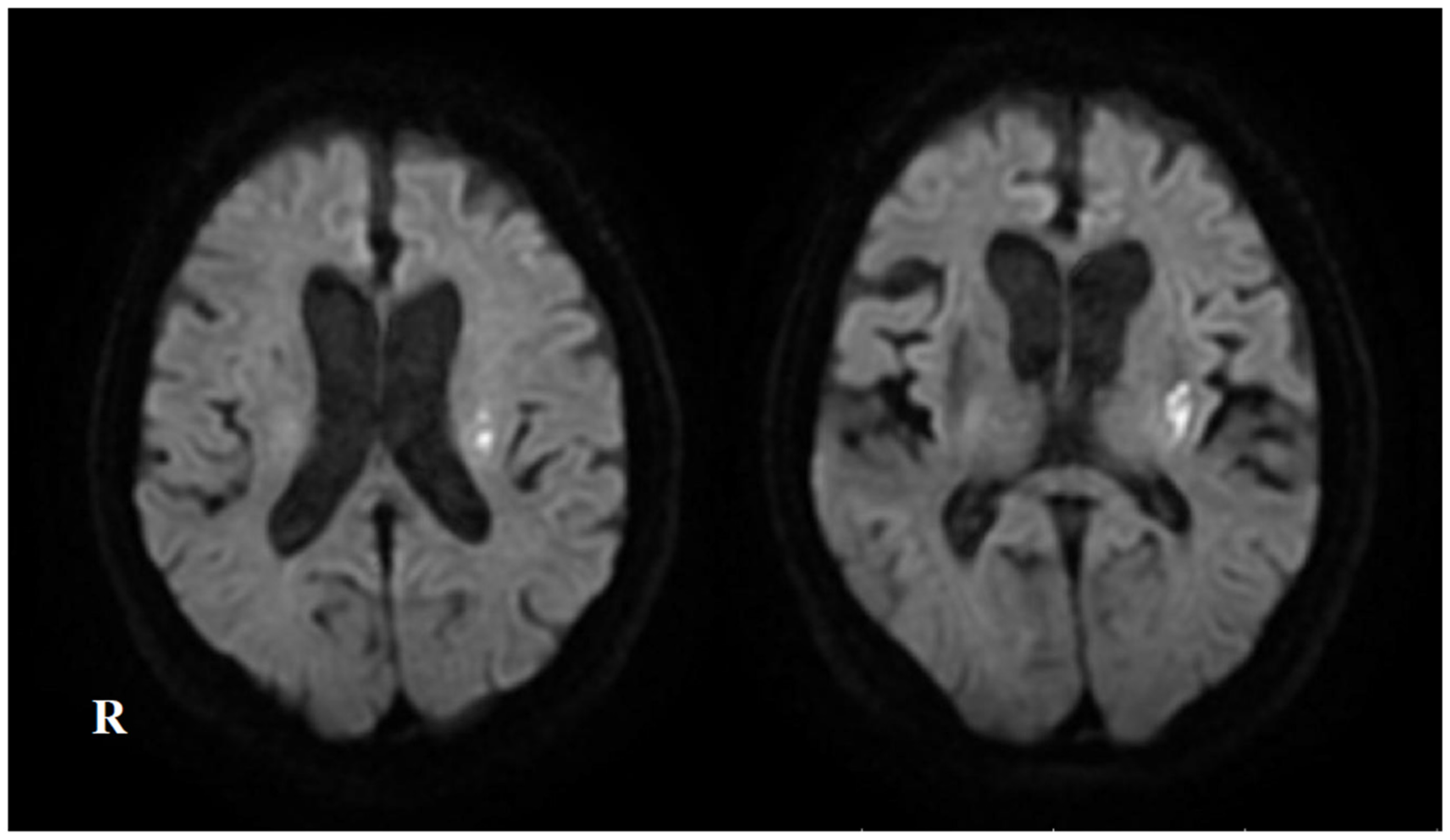
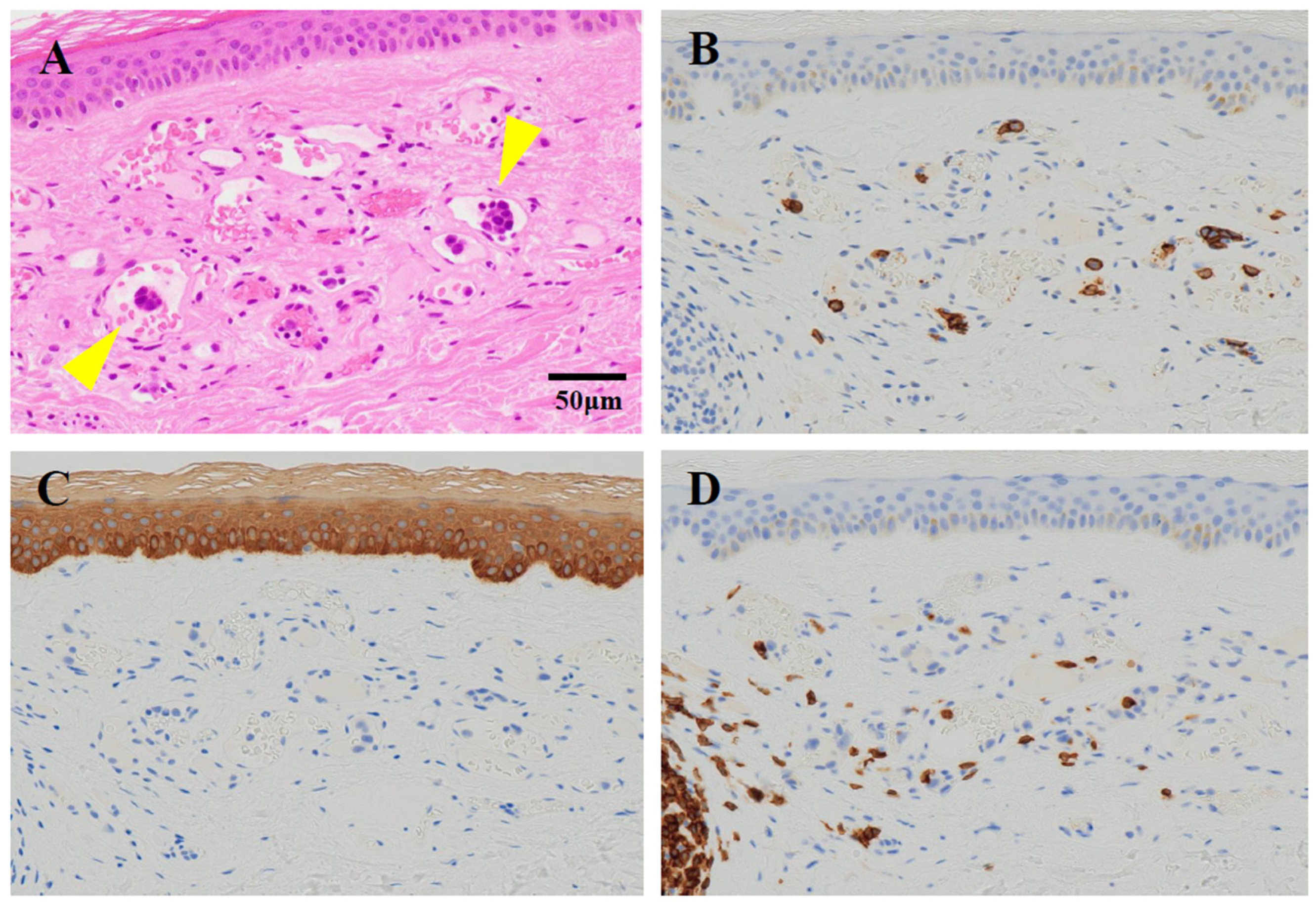
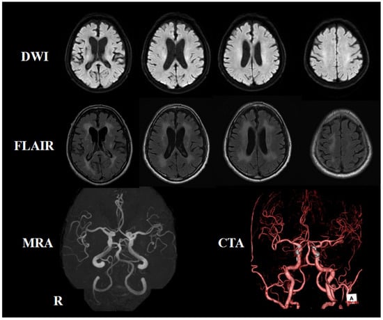
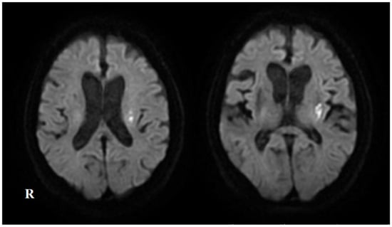
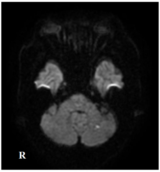
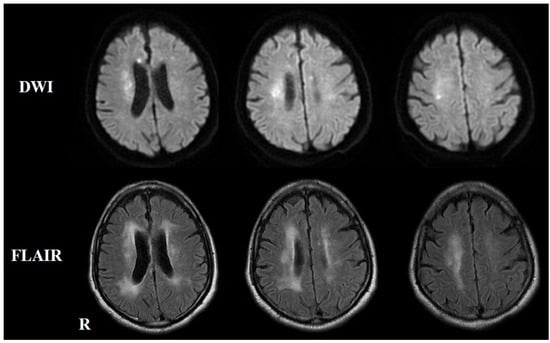
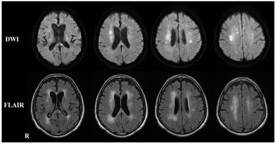
2. Case Presentation
3. Discussion
4. Conclusions
Author Contributions
Funding
Institutional Review Board Statement
Informed Consent Statement
Data Availability Statement
Conflicts of Interest
References
- Breakell, T.; Waibel, H.; Schliep, S.; Ferstl, B.; Erdmann, M.; Berking, C.; Heppt, M.V. Intravascular Large B-Cell Lymphoma: A Review with a Focus on the Prognostic Value of Skin Involvement. Curr. Oncol. 2022, 29, 2909–2919. [Google Scholar] [CrossRef] [PubMed]
- Roditi, E.; Panicker, S.; Fung, A.T. Intravascular large B-cell lymphoma of the eye: Literature review and new findings. Asia Pac. J. Ophthalmol. 2024, 13, 100053. [Google Scholar] [CrossRef] [PubMed]
- Fonkem, E.; Dayawansa, S.; Stroberg, E.; Lok, E.; Bricker, P.C.; Kirmani, B.; Wong, E.T.; Huang, J.H. Neurological presentations of intravascular lymphoma (IVL): Meta-analysis of 654 patients. BMC Neurol. 2016, 16, 9. [Google Scholar] [CrossRef]
- Tahsili-Fahadan, P.; Rashidi, A.; Cimino, P.J.; Bucelli, R.C.; Keyrouz, S.G. Neurologic manifestations of intravascular large B-cell lymphoma. Neurol. Clin. Pract. 2016, 6, 55–60. [Google Scholar] [CrossRef] [PubMed]
- Burningham, K.M.; Patel, R.R.; Gonzalez, C.D.; Mauskar, M.; Vandergriff, T.; Goff, H.W. Western Variant Intravascular Large B-Cell Lymphoma in an Indian Man. JAAD Case Rep. 2021, 40, 8–10. [Google Scholar] [CrossRef]
- Ponzoni, M.; Campo, E.; Nakamura, S. Intravascular large B-cell lymphoma: A chameleon with multiple faces and many masks. Blood 2018, 132, 1561–1567. [Google Scholar] [CrossRef]
- Ferreri, A.J.M.; Campo, E.; Seymour, J.F.; Willemze, R.; Ilariucci, F.; Ambrosetti, A.; Zucca, E.; Rossi, G.; López-Guillermo, A.; Pavlovsky, M.A.; et al. Intravascular lymphoma: Clinical presentation, natural history, management and prognostic factors in a series of 38 cases, with special emphasis on the ‘cutaneous variant’. Br. J. Haematol. 2004, 127, 173–183. [Google Scholar] [CrossRef]
- Charifa, A.; Paulson, N.; Levy, L.; Perincheri, S.; Lee, A.; McNiff, J.M.; Ko, C.J. Intravascular Large B-Cell Lymphoma: Clinical and Histopathologic Findings. Yale J. Biol. Med. 2020, 93, 35–40. [Google Scholar]
- Berthet, E.; Guillonnet, A.; Houillier, C.; Ursu, R.; Soussain, C.; Touat, M.; Gueguen, A.; de Renzis, B.; Bigaut, K.; Ahle, G.; et al. Unveiling the Clinical and Imaging Signatures of Intravascular Lymphoma of the Central Nervous System: A Multicentric Cohort Study. Ann. Neurol. 2024, 97, 435–448. [Google Scholar] [CrossRef]
- Inagaki, R.; Inoue, A.; Miyazaki, Y.; Kanehisa, K.; Kunihiro, J.; Kondo, T.; Katayama, E.; Taniwaki, M.; Shigekawa, S.; Watanabe, H.; et al. Clinical utility of positron emission tomography leading to rapid and accurate diagnosis of intravascular large B-cell lymphoma presenting with central nervous system symptoms alone: A case report and review of the literature. Surg. Neurol. Int. 2023, 14, 89. [Google Scholar] [CrossRef]
- Yamada, E.; Ishikawa, E.; Watanabe, R.; Matsumura, H.; Sakamoto, N.; Ishii, A.; Tamaoka, A.; Hattori, K.; Obara, N.; Chiba, S.; et al. Random Skin Biopsies Before Brain Biopsy for Intravascular Large B-Cell Lymphoma. World Neurosurg. 2019, 121, e364–e369. [Google Scholar] [CrossRef] [PubMed]
- Enzan, N.; Kitadate, A.; Kono, M. Optimizing random skin biopsies: A review of techniques and indications for intravascular large B-cell lymphoma. Int. J. Hematol. 2024, 119, 619–625. [Google Scholar] [CrossRef]
- Goyal, A.; Tope, W.; Murugan, P.; Jacobson-Dunlop, E.; Miller, D.D. Intravascular pseudolymphomatous angiosarcoma: A new finding potentially mistaken for intravascular lymphoma. J. Cutan. Pathol. 2021, 48, 1080–1084. [Google Scholar] [CrossRef]
- Arai, T.; Kato, Y.; Funaki, M.; Shimamura, S.; Yokogawa, N.; Sugii, S.; Tsuboi, R. Three cases of intravascular large B-cell lymphoma detected in a biopsy of skin lesions. Dermatology 2016, 232, 185–188. [Google Scholar] [CrossRef]
- Boslooper, K.; Dijkhuizen, D.; van der Velden, A.W.G.; Dal, M.; Meilof, J.F.; Hoogenberg, K. Intravascular lymphoma as an unusual cause of multifocal cerebral infarctions discovered on FDG-PET/CT. Case Rep. Neth J. Med. 2010, 68, 261–264. [Google Scholar]
- Shimada, K.; Matsue, K.; Yamamoto, K.; Murase, T.; Ichikawa, N.; Okamoto, M.; Niitsu, N.; Kosugi, H.; Tsukamoto, N.; Miwa, H.; et al. Retrospective analysis of intravascular large B-cell lymphoma treated with rituximab-containing chemotherapy as reported by the IVL study group in Japan. J. Clin. Oncol. 2008, 26, 3189–3195. [Google Scholar] [CrossRef]
- Shimada, K.; Murase, T.; Matsue, K.; Okamoto, M.; Ichikawa, N.; Tsukamoto, N.; Niitsu, N.; Miwa, H.; Asaoku, H.; Kosugi, H.; et al. Central nervous system involvement in intravascular large B-cell lymphoma: A retrospective analysis of 109 patients. Cancer Sci. 2010, 101, 1480–1486. [Google Scholar] [CrossRef] [PubMed]
- Takahashi, H.; Nishimaki, H.; Nakanishi, Y.; Hamada, T.; Nakagawa, M.; Iizuka, K.; Uchino, Y.; Iriyama, N.; Miura, K.; Nakayama, T.; et al. Clinical impact of central nervous system-directed therapies on intravascular large B-cell lymphoma: A single institution’s experience. EJHaem 2022, 3, 467–470. [Google Scholar] [CrossRef]
- Shimada, K.; Yamaguchi, M.; Kuwatsuka, Y.; Matsue, K.; Sato, K.; Kusumoto, S.; Nagai, H.; Takizawa, J.; Fukuhara, N.; Nagafuji, K.; et al. Rituximab, cyclophosphamide, doxorubicin, vincristine, and prednisolone combined with high-dose methotrexate plus intrathecal chemotherapy for newly diagnosed intravascular large B-cell lymphoma (PRIMEUR-IVL): Long-term results of a multicentre, single-arm, phase 2 trial. EClinicalMedicine 2025, 80, 103078. [Google Scholar] [CrossRef]
- Araie, H.; Sakamaki, I.; Matsuda, Y.; Tai, K.; Ikegaya, S.; Itoh, K.; Kishi, S.; Oiwa, K.; Okura, M.; Tasaki, T.; et al. A Comparison between R-THP-COP and R-CHOP Regimens for the Treatment of Diffuse Large B-cell Lymphoma in Old Patients: A Single-institution Analysis. Intern. Med. 2017, 56, 2407–2413. [Google Scholar] [CrossRef]
- Sitzia, J.; North, C.; Stanley, J.; Winterberg, N. Side effects of CHOP in the treatment of non-Hodgkin’s lymphoma. Cancer Nurs. 1997, 20, 430–439. [Google Scholar] [CrossRef] [PubMed]
- Marino, D.; Farina, P.; Jirillo, A.; De Franchis, G.; Simonetto, M.; Aversa, S.M.L. Neurological syndrome after R-CHOP chemotherapy for a non-Hodgkin lymphoma: What is the diagnosis? Int. J. Hematol. 2011, 94, 461–462. [Google Scholar] [CrossRef] [PubMed]
- Linschoten, M.; Kamphuis, J.A.M.; van Rhenen, A.; Bosman, L.P.; Cramer, M.J.; Doevendans, P.A.; Teske, A.J.; Asselbergs, F.W. Cardiovascular adverse events in patients with non-Hodgkin lymphoma treated with first-line cyclophosphamide, doxorubicin, vincristine, and prednisone (CHOP) or CHOP with rituximab (R-CHOP): A systematic review and meta-analysis. Lancet Haematol. 2020, 7, e295–e308. [Google Scholar] [CrossRef]
- Hamed, K.M.; Dighriri, I.M.; Baomar, A.F.; Alharthy, B.T.; Alenazi, F.E.; Alali, G.H.; Alenazy, R.H.; Alhumaidi, N.T.; Alhulayfi, D.H.; Alotaibi, Y.B.; et al. Overview of Methotrexate Toxicity: A Comprehensive Literature Review. Cureus 2022, 14, e29518. [Google Scholar] [CrossRef] [PubMed]
- Mitsutake, A.; Kanemoto, T.; Suzuki, Y.; Sakai, N.; Kuriki, K. A case of intravascular large B-cell lymphoma that presented with recurrent multiple cerebral infarctions and followed an indolent course. Rinsho Shinkeigaku. 2015, 55, 101–106. (In Japanese) [Google Scholar] [CrossRef]
- Hirose, T.; Tsukahara, A.; Hosokawa, T.; Doi, Y.; Yokote, T.; Nakajima, H.; Kimura, F. Random skin biopsy of a patient with intravascular large B-cell lymphoma presenting as progressive multiple cerebral infarctions. Jpn. J. Stroke 2016, 38, 38–42. (In Japanese) [Google Scholar] [CrossRef]
- Yamaoka, Y.; Izutsu, K.; Itoh, A.; Ideguchi, M.; Kimura, T.; Sodemoto, K.; Ichikawa, Y.; Morita, A. A case of intravascular large B-cell lymphoma with a variety of neurological disorders and skin lesion diagnosed by brain biopsy. Jpn. J. Stroke 2010, 32, 406–412. [Google Scholar] [CrossRef]
- Tsuda, Y.; Oguri, T.; Sakurai, K.; Kajiguchi, T.; Kato, H.; Yuasa, H. Low signal intensity lesions on brain susceptibility-weighted MRI in a patient with intravascular large B-cell lymphoma. Rinsho Shinkeigaku. 2017, 57, 504–508. (In Japanese) [Google Scholar] [CrossRef]
- Aoyama, T.; Sekiguchi, Y.; Yako, T.; Sakai, K.; Hongo, K.; Tojo, K.; Ikeda, S.; Nakayama, J.; Uehara, T. Recurrent Cerebral Infarctions caused by Intravascular Lymphoma Diagnosed by Brain Biopsy: A Case Report. Jpn. J. Neurosurg. 2012, 21, 342–347. [Google Scholar] [CrossRef]
- Usuda, D.; Arahata, M.; Temaru, R.; Iinuma, Y.; Kanda, T.; Hayashi, S. Autopsy-proven intravascular lymphoma presenting as rapidly recurrent strokes. Case Rep. Oncol. 2016, 9, 148–153. [Google Scholar] [CrossRef]
- Jitpratoom, P.; Yuckpan, P.; Sitthinamsuwan, P.; Chotinaiwattarakul, W.; Chinthammitr, Y. Progressive multifocal cerebral infarction from intravascular large B-cell lymphoma presenting in a man: A case report. J. Med. Case Rep. 2011, 5, 24. [Google Scholar] [CrossRef] [PubMed]
- Haninger, D.M.; Davis, T.A.; Parker, J.R.; Slone, S.P.; Parker, J.C., Jr. Intravascular large B-cell lymphoma presenting as acute hemorrhagic cerebral infarct with delirium. Ann. Clin. Lab. Sci. 2013, 43, 305–310. [Google Scholar] [PubMed]
- Lyden, S.; Dafer, R.M. Intravascular lymphomatosis presenting with spinal cord infarction and recurrent ischemic strokes. J. Stroke Cerebrovasc. Dis. 2019, 28, e132–e134. [Google Scholar] [CrossRef]
- Hung, L.C.; Tsai, J.H.; Wu, C.S.; Dai, Y.C.; Chen, C.C.; Sung, S.F. Brain biopsy-proven intravascular lymphomatosis presenting as rapidly recurrent strokes-two case reports. Acta Neurol. Taiwan. 2014, 23, 11–18. [Google Scholar] [PubMed]
- Ohya, Y.; Osaki, M.; Sakai, S.; Kimura, S.; Shimogamo, T.; Ago, T.; Kitazono, T.; Arakawa, S. A case of recurrent ischemic stroke due to intravascular lymphomatosis, undiagnosed by random skin biopsy and brain imaging. Case Rep. Neurol. 2017, 9, 234–240. [Google Scholar] [CrossRef]
- Kenéz, J.; Barsi, P.; Majtényi, K.; Molnár, B.; Kocher, I.; Stangl, E.; Komoly, S. Can intravascular lymphomatosis mimic sinus thrombosis? A case report with 8 months’ follow-up and fatal outcome. Neuroradiology 2000, 42, 436–440. [Google Scholar] [CrossRef]
- Yunce, M.; Muganlinskaya, N.; Selinger, S. Intravascular large B-cell lymphoma presenting as multiple strokes: A case report. Medicine 2018, 97, e12793. [Google Scholar] [CrossRef]
- Wu, M.; Lin, Y.; Huang, X.; Zhang, B. Intravascular large B-cell lymphoma presenting as rapidly progressive dementia and stroke: A case report. Medicine 2021, 100, e27996. [Google Scholar] [CrossRef]
- Imamura, K.; Awaki, E.; Aoyama, Y.; Kondo, S.; Horie, Y.; Ohama, E.; Nakashima, K. Intravascular large B-cell lymphoma following a relapsing stroke with temporary fever: A brain biopsy case. Intern. Med. 2006, 45, 693–695. [Google Scholar] [CrossRef]
- Sakamoto, N.; Aiba, M.; Takahashi, M.; Sakurai, T.; Yang, K.S.; Tsuda, H. A case of intravascular large B-cell lymphoma with rapidly progressive cognitive impairment after cerebral infarction. Nihon. Ronen. Igakkai Zasshi. 2012, 49, 783–787. (In Japanese) [Google Scholar] [CrossRef]
- Popiolek, C.; Gupta, K.; Huff, M.L.; Gupta, R. Intravascular large B-cell lymphoma masquerading as stroke successfully treated with R-Hyper-CVAD. Leuk. Res. Rep. 2023, 21, 100401. [Google Scholar] [CrossRef] [PubMed]
- Bergmann, M.; Terzija-Wessel, U.; Blasius, S.; Kuchelmeister, K.; Kryne-Kubat, B.; Gerhard, L.; Beneicke, U.; Berlit, P. Intravascular lymphomatosis of the CNS: Clinicopathologic study and search for expression of oncoproteins and Epstein-Barr virus. Clin. Neurol. Neurosurg. 1994, 96, 236–243. [Google Scholar] [CrossRef] [PubMed]
- Song, D.K.; Boulis, N.M.; McKeever, P.E.; Quint, D.J. Angiotropic large cell lymphoma with imaging characteristics of CNS vasculitis. AJNR Am. J. Neuroradiol. 2002, 23, 239–242. [Google Scholar]
- Rice, C.M.; Scolding, N.J. The diagnosis of primary central nervous system vasculitis. Pract. Neurol. 2020, 20, 109–114. [Google Scholar] [CrossRef]
- Hauer, L.; Pikija, S.; Schulte, E.C.; Sztriha, L.K.; Nardone, R.; Sellner, J. Cerebrovascular manifestations of herpes simplex virus infection of the central nervous system: A systematic review. J. Neuroinflammation 2019, 16, 19. [Google Scholar] [CrossRef] [PubMed]
- Nakajima, H.; Hara, M.; Morita, A.; Kamei, S. Neurologic Complications of Varcella-Zoster Virus Infection. In Varicella-Zoster Virus; IntechOpen: London, UK, 2019. [Google Scholar] [CrossRef]
- Zhang, P.; Chen, L.; Chen, S.; Wu, T.; Zhang, Y. Isolated middle cerebral artery stenosis caused by syphilitic vasculitis. Sex Health 2023, 20, 80–82. [Google Scholar] [CrossRef]
- Muto, R.; Sugita, Y.; Momosaki, S.; Ito, Y.; Wakugawa, Y.; Ohshima, K. An autopsy case of progressive multifocal leukoencephalopathy after rituximab therapy for malignant lymphoma. Neuropathology 2019, 39, 58–63. [Google Scholar] [CrossRef]
- Borisow, N.; Mori, M.; Kuwabara, S.; Scheel, M.; Paul, F. Diagnosis and treatment of NMO spectrum disorder and MOG-encephalomyelitis. Front. Neurol. 2018, 9, 888. [Google Scholar] [CrossRef]
- McGinley, M.P.; Goldschmidt, C.H.; Rae-Grant, A.D. Diagnosis and treatment of multiple sclerosis: A review. JAMA 2021, 325, 765–779. [Google Scholar] [CrossRef]









| Inspection Items | Result | Reference Range |
|---|---|---|
| White blood cell count | 4100/μL | (3300–8600) |
| Red blood cell count | 347 × 104/μL | (386–492 × 104) |
| Hemoglobin | 11.6 g/dL | (12.1–14.5) |
| Blood platelet | 12.2 × 104/μL | (15.8–34.8) |
| Total protein | 6.8 g/dL | (6.6–8.1) |
| Albumin | 4.1 g/dL | (4.1–5.1) |
| Glucose | 105 mg/dL | (73–109) |
| Blood urea nitrogen | 12 mg/dL | (8.0–20.0) |
| Creatinine | 1.05 mg/dL | (0.46–0.79) |
| Total bilirubin | 0.9 mg/dL | (0.4–1.2) |
| Aspartate aminotransferase | 29 U/L | (13–30) |
| Alanine aminotransferase | 26 U/L | (7–30) |
| Alkaline phosphatase | 72 U/L | (38–113) |
| Lactate dehydrogenase | 398 U/L | (124–222) |
| γ-glutamyltransferase | 48 U/L | (13–64) |
| Creatine phosphokinase | 59 U/L | (41–153) |
| Choline esterase | 216 U/L | (240–486) |
| Amylase | 52 U/L | (44–132) |
| High-density lipoprotein | 34 mg/dL | (40–80) |
| Sodium | 138 mmol/L | (138–145) |
| Potassium | 3.9 mmol/L | (3.6–4.8) |
| Chlorine | 103 mmol/L | (101–108) |
| C-reactive protein | 0.76 mg/dL | (0.00–0.14) |
| Erythrocyte sedimentation rate | 37 mm/h | (<15 mm/h) |
| Soluble interleukin-2 receptor | 975 IU/mL | (157–474) |
| Ferritin | 363.7 ng/mL | (14–304) |
| Serum complement | 54.2 units | (30–45) |
| Case | Age/Sex | The Times of Cerebral Infarcts | Initial Symptoms | Initial Diagnosis of the Etiology of Cerebral Infarcts | The Initially Selected Secondary Prevention Medication for Cerebral Infarction | Following Symptoms | LDH (U/L) | CRP (mg/dL) | sIL-2R (U/L) | Histological Diagnosis (Biopsy Site) | Time to Diagnosis | Prognosis | Authors |
|---|---|---|---|---|---|---|---|---|---|---|---|---|---|
| 1 | 66/F | 2 times | Rotatory vertigo, hearing loss | Cardiogenic cerebral embolism | Anticoagulants | Left hemiparesis | 782 | 1.14 | 1396 | Skin, Brain | 1 year | N.D. | Mitsutake, et al. [25] |
| 2 | 63/M | 2 times | Floating sensation | Multiple infarction with unknown etiology | Antiplatelets | Left hemiparesis | 276 | 0.08 | 1910 | Skin | 2 months | Survival | Hirose, et al. [26] |
| 3 | 66/F | 2 times | Right hearing loss | Paradoxical cerebral embolism | Warfarin | Fever, skin rash | 528 | 0.6 | 2045 | Brain | 2 years | Survival | Yamaoka, et al. [27] |
| 4 | 71/M | 2 times | Abnormal behavior | Malignant lymphoma | NA | Seizures | 714 | 8.34 | 4150 | Bone marrow, Lung | 3 months | Survival | Tsuda, et al. [28] |
| 5 | 58/M | 3 times | Aphasia | Acute disseminated encephalomyelitis | NA | Diarrhea, adrenal enlargement | 597 | N.D. | 4816 | Brain | 6 months | Death | Aoyama, et al. [29] |
| 6 | 79/M | 3 times | Cognitive decline | Lacunar infarction | Aspirin and ticlopidine | Right hemiparesis | 301 | N.D. | N.D. | Brain (via autopsy) | 4 months | Death | Usuda, et al. [30] |
| 7 | 42/M | 2 times? | Ataxia, motor aphasia, frontal lobe releasing signs | N.D. | Aspirin | Left hemiparesis | 1203 | 6.4 | N.D. | Skin | 2 months | Death | Jitpratoom, et al. [31] |
| 8 | 75/F | 2 times | Slurred speech, tonic seizure, facial droop | Hemorrhagic cerebral infarction | NA | Delirium | N.D. | N.D. | N.D. | Brain (via autopsy) | 1 month | Death | Haninger, et al. [32] |
| 9 | 64/M | 2 times | Numbness, left leg paresis | N.D. | NA | Left-arm paresis, confusion, prosopagnosia, dysnomia, and color blindness | 290 | normal | N.D. | Brain | 3 months | Death | Lyden, et al. [33] |
| 10 | 67/M | 2 times | Progressive speech difficulties, truncal ataxia | Cerebral emboli by endocarditis | NA | Neurological deficit (unknown detail) | 728 | 3.4 | N.D. | Adrenal biopsy | N.D. | Survival | Boslooper, et al. [15] |
| 11 | 70/F | 3 times | Aphasia, right hemianopsia, acalculia, cognitive decline | Ischemic stroke with unknown etiology | Aspirin | Dressing apraxia, body agnosia | N.D. | N.D. | N.D. | Brain | 3 months | Death | Hung, et al. [34] |
| 12 | 65/F | 3 times | Disturbed consciousness, left hemiparesis | N.D. | NA | Right hemiparesis, dysarthria, sensory aphasia, right hemianopia | N.D. | N.D. | N.D. | Brain | 5 weeks? | Stuporous | Hung, et al. [34] |
| 13 | 68/M | 2 times | Cognitive decline | Aortogenic embolic stroke | Aspirin | Left-half spatial neglect, left hemiplegia | 2064 | 5.7 | 1462 | Brain (via autopsy) | 3 months | Death | Ohya, et al. [35] |
| 14 | 43/F | 2 times | Generalized convulsion | Vasculitis | NA | Aphasia | N.D. | N.D. | N.D. | Brain (via autopsy) | 9 months | Death | Kenéz, et al. [36] |
| 15 | 63/F | 4–5 times | Numbness in the right upper limb | Lacunar infarction | Aspirin | Confusion, paraplesia | 527 | N.D. | N.D. | Skin | 4–5 months? | Survival | Yunce, et al. [37] |
| 16 | 47/F | 2 times | Rapidly progressive dementia | Inflammatory demyelinating diseases | NA | Left-limb weakness and numbness | 338 | N.D. | N.D. | Brain | 6 months | Death | Wu, et al. [38] |
| 17 | 75/F | 2–3 times | Dysarthria and dysphagia | N.D. | NA | Sensory aphagia, disturbed consciousness | 364 | N.D. | 1540 | Brain | 4 months | Death | Imamura, et al. [39] |
| 18 | 67/M | 2 times | Seizure | N.D. | NA | Dementia | 277 | 0.8 | N.D. | Kidney, Lung (via autopsy) | 9 months | Death | Sakamoto et al. [40] |
| 19 | 56/M | 2 times | Cochlear symptoms, right facial paresthesia | N.D. | Aspirin | N.D. | 603 | N.D. | N.D. | Kidney | 1 month | Survival | Popiolek, et al. [41] |
| 20 | 58/M | 2 times | Fatigue, night sweat | N.D. | NA | Gait disturbance, recurrent cramps, dysesthesia in both legs | 5843 | 4.8 | N.D. | Bone marrow, muscle | 8 months | Death | Bergmann, et al. [42] |
| Our case | 79/M | 5 times | Gait disturbance | Lacunar infarction | Clopidogrel | Cognitive decline, double vision, right hemiparesis, and dysesthesia | 398 | 0.75 | 975 | Skin | 1 year | Survival | This case |
Disclaimer/Publisher’s Note: The statements, opinions and data contained in all publications are solely those of the individual author(s) and contributor(s) and not of MDPI and/or the editor(s). MDPI and/or the editor(s) disclaim responsibility for any injury to people or property resulting from any ideas, methods, instructions or products referred to in the content. |
© 2025 by the authors. Licensee MDPI, Basel, Switzerland. This article is an open access article distributed under the terms and conditions of the Creative Commons Attribution (CC BY) license (https://creativecommons.org/licenses/by/4.0/).
Share and Cite
Takaku, N.; Hayashi, K.; Sato, M.; Asano, R.; Hayashi, K.; Miura, T.; Shirafuji, N.; Hamano, T.; Kobayashi, Y. Intravascular Large B-Cell Lymphoma Diagnosed After Recurrent Stroke: Case Report and Literature Review. Neurol. Int. 2025, 17, 68. https://doi.org/10.3390/neurolint17050068
Takaku N, Hayashi K, Sato M, Asano R, Hayashi K, Miura T, Shirafuji N, Hamano T, Kobayashi Y. Intravascular Large B-Cell Lymphoma Diagnosed After Recurrent Stroke: Case Report and Literature Review. Neurology International. 2025; 17(5):68. https://doi.org/10.3390/neurolint17050068
Chicago/Turabian StyleTakaku, Naoko, Koji Hayashi, Mamiko Sato, Rei Asano, Kouji Hayashi, Toyoaki Miura, Norimichi Shirafuji, Tadanori Hamano, and Yasutaka Kobayashi. 2025. "Intravascular Large B-Cell Lymphoma Diagnosed After Recurrent Stroke: Case Report and Literature Review" Neurology International 17, no. 5: 68. https://doi.org/10.3390/neurolint17050068
APA StyleTakaku, N., Hayashi, K., Sato, M., Asano, R., Hayashi, K., Miura, T., Shirafuji, N., Hamano, T., & Kobayashi, Y. (2025). Intravascular Large B-Cell Lymphoma Diagnosed After Recurrent Stroke: Case Report and Literature Review. Neurology International, 17(5), 68. https://doi.org/10.3390/neurolint17050068

