Abstract
Background: Laminopathies are a heterogenous group of heritable diseases caused by variants in the Lamin A/C gene (LMNA). They manifest as cardiac and muscular myopathies, lipodystrophies, neuropathies, and progeria. Cardiac manifestations include dilated cardiomyopathy and arrhythmias. Case presentation: A Finnish woman in her 40s who was found to carry two heterozygous likely pathogenic (LP) variants in LMNA, c.1003C>T p.Arg335Trp and c.1303C>T p.Arg435Cys. She was diagnosed with dilated cardiomyopathy and received cardiac resynchronization therapy with a defibrillator. Conclusions: Double heterozygous LMNA variants are exceedingly rare. Even though the patient presented with two LP variants, the age of onset was typical, and the phenotype was not markedly more severe than in those with only one LP variant.
1. Introduction
Lamin A/C gene (LMNA), located in the human chromosome 1q22, encodes lamin A and lamin C proteins through alternative splicing [1]. Lamin A and C are structural proteins found in the inner nuclear lamina. They provide structural support to the nucleus and help maintain nuclear stability, regulate cell differentiation, and participate in replication of DNA as well as in repair of DNA damage [2].
Genetic variants in LMNA are associated with a heterogeneous group of heritable diseases, referred to as laminopathies. Laminopathies include cardiac and muscular myopathies, lipodystrophies, neuropathies, and premature aging syndromes (progeria). [3]. In this case report, the focus is on LMNA-associated dilated cardiomyopathy (DCM) (OMIM 115200). The most frequently identified LP/P variants associated with DCM include TTN, DSP, LMNA, MYH7, TNNT2, FLNC, RBM20, BAG3, NRAP, DSG2, SCN5A, DES, DMD, MT-TL1, and PKP2, with prevalence rates ranging from 45.3–0.9% of cases [4]. Typically, familial DCM is inherited in an autosomal dominant pattern [5]. DCM presents with systolic dysfunction as well as dilatation of left or both ventricles [5].
LMNA variants are a common cause of familial DCM and account for 6.8% of all cases [6]. Up to 165 different LMNA variants have been found to cause DCM [7]. DCM caused by pathogenic variants in LMNA is progressive and often leads to heart failure and sometimes results in a need of heart transplantation around the ages of 40 to 50 [7]. In Finland, 9% of all heart transplantations are due to LMNA-associated DCM [8].
In addition to heart failure, common clinical findings include early-onset atrioventricular (AV) blocks, atrial fibrillation, ventricular tachycardia, bradycardia, and increased concentration of high sensitivity Troponin T or I. Due to the progressive course of the cardiomyopathy and high risk of life-threatening arrhythmias, most patients eventually require a pacemaker with a defibrillator [7].
In 2023, the European Society of Cardiology (ESC) presented a new phenotype, non-dilated left ventricular cardiomyopathy (NDLVC), which can also be caused by LMNA [9]. It is characterized by non-ischemic left ventricular (LV) scarring or fatty replacement, irrespective of global or regional wall motion abnormalities, or by isolated LV hypokinesia in absence of scarring [9]. It now includes a group of patients previously diagnosed as DCM without dilated LV. The genes most associated with NDLVC overlap with DCM disease genes [9].
2. Detailed Case Description
A Finnish woman in her 40s was found to have two likely pathogenic (LP) allelic variants in LMNA. Typically, only one LP or pathogenic (P) variant has been enough to cause DCM [10,11]. We present a rare case with two heterozygous LP variants in LMNA, the missense variants: LMNA(NM_170707.4):c.1003C>T (p.Arg335Trp) and LMNA (NM_1707.4):c.1303C>T (p.Arg453Cys).
The patient was a physically active woman with a BMI of 20.4 kg/m2 and no other comorbidities besides well-controlled hypothyroidism. The patient was referred to hospital emergency after suddenly feeling nauseous while exercising. She was found to have a wide-complex tachycardia up to 245 beats per minute (BPM), compatible with sustained ventricular tachycardia. A cardioversion was conducted at the scene and the rhythm converted into a slow atrial fibrillation with a prolonged QT-interval. In the cardiac care unit (CCU), monitoring showed episodes of complete AV-block and nodal rhythm. A second cardioversion was done eight days later, and sinus rhythm was obtained. ECG in sinus rhythm demonstrated normal PR-time and a narrow QRS complex.
In echocardiography, left ventricular end-diastolic diameter (LVEDD) was 47 mm, left ventricular wall thickness within normal limits. Left ventricular ejection fraction (LVEF) was about 50%. Right ventricle and atrium were mildly enlarged. There was moderate tricuspid regurgitation, tricuspid gradient was 18 mmHg, and tricuspid annular plane systolic excursion (TAPSE) 20 mm.
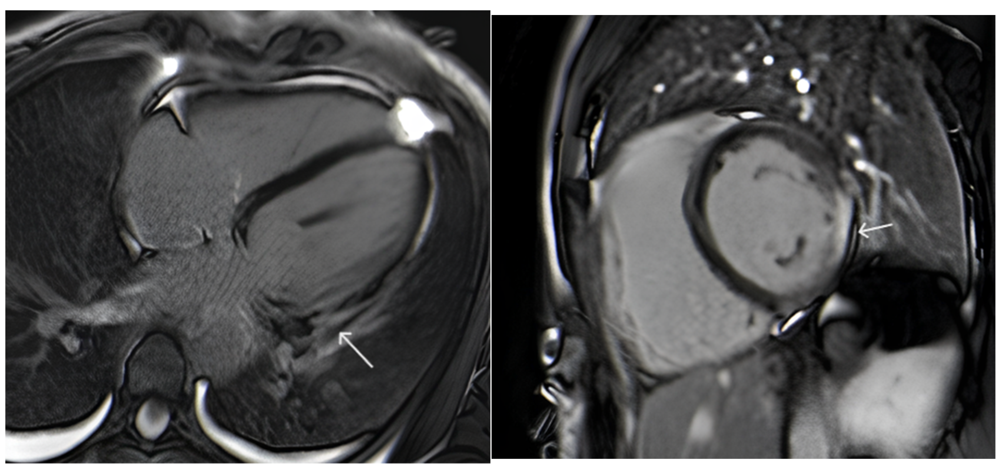
Due to the undetermined cause of the VT, the patient underwent thorough cardiac assessment. A computed tomography (CT) angiogram was performed to exclude significant coronary artery disease, and the coronaries showed neither atherosclerotic plaques nor narrowing. Cardiac magnetic resonance (CMR) showed a slightly enlarged left ventricle with mildly reduced ejection fraction (Figure 1). The LV wall thickness was normal. In cine images, there was hypokinesia of the basal lateral wall. Intensive transmural late gadolinium enhancement (LGE) was present in the lateral wall (Figure 2). T2 mapping showed myocardial edema predominantly in the lateral wall (Figure 3). T1 mapping revealed diffuse myocardial fibrosis in the LV myocardium (Figure 4). In addition, 18F-fluorodeoxyglucose-positron emission tomography (FDG-PET) scan excluded inflammatory myocardial diseases such as sarcoidosis.
Figure 1.
Four-chamber and short axis cine images. LV was slightly enlarged, and systolic function mildly reduced. LV end diastolic volume (EDV) 171 mL (105 mL/m2), ejection fraction (EF) 50%.
Figure 2.
Short axis and four chamber LGE images show transmural enhancement in the lateral wall (arrows).
Figure 3.
AHA 17 segment bull’s-eye of the L. T2-mapping shows elevated T2 relaxation times (>52 ms) predominantly in the lateral segments referring to myocardial edema.
Figure 4.
T1 mapping bull’s-eye figure with high T1 relaxation times (>1000 ms) in the LV indicating diffuse fibrosis in the myocardium.
Endomyocardial fibrosis was suspected, and RV endomyocardial biopsy was taken, but due to scarce sample size, results were inconclusive.
Laboratory results during the 3 weeks of hospitalization: Hb 105–96–121 g/L (reference range 117–155 g/L), Pro-BNP 261–776–702–411 ng/L (<155 ng/L), TnI 78–144–24–11 ng/L (<45 ng/L), ALAT 99–58 U/I (<35 U/I). Transferrin saturation of 5% (17–52%) and ferritin 6 µg/L (15–125 µg/L) indicated iron deficiency anemia.
During the hospitalization, she was suspected to suffer from viral myocarditis due to the intense LGE seen in the CMR. As she no longer suffered from ventricular arrhythmias, she was discharged after three weeks with a plan to follow up in the outpatient clinic.
Before the outpatient clinic appointment, it was noted that her ECG showed low voltage QRS complexes and P-waves that were almost absent. (Figure 5) It was also noted that the ECG had been similar already seven years earlier. As the clinical diagnosis of viral myocarditis had remained unsure and the ECG findings sometimes associate with genetic cardiomyopathies, the patient underwent genetic testing. Genetic testing and variant interpretation were performed by Fulgent laboratory, using commercially available DCM next-generation sequencing (NGS) panels with 50 genes listed in Table 1 as well as deletion/duplication analysis. Two LP heterozygous missense variants were identified in LMNA: c.1003C>T p.Arg335Trp and c.1303C>T p.Arg435Cys. A binary alignment map (BAM) method determined that the reported variants were located 392 bp apart. Within the BAM file, a few sequencing reads contained both variants, suggesting that these variants are in cis configuration. No additional LP or P variants were identified within the coding region or its immediate vicinity (+/− 20 bp) of the genes listed in Table 1. Therefore, these 2 LMNA variants were considered to cause the patient’s condition, given their presence alongside acute onset VT and clinical findings consistent with cardiomyopathy.
Figure 5.
ECG shows sinus rhythm with very small P-waves (V1,V2) and low voltage.
Table 1.
Genes included in the Fulgent NGS panel.
Sanger sequencing of the detected LMNA variants was used to analyze the genotype on available family members. These variants were not identified in the patient’s two children or her mother, indicating that the patient had inherited both variants from her father or one or both variants were de novo (Figure 6). We had no contact with the patient’s paternal family, so further investigations concerning inheritance pattern were not possible.
Figure 6.
Pedigree of the family affected by LMNA. Black-filled individuals represent patients with DCM. Genotype is indicated as following: +/+ for LMNA carriers, −/− for wildtype individuals.
In our patient, the laminopathy primarily presented with atrioventricular conduction abnormalities, bradycardia, atrial fibrillation/flutter, and VT. The patient later underwent right atrium isthmus ablation, but the atrial flutter persisted as the left atrial flutter had appeared. The clinical entity was interpreted as beginning DCM, as the LVEDD was 50 mm (30 mm/m2 of BSA) at the largest and LVEF was 45% at the lowest. However, at the beginning of the symptoms, all the clinical findings would have been compatible with NDLVC, as there was non-ischemic LV scarring with mild LV dilatation. Eventually, the patient underwent CRT-D implantation as secondary prophylaxis due to previous sustained VT. The patient had no symptoms or findings suggesting clinically relevant skeletal muscle myopathy or lipodystrophy.
Currently, patient has occasional mild, transient non-pressing pain behind the sternum. These episodes are more frequent in the evening, and the patient attributes them to stress. After hospitalization, she has returned to her everyday life and continues low-impact exercise. Follow-up continues at the cardiology outpatient clinic.
3. Discussion
Of all DCM cases, 30–50% are inherited with disease-causing variants observed in over 60 genes [12,13]. LMNA accounts for 6.8% of inherited DCM [6]. DCM is typically considered a monogenic disease, although approximately 2% of those who have a genetic predisposition to DCM have two heterozygous LP/P variants [12]. LMNA variants have been reported in combination with pathogenic titin (TTN) variants [14]. Carriers of multiple DCM-related pathogenic variants may suffer from earlier onset of the symptoms and more severe course of the disease [14,15]. To our knowledge, there are only a few reports of patients with compound heterozygous LMNA variants, and none of the patients presented with DCM [16,17,18,19].
As the patient’s father could not be studied, we could not define whether the two likely pathogenic variants are in the same homologous chromosome (cis configuration) or whether the variant alleles are in separate chromosomes (trans configuration). If both variants were in the same chromosome, the other chromosome would produce normal proteins, and the clinical presentation could resemble phenotype of heterozygous LP/P LMNA variant. The phenotype of the index patient, along with the absence of these variants in children, could suggest cis configuration. Additionally, the BAM method used suggested possible cis configuration; however, due to the limited number of supporting reads, parental testing would have been required to confirm this definitively. As this is a retrospective case report, further sequencing was not possible.
The two missense variants observed in the index patient (c.1003C>T p.Arg335Trp and c.1303C>T p.Arg435Cys) have both been reported to cause a range of phenotypes consistent with laminopathies. Multiple cases with similar DCM phenotype in heterozygous state have been reported in different databases as well as other conditions such as Emery–Dreifuss muscular dystrophy and Heart–Hand syndrome [20,21]. LMNA c.1003C>T has been reported to cause phenotype similar to the index, DCM with atrial fibrillation, and non-sustained VT [21,22]. One case with the same variant but with more severe phenotype has been reported to cause DCM leading to relatively early heart transplantation at the age of 39 [23]. Heterozygous LMNA c.1303C>T variant has been reported to cause a range of phenotypes from mild to severe isolated DCM with low ejection fraction but with no arrhythmias [24].
Characteristic ECG findings for LMNA DCM are different arrhythmias such as supraventricular and ventricular tachycardia, bradyarrhythmia, as well as conduction system disorders and flat P waves [25]. First signs and symptoms manifest typically in early to mid-adulthood [26]. Our patient presented with first signs of conduction system disorder in ECG already seven years before the admission to the hospital. LMNA DCM may also present with left ventricular thrombi and severe heart failure at an early age, which the patient had no signs of [27].
As these patients are in high risk of sudden cardiac death, LMNA-risk VTA calculator (2019) can be used to evaluate the five-year risk of life-threatening VT [28]. Factors included in the model are sex, degree of AV-block, type of the LMNA variant, history of non-sustained VT, and LVEF [28]. Based on the current ESC guidelines, primary preventive ICD implantation should be considered in patients with a five-year estimated risk of ≥10% [29].
4. Conclusions
We report a rare case of cardiomyopathy presenting with major electric disturbances and features of borderline DCM and NDLVC caused by two heterozygous LP LMNA variants. Even though the patient presented with two LP variants, the age of onset was typical, and the phenotype was not markedly more severe than in those with only one LP/P variant.
Author Contributions
A.S.: Data acquisition, analysis, and interpretation; writing—original draft and revision, final approval. K.H.: Data acquisition, analysis, and interpretation; writing—original draft and revision, final approval. T.H.: Conception and design; data analysis and interpretation; writing—revision and final approval; overall responsibility; resources. M.H.: Conception and design; data analysis and interpretation; writing—revision and final approval; overall responsibility; resources. All authors have read and agreed to the published version of the manuscript.
Funding
Y2020SK004: Y242SK2403, Y1016SK104, TYH2023213, TYH2022209, Finnish Foundation for Cardiovascular Research and Aarne Koskelo Foundation (TH).
Institutional Review Board Statement
Reviewed and approved by the Ethical Review Board of the Helsinki and Uusimaa Hospital District, Helsinki, Finland. The studies were reviewed and approved by Ethical Review Committee of The Department of Medicine, University of Helsinki. Research permissions: HUS/8/2022 10 March 2022 and HUS/256/2023 13 December 2023. Written informed consent to participate in this study was provided by the participant.
Informed Consent Statement
The patient in this manuscript has given written informed consent to the publication of the case details.
Data Availability Statement
The data that support the findings of this study are available from the corresponding author upon reasonable request.
Acknowledgments
We express our gratitude to the patient for participating in this study. We also thank Sini Weckström for her support.
Conflicts of Interest
The authors declare no conflicts of interest.
References
- Lazarte, J.; Hegele, R.A. Lamin A/C missense variants: From discovery to functional validation. NPJ Genom. Med. 2021, 6, 102. [Google Scholar] [CrossRef] [PubMed]
- Dubik, N.; Mai, S. Lamin A/C: Function in normal and tumor cells. Cancers 2020, 12, 3688. [Google Scholar] [CrossRef] [PubMed]
- Mewborn, S.K.; Puckelwartz, M.J.; Abuisneineh, F.; Fahrenbach, J.P.; Zhang, Y.; MacLeod, H.; Dellefave, L.; Pytel, P.; Selig, S.; Labno, C.M.; et al. Altered chromosomal positioning, Compaction, and gene expression with a lamin A/C gene mutation. PLoS ONE 2010, 5, e14342. [Google Scholar] [CrossRef] [PubMed]
- Heliö, K.; Cicerchia, M.; Hathaway, J.; Tommiska, J.; Huusko, J.; Saarinen, I.; Koskinen, L.; Muona, M.; Kytölä, V.; Djupsjöbacka, J.; et al. Diagnostic yield of genetic testing in a multinational heterogeneous cohort of 2088 DCM patients. Front. Cardiovasc. Med. 2023, 10, 1254272. [Google Scholar] [CrossRef]
- Fatkin, D.; MacRae, C.; Sasaki, T.; Wolff, M.R.; Porcu, M.; Frenneaux, M.; Atherton, J.; Vidaillet, H.J., Jr.; Spudich, S.; De Girolami, U.; et al. Missense Mutations in the Rod Domain of the Lamin A/C Gene as Causes of Dilated Cardiomyopathy and Conduction-System Disease. N. Engl. J. Med. 1999, 341, 1715–1724. [Google Scholar] [CrossRef]
- Akinrinade, O.; Ollila, L.; Vattulainen, S.; Tallila, J.; Gentile, M.; Salmenperä, P.; Koillinen, H.; Kaartinen, M.; Nieminen, M.S.; Myllykangas, S.; et al. Genetics and genotype-phenotype correlations in Finnish patients with dilated cardiomyopathy. Eur. Heart J. 2015, 36, 2327–2337. [Google Scholar] [CrossRef]
- Ollila, L.H.; Nikus, K.; Parikka, H.; Weckström, S.; Tiina, H. Timing of pacemaker and ICD implantation in LMNA mutation carriers. Open Heart 2021, 8, e001622. [Google Scholar] [CrossRef]
- Karkkainen, S.; Reissell, E.; Heliö, T.; Kaartinen, M.; Tuomainen, P.; Toivonen, L.; Kuusisto, J.; Kupari, M.; Nieminen, M.S.; Laakso, M.; et al. Novel mutations in the lamin A/C gene in heart transplant recipients with end stage dilated cardiomyopathy. Heart 2006, 92, 524–526. [Google Scholar] [CrossRef]
- Arbelo, E.; Protonotarios, A.; Gimeno, J.R.; Arbustini, E.; Barriales-Villa, R.; Basso, C.; Bezzina, C.R.; Biagini, E.; Blom, N.A.; de Boer, R.A.; et al. 2023 ESC Guidelines for the management of cardiomyopathies: Developed by the task force on the management of cardiomyopathies of the European Society of Cardiology (ESC). Eur. Heart J. 2023, 44, 3503–3626. [Google Scholar] [CrossRef]
- Ollila, L.; Kuusisto, J.; Peuhkurinen, K.; Kärkkäinen, S.; Tuomainen, P.; Kaartinen, M.; Raheem, O.; Udd, B.; Magga, J.; Rapola, J.; et al. Lamin A/C mutation affecting primarily the right side of the heart. Cardiogenetics 2013, 3, e1. [Google Scholar] [CrossRef]
- Holmström, M.; Kivistö, S.; Heliö, T.; Jurkko, R.; Kaartinen, M.; Antila, M.; Reissell, E.; Kuusisto, J.; Kärkkäinen, S.; Peuhkurinen, K.; et al. Late gadolinium enhanced cardiovascular magnetic resonance of lamin A/C gene mutation related dilated cardiomyopathy. J. Cardiovasc. Magn. Reson. 2011, 13, 30. [Google Scholar] [CrossRef] [PubMed]
- Stroeks, S.L.; Lunde, I.G.; Hellebrekers, D.M.; Claes, G.R.; Wakimoto, H.; Gorham, J.; Krapels, I.P.; Vanhoutte, E.K.; Wijngaard, A.v.D.; Henkens, M.T.; et al. Prevalence and Clinical Consequences of Multiple Pathogenic Variants in Dilated Cardiomyopathy. Circ. Genom. Precis. Med. 2023, 16, e003788. [Google Scholar] [CrossRef] [PubMed]
- Tayal, U.; Prasad, S.; Cook, S.A. Genetics and genomics of dilated cardiomyopathy and systolic heart failure. Genome Med. 2017, 9, 20. [Google Scholar] [CrossRef] [PubMed]
- Roncarati, R.; Anselmi, C.V.; Krawitz, P.; Lattanzi, G.; von Kodolitsch, Y.; Perrot, A.; di Pasquale, E.; Papa, L.; Portararo, P.; Columbaro, M.; et al. Doubly heterozygous LMNA and TTN mutations revealed by exome sequencing in a severe form of dilated cardiomyopathy. Eur. J. Hum. Genet. 2013, 21, 1105–1111. [Google Scholar] [CrossRef]
- Zhao, Y.; Feng, Y.; Zhang, Y.-M.; Ding, X.-X.; Song, Y.-Z.; Zhang, A.-M.; Liu, L.; Zhang, H.; Ding, J.-H.; Xia, X.-S. Targeted Next-Generation Sequencing Reveals Hot Spots and Doubly Heterozygous Mutations in Chinese Patients with Familial Cardiomyopathy. BioMed Res. Int. 2015, 2015, 561819. [Google Scholar] [CrossRef]
- Verstraeten, V.L.; Broers, J.L.; van Steensel, M.A.M.; Zinn-Justin, S.; Ramaekers, F.C.; Steijlen, P.M.; Kamps, M.; Kuijpers, H.J.; Merckx, D.; Smeets, H.J.; et al. Compound heterozygosity for mutations in LMNA causes a progeria syndrome without prelamin A accumulation. Hum. Mol. Genet. 2006, 15, 2509–2522. [Google Scholar] [CrossRef]
- Lombardi, F.; Gullotta, F.; Columbaro, M.; Filareto, A.; D’adamo, M.; Vielle, A.; Guglielmi, V.; Nardone, A.M.; Azzolini, V.; Grosso, E.; et al. Compound heterozygosity for mutations in LMNA in a patient with a myopathic and lipodystrophic mandibuloacral dysplasia type A phenotype. J. Clin. Endocrinol. Metab. 2007, 92, 4467–4471. [Google Scholar] [CrossRef]
- Savage, D.B.; McFarlane, I.; Barroso, I.; Soos, M.A.; Powlson, A.; Thomas, E.L.; Bell, J.D.; Scobie, I.; Belchetz, P.E.; Kelly, W.F.; et al. Familial partial lipodystrophy associated with compound heterozygosity for novel mutations in the LMNA gene. Diabetologia 2004, 47, 753–756. [Google Scholar] [CrossRef]
- Lazarte, J.; Jurgens, S.J.; Choi, S.H.; Khurshid, S.; Morrill, V.N.; Weng, L.-C.; Nauffal, V.; Pirruccello, J.P.; Halford, J.L.; Hegele, R.A.; et al. LMNA Variants and Risk of Adult-Onset Cardiac Disease. J. Am. Coll. Cardiol. 2022, 80, 50–59. [Google Scholar] [CrossRef]
- Henrie, A.; Hemphill, S.E.; Ruiz-Schultz, N.; Cushman, B.; DiStefano, M.T.; Azzariti, D.; Harrison, S.M.; Rehm, H.L.; Eilbeck, K. ClinVar Miner: Demonstrating utility of a Web-based tool for viewing and filtering ClinVar data. Hum. Mutat. 2018, 39, 1051–1060. [Google Scholar] [CrossRef]
- Zhang, Y.; Lin, Y.; Zhang, Y.; Wang, Y.; Li, Z.; Zhu, Y.; Liu, H.; Ju, W.; Cui, C.; Chen, M. Familial atrial myopathy in a large multigenerational heart-hand syndrome pedigree carrying an LMNA missense variant in rod 2B domain (p.R335W). Heart Rhythm 2021, 19, 466–475. [Google Scholar] [CrossRef] [PubMed]
- Zhang, Y.; Zhu, Y.; Lin, Y.; Liu, H.; Chen, H.; Ju, W.; Cui, C.; Chen, M. Establishment of an iPSC line (JSPHi001-A) from a patient with familial dilated cardiomyopathy and atrial fibrillation caused by LMNA missense mutation (c.1003C > T). Stem Cell Res. 2021, 53, 102349. [Google Scholar] [CrossRef] [PubMed]
- Stallmeyer, B.; Koopmann, M.; Schulze-Bahr, E. Identification of novel mutations in LMNA associated with familial forms of dilated cardiomyopathy. Genet. Test. Mol. Biomarkers 2012, 16, 543–549. [Google Scholar] [CrossRef] [PubMed]
- Vytopil, M.; Benedetti, S.; Ricci, E.; Galluzzi, G.; Russo, A.D.; Merlini, L.; Boriani, G.; Gallina, M.; Morandi, L.; Politano, L.; et al. Mutation analysis of the lamin A/C gene (LMNA) among patients with different cardiomuscular phenotypes. J. Med. Genet. 2003, 40, e132. [Google Scholar] [CrossRef]
- Ollila, L.; Nikus, K.; Holmström, M.; Jalanko, M.; Jurkko, R.; Kaartinen, M.; Koskenvuo, J.; Kuusisto, J.; Kärkkäinen, S.; Palojoki, E.; et al. Clinical disease presentation and ECG characteristics of LMNA mutation carriers. Open Heart 2017, 4, e000474. [Google Scholar] [CrossRef]
- Nishiuchi, S.; Makiyama, T.; Aiba, T.; Nakajima, K.; Hirose, S.; Kohjitani, H.; Yamamoto, Y.; Harita, T.; Hayano, M.; Wuriyanghai, Y.; et al. Gene-Based Risk Stratification for Cardiac Disorders in LMNA Mutation Carriers. Circ. Cardiovasc. Genet. 2017, 10, e001603. [Google Scholar] [CrossRef]
- Hershberger, R.E.; Jordan, E. LMNA-Related Dilated Cardiomyopathy. In GeneReviews®; Adam, M.P., Feldman, J., Mirzaa, G.M., Pagon, R.A., Wallace, S.E., Amemiya, A., Eds.; University of Washington: Seattle, WA, USA, 1993. [Google Scholar]
- Wahbi, K.; BEN Yaou, R.; Gandjbakhch, E.; Anselme, F.; Gossios, T.; Lakdawala, N.K.; Stalens, C.; Sacher, F.; Babuty, D.; Trochu, J.-N.; et al. Development and Validation of a New Risk Prediction Score for Life-Threatening Ventricular Tachyarrhythmias in Laminopathies. Circulation 2019, 140, 293–302. [Google Scholar] [CrossRef]
- Zeppenfeld, K.; Tfelt-Hansen, J.; de Riva, M.; Winkel, B.G.; Behr, E.R.; Blom, N.A.; Charron, P.; Corrado, D.; Dagres, N.; de Chillou, C.; et al. 2022 ESC Guidelines for the management of patients with ventricular arrhythmias and the prevention of sudden cardiac death. Eur. Heart J. 2022, 43, 3997–4126. [Google Scholar] [CrossRef]
Disclaimer/Publisher’s Note: The statements, opinions and data contained in all publications are solely those of the individual author(s) and contributor(s) and not of MDPI and/or the editor(s). MDPI and/or the editor(s) disclaim responsibility for any injury to people or property resulting from any ideas, methods, instructions or products referred to in the content. |
© 2025 by the authors. Licensee MDPI, Basel, Switzerland. This article is an open access article distributed under the terms and conditions of the Creative Commons Attribution (CC BY) license (https://creativecommons.org/licenses/by/4.0/).





