Cardiac Phenotype Associated with Two Heterozygous LMNA Variants
Abstract
1. Introduction
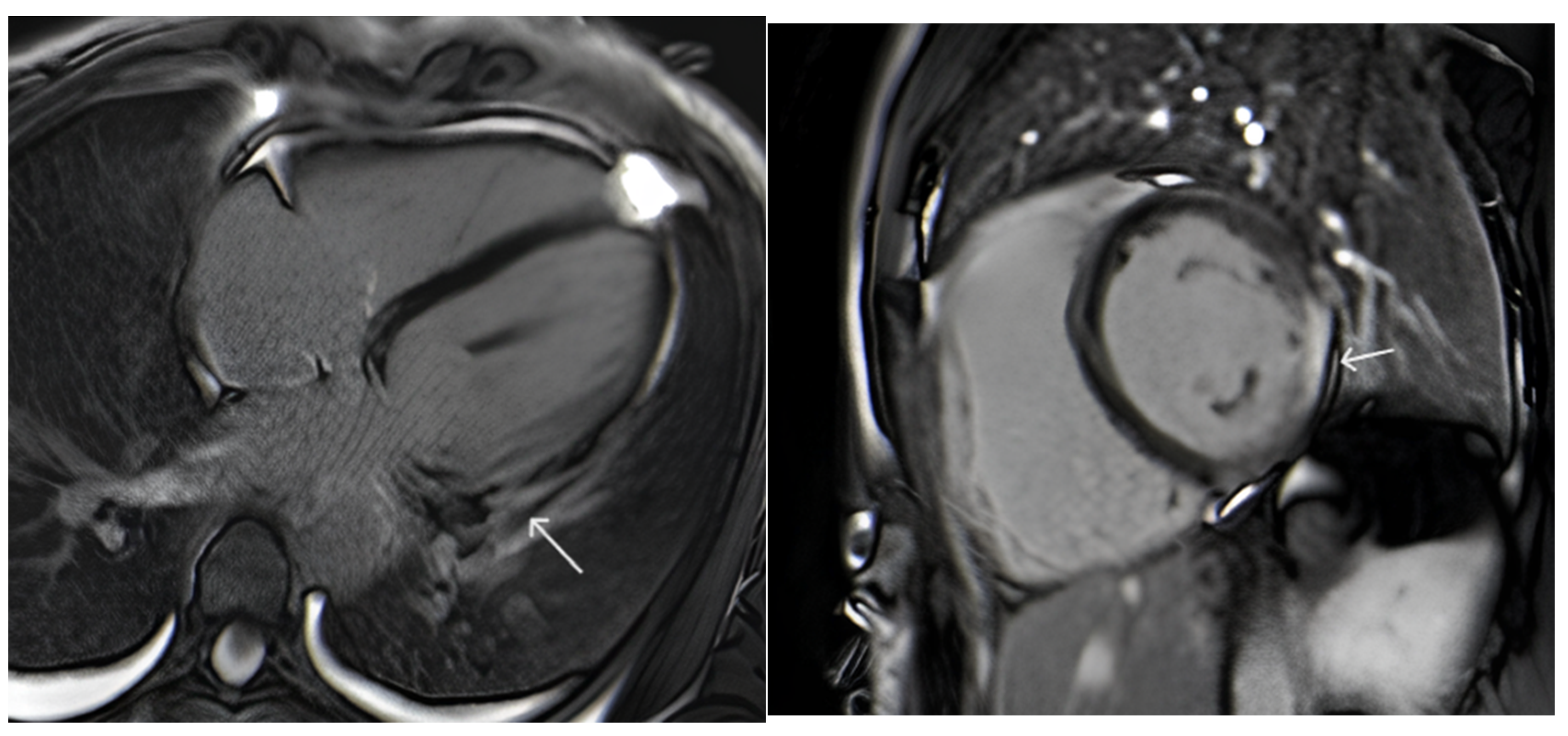
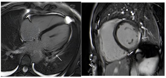
2. Detailed Case Description
3. Discussion
4. Conclusions
Author Contributions
Funding
Institutional Review Board Statement
Informed Consent Statement
Data Availability Statement
Acknowledgments
Conflicts of Interest
References
- Lazarte, J.; Hegele, R.A. Lamin A/C missense variants: From discovery to functional validation. NPJ Genom. Med. 2021, 6, 102. [Google Scholar] [CrossRef] [PubMed]
- Dubik, N.; Mai, S. Lamin A/C: Function in normal and tumor cells. Cancers 2020, 12, 3688. [Google Scholar] [CrossRef] [PubMed]
- Mewborn, S.K.; Puckelwartz, M.J.; Abuisneineh, F.; Fahrenbach, J.P.; Zhang, Y.; MacLeod, H.; Dellefave, L.; Pytel, P.; Selig, S.; Labno, C.M.; et al. Altered chromosomal positioning, Compaction, and gene expression with a lamin A/C gene mutation. PLoS ONE 2010, 5, e14342. [Google Scholar] [CrossRef] [PubMed]
- Heliö, K.; Cicerchia, M.; Hathaway, J.; Tommiska, J.; Huusko, J.; Saarinen, I.; Koskinen, L.; Muona, M.; Kytölä, V.; Djupsjöbacka, J.; et al. Diagnostic yield of genetic testing in a multinational heterogeneous cohort of 2088 DCM patients. Front. Cardiovasc. Med. 2023, 10, 1254272. [Google Scholar] [CrossRef]
- Fatkin, D.; MacRae, C.; Sasaki, T.; Wolff, M.R.; Porcu, M.; Frenneaux, M.; Atherton, J.; Vidaillet, H.J., Jr.; Spudich, S.; De Girolami, U.; et al. Missense Mutations in the Rod Domain of the Lamin A/C Gene as Causes of Dilated Cardiomyopathy and Conduction-System Disease. N. Engl. J. Med. 1999, 341, 1715–1724. [Google Scholar] [CrossRef]
- Akinrinade, O.; Ollila, L.; Vattulainen, S.; Tallila, J.; Gentile, M.; Salmenperä, P.; Koillinen, H.; Kaartinen, M.; Nieminen, M.S.; Myllykangas, S.; et al. Genetics and genotype-phenotype correlations in Finnish patients with dilated cardiomyopathy. Eur. Heart J. 2015, 36, 2327–2337. [Google Scholar] [CrossRef]
- Ollila, L.H.; Nikus, K.; Parikka, H.; Weckström, S.; Tiina, H. Timing of pacemaker and ICD implantation in LMNA mutation carriers. Open Heart 2021, 8, e001622. [Google Scholar] [CrossRef]
- Karkkainen, S.; Reissell, E.; Heliö, T.; Kaartinen, M.; Tuomainen, P.; Toivonen, L.; Kuusisto, J.; Kupari, M.; Nieminen, M.S.; Laakso, M.; et al. Novel mutations in the lamin A/C gene in heart transplant recipients with end stage dilated cardiomyopathy. Heart 2006, 92, 524–526. [Google Scholar] [CrossRef]
- Arbelo, E.; Protonotarios, A.; Gimeno, J.R.; Arbustini, E.; Barriales-Villa, R.; Basso, C.; Bezzina, C.R.; Biagini, E.; Blom, N.A.; de Boer, R.A.; et al. 2023 ESC Guidelines for the management of cardiomyopathies: Developed by the task force on the management of cardiomyopathies of the European Society of Cardiology (ESC). Eur. Heart J. 2023, 44, 3503–3626. [Google Scholar] [CrossRef]
- Ollila, L.; Kuusisto, J.; Peuhkurinen, K.; Kärkkäinen, S.; Tuomainen, P.; Kaartinen, M.; Raheem, O.; Udd, B.; Magga, J.; Rapola, J.; et al. Lamin A/C mutation affecting primarily the right side of the heart. Cardiogenetics 2013, 3, e1. [Google Scholar] [CrossRef]
- Holmström, M.; Kivistö, S.; Heliö, T.; Jurkko, R.; Kaartinen, M.; Antila, M.; Reissell, E.; Kuusisto, J.; Kärkkäinen, S.; Peuhkurinen, K.; et al. Late gadolinium enhanced cardiovascular magnetic resonance of lamin A/C gene mutation related dilated cardiomyopathy. J. Cardiovasc. Magn. Reson. 2011, 13, 30. [Google Scholar] [CrossRef] [PubMed]
- Stroeks, S.L.; Lunde, I.G.; Hellebrekers, D.M.; Claes, G.R.; Wakimoto, H.; Gorham, J.; Krapels, I.P.; Vanhoutte, E.K.; Wijngaard, A.v.D.; Henkens, M.T.; et al. Prevalence and Clinical Consequences of Multiple Pathogenic Variants in Dilated Cardiomyopathy. Circ. Genom. Precis. Med. 2023, 16, e003788. [Google Scholar] [CrossRef] [PubMed]
- Tayal, U.; Prasad, S.; Cook, S.A. Genetics and genomics of dilated cardiomyopathy and systolic heart failure. Genome Med. 2017, 9, 20. [Google Scholar] [CrossRef] [PubMed]
- Roncarati, R.; Anselmi, C.V.; Krawitz, P.; Lattanzi, G.; von Kodolitsch, Y.; Perrot, A.; di Pasquale, E.; Papa, L.; Portararo, P.; Columbaro, M.; et al. Doubly heterozygous LMNA and TTN mutations revealed by exome sequencing in a severe form of dilated cardiomyopathy. Eur. J. Hum. Genet. 2013, 21, 1105–1111. [Google Scholar] [CrossRef]
- Zhao, Y.; Feng, Y.; Zhang, Y.-M.; Ding, X.-X.; Song, Y.-Z.; Zhang, A.-M.; Liu, L.; Zhang, H.; Ding, J.-H.; Xia, X.-S. Targeted Next-Generation Sequencing Reveals Hot Spots and Doubly Heterozygous Mutations in Chinese Patients with Familial Cardiomyopathy. BioMed Res. Int. 2015, 2015, 561819. [Google Scholar] [CrossRef]
- Verstraeten, V.L.; Broers, J.L.; van Steensel, M.A.M.; Zinn-Justin, S.; Ramaekers, F.C.; Steijlen, P.M.; Kamps, M.; Kuijpers, H.J.; Merckx, D.; Smeets, H.J.; et al. Compound heterozygosity for mutations in LMNA causes a progeria syndrome without prelamin A accumulation. Hum. Mol. Genet. 2006, 15, 2509–2522. [Google Scholar] [CrossRef]
- Lombardi, F.; Gullotta, F.; Columbaro, M.; Filareto, A.; D’adamo, M.; Vielle, A.; Guglielmi, V.; Nardone, A.M.; Azzolini, V.; Grosso, E.; et al. Compound heterozygosity for mutations in LMNA in a patient with a myopathic and lipodystrophic mandibuloacral dysplasia type A phenotype. J. Clin. Endocrinol. Metab. 2007, 92, 4467–4471. [Google Scholar] [CrossRef]
- Savage, D.B.; McFarlane, I.; Barroso, I.; Soos, M.A.; Powlson, A.; Thomas, E.L.; Bell, J.D.; Scobie, I.; Belchetz, P.E.; Kelly, W.F.; et al. Familial partial lipodystrophy associated with compound heterozygosity for novel mutations in the LMNA gene. Diabetologia 2004, 47, 753–756. [Google Scholar] [CrossRef]
- Lazarte, J.; Jurgens, S.J.; Choi, S.H.; Khurshid, S.; Morrill, V.N.; Weng, L.-C.; Nauffal, V.; Pirruccello, J.P.; Halford, J.L.; Hegele, R.A.; et al. LMNA Variants and Risk of Adult-Onset Cardiac Disease. J. Am. Coll. Cardiol. 2022, 80, 50–59. [Google Scholar] [CrossRef]
- Henrie, A.; Hemphill, S.E.; Ruiz-Schultz, N.; Cushman, B.; DiStefano, M.T.; Azzariti, D.; Harrison, S.M.; Rehm, H.L.; Eilbeck, K. ClinVar Miner: Demonstrating utility of a Web-based tool for viewing and filtering ClinVar data. Hum. Mutat. 2018, 39, 1051–1060. [Google Scholar] [CrossRef]
- Zhang, Y.; Lin, Y.; Zhang, Y.; Wang, Y.; Li, Z.; Zhu, Y.; Liu, H.; Ju, W.; Cui, C.; Chen, M. Familial atrial myopathy in a large multigenerational heart-hand syndrome pedigree carrying an LMNA missense variant in rod 2B domain (p.R335W). Heart Rhythm 2021, 19, 466–475. [Google Scholar] [CrossRef] [PubMed]
- Zhang, Y.; Zhu, Y.; Lin, Y.; Liu, H.; Chen, H.; Ju, W.; Cui, C.; Chen, M. Establishment of an iPSC line (JSPHi001-A) from a patient with familial dilated cardiomyopathy and atrial fibrillation caused by LMNA missense mutation (c.1003C > T). Stem Cell Res. 2021, 53, 102349. [Google Scholar] [CrossRef] [PubMed]
- Stallmeyer, B.; Koopmann, M.; Schulze-Bahr, E. Identification of novel mutations in LMNA associated with familial forms of dilated cardiomyopathy. Genet. Test. Mol. Biomarkers 2012, 16, 543–549. [Google Scholar] [CrossRef] [PubMed]
- Vytopil, M.; Benedetti, S.; Ricci, E.; Galluzzi, G.; Russo, A.D.; Merlini, L.; Boriani, G.; Gallina, M.; Morandi, L.; Politano, L.; et al. Mutation analysis of the lamin A/C gene (LMNA) among patients with different cardiomuscular phenotypes. J. Med. Genet. 2003, 40, e132. [Google Scholar] [CrossRef]
- Ollila, L.; Nikus, K.; Holmström, M.; Jalanko, M.; Jurkko, R.; Kaartinen, M.; Koskenvuo, J.; Kuusisto, J.; Kärkkäinen, S.; Palojoki, E.; et al. Clinical disease presentation and ECG characteristics of LMNA mutation carriers. Open Heart 2017, 4, e000474. [Google Scholar] [CrossRef]
- Nishiuchi, S.; Makiyama, T.; Aiba, T.; Nakajima, K.; Hirose, S.; Kohjitani, H.; Yamamoto, Y.; Harita, T.; Hayano, M.; Wuriyanghai, Y.; et al. Gene-Based Risk Stratification for Cardiac Disorders in LMNA Mutation Carriers. Circ. Cardiovasc. Genet. 2017, 10, e001603. [Google Scholar] [CrossRef]
- Hershberger, R.E.; Jordan, E. LMNA-Related Dilated Cardiomyopathy. In GeneReviews®; Adam, M.P., Feldman, J., Mirzaa, G.M., Pagon, R.A., Wallace, S.E., Amemiya, A., Eds.; University of Washington: Seattle, WA, USA, 1993. [Google Scholar]
- Wahbi, K.; BEN Yaou, R.; Gandjbakhch, E.; Anselme, F.; Gossios, T.; Lakdawala, N.K.; Stalens, C.; Sacher, F.; Babuty, D.; Trochu, J.-N.; et al. Development and Validation of a New Risk Prediction Score for Life-Threatening Ventricular Tachyarrhythmias in Laminopathies. Circulation 2019, 140, 293–302. [Google Scholar] [CrossRef]
- Zeppenfeld, K.; Tfelt-Hansen, J.; de Riva, M.; Winkel, B.G.; Behr, E.R.; Blom, N.A.; Charron, P.; Corrado, D.; Dagres, N.; de Chillou, C.; et al. 2022 ESC Guidelines for the management of patients with ventricular arrhythmias and the prevention of sudden cardiac death. Eur. Heart J. 2022, 43, 3997–4126. [Google Scholar] [CrossRef]






| ABCC9 | ACTC1 | ACTN2 | ANKRD1 | BAG3 | CDH2 | CRYAB |
| CSRP3 | DES | DMD | DOLK | DSC2 | DSG2 | DSP |
| EMD | EYA4 | FKTN | FLNC | GLA | HCN4 | JPH2 |
| JUP | LAMP2 | LDB3 | LMNA | MYBPC3 | MYH6 | MYH7 |
| MYPN | NEXN | NKX2-5 | PKP2 | PLEKHM2 | PLN | RAF1 |
| RBM20 | RYR2 | SCN5A | SGCD | TAZ | TCAP | TMEM43 |
| TNNC1 | TNNI3K | TNNI3K | TNNT2 | TPM1 | TTN | TXNRD2 |
| VCL |
Disclaimer/Publisher’s Note: The statements, opinions and data contained in all publications are solely those of the individual author(s) and contributor(s) and not of MDPI and/or the editor(s). MDPI and/or the editor(s) disclaim responsibility for any injury to people or property resulting from any ideas, methods, instructions or products referred to in the content. |
© 2025 by the authors. Licensee MDPI, Basel, Switzerland. This article is an open access article distributed under the terms and conditions of the Creative Commons Attribution (CC BY) license (https://creativecommons.org/licenses/by/4.0/).
Share and Cite
Siikjärvi, A.; Heliö, K.; Heliö, T.; Holmström, M. Cardiac Phenotype Associated with Two Heterozygous LMNA Variants. Cardiogenetics 2025, 15, 13. https://doi.org/10.3390/cardiogenetics15020013
Siikjärvi A, Heliö K, Heliö T, Holmström M. Cardiac Phenotype Associated with Two Heterozygous LMNA Variants. Cardiogenetics. 2025; 15(2):13. https://doi.org/10.3390/cardiogenetics15020013
Chicago/Turabian StyleSiikjärvi, Aura, Krista Heliö, Tiina Heliö, and Miia Holmström. 2025. "Cardiac Phenotype Associated with Two Heterozygous LMNA Variants" Cardiogenetics 15, no. 2: 13. https://doi.org/10.3390/cardiogenetics15020013
APA StyleSiikjärvi, A., Heliö, K., Heliö, T., & Holmström, M. (2025). Cardiac Phenotype Associated with Two Heterozygous LMNA Variants. Cardiogenetics, 15(2), 13. https://doi.org/10.3390/cardiogenetics15020013

