Human Umbilical Cord Mesenchymal Stem Cell-Derived Small Extracellular Vesicles Ameliorated Insulin Resistance in Type 2 Diabetes Mellitus Rats
Abstract
1. Introduction
2. Materials and Methods
2.1. Materials and Reagents
2.2. Cell Culture of hUC-MSCs and Isolation of hUC-MSCs-sEVs
2.3. Characterization of hUC-MSCs-sEVs
2.4. Cell Culture of Human Skeletal Muscle Cells
2.5. Cytotoxicity Test of hUC-MScs-sEVs on HSkMCs
2.6. Glucose Uptake Assay
2.7. Animal Study
2.8. Treatment of Experimentally STZ Induced Diabetic Rats
2.9. Oral Glucose Tolerance Test
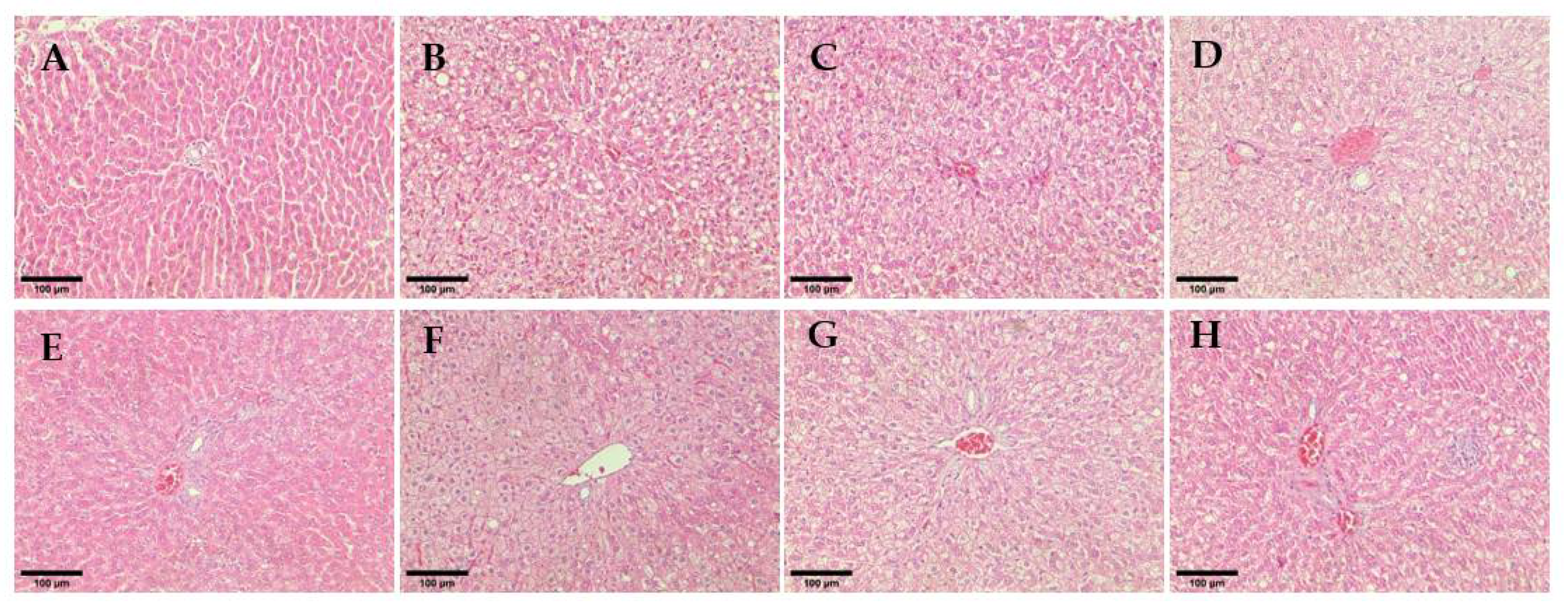
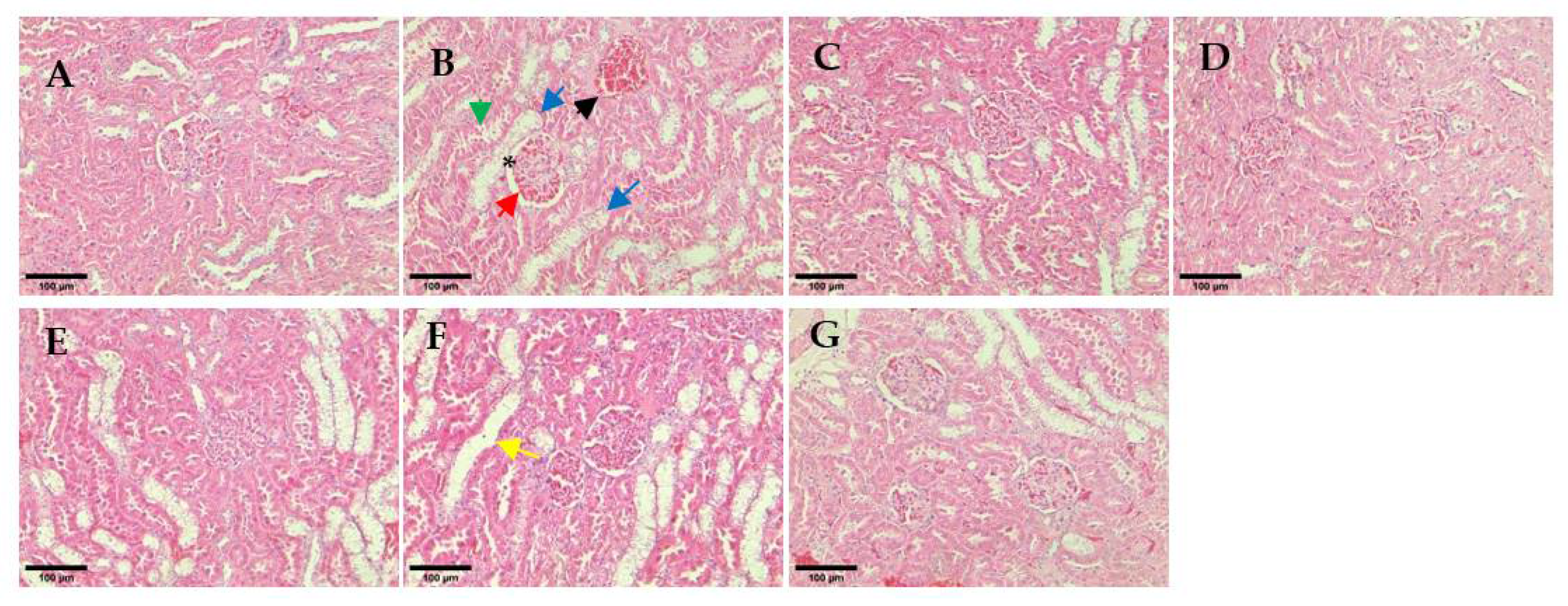
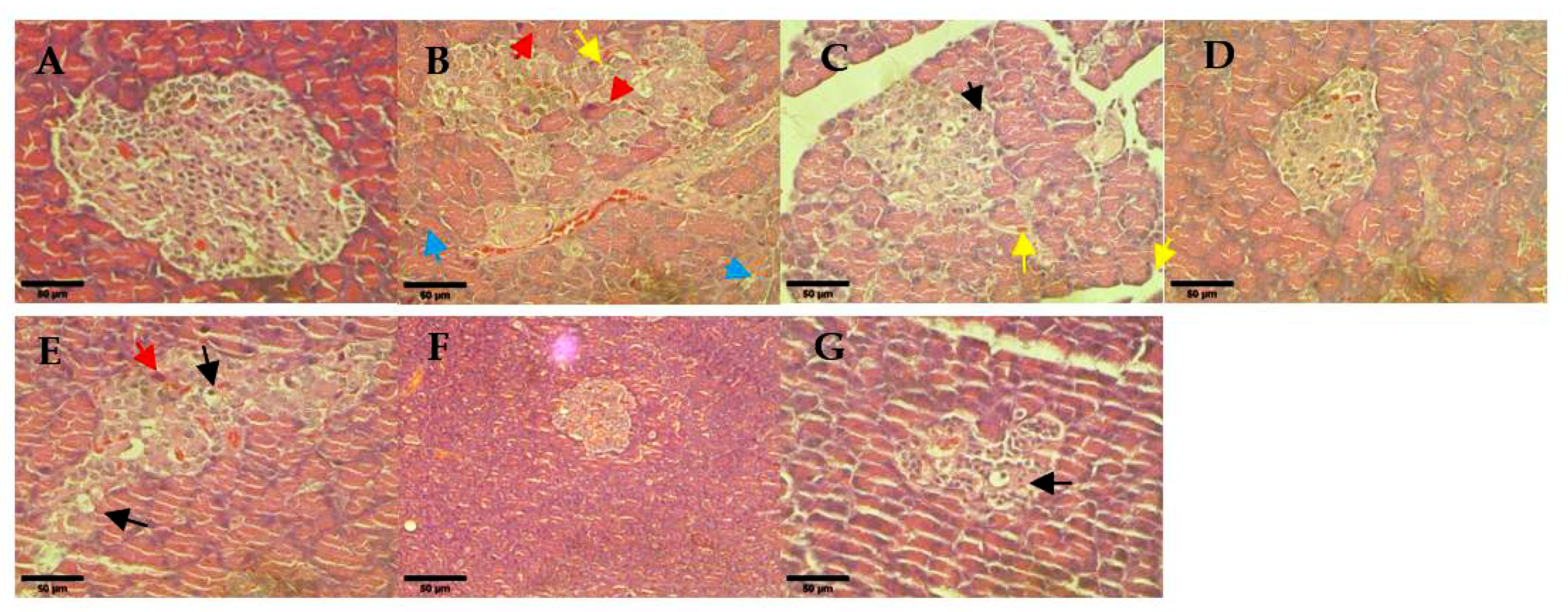
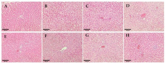
2.10. Histological Analysis
2.11. Analysis of Blood and Serum Parameters
- QUICKI = 1/(log fasting blood glucose (mmol/L) + log fasting serum insulin (µU/mL))
- HOMA-IR = (fasting blood glucose (mmol/L) × fasting serum insulin (µU/mL))/22.5
- HOMA-β = (20 × fasting serum insulin (µU/mL))/(fasting blood glucose (mmol/L) − 3.5)
2.12. Statistical Analysis
3. Results
3.1. Characterization of hUC-MScs-sEVs
3.2. CytotoxicityTest of hUC-MScs-sEVs on HSkMCs
3.3. Glucose Uptake Assay
3.4. STZ Induced T2DM in High Fat Diet Rat Model
3.5. Oral Glucose Tolerance Test
3.6. Analysis of Blood and serum Parameters
3.7. Kidney and Liver Functions
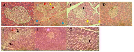
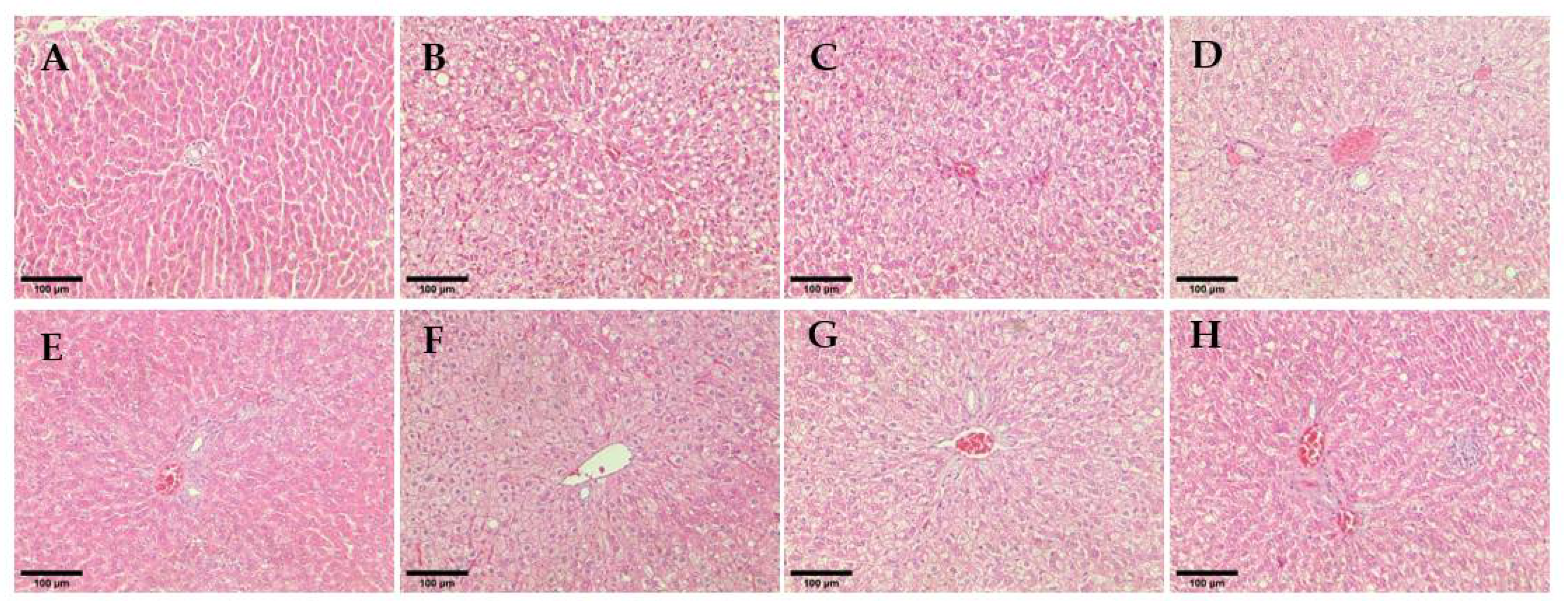
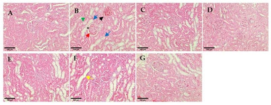
3.8. Histological Analysis
4. Discussion
5. Conclusions
Author Contributions
Funding
Institutional Review Board Statement
Informed Consent Statement
Data Availability Statement
Acknowledgments
Conflicts of Interest
References
- Zheng, Y.; Ley, S.H.; Hu, F.B. Global aetiology and epidemiology of type 2 diabetes mellitus and its complications. Nat. Rev. Endocrinol. 2018, 14, 88–98. [Google Scholar] [CrossRef] [PubMed]
- Ismail, H.; Hasani, W.S.R.; Majid, N.L.A.; Rifin, H.M.; Jane Ling, M.Y.; Robert, T.G.; Saminathan, T.A.; Yusoff, M.F.M.; Anera, S.N.S.; Ismail, M.H.; et al. National Health and Morbidity Survey (NHMS) 2019: Non-Communicable Diseases, Healthcare Demand, and Health Literacy-Key Findings; Institute for Public Health; National Institutes of Health, Ministry of Health: Kuala Lumpur, Malaysia, 2020.
- Domouky, A.M.; Hegab, A.S.; Al-Shahat, A.; Raafat, N. Mesenchymal stem cells and differentiated insulin producing cells are new horizons for pancreatic regeneration in type I diabetes mellitus. Int. J. Biochem. Cell Biol. 2017, 87, 77–85. [Google Scholar] [CrossRef]
- Garcia-Contreras, M.; Brooks, R.W.; Boccuzzi, L.; Robbins, P.D.; Ricordi, C. Exosomes as biomarkers and therapeutic tools for type 1 diabetes mellitus. Eur. Rev. Med. Pharmacol. Sci. 2017, 21, 2940–2956. [Google Scholar] [PubMed]
- Rattananinsruang, P.; Dechsukhum, C.; Leeanansaksiri, W. Establishment of Insulin-Producing Cells From Human Embryonic Stem Cells Underhypoxic Condition for Cell Based Therapy. Front. Cell Dev. Biol. 2018, 6, 49. [Google Scholar] [CrossRef] [PubMed]
- Rahim, F.; Arjmand, B.; Shirbandi, K.; Payab, M.; Larijani, B. Stem cell therapy for patients with diabetes: A systematic review and meta-analysis of metabolomics-based risks and benefits. Stem Cell Investig. 2018, 5, 40. [Google Scholar] [CrossRef]
- Lee, S.H. The advantages and limitations of mesenchymal stem cells in clinical application for treating human diseases. Osteoporos. Sarcopenia 2018, 4, 150. [Google Scholar] [CrossRef]
- Hmadcha, A.; Martin-Montalvo, A.; Gauthier, B.R.; Soria, B.; Capilla-Gonzalez, V. Therapeutic Potential of Mesenchymal Stem Cells for Cancer Therapy. Front. Bioeng. Biotechnol. 2020, 8, 43. [Google Scholar] [CrossRef] [PubMed]
- Jing, H.; He, X.; Zheng, J. Exosomes and regenerative medicine: State of the art and perspectives. Transl. Res. J. Lab. Clin. Med. 2018, 196, 1–16. [Google Scholar] [CrossRef]
- Thery, C.; Witwer, K.W.; Aikawa, E.; Alcaraz, M.J.; Anderson, J.D.; Andriantsitohaina, R.; Antoniou, A.; Arab, T.; Archer, F.; Atkin-Smith, G.K.; et al. Minimal information for studies of extracellular vesicles 2018 (MISEV2018): A position statement of the International Society for Extracellular Vesicles and update of the MISEV2014 guidelines. J. Extracell. Vesicles 2018, 7, 1535750. [Google Scholar] [CrossRef] [PubMed]
- Kalra, H.; Drummen, G.P.; Mathivanan, S. Focus on Extracellular Vesicles: Introducing the Next Small Big Thing. Int. J. Mol. Sci. 2016, 17, 170. [Google Scholar] [CrossRef]
- Libregts, S.; Arkesteijn, G.J.A.; Nemeth, A.; Nolte-’t Hoen, E.N.M.; Wauben, M.H.M. Flow cytometric analysis of extracellular vesicle subsets in plasma: Impact of swarm by particles of non-interest. J. Thromb. Haemost. 2018, 16, 1423–1436. [Google Scholar] [CrossRef] [PubMed]
- Tan, K.L.; Chia, W.C.; How, C.W.; Tor, Y.S.; Show, P.L.; Looi, Q.H.D.; Foo, J.B. Benchtop Isolation and Characterisation of Small Extracellular Vesicles from Human Mesenchymal Stem Cells. Mol. Biotechnol. 2021, 63, 780–791. [Google Scholar] [CrossRef] [PubMed]
- Estensen, R.D.; Plagemann, P.G.W. Cytochalasin B: Inhibition of Glucose and Glucosamine Transport. Proc. Natl. Acad. Sci. USA 1972, 69, 1430–1434. [Google Scholar] [CrossRef] [PubMed]
- Reckzeh, E.S.; Waldmann, H. Small-Molecule Inhibition of Glucose Transporters GLUT-1-4. Chembiochem 2020, 21, 45–52. [Google Scholar] [CrossRef] [PubMed]
- Kapoor, K.; Finer-Moore, J.S.; Pedersen, B.P.; Caboni, L.; Waight, A.; Hillig, R.C.; Bringmann, P.; Heisler, I.; Muller, T.; Siebeneicher, H.; et al. Mechanism of inhibition of human glucose transporter GLUT1 is conserved between cytochalasin B and phenylalanine amides. Proc. Natl. Acad. Sci. USA 2016, 113, 4711–4716. [Google Scholar] [CrossRef] [PubMed]
- Sun, Y.; Shi, H.; Yin, S.; Ji, C.; Zhang, X.; Zhang, B.; Wu, P.; Shi, Y.; Mao, F.; Yan, Y.; et al. Human Mesenchymal Stem Ce unwin ll Derived Exosomes Alleviate Type 2 Diabetes Mellitus by Reversing Peripheral Insulin Resistance and Relieving beta-Cell Destruction. ACS Nano 2018, 12, 7613–7628. [Google Scholar] [CrossRef] [PubMed]
- Si, Y.; Zhao, Y.; Hao, H.; Liu, J.; Guo, Y.; Mu, Y.; Shen, J.; Cheng, Y.; Fu, X.; Han, W. Infusion of mesenchymal stem cells ameliorates hyperglycemia in type 2 diabetic rats: Identification of a novel role in improving insulin sensitivity. Diabetes 2012, 61, 1616–1625. [Google Scholar] [CrossRef] [PubMed]
- Cruz, P.L.; Moraes-Silva, I.C.; Ribeiro, A.A.; Machi, J.F.; de Melo, M.D.T.; Dos Santos, F.; da Silva, M.B.; Strunz, C.M.C.; Caldini, E.G.; Irigoyen, M.C. Nicotinamide attenuates streptozotocin-induced diabetes complications and increases survival rate in rats: Role of autonomic nervous system. BMC Endocr. Disord. 2021, 21, 133. [Google Scholar] [CrossRef] [PubMed]
- Sokolovska, J.; Isajevs, S.; Sugoka, O.; Sharipova, J.; Paramonova, N.; Isajeva, D.; Rostoka, E.; Sjakste, T.; Kalvinsh, I.; Sjakste, N. Comparison of the effects of glibenclamide on metabolic parameters, GLUT1 expression, and liver injury in rats with severe and mild streptozotocin-induced diabetes mellitus. Medicina 2012, 48, 532–543. [Google Scholar] [CrossRef] [PubMed]
- Ooi, J.; Adamu, H.A.; Imam, M.U.; Ithnin, H.; Ismail, M. Polyphenol-rich ethyl acetate fraction isolated from Molineria latifolia ameliorates insulin resistance in experimental diabetic rats via IRS1/AKT activation. Biomed. Pharmacother. 2018, 98, 125–133. [Google Scholar] [CrossRef] [PubMed]
- Balamash, K.S.; Alkreathy, H.M.; Al Gahdali, E.H.; Khoja, S.O.; Ahmad, A. Comparative Biochemical and Histopathological Studies on the Efficacy of Metformin and Virgin Olive Oil against Streptozotocin-Induced Diabetes in Sprague-Dawley Rats. J. Diabetes Res. 2018, 2018, 4692197. [Google Scholar] [CrossRef] [PubMed]
- Salazar, J.H. Overview of Urea and Creatinine. Lab. Med. 2014, 45, e19–e20. [Google Scholar] [CrossRef]
- Milutinovic, J.; Cutler, R.E.; Hoover, P.; Meijsen, B.; Scribner, B.H. Measurement of residual glomerular filtration rate in the patient receiving repetitive hemodialysis. Kidney Int. 1975, 8, 185–190. [Google Scholar] [CrossRef] [PubMed][Green Version]
- Bailey, W.J.; Barnum, J.E.; Erdos, Z.; LaFranco-Scheuch, L.; Lane, P.; Vlasakova, K.; Sistare, F.D.; Glaab, W.E. A Performance Evaluation of Liver and Skeletal Muscle-Specific miRNAs in Rat Plasma to Detect Drug-Induced Injury. Toxicol. Sci. 2019, 168, 110–125. [Google Scholar] [CrossRef] [PubMed]
- Al-Ani, I.M.; Abired, A.N.; Mustafa, B.E.; Abdel Wahab, E.N.; Azzubaidi, M.S. Effect of Flaxseed Extract on the Liver Histological Structure in Streptozotocin Induced Diabetic Rats. IIUM Med. J. Malays. 2017, 16, 91–98. [Google Scholar] [CrossRef]
- Diaz-Juarez, J.; Rivera-Valerdi, L.; Bernal-Cerrillo, D.E.; Hernandez-Munoz, R. Predominance of released mitochondrial enzymes by partial hepatectomy-induced rat regenerating liver is controlled by hemodynamic changes and not related to mitochondrial damage. Scand. J. Gastroenterol. 2006, 41, 223–233. [Google Scholar] [CrossRef] [PubMed]
- Erukainure, O.L.; Ebuehi, O.A.T.; Adeboyejo, F.O.; Aliyu, M.; Elemo, G.N. Hematological and biochemical changes in diabetic rats fed with fiber-enriched cake. J. Acute Med. 2013, 3, 39–44. [Google Scholar] [CrossRef]











| Group | Description | 2-DG (10 mM) |
|---|---|---|
| 1 | HSkMCs only (Blank) | No |
| 2 | HSkMCs only (Normal control) | 10 μL |
| 3 | HSkMCs + 1 μM Insulin (Positive control) | 10 μL |
| 4 | HSkMCs + 20 μg/mL hUC-MSC-sEVs | 10 μL |
| Group | Description | 2-DG (10 mM) |
|---|---|---|
| 1 | HSkMCs only (Blank) | No |
| 2 | HSkMCs only (Normal control) | 10 μL |
| 3 | HSkMCs + 1 μM Insulin (Positive control) | 10 μL |
| 4 | HSkMCs + 0.5 μM CB + 1 μM Insulin | 10 μL |
| 5 | HSkMCs + 0.5 μM CB + 1 μM Insulin + 20 μg/mL hUC-MSC-sEVs | 10 μL |
| Animal Group | Description | Treatment | Route | Frequency |
|---|---|---|---|---|
| NC | Normal control -normal pellet diet-fed -non-diabetic rats | PBS | IV injection via tail vein | Every 3 days, total 5 times |
| DM | Diabetic control without medication -HFD-fed -STZ-induced diabetes | PBS | IV injection via tail vein | Every 3 days, total 5 times |
| DM + GC | Diabetic control with glibenclamide drug -HFD-fed -STZ-induced diabetes | Glibenclamide (10 mg/kg body weight) | Oral gavage | Every day |
| DM + 1MG EV | Diabetic test rats -HFD-fed -STZ-induced diabetes | hUC-MSC-sEVs (1 mg/kg body weight) | IV injection via tail vein | Every 3 days, total 5 times |
| DM + 0.5MG EV | Diabetic test rats -HFD-fed -STZ-induced diabetes | hUC-MSC-sEVs (0.5 mg/kg body weight) | IV injection via tail vein | Every 3 days, total 5 times |
| DM + 0.25MG EV | Diabetic test rats -HFD-fed -STZ-induced diabetes | hUC-MSC-sEVs (0.25 mg/kg body weight) | IV injection via tail vein | Every 3 days, total 5 times |
| DM + MSC | Diabetic test rats -HFD-fed -STZ-induced diabetes | hUC-MSCs (2 million cells) | IV injection via tail vein | Every two weeks, total 2 times |
| Normal Control | Untreated Diabetes | Glibenclamide (10 mg/kg) | hUC-MSCs-sEVs (1 mg/kg) | hUC-MSCs-sEVs (0.5 mg/kg) | hUC-MSCs-sEVs (0.25 mg/kg) | hUC-MSCs (2 Million Cells) | |
|---|---|---|---|---|---|---|---|
| RBC (×1012/L) | 8.97 ± 0.71 a | 7.40 ± 0.64 b,c | 8.65 ± 1.02 a,c | 8.04 ± 0.80 a,b | 7.03 ± 1.90 b,c | 7.91 ± 1.00 a,b | 6.32 ± 0.72 b |
| Hb (g/L) | 157.80 ± 14.34 a | 121.20 ± 13.41 b | 144.67 ± 15.04 a,b | 142.40 ± 16.94 a,b | 129.50 ± 13.44 a,b | 120.75 ± 25.9 b | 114.50 ± 6.36 b |
| PCV (L/L) | 0.45 ± 0.04 a | 0.38 ± 0.02 b | 0.44 ± 0.05 a | 0.39 ± 0.02 b | 0.39 ± 0.03 a,b | 0.36 ± 0.04 b,c | 0.30 ± 0.03 c |
| MCV (fL) | 50.14 ± 1.30 a | 48.59 ± 3.11 a | 50.92 ± 2.5 a | 46.28 ± 4.45 a | 47.77 ± 2.86 a | 45.9 ± 0.73 a | 47.52 ± 0.95 a |
| MCHC (g/L) | 350.86 ± 3.79 a,b | 336.13 ± 15.49 a,b | 329.23 ± 7.25 b | 375.58 ± 21.44 c | 332.71 ± 7.57 a,b | 362.98 ± 8.88 a,c | 382.37 ± 14.84 c |
| WBC (×109/L) | 14.13 ± 4.21 a | 7.60 ± 2.79 b | 13.87 ± 1.56 a | 12.88 ± 4.00 a | 9.45 ± 1.77 a,b | 6.13 ± 1.18 b | 5.15 ± 1.63 b |
| Band N (×109/L) | 0.14 ± 0.04 a | 0.08 ± 0.03 a | 0.14 ± 0.02 a | 0.13 ± 0.04 a | 0.09 ± 0.02 a | 0.06 ± 0.01 a | 0.05 ± 0.02 a |
| % | 1.00 ± 0.00 a | 0.80 ± 0.45 a | 1.00 ± 0.00 a | 1.00 ± 0.00 a | 1.00 ± 0.00 a | 0.75 ± 0.50 a | 1.00 ± 0.00 a |
| Neutro (×109/L) | 2.54 ± 0.54 a | 1.40 ± 0.32 a | 2.23 ± 0.43 a | 2.70 ± 1.05 a | 2.05 ± 1.04 a | 1.66 ± 0.54 a | 2.07 ± 1.15 a |
| % | 18.50 ± 3.00 a | 16.00 ± 1.63 a | 16.00 ± 2.00 a | 18.00 ± 5.29 a | 21.00 ± 7.07 a | 26.67 ± 4.16 a | 46.00 ± 36.77 a |
| Lymp (×109/L) | 10.27 ± 3.46 a | 5.80 ± 2.02 b | 10.14 ± 0.71 a | 8.65 ± 3.13 a,b | 5.07 ± 2.39 b | 4.06 ± 0.55 b | 2.75 ± 2.53 b |
| % | 72.00 ± 3.65 a | 76.75 ± 1.71 a | 73.33 ± 3.06 a | 76.00 ± 3.74 a | 71.33 ± 6.11 a | 66.67 ± 5.03 a | 48.00 ± 33.94 b |
| Mono (×109/L) | 0.90 ± 0.36 a | 0.42 ± 0.36 b | 1.22 ± 0.56 a | 0.68 ± 0.36 a,b | 0.55 ± 0.43 a,b | 0.23 ± 0.17 b | 0.25 ± 0.18 b |
| % | 7.40 ± 0.89 a | 5.40 ± 2.97 a | 8.67 ± 3.06 a | 5.80 ± 2.28 a | 7.00 ± 4.36 a | 4.00 ± 1.63 a | 4.50 ± 2.12 a |
| Eosin (×109/L) | 0.12 ± 0.05 a | 0.00 ± 0.00 b | 0.14 ± 0.02 a | 0.1 ± 0.07 a | 0.11 ± 0.09 a | 0.05 ± 0.03 b | 0.03 ± 0.04 b |
| % | 1.00 ± 0.00 a | 0.00 ± 0.00 b | 1.00 ± 0.00 a | 0.80 ± 0.45 a | 1.33 ± 0.58 a | 0.75 ± 0.50 a | 0.50 ± 0.71 a,b |
| Baso (×109/L) | 0.00 ± 0.00 a | 0.00 ± 0.00 a | 0.00 ± 0.00 a | 0.00 ± 0.00 a | 0.00 ± 0.00 a | 0.00 ± 0.00 a | 0.00 ± 0.00 a |
| % | 0.00 ± 0.00 a | 0.00 ± 0.00 a | 0.00 ± 0.00 a | 0.00 ± 0.00 a | 0.00 ± 0.00 a | 0.00 ± 0.00 a | 0.00 ± 0.00 a |
| PLT (×109/L) | 1038 ± 101.11 a,c | 257.8 ± 214.09 b | 747.67 ± 184.17 a,c | 458.2 ± 246.88 b,c | 498 ± 415.7 b,c | 77.0 ± 100.58 b | 76.5 ± 26.16 b |
| Normal Control | Untreated Diabetes | Glibenclamide (10 mg/kg) | hUC-MSCs-sEVs (1 mg/kg) | hUC-MSCs-sEVs (0.5 mg/kg) | hUC-MSCs-sEVs (0.25 mg/kg) | hUC-MSCs (2 million Cells) | |
|---|---|---|---|---|---|---|---|
| Kidney function | |||||||
| Na (mmol/L) | 137.83 ± 3.18 a | 120.8 ± 10.01 b | 164.63 ± 17.54 c | 133.32 ± 10.22 a,b | 126.7 ± 4.81 a,b | 122.15 ± 5.44 a,b | 142.65 ± 15.06 a |
| K (mmol/L) | 4.72 ± 0.38 a | 3.83 ± 0.15 b | 5.47 ± 0.841 c | 4.69 ± 0.55 a | 5.09 ± 0.51 a,c | 4.83 ± 0.30 a | 4.40 ± 0.52 a,b |
| Cl (mmol/L) | 110.13 ± 2.59 a | 89.15 ± 10.6 b | 127.97 ± 15.44 c | 104.36 ± 7.87 a,d | 95.77 ± 3.01 b,d,e | 91.5 ± 4.38 a,b | 106.7 ± 10.11 a,e |
| Urea (mmol/L) | 4.63 ± 0.91 a | 7.27 ± 1.21 b | 5.72 ± 0.89 a,b | 6.78 ± 2.22 b | 8.02 ± 1.77 b | 7.18 ± 1.52 b | 7.89 ± 1.93 b |
| Creat (µmol/L) | 40.64 ± 3.56 a | 42.49 ± 10.62 a | 144.58 ± 71.61 b | 45.03 ± 1.69 a | 47.60 ± 9.72 a | 49.71 ± 6.68 a | 61.03 ± 7.01 a |
| Liver function | |||||||
| TP (g/L) | 59.58 ± 12.77 a | 59.88 ± 26.89 a | 72.47 ± 28.44 a | 67.98 ± 23.86 a | 41.27 ± 3.66 a | 70.5 ± 34.89 a | 70.63 ± 17.33 a |
| ALB (g/L) | 27.16 ± 2.21 a | 26.90 ± 8.68 a | 32.02 ± 7.71 a | 26.84 ± 6.42 a | 22.08 ± 2.54 a | 24.58 ± 6.90 a | 36.03 ± 6.40 a |
| Glo (g/L) | 32.43 ± 11.56 a | 32.99 ± 24.11 a | 60.86 ± 1.92 a | 41.14 ± 19.25 a | 19.19 ± 5.59 a | 45.92 ± 33.84 a | 34.6 ± 17.90 a |
| ALB:Glo ratio | 0.93 ± 0.31 a | 1.02 ± 0.48 a | 0.46 ± 0.09 a | 0.75 ± 0.31 a | 1.24 ± 0.45 a | 0.80 ± 0.68 a | 1.33 ± 0.89 a |
| ALP (U/L) | 202.20 ± 80.59 a | 1094.88 ± 161.59 b | 628.43 ± 57.23 c | 1076.66 ± 429.57 b | 853.24 ± 193.20 b,c | 899.09 ± 222.73 b,c | 1008.46 ± 90.69 b |
| AST (U/L) | 158.90 ± 36.18 a | 123.85 ± 14.45 a | 203.91 ± 41.22 a | 186.98 ± 76.8 a | 167.51 ± 74.54 a | 126.79 ± 25.73 a | 146.31 ± 23.97 a |
| ALT (U/L) | 53.27 ± 9.50 a | 90.01 ± 13.15 b | 139.65 ± 31.71 c | 105.99 ± 24.72 b,c | 124.89 ± 40.83 c | 95.48 ± 22.70 b | 93.43 ± 27.68 b |
| DBil (µmol/L) | 0.35 ± 0.20 a | 2.33 ± 3.47 a | 1.44 ± 1.97 a | 9.34 ± 18.18 a | 3.99 ± 3.01 a | 2.24 ± 2.09 a | 7.96 ± 15.32 a |
| TBil (µmol/L) | 2.62 ± 1.33 a | 4.23 ± 4.30 a | 3.61 ± 3.04 a | 2.91 ± 1.68 a | 5.73 ± 5.02 a | 4.61 ± 3.79 a | 15.68 ± 27.75 a |
Publisher’s Note: MDPI stays neutral with regard to jurisdictional claims in published maps and institutional affiliations. |
© 2022 by the authors. Licensee MDPI, Basel, Switzerland. This article is an open access article distributed under the terms and conditions of the Creative Commons Attribution (CC BY) license (https://creativecommons.org/licenses/by/4.0/).
Share and Cite
Yap, S.K.; Tan, K.L.; Abd Rahaman, N.Y.; Saulol Hamid, N.F.; Ooi, D.J.; Tor, Y.S.; Daniel Looi, Q.H.; Stella Tan, L.K.; How, C.W.; Foo, J.B. Human Umbilical Cord Mesenchymal Stem Cell-Derived Small Extracellular Vesicles Ameliorated Insulin Resistance in Type 2 Diabetes Mellitus Rats. Pharmaceutics 2022, 14, 649. https://doi.org/10.3390/pharmaceutics14030649
Yap SK, Tan KL, Abd Rahaman NY, Saulol Hamid NF, Ooi DJ, Tor YS, Daniel Looi QH, Stella Tan LK, How CW, Foo JB. Human Umbilical Cord Mesenchymal Stem Cell-Derived Small Extracellular Vesicles Ameliorated Insulin Resistance in Type 2 Diabetes Mellitus Rats. Pharmaceutics. 2022; 14(3):649. https://doi.org/10.3390/pharmaceutics14030649
Chicago/Turabian StyleYap, Seng Kar, Kian Leong Tan, Nor Yasmin Abd Rahaman, Nur Fazila Saulol Hamid, Der Jiun Ooi, Yin Sim Tor, Qi Hao Daniel Looi, Li Kar Stella Tan, Chee Wun How, and Jhi Biau Foo. 2022. "Human Umbilical Cord Mesenchymal Stem Cell-Derived Small Extracellular Vesicles Ameliorated Insulin Resistance in Type 2 Diabetes Mellitus Rats" Pharmaceutics 14, no. 3: 649. https://doi.org/10.3390/pharmaceutics14030649
APA StyleYap, S. K., Tan, K. L., Abd Rahaman, N. Y., Saulol Hamid, N. F., Ooi, D. J., Tor, Y. S., Daniel Looi, Q. H., Stella Tan, L. K., How, C. W., & Foo, J. B. (2022). Human Umbilical Cord Mesenchymal Stem Cell-Derived Small Extracellular Vesicles Ameliorated Insulin Resistance in Type 2 Diabetes Mellitus Rats. Pharmaceutics, 14(3), 649. https://doi.org/10.3390/pharmaceutics14030649

