Characterization of Monoclonal Antibodies against HA Protein of H1N1 Swine Influenza Virus and Protective Efficacy against H1 Viruses in Mice
Abstract
:1. Introduction
2. Materials and Methods
2.1. Ethics Statement
2.2. Virus Strains
2.3. Fifty-Percent Tissue Culture Infective Dose (TCID50) Assays
2.4. Construction of Gene Expression Plasmids
2.5. Hybridomas Antibody Production
2.6. Hemagglutination Inhibition Test
2.7. Neutralization Test
2.8. Western Blot Assay
2.9. Detection of Native HA Protein by Immunohistochemistry (IH) Assay
2.10. Cross-Protection by mAb 8C6
3. Results
3.1. pCI-Neo-HA Construction and HA Sequence Analysis
3.2. Production and General Characterization of mAbs
3.3. Detection of Native HA Protein by Immunohistochemistry Assay
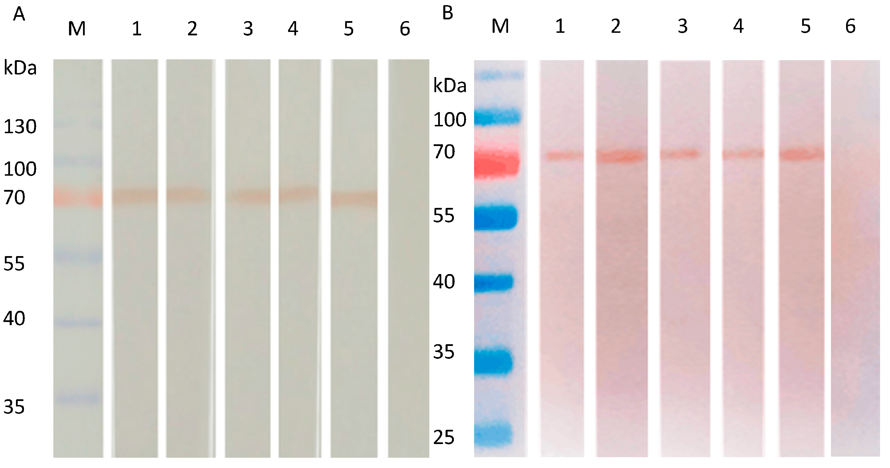
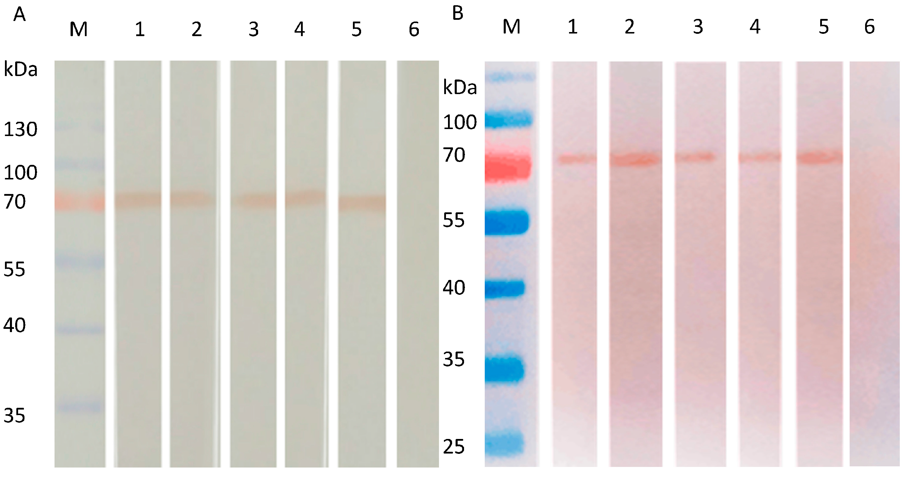
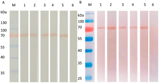
3.4. Detection of HA Protein by Western Blot
3.5. Protective Efficacy of the mAb Treatment Prior to Virus Infection
4. Discussion
Acknowledgments
Author Contributions
Conflicts of Interest
References
- Pensaert, M.; Ottis, K.; Vandeputte, J.; Kaplan, M.M.; Bachmann, P.A. Evidence for the natural transmission of influenza A virus from wild ducts to swine and its potential importance for man. Bull. World Health Organ. 1981, 59, 75–78. [Google Scholar] [PubMed]
- Brown, I.H.; Done, S.H.; Spencer, Y.I.; Cooley, W.A.; Harris, P.A.; Alexander, D.J. Pathogenicity of a swine influenza H1N1 virus antigenically distinguishable from classical and European strains. Vet. Rec. 1993, 132, 598–602. [Google Scholar] [CrossRef] [PubMed]
- Guan, Y.; Shortridge, K.F.; Krauss, S.; Li, P.H.; Kawaoka, Y.; Webster, R.G. Emergence of avian H1N1 influenza viruses in pigs in China. J. Virol. 1996, 70, 8041–8046. [Google Scholar] [PubMed]
- Yang, H.; Chen, Y.; Qiao, C.; He, X.; Zhou, H.; Sun, Y.; Yin, H.; Meng, S.; Liu, L.; Zhang, Q.; et al. Prevalence, genetics, and transmissibility in ferrets of Eurasian avian-like H1N1 swine influenza viruses. Proc. Natl. Acad. Sci. USA 2016, 113, 392–397. [Google Scholar] [CrossRef] [PubMed]
- Moreno, A.; Di Trani, L.; Alborali, L.; Vaccari, G.; Barbieri, I.; Falcone, E.; Sozzi, E.; Puzelli, S.; Ferri, G.; Cordioli, P. First Pandemic H1N1 Outbreak from a Pig Farm in Italy. Open Virol. J. 2010, 4, 52–56. [Google Scholar] [CrossRef] [PubMed]
- Ducatez, M.F.; Hause, B.; Stigger-Rosser, E.; Darnell, D.; Corzo, C.; Juleen, K.; Simonson, R.; Brockwell-Staats, C.; Rubrum, A.; Wang, D.; et al. Multiple reassortment between pandemic (H1N1) 2009 and endemic influenza viruses in pigs, United States. Emerg. Infect. Dis. 2011, 17, 1624–1629. [Google Scholar] [CrossRef] [PubMed]
- Ali, A.; Khatri, M.; Wang, L.; Saif, Y.M.; Lee, C.W. Identification of swine H1N2/pandemic H1N1 reassortant influenza virus in pigs, United States. Vet. Microbiol. 2012, 158, 60–68. [Google Scholar] [CrossRef] [PubMed]
- Grgic, H.; Costa, M.; Friendship, R.M.; Carman, S.; Nagy, E.; Poljak, Z. Genetic Characterization of H1N1 and H1N2 Influenza A Viruses Circulating in Ontario Pigs in 2012. PLoS ONE 2015, 10, e0127840. [Google Scholar] [CrossRef] [PubMed]
- Qiao, C.L.; Liu, L.; Yang, H.; Chen, Y.; Xu, H.; Chen, H.L. Novel triple reassortant H1N2 influenza viruses bearing six internal genes of the pandemic 2009/H1N1 influenza virus were detected in pigs in China. J. Clin. Virol. 2014, 61, 529–534. [Google Scholar] [CrossRef] [PubMed]
- Ito, T.; Couceiro, J.N.; Kelm, S.; Baum, L.G.; Krauss, S.; Castrucci, M.R.; Donatelli, I.; Kida, H.; Paulson, J.C.; Webster, R.G.; et al. Molecular basis for the generation in pigs of influenza A viruses with pandemic potential. J. Virol. 1998, 2, 7367–7373. [Google Scholar]
- De Jong, J.C.; Paccaud, M.F.; de Ronde-Verloop, F.M.; Huffels, N.H.; Verwei, C.; Weijers, T.F.; Bangma, P.J.; van Kregten, E.; Kerckhaert, J.A.; Wicki, F.; et al. Isolation of swine-like influenza A (H1N1) viruses from man in Switzerland and the Netherlands. Ann. Inst. Pasteur Virol. 1988, 139, 429–437. [Google Scholar] [CrossRef]
- Yang, H.; Qiao, C.; Tang, X.; Chen, Y.; Xin, X.; Chen, H. Human Infection from Avian like Influenza A (H1N1) Viruses in Pigs, China. Emerg. Infect. Dis. 2012, 18, 1144–1146. [Google Scholar] [CrossRef] [PubMed]
- Wang, D.Y.; Qi, S.X.; Li, X.Y.; Guo, J.F.; Tan, M.J.; Han, G.Y.; Liu, Y.F.; Lan, Y.; Yang, L.; Huang, W.J.; et al. Human infection with Eurasian avian-like influenza A(H1N1) virus, China. Emerg. Infect. Dis. 2013, 19, 1709–1711. [Google Scholar] [CrossRef] [PubMed]
- Dürrwald, R.; Krumbholz, A.; Baumgarte, S.; Schlegel, M.; Vahlenkamp, T.W.; Selbitz, H.J.; Wutzler, P.; Zell, R. Swine influenza A vaccines, pandemic (H1N1) 2009 virus, and cross reactivity. Emerg. Infect. Dis. 2010, 16, 1029–1030. [Google Scholar] [CrossRef] [PubMed]
- Sui, J.Y.; Yang, D.W.; Qiao, C.L.; Xu, H.Y.; Xu, B.F.; Wu, Y.P.; Yang, H.L.; Chen, Y.; Chen, H.L. Protective efficacy of an inactivated Eurasian avian-like H1N1 swine influenza vaccine against homologous H1N1 and heterologous H1N1 and H1N2 viruses in mice. Vaccine 2016, 34, 3757–3763. [Google Scholar] [CrossRef] [PubMed]
- Biesova, Z.; Miller, M.A.; Schneerson, R.; Shiloach, J.; Green, K.Y.; Robbins, J.B.; Keith, J.M. Preparation, characterization, and immunogenicity in mice of a recombinant influenza H5 hemagglutinin vaccine against the avian H5N1 A/Vietnam/1203/2004 influenza virus. Vaccine 2009, 27, 6234–6238. [Google Scholar] [CrossRef] [PubMed]
- Schwarzer, J.; Rapp, E.; Hennig, R.; Genzel, Y.; Jordan, I.; Sandig, V.; Reichl, U. Glycan analysis in cell culture-based influenza vaccine production: Influence of host cell line and virus strain on the glycosylation pattern of viral hemagglutinin. Vaccine 2009, 27, 4325–4336. [Google Scholar] [CrossRef] [PubMed]
- Fedson, D.S. New technologies for meeting the global demand for pandemic influenza vaccines. Biologicals 2008, 36, 346–349. [Google Scholar] [CrossRef] [PubMed]
- Yap, Y.K.; Smith, D.R. Strategies for the plant-based expression of dengue subunit vaccines. Biotechnol. Appl. Biochem. 2010, 57, 47–53. [Google Scholar] [CrossRef] [PubMed]
- Greenough, T.C.; Babcock, G.J.; Roberts, A.; Hernandez, H.J.; Thomas, W.D., Jr.; Coccia, J.A.; Graziano, R.F.; Srinivasan, M.; Lowy, I.; Finberg, R.W.; et al. Development and characterization of a severe acute respiratory syndrome associated coronavirus-neutralizing human monoclonal antibody that provides effective immunoprophylaxis in mice. J. Infect. Dis. 2005, 191, 507–514. [Google Scholar] [CrossRef] [PubMed]
- Keller, M.A.; Stiehm, E.R. Passive immunity in prevention and treatment of infectious diseases. Clin. Microbiol. Rev. 2000, 13, 602–614. [Google Scholar] [CrossRef] [PubMed]
- Skehel, J.J.; Wiley, D.C. Receptor binding and membrane fusion in virus entry: The influenza hemagglutinin. Annu. Rev. Biochem. 2000, 69, 531–569. [Google Scholar] [CrossRef] [PubMed]
- Gocnik, M.; Fislova, T.; Sladkova, T.; Mucha, V.; Kostolansky, F.; Vareckova, E. Antibodies specific to the HA2 glycopolypeptide of influenza A virus haemagglutinin with fusion-inhibition activity contribute to the protection of mice against lethal infection. J. Gen. Virol. 2007, 88, 951–955. [Google Scholar] [CrossRef] [PubMed]
- Tumpey, T.M.; Renshaw, M.; Clements, J.D.; Katz, J.M. Mucosal delivery of inactivated influenza vaccine induces B-cell-dependent heterosubtypic cross-protection against lethal influenza A H5N1 virus infection. J. Virol. 2001, 75, 5141–5150. [Google Scholar] [CrossRef] [PubMed]
- Rockman, S.; Brown, L.E.; Barr, I.G.; Gilbertson, B.; Lowther, S.; Kachurin, A.; Kachurina, O.; Klippel, J.; Bodle, J.; Pearse, M.; et al. Neuraminidase-inhibiting antibody is a correlate of cross-protection against lethal H5N1 influenza virus in ferrets immunized with seasonal influenza vaccine. J. Virol. 2013, 87, 3053–3061. [Google Scholar] [CrossRef] [PubMed]
- Du, L.; Jin, L.; Zhao, G.; Sun, S.; Li, J.; Yu, H.; Li, Y.; Zheng, B.J.; Liddington, R.C.; Zhou, Y.; et al. Identification and structural characterization of a broadly neutralizing antibody targeting a novel conserved epitope on the influenza virus H5N1 hemagglutinin. J. Virol. 2013, 87, 2215–2225. [Google Scholar] [CrossRef] [PubMed]
- Chen, Y.; Qin, K.; Wu, W.L.; Li, G.; Zhang, J.; Du, H.; Ng, M.H.; Shih, J.W.; Peiris, J.S.; Guan, Y.; et al. Broad cross-protection against H5N1 avian influenza virus infection by means of monoclonal antibodies that map to conserved viral epitopes. J. Infect. Dis. 2009, 199, 49–58. [Google Scholar] [CrossRef] [PubMed]
- Stenler, S.; Lundin, K.E.; Hansen, L.; Petkov, S.; Mozafari, N.; Isaguliants, M.; Blomberg, P.; Smith, C.I.E.; Goldenberg, D.M.; Chang, C.H.; et al. Immunization with HIV-1 envelope T20-encoding DNA vaccines elicits cross-clade neutralizing antibody responses. Hum. Vaccin Immunother. 2017, 11, 1338546. [Google Scholar] [CrossRef] [PubMed]
- Suradhat, S.; Wongyanin, P.; Kesdangsakonwut, S.; Teankum, K.; Lumyai, M.; Triyarach, S.; Thanawongnuwech, R. A novel DNA vaccine for reduction of PRRSV-induced negative immunomodulatory effects: A proof of concept. Vaccine 2015, 33, 3997–4003. [Google Scholar] [CrossRef] [PubMed]
- Wang, B.; Boyer, J.; Srikantan, V.; Ugen, K.; Gilbert, L.; Phan, C.; Dang, K.; Merva, M.; Agadjanyan, M.G.; Newman, M.; et al. Induction of humoral and cellular immune responses to the human immunodeficiency type 1 virus in nonhuman primates by in vivo DNA inoculation. Virology 1995, 211, 102–112. [Google Scholar] [CrossRef] [PubMed]
- Liu, S.; Wang, S.; Lu, S. DNA immunization as a technology platform for monoclonal antibody induction. Emerg. Microbes Infect. 2016, 5, e33. [Google Scholar] [CrossRef] [PubMed]
- Reed, L.J.; Muench, H. A simple method for estimating fifty percent endpoints. Am. J. Hyg. 1938, 27, 493–497. [Google Scholar]
- Liu, M.; Chen, X.D.; Wang, Y.; Zhang, Y.; Li, Y.F.; Wang, Y.F.; Shen, N.; Chen, H.L. Characterization of monoclonal antibodies against Muscovy duck reovirus σB protein. Virol. J. 2010, 7, 133. [Google Scholar] [CrossRef] [PubMed]
- Yin, X.C.; Zhang, S.M.; Gao, Y.L.; Li, J.Z.; Tan, S.Y.; Liu, H.Y.; Wu, X.Y.; Chen, Y.H.; Liu, M.; Zhang, Y. Characterization of monoclonal antibodies 3 against waterfowl parvoviruses VP3 protein. Virol. J. 2012, 9, 288. [Google Scholar] [CrossRef] [PubMed]
- Bai, X.F.; Shaozhou, W.L.; Zhang, Q.S.; Li, C.X.; Qiu, N.; Meng, R.Z.; Liu, M.; Zhang, Y. Characterization of monoclonal antibodies against duck Tembusu virus E protein: An antigen-capture ELISA for the detection of Tembusu virus infection. Arch. Virol. 2015, 160, 757–764. [Google Scholar] [CrossRef] [PubMed]
- Liu, C.G.; Liu, M.; Liu, F.; Liu, D.F.; Zhang, Y.; Pan, W.Q.; Chen, H.; Wan, C.H.; Sun, E.C.; Li, H.T.; et al. Evaluation of several adjuvants in avian influenza vaccine to chickens and ducks. Virol. J. 2011, 8, 321. [Google Scholar] [CrossRef] [PubMed]
- Liu, M.; Liu, C.G.; Zhang, Y.; Shi, W.L.; Wang, W.; Liu, Y.Y. Efficacy of a high-yield attenuated vaccine strain wholly derived from avian influenza viruses by use of reverse genetics. Vet. Microbiol. 2012, 161, 43–48. [Google Scholar] [CrossRef] [PubMed]
- Casadevall, A.; Dadachova, E.; Pirofski, L.A. Passive antibody therapy for infectious diseases. Nat. Rev. Microbiol. 2004, 2, 695–703. [Google Scholar] [CrossRef] [PubMed]





| mAb | Titers of ELISA | Titers of HI | Titers of NT |
|---|---|---|---|
| 8C4 | 640,000 | 320 | 102.83 |
| 8C6 | 256,000 | 256,000 | 106.4 |
| 9D6 | 160,000 | 512 | 105.8 |
| 8A4 | 256,000 | 0 | 0 |
| 8B1 | 1,024,000 | 0 | 0 |
| Challenge Viruses | Weight-Loss (%) at 14 dpi | Virus Titer (log10 EID50/mL) at 3 dpi | ||||||
|---|---|---|---|---|---|---|---|---|
| 8C6-treated | Untreated | Lung Nasal Spleen/Kidney | Lung Nasal Spleen/Kidney | |||||
| 8C6-treated | Non-mAb-treated | |||||||
| SW/GD//04 | – | 12.3 | <0.5 | <0.5 | <0.5 | 4.88 | 3.29 | <0.5 |
| SW/HRB/09 | 1.50 | 15.7 | 1.65 | 1.36 | <0.5 | 5.12 | 4.39 | <0.5 |
© 2017 by the authors. Licensee MDPI, Basel, Switzerland. This article is an open access article distributed under the terms and conditions of the Creative Commons Attribution (CC BY) license (http://creativecommons.org/licenses/by/4.0/).
Share and Cite
Liu, Y.; Li, H.; Xue, Y.; Zhao, S.; Li, C.; Qu, L.; Zhang, Y.; Liu, M. Characterization of Monoclonal Antibodies against HA Protein of H1N1 Swine Influenza Virus and Protective Efficacy against H1 Viruses in Mice. Viruses 2017, 9, 209. https://doi.org/10.3390/v9080209
Liu Y, Li H, Xue Y, Zhao S, Li C, Qu L, Zhang Y, Liu M. Characterization of Monoclonal Antibodies against HA Protein of H1N1 Swine Influenza Virus and Protective Efficacy against H1 Viruses in Mice. Viruses. 2017; 9(8):209. https://doi.org/10.3390/v9080209
Chicago/Turabian StyleLiu, Yun, Hongtao Li, Yujia Xue, Shuang Zhao, Chenxi Li, Liandong Qu, Yun Zhang, and Ming Liu. 2017. "Characterization of Monoclonal Antibodies against HA Protein of H1N1 Swine Influenza Virus and Protective Efficacy against H1 Viruses in Mice" Viruses 9, no. 8: 209. https://doi.org/10.3390/v9080209
APA StyleLiu, Y., Li, H., Xue, Y., Zhao, S., Li, C., Qu, L., Zhang, Y., & Liu, M. (2017). Characterization of Monoclonal Antibodies against HA Protein of H1N1 Swine Influenza Virus and Protective Efficacy against H1 Viruses in Mice. Viruses, 9(8), 209. https://doi.org/10.3390/v9080209
