Secreted Expression of the Cap Gene of Porcine Circovirus Type 2 in Classical Swine Fever Virus C-Strain: Potential of C-Strain Used as a Vaccine Vector
Abstract
1. Introduction
2. Materials and Methods
2.1. Cells, Viruses, and Vaccine
2.2. Construction of the Infectious Clones
2.3. Generation of the Recombinant Viruses
2.4. Immunofluorescence Assay and Antigen-Capture ELISA
2.5. Growth Curves of the Recombinant Viruses
2.6. Inoculation and Challenge Experiment in Rabbits
2.7. Blocking Enzyme-Linked Immunosorbent Assay
2.8. Immunoperoxidase Monolayer Assay (IPMA)
2.9. Virus Neutralization Assay
2.10. Statistical Analysis
3. Results
3.1. Generation of the Recombinant Viruses from the Cloned cDNAs
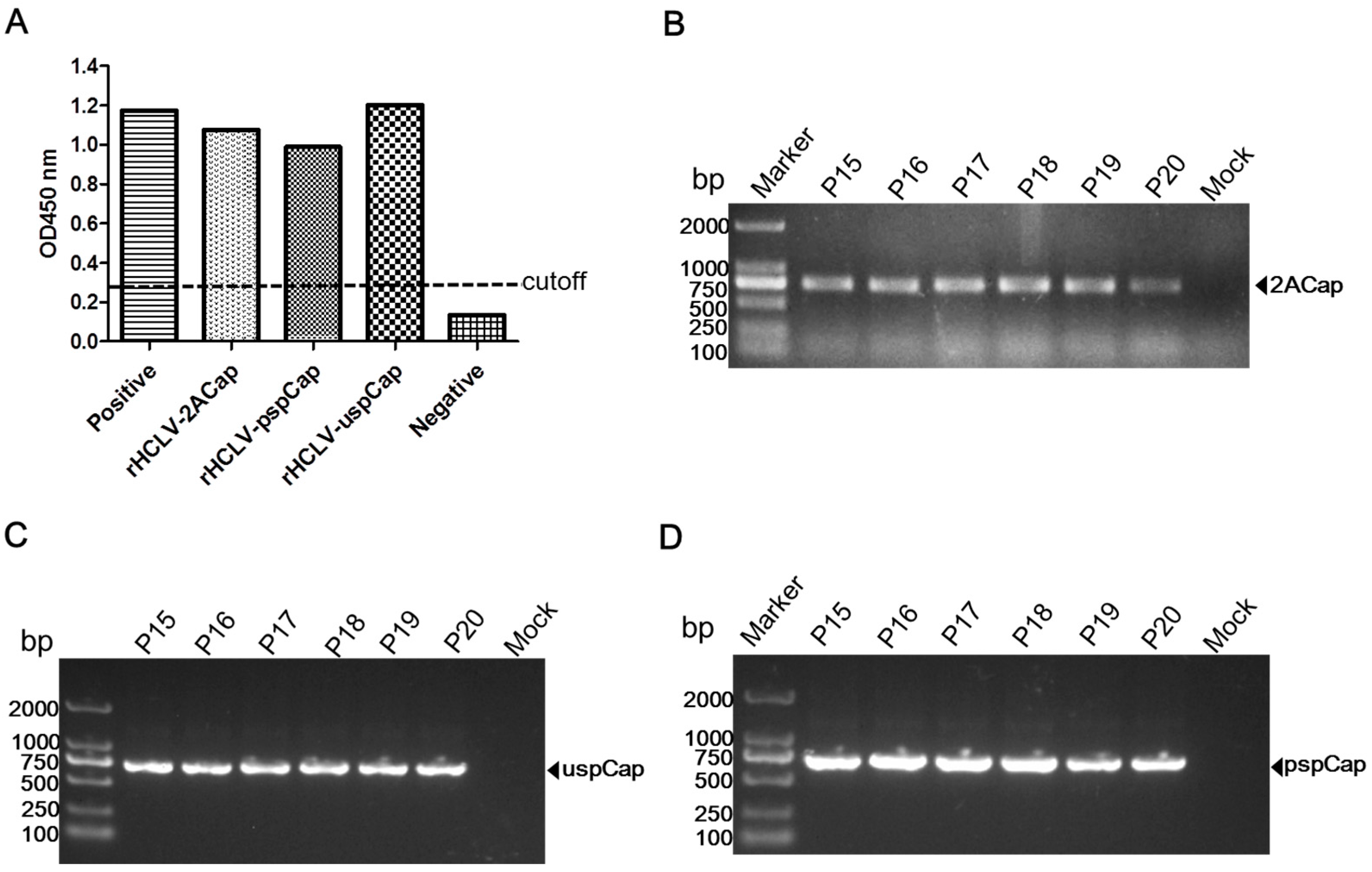
3.2. Stability of the Inserted Genes of the Recombinant Viruses in SK6 Cells
3.3. Expression of the Cap Protein of the Recombinant Viruses
3.4. Growth Curves of the Recombinant Viruses
3.5. The Phenotypes of the Recombinant Viruses in Rabbits
3.6. Immunogenicity of the Recombinant Viruses in Rabbits
4. Discussion
Acknowledgments
Author Contributions
Conflicts of Interest
References
- Moennig, V. Introduction to classical swine fever: Virus, disease and control policy. Vet. Microbiol. 2000, 73, 93–102. [Google Scholar] [CrossRef]
- Collett, M.S.; Moennig, V.; Horzinek, M.C. Recent advances in pestivirus research. J. Gen. Virol. 1989, 70, 253–266. [Google Scholar] [CrossRef] [PubMed]
- Thiel, H.J.; Stark, R.; Weiland, E.; Rümenapf, T.; Meyers, G. Hog cholera virus: Molecular composition of virions from a pestivirus. J. Virol. 1991, 65, 4705–4712. [Google Scholar] [PubMed]
- Xiao, C.T.; Halbur, P.G.; Opriessnig, T. Global molecular genetic analysis of porcine circovirus type 2 (PCV2) sequences confirms the presence of four main PCV2 genotypes and reveals a rapid increase of PCV2d. J. Gen. Virol. 2015, 96, 1830–1841. [Google Scholar] [CrossRef] [PubMed]
- Xiao, C.T.; Halbur, P.G.; Opriessnig, T. Complete genome sequence of a novel porcine circovirus type 2b variant present in cases of vaccine failures in the United States. J. Virol. 2012, 86, 12469. [Google Scholar] [CrossRef] [PubMed]
- Franzo, G.; Cortey, M.; Segalés, J.; Hughes, J.; Drigo, M. Phylodynamic analysis of porcine circovirus type 2 reveals global waves of emerging genotypes and the circulation of recombinant forms. Mol. Phylogenet. Evol. 2016, 100, 269–280. [Google Scholar] [CrossRef] [PubMed]
- Hamel, A.L.; Lin, L.L.; Nayar, G.P. Nucleotide sequence of porcine circovirus associated with postweaning multisystemic wasting syndrome in pigs. J. Virol. 1998, 72, 5262–5267. [Google Scholar] [PubMed]
- Meng, X.J. Porcine circovirus type 2 (PCV2): Pathogenesis and interaction with the immune system. Annu. Rev. Anim. Biosci. 2013, 1, 43–64. [Google Scholar] [CrossRef] [PubMed]
- Liu, Q.; Tikoo, S.K.; Babiuk, L.A. Nuclear localization of the ORF2 protein encoded by porcine circovirus type 2. Virology 2001, 285, 91–99. [Google Scholar] [CrossRef] [PubMed]
- Blanchard, P.; Mahé, D.; Cariolet, R.; Keranflec’h, A.; Baudouard, M.A.; Cordioli, P.; Albina, E.; Jestin, A. Protection of swine against post-weaning multisystemic wasting syndrome (PMWS) by porcine circovirus type 2 (PCV2) proteins. Vaccine 2003, 21, 4565–4575. [Google Scholar] [CrossRef]
- Klausmann, S.; Sydler, T.; Summerfield, A.; Lewis, F.I.; Weilenmann, R.; Sidler, X.; Brugnera, E. T-cell reprogramming through targeted CD4-coreceptor and T-cell receptor expression on maturing thymocytes by latent Circoviridae family member porcine circovirus type 2 cell infections in the thymus. Emerg. Microbes Infect. 2015, 4, e15. [Google Scholar] [CrossRef] [PubMed]
- Beach, N.M.; Meng, X.J. Efficacy and future prospects of commercially available and experimental vaccines against porcine circovirus type 2 (PCV2). Virus Res. 2012, 164, 33–42. [Google Scholar] [CrossRef] [PubMed]
- Huang, Y.L.; Pang, V.F.; Lin, C.M.; Tsai, Y.C.; Chia, M.Y.; Deng, M.C.; Chang, C.Y.; Jeng, C.R. Porcine circovirus type 2 (PCV2) infection decreases the efficacy of an attenuated classical swine fever virus (CSFV) vaccine. Vet. Res. 2011, 42, 115. [Google Scholar] [CrossRef] [PubMed]
- Souza, A.P.; Haut, L.; Reyes-Sandoval, A.; Pinto, A.R. Recombinant viruses as vaccines against viral diseases. Braz. J. Med. Biol. Res. 2005, 38, 509–522. [Google Scholar] [CrossRef] [PubMed]
- Choi, K.S. Newcastle disease virus vectored vaccines as bivalent or antigen delivery vaccines. Clin. Exp. Vaccine Res. 2017, 6, 72–82. [Google Scholar] [CrossRef] [PubMed]
- Lei, J.L.; Xia, S.L.; Wang, Y.M.; Du, M.L.; Xiang, G.T.; Cong, X.; Luo, Y.Z.; Li, L.F.; Zhang, L.K.; Yu, J.H.; et al. Safety and immunogenicity of a gE/gI/TK gene-deleted pseudorabies virus variant expressing the E2 protein of classical swine fever virus in pigs. Immunol. Lett. 2016, 174, 63–71. [Google Scholar] [CrossRef] [PubMed]
- Qian, P.; Li, X.M.; Jin, M.L.; Peng, G.Q.; Chen, H.C. An approach to a FMD vaccine based on genetic engineered attenuated pseudorabies virus: One experiment using VP1 gene alone generates an antibody responds on FMD and pseudorabies in swine. Vaccine 2004, 22, 2129–2136. [Google Scholar] [CrossRef] [PubMed]
- Qiu, H.J.; Tong, G.Z.; Shen, R.X. The lapinized Chinese strain of classical swine fever virus: A retrospective review spanning half a century. J. Integr. Agric. 2005, 38, 1675–1685. [Google Scholar] [CrossRef]
- Xia, H.; Wahlberg, N.; Qiu, H.J.; Widén, F.; Belák, S.; Liu, L. Lack of phylogenetic evidence that the Shimen strain is the parental strain of the lapinized Chinese strain (C-strain) vaccine against classical swine fever. Arch. Virol. 2011, 156, 1041–1044. [Google Scholar] [CrossRef] [PubMed]
- Li, C.; Huang, J.H.; Li, Y.F.; He, F.; Li, D.; Sun, Y.; Han, W.; Qiu, H.J. Efficient and stable rescue of classical swine fever virus from cloned cDNA using an RNA polymerase II system. Arch. Virol. 2013, 158, 901–907. [Google Scholar] [CrossRef] [PubMed]
- Peng, W.P.; Hou, Q.; Xia, Z.H.; Chen, D.; Li, N.; Sun, Y.; Qiu, H.J. Identification of a conserved linear B-cell epitope at the N-terminus of the E2 glycoprotein of classical swine fever virus by phage-displayed random peptide library. Virus Res. 2008, 135, 267–272. [Google Scholar] [CrossRef] [PubMed]
- Reed, L.J.; Münch, H.A. A simple method of estimating fifty percent end points. Am. J. Hyg. 1938, 27, 709–716. [Google Scholar]
- Zhao, J.J.; Cheng, D.; Li, N.; Sun, Y.; Shi, Z.; Zhu, Q.H.; Tu, C.; Tong, G.Z.; Qiu, H.J. Evaluation of a multiplex real-time RT-PCR for quantitative and differential detection of wild-type viruses and C-strain vaccine of classical swine fever virus. Vet. Microbiol. 2008, 126, 1–10. [Google Scholar] [CrossRef] [PubMed]
- Sun, Y.; Li, N.; Li, H.Y.; Li, M.; Qiu, H.J. Enhanced immunity against classical swine fever in pigs induced by prime-boost immunization using an alphavirus replicon-vectored DNA vaccine and a recombinant adenovirus. Vet. Immunol. Immunopathol. 2010, 137, 20–27. [Google Scholar] [CrossRef] [PubMed]
- Gellért, A.; Salánki, K.; Tombácz, K.; Tuboly, T.; Balázs, E. A cucumber mosaic virus based expression system for the production of porcine circovirus specific vaccines. PLoS ONE 2012, 7, e52688. [Google Scholar] [CrossRef] [PubMed]
- Pérez-Martín, E.; Gómez-Sebastián, S.; Argilaguet, J.M.; Sibila, M.; Fort, M.; Nofrarías, M.; Kurtz, S.; Escribano, J.M.; Segalés, J.; Rodríguez, F. Immunity conferred by an experimental vaccine based on the recombinant PCV2 Cap protein expressed in Trichoplusia ni-larvae. Vaccine 2010, 28, 2340–2349. [Google Scholar] [CrossRef] [PubMed]
- Wang, K.; Huang, L.; Kong, J.; Zhang, X. Expression of the capsid protein of porcine circovirus type 2 in Lactococcus lactis for oral vaccination. J. Virol. Methods 2008, 150, 1–6. [Google Scholar] [CrossRef] [PubMed]
- Lin, H.X.; Ma, Z.; Fan, H.J.; Lu, C.P. Construction and immunogenicity of recombinant swinepox virus expressing capsid protein of PCV2. Vaccine 2012, 30, 6307–6313. [Google Scholar] [CrossRef] [PubMed]
- Wang, X.; Jiang, W.; Jiang, P.; Li, Y.; Feng, Z.; Xu, J. Construction and immunogenicity of recombinant adenovirus expressing the capsid protein of porcine circovirus 2 (PCV2) in mice. Vaccine 2006, 1224, 3374–3380. [Google Scholar] [CrossRef] [PubMed]
- Song, Y.; Jin, M.; Zhang, S.; Xu, X.; Xiao, S.; Cao, S.; Chen, H. Generation and immunogenicity of a recombinant pseudorabies virus expressing cap protein of porcine circovirus type 2. Vet. Microbiol. 2007, 119, 97–104. [Google Scholar] [CrossRef] [PubMed]
- Moennig, V.; Floegel-Niesmann, G.; Greiser-Wilke, I. Clinical signs and epidemiology of classical swine fever: A review of new knowledge. Vet. J. 2003, 165, 11–20. [Google Scholar] [CrossRef]
- Stark, R.; Meyers, G.; Rümenapf, T.; Thiel, H.J. Processing of pestivirus polyprotein: Cleavage site between autoprotease and nucleocapsid protein of classical swine fever virus. J. Virol. 1993, 67, 7088–7095. [Google Scholar] [PubMed]
- Gottipati, K.; Acholi, S.; Ruggli, N.; Choi, K.H. Autocatalytic activity and substrate specificity of the pestivirus N-terminal protease Npro. Virology 2014, 452, 303–309. [Google Scholar] [CrossRef] [PubMed]
- Fan, Z.C.; Dennis, J.C.; Bird, R.C. Bovine viral diarrhea virus is a suitable viral vector for stable expression of heterologous gene when inserted in between Npro and C genes. Virus Res. 2008, 138, 97–104. [Google Scholar] [CrossRef] [PubMed]
- Wang, Y.C.; Wang, F.; Wang, R.Y.; Zhao, P.; Xia, Q.Y. 2A self-cleaving peptide-based multi-gene expression system in the silkworm Bombyx mori. Sci. Rep. 2015, 5, 16273. [Google Scholar] [CrossRef] [PubMed]
- Walsh, E.P.; Baron, M.D.; Anderson, J.; Barrett, T. Development of a genetically marked recombinant rinderpest vaccine expressing green fluorescent protein. J. Gen. Virol. 2000, 81, 709–718. [Google Scholar] [CrossRef] [PubMed]
- Walsh, E.P.; Baron, M.D.; Rennie, L.F.; Monaghan, P.; Anderson, J.; Barrett, T. Recombinant rinderpest vaccines expressing membrane-anchored proteins as genetic markers: Evidence of exclusion of marker protein from the virus envelope. J. Virol. 2000, 74, 10165–10175. [Google Scholar] [CrossRef] [PubMed]
- Thompson, S.A.; Burrows, S.R.; Misko, I.S.; Moss, D.J.; Coupar, B.E.; Khanna, R. Targetting a polyepitope protein incorporating multiple class II-restricted viral epitopes to the secretory/endocytic pathway facilitates immune recognition by CD4+ cytotoxic T lymphocytes: a novel approach to vaccine design. J. Virol. 1998, 72, 2246–2252. [Google Scholar]




| Primers | Sequences (5′→3′) |
|---|---|
| pHCLV-2ACap-1F | CACCTCGAGATGCTACGTG |
| pHCLV-2ACap-1R | CCCACTTGCGCCATCATCGGAGCAACTGGTAACCCACAATGG |
| pHCLV-2ACap-2F | TCCGATGATGGCGCAAGTGGGACGTATCCAAGGAGGCGTTAC |
| pHCLV-2ACap-2R | CCACATCGCCGGCCTGTTTCAGCAGCGAAAAGTTTGTGGCAGGGTTAAGTGGGGGTCTTTAAG |
| pHCLV-2ACap-3F | GCTGAAACAGGCCGGCGATGTGGAGGAGAACCCAGGCCCATCCGATGATGGCGCAAGTGGGAG |
| pHCLV-2ACap-3R | CTGATGCATGCACCTTGACAGTCGTGAATG |
| pHCLV-uspCap-1F | CACCTCGAGATGCTACGTGGACGAGGG |
| pHCLV-uspCap-1R | GGGCTGCAGCAGAAAGTATCACTGTAGACATTAAAATAGCTGAGATAATCTTTTTTTTCATCCCACTTGCGCCATCATC |
| pHCLV-uspCap-2F | CTTTCTGCTGCAGCCCCGTTGTCAGGTGTTTACGCCCTGGAAATAAGCAGCACCTGCGATGCAGGCATCTTCAACACCC |
| pHCLV-pspCap-2R | CTGATGCATGCACCTTGACAGTCGTG |
| pHCLV-pspCap-1F | CACCTCGAGATGCTACGTGGACGAGGG |
| pHCLV-pspCap-1R | GACCACCAGCAGCAGCAGCAGCCGTGATCCTTTCTGGGAGCTCCCCTTACTGTCCATCCCACTTGCGCCATCATCGGAG |
| pHCLV-pspCap-2F | GGCTGCTGCTGCTGCTGGTGGTCAGCAACCTGCTGCTGCCTCAGGGGGTGGTCGGAGGCATCTTCAACACCCGCCTCTC |
| pHCLV-pspCap-2R | CTGATGCATGCACCTTGACAGTCGTG |
| Group | Prime Immunization | Dose (TCID50) | Number | Booster Immunization | Dose (TCID50) |
|---|---|---|---|---|---|
| A | rHCLV-2ACap | 104 | 6 | rHCLV-2ACap | 104 |
| B | rHCLV-pspCap | 104 | 6 | rHCLV-pspCap | 104 |
| C | rHCLV-uspCap | 104 | 6 | rHCLV-uspCap | 104 |
| D | rHCLV | 104 | 6 | rHCLV | 104 |
| E | C-strain | 104 | 6 | C-strain | 104 |
| F | LG-vaccine | 1 mL | 3 | LG-vaccine | 1 mL |
| G | DMEM | 1 mL | 6 | DMEM | 1 mL |
| Group | Viruses | Dose (TCID50) | Fever Response | Viral Replication | Seroconversion of Antibodies Against CSFV E2 (PCV2 Cap) |
|---|---|---|---|---|---|
| A | rHCLV-2ACap | 104 | 4/6 | 3/3 | 3/3 (0/3) |
| B | rHCLV-pspCap | 104 | 5/6 | 3/3 | 3/3 (1/3) |
| C | rHCLV-uspCap | 104 | 4/6 | 3/3 | 3/3 (2/3) |
| D | rHCLV | 104 | 5/6 | 3/3 | 3/3 (0/3) |
| E | C-strain | 104 | 6/6 | 3/3 | 3/3 (0/3) |
| F | LG-vaccine | 1 mL | n.d. | n.d. | n.d. (3/3) |
| G | DMEM | 1 mL | 0/6 | 0/3 | 0/3 (0/3) |
| Groups | Viruses | Days Post-Prime Immunization (Weeks Post-Booster Immunization) | |||||
|---|---|---|---|---|---|---|---|
| 0 | 7 | 14 | 21 (0) | 28 (1) | 35 (2) | ||
| A | rHCLV-2ACap | <10 | <10 | 75 ± 32 | 158 ± 65 | 710 ± 352 | >1028 |
| B | rHCLV-pspCap | <10 | <10 | 89 ± 50 | 158 ± 95 | 670 ± 252 | >1028 |
| C | rHCLV-uspCap | <10 | 20 | 89 ± 50 | 182 ± 56 | 630 ± 0 | >1028 |
| E | C-strain | <10 | 21 ± 4 | 89 ± 50 | 188 ± 0 | 710 ± 352 | >1028 |
| G | DMEM | <10 | <10 | <10 | <10 | <10 | <10 |
| Groups | Viruses | Days Post-Prime Immunization (Weeks Post-Booster Immunization) | ||||||||
|---|---|---|---|---|---|---|---|---|---|---|
| 0 | 7 | 14 | 21 (0) | 28 (1) | 35 (2) | 42 (3) | 49 (4) | 56 (5) | ||
| A | rHCLV-2ACap | <10 | <10 | <10 | <10 | <10 | <10 | <10 | <10 | <10 |
| B | rHCLV-pspCap | <10 | <10 | <10 | <10 | <10 | <10 | 80 ± 0 | 80 ± 0 | 160 ± 0 |
| C | rHCLV-uspCap | <10 | <10 | <10 | <10 | <10 | 20 ± 0 | 80 ± 400 | 160 ± 0 | 160 ± 0 |
| F | LG-vaccine | <10 | <10 | <10 | <10 | <10 | 40 ± 88 | 320 ± 0 | 640 ± 0 | 640 ± 0 |
| G | DMEM | <10 | <10 | <10 | <10 | <10 | <10 | <10 | <10 | <10 |
© 2017 by the authors. Licensee MDPI, Basel, Switzerland. This article is an open access article distributed under the terms and conditions of the Creative Commons Attribution (CC BY) license (http://creativecommons.org/licenses/by/4.0/).
Share and Cite
Zhang, L.; Li, Y.; Xie, L.; Wang, X.; Gao, X.; Sun, Y.; Qiu, H.-J. Secreted Expression of the Cap Gene of Porcine Circovirus Type 2 in Classical Swine Fever Virus C-Strain: Potential of C-Strain Used as a Vaccine Vector. Viruses 2017, 9, 298. https://doi.org/10.3390/v9100298
Zhang L, Li Y, Xie L, Wang X, Gao X, Sun Y, Qiu H-J. Secreted Expression of the Cap Gene of Porcine Circovirus Type 2 in Classical Swine Fever Virus C-Strain: Potential of C-Strain Used as a Vaccine Vector. Viruses. 2017; 9(10):298. https://doi.org/10.3390/v9100298
Chicago/Turabian StyleZhang, Lingkai, Yongfeng Li, Libao Xie, Xiao Wang, Xulei Gao, Yuan Sun, and Hua-Ji Qiu. 2017. "Secreted Expression of the Cap Gene of Porcine Circovirus Type 2 in Classical Swine Fever Virus C-Strain: Potential of C-Strain Used as a Vaccine Vector" Viruses 9, no. 10: 298. https://doi.org/10.3390/v9100298
APA StyleZhang, L., Li, Y., Xie, L., Wang, X., Gao, X., Sun, Y., & Qiu, H.-J. (2017). Secreted Expression of the Cap Gene of Porcine Circovirus Type 2 in Classical Swine Fever Virus C-Strain: Potential of C-Strain Used as a Vaccine Vector. Viruses, 9(10), 298. https://doi.org/10.3390/v9100298

