HTLV-3/STLV-3 and HTLV-4 Viruses: Discovery, Epidemiology, Serology and Molecular Aspects
Abstract
:1. Introduction
2. STLV-3 Discovery and Epidemiological Characteristics
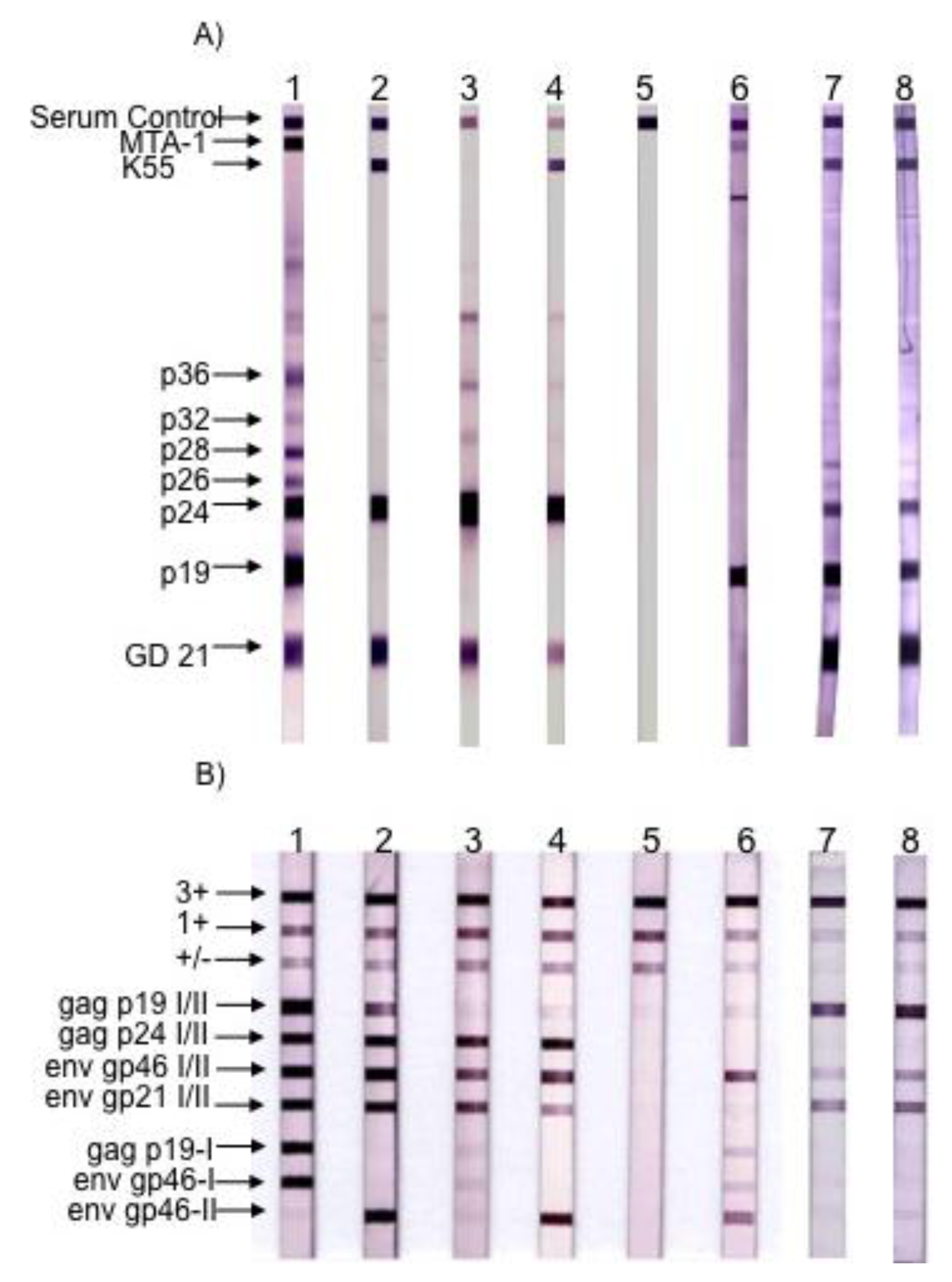
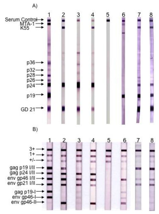
3. HTLV-3 Discovery, Serological and Epidemiological Characteristics
4. HTLV-4, Another Retrovirus Found in Humans
5. HTLV-3/STLV-3 Genomic Characterization
5.1. PTLV-3: Characterization of the Tax Protein
5.2. PTLV-3 Auxiliary Proteins
5.3. HTLV-3/STLV-3 Receptor Complex
6. HTLV-4 Molecular Aspects
7. Conclusions
Acknowledgments
Conflict of Interest
References and Notes
- Lairmore, M.; Franchini, G. Human T-cell leukemia virus types 1 and 2. In Field’s Virology, 5th ed.; Wilkins, L.W.A., Ed.; Lippincott Williams & Wilkins: Philadelphia, PA, USA, 2007; Volume 2, pp. 2072–2105. [Google Scholar]
- Calattini, S.; Chevalier, S.A.; Duprez, R.; Bassot, S.; Froment, A.; Mahieux, R.; Gessain, A. Discovery of a new human T-cell lymphotropic virus (HTLV-3) in Central Africa. Retrovirology 2005, 2, 30. [Google Scholar] [CrossRef] [PubMed]
- Wolfe, N.D.; Heneine, W.; Carr, J.K.; Garcia, A.D.; Shanmugam, V.; Tamoufe, U.; Torimiro, J.N.; Prosser, A.T.; Lebreton, M.; Mpoudi-Ngole, E.; et al. Emergence of unique primate T-lymphotropic viruses among central African bushmeat hunters. Proc. Natl. Acad. Sci. U. S. A. 2005, 102, 7994–7999. [Google Scholar] [CrossRef]
- Sintasath, D.M.; Wolfe, N.D.; Lebreton, M.; Jia, H.; Garcia, A.D.; Le Doux-Diffo, J.; Tamoufe, U.; Carr, J.K.; Folks, T.M.; Mpoudi-Ngole, E.; et al. Simian T-lymphotropic virus diversity among nonhuman primates, Cameroon. Emerg. Infect. Dis. 2009, 15, 175–184. [Google Scholar] [CrossRef]
- Goubau, P.; Van Brussel, M.; Vandamme, A.M.; Liu, H.F.; Desmyter, J. A primate T-lymphotropic virus, PTLV-L, different from human T-lymphotropic viruses types I and II, in a wild-caught baboon (Papio hamadryas). Proc. Natl. Acad. Sci. U. S. A. 1994, 91, 2848–2852. [Google Scholar] [CrossRef] [PubMed]
- Van Dooren, S.; Salemi, M.; Pourrut, X.; Peeters, M.; Delaporte, E.; Van Ranst, M.; Vandamme, A.M. Evidence for a second simian T-cell lymphotropic virus type 3 in Cercopithecus nictitans from Cameroon. J. Virol. 2001, 75, 11939–11941. [Google Scholar] [CrossRef]
- Meertens, L.; Mahieux, R.; Mauclere, P.; Lewis, J.; Gessain, A. Complete sequence of a novel highly divergent simian T-cell lymphotropic virus from wild-caught red-capped mangabeys (Cercocebus torquatus) from Cameroon: A new primate T-lymphotropic virus type 3 subtype. J. Virol. 2002, 76, 259–268. [Google Scholar] [CrossRef] [PubMed]
- Courgnaud, V.; Van Dooren, S.; Liegeois, F.; Pourrut, X.; Abela, B.; Loul, S.; Mpoudi-Ngole, E.; Vandamme, A.; Delaporte, E.; Peeters, M. Simian T-cell leukemia virus (STLV) infection in wild primate populations in Cameroon: Evidence for dual STLV type 1 and type 3 infection in agile mangabeys (Cercocebus agilis). J. Virol. 2004, 78, 4700–4709. [Google Scholar] [CrossRef] [PubMed]
- Meertens, L.; Shanmugam, V.; Gessain, A.; Beer, B.E.; Tooze, Z.; Heneine, W.; Switzer, W.M. A novel, divergent simian T-cell lymphotropic virus type 3 in a wild-caught red-capped mangabey (Cercocebus torquatus torquatus) from Nigeria. J. Gen. Virol. 2003, 84, 2723–2727. [Google Scholar]
- Takemura, T.; Yamashita, M.; Shimada, M.K.; Ohkura, S.; Shotake, T.; Ikeda, M.; Miura, T.; Hayami, M. High prevalence of simian T-lymphotropic virus type L in wild ethiopian baboons. J. Virol. 2002, 76, 1642–1648. [Google Scholar] [CrossRef] [PubMed]
- Meertens, L.; Gessain, A. Divergent simian T-cell lymphotropic virus type 3 (STLV-3) in wild-caught Papio hamadryas papio from Senegal: Widespread distribution of STLV-3 in Africa. J. Virol. 2003, 77, 782–789. [Google Scholar] [CrossRef] [PubMed]
- Van Dooren, S.; Shanmugam, V.; Bhullar, V.; Parekh, B.; Vandamme, A.M.; Heneine, W.; Switzer, W.M. Identification in gelada baboons (Theropithecus gelada) of a distinct simian T-cell lymphotropic virus type 3 with a broad range of Western blot reactivity. J. Gen. Virol. 2004, 85, 507–519. [Google Scholar] [CrossRef] [PubMed]
- Sintasath, D.M.; Wolfe, N.D.; Zheng, H.Q.; LeBreton, M.; Peeters, M.; Tamoufe, U.; Djoko, C.F.; Diffo, J.L.; Mpoudi-Ngole, E.; Heneine, W.; et al. Genetic characterization of the complete genome of a highly divergent simian T-lymphotropic virus (STLV) type 3 from a wild Cercopithecus mona monkey. Retrovirology 2009, 6, 97. [Google Scholar] [CrossRef] [PubMed]
- Liegeois, F.; Lafay, B.; Switzer, W.M.; Locatelli, S.; Mpoudi-Ngole, E.; Loul, S.; Heneine, W.; Delaporte, E.; Peeters, M. Identification and molecular characterization of new STLV-1 and STLV-3 strains in wild-caught nonhuman primates in Cameroon. Virology 2008, 371, 405–417. [Google Scholar] [CrossRef] [PubMed]
- Calattini, S.; Betsem, E.; Bassot, S.; Chevalier, S.A.; Mahieux, R.; Froment, A.; Gessain, A. New strain of human T lymphotropic virus (HTLV) type 3 in a Pygmy from Cameroon with peculiar HTLV serologic results. J. Infect. Dis. 2009, 199, 561–564. [Google Scholar] [CrossRef]
- Calattini, S.; Chevalier, S.A.; Duprez, R.; Afonso, P.; Froment, A.; Gessain, A.; Mahieux, R. Human T-cell lymphotropic virus type 3: Complete nucleotide sequence and characterization of the human tax3 protein. J. Virol. 2006, 80, 9876–9888. [Google Scholar] [CrossRef] [PubMed]
- Zheng, H.; Wolfe, N.D.; Sintasath, D.M.; Tamoufe, U.; Lebreton, M.; Djoko, C.F.; Diffo Jle, D.; Pike, B.L.; Heneine, W.; Switzer, W.M. Emergence of a novel and highly divergent HTLV-3 in a primate hunter in Cameroon. Virology 2010, 401, 137–145. [Google Scholar] [CrossRef]
- Betsem, E.; Rua, R.; Tortevoye, P.; Froment, A.; Gessain, A. Frequent and recent human acquisition of simian foamy viruses through apes bites in central Africa. PLoS Pathog. 2011. submitted for publication. [Google Scholar] [CrossRef]
- Calattini, S.; Betsem, E.B.; Froment, A.; Mauclere, P.; Tortevoye, P.; Schmitt, C.; Njouom, R.; Saib, A.; Gessain, A. Simian foamy virus transmission from apes to humans, rural Cameroon. Emerg. Infect. Dis. 2007, 13, 1314–1320. [Google Scholar] [CrossRef]
- Heneine, W.; Switzer, W.M.; Sandstrom, P.; Brown, J.; Vedapuri, S.; Schable, C.A.; Khan, A.S.; Lerche, N.W.; Schweizer, M.; Neumann-Haefelin, D.; et al. Identification of a human population infected with simian foamy viruses. Nat. Med. 1998, 4, 403–407. [Google Scholar] [CrossRef]
- Switzer, W.M.; Salemi, M.; Qari, S.H.; Jia, H.; Gray, R.R.; Katzourakis, A.; Marriott, S.J.; Pryor, K.N.; Wolfe, N.D.; Burke, D.S.; et al. Ancient, independent evolution and distinct molecular features of the novel human T-lymphotropic virus type 4. Retrovirology 2009, 6, 9. [Google Scholar] [CrossRef] [PubMed]
- Switzer, W.M.; Qari, S.H.; Wolfe, N.D.; Burke, D.S.; Folks, T.M.; Heneine, W. Ancient origin and molecular features of the novel human T-lymphotropic virus type 3 revealed by complete genome analysis. J. Virol. 2006, 80, 7427–7438. [Google Scholar] [CrossRef]
- Chevalier, S.A.; Meertens, L.; Pise-Masison, C.; Calattini, S.; Park, H.; Alhaj, A.A.; Zhou, M.; Gessain, A.; Kashanchi, F.; Brady, J.N.; et al. The tax protein from the primate T-cell lymphotropic virus type 3 is expressed in vivo and is functionally related to HTLV-1 Tax rather than HTLV-2 Tax. Oncogene 2006, 25, 4470–4482. [Google Scholar] [CrossRef] [PubMed]
- Chevalier, S.A.; Ko, N.L.; Calattini, S.; Mallet, A.; Prevost, M.C.; Kehn, K.; Brady, J.N.; Kashanchi, F.; Gessain, A.; Mahieux, R. Construction and characterization of a human T-cell lymphotropic virus type 3 infectious molecular clone. J. Virol. 2008, 82, 6747–6752. [Google Scholar] [CrossRef] [PubMed]
- Van Brussel, M.; Goubau, P.; Rousseau, R.; Desmyter, J.; Vandamme, A.M. The genomic structure of a new simian T-lymphotropic virus, STLV-PH969, differs from that of human T-lymphotropic virus types I and II. J. Gen. Virol. 1996, 77, 347–358. [Google Scholar] [CrossRef] [PubMed]
- Jones, K.S.; Huang, Y.K.; Chevalier, S.A.; Afonso, P.V.; Petrow-Sadowski, C.; Bertolette, D.C.; Gessain, A.; Ruscetti, F.W.; Mahieux, R. The receptor complex associated with human T-cell lymphotropic virus type 3 (HTLV-3) Env-mediated binding and entry is distinct from, but overlaps with, the receptor complexes of HTLV-1 and HTLV-2. J. Virol. 2009, 83, 5244–5255. [Google Scholar] [CrossRef]
- Garin, B.; Gosselin, S.; de The, G.; Gessain, A. HTLV-I/II infection in a high viral endemic area of Zaire, Central Africa: comparative evaluation of serology, PCR, and significance of indeterminate western blot pattern. J. Med. Virol. 1994, 44, 104–109. [Google Scholar] [CrossRef] [PubMed]
- Mahieux, R.; Horal, P.; Mauclere, P.; Mercereau-Puijalon, O.; Guillotte, M.; Meertens, L.; Murphy, E.; Gessain, A. Human T-cell lymphotropic virus type 1 gag indeterminate western blot patterns in Central Africa: relationship to Plasmodium falciparum infection. J. Clin. Microbiol. 2000, 38, 4049–4057. [Google Scholar] [CrossRef] [PubMed]
- Mauclere, P.; Le Hesran, J.Y.; Mahieux, R.; Salla, R.; Mfoupouendoun, J.; Abada, E.T.; Millan, J.; de The, G.; Gessain, A. Demographic, ethnic, and geographic differences between human T cell lymphotropic virus (HTLV) type I-seropositive carriers and persons with HTLV-I Gag-indeterminate Western blots in Central Africa. J. Infect. Dis. 1997, 176, 505–509. [Google Scholar] [CrossRef]
- Tuppin, P.; Makuwa, M.; Guerma, T.; Bazabana, M.M.; Loukaka, J.C.; Jeannel, D.; M’Pele, P.; de The, G. Low HTLV-I/II seroprevalence in pregnant women in Congo and a geographic cluster of an HTLV-like indeterminate western blot pattern. J. Acquir. Immune Defic. Syndr. Hum. Retrovirol. 1996, 11, 105–107. [Google Scholar] [CrossRef]
- Switzer, W.M.; Hewlett, I.; Aaron, L.; Wolfe, N.D.; Burke, D.S.; Heneine, W. Serologic testing for human T-lymphotropic virus-3 and -4. Transfusion 2006, 46, 1647–1648. [Google Scholar] [CrossRef]
- Filippone, C.; Bassot, S.; Betsem, E.; Plancoulaine, S.; Calattini, S.; Gessain, A. Epidemiological determinants and PCR results in Central African inhabitants with a new and frequent HTLV indeterminate Western Blot pattern exhibiting mostly p28, p32, p36, and a shifted GD21. 2011, unpublished work.
- Waziri, A.; Soldan, S.S.; Graf, M.D.; Nagle, J.; Jacobson, S. Characterization and sequencing of prototypic human T-lymphotropic virus type 1 (HTLV-1) from an HTLV-1/2 seroindeterminate patient. J. Virol. 2000, 74, 2178–2185. [Google Scholar] [CrossRef] [PubMed]
- Mauclere, P.; Afonso, P.V.; Meertens, L.; Plancoulaine, S.; Calattini, S.; Froment, A.; Van Beveren, M.; de The, G.; Quintana-Murci, L.; Mahieux, R.; et al. HTLV-2B strains, similar to those found in several amerindian tribes, are endemic in central african bakola pygmies. J. Infect. Dis. 2011, 203, 1316–1323. [Google Scholar] [CrossRef]
- Duong, Y.T.; Jia, H.; Lust, J.A.; Garcia, A.D.; Tiffany, A.J.; Heneine, W.; Switzer, W.M. Short communication: Absence of evidence of HTLV-3 and HTLV-4 in patients with large granular lymphocyte (LGL) leukemia. AIDS Res. Hum. Retroviruses 2008, 24, 1503–1505. [Google Scholar] [CrossRef] [PubMed]
- Thomas, A.; Perzova, R.; Abbott, L.; Benz, P.; Poiesz, M.J.; Dube, S.; Loughran, T.; Ferrer, J.; Sheremata, W.; Glaser, J.; et al. LGL leukemia and HTLV. AIDS Res. Hum. Retroviruses 2010, 26, 33–40. [Google Scholar] [CrossRef] [PubMed]
- Perzova, R.; Benz, P.; Abbott, L.; Welch, C.; Thomas, A.; El Ghoul, R.; Sanghi, S.; Nara, P.; Glaser, J.; Siegal, F.P.; et al. Short communication: No evidence of HTLV-3 and HTLV-4 infection in New York State subjects at risk for retroviral infection. AIDS Res. Hum. Retroviruses 2010, 26, 1229–1231. [Google Scholar] [CrossRef] [PubMed]
- Calattini, S.; Betsem, E.; Bassot, S.; Chevalier, S.A.; Tortevoye, P.; Njouom, R.; Mahieux, R.; Froment, A.; Gessain, A. Multiple retroviral infection by HTLV type 1, 2, 3 and simian foamy virus in a family of Pygmies from Cameroon. Virology 2011, 410, 48–55. [Google Scholar] [CrossRef]
- Slattery, J.P.; Franchini, G.; Gessain, A. Genomic evolution, patterns of global dissemination, and interspecies transmission of human and simian T-cell leukemia/lymphotropic viruses. Genome Res. 1999, 9, 525–540. [Google Scholar] [CrossRef]
- Wolfe, N.D.; Prosser, T.A.; Carr, J.K.; Tamoufe, U.; Mpoudi-Ngole, E.; Torimiro, J.N.; LeBreton, M.; McCutchan, F.E.; Birx, D.L.; Burke, D.S. Exposure to nonhuman primates in rural Cameroon. Emerg. Infect. Dis. 2004, 10, 2094–2099. [Google Scholar] [CrossRef]





| Identification | Age (year) | Sex | Ethnic Group | Screening Test | W.Blot HTLV 2.4 | Inno-Lia | Reference |
|---|---|---|---|---|---|---|---|
| HTLV-3 Pyl 43 | 62 | Male | Bakola Pygmy | Weak IFA + MT2 | P19, and weak MTA-1 | Weak Gag p19 I/II Env gp46 I/II, Weak Gag p19 I Weak Env gp46 I Env gp46 II | [2] |
| HTLV-3 2026 ND | 63 | Male | NP | ELISA + | P19, P24, GD21, and weak MTA-1 | Weak P24 I/II Env gp21 | [3] |
| HTLV-3 Lobak 18 | 56 | Male | Baka Pygmy | IFA + MT2 | P19, P24, GD21, K55 | Weak Gag P19 I/II Weak Env gp46 I/II Env gp21 I/II | [15] |
| HTLV-3 Cam2013AB | 32 | Male | Bantu | ELISA + | P24, P28, GD21 | [17] | |
| HTLV-4 1863 LE | 48 | Male | NP | ELISA + | P19, weak P24, P26, P28, weak GD21, weak K55. | Gag p19 I/II Gag p24 I/II Env gp46 I/II Env 21 I/II Env gp46 I | [3] |
Publisher’s Note: MDPI stays neutral with regard to jurisdictional claims in published maps and institutional affiliations. |
© 2011 by the authors. Licensee MDPI, Basel, Switzerland. This article is an open access article distributed under the terms and conditions of the Creative Commons Attribution (CC BY) license (https://creativecommons.org/licenses/by/4.0/).
Share and Cite
Mahieux, R.; Gessain, A. HTLV-3/STLV-3 and HTLV-4 Viruses: Discovery, Epidemiology, Serology and Molecular Aspects. Viruses 2011, 3, 1074-1090. https://doi.org/10.3390/v3071074
Mahieux R, Gessain A. HTLV-3/STLV-3 and HTLV-4 Viruses: Discovery, Epidemiology, Serology and Molecular Aspects. Viruses. 2011; 3(7):1074-1090. https://doi.org/10.3390/v3071074
Chicago/Turabian StyleMahieux, Renaud, and Antoine Gessain. 2011. "HTLV-3/STLV-3 and HTLV-4 Viruses: Discovery, Epidemiology, Serology and Molecular Aspects" Viruses 3, no. 7: 1074-1090. https://doi.org/10.3390/v3071074
APA StyleMahieux, R., & Gessain, A. (2011). HTLV-3/STLV-3 and HTLV-4 Viruses: Discovery, Epidemiology, Serology and Molecular Aspects. Viruses, 3(7), 1074-1090. https://doi.org/10.3390/v3071074
