Retrospective Analysis of 50 Postnatal BVDV Outbreaks in Cattle from Central Argentina: Clinical, Pathological, and Epidemiological Insights
Abstract
1. Introduction
2. Materials and Methods
2.1. Study Design and Sample Origin
2.2. Diagnostic Criteria and Case Classification
2.3. Histopathology
2.4. Statistical Analysis
3. Results
3.1. Epidemiological Data
3.2. Clinical Signs
3.3. Gross Findings
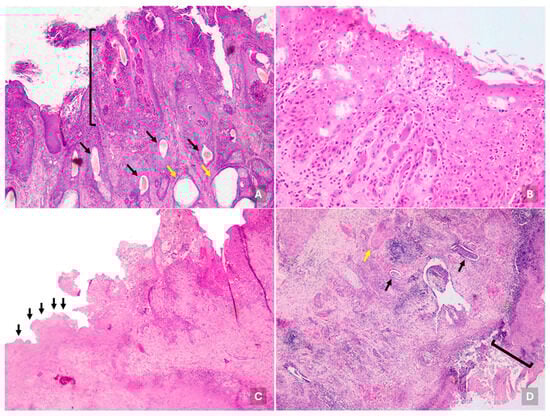
3.4. Microscopic Findings
3.5. Diagnostic Techniques
4. Discussion
5. Conclusions
Supplementary Materials
Author Contributions
Funding
Institutional Review Board Statement
Data Availability Statement
Acknowledgments
Conflicts of Interest
Abbreviations
| BVDV | Bovine viral diarrhea virus |
| AI | acute infection |
| MD | mucosal disease |
| cp | cytopathic |
| ncp | non-cytopathic |
| PI | persistently infected |
| LI | lateral immunochromatography |
References
- Yan, L.; Rose, H. Bovine Viral Diarrhea Virus. In Veterinary Virology of Domestic and Pet Animals; Wang, L., Ed.; Springer: Berlin/Heidelberg, Germany, 2025; pp. 1–17. [Google Scholar] [CrossRef]
- Mosena, A.C.S.; Falkenberg, S.M.; Ma, H.; Casas, E.; Dassanayake, R.P.; Walz, P.H.; Canal, C.W.; Neill, J.D. Multivariate analysis as a method to evaluate antigenic relationships between BVDV vaccine and field strains. Vaccine 2020, 38, 5764–5772. [Google Scholar] [CrossRef]
- Su, N.; Wang, Q.; Liu, H.Y.; Li, L.M.; Tian, T.; Yin, J.Y.; Zheng, W.; Ma, Q.X.; Wang, T.T.; Li, T.; et al. Prevalence of bovine viral diarrhea virus in cattle between 2010 and 2021: A global systematic review and meta-analysis. Front. Vet. Sci. 2023, 9, 1086180. [Google Scholar] [CrossRef]
- Peterhans, E.; Jungi, T.W.; Schweizer, M. BVDV and Innate Immunity. Biol. J. Int. Alliance Biol. Stand. 2003, 31, 107–112. [Google Scholar] [CrossRef]
- Brodersen, B.W. Bovine Viral Diarrhea Virus Infections: Manifestations of Infection and Recent Advances in Understanding Pathogenesis and Control. Vet. Pathol. 2014, 51, 453–464. [Google Scholar] [CrossRef]
- Werid, G.M.; Hemmatzadeh, F.; Miller, D.; Reichel, M.P.; Messele, Y.E.; Petrovski, K. Comparative Analysis of the Prevalence of Bovine Viral Diarrhea Virus in Cattle Populations Based on Detection Methods: A Systematic Review and Meta-Analysis. Pathogens 2023, 12, 1067. [Google Scholar] [CrossRef]
- Al-Kubati, A.A.G.; Hussen, J.; Kandeel, M.; Al-Mubarak, A.I.A.; Hemida, M.G. Recent Advances on the Bovine Viral Diarrhea Virus Molecular Pathogenesis, Immune Response, and Vaccines Development. Front. Vet. Sci. 2021, 8, 665128. [Google Scholar] [CrossRef]
- Wang, Y.; Pang, F. Diagnosis of bovine viral diarrhea virus: An overview of currently available methods. Front. Microbiol. 2024, 15, 1370050. [Google Scholar] [CrossRef]
- Zirra-Shallangwa, B.; González Gordon, L.; Hernandez-Castro, L.E.; Cook, E.A.J.; Bronsvoort, B.M.d.C.; Kelly, R.F. The Epidemiology of Bovine Viral Diarrhea Virus in Low- and Middle-Income Countries: A Systematic Review and Meta-Analysis. Front. Vet. Sci. 2022, 9, 947515. [Google Scholar] [CrossRef] [PubMed]
- Bellido, D.; Wenz, D.; Schang, M.; Bermúdez, P.; Mangioni, P.; Niella, G.; Harguindeguy, S.; Lobosco, B.G.; Dorronsoro, M.; Copa, N.; et al. Estudio de la circulación del virus DVB en rodeos en Argentina. In Proceedings of the I Jornadas Internacionales de Epidemiología Veterinaria, Buenos Aires, Argentina, 7–8 November 2024; Universidad de Buenos Aires: Buenos Aires, Argentina, 2024. [Google Scholar]
- Odeón, A.; Spath, E.; Paloma, E.; Leunda, M.; Fernández Sainz, I.; Perez, S.; Kaiser, G.; Draghi, M.; Cetra, B.; Cano, A. Seroprevalencia de la Diarrea Viral Bovina, Herpesvirus Bovino y Virus Sincicial Respiratorio en Argentina. Rev. Med. Vet. 2001, 82, 216–221. [Google Scholar]
- Pacheco, J.M.; Lager, I. Indirect method ELISA for the detection of antibodies against bovine diarrhea virus in bovine serum. Rev. Argent. Microbiol. 2003, 35, 19–23. [Google Scholar] [PubMed]
- Scharnböck, B.; Roch, F.F.; Richter, V.; Funke, C.; Firth, C.L.; Obritzhauser, W.; Baumgartner, W.; Käsbohrer, A.; Pinior, B. A meta-analysis of bovine viral diarrhoea virus (BVDV) prevalences in the global cattle population. Sci. Rep. 2018, 8, 14420. [Google Scholar] [CrossRef] [PubMed]
- Spetter, M.J.; Louge Uriarte, E.L.; Armendano, J.I.; Álvarez, I.; Norero, N.S.; Storani, L.; Pereyra, S.B.; Verna, A.E.; Odeón, A.C.; González Altamiranda, E.A. Frequency of bovine viral diarrhea virus (BVDV) in Argentinean bovine herds and comparison of diagnostic tests for BVDV detection in bovine serum samples: A preliminary study. Braz. J. Microbiol. 2021, 52, 467–475. [Google Scholar] [CrossRef]
- Cantón, G.J.; Moreno, F.; Fiorentino, M.A.; Hecker, Y.P.; Spetter, M.; Fiorani, F.; Monterubbianesi, M.G.; García, J.A.; Altamiranda, E.G.; Cirone, K.M.; et al. Spatial-temporal trends and economic losses associated with bovine abortifacients in central Argentina. Trop. Anim. Health Prod. 2022, 54, 242. [Google Scholar] [CrossRef]
- Spetter, M.J.; Louge Uriarte, E.L.; Armendano, J.I.; Morrell, E.L.; Cantón, G.J.; Verna, A.E.; Dorsch, M.A.; Pereyra, S.B.; Odeón, A.C.; Saliki, J.T.; et al. Detection methods and characterization of bovine viral diarrhea virus in aborted fetuses and neonatal calves over a 22-year period. Braz. J. Microbiol. 2020, 51, 2077–2086. [Google Scholar] [CrossRef]
- Lanyon, S.R.; Hill, F.I.; Reichel, M.P.; Brownlie, J. Bovine viral diarrhoea: Pathogenesis and diagnosis. Vet. J. 2014, 199, 201–209. [Google Scholar] [CrossRef]
- Becher, P.; Tautz, N. RNA recombination in pestiviruses—Cellular RNA sequences in viral genomes highlight the role of host factors for viral persistence and lethal disease. RNA Biol. 2011, 8, 216–224. [Google Scholar] [CrossRef]
- Khodakaram-Tafti, A.; Farjanikish, G.H. Persistent bovine viral diarrhea virus (BVDV) infection in cattle herds. Iran. J. Vet. Res. 2017, 18, 154. [Google Scholar] [CrossRef]
- Bachofen, C.; Vogt, H.R.; Stalder, H.; Mathys, T.; Zanoni, R.; Hilbe, M.; Schweizer, M.; Peterhans, E. Persistent infections after natural transmission of bovine viral diarrhoea virus from cattle to goats and among goats. Vet. Res. 2013, 44, 32. [Google Scholar] [CrossRef]
- Oguejiofor, C.F.; Thomas, C.; Cheng, Z.; Wathes, D.C. Mechanisms linking bovine viral diarrhea virus (BVDV) infection with infertility in cattle. Anim. Health Res. Rev. 2019, 20, 72–85. [Google Scholar] [CrossRef] [PubMed]
- Passler, T. Infectious agents: Bovine Viral Diarrhea Virus. In Bovine Reproduction; Hopper, R., Ed.; John Wiley and Sons: Hoboken, NJ, USA, 2021; pp. 758–783. [Google Scholar] [CrossRef]
- Pereyra, R.; Martino, F.; Castillo, M.; Salas, J.M.; Barone, L.J.; Paolazzi, C.; Capozzo, A.V. Reporte de una experiencia de control del virus de la diarrea viral bovina en 2 tambos de Argentina aplicando herramientas de manejo, diagnóstico y vacunación. Rev. Argent. Microbiol. 2025, 57, 241–250. [Google Scholar] [CrossRef] [PubMed]
- Pecora, A.; Malacari, D.A.; Ridpath, J.F.; Perez Aguirreburualde, M.S.; Combessies, G.; Odeón, A.C.; Romera, S.A.; Golemba, M.D.; Wigdorovitz, A. First finding of genetic and antigenic diversity in 1b-BVDV isolates from Argentina. Res. Vet. Sci. 2014, 96, 204–212. [Google Scholar] [CrossRef] [PubMed]
- Antos, A.; Miroslaw, P.; Rola, J.; Polak, M.P. Vaccination Failure in Eradication and Control Programs for Bovine Viral Diarrhea Infection. Front. Vet. Sci. 2021, 8, 688911. [Google Scholar] [CrossRef]
- Yeşilbağ, K.; Alpay, G.; Becher, P. Variability and global distribution of subgenotypes of bovine viral diarrhea virus. Viruses 2017, 9, 128. [Google Scholar] [CrossRef] [PubMed]
- Moennig, V.; Becher, P. Control of Bovine Viral Diarrhea. Pathogens 2018, 7, 29. [Google Scholar] [CrossRef]
- Diao, N.C.; Chen, Z.Y.; Shi, J.F.; Wang, Q.; Sheng, C.Y.; Ma, B.Y.; Yang, Y.; Sun, Y.H.; Shi, K.; Du, R. Prevalence of Bovine Viral Diarrhea Virus in Ovine and Caprine Flocks: A Global Systematic Review and Meta-Analysis. Front. Vet. Sci. 2021, 8, 703105. [Google Scholar] [CrossRef]
- Instituto Nacional de Estadística y Censos (INDEC). Censo Nacional Agropecuario; INDEC: Buenos Aires, Argentina, 2018.
- Porto, G.S.; Dall Agnol, A.M.; Leme, R.A.; De Souza, T.C.; Alfieri, A.A.; Alfieri, A.F. Detection of Pestivirus A (bovine viral diarrhea virus 1) in free-living wild boars in Brazil. Braz. J. Microbiol. 2021, 52, 1037–1042. [Google Scholar] [CrossRef]
- Arelovich, H.M.; Bravo, R.D.; Martínez, M.F. Development, characteristics, and trends for beef cattle production in Argentina. Anim. Front. 2011, 1, 37–45. [Google Scholar] [CrossRef]
- Bachofen, C.; Braun, U.; Hilbe, M.; Ehrensperger, F.; Stalder, H.; Peterhans, E. Clinical appearance and pathology of cattle persistently infected with bovine viral diarrhoea virus of different genetic subgroups. Vet. Microbiol. 2010, 141, 258–267. [Google Scholar] [CrossRef]
- Jelsma, T.; Wijnker, J.J.; Smid, B.; Verheij, E.; van der Poel, W.H.; Wisselink, H.J. Determination of intestinal viral loads and distribution of bovine viral diarrhea virus, classical swine fever virus, and peste des petits ruminants virus: A pilot study. Pathogens 2021, 10, 1188. [Google Scholar] [CrossRef]
- Bianchi, M.V.; Silveira, S.; Mósena, A.C.S.; de Souza, S.O.; Konradt, G.; Canal, C.W.; Driemeier, D.; Pavarini, S.P. Pathological and virological features of skin lesions caused by BVDV in cattle. Braz. J. Microbiol. 2019, 50, 271–277. [Google Scholar] [CrossRef] [PubMed]
- Hilbe, M.; Girao, V.; Bachofen, C.; Schweizer, M.; Zlinszky, K.; Ehrensperger, F. Apoptosis in bovine viral diarrhea virus (BVDV)–induced mucosal disease lesions: A histological, immunohistological, and virological investigation. Vet. Pathol. 2013, 50, 46–55. [Google Scholar] [CrossRef] [PubMed]
- Hou, Z.; Wang, J.; Tan, B.; Zhang, S. A Systematic Study of Bovine Viral Diarrhoea Virus Co-Infection with Other Pathogens. Viruses 2025, 17, 700. [Google Scholar] [CrossRef] [PubMed]
- Graham, D.; More, S.J.; O’Sullivan, P.; Lane, E.; Barrett, D.; Lozano, J.M.; Thulke, H.; Verner, S.; Guelbenzu, M. The Irish programme to eradicate bovine viral diarrhoea virus—Organization, challenges, and progress. Front. Vet. Sci. 2021, 8, 674557. [Google Scholar] [CrossRef] [PubMed]


| Acute Infection (n = 17) | Mucosal Disease (n = 26) | |||
|---|---|---|---|---|
| n | % | n | % | |
| Weakness | 6 | 35.29% | 18 | 69.23% |
| Sialorrhea | 11 | 64.71% | 14 | 53.85% |
| Emaciation | 8 | 47.06% | 12 | 46.15% |
| Diarrhea | 7 | 41.18% | 10 | 38.46% |
| Nasal discharge | 8 | 47.06% | 8 | 30.77% |
| Dehydration | 2 | 11.76% | 9 | 34.62% |
| Fever | 8 | 47.06% | 4 | 15.38% |
| Dry muzzle | 3 | 17.65% | 6 | 23.08% |
| Dyspnea | 2 | 11.76% | 5 | 19.23% |
| Epiphora | 5 | 29.41% | 2 | 7.69% |
| Submandibular edema | - | - | 1 | 3.85% |
| Acute Infection (n = 20) | Mucosal Disease (n = 33) | |||
|---|---|---|---|---|
| n | % | n | % | |
| Oral cavity | ||||
| lips | 0 | 0.0% | 9 | 27.27% |
| gum | 7 | 35.00% | 17 | 51.52% |
| cheek | 6 | 30.00% | 8 | 24.24% |
| tongue | 6 | 30.00% | 20 | 60.61% |
| hard palate | 3 | 15.00% | 13 | 39.39% |
| soft palate | 1 | 5.00% | 4 | 12.12% |
| Esophagus | 15 | 75.00% | 24 | 72.73% |
| Forestomachs | ||||
| reticulum | 0 | 0.0% | 1 | 3.03% |
| rumen | 2 | 10.00% | 11 | 33.33% |
| omasum | 0 | 0.0% | 2 | 6.06% |
| Abomasum | 10 | 50.00% | 19 | 57.58% |
| Small intestine | ||||
| duodenum | 0 | 0.0% | 0 | 0.0% |
| jejunum | 2 | 10.00% | 0 | 0.0% |
| ileum | 4 | 20.00% | 19 | 57.58% |
| Large intestine | ||||
| colon | 2 | 10.00% | 7 | 21.21% |
| cecum | 0 | 0.00% | 3 | 9.09% |
| rectum | 0 | 0.00% | 2 | 6.06% |
| Skin | 11 | 55.00% | 18 | 54.55% |
| Lymph nodes | 6 | 30.00% | 10 | 30.30% |
| Acute Infection (n = 16) | Mucosal Disease (n = 32) | |||
|---|---|---|---|---|
| n | % | n | % | |
| Cheek—multiple erosions | 2 | 12.50% | 2 | 6.25% |
| Tongue | ||||
| ulcerative glossitis | 3 | 18.75% | 11 | 34.38% |
| erosive glossitis | 1 | 6.25% | 3 | 9.38% |
| glossitis | 4 | 25.00% | 9 | 28.13% |
| Larynx—erosive laryngitis | 0 | 0.00% | 1 | 3.13% |
| Glottis—erosive glottitis | 0 | 0.00% | 1 | 3.13% |
| Esophagus | ||||
| erosive esophagitis | 2 | 12.50% | 5 | 15.63% |
| ulcerative esophagitis | 3 | 18.75% | 9 | 28.13% |
| esophagitis | 2 | 12.50% | 13 | 40.63% |
| Rumen | ||||
| erosive ruminitis | 5 | 31.25% | 6 | 18.75% |
| ulcerative ruminitis | 0 | 0.00% | 4 | 12.50% |
| ruminitis | 3 | 18.75% | 7 | 21.88% |
| Abomasum | ||||
| erosive abomasitis | 0 | 0.00% | 1 | 3.13% |
| ulcerative abomasitis | 2 | 12.50% | 5 | 15.63% |
| abomasitis | 8 | 50.00% | 9 | 28.13% |
| Small intestine | ||||
| erosive enteritis | 3 | 18.75% | 8 | 25.00% |
| ulcerative enteritis | 3 | 18.75% | 11 | 34.38% |
| enteritis | 11 | 68.75% | 24 | 75.00% |
| dilation of glands | 6 | 37.50% | 17 | 53.13% |
| Peyer’s patch necrosis | 1 | 6.25% | 7 | 21.88% |
| Large intestine | ||||
| erosive enteritis | 1 | 6.25% | 7 | 21.88% |
| ulcerative enteritis | 1 | 6.25% | 2 | 6.25% |
| enteritis | 1 | 6.25% | 7 | 21.88% |
| dilation of glands | 1 | 6.25% | 5 | 15.63% |
| Skin | ||||
| necrosis of the stratum corneum | 4 | 25.00% | 3 | 9.38% |
| dermatitis | 5 | 31.25% | 5 | 15.63% |
| follicular depletion | 0 | 0.00% | 3 | 9.38% |
| Spleen | ||||
| lymphoid depletion | 3 | 18.75% | 14 | 43.75% |
| splenitis | 2 | 12.50% | 2 | 6.25% |
| hemosiderin | 4 | 25.00% | 2 | 6.25% |
| Lymph nodes | ||||
| lymphoid depletion | 2 | 12.50% | 7 | 21.88% |
| lymphadenitis | 4 | 25.00% | 9 | 28.13% |
| Liver—portal hepatitis | 4 | 25.00% | 12 | 37.50% |
| Lung | ||||
| bronchopneumonia | 2 | 12.50% | 2 | 6.25% |
| interstitial pneumonia | 12 | 50.00% | 16 | 50.00% |
| emphysema | 7 | 43.75% | 8 | 25.00% |
| Kidney—interstitial nephritis | 7 | 43.75% | 8 | 25.00% |
| Central Nervous System | ||||
| gliosis | 4 | 25.00% | 6 | 18.75% |
| meningitis | 1 | 6.25% | 1 | 3.13% |
| Purkinje cell dysgenesis | 1 | 6.25% | 0 | 0.00% |
| Heart—endocarditis, myocarditis and epicarditis | 4 | 11.54% | 3 | 9.38% |
| Adrenal gland adrenalitis | 0 | 0.00% | 2 | 6.25% |
| Outbreak | Viral Isolation | RT-nPCR 1 | LI 2 | Biotype 3 | Subtype |
|---|---|---|---|---|---|
| 1 | + | + | NA | ncp | 2a |
| 2 | + | + | NA | cp | 1b |
| 3 | + | + | NA | ncp | 2b |
| 4 | + | + | NA | cp | 2b |
| 5 | + | + | NA | cp | 1b |
| 6 | + | NA | NA | cp | - |
| 7 | + | + | NA | cp | 1a |
| 8 | + | NA | NA | cp | - |
| 9 | + | NA | NA | ncp | - |
| 10 | + | + | NA | cp | 1b |
| 11 | + | + | NA | ncp | 1b |
| 12 | + | + | NA | ncp | 1b |
| 13 | + | + | NA | ncp | 1b |
| 14 | + | + | NA | cp | 1b |
| 15 | + | + | NA | cp | 1b |
| 16 | + | + | NA | cp | 1b |
| 17 | + | NA | NA | ncp | - |
| 18 | + | + | NA | cp | 1b |
| 19 | + | + | NA | ncp/cp | 1b |
| 20 | + | + | NA | cp | 1b |
| 21 | + | + | NA | ncp/cp | 1i |
| 22 | + | + | NA | cp | 1b |
| 23 | + | + | NA | ncp | 2b |
| 24 | - | + | NA | - | 1a |
| 25 | - | + | NA | - | 1b |
| 26 | + | + | NA | cp | 1a |
| 27 | + | + | NA | ncp/cp | 1a |
| 28 | - | + | NA | - | 1b |
| 29 | + | + | NA | ncp/cp | 1a |
| 30 | + | NA | NA | ncp | - |
| 31 | + | + | NA | ncp | 1b |
| 32 | + | NA | NA | cp | - |
| 33 | + | + | NA | ncp/cp | 2b |
| 34 | + | + | NA | ncp | - |
| 35 | + | + | NA | ncp | 1b |
| 36 | + | + | NA | ncp | 1b |
| 37 | + | + | + | ncp | 1b |
| 38 | + | + | + | cp | 1a |
| 39 | + | + | + | cp | - |
| 40 | + | + | NA | ncp | 1 |
| 41 | + | + | NA | ncp/cp | - |
| 42 | - | NA | + | - | - |
| 43 | - | NA | + | - | - |
| 44 | + | + | + | ncp/cp | - |
| 45 | + | + | + | ncp | 1 |
| 46 | - | + | NA | - | - |
| 47 | + | + | NA | ncp/cp | - |
| 48 | - | + | + | - | - |
| 49 | + | + | + | ncp | - |
| 50 | + | + | NA | cp | - |
Disclaimer/Publisher’s Note: The statements, opinions and data contained in all publications are solely those of the individual author(s) and contributor(s) and not of MDPI and/or the editor(s). MDPI and/or the editor(s) disclaim responsibility for any injury to people or property resulting from any ideas, methods, instructions or products referred to in the content. |
© 2025 by the authors. Licensee MDPI, Basel, Switzerland. This article is an open access article distributed under the terms and conditions of the Creative Commons Attribution (CC BY) license (https://creativecommons.org/licenses/by/4.0/).
Share and Cite
Sosa, E.; Miqueo, E.; Rustichelli Millán, G.; Spetter, M.; Louge Uriarte, E.; Livio, J.; Pachiani, M.; García, J.A.; Morrell, E.; Yavorsky, M.; et al. Retrospective Analysis of 50 Postnatal BVDV Outbreaks in Cattle from Central Argentina: Clinical, Pathological, and Epidemiological Insights. Viruses 2025, 17, 1359. https://doi.org/10.3390/v17101359
Sosa E, Miqueo E, Rustichelli Millán G, Spetter M, Louge Uriarte E, Livio J, Pachiani M, García JA, Morrell E, Yavorsky M, et al. Retrospective Analysis of 50 Postnatal BVDV Outbreaks in Cattle from Central Argentina: Clinical, Pathological, and Epidemiological Insights. Viruses. 2025; 17(10):1359. https://doi.org/10.3390/v17101359
Chicago/Turabian StyleSosa, Emiliano, Evangelina Miqueo, Gina Rustichelli Millán, Maximiliano Spetter, Enrique Louge Uriarte, Juan Livio, Martina Pachiani, Juan Agustín García, Eleonora Morrell, Marisol Yavorsky, and et al. 2025. "Retrospective Analysis of 50 Postnatal BVDV Outbreaks in Cattle from Central Argentina: Clinical, Pathological, and Epidemiological Insights" Viruses 17, no. 10: 1359. https://doi.org/10.3390/v17101359
APA StyleSosa, E., Miqueo, E., Rustichelli Millán, G., Spetter, M., Louge Uriarte, E., Livio, J., Pachiani, M., García, J. A., Morrell, E., Yavorsky, M., Verna, A. E., González Altamiranda, E., & Cantón, G. J. (2025). Retrospective Analysis of 50 Postnatal BVDV Outbreaks in Cattle from Central Argentina: Clinical, Pathological, and Epidemiological Insights. Viruses, 17(10), 1359. https://doi.org/10.3390/v17101359

