Cytokine Storm Combined with Humoral Immune Response Defect in Fatal Hemorrhagic Fever with Renal Syndrome Case, Tatarstan, Russia
Abstract
1. Introduction
2. Materials and Methods
2.1. Subjects
2.2. Ethics Statement
2.3. Animal Samples
2.4. Cell Lines and Cell Culture
2.5. Cloning and Expression of PUUV Glycoproteins
2.6. Lentivirus Titer
2.7. Hantavirus ELISA
2.8. RNA Extraction and RT-PCR
2.9. Quantitative PCR (qPCR)
2.10. DNA Extraction and PCR
2.11. Multiplex Analysis
2.12. Hantavirus Antibody Epitope Analysis
2.13. Neutralizing Antibody Titer
2.14. Leukocyte Population Analysis
2.15. Immunohistochemistry and Immunofluorescent Analysis
2.16. Phylogenetic Analysis
2.17. Statistical Analysis
3. Results
3.1. Clinical Summary
3.1.1. Presentation
3.1.2. Clinical Testing
3.1.3. Treatment
3.1.4. Clinical Diagnosis
3.2. Laboratory Analysis (Table 2)
3.2.1. Circulating Leukocyte Analysis
3.2.2. Antibody Response
3.2.3. PUUV RNA
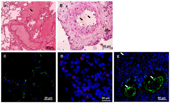
3.2.4. Immunohistochemistry and Immunofluorescent Analysis
3.2.5. Serum Cytokines
3.3. Local Hantavirus Epidemiology
4. Conclusions
Author Contributions
Acknowledgments
Conflicts of Interest
References
- Khismatullina, N.A.; Karimov, M.M.; Khaertynov, K.S.; Shuralev, E.A.; Morzunov, S.P.; Khaertynova, I.M.; Ivanov, A.A.; Milova, I.V.; Khakimzyanova, M.B.; Sayfullina, G.; et al. Epidemiological dynamics of nephropathia epidemica in the Republic of Tatarstan, Russia, during the period of 1997–2013. Epidemiol. Infect. 2016, 144, 618–626. [Google Scholar] [CrossRef] [PubMed]
- Kabwe, E.; Davidyuk, N.Y.; Morzunov, S.P.; Shakirova, V.G.; Anokhin, V.A.; Isaeva, G.S.; Ismagilova, R.K.; Khaiboullina, S.F.; Rizvanov, A.A. Genetic Characterization of Small (s)-Segment Genome Puumala Virus Strain Kazan. BioNanoScience 2017, 7, 316–319. [Google Scholar] [CrossRef]
- Sundberg, E.; Hultdin, J.; Nilsson, S.; Ahlm, C. Evidence of disseminated intravascular coagulation in a hemorrhagic fever with renal syndrome-scoring models and severe illness. PLoS ONE 2011, 6, e21134. [Google Scholar] [CrossRef] [PubMed]
- Settergren, B. Nephropathia epidemica (hemorrhagic fever with renal syndrome) in Scandinavia. Rev. Infect. Dis. 1991, 13, 736–744. [Google Scholar] [CrossRef] [PubMed]
- Valtonen, M.; Kauppila, M.; Kotilainen, P.; Lahdevirta, J.; Svartback, C.M.; Kosunen, O.; Nurminen, J.; Sarkkinen, H.; Brummer-Korvenkontio, M. Four fatal cases of nephropathia epidemica. Scand. J. Infect. Dis. 1995, 27, 515–517. [Google Scholar] [CrossRef] [PubMed]
- Bren, A.F.; Pavlovcic, S.K.; Koselj, M.; Kovac, J.; Kandus, A.; Kveder, R. Acute renal failure due to hemorrhagic fever with renal syndrome. Ren Fail. 1996, 18, 635–638. [Google Scholar] [CrossRef] [PubMed]
- Makela, S.; Ala-Houhala, I.; Mustonen, J.; Koivisto, A.M.; Kouri, T.; Turjanmaa, V.; Vapalahti, O.; Vaheri, A.; Pasternack, A. Renal function and blood pressure five years after puumala virus-induced nephropathy. Kidney Int 2000, 58, 1711–1718. [Google Scholar] [CrossRef]
- Faulde, M.; Sobe, D.; Kimmig, P.; Scharninghausen, J. Renal failure and hantavirus infection in Europe. Nephrol. Dial. Transplant. 2000, 15, 751–753. [Google Scholar] [CrossRef][Green Version]
- Rugeles, M.T.; Solano, F.; Diaz, F.J.; Bedoya, V.I.; Patino, P.J. Molecular characterization of the CCR 5 gene in seronegative individuals exposed to human immunodeficiency virus (HIV). J. Clin. Virol. 2002, 23, 161–169. [Google Scholar] [CrossRef]
- Tamura, K.; Stecher, G.; Peterson, D.; Filipski, A.; Kumar, S. MEGA6: molecular evolutionary genetics analysis version 6.0. Mol. Biol. Evol. 2013, 30, 2725–2729. [Google Scholar] [CrossRef]
- Team, R.C. A language and environment for statistical computing. R Foundation for Statistical Computing, Vienna, Austria 2014. Available online: https://www. R-project. org (accessed on 28 June 2019).
- Kuhn, M.; Contributions from Jed Wing, S.W.; Williams, A.; Keefer, C.; Engelhardt, A.; Cooper, T.; Mayer, Z.; Kenkel, B.; the R Core Team; Benesty, M.; et al. Misc functions for training and plotting classification and regression models. Available online: https://github.com/klainfo/caret (accessed on 28 June 2019).
- RStudio Team. RStudio: Integrated Development for R; RStudio, Inc.: Boston, MA, USA, 2015. [Google Scholar]
- Krüger, D.H.; Schönrich, G.; Klempa, B. Human pathogenic hantaviruses and prevention of infection. Hum. Vaccines 2011, 7, 685–693. [Google Scholar] [CrossRef] [PubMed]
- MacNeil, A.; Comer, J.A.; Ksiazek, T.G.; Rollin, P.E. Sin Nombre virus–specific immunoglobulin M and G kinetics in hantavirus pulmonary syndrome and the role played by serologic responses in predicting disease outcome. J. Infect. Dis. 2010, 202, 242–246. [Google Scholar] [CrossRef] [PubMed]
- Bharadwaj, M.; Nofchissey, R.; Goade, D.; Koster, F.; Hjelle, B. Humoral immune responses in the hantavirus cardiopulmonary syndrome. J. Infect. Dis. 2000, 182, 43–48. [Google Scholar] [CrossRef] [PubMed]
- Pettersson, L.; Thunberg, T.; Rocklöv, J.; Klingström, J.; Evander, M.; Ahlm, C. Viral load and humoral immune response in association with disease severity in Puumala hantavirus-infected patients—implications for treatment. Clin. Microbiol. Infect. 2014, 20, 235–241. [Google Scholar] [CrossRef] [PubMed]
- Martynova, E.V.; Maksudova, A.N.; Shakirova, V.G.; Abdulkhakov, S.R.; Khaertynova, I.M.; Anokhin, V.A.; Ivanova, V.V.; Abiola, I.M.; Garanina, E.E.; Tazetdinova, L.G.; et al. Urinary Clusterin Is Upregulated in Nephropathia Epidemica. Dis. Mark. 2018, 2018, 8658507. [Google Scholar] [CrossRef] [PubMed]
- Mazzucchelli, R.; Durum, S.K. Interleukin-7 receptor expression: intelligent design. Nat. Rev. Immunol. 2007, 7, 144–154. [Google Scholar] [CrossRef] [PubMed]
- Link, A.; Vogt, T.K.; Favre, S.; Britschgi, M.R.; Acha-Orbea, H.; Hinz, B.; Cyster, J.G.; Luther, S.A. Fibroblastic reticular cells in lymph nodes regulate the homeostasis of naive T cells. Nat. Immunol. 2007, 8, 1255–1265. [Google Scholar] [CrossRef] [PubMed]
- Maki, K.; Sunaga, S.; Komagata, Y.; Kodaira, Y.; Mabuchi, A.; Karasuyama, H.; Yokomuro, K.; Miyazaki, J.I.; Ikuta, K. Interleukin 7 receptor-deficient mice lack gammadelta T cells. Proc. Natl Acad Sci. USA 1996, 93, 7172–7177. [Google Scholar] [CrossRef]
- Boesteanu, A.; Silva, A.D.; Nakajima, H.; Leonard, W.J.; Peschon, J.J.; Joyce, S. Distinct roles for signals relayed through the common cytokine receptor gamma chain and interleukin 7 receptor alpha chain in natural T cell development. J. Exp. Med. 1997, 186, 331–336. [Google Scholar] [CrossRef]
- Brandstadter, J.D.; Yang, Y. Natural killer cell responses to viral infection. J. Innate Immun. 2011, 3, 274. [Google Scholar] [CrossRef]
- Reddy, M.C.; Durbaka, P.V.R.; Rachamallu, A.; Reddanna, P.; Lomada, D. γδ T cell mediated immune responses in Disease and Therapy. Front. Immunol. 2014, 5, 571. [Google Scholar]
- Michaud, A.; Dardari, R.; Charrier, E.; Cordeiro, P.; Herblot, S.; Duval, M. IL-7 enhances survival of human CD56bright NK cells. J. Immunother. 2010, 33, 382–390. [Google Scholar] [CrossRef] [PubMed]
- Bjorkstrom, N.K.; Lindgren, T.; Stoltz, M.; Fauriat, C.; Braun, M.; Evander, M.; Michaelsson, J.; Malmberg, K.J.; Klingstrom, J.; Ahlm, C.; et al. Rapid expansion and long-term persistence of elevated NK cell numbers in humans infected with hantavirus. J. Exp. Med. 2011, 208, 13–21. [Google Scholar] [CrossRef] [PubMed]
- Khaiboullina, S.F.; Levis, S.; Morzunov, S.P.; Martynova, E.V.; Anokhin, V.A.; Gusev, O.A.; St Jeor, S.C.; Lombardi, V.C.; Rizvanov, A.A. Serum Cytokine Profiles Differentiating Hemorrhagic Fever with Renal Syndrome and Hantavirus Pulmonary Syndrome. Front. Immunol. 2017, 8, 567. [Google Scholar] [CrossRef] [PubMed]
- Hiraoka, A.; Sugimura, A.; Seki, T.; Nagasawa, T.; Ohta, N.; Shimonishi, M.; Hagiya, M.; Shimizu, S. Cloning, expression, and characterization of a cDNA encoding a novel human growth factor for primitive hematopoietic progenitor cells. Proc. Natl Acad Sci USA 1997, 94, 7577–7582. [Google Scholar] [CrossRef] [PubMed]
- Loges, S.; Fehse, B.; Brockmann, M.A.; Lamszus, K.; Butzal, M.; Guckenbiehl, M.; Schuch, G.; Ergun, S.; Fischer, U.; Zander, A.R.; et al. Identification of the adult human hemangioblast. Stem Cells Dev. 2004, 13, 229–242. [Google Scholar] [CrossRef] [PubMed]
- Sotnezova, E.V.; Andreeva, E.R.; Grigoriev, A.I.; Buravkova, L.B. Ex Vivo Expansion of Hematopoietic Stem and Progenitor Cells from Umbilical Cord Blood. Acta Nat. 2016, 8, 6–16. [Google Scholar] [CrossRef]
- Sacca, R.; Cuff, C.A.; Lesslauer, W.; Ruddle, N.H. Differential activities of secreted lymphotoxin-alpha3 and membrane lymphotoxin-alpha1beta2 in lymphotoxin-induced inflammation: critical role of TNF receptor 1 signaling. J. Immunol. 1998, 160, 485–491. [Google Scholar] [PubMed]
- Comar, M.; Zanotta, N.; Zanconati, F.; Cortale, M.; Bonotti, A.; Cristaudo, A.; Bovenzi, M. Chemokines involved in the early inflammatory response and in pro-tumoral activity in asbestos-exposed workers from an Italian coastal area with territorial clusters of pleural malignant mesothelioma. Lung Cancer 2016, 94, 61–67. [Google Scholar] [CrossRef]
- Cuff, C.A.; Schwartz, J.; Bergman, C.M.; Russell, K.S.; Bender, J.R.; Ruddle, N.H. Lymphotoxin alpha3 induces chemokines and adhesion molecules: insight into the role of LT alpha in inflammation and lymphoid organ development. J. Immunol. 1998, 161, 6853–6860. [Google Scholar]
- Schall, T.J.; Bacon, K.; Toy, K.J.; Goeddel, D.V. Selective attraction of monocytes and T lymphocytes of the memory phenotype by cytokine RANTES. Nature 1990, 347, 669–671. [Google Scholar] [CrossRef] [PubMed]
- Ubogu, E.E.; Callahan, M.K.; Tucky, B.H.; Ransohoff, R.M. Determinants of CCL5-driven mononuclear cell migration across the blood-brain barrier. Implications for therapeutically modulating neuroinflammation. J. Neuroimmunol. 2006, 179, 132–144. [Google Scholar] [CrossRef] [PubMed]
- Vogel, D.Y.; Heijnen, P.D.; Breur, M.; de Vries, H.E.; Tool, A.T.; Amor, S.; Dijkstra, C.D. Macrophages migrate in an activation-dependent manner to chemokines involved in neuroinflammation. J. Neuroinflammation 2014, 11, 23. [Google Scholar] [CrossRef] [PubMed]
- Lopalco, L. CCR5: From Natural Resistance to a New Anti-HIV Strategy. Viruses 2010, 2, 574–600. [Google Scholar] [CrossRef] [PubMed]
- Glass, W.G.; Lim, J.K.; Cholera, R.; Pletnev, A.G.; Gao, J.L.; Murphy, P.M. Chemokine receptor CCR5 promotes leukocyte trafficking to the brain and survival in West Nile virus infection. J. Exp. Med. 2005, 202, 1087–1098. [Google Scholar] [CrossRef] [PubMed]
- Rossol, M.; Pierer, M.; Arnold, S.; Keysser, G.; Burkhardt, H.; Baerwald, C.; Wagner, U. Negative association of the chemokine receptor CCR5 d32 polymorphism with systemic inflammatory response, extra-articular symptoms and joint erosion in rheumatoid arthritis. Arthritis Res. Ther 2009, 11, R91. [Google Scholar] [CrossRef] [PubMed]
- Jordan, J.A.; Guo, R.F.; Yun, E.C.; Sarma, V.; Warner, R.L.; Crouch, L.D.; Senaldi, G.; Ulich, T.R.; Ward, P.A. Role of IL-18 in acute lung inflammation. J. Immunol. 2001, 167, 7060–7068. [Google Scholar] [CrossRef] [PubMed]
- Troseid, M.; Seljeflot, I.; Hjerkinn, E.M.; Arnesen, H. Interleukin-18 is a strong predictor of cardiovascular events in elderly men with the metabolic syndrome: synergistic effect of inflammation and hyperglycemia. Diabetes Care 2009, 32, 486–492. [Google Scholar] [CrossRef]
- Lin, X.; Yuan, J.; Zhao, Y.; Zha, Y. Urine interleukin-18 in prediction of acute kidney injury: a systemic review and meta-analysis. J. Nephrol. 2015, 28, 7–16. [Google Scholar] [CrossRef]
- Morel, J.C.; Park, C.C.; Woods, J.M.; Koch, A.E. A novel role for interleukin-18 in adhesion molecule induction through NF kappa B and phosphatidylinositol (PI) 3-kinase-dependent signal transduction pathways. J. Biol. Chem. 2001, 276, 37069–37075. [Google Scholar] [CrossRef]
- Nakanishi, K.; Yoshimoto, T.; Tsutsui, H.; Okamura, H. Interleukin-18 is a unique cytokine that stimulates both Th1 and Th2 responses depending on its cytokine milieu. Cytokine Growth Factor Rev. 2001, 12, 53–72. [Google Scholar] [CrossRef]
- Davidyuk, Y.; Kabwe, E.; Khaiboullina, S.; Ismagilova, R.; Shakirova, V.; Isaeva, G.; Pavelkina, V.; Uskova, Y.G.; Rizvanov, A.; Morzunov, S. Genetic diversity of Puumala virus isolates in the Republic of Tatarstan and the Republic of Mordovia. BioNanoScience 2017, 7, 309–312. [Google Scholar] [CrossRef]
- Khismatullina, N.; Karimov, M.; Savitskaya, T. Epidemic situation and control measures against epidemic hemorrhagic fever and west nile fever in the republic Tatarstan. Zhurnal Vet. Med. 2012, 96, 66–68. [Google Scholar]
- Clement, J.; Maes, P.; Lagrou, K.; Van Ranst, M.; Lameire, N. A unifying hypothesis and a single name for a complex globally emerging infection: hantavirus disease. Eur. J. Clin. Microbiol. Infect. Dis. 2012, 31, 1–5. [Google Scholar] [CrossRef] [PubMed]
- Easterbrook, J.D.; Klein, S.L. Immunological mechanisms mediating hantavirus persistence in rodent reservoirs. PLoS Pathog. 2008, 4, e1000172. [Google Scholar] [CrossRef] [PubMed]
- Peters, C.; Khan, A.S. Hantavirus pulmonary syndrome: the new American hemorrhagic fever. Clin. Infect. Dis. 2002, 34, 1224–1231. [Google Scholar] [CrossRef] [PubMed]
- Maes, P.; Clement, J.; Gavrilovskaya, I.; Van Ranst, M. Hantaviruses: immunology, treatment, and prevention. Viral Immunol. 2004, 17, 481–497. [Google Scholar] [CrossRef] [PubMed]
- Formanowicz, D.; Wanic-Kossowska, M.; Pawliczak, E.; Radom, M.; Formanowicz, P. Usefulness of serum interleukin-18 in predicting cardiovascular mortality in patients with chronic kidney disease–systems and clinical approach. Sci. Rep. 2015, 5, 18332. [Google Scholar] [CrossRef] [PubMed]
- Puren, A.J.; Fantuzzi, G.; Gu, Y.; Su, M.S.-S.; Dinarello, C.A. Interleukin-18 (IFNgamma-inducing factor) induces IL-8 and IL-1beta via TNFalpha production from non-CD14+ human blood mononuclear cells. J. Clin. Investig. 1998, 101, 711–721. [Google Scholar] [CrossRef] [PubMed]
- Siegmund, B.; Fantuzzi, G.; Rieder, F.; Gamboni-Robertson, F.; Lehr, H.-A.; Hartmann, G.; Dinarello, C.A.; Endres, S.; Eigler, A. Neutralization of interleukin-18 reduces severity in murine colitis and intestinal IFN-γ and TNF-α production. Am. J. Physiol.-Regul. Integr. Comp. Physiol. 2001, 281, R1264–R1273. [Google Scholar] [CrossRef] [PubMed]
- Becquart, P.; Mahlakoiv, T.; Nkoghe, D.; Leroy, E.M. Identification of continuous human B-cell epitopes in the VP35, VP40, nucleoprotein and glycoprotein of Ebola virus. PLoS ONE 2014, 9, e96360. [Google Scholar] [CrossRef] [PubMed]
- Olagoke, O.; Miller, D.; Hemmatzadeh, F.; Stephenson, T.; Fabijan, J.; Hutt, P.; Finch, S.; Speight, N.; Timms, P. Induction of neutralizing antibody response against koala retrovirus (KoRV) and reduction in viral load in koalas following vaccination with recombinant KoRV envelope protein. NPJ Vaccines 2018, 3, 30. [Google Scholar] [CrossRef] [PubMed]
- Song, P.; Zheng, N.; Liu, Y.; Tian, C.; Wu, X.; Ma, X.; Chen, D.; Zou, X.; Wang, G.; Wang, H.; et al. Deficient humoral responses and disrupted B-cell immunity are associated with fatal SFTSV infection. Nat. Commun. 2018, 9, 3328. [Google Scholar] [CrossRef] [PubMed]





| Name of the Primer | Nucleotide Sequence | PCR Product Size |
|---|---|---|
| RT-PCR | ||
| PuuV-For 1st round | 5′-CTGCAAGCCAGGCAACAAACAGTGTCAGCA-3′ | 723 bp |
| PuuV-Rev 1st round | 5′-GTCTGCCACATGATTTTTGTCAAGCACATC-3′ | |
| PuuV-For 2st round | 5’-AAGTGGCCAGACAGCAGATT-3’ | 217 bp |
| PuuV-Rev 2st round | 5’-GGCAGTAGGCATGGAAACAT-3’ | |
| qPCR | ||
| PuuVN-F | 5′-AGGCAACAAACAGTGTCAGC-3′ | 186 bp |
| PuuVN-R | 5′-AATCCCAGTCGGGTCAGTAG-3′ | |
| GAPDH-F | 5′-TTTGGCTACAGCAACAGG-3′ | 107 bp |
| GAPDH-R | 5′-GGTCTCTCTCTTCCTCTTG-3′ | |
| Day-Post Admission | 0 | 2 | 4 | 7 | 9 | 11 | 12 | 14 | 15 | |
|---|---|---|---|---|---|---|---|---|---|---|
| Normal Values | ||||||||||
| AP (mm/Hg) | 90/50 | 100/60 | 120/80 | 115/70 | 110/70 | 114/70 | 100/75 | 90/60 | ||
| Blood test | ||||||||||
| Leukocyte (109 cell/L) | 3.5–11.0 | 14.74 | 18.48 | 13.6 | 16.67 | 8.9 | 7.3 | 4.9 | 4.5 | |
| Hemoglobin (g/L) | 130–170 | 140 | 137 | 95 | 103 | 101 | 82 | 78 | 91 | |
| Erythrocyte (1012 cell/L) | 4.2–6.9 | 4.91 | 4.87 | 3.2 | 3.42 | 3.49 | 2.95 | 2.79 | 3.2 | |
| Hematocrit | 39–62 | 39.6 | 38.4 | 27 | 29.13 | 31 | 25.7 | 24.3 | 28.3 | |
| Thrombocyte (109 cells/L) | 140–450 | 5 | 3 | 39 | 65 | 21 | 49 | 38 | 53 | |
| Arterial Blood Gas test | ||||||||||
| pH | 7.45 | 7.07 | 7.47 | 7.44 | 7.43 | 7.4 | 7.2 | |||
| P CO2 (mmHg) | 33–45 | 24.5 | 28.9 | 35.4 | 40.6 | 32.3 | 52.1 | |||
| P O2 (mmHg) | 75–100 | 45.5 | 46.6 | 41.8 | 41.2 | 65.4 | ||||
| HCO3- (mEq/L) | 21–28 | 13.3 | 20,6 | 23.6 | 29.1 | 24.8 | ||||
| BE | -8.8 | -2.6 | -1 | 1,6 | -2.4 | |||||
| 02 SAT (%) | 94–100 | 74.7 | 81 | 89 | ||||||
| Biochemical analysis | ||||||||||
| K+ (mM/L) | 3.5–5.0 | 4.9 | 4.0 | 4.3 | 4.3 | 6.6 | 5.4 | 5.1 | 7.3 | |
| Na+ (mM/L) | 135–145 | 141 | 143 | 146 | 141 | 140 | 144 | 142 | 141 | |
| Cl- (mM/L) | 95–105 | 92 | 95 | 99 | 96 | 90 | 95 | |||
| Bilirubin (μM/L) | 2–25 | 20 | 47.1 | 49 | 54.9 | |||||
| Bilirubin, direct (μM/L) | 0–9 | 9 | 7 | |||||||
| PTI (%) | 72–123 | 55 | 69 | 60 | 78 | |||||
| PTI by Quick (%) | 78–142 | 49.8 | 61 | 66.3 | ||||||
| Fibrinogen B (mg/dL) | 1.7–4.2 | 1.9 | 2.5 | 1.8 | 3.3 | 6 | ||||
| Spontaneous fibrinolysis (%) | 10–20 | ˃50 | ˃40 | ˃45 | ˃40 | ˃40 | ˃40 | ˃40 | ||
| Soluble fibrinomonomeric complexes (SFMC) (U) | 0.36–0.48 | 5.5 | 4.5 | 6.5 | 4 | |||||
| Activated partial thromboplastin time (aPTT) (s) | 30–40 | 51 | 29 | 38.2 | 43 | 40 | 39.8 | |||
| Antithrombin (AT) lll (%) | 76–126 | 86.6% | 56% | |||||||
| International normalised ratio (INR) | 0.82–1.18 | 1.7 | 1.54 | 1.69 | 1.2 | 1.2 | 1.2 | 1.46 | 1.37 | |
| D dimer (ng/μL) | + + ++ | + + + | ||||||||
| Procalcitonin (ng/mL) | 0–0.15 | 12.8 | 12.8 | ˃12.8 | ||||||
| C-reactive protein (CRP) (mg/L) | 0–6 | 48 | 96 | |||||||
| Amylase (U/L) | 25–190 | 140 | 600 | 852 | ||||||
| Alanine aminotransferase (ALT) (U/L) | 5–56 | 510 | 1211 | 1250 | 389 | 98 | 21 | |||
| Aspartate transaminase (AST) (U/L) | 8–40 | 738 | 2316 | 2400 | 500 | 136 | 40 | |||
| Lactate dehydrogenase (LDH) (U/L) | 140–280 | 3328 | ||||||||
| Creatinine (μM/L) | 60–118 | 286 | 547 | 949 | ||||||
| Urea (mM/L) | 3–7 | 14 | 19.9 | 43 | 29 | 50 | 65 | 56 | ||
| Urinalysis | ||||||||||
| Protein (g/L) | absent | 0.15 | 0.9 | 4 | 4 | 1.54 | ||||
| Red Blood Cells (RBC) (cells/field) | 0–3 | 10–20 | 4–5 | many | many | many | ||||
| CD3+CD4+ (%) | CD3+CD8+ (%) | CD14+ (%) | CD20+ (%) | |
|---|---|---|---|---|
| Fatal | 6 | 11 | 0.7 | 5.2 |
| Non-fatal | 3.13 ± 3.78 | 6.05 ± 4.12 | 3.03 ± 1.66 | 3.33 ± 1.57 |
| Leukocyte Populations | Fold Changes, p < 0.05 |
|---|---|
| CD4+ | 0.94 ± 0.02 |
| CD8+ | 28.98 ± 0.02 |
| CD14+ | 25.11 ± 2.0 |
| CD20+ | 0.86 ± 0.11 |
| Analyte | Fatal (pg/mL) | Late HFRS | Early HFRS | ||
|---|---|---|---|---|---|
| pg/mL | Fold Change | pg/mL | Fold Change | ||
| Urea | 14.00 | 4.00 [2.50; 6.3] | 2.22 | 7.00 [0; 38.00] | |
| Creatinine | 286.00 | 112.00 [77.00; 142] | 2.01 | 131.00 [18.00; 545.00] | |
| Interferon alpha-2 (IFN-2a) | 53.95 | 19.50 [10.90; 125.03] | 21.24 [2.24; 129.35] | ||
| Interferon gamma (IFN-γ) | 41.69 | 6.26 [3.38; 95.52] | 1.25 | 57.78 [5.73; 1026.17] | 1.25 |
| IL-1a | 6.26 | 0.14 [0.02; 5.00] | 0.14 [0.00; 5.00] | ||
| IL-1b | 5.67 | 2.52 [0.99; 149.36] | 2.10 [0.22; 308.78] | ||
| IL-1ra | 149.90 | 91.69 [3.85; 1489.14] | 76.92 [3.72; 3175.21] | ||
| IL-2Ra | 195.57 | 36.76 [3.00; 4745.66] | 0.04 | 84.29 [3.00; 4745.66] | |
| IL-2 | 10.98 | 7.25 [2.50; 33.40] | 5.57 [0.25; 241.84] | ||
| IL-3 | 203.16 | 59.27 [5.00; 376.26] | 88.18 [5.00; 2806.74] | ||
| IL-4 | 26.58 | 4.45 [1.45; 14.37] | 1.85 | 3.38 [0.02; 29.77] | 0.89 |
| IL-5 | 4.05 | 5.10 [0.43; 59.73] | 4.64 [0.19; 29.57] | ||
| IL-6 | 18.73 | 16.45 [1.04; 15099.02] | 9.82 [0.83; 15099.02] | ||
| IL-7 | 0.20 | 9.05 [2.33; 26.61] | −11.65 | 5.75 [0.18; 96.86] | |
| IL-8 | 95.57 | 32.00 [11.00; 266.19] | 44.00 [3.00; 1058.80] | ||
| IL-9 | 9.43 | 37.49 [4.62; 318.27] | 33.33 [1.36; 213.48] | ||
| IL-10 | 31.62 | 25.37 [8.61; 460.05] | 17.48 [1.73; 832.71] | ||
| IL-12(p40) | 1045.95 | 78.73 [9.00; 1207.96] | 0.87 | 165.15 [1.70; 4220.54] | 0.25 |
| IL-13 | 21.51 | 4.77 [0.83; 14.76] | 1.46 | 4.57 [0.02; 68.04] | |
| IL-15 | 81.59 | 21.51 [3.52; 54.74] | 1.49 | 16.38 [1.20; 143.74] | 0.57 |
| IL-16 | 898.02 | 151.19 [5.00; 658.51] | 1.36 | 174.41 [5.00; 3330.59] | 0.27 |
| IL-17 | 79.91 | 21.13 [2.05; 91.25] | 9.95 [0.53; 220.06] | ||
| IL-18 | 351.23 | 11.23 [0.99; 99.78] | 3.52 | 14.53 [0.07; 137.16] | 2.56 |
| IL-22 | 17.52 | 6.80 [4.80; 45.00] | 6.00 [2.00; 65.00] | ||
| CCL2 | 104.89 | 33.25 [3.91; 310.57] | 30.00 [3.27; 2958.67] | ||
| CCL3 | 4.34 | 3.12 [0.56; 51.98] | 2.15 [0.09; 51.98] | ||
| CCL4 | 111.92 | 70.88 [13.58; 897.03] | 46.62 [4.50; 897.03] | ||
| CCL5 | 21833.09 | 133.00 [12.00; 7120.00] | 3.07 | 124.98 [1.02; 8354.01] | 2.61 |
| CCL7 | 49.54 | 8.30 [1.35; 45.77] | 1.08 | 13.56 [0.87; 327.46] | |
| CCL11 | 65.05 | 69.12 [6.27; 496.41] | 39.73 [2.78; 666.70] | ||
| CCL27 | 155.80 | 45.37 [4.00; 200.06] | 0.78 | 47.10 [0.04; 200.06] | 0.78 |
| Chemokine (C-X-C motif) ligand (CXCL)1 | 214.63 | 26.11 [7.00; 123.68] | 1.74 | 22.90 [1.50; 77.35] | 2.77 |
| CXCL9 | 5199.74 | 1087.58 [2.00; 6951.33] | 0.75 | 1683.49 [2.00; 38365.63] | |
| CXCL10 | 4301.79 | 675.40 [22.07; 14148.17] | 0.30 | 508.88 [16.86; 14685.22] | |
| Basic fibroblast growth factor (FGF basic) | 18.02 | 15.74 [0.67; 73.25] | 8.96 [0.56; 283.31] | ||
| Granulocyte-colony stimulating factor (G-CSF) | 36.41 | 25.33 [8.85; 235.96] | 24.20 [0.87; 2358.95] | ||
| Granulocyte- macrophage colony-stimulating factor (GM-CSF) | 16.73 | 11.42 [1.20; 85.95] | 5.04 [0.21;704.31] | ||
| Leukemia inhibitory factor (LIF) | 17.89 | 11.00 [1.20; 15.73] | 1.14 | 5.28 [0.32; 144.47] | 0.12 |
| Macrophage colony-stimulating factor (M-CSF) | 41.56 | 7.00 [0.68; 9.6] | 4.33 | 5.69 [0.31; 32.25] | 1.29 |
| Macrophage migration inhibitory factor (MIF) | 274.66 | 111.42 [0.42; 1440.27] | 162.41 [6.00; 1951.05] | ||
| Hepatocyte growth factor (HGF) | 1153.94 | 40.45 [1.59; 707.00] | 1.63 | 109.26 [3.23; 4732.69] | 0.24 |
| Nerve growth factor b-(NGF) | 7.32 | 4.00 [0.72; 5.10] | 1.44 | 4.00 [0.32; 16.44] | 0.45 |
| Stem cell factor (SCF) | 186.95 | 38.60 [7.00; 95.30] | 1.96 | 48.99 [7.00; 566.30] | 0.33 |
| SCGF-b | 115197.14 | 4131.02 [39.00; 14076.65] | 8.18 | 5740.14 [39.00; 50992.29] | 2.26 |
| TNF-β | 54.64 | 0.31 [0.09; 5.00] | 10.93 | 0.40 [0.14; 3.00] | 18.21 |
| Tumor necrosis factor related apoptosis-inducing ligand (TRAIL) | 42.91 | 12.12 [0.24; 225.08] | 27.54 [0.46; 225.08] | ||
| Tumor necrosis factor (TNF)-α | 14.39 | 35.91 [2.23; 194.11] | 23.63 [1.44; 2117.67] | ||
| Platelet-derived growth factor (PDGF)-bb | 129.28 | 267.95 [32.09; 3903.78] | 414.96 [3.00; 4291.09] | ||
| Vascular endothelial growth factor (VEGF) | 20.38 | 99.26 [1.72; 1822.04] | 67.12 [1.27; 1822.04] | ||
© 2019 by the authors. Licensee MDPI, Basel, Switzerland. This article is an open access article distributed under the terms and conditions of the Creative Commons Attribution (CC BY) license (http://creativecommons.org/licenses/by/4.0/).
Share and Cite
Garanina, E.; Martynova, E.; Davidyuk, Y.; Kabwe, E.; Ivanov, K.; Titova, A.; Markelova, M.; Zhuravleva, M.; Cherepnev, G.; Shakirova, V.G.; et al. Cytokine Storm Combined with Humoral Immune Response Defect in Fatal Hemorrhagic Fever with Renal Syndrome Case, Tatarstan, Russia. Viruses 2019, 11, 601. https://doi.org/10.3390/v11070601
Garanina E, Martynova E, Davidyuk Y, Kabwe E, Ivanov K, Titova A, Markelova M, Zhuravleva M, Cherepnev G, Shakirova VG, et al. Cytokine Storm Combined with Humoral Immune Response Defect in Fatal Hemorrhagic Fever with Renal Syndrome Case, Tatarstan, Russia. Viruses. 2019; 11(7):601. https://doi.org/10.3390/v11070601
Chicago/Turabian StyleGaranina, Ekaterina, Ekaterina Martynova, Yuriy Davidyuk, Emmanuel Kabwe, Konstantin Ivanov, Angelina Titova, Maria Markelova, Margarita Zhuravleva, Georgiy Cherepnev, Venera G. Shakirova, and et al. 2019. "Cytokine Storm Combined with Humoral Immune Response Defect in Fatal Hemorrhagic Fever with Renal Syndrome Case, Tatarstan, Russia" Viruses 11, no. 7: 601. https://doi.org/10.3390/v11070601
APA StyleGaranina, E., Martynova, E., Davidyuk, Y., Kabwe, E., Ivanov, K., Titova, A., Markelova, M., Zhuravleva, M., Cherepnev, G., Shakirova, V. G., Khaertynova, I., Tarlinton, R., Rizvanov, A., Khaiboullina, S., & Morzunov, S. (2019). Cytokine Storm Combined with Humoral Immune Response Defect in Fatal Hemorrhagic Fever with Renal Syndrome Case, Tatarstan, Russia. Viruses, 11(7), 601. https://doi.org/10.3390/v11070601

