Baculovirus PTP2 Functions as a Pro-Apoptotic Protein
Abstract
1. Introduction
2. Materials and Methods
2.1. Insects, Cell Lines and Virus
2.2. Assessment of Apoptosis in Sf21 Cells
2.2.1. Construction of Plasmids for Transient Expression Assays
2.2.2. Transient Expression Assay
2.2.3. Caspase Assay
2.3. Assessment of Apoptosis in Spodoptera exigua Hemolymph Cells
2.3.1. Construction of Recombinant Virus
2.3.2. Apoptosis in S. exigua Larvae Hemocytes
2.3.3. RNA Extraction and RT-PCR
2.4. Comparison of Virus Infectivity and Ob Yield
2.4.1. Virus Titrations
2.4.2. Infectivity Assays
2.4.3. Determination of OB Yield
3. Results
3.1. Transient Expression of SeMNPV Ptp2 in Sf21 Cells Induces Mild Apoptosis
3.2. SePTP2 Induces Apoptosis by Caspase Activation
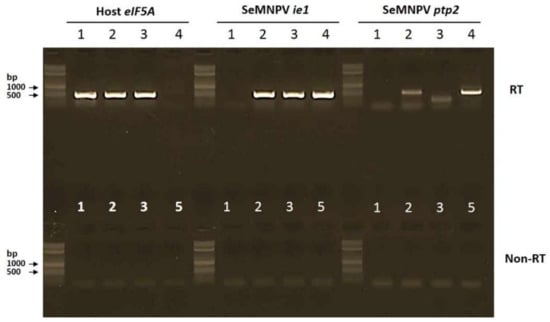
3.3. Deletion of the Ptp2 Gene Reduces SeMNPV-Induced Apoptosis in S. exigua Hemocytes
3.4. Virus Infectivity Was Not Affected by Deleting the Ptp2 Gene
3.5. Deletion of the Ptp2 Gene Decreases SeMNPV OB Yield
4. Discussion
Supplementary Materials
Acknowledgments
Author Contributions
Conflicts of Interest
References
- Elmore, S. Apoptosis: A review of programmed cell death. Toxicol. Pathol. 2007, 35, 495–516. [Google Scholar] [CrossRef] [PubMed]
- Feng, G.; Yu, Q.; Hu, C.; Wang, Y.; Yuan, G.; Chen, Q.; Yang, K.; Pang, Y. Apoptosis is induced in the haemolymph and fat body of Spodoptera exigua larvae upon oral inoculation with Spodoptera litura nucleopolyhedrovirus. J. Gen. Virol. 2007, 88, 2185–2193. [Google Scholar] [CrossRef] [PubMed]
- Kvansakul, M. Viral infection and apoptosis. Viruses 2017, 9, 356. [Google Scholar] [CrossRef] [PubMed]
- Chitnis, N.S.; Paul, E.R.; Lawrence, P.K.; Henderson, C.W.; Ganapathy, S.; Taylor, P.V.; Virdi, K.S.; D’Costa, S.M.; May, A.R.; Bilimoria, S.L. A virion-associated protein kinase induces apoptosis. J. Virol. 2011, 85, 13144–13152. [Google Scholar] [CrossRef] [PubMed][Green Version]
- Suderman, R.J.; Pruijssers, A.J.; Strand, M.R. Protein tyrosine phosphatase-H2 from a polydnavirus induces apoptosis of insect cells. J. Gen. Virol. 2008, 89, 1411–1420. [Google Scholar] [CrossRef] [PubMed]
- Schultz-Cherry, S.; Dybdahl-Sissoko, N.; Neumann, G.; Kawaoka, Y.; Hinshaw, V.S. Influenza virus ns1 protein induces apoptosis in cultured cells. J. Virol. 2001, 75, 7875–7881. [Google Scholar] [CrossRef] [PubMed]
- Schultz, K.L.W.; Wetter, J.A.; Fiore, D.C.; Friesen, P.D. Transactivator IE1 is required for baculovirus early replication events that trigger apoptosis in permissive and nonpermissive cells. J. Virol. 2009, 83, 262–272. [Google Scholar] [CrossRef] [PubMed]
- Anasir, M.I.; Baxter, A.A.; Poon, I.K.H.; Hulett, M.D.; Kvansakul, M. Structural and functional insight into canarypox virus cnp058 mediated regulation of apoptosis. Viruses 2017, 9, 305. [Google Scholar] [CrossRef] [PubMed]
- Williams, T.; Bergoin, M.; van Oers, M.M. Diversity of large DNA viruses of invertebrates. J. Invertebr. Pathol. 2017, 147, 4–22. [Google Scholar] [CrossRef] [PubMed]
- Clem, R.J.; Passarelli, A.L. Baculoviruses: Sophisticated pathogens of insects. PLoS Pathog. 2013, 9, e1003729. [Google Scholar] [CrossRef] [PubMed]
- Smits, P.H.; van de Vrie, M.; Vlak, J.M. Oviposition of beet armyworm (Lepidoptera: Noctuidae) on greenhouse crops. Environ. Entomol. 1986, 15, 1189–1191. [Google Scholar] [CrossRef]
- Wan, N.-F.; Ji, X.-Y.; Zhang, H.; Yang, J.-H.; Jiang, J.-X. Nucleopolyhedrovirus infection and/or parasitism by Microplitis pallidipes Szepligeti affect hemocyte apoptosis of Spodoptera exigua (Hübner) larvae. J. Invertebr. Pathol. 2015, 132, 165–170. [Google Scholar] [CrossRef] [PubMed]
- Prikhod’ko, E.A.; Miller, L.K. Induction of apoptosis by baculovirus transactivator IE1. J. Virol. 1996, 70, 7116–7124. [Google Scholar] [PubMed]
- Schultz, K.L.W.; Friesen, P.D. Baculovirus DNA replication-specific expression factors trigger apoptosis and shutoff of host protein synthesis during infection. J. Virol. 2009, 83, 11123–11132. [Google Scholar] [CrossRef] [PubMed]
- Clem, R.J. Baculoviruses and apoptosis: The good, the bad, and the ugly. Cell Death Differ. 2001, 8, 137–143. [Google Scholar] [CrossRef] [PubMed]
- IJkel, W.F.J.; van Strien, E.A.; Heldens, J.G.M.; Broer, R.; Zuidema, D.; Goldbach, R.W.; Vlak, J.M. Sequence and organization of the Spodoptera exigua multicapsid nucleopolyhedrovirus genome. J. Gen. Virol. 1999, 80, 3289–3304. [Google Scholar] [CrossRef] [PubMed]
- Wu, C.; Deng, Z.; Long, Z.; Cai, Y.; Ying, Z.; Yin, H.; Yuan, M.; Clem, R.J.; Yang, K.; Pang, Y. Generating a host range-expanded recombinant baculovirus. Sci. Rep. 2016, 6, 28072. [Google Scholar] [CrossRef] [PubMed]
- Zhu, L.-N.; Mei, C.-L.; Zhang, Z.-X. The function of SeMNPV IAP3 in mammalian cells. Virol. Sin. 2008, 23, 183–188. [Google Scholar] [CrossRef]
- Patterson, K.I.; Brummer, T.; O’Brien, P.M.; Daly, R.J. Dual-specificity phosphatases: Critical regulators with diverse cellular targets. Biochem. J. 2009, 418, 475–489. [Google Scholar] [CrossRef] [PubMed]
- Han, Y.; van Houte, S.; Drees, G.F.; van Oers, M.M.; Ros, V.I.D. Parasitic manipulation of host behaviour: Baculovirus SeMNPV EGT facilitates tree-top disease in Spodoptera exigua larvae by extending the time to death. Insects 2015, 6, 716–731. [Google Scholar] [CrossRef] [PubMed]
- Hara, K.; Funakoshi, M.; Kawarabata, T. A cloned cell line of Spodopteta exigua has a highly increased susceptibility to the Spodoptera exigua nuclear polyhedrosis virus. Can. J. Microbiol. 1995, 41, 1111–1116. [Google Scholar] [CrossRef]
- Pijlman, G.P.; Dortmans, J.C.; Vermeesch, A.M.; Yang, K.; Martens, D.E.; Goldbach, R.W.; Vlak, J.M. Pivotal role of the non-hr origin of DNA replication in the genesis of defective interfering baculoviruses. J. Virol. 2002, 76, 5605–5611. [Google Scholar] [CrossRef] [PubMed]
- Van Houte, S.; Ros, V.I.D.; Mastenbroek, T.G.; Vendrig, N.J.; Hoover, K.; Spitzen, J.; van Oers, M.M. Protein tyrosine phosphatase-induced hyperactivity is a conserved strategy of a subset of baculoviruses to manipulate lepidopteran host behavior. PLoS ONE 2012, 7, e46933. [Google Scholar] [CrossRef] [PubMed]
- Luckow, V.A.; Lee, S.C.; Barry, G.F.; Olins, P.O. Efficient generation of infectious recombinant baculoviruses by site-specific transposon-mediated insertion of foreign genes into a baculovirus genome propagated in Escherichia coli. J. Virol. 1993, 67, 4566–4579. [Google Scholar] [PubMed]
- Fros, J.J.; Liu, W.J.; Prow, N.A.; Geertsema, C.; Ligtenberg, M.; Vanlandingham, D.L.; Schnettler, E.; Vlak, J.M.; Suhrbier, A.; Khromykh, A.A.; et al. Chikungunya virus nonstructural protein 2 inhibits type I/II interferon-stimulated jak-stat signaling. J. Virol. 2010, 84, 10877–10887. [Google Scholar] [CrossRef] [PubMed]
- IBM Corp. IBM SPSS Statistics for Windows, Version 22.0; IBM Corp: Armonk, NY, USA, 2013. [Google Scholar]
- Ros, V.I.D.; van Houte, S.; Hemerik, L.; van Oers, M.M. Baculovirus-induced tree-top disease: How extended is the role of egt as a gene for the extended phenotype? Mol. Ecol. 2015, 24, 249–258. [Google Scholar] [CrossRef] [PubMed]
- Van Oers, M.M.; van Marwijk, M.; Kwa, M.S.; Vlak, J.M.; Thomas, A.A. Cloning and analysis of CDNAS encoding the hypusine-containing protein eIF5A of two lepidopteran insect species. Insect Mol. Biol. 1999, 8, 531–538. [Google Scholar] [CrossRef] [PubMed]
- Goertz, G.P.; Fros, J.J.; Miesen, P.; Vogels, C.B.; van der Bent, M.L.; Geertsema, C.; Koenraadt, C.J.; van Rij, R.P.; van Oers, M.M.; Pijlman, G.P. Noncoding subgenomic flavivirus rna is processed by the mosquito RNA interference machinery and determines West nile virus transmission by Culex pipiens mosquitoes. J. Virol. 2016, 90, 10145–10159. [Google Scholar] [CrossRef] [PubMed]
- R Core Team. R: A Language and Environment For Statistical Computing, 3.0.0; R Foundation for Statistical Computing: Vienna, Austria, 2013. [Google Scholar]
- Han, J.Y.; Miller, S.A.; Wolfe, T.M.; Pourhassan, H.; Jerome, K.R. Cell type-specific induction and inhibition of apoptosis by herpes simplex virus type 2 icp10. J. Virol. 2009, 83, 2765–2769. [Google Scholar] [CrossRef] [PubMed]
- Clem, R.J.; Fechheimer, M.; Miller, L.K. Prevention of apoptosis by a baculovirus gene during infection of insect cells. Science 1991, 254, 1388–1390. [Google Scholar] [CrossRef] [PubMed]
- Pruijssers, A.J.; Strand, M.R. Ptp-h2 and ptp-h3 from Microplitis demolitor bracovirus localize to focal adhesions and are antiphagocytic in insect immune cells. J. Virol. 2007, 81, 1209–1219. [Google Scholar] [CrossRef] [PubMed]
- Abdelwahid, E.; Yokokura, T.; Krieser, R.J.; Balasundaram, S.; Fowle, W.H.; White, K. Mitochondrial disruption in Drosophila apoptosis. Dev. Cell 2007, 12, 793–806. [Google Scholar] [CrossRef] [PubMed]
- Kim, Y.H.; Lee, D.H.; Jeong, J.H.; Guo, Z.S.; Lee, Y.J. Quercetin augments trail-induced apoptotic death: Involvement of the ERK signal transduction pathway. Biochem. Pharmacol. 2008, 75, 1946–1958. [Google Scholar] [CrossRef] [PubMed]
- Porras, A.; Zuluaga, S.; Black, E.; Valladares, A.; Alvarez, A.M.; Ambrosino, C.; Benito, M.; Nebreda, A.R. P38 α mitogen-activated protein kinase sensitizes cells to apoptosis induced by different stimuli. Mol. Biol. Cell 2004, 15, 922–933. [Google Scholar] [CrossRef] [PubMed]
- Katsuma, S.; Mita, K.; Shimada, T. ERK- and JNK-dependent signaling pathways contribute to Bombyx mori nucleopolyhedrovirus infection. J. Virol. 2007, 81, 13700–13709. [Google Scholar] [CrossRef] [PubMed]
- Clarke, P.; Tyler, K.L. Apoptosis in animal models of virus-induced disease. Nat. Rev. Microbiol. 2009, 7, 144–155. [Google Scholar] [CrossRef] [PubMed]
- Jaworska, J.; Coulombe, F.; Downey, J.; Tzelepis, F.; Shalaby, K.; Tattoli, I.; Berube, J.; Rousseau, S.; Martin, J.G.; Girardin, S.E.; et al. NLRX1 prevents mitochondrial induced apoptosis and enhances macrophage antiviral immunity by interacting with influenza virus PB1-F2 protein. Proc. Natl. Acad. Sci. USA 2014, 111, E2110–E2119. [Google Scholar] [CrossRef] [PubMed]





© 2018 by the authors. Licensee MDPI, Basel, Switzerland. This article is an open access article distributed under the terms and conditions of the Creative Commons Attribution (CC BY) license (http://creativecommons.org/licenses/by/4.0/).
Share and Cite
Han, Y.; Van Houte, S.; Van Oers, M.M.; Ros, V.I.D. Baculovirus PTP2 Functions as a Pro-Apoptotic Protein. Viruses 2018, 10, 181. https://doi.org/10.3390/v10040181
Han Y, Van Houte S, Van Oers MM, Ros VID. Baculovirus PTP2 Functions as a Pro-Apoptotic Protein. Viruses. 2018; 10(4):181. https://doi.org/10.3390/v10040181
Chicago/Turabian StyleHan, Yue, Stineke Van Houte, Monique M. Van Oers, and Vera I.D. Ros. 2018. "Baculovirus PTP2 Functions as a Pro-Apoptotic Protein" Viruses 10, no. 4: 181. https://doi.org/10.3390/v10040181
APA StyleHan, Y., Van Houte, S., Van Oers, M. M., & Ros, V. I. D. (2018). Baculovirus PTP2 Functions as a Pro-Apoptotic Protein. Viruses, 10(4), 181. https://doi.org/10.3390/v10040181
