Residual Endodontic Filling Material after Post Space Preparation: A Confocal Microscopic Study
Abstract
:1. Introduction
2. Materials and Methods
2.1. Collection and Preparation of Teeth
2.2. Experimental Groups
2.3. Storage of Samples
2.4. Removal Procedures
2.5. Statistical Analysis
2.6. Eccentricity
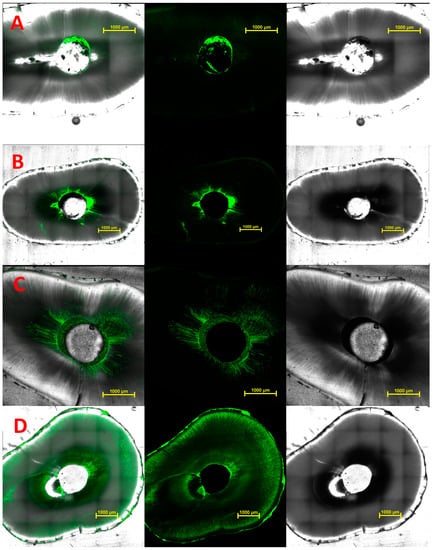
3. Results
4. Discussion
5. Conclusions
Author Contributions
Conflicts of Interest
References
- Caputo, A.A.; Standlee, J.P. Pins and posts—Why, when and how. Dent. Clin. N. Am. 1976, 20, 299–311. [Google Scholar] [PubMed]
- Mattison, G.D.; Delivanis, P.D.; Thacker, R.W.; Hassell, K.J. Effect of post preparation on the apical seal. J. Prosthet. Dent. 1984, 51, 785–789. [Google Scholar] [CrossRef]
- Cooney, J.P.; Caputo, A.A.; Trabert, K.C. Retention and stress distribution of tapered-end endodontic posts. J. Prosthet. Dent. 1986, 55, 540–546. [Google Scholar] [CrossRef]
- Goracci, C.; Ferrari, M. Current perspectives on post systems: A literature review. Aust. Dent. J. 2011, 56 (Suppl. S1), 77–83. [Google Scholar] [CrossRef] [PubMed]
- Morris, M.D.; Lee, K.W.; Agee, K.A.; Bouillaguet, S.; Pashley, D.H. Effects of sodium hypochlorite and RC-Prep on bond strengths of resin cement to endodontic surfaces. J. Endod. 2001, 27, 753–757. [Google Scholar] [CrossRef] [PubMed]
- Mannocci, F.; Innocenti, M.; Ferrari, M.; Watson, T.F. Confocal and scanning electron microscopic study of teeth restored with fiber posts, metal posts, and composite resins. J. Endod. 1999, 25, 789–794. [Google Scholar] [CrossRef]
- Ferrari, M.; Mannocci, F. A 1-bottle adhesive system for bonding a fiber post into a root canal: A SEM evaluation of the post-resin interface. Int. Endod. J. 2000, 33, 397–400. [Google Scholar] [CrossRef] [PubMed]
- Boone, K.J.; Murchison, D.F.; Schindler, W.G.; Walker, W.A., 3rd. Post Retention: The Effect of Sequence of Post- Space Preparation, Cementation Time, and Different Sealers. J. Endod. 2001, 27, 768–771. [Google Scholar] [CrossRef] [PubMed]
- Serafino, C.; Gallina, G.; Cumbo, E.; Ferrari, M. Surface debris of canal walls after post space preparation in endodontically treated teeth: A scanning electron microscopic study. Oral Surg. Oral Med. Oral Pathol. Oral Radiol. Endod. 2004, 97, 381–387. [Google Scholar] [CrossRef] [PubMed]
- Hassanloo, A.; Watson, P.; Finer, Y.; Friedman, S. Retreatment efficacy of the Epiphany soft resin obturation system. Int. Endod. J. 2007, 40, 633–643. [Google Scholar] [CrossRef] [PubMed]
- Nevares, G.; de Albuquerque, D.S.; Freire, L.G.; Romeiro, K.; Fogel, H.M.; Dos Santos, M.; Cunha, R.S. Efficacy of ProTaper NEXT compared with Reciproc in removing obturation material from severely curved root canals: A micro-computed tomography study. J. Endod. 2016, 42, 803–808. [Google Scholar] [CrossRef] [PubMed]
- Khedmat, S.; Azari, A.; Shamshiri, A.R.; Fadae, M.; Bashizadeh Fakhar, H. Efficacy of ProTaper and Mtwo retreatment files in removal of gutta-percha and GuttaFlow from root canals. Iran. Endod. J. 2016, 11, 184–187. [Google Scholar] [CrossRef] [PubMed]
- Roggendorf, M.J.; Legner, M.; Ebert, J.; Fillery, E.; Frankenberger, R.; Friedman, S. Micro-CT evaluation of residual material in canals filled with Activ GP or GuttaFlow following removal with NiTi instruments. Int. Endod. J. 2010, 43, 200–209. [Google Scholar] [CrossRef] [PubMed]
- Vidal, F.T.; Nunes, E.; Horta, M.C.; Freitas, M.R.; Silveira, F.F. Evaluation of three different rotary systems during endodontic retreatment—Analysis by scanning electron microscopy. J. Clin. Exp. Dent. 2016, 8, e125–e129. [Google Scholar] [CrossRef] [PubMed]
- Kocak, M.M.; Kocak, S.; Turker, S.A.; Saglam, B.C. Cleaning efficacy of reciprocal and rotary systems in the removal of root canal filling material. J. Conserv. Dent. 2016, 19, 184–188. [Google Scholar] [CrossRef] [PubMed]
- Teoh, Y.Y.; Athanassiadis, B.; Walsh, L.J. Sealing ability of alkaline endodontic cements versus resin cements. Materials 2017, 10, 1228. [Google Scholar] [CrossRef] [PubMed]
- Keskin, C.; Sariyilmaz, E.; Sariyilmaz, Ö. Efficacy of XP-endo Finisher File in Removing Calcium Hydroxide from Simulated Internal Resorption Cavity. J. Endod. 2017, 43, 126–130. [Google Scholar] [CrossRef] [PubMed]
- Eccentricity. Available online: http://mathworld.wolfram.com/Eccentricity.html (accessed on 12 September 2017).
- Parirokh, M.; Torabinejad, M. Mineral trioxide aggregate: A comprehensive literature review—Part III: Clinical applications, drawbacks, and mechanism of action. J. Endod. 2010, 36, 400–413. [Google Scholar] [CrossRef] [PubMed]
- Ha, W.N.; Kahler, B.; Walsh, L.J. Clinical manipulation of mineral trioxide aggregate: Lessons from the construction industry and their relevance to clinical practice. J. Can. Dent. Assoc. 2015, 81, f4. [Google Scholar] [PubMed]
- Schafer, E.; Zandbiglari, T. A comparison of the effectiveness of chloroform and eucalyptus oil in dissolving root canal sealers. Oral Surg. Oral Med. Oral Pathol. Oral Radiol. Endod. 2002, 93, 611–616. [Google Scholar] [CrossRef] [PubMed]
- Ricketts, D.N.; Tait, C.M.; Higgins, A.J. Tooth preparation for post-retained restorations. Br. Dent. J. 2005, 198, 463–471. [Google Scholar] [CrossRef] [PubMed]
- Holland, R.; Murata, S.S.; Silva, M.N.; Dezan Junior, E.; de Souza, V.; Bernabe, P.F. Influence of the sealer and a plug in coronal leakage after post space preparation. J. Appl. Oral Sci. 2004, 12, 223–226. [Google Scholar] [CrossRef] [PubMed]
- Holland, R.; Manne, L.N.; de Souza, V.; Murata, S.S.; Dezan Junior, E. Periapical tissue healing after post space preparation with or without use of a protection plug and root canal exposure to the oral environment. Study in dogs. Braz. Dent. J. 2007, 18, 281–288. [Google Scholar] [CrossRef] [PubMed]
- Paque, F.; Balmer, M.; Attin, T.; Peters, O.A. Preparation of oval-shaped root canals in mandibular molars using nickel-titanium rotary instruments: A micro-computed tomography study. J. Endod. 2010, 36, 703–707. [Google Scholar] [CrossRef] [PubMed]
- Dagna, A.; Arciola, C.R.; Florindi, F.; Scribante, A.; Saino, E.; Visai, L.; Poggio, C. In vitro evaluation of antimicrobial efficacy of endodontic irrigants. Int. J. Artif. Organs 2011, 34, 914–919. [Google Scholar] [CrossRef] [PubMed]
- Poggio, C.; Arciola, C.R.; Cepurnykh, S.; Chiesa, M.; Scribante, A.; Selan, L.; Imbriani, M.; Visai, L. In vitro antibacterial activity of different self-etch adhesives. Int. J. Artif. Organs 2012, 35, 847–853. [Google Scholar] [CrossRef] [PubMed]
- Grayson, I. The Current State of Irrigation in Endodontics. J. Mass. Dent. Soc. 2016, 65, 32–33. [Google Scholar] [PubMed]






1. AH-Plus™ (Dentsply Maillefer, Ballaigues, Switzerland)
|
2. Zirmix™ (Ozdent, Castle Hill, Sydney, Australia)
|
3. Nex MTA™ (GC Corporation, Tokyo, Japan)
|
4. MTAmix™ (Ozdent, Castle Hill, Sydney, Australia)
|
5. Supercal™ (Ozdent, Castle Hill, Sydney, Australia)
|
| Group | Material | Mean | Standard Deviation | Minimum | Median | Maximum | 95% Confidence Internals |
|---|---|---|---|---|---|---|---|
| 1 | AH Plus™ | 48.2 | 18 | 20.9 | 43.1 (A) | 78.3 | 33.9–69.5 |
| 2 | Zirmix™ | 64.1 | 18.1 | 43.6 | 61.0 (B) | 100 | 49.1–77.9 |
| 4 | MTAmix™ | 58.8 | 31.9 | 14 | 49.1 (C) | 100 | 29.2–98.3 |
| 5 | Supercal™ | 95.2 | 10.2 | 64.2 | 100 | 100 | 92.8–100.0 |
© 2017 by the authors. Licensee MDPI, Basel, Switzerland. This article is an open access article distributed under the terms and conditions of the Creative Commons Attribution (CC BY) license (http://creativecommons.org/licenses/by/4.0/).
Share and Cite
Teoh, Y.-Y.; Walsh, L.J. Residual Endodontic Filling Material after Post Space Preparation: A Confocal Microscopic Study. Materials 2017, 10, 1333. https://doi.org/10.3390/ma10111333
Teoh Y-Y, Walsh LJ. Residual Endodontic Filling Material after Post Space Preparation: A Confocal Microscopic Study. Materials. 2017; 10(11):1333. https://doi.org/10.3390/ma10111333
Chicago/Turabian StyleTeoh, Yu-Yao, and Laurence J. Walsh. 2017. "Residual Endodontic Filling Material after Post Space Preparation: A Confocal Microscopic Study" Materials 10, no. 11: 1333. https://doi.org/10.3390/ma10111333
APA StyleTeoh, Y.-Y., & Walsh, L. J. (2017). Residual Endodontic Filling Material after Post Space Preparation: A Confocal Microscopic Study. Materials, 10(11), 1333. https://doi.org/10.3390/ma10111333

