Long-Term Results of Orbital Roof Repair with Titanium Mesh in a Case of Traumatic Intraorbital Encephalocele: A Case Report and Review of Literature
Abstract
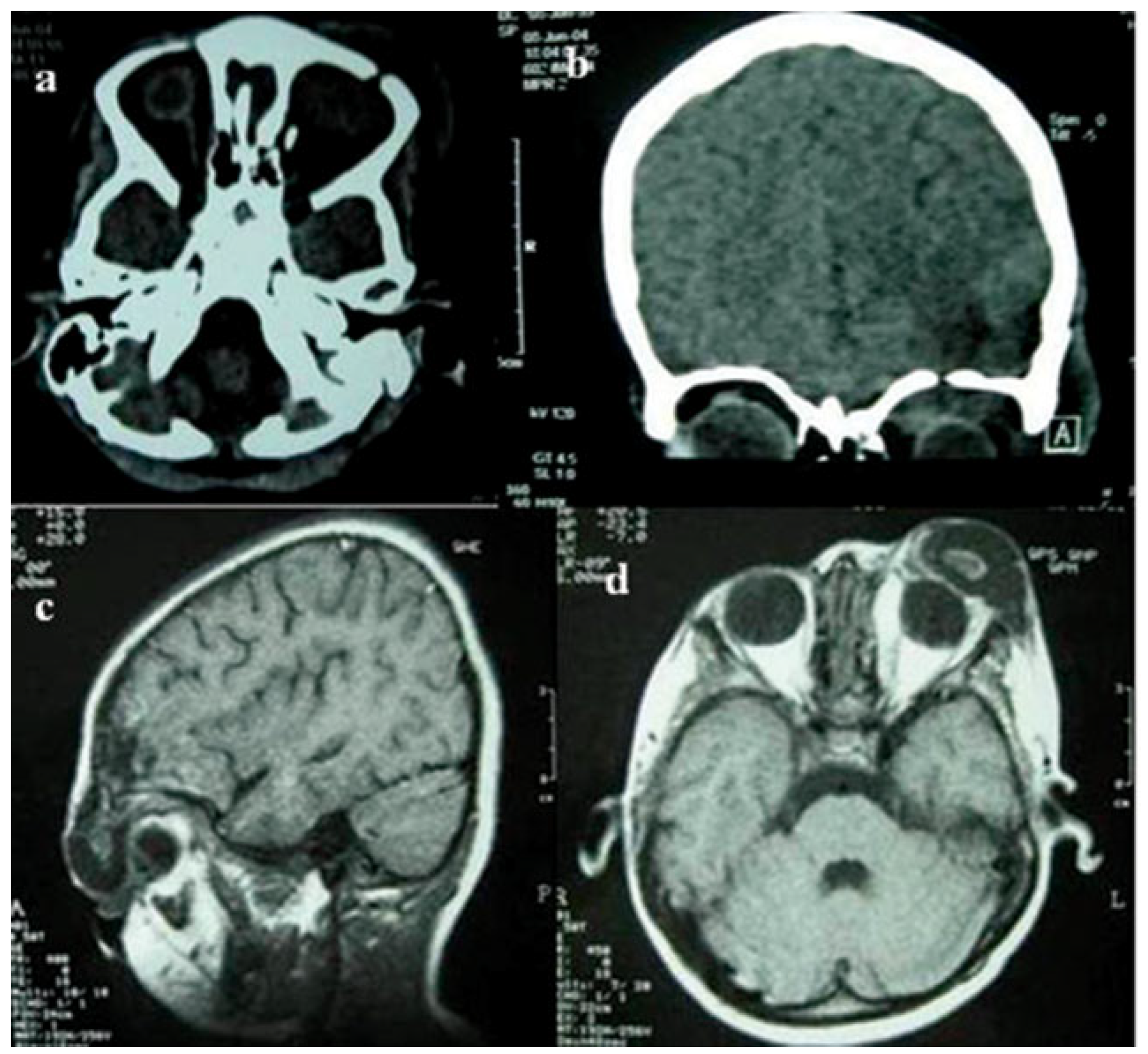
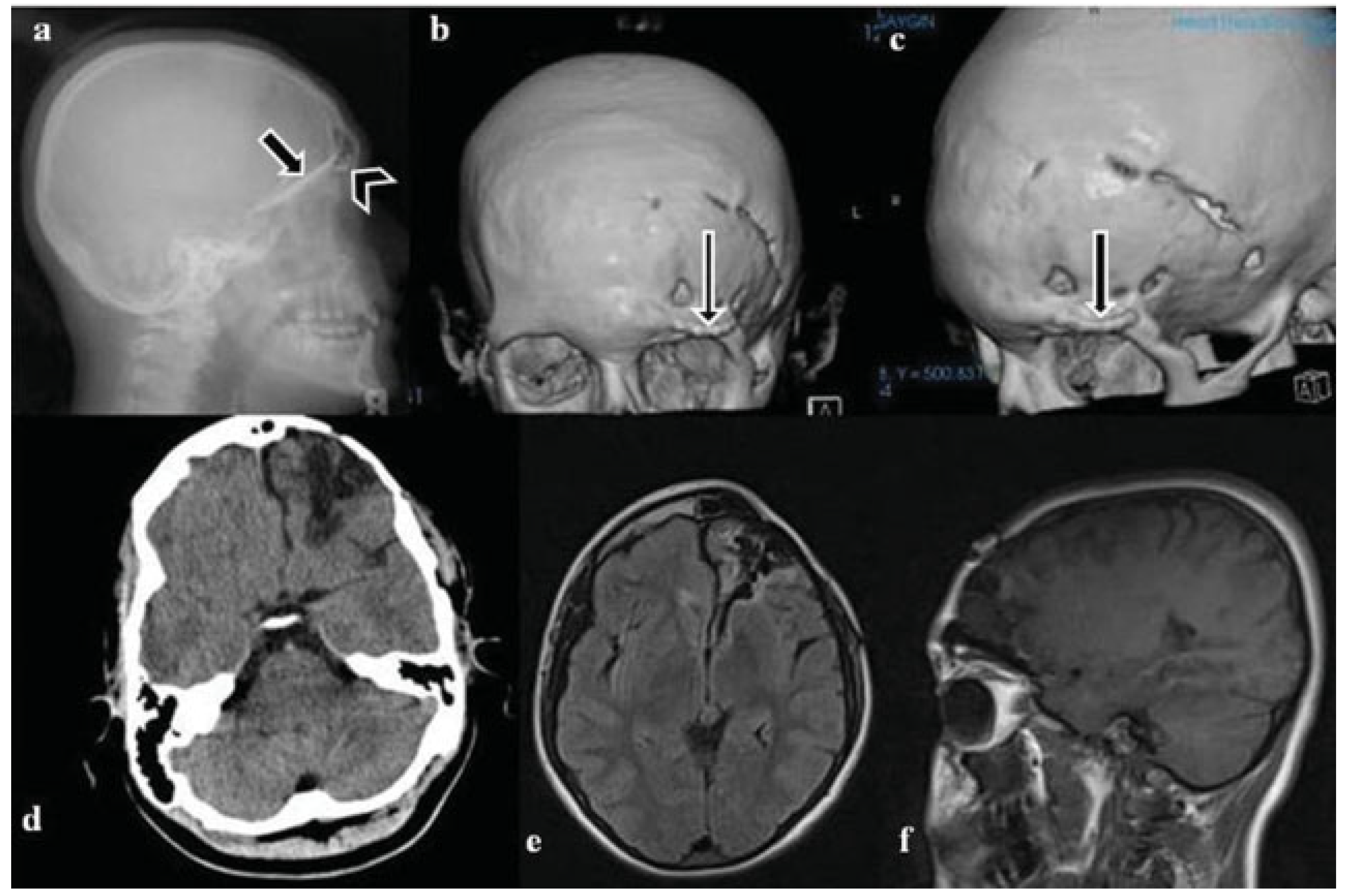
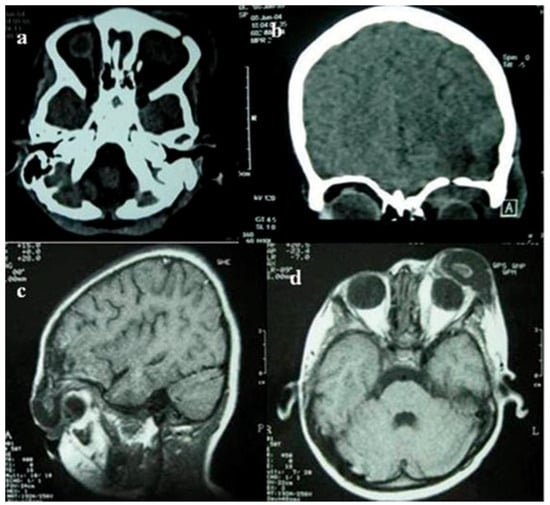
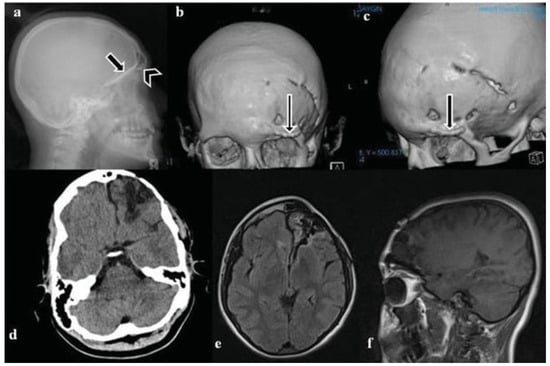
:Case Report
Discussion
Conclusion
Funding
Conflicts of Interest
References
- Bloem, J.J.; Meulen, J.C.; Ramselaar, J.M. Orbital roof fractures. Mod Probl Ophthalmol 1975, 14, 510–512. [Google Scholar]
- Chirico, P.A.; Mirvis, S.E.; Kelman, S.E.; Karesh, J.W. Orbital “blow-in” fractures: Clinical and CT features. J Comput Assist Tomogr 1989, 13, 1017–1022. [Google Scholar] [CrossRef] [PubMed]
- Takizawa, H.; Sugiura, K.; Baba, M.; et al. Structural mechanics of the blowout fracture: Numerical computer simulation of orbital deformation by the finite element method. Neurosurgery 1988, 22 Pt 1, 1053–1055. [Google Scholar]
- Wagle, W.A.; Eames, F.A.; Wood, G.W. Orbital roof blow-in fractures: CT demonstration. J Comput Assist Tomogr 1987, 11, 918–919. [Google Scholar] [PubMed]
- Flanagan, J.C.; McLachlan, D.L.; Shannon, G.M. Orbital roof fractures: Neurologic and neurosurgical considerations. Ophthalmology 1980, 87, 325–329. [Google Scholar] [PubMed]
- Martello, J.Y.; Vasconez, H.C. Supraorbital roof fractures: A formidable entity with which to contend. Ann Plast Surg 1997, 38, 223–227. [Google Scholar]
- King, A.B. Traumatic encephaloceles of the orbit. AMA Arch Opthalmol 1951, 46, 49–56. [Google Scholar]
- Antonelli, V.; Cremonini, A.M.; Campobassi, A.; Pascarella, R.; Zofrea, G.; Servadei, F. Traumatic encephalocele related to orbital roof fractures: Report of six cases and literature review. Surg Neurol 2002, 57, 117–125. [Google Scholar]
- Antworth, M.V.; Beck, R.W. Traumatic orbital encephalocele. Can J Ophthalmol 1989, 24, 129–131. [Google Scholar]
- Cayli, S.R.; Koçak, A.; Alkan, A.; et al. Intraorbital encephalocele: An important complication of orbital roof fractures in pediatric patients. Pediatr Neurosurg 2003, 39, 240–245. [Google Scholar]
- Donahue, D.J.; Smith, K.; Church, E.; Chadduck, W.M. Intracranial neurological injuries associated with orbital fracture. Pediatr Neurosurg 1997, 26, 261–268. [Google Scholar] [CrossRef]
- Gazioğlu, N.; Ulu, M.O.; Ozlen, F.; Uzan, M.; Ciplak, N. Acute traumatic orbital encephalocele related to orbital roof fracture: Reconstruction by using porous polyethylene. Ulus Travma Acil Cerrahi Derg 2008, 14, 247–252. [Google Scholar]
- Greenwald, M.J.; Boston, D.; Pensler, J.M.; Radkowski, M.A. Orbital roof fractures in childhood. Ophthalmology 1989, 96, 491–496, discussion 496–497. [Google Scholar] [CrossRef]
- Messinger, A.; Radkowski, M.A.; Greenwald, M.J.; Pensler, J.M. Orbital roof fractures in the pediatric population. Plast Reconstr Surg 1989, 84, 213–216, discussion 217–218. [Google Scholar] [CrossRef] [PubMed]
- Poe, L.B.; Rosenbaum, A.E. Transorbital herniation: An unusual mechanism of intracranial decompression following trauma. AJNR Am J Neuroradiol 1992, 13, 231–233. [Google Scholar] [PubMed]
- Racaru, T.; Nguyen-Khac, M.T.; Scholtes, F.; Dubuisson, A.; Kaschten, B.; Martin, D. Clinical case of the month. Traumatic bilateral orbital encephalocele [in French]. Rev Med Liege 2010, 65, 59–61. [Google Scholar]
- Rothman, M.I.; Simon, E.M.; Zoarski, G.H.; Zagardo, M.T. Superior blowout fracture of the orbit: The blowup fracture. AJNR Am J Neuroradiol 1998, 19, 1448–1449. [Google Scholar] [PubMed]
- Sato, O.; Kamitani, H.; Kokunai, T. Blow-in fracture of both orbital roofs caused by shear strain to the skull. Case report. J Neurosurg 1978, 49, 734–738. [Google Scholar] [CrossRef]
- Giuffrida, M.; Cultrera, F.; Antonelli, V.; Campobassi, A.; Servadei, F. Growing-fracture of the orbital roof with post-traumatic encephalocele in an adult patient. Case report. J Neurosurg Sci 2002, 46, 131–134. [Google Scholar]
- Mokal, N.J.; Desai, M.F. Titanium mesh reconstruction of orbital roof fracture with traumatic encephalocele: A case report and review of literature. Craniomaxillofac Trauma Reconstr 2012, 5, 11–18. [Google Scholar] [CrossRef]
- Salame, K.; Segev, Y.; Fliss, D.M.; Ouaknine, G.E. Diagnosis and management of posttraumatic oculorrhea. Neurosurg Focus 2000, 9, e3. [Google Scholar]
- McLachlan, D.L.; Flanagan, J.C.; Shannon, G.M. Complications of orbital roof fractures. Ophthalmology 1982, 89, 1274–1278. [Google Scholar] [PubMed]
- Koç, R.K.; Kurtsoy, A.; Oktem, I.S.; Akdemir, H. Growing skull fracture of the orbital roof. Case report. Pediatr Neurosurg 1999, 30, 35–38. [Google Scholar] [PubMed]
- Greenwald, M.J.; Lissner, G.S.; Tomita, T.; Naidich, T.P. Isolated orbital roof fracture with traumatic encephalocele. J Pediatr Ophthalmol Strabismus 1987, 24, 141–144. [Google Scholar] [CrossRef]
- Sollmann, W.P.; Seifert, V.; Haubitz, B.; Dietz, H. Combined orbitofrontal injuries. Neurosurg Rev 1989, 12, 115–121. [Google Scholar] [CrossRef]
- Amirjamshidi, A.; Abbassioun, K.; Sadeghi Tary, A. Growing traumatic leptomeningeal cyst of the roof of the orbit presenting with unilateral exophthalmos. Surg Neurol 2000, 54, 178–181, discussion 181–182. [Google Scholar] [CrossRef] [PubMed]
- Dryden, R.M.; Wulc, A.E. Pseudoepiphora from cerebrospinal fluid leak: Case report. Br J Ophthalmol 1986, 70, 570–574. [Google Scholar] [CrossRef]
- Manfrè, L.; Nicoletti, G.; Lombardo, M.; Consoli, V.; Pero, G.; Albanese, V. Orbital “blow-in” fracture: MRI. Neuroradiology 1993, 35, 612–613. [Google Scholar]
- Maas, C.S.; Merwin, G.E.; Wilson, J.; Frey, M.D.; Maves, M.D. Comparison of biomaterials for facial bone augmentation. Arch Otolaryngol Head Neck Surg 1990, 116, 551–556. [Google Scholar]
- Ousterhout, D.K.; Stelnicki, E.J. Plastic surgery’s plastics. Clin Plast Surg 1996, 23, 183–190. [Google Scholar]
- Purdy, E.P. Oculoplastic and orbital applications of porous highdensity polyethylene implants. Curr Opin Ophthalmol 1997, 8, 57–63. [Google Scholar] [CrossRef] [PubMed]
- Manolidis, S.; Weeks, B.H.; Kirby, M.; Scarlett, M.; Hollier, L. Classification and surgical management of orbital fractures: Experience with 111 orbital reconstructions. J Craniofac Surg 2002, 13, 726–737, discussion 738. [Google Scholar] [CrossRef] [PubMed]
- Young, V.L.; Schuster, R.H.; Harris, L.W. Intracerebral hematoma complicating split calvarial bone-graft harvesting. Plast Reconstr Surg 1990, 86, 763–765. [Google Scholar] [CrossRef] [PubMed]
- Gruss, J.S. Complex nasoethmoid-orbital and midfacial fractures: Role of craniofacial surgical techniques and immediate bone grafting. Ann Plast Surg 1986, 17, 377–390. [Google Scholar] [CrossRef]
- Bratton, E.M.; Durairaj, V.D. Orbital implants for fracture repair. Curr Opin Ophthalmol 2011, 22, 400–406. [Google Scholar] [CrossRef]



© 2016 by the author. The Author(s) 2016.
Share and Cite
Arslan, E.; Arslan, S.; Kalkısım, S.; Arslan, A.; Kuzeyli, K. Long-Term Results of Orbital Roof Repair with Titanium Mesh in a Case of Traumatic Intraorbital Encephalocele: A Case Report and Review of Literature. Craniomaxillofac. Trauma Reconstr. 2016, 9, 255-259. https://doi.org/10.1055/s-0036-1581064
Arslan E, Arslan S, Kalkısım S, Arslan A, Kuzeyli K. Long-Term Results of Orbital Roof Repair with Titanium Mesh in a Case of Traumatic Intraorbital Encephalocele: A Case Report and Review of Literature. Craniomaxillofacial Trauma & Reconstruction. 2016; 9(3):255-259. https://doi.org/10.1055/s-0036-1581064
Chicago/Turabian StyleArslan, Erhan, Selçuk Arslan, Selçuk Kalkısım, Ahmet Arslan, and Kayhan Kuzeyli. 2016. "Long-Term Results of Orbital Roof Repair with Titanium Mesh in a Case of Traumatic Intraorbital Encephalocele: A Case Report and Review of Literature" Craniomaxillofacial Trauma & Reconstruction 9, no. 3: 255-259. https://doi.org/10.1055/s-0036-1581064
APA StyleArslan, E., Arslan, S., Kalkısım, S., Arslan, A., & Kuzeyli, K. (2016). Long-Term Results of Orbital Roof Repair with Titanium Mesh in a Case of Traumatic Intraorbital Encephalocele: A Case Report and Review of Literature. Craniomaxillofacial Trauma & Reconstruction, 9(3), 255-259. https://doi.org/10.1055/s-0036-1581064