Delayed Periorbital Abscess After Silicone Implant to Orbital Floor Fracture
Abstract
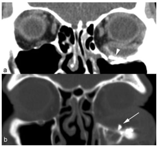
Case Report
Discussion
Conclusion
Note
Conflicts of Interest
References
- Converse, J.M.; Smith, B.; Obear, M.F.; Wood-Smith, D. Orbital blowout fractures: A ten-year survey. Plast Reconstr Surg 1967, 39, 20–36. [Google Scholar] [CrossRef] [PubMed]
- Gart, M.S.; Gosain, A.K. Evidence-based medicine: Orbital floor fractures. Plast Reconstr Surg 2014, 134, 1345–1355. [Google Scholar] [CrossRef]
- Ellis, E.I.I.I.; El-Attar, A.; Moos, K.F. An analysis of 2,067 cases of zygomatico-orbital fracture. J Oral Maxillofac Surg 1985, 43, 417–428. [Google Scholar] [CrossRef]
- Tong, L.; Bauer, R.J.; Buchman, S.R. A current 10-year retrospective survey of 199 surgically treated orbital floor fractures in a nonurban tertiary care center. Plast Reconstr Surg 2001, 108, 612–621. [Google Scholar] [CrossRef] [PubMed]
- Burnstine, M.A. Clinical recommendations for repair of orbital facial fractures. Curr Opin Ophthalmol 2003, 14, 236–240. [Google Scholar] [CrossRef] [PubMed]
- Alinasab, B.; Ryott, M.; Stjärne, P. Still no reliable consensus in management of blow-out fracture. Injury 2014, 45, 197–202. [Google Scholar] [CrossRef]
- Gunarajah, D.R.; Samman, N. Biomaterials for repair of orbital floor blowout fractures: A systematic review. J Oral Maxillofac Surg 2013, 71, 550–570. [Google Scholar] [CrossRef]
- Aldekhayel, S.; Aljaaly, H.; Fouda-Neel, O.; Shararah, A.W.; Zaid, W.S.; Gilardino, M. Evolving trends in the management of orbital floor fractures. J Craniofac Surg 2014, 25, 258–261. [Google Scholar] [CrossRef]
- Avashia, Y.J.; Sastry, A.; Fan, K.L.; Mir, H.S.; Thaller, S.R. Materials used for reconstruction after orbital floor fracture. J Craniofac Surg 2012, 23, 1991–1997. [Google Scholar] [CrossRef]
- Dougherty, W.R.; Wellisz, T. The natural history of alloplastic implants in orbital floor reconstruction: An animal model. J Craniofac Surg 1994, 5, 26–32, discussion 33. [Google Scholar] [CrossRef]
- Brown, A.E.; Banks, P. Late extrusion of alloplastic orbital floor implants. Br J Oral Maxillofac Surg 1993, 31, 154–157. [Google Scholar] [CrossRef]
- Lipshutz, H.; Ardizone, R.A. The use of silicone rubber in the immediate reconstruction of fractures of the floor of the orbit. J Trauma 1963, 3, 563–568. [Google Scholar] [CrossRef]
- Morrison, A.D.; Sanderson, R.C.; Moos, K.F. The use of Silastic as an orbital implant for reconstruction of orbital wall defects: Review of 311 cases treated over 20 years. J Oral Maxillofac Surg 1995, 53, 412–417. [Google Scholar] [CrossRef]
- Laxenaire, A.; Lévy, J.; Blanchard, P.; Lerondeau, J.C.; Tesnier, F.; Scheffer, P. Complications of Silastic implants used in orbital repair [in French]. Rev Stomatol Chir Maxillofac 1997, 98 (Suppl. S1), 96–99. [Google Scholar]
- Mok, D.; Lessard, L.; Cordoba, C.; Harris, P.G.; Nikolis, A. A review of materials currently used in orbital floor reconstruction. Can J Plast Surg 2004, 12, 134–140. [Google Scholar] [CrossRef] [PubMed]
- Koh, V.; Chiam, N.; Sundar, G. Survey of common practices among oculofacial surgeons in the Asia-Pacific region: Management of orbital floor blowout fractures. Craniomaxillofac Trauma Reconstr 2014, 7, 197–202. [Google Scholar] [CrossRef]
- Gear, A.J.; Lokeh, A.; Aldridge, J.H.; Migliori, M.R.; Benjamin, C.I.; Schubert, W. Safety of titanium mesh for orbital reconstruction. Ann Plast Surg 2002, 48, 1–7, discussion 7–9. [Google Scholar] [CrossRef] [PubMed]
- Lee., S.; Maronian, N.; Most, S.P.; et al. Porous high-density polyethylene for orbital reconstruction. Arch Otolaryngol Head Neck Surg 2005, 131, 446–450. [Google Scholar] [CrossRef]
- Prowse, S.J.; Hold, P.M.; Gilmour, R.F.; Pratap, U.; Mah, E.; Kimble, F.W. Orbital floor reconstruction: A case for silicone. A 12 year experience. J Plast Reconstr Aesthet Surg 2010, 63, 1105–1109. [Google Scholar] [CrossRef]
- Aboh, I.V.; Chisci, G.; Gennaro, P.; et al. Complications of orbital floor repair with silastic sheet: The skin fistula. J Craniofac Surg 2013, 24, 1288–1291. [Google Scholar] [CrossRef]
- Awan, M.A.; Cheung, C.M.; Sandramouli, S.; Mathews, J. An unusual late complication of orbital floor fracture repair. Eye (Lond) 2006, 20, 1454–1455. [Google Scholar] [CrossRef] [PubMed][Green Version]
- Bourgault, S.; Bordua-Robert, M.F.; Molgat, Y.M. Recurrent orbital cyst as a late complication of silastic implant for orbital floor fracture repair. Can J Ophthalmol 2011, 46, 368–369. [Google Scholar] [CrossRef] [PubMed]
- Lee, D.H.; Joo, Y.E.; Lim, S.C. Migrated orbital Silastic sheet implant mimicking bilateral sinusitis. J Craniofac Surg 2011, 22, 2158–2159. [Google Scholar] [CrossRef]
- Warrier, S.; Prabhakaran, V.C.; Davis, G.; Selva, D. Delayed complications of silicone implants used in orbital fracture repairs. Orbit 2008, 27, 147–151. [Google Scholar] [CrossRef] [PubMed]
- Verma, S.; Garg, A.; Nastri, A. Orbitomaxillary mass after repair of the orbital floor. Br J Oral Maxillofac Surg 2014, 52, 977–979. [Google Scholar] [CrossRef]



© 2015 by the author. The Author(s) 2015.
Share and Cite
Dedhia, R.; Tollefson, T.T. Delayed Periorbital Abscess After Silicone Implant to Orbital Floor Fracture. Craniomaxillofac. Trauma Reconstr. 2016, 9, 185-187. https://doi.org/10.1055/s-0035-1570075
Dedhia R, Tollefson TT. Delayed Periorbital Abscess After Silicone Implant to Orbital Floor Fracture. Craniomaxillofacial Trauma & Reconstruction. 2016; 9(2):185-187. https://doi.org/10.1055/s-0035-1570075
Chicago/Turabian StyleDedhia, Raj, and Travis T. Tollefson. 2016. "Delayed Periorbital Abscess After Silicone Implant to Orbital Floor Fracture" Craniomaxillofacial Trauma & Reconstruction 9, no. 2: 185-187. https://doi.org/10.1055/s-0035-1570075
APA StyleDedhia, R., & Tollefson, T. T. (2016). Delayed Periorbital Abscess After Silicone Implant to Orbital Floor Fracture. Craniomaxillofacial Trauma & Reconstruction, 9(2), 185-187. https://doi.org/10.1055/s-0035-1570075