Next Issue
Volume 12, December
Previous Issue
Volume 12, June
 
 
Craniomaxillofacial Trauma & Reconstruction is published by MDPI from Volume 18 Issue 1 (2025). Previous articles were published by another publisher in Open Access under a CC-BY (or CC-BY-NC-ND) licence, and they are hosted by MDPI on mdpi.com as a courtesy and upon agreement with Sage.

Craniomaxillofac. Trauma Reconstr., Volume 12, Issue 3 (September 2019) – 11 articles

  • Issues are regarded as officially published after their release is announced to the table of contents alert mailing list.
  • You may sign up for e-mail alerts to receive table of contents of newly released issues.
  • PDF is the official format for papers published in both, html and pdf forms. To view the papers in pdf format, click on the "PDF Full-text" link, and use the free Adobe Reader to open them.
Order results
Result details
Select all
Export citation of selected articles as:
1 pages, 36 KB  
Commentary
Editor's Commentary: Blood Collection Within the Maxillary Sinus Following Fracture Repair: The Impact of Mesh Implants and Drains
by Paul N. Manson
Craniomaxillofac. Trauma Reconstr. 2019, 12(3), 174; https://doi.org/10.1055/s-0039-1692657 - 1 Jul 2019
Viewed by 160
Abstract
The reviewer’s task is challenging, as they are given varied manuscripts and are expected to be expert in all subjects [...] Full article
7 pages, 473 KB  
Article
Frontal Sinus Fractures: Management and Complications
by Xi Lin Jing and Edward Luce
Craniomaxillofac. Trauma Reconstr. 2019, 12(3), 241-247; https://doi.org/10.1055/s-0038-1675560 - 19 Feb 2019
Cited by 30 | Viewed by 831
Abstract
Frontal sinus fractures are relatively rare maxillofacial injuries (only 5–15% of all facial fractures). The appropriate management of frontal sinus fracture and associated pathology is controversial. Diagnosis and treatment of frontal sinus fractures has improved with the advances of high-resolution computed tomography technology. [...] Read more.
Frontal sinus fractures are relatively rare maxillofacial injuries (only 5–15% of all facial fractures). The appropriate management of frontal sinus fracture and associated pathology is controversial. Diagnosis and treatment of frontal sinus fractures has improved with the advances of high-resolution computed tomography technology. Treatment of frontal sinus fractures depends on several factors, including contour deformity of anterior table; the presence of CSF leak or air–fluid level in the sinus, likelihood of nasofrontal duct obstruction, and degree of displacement of posterior table. Nasofrontal duct patency should be checked if fracture pattern is highly suspicious of ductal injury. Cranialization is performed in cases of severely comminuted posterior wall fracture. Long-term complication of frontal sinus fracture can occur up to 10 years after initial injury or intervention; so, judicious long-term follow-up is warranted. This article presents the management and complications of frontal sinus fractures. Full article
Show Figures

Figure 1

13 pages, 566 KB  
Article
Periorbital Trauma: A New Classification
by Eman Yahya Sadek, Amir Elbarbary and Ikram I. Safe
Craniomaxillofac. Trauma Reconstr. 2019, 12(3), 228-240; https://doi.org/10.1055/s-0039-1677808 - 30 Jan 2019
Cited by 1 | Viewed by 326
Abstract
Overlooked injured structures in periorbital trauma could lead to aesthetic and functional deficits. As trauma may affect superficial, middle, and deep components, meticulous survey guided by a structured periorbital trauma classification is needed for proper management. Thus, a new classification for periorbital trauma [...] Read more.
Overlooked injured structures in periorbital trauma could lead to aesthetic and functional deficits. As trauma may affect superficial, middle, and deep components, meticulous survey guided by a structured periorbital trauma classification is needed for proper management. Thus, a new classification for periorbital trauma is proposed to serve this purpose. Periorbital region was defined anatomically by anthropometric landmarks. The periorbital injuries were categorized according to anatomical and clinical basis. The new classification was used to study periorbital trauma cases received at Ain Shams University Hospitals between July 2013 and July 2016 retrospectively. The study included 260 patients: 196 (75.38%) males and 64 (24.62%) females. The type and severity of injury, time of primary intervention, type of surgery performed, and patients’ visits to the outpatient clinic were evaluated. The status of the postinjury and postoperative (primary surgery) aesthetic status and functional status were evaluated. The periorbital region was identified. Anatomical categorization of periorbital injuries included periocular, frontal, temporal, and malar regions. Injuries/deficits were categorized into simple, composite, complex, and isolated bony injuries according to the depth and involved tissues. Subsequently, the classification was formulated. In the retrospective study, the incidence of extended simple injuries was the highest, while the least was the extended complex injuries. Functional deficits occurred in 24 patients (9.23%) and aesthetic deficits occurred in 55 patients (21.15%). Required secondary operations for this group included redo of fixation, correction of medial canthal ligament, repair of canalicular system, scar revisions, fat grafting, and creation of natural creases. The results of this study demonstrated that unsatisfactory aesthetic and functional results occurred when injuries of important structures were overlooked, aesthetic units were not respected, and when management was delayed. A three-dimensional, oriented, new classification of periorbital trauma based on anatomical and clinical categorization is proposed to help in identifying injured structures, stimulate the search for other injuries, structure preoperative evaluation, and recommend a surgical plan that would ultimately achieve precise primary repair with best aesthetic and functional outcome. Full article
Show Figures

Figure 1

7 pages, 120 KB  
Article
National Analysis of Risk Factors for Nasal Fractures and Associated Injuries in Trauma
by Tiffany T. Pham, Ellen Lester, Areg Grigorian, Rachel E. Roditi and Jeffry T. Nahmias
Craniomaxillofac. Trauma Reconstr. 2019, 12(3), 221-227; https://doi.org/10.1055/s-0039-1677724 - 22 Jan 2019
Cited by 11 | Viewed by 826
Abstract
Nasal fractures account for up to 58% of facial fractures. However, the literature characterizing associated injuries and risk factors for nasal fractures is sparse and is mostly composed of single-center experiences. This study sought to provide a large descriptive analysis and identify associated [...] Read more.
Nasal fractures account for up to 58% of facial fractures. However, the literature characterizing associated injuries and risk factors for nasal fractures is sparse and is mostly composed of single-center experiences. This study sought to provide a large descriptive analysis and identify associated injuries and risk factors for nasal fractures in trauma using a national database. A retrospective analysis of the National Trauma Data Bank (NTDB) from 2007 to 2015 was performed. Patients ≥ 18 years of age with nasal fractures were included. A multivariable logistic regression model was used to identify predictors for nasal fracture in trauma. Of 5,494,609 trauma patients in the NTDB, 255,533 (4.6%) had a nasal fracture. Most were male (74.8%) with a mean age of 45.6 years. Blunt trauma accounted for 90.5% of fractures, with motor vehicle accident being the most common mechanism (27.5%). Closed fractures occurred in 93.0% of patients. Concomitant injuries included traumatic brain injury (TBI; 56.9%), malar/maxillary fracture (27.9%), and open wound of the face (38.6%) and nose (9.5%). Of all patients, 10.1% underwent closed or open reductions at index hospitalization. The strongest associated injuries with nasal fracture included open wound of the nose (odds ratio [OR]: 8.71, 95% confidence interval [CI]: 8.49–8.94, p < 0.001), epistaxis (OR: 5.26, 95% CI: 4.59–6.02, p < 0.001), malar/maxillary fracture (OR: 4.38, 95% CI: 4.30–4.45, p < 0.001), and orbital fracture (OR: 3.99, 95% CI: 3.91–4.06, p < 0.001). Nasal fractures are common traumatic injuries with more than 90% occurring by blunt mechanism and over half suffering from a concomitant TBI. The strongest associated injury with nasal fracture is an open wound of the nose. Full article
7 pages, 322 KB  
Article
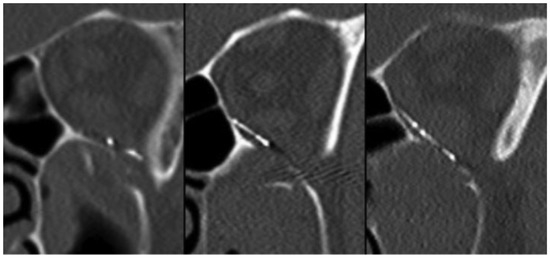
Blood Collection Within the Maxillary Sinus Following Orbital Fracture Repair: The Impact of Mesh Implants and Drains
by Jacob T. Cox, Jing Tian, Shannath Merbs and Nicholas R. Mahoney
Craniomaxillofac. Trauma Reconstr. 2019, 12(3), 167-173; https://doi.org/10.1055/s-0038-1676636 - 16 Jan 2019
Cited by 1 | Viewed by 253
Abstract
This article aimed to assess the effects of (1) mesh (e.g., uncoated anatomic titanium plates) versus non-mesh (e.g., porous polyethylene-coated titanium sheets) implant materials and (2) drain placement on the accumulation of blood within the maxillary sinus following surgical repair of orbital floor [...] Read more.
This article aimed to assess the effects of (1) mesh (e.g., uncoated anatomic titanium plates) versus non-mesh (e.g., porous polyethylene-coated titanium sheets) implant materials and (2) drain placement on the accumulation of blood within the maxillary sinus following surgical repair of orbital floor fractures. Ninety-two patients who received orbital floor fracture repair between 2008 and 2014 were selected, with equal case numbers between categories: (1) non-mesh implant, without drain; (2) non-mesh implant, with drain; (3) mesh implant, without drain; and (4) mesh implant, with drain. Lesion-mapping software was used to measure blood and sinus volumes in postoperative computed tomographic images. Average postoperative maxillary sinus filling was 49% ± 29%. Average sinus filling was similar between mesh and non-mesh implant materials; this was true in cases with a drain (45 vs. 40%, respectively) and without (57 vs. 52%, respectively). Orbital drain placement was associated with a significant reduction (p = 0.048) in maxillary sinus filling of 12%. Mesh and non-mesh implant materials allow for similar drainage of orbital blood into the maxillary sinus postoperatively. In the majority of cases, space is available within the maxillary sinus to allow for drainage of orbital blood. Intraoperative drain placement is associated with reduced blood pooling within the maxillary sinus, suggesting it allows for drainage of orbital blood to the outside world. Full article
Show Figures

Figure 1

10 pages, 301 KB  
Article
Does Fracture Pattern Influence Functional Outcomes in the Management of Bilateral Mandibular Condylar Injuries?
by Howard D. Wang, Srinivas M. Susarla, Robin Yang, Gerhard S. Mundinger, Benjamin D. Schultz, Abhishake Banda, Alexandra MacMillan, Paul N. Manson, Arthur J. Nam and Amir H. Dorafshar
Craniomaxillofac. Trauma Reconstr. 2019, 12(3), 211-220; https://doi.org/10.1055/s-0038-1668500 - 21 Sep 2018
Cited by 7 | Viewed by 236
Abstract
The purpose of this study was to compare the functional outcomes of different types of bilateral mandibular condylar fractures. This was a retrospective study of patients with bilateral mandibular condylar fractures at a level-1 trauma center over a 15-year period. The primary predictor [...] Read more.
The purpose of this study was to compare the functional outcomes of different types of bilateral mandibular condylar fractures. This was a retrospective study of patients with bilateral mandibular condylar fractures at a level-1 trauma center over a 15-year period. The primary predictor variable was fracture pattern, classified as type I (bilateral condylar), type II (condylar–subcondylar), or type III (bilateral subcondylar). Secondary predictor variables were demographic, injury-related, and treatment factors. Bivariate associations between the predictors and complication rates were computed; a multiple logistic regression model was utilized to adjust for confounders and effect modifiers. Thirty-eight subjects with bilateral condylar injuries met the inclusion criteria. The sample's mean age was 37.6 + 18.2 years, and 16% were female. The most common mechanisms of injury were motor vehicle collisions (53%) and falls (29%). Seventy-four percent had associated noncondylar mandibular fractures, and 32% of cases had concomitant midface fractures. Fifty-three percent of cases were classified as type I, 21% as type II, and 26% as type III. Ten subjects (26%) were managed with open reduction and internal fixation. The average length of follow-up was 4.5 + 6.3 months. After adjusting for confounders and effect modifiers, the type of fracture was a significant predictor of functional complications with type II injuries having the highest likelihood of a poor functional outcome (odds ratio: 7.77, 95% confidence interval: 1.45–41.53, p = 0.02). Asymmetric bilateral mandibular condylar fractures may be associated with an increased risk of poor functional outcomes. Full article
Show Figures

Figure 1

6 pages, 108 KB  
Article
Outpatient Surgical Management of Orbital Blowout Fractures
by Jana A. Bregman, Kalpesh T. Vakharia, Oluwatobi O. Idowu, M. Reza Vagefi and F. Lawson Grumbine
Craniomaxillofac. Trauma Reconstr. 2019, 12(3), 205-210; https://doi.org/10.1055/s-0038-1661355 - 22 Jun 2018
Cited by 13
Abstract
There is ample investigation into the optimal timing and approach to orbital blowout fracture (OBF) repair; however, less attention has been directed toward postoperative care. This is a multicenter IRB-approved retrospective review of patients with OBF presenting to our study sites between November [...] Read more.
There is ample investigation into the optimal timing and approach to orbital blowout fracture (OBF) repair; however, less attention has been directed toward postoperative care. This is a multicenter IRB-approved retrospective review of patients with OBF presenting to our study sites between November 2008 and August 2016. Those with isolated OBF, over 18 years of age, and who had not suffered additional facial injuries or globe trauma were included. A total of 126 surgical cases of isolated OBF repair were identified that met our inclusion and exclusion criteria; 42.1% were outpatient repairs while the remaining 57.9% were admitted for overnight monitoring. Time elapsed prior to repair differed between the two groups at a mean of 8.4 days versus 5.2 days for the outpatient and inpatient cohorts, respectively (p = 0.001). A majority of inpatient cases underwent immediate repair, while a majority of outpatient cases were delayed. There were two cases of RBH in the outpatient cohort resulting in an overall incidence of 1.6%. In both instances, a significant change in clinical exam including decreased visual acuity, diplopia, and eye pain prompted repeat evaluation and immediate intervention for hematoma evacuation. Estimated hospital charges to the patient's insurance for key components of an inpatient versus outpatient isolated OBF repair amounted to a total cost of $9598.22 for inpatient management and $7265.02 for outpatient management without reflexive postoperative imaging. Reflexive postoperative CT scans were obtained in 76.7% of inpatient cases and only two led to a reoperation. No outpatient repairs included reflexive postoperative imaging. Outpatient OBF repair is an attractive alternative to inpatient management. The potential cost savings of outpatient management of OBF, which do not detract from quality or safety of patient care, should not be ignored. Our results will hopefully contribute to updated shared practice patterns for all subspecialties that participate in the surgical management of OBF. Full article
6 pages, 246 KB  
Article
Dog Bite Injuries in the Head and Neck Region: A 20-Year Review
by Frederik Piccart, Jakob Titiaan Dormaar, Ruxandra Coropciuc, Joseph Schoenaers, Michel Bila and Constantinus Politis
Craniomaxillofac. Trauma Reconstr. 2019, 12(3), 199-204; https://doi.org/10.1055/s-0038-1660441 - 22 Jun 2018
Cited by 29 | Viewed by 584
Abstract
Dog bite-related wounds seem to have become a common problem, especially when they relate to the head and neck region. According to Overall and Love, up to 18 per 1000 people sustain a dog bite every year, of whom 3 need medical attention. [...] Read more.
Dog bite-related wounds seem to have become a common problem, especially when they relate to the head and neck region. According to Overall and Love, up to 18 per 1000 people sustain a dog bite every year, of whom 3 need medical attention. Approximately 1 to 2% of bite injuries require hospitalization of the victims. Most of the lacerations are found in the upper lip and the nose regions and they are classified according to severity and concomitant damage to other organs. Bite wounds are considered “dirty” wounds and are prone to infection. When dealing with bite wounds, there is always an indication for antibiotic treatment. Broad-spectrum antibiotics like amoxicillin-clavulanate and/or moxifloxacin cover most of the pathogenic flora and should be administered in every bite wound case at risk of infection. This article would like to present a medical record review: a retrospective analysis of all bite wounds sustained in the head and neck region, treated at the University Hospital of Leuven over the past 20 years. Furthermore, it provides an overview of the current literature and its standings on the treatment of dog bite injuries in the maxillofacial region. We assessed both surgical and medical treatment options, as well as primary management, which includes infection prevention strategies, closure management, and additional vaccination requirements. Secondary management or scar revision methods will be mentioned. After conducting a UZ Leuven database search using keywords such as “dog”, “dog bite”, “face”, “head”, “lip”, and others, 223 patients were included. Age at the time of injury, location of the injury, treatment method used, and whether secondary infection was present or not were documented. All patients have been divided in age groups. We concluded that 21.52% was 5 years old or younger. Almost half of our patients (49.33%) were 18 years old or younger. Of all patients, 79 were hospitalized (35.43%). Primary closure was the treatment of choice. In 141 patients, the wounds were closed primarily (63.23%), resulting in only 2.24% reported secondary infections. Only one fatality was reported in our center over the course of 20 years (0.45%), a 6-year-old girl who had been attacked by her father’s Rottweilers. Most patients who sustained dog bite injuries in the head and neck region seem to be children, specifically toddlers. Due to their height, it is possible they are more prone to dog bite injuries in the head and neck region. It is essential to optimize management of these injuries due to the impact they have on patients. This article provides the epidemiological data and clinical outcome of the approach at our center. Full article
Show Figures

Figure 1

6 pages, 149 KB  
Article
Orbital Floor Reconstruction: A Comparison of Outcomes Between Absorbable and Permanent Implant Systems
by Marc A. Polacco, Peter W. Kahng, Chad K. Sudoko and Benoit J. Gosselin
Craniomaxillofac. Trauma Reconstr. 2019, 12(3), 193-198; https://doi.org/10.1055/s-0038-1651514 - 5 Jun 2018
Cited by 15 | Viewed by 444
Abstract
There are distinct advantages and disadvantages between bioresorbable and permanent implants in orbital floor reconstruction. Our aim was to compare the outcomes and complications of resorbable implants and permanent implants in orbital floor fracture repair. A retrospective chart review was performed on all [...] Read more.
There are distinct advantages and disadvantages between bioresorbable and permanent implants in orbital floor reconstruction. Our aim was to compare the outcomes and complications of resorbable implants and permanent implants in orbital floor fracture repair. A retrospective chart review was performed on all patients who underwent orbital floor fracture repair at a rural, tertiary care center from 2011 through 2016. Main outcome measures included improvement in diplopia, ocular motility, enophthalmos, hypoglobus, and infraorbital nerve sensation. A total of 87 patients underwent orbital floor reconstruction. After exclusion criteria were applied, 22 patients were included in the absorbable implant cohort, and 20 patients in the nonabsorbable implant cohort. All absorbable implants were composed of poly L-lactide/poly glycolide/poly D-lactide (PLL/PG/PDL), and nonabsorbable implants included both titanium/porous polyethylene (Ti/PPE) composite and titanium (Ti) mesh. Mean fracture surface area was 2.1 cm2 (standard deviation [SD]: ±0.9 cm2, range: 0.4–3.6 cm2) for the absorbable implant group and 2.3 cm2 (SD: ±1.1 cm2, range: 0.6–4.4 cm2) for the nonabsorbable implant group (p = 0.58). There were no significant differences in diplopia, ocular motility, enophthalmos, hypoglobus, and infraorbital nerve sensation between absorbable and nonabsorbable implant groups. The mean follow-up time for absorbable and nonabsorbable implant groups was 622 (SD ± 313) and 578 (SD ± 151) days respectively (p = 0.57). For moderate-size orbital floor fracture repairs, there is no difference in outcomes between absorbable implants consisting of PLL/PG/PDL and nonabsorbable implants consisting of Ti mesh or Ti/PPE combination. Full article
Show Figures

Figure 1

10 pages, 147 KB  
Article
Fibula Free Flap in Head and Neck Reconstruction: Identifying Risk Factors for Flap Failure and Analysis of Postoperative Complications in a Low Volume Setting
by Pieter-Jan Verhelst, Flore Dons, Pieter-Jan Van Bever, Joseph Schoenaers, Lloyd Nanhekhan and Constantinus Politis
Craniomaxillofac. Trauma Reconstr. 2019, 12(3), 183-192; https://doi.org/10.1055/s-0038-1651515 - 5 Jun 2018
Cited by 45 | Viewed by 363
Abstract
The fibula free flap (FFF) has been a workhorse in maxillofacial reconstruction. High success rates of this technique are reported. However, identifying risk factors for flap failure and analyzing complications can open the way to better patient care. A retrospective analysis was conducted [...] Read more.
The fibula free flap (FFF) has been a workhorse in maxillofacial reconstruction. High success rates of this technique are reported. However, identifying risk factors for flap failure and analyzing complications can open the way to better patient care. A retrospective analysis was conducted of all FFFs performed over a 20-year period at a low-volume single tertiary center to identify risk factors and postoperative complications. A total of 129 FFFs were included (122 mandible, 7 maxilla). Complete flap failure occurred in 12.4% and partial flap failure in 7.8% of patients. A significant relation was found between younger age and flap failure, and most failures were associated with venous thrombosis. In-hospital surgical complications occurred in 60.5%, in-hospital medical complications in 49.6%, and out-of-hospital complications in 77.5% of patients. The in-hospital reintervention rate was 27.1%, and including salvaged flaps, flap survival rate was 87.6%. Osteomyocutaneous FFF failure (complete 12.4%; partial 7.8%) is an important clinical reality in a low-volume head and neck reconstruction center resulting in an in-hospital reintervention rate of 27.1%. Postoperative complications are frequent, both surgical and out-hospital complications. These results provide a better understanding of the limitations of the FFF in a low-volume center and can be used to optimize care in this kind of setting. Full article
8 pages, 214 KB  
Article
A Five-Year Retrospective Cohort Study Analyzing Factors Influencing Complications After Nasal Trauma
by Patricio Andrades, Nicolas Pereira, Diego Rodriguez, Claudio Borel, Rodrigo Hernández and Rodrigo Villalobos
Craniomaxillofac. Trauma Reconstr. 2019, 12(3), 175-182; https://doi.org/10.1055/s-0038-1641713 - 12 Apr 2018
Cited by 6 | Viewed by 308
Abstract
The purpose of this study was to assess the outcomes of patients with nasal trauma during a long period of time and determine factors predisposing to complications after nasal trauma treatment. A retrospective cohort study was conducted that included all patients who were [...] Read more.
The purpose of this study was to assess the outcomes of patients with nasal trauma during a long period of time and determine factors predisposing to complications after nasal trauma treatment. A retrospective cohort study was conducted that included all patients who were attended for a nasal trauma between January and December 2010. In 2015, the charts were retrospectively reviewed and the patients were prospectively followed up looking for outcomes after treatment of nasal trauma. A univariate analysis between complications and risk factors was performed and a logistic regression model was used to explore the prognostic role of the variables considered to have clinical relevance and to estimate the odds ratio for the occurrence of postoperative complications. A total of 220 consecutive patients with nasal trauma were included in the study. The mean follow-up was 44.3 ± 10.3 months (3–67) with 10% of lost patients. The most important factors determining complications after nasal trauma treatment were male gender, acute septal injury, chronic septal deviation, displaced or comminuted fractures in the radiologic study, and late nasal reduction surgery. A decision-making algorithm is proposed based on the fact that nasal bone fracture is not a minor problem and that closed nasal bone reduction is not the treatment of choice for all patients with nasal trauma. Full article
Previous Issue
Next Issue
Back to TopTop