You are currently viewing a new version of our website. To view the old version click .
Craniomaxillofacial Trauma & Reconstruction
  • Craniomaxillofacial Trauma & Reconstruction is published by MDPI from Volume 18 Issue 1 (2025). Previous articles were published by another publisher in Open Access under a CC-BY (or CC-BY-NC-ND) licence, and they are hosted by MDPI on mdpi.com as a courtesy and upon agreement with Sage.
  • Case Report
  • Open Access

14 December 2016

Soft-Tissue Chondroma in the Preauricular Region: An Unusual Presentation

,
,
and
1
Maxillo-Facial Surgery Unit, Spedali Civili Brescia, Brescia, Italy
2
Department of Maxillofacial Surgery, Spedali Civili Brescia, Piazzale Spedali Civili 1, Brescia 25123, Italy
3
Department of Molecular and Translational Medicine, Section of Pathology, University Spedali Civili of Brescia, Spedali Civili di Brescia, Unitá Operativa di Anatomia Patologica, Brescia, Italy
*
Author to whom correspondence should be addressed.

Abstract

Chondroma is a benign cartilaginous tumor composed of mature hyaline cartilage and represents only 2.38% of all osteocartilaginous tumors; cases that arise in the preauricular region are rarely found in the literature. This article presents an 80-year-old man with preauricular swelling on the right side and pain with no limitation of joint motion. This patient was evaluated by preoperative clinical manifestation, fine needle aspiration, ultrasound, and magnetic resonance imaging (MRI) scans. The MRI shows a solid lobulated lesion between the masseter muscle and the parotid gland whereas fine-needle aspiration did not provide a diagnosis. Based on these images and the patient’s indications and symptoms, a surgical intervention was performed. It is possible to identify three different types of chondromas in the parotid region based on their location. Among the cases of chondroma in the literature, only six originating in the soft tissue of the parotid region have been reported, including this one.
Chondroma is an uncommon, benign lesion of mesenchymal origin characterized by multiple nodules of mature hyaline cartilage that are typically seen in long tubular bones and in the hand, especially in the proximal phalanges [1]; these tumors are rarely located in the head and neck.
At this time, only five cases originating in the soft tissue of the preauricular region have been reported before this case [2]. The literature describes three different types of chondroma depending on their location [3,4,5,6,7,8,9]:
  • Enchondroma located in the medullary cavity of the skeletal bone, which accounts for 80% of total bone [6,10].
  • Juxtacortical or periosteal chondroma that originates adjacent to the periosteum below the cortical surface; first described by Lichtenstein and May [7].
  • Extraskeletal or soft-tissue chondromas, which are very rare and typically located in the tongue and buccal mucosa [8,9].
The aim of this study was to report a case of this rare soft-tissue chondroma that developed in the preauricular region, with a particular focus on the histopathologic, radiologic, and clinical aspects.

Case Report

An 80-year-old man was referred to the outpatient unit of the Maxillofacial Surgery Department, Spedali Civili, Brescia, with right-sided preauricular swelling for the past 3 years, no limitation of mouth opening, and pain aggravated by palpation in the preauricular region.
There was no history of trauma or any other event contributing to the onset of the symptoms (Figure 1).
Figure 1. Preoperative clinical view.
Physical examination did not reveal any facial nerve paralysis, hearing, or facial sensation disturbances, but a hard mass was detected in the right preauricular region with normal skin overlying the swelling.
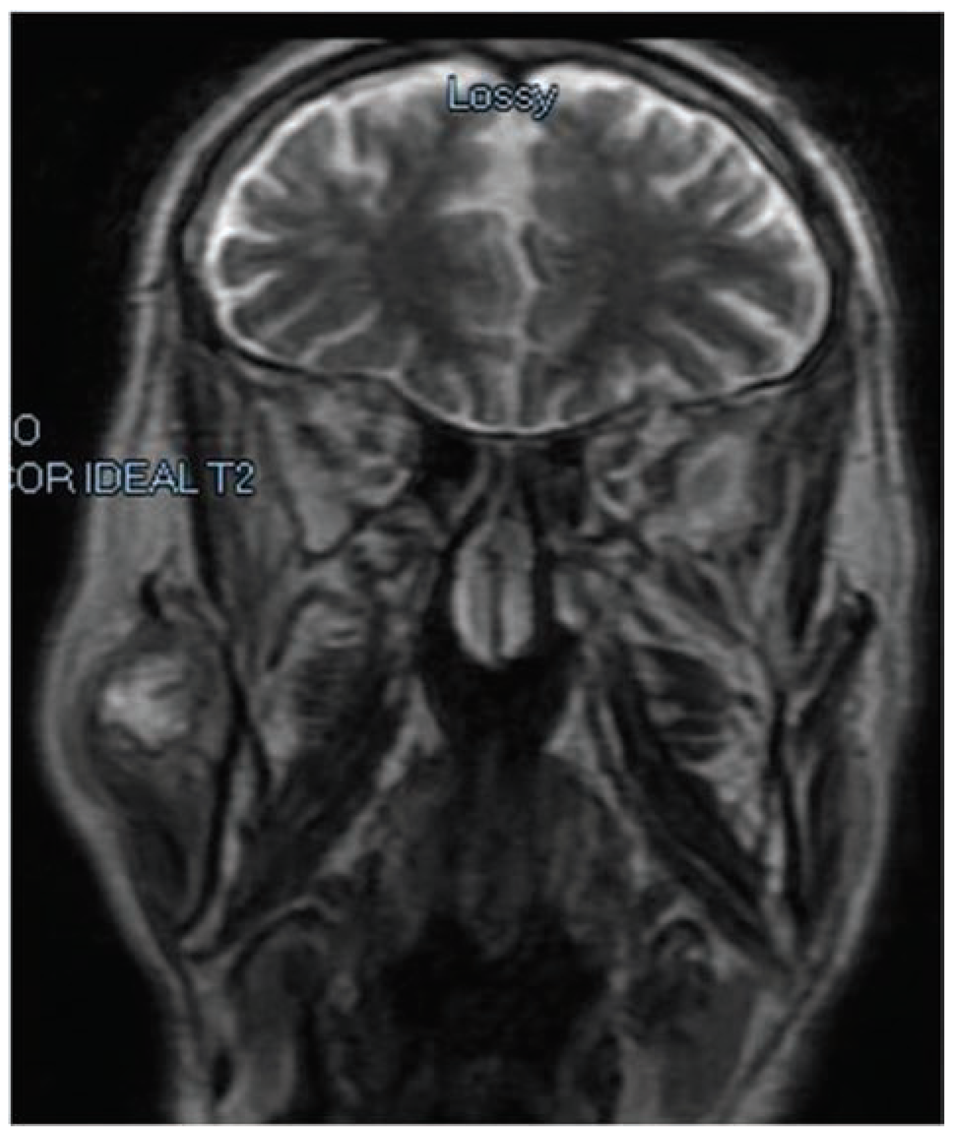
Ultrasound revealed a mass, around 3 cm diameter, in contact laterally with the parotid gland and medially with the masseter muscle. Magnetic resonance imaging (MRI) revealed a nodular lesion with substantially lobulated margins, including small hypointense foci in T2 with calcific meaning in the right preauricular region between the parotid gland and the muscle masseter. The lesion appears extrinsic to the parotid and shows no signs of infiltration of the nearby structures (Figure 2 and Figure 3). Two fine-needle aspirations were performed but did not result in a diagnosis.
Figure 2. Magnetic resonance imaging (MRI) axial view of the lesion.
Figure 3. Magnetic resonance imaging coronal view of the lesion.
Because ultrasound and MRI strongly indicated a benign lesion, no exploratory biopsy was performed. A surgical intervention was performed under general anesthesia with a right preauricular approach. The incision was followed by exposure of the right parotid gland with a careful dissection of the facial nerve. The lesion was completely removed and the parotid gland was resected only in the superficial part, to achieve better control of the lesion (Figure 4). The surrounding soft tissues were intact.
Figure 4. Intraoperative view of the preauricular approach of the temporomandibular joint (TMJ) region during removal of the lesion (arrow: the lesion, stars: facial nerve, point: parotid gland).
Macroscopically, the specimen was a nodular formation of 2.6 × 1.7 × 1.9 cm with a smooth outer surface; once cut, the lesion appeared whitish and slightly multinodular with a hard consistency (Figure 5). Microscopically, the lesion showed a lobulated and well-delimited growth pattern, consisting of chondroid tissue with areas of calcification in the presence of multinucleated giant cells (osteoclastic- and chondroblastic-type).
Figure 5. Macroscopic image of the lesion.
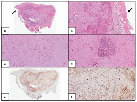
In the periphery of the nodules, a population of a fibroblast type that sometimes shows bizarre characteristics was found, that is, rare mitotic figures in the absence of atypical mitosis (Figure 6). These histopathologic findings revealed a diagnosis of chondroma. The follow-up period is currently 12 months (Figure 7). We consider this chondroma to be a soft-tissue chondroma, because of its position between the parotid gland and the masseter muscle.
Figure 6. (a,b) The tumor showed a nodular appearance delimited by soft tissue (arrows) and salivary gland parenchyma (asterisk). (c,d) The lesion consists of cartilaginous cells and coarse calcifications in a few areas. (e,f) The chondrocytes stain positive with S-100 protein.
Figure 7. Postoperative clinical view.

Discussion

Soft-tissue or extraskeletal chondroma is a benign cartilaginous tumor, which develops in soft tissue without bone or joint involvement, composed of mature hyaline cartilage.
It occurs mostly in the hands and feet of adults in their third or fourth decade of life [11,12] without a significant sex predilection. In the head and neck, they are most prevalent in the tongue, cheeks, parotid gland, neck, masticatory space, parapharyngeal space, and masseter muscle, as well as in the preauricular region [2,8,13,14,15,16,17,18,19,20,21,22].
In the preauricular region, we found only six cases in the literature [2], including this report. The six cases of soft-tissue chondroma, including ours, included two in the parotid gland, three in the preauricular region, and one in the masseter muscle. Patients included four males and two females; the median patient age was 50.8 years (range: 32–80 years). The greatest diameter of the tumor was reported in five cases and averaged 3.12 cm (range: 2.5–4 cm).
Wide local excision, performed in all cases, is recommended for this type of tumor; in our case, superficial parotidectomy was performed to improve exposure of the surgical field and to prevent facial nerve damage.
No recurrence was mentioned for cases for which follow-up data were available [2]. However, the etiology of soft-tissue chondroma is not clearly recognized. In the literature on tongue chondromas, it is believed that either of these lesions may develop from residual embryonic tissue in an area of preexisting fetal cartilage or pluripotent mesenchymal cells that undergo metaplasia, differentiating into cartilage as a result of some irritating stimulus.
However, the exact causal relationship remains poorly defined [14]. In most cases, chondroma arises at a single site. Widespread involvement (i.e., multiple sites) coupled with a tendency to be unilateral is termed “Ollier disease”; in another presentation, called “Maffucci syndrome”, skeletal chondromatosis is seen in association with soft-tissue angiomas. The most common indications and symptoms that we found were pain and swelling [2,15]. These symptoms were nonspecific. Radiographically, soft-tissue chondromas are well-demarcated extraskeletal masses with a possible periarticular location. Computed tomography (CT) shows an iso- or hyperdense soft tissue mass without underlying bone involvement; calcifications are seen in 33 to 70% of cases [12].
MRI shows a sharply delineated lobulated mass with hypo- to isointense signals relative to muscle on T1-weighted images, hyperintense signals on T2-weighted images, and various patterns of enhancement with contrast medium [23]. Histopathologically, a chondroma appears as a circumscribed mass of mature hyaline cartilage that typically shows well-formed lacunae containing small chondrocytes with pale cytoplasm and small, round nuclei with no association with underlying bone; locally, it may be associated with secondary degeneration within the matrix, such as cystic change, ossification, calcification, fibrosis, and mucinous changes [11,12]. The differential diagnosis includes parotid gland and temporo-mandibular joint (TMJ) tumors, such as osteochondromas and synovial chondromatosis. The chondromatosis change of a pleomorphic adenoma or mixed parotid tumor can be similar to that of a chondroid tumor [24].
The difficulty of a preoperational diagnosis in the case that we present is based on the location of the lesion, the absence of a cytologic diagnosis, and the age of the patient; otherwise, ultrasound and MRI strongly indicated a benign lesion.
An aggressive surgical treatment is recommended due to the 10 to 15% recurrence rate [11,12] of soft-tissue chondroma.
In our case, the follow-up period is currently 12 months without recurrence, and similar to Watanabe et al. [2], we plan to observe the patient over the long term due to the possibility of recurrence.
Soft-tissue chondromas in the parotid region are rare: diagnosis, as well as the description of each new case, is essential for documentation, especially for this type of tumor, which has a very low incidence.

Institutional Review Board Statement

The English in this document has been checked by at least two professional editors, both native speakers of English. For a certificate, please see: http://www.textcheck.com/certificate/pzVEVK.

References

  1. Unni, K.K. Chondrosarcoma (Primary, Secondary, Dedifferentiated and Clear Cell). In Dahlin’s Bone Tumors: General Aspects and Data on 11,087 Cases, 5th ed.; Lippincott-Raven: Philadelphia, PA, USA, 1996; pp. 71–108. [Google Scholar]
  2. Watanabe, F.; Saiki, T.; Ochochi, Y. Extraskeletal chondroma of the preauricular region: A case report and literature review. Case Rep Med 2012, 2012, 121743. [Google Scholar]
  3. Chandu, A.; Spencer, J.A.; Dyson, D.P. Chondroma of the mandibular condyle: An example of a rare tumour. Dentomaxillofac Radiol 1997, 26, 242–245. [Google Scholar] [PubMed]
  4. Dahlin, D.C. Bone Tumors: General Aspects and Data on 3987 Cases, 2nd ed.; Thomas CC: Springfield, IL, USA, 1967; pp. 48–57. [Google Scholar]
  5. Dahlin, D.C.; Unni, K.K. Bone Tumors: General Aspects and Data on 8542 Cases, 4th ed.; Thomas CC: Springfield, IL, USA, 1986; pp. 33–48. [Google Scholar]
  6. Nojima, T.; Unni, K.K.; McLeod, R.A.; Pritchard, D.J. Periosteal chondroma and periosteal chondrosarcoma. Am J Surg Pathol 1985, 9, 666–677. [Google Scholar] [PubMed]
  7. Lichtenstein, L.; Hall, J.E. Periosteal chondroma; a distinctive benign cartilage tumor. J Bone Joint Surg Am 1952, 24, 691–697. [Google Scholar] [PubMed]
  8. Blum, M.R.; Danford, M.; Speight, P.M. Soft tissue chondroma of the cheek. J Oral Pathol Med 1993, 22, 334–336. [Google Scholar] [PubMed]
  9. Chang, S.E.; Lee, M.W.; Choi, J.H.; Sung, K.J.; Moon, K.C.; Koh, J.K. A case of lingual chondroma. Br J Dermatol 1999, 141, 773–774. [Google Scholar] [CrossRef] [PubMed]
  10. Robbins, S.L.; Cotran, R.S.; Kumar, V. El Aparato Locomotor en Patologia Estructural y Funcional; Ed McGraw-Hill: Madrid, Spain, 1995; pp. 1358–1359. [Google Scholar]
  11. Chung, E.B.; Enzinger, F.M. Chondroma of soft parts. Cancer 1978, 41, 1414–1424. [Google Scholar] [CrossRef] [PubMed]
  12. Kransdorf, M.J.; Meis, J.M. From the archives of the AFIP. Extraskeletal osseous and cartilaginous tumors of the extremities. Radiographics 1993, 13, 853–884. [Google Scholar] [CrossRef] [PubMed]
  13. Yasuoka, T.; Handa, Y.; Watanabe, F.; Oka, N. Chondroma of the tongue. Report of a case. J Maxillofac Surg 1984, 12, 188–191. [Google Scholar] [PubMed]
  14. Sera, H.; Shimoda, T.; Ozeki, S.; Honda, T. A case of chondroma of the tongue. Int J Oral Maxillofac Surg 2005, 34, 99–100. [Google Scholar] [CrossRef] [PubMed]
  15. Vázquez Mahía, I.; López-Cedrún Cembranos, J.L.; Ferreras Granado, J.; Lorenzo Franco, F. Temporomandibular juxtaarticular chondroma: Case report. Med Oral Patol Oral Cir Bucal 2007, 12, E171–E174. [Google Scholar] [PubMed]
  16. Onodera, K.; Xu, H.; Kimizuka, S.; Echigo, S.; Ooya, K. Chondroma of the cheek: A case report. Int J Oral Maxillofac Surg 2005, 34, 924–926. [Google Scholar] [PubMed]
  17. Aslam, M.B.; Haqqani, M.T. Extraskeletal chondroma of parotid gland. Histopathology 2006, 48, 465–467. [Google Scholar] [PubMed]
  18. Kostopoulos, I.S.; Daniilidis, I.; Velegrakis, G.; Papadimitriou, C.S. Chondroma of the parotid gland. Clinical–histologic–immunohistochemical findings of a rare case. Laryngorhinootologie 1993, 72, 261–263. (In German) [Google Scholar] [PubMed]
  19. Kamysz, J.W.; Zawin, J.K.; Gonzalez-Crussi, F. Soft tissue chondroma of the neck: A case report and review of the literature. Pediatr Radiol 1996, 26, 145–147. [Google Scholar] [CrossRef] [PubMed]
  20. De Riu, G.; Meloni, S.M.; Gobbi, R.; Contini, M.; Tullio, A. Soft-tissue chondroma of the masticatory space. Int J Oral Maxillofac Surg 2007, 36, 174–176. [Google Scholar] [PubMed]
  21. Wang, D.H.; Guan, X.L.; Xiao, L.F.; Zhang, X.P.; Chen, M.G.; Sun, K.M. Soft tissue chondroma of the parapharyngeal space: A case report. J Laryngol Otol 1998, 112, 294–295. [Google Scholar] [PubMed]
  22. Falleti, J.; De Cecio, R.; Mentone, A.; et al. Extraskeletal chondroma of the masseter muscle: A case report with review of the literature. Int J Oral Maxillofac Surg 2009, 38, 895–899. [Google Scholar] [PubMed]
  23. Woertler, K.; Blasius, S.; Brinkschmidt, C.; Hillmann, A.; Link, T.M.; Heindel, W. Periosteal chondroma: MR characteristics. J Comput Assist Tomogr 2001, 25, 425–430. [Google Scholar] [PubMed]
  24. Pogrel, M.A. Tumours of the salivary glands: A histological and clinical review. Br J Oral Surg 1979, 17, 47–56. [Google Scholar] [PubMed]

Article Metrics

Citations

Article Access Statistics

Multiple requests from the same IP address are counted as one view.