Magnetic Resonance of Pulmonary Nodules in Oncological Patients: Are We Ready to Replace Chest CT in Detecting Extrathoracic Cancer?
Simple Summary
Abstract
1. Introduction
2. Materials and Methods
2.1. Computed Tomography (CT)
2.2. Magnetic Resonance Imaging (MRI)
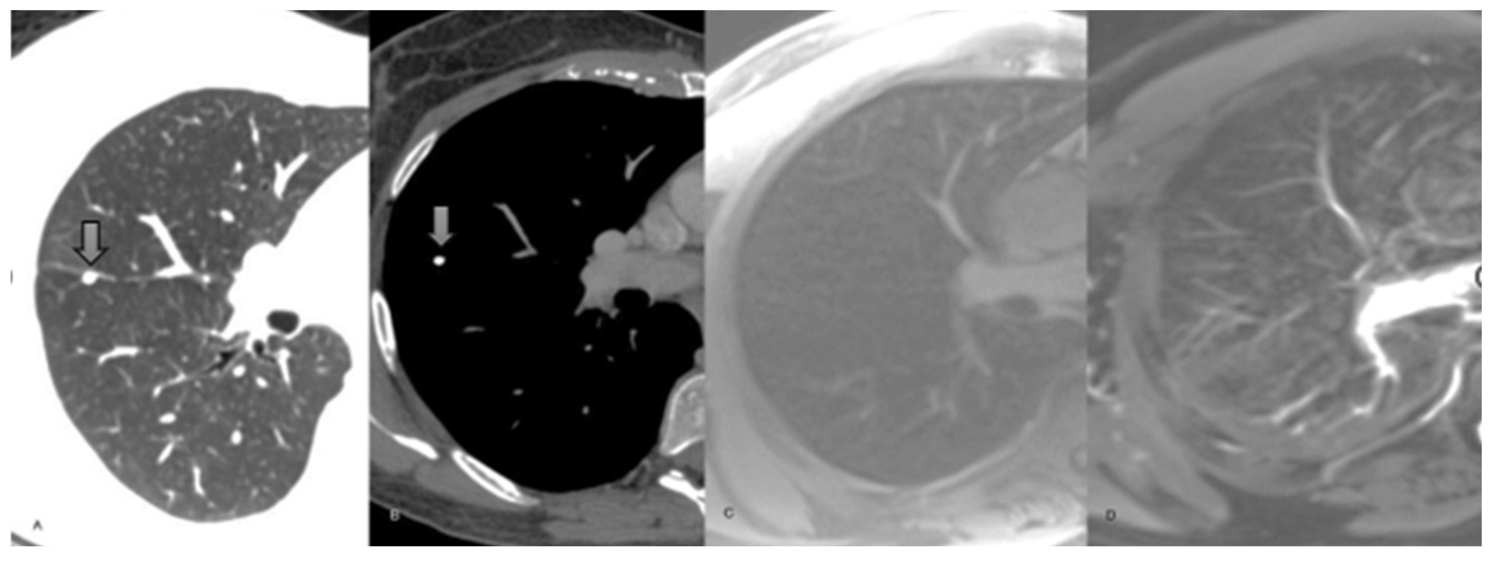
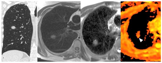
2.3. Image Assessment
2.4. Quantitative Data Analysis
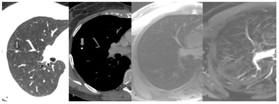
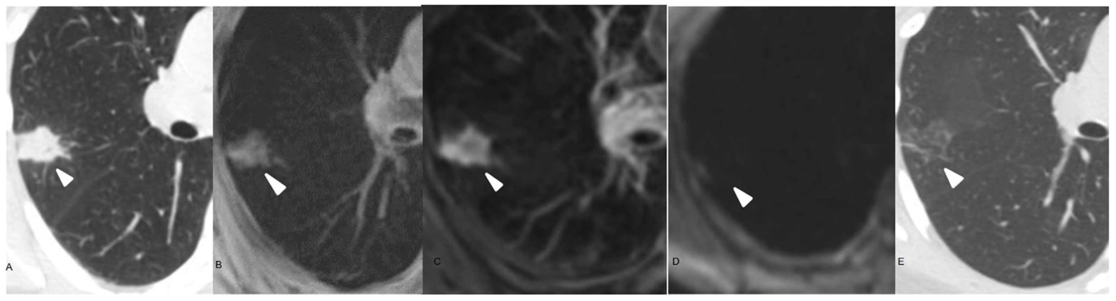
3. Results
3.1. Patient and Nodule Characteristics
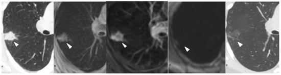
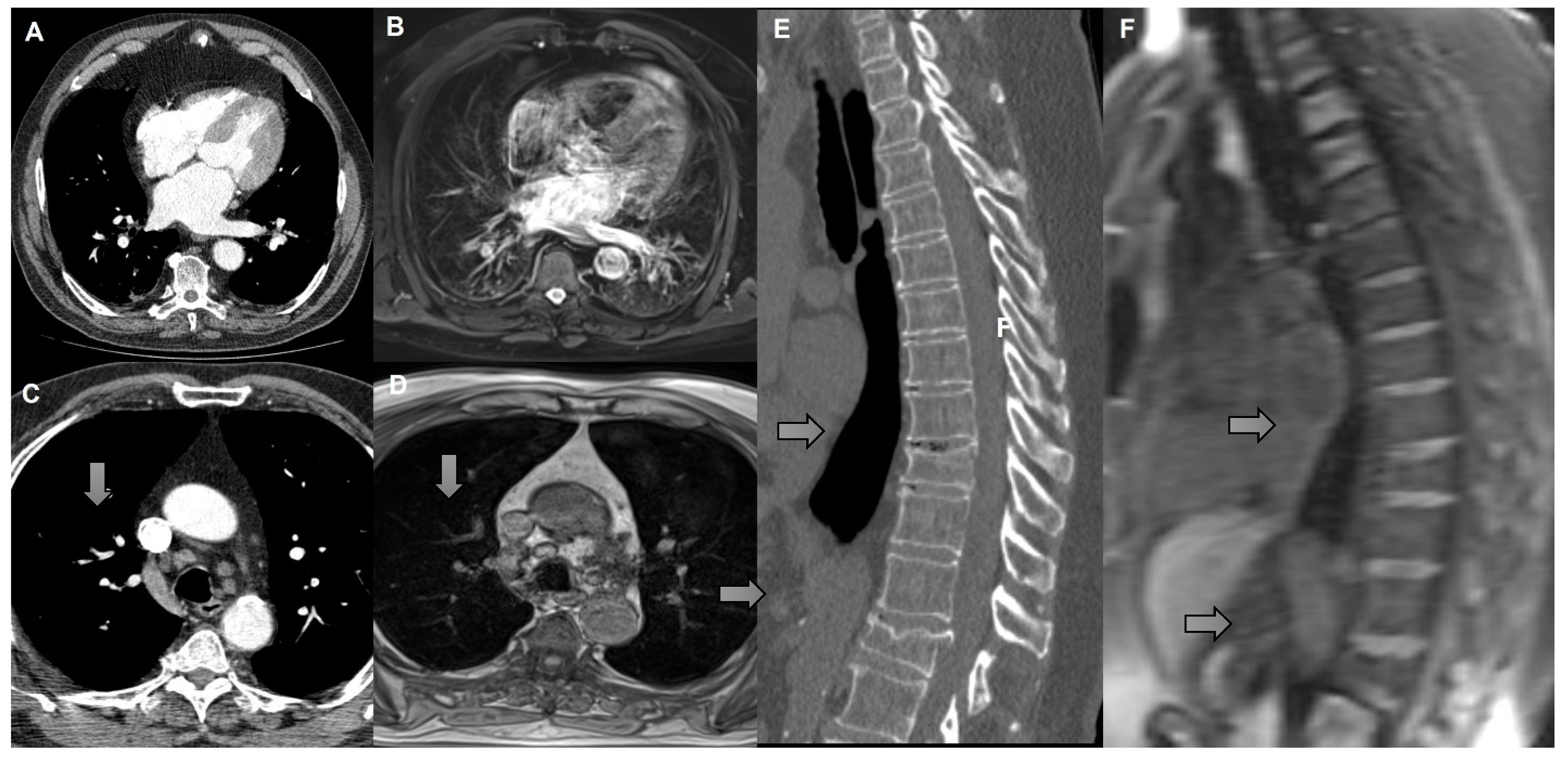
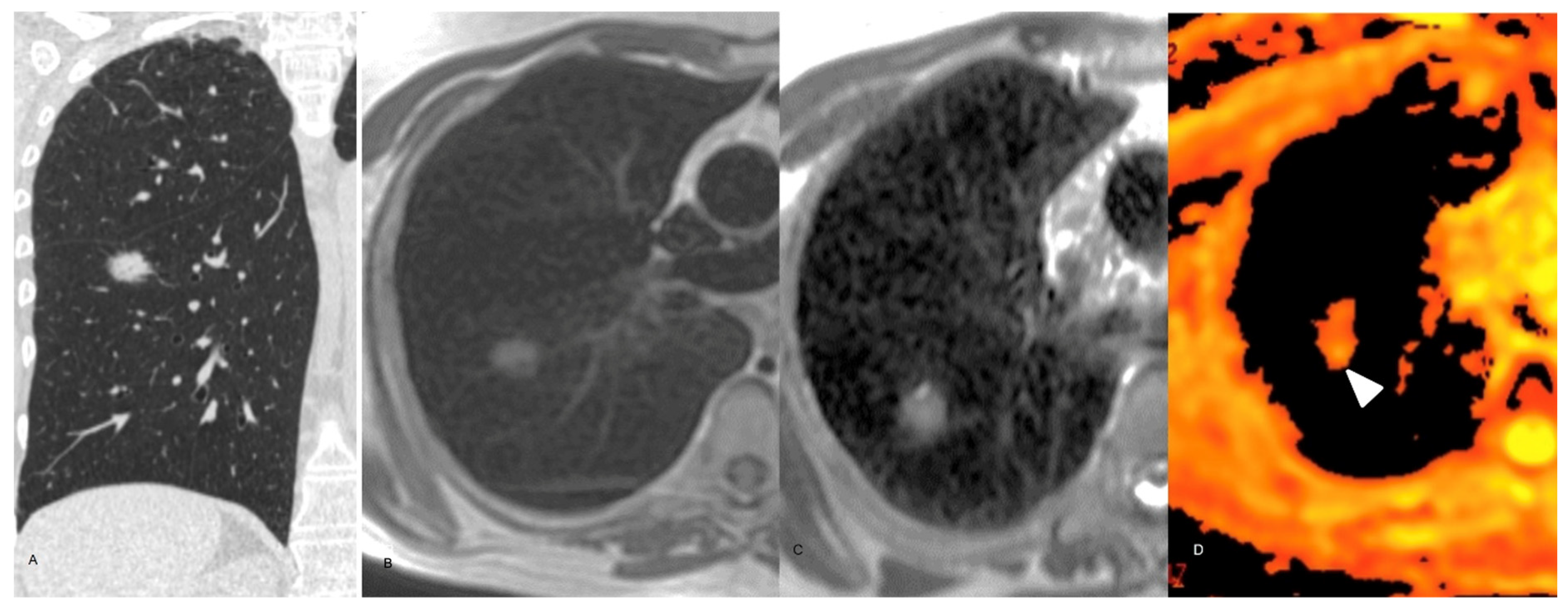
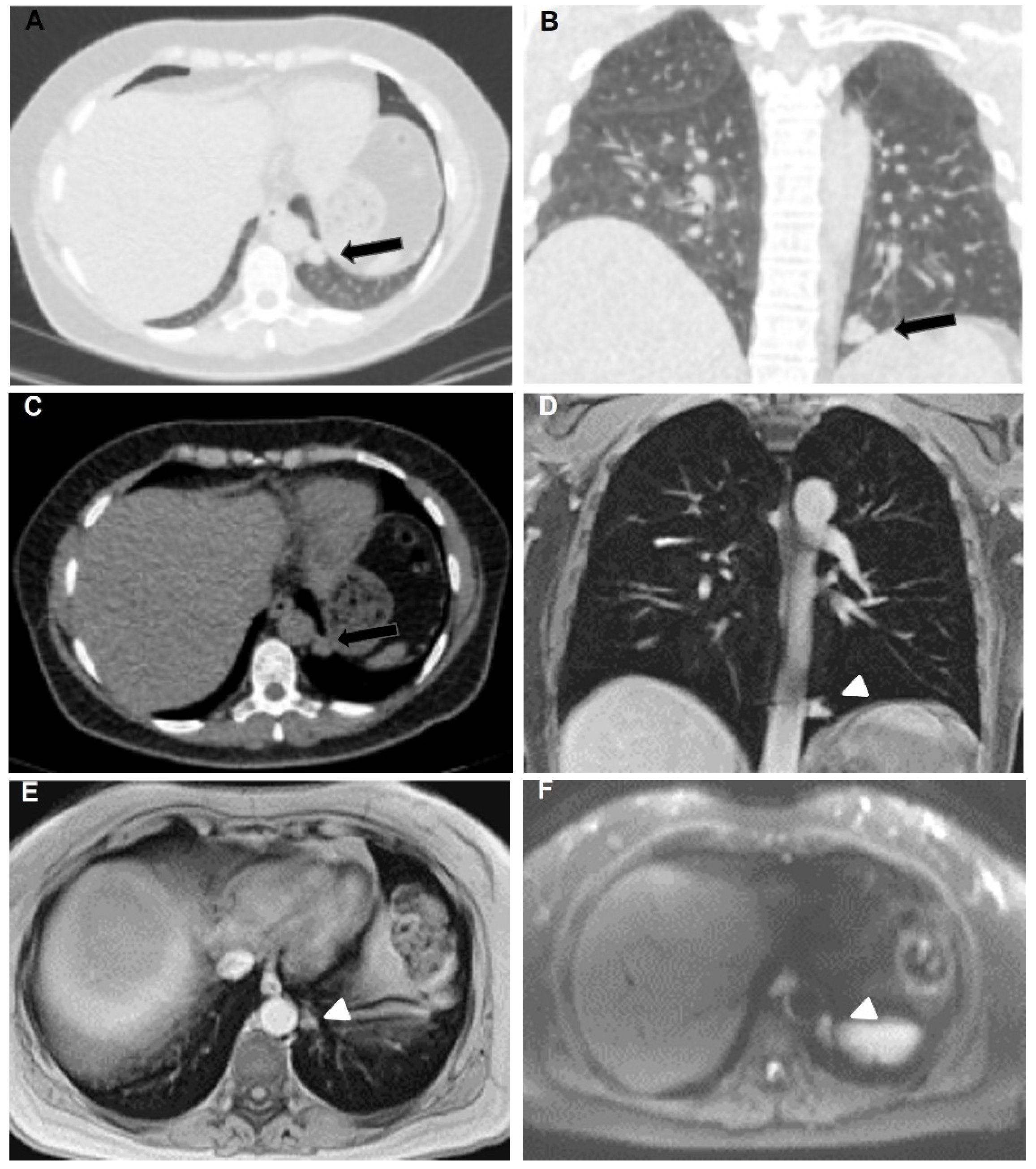
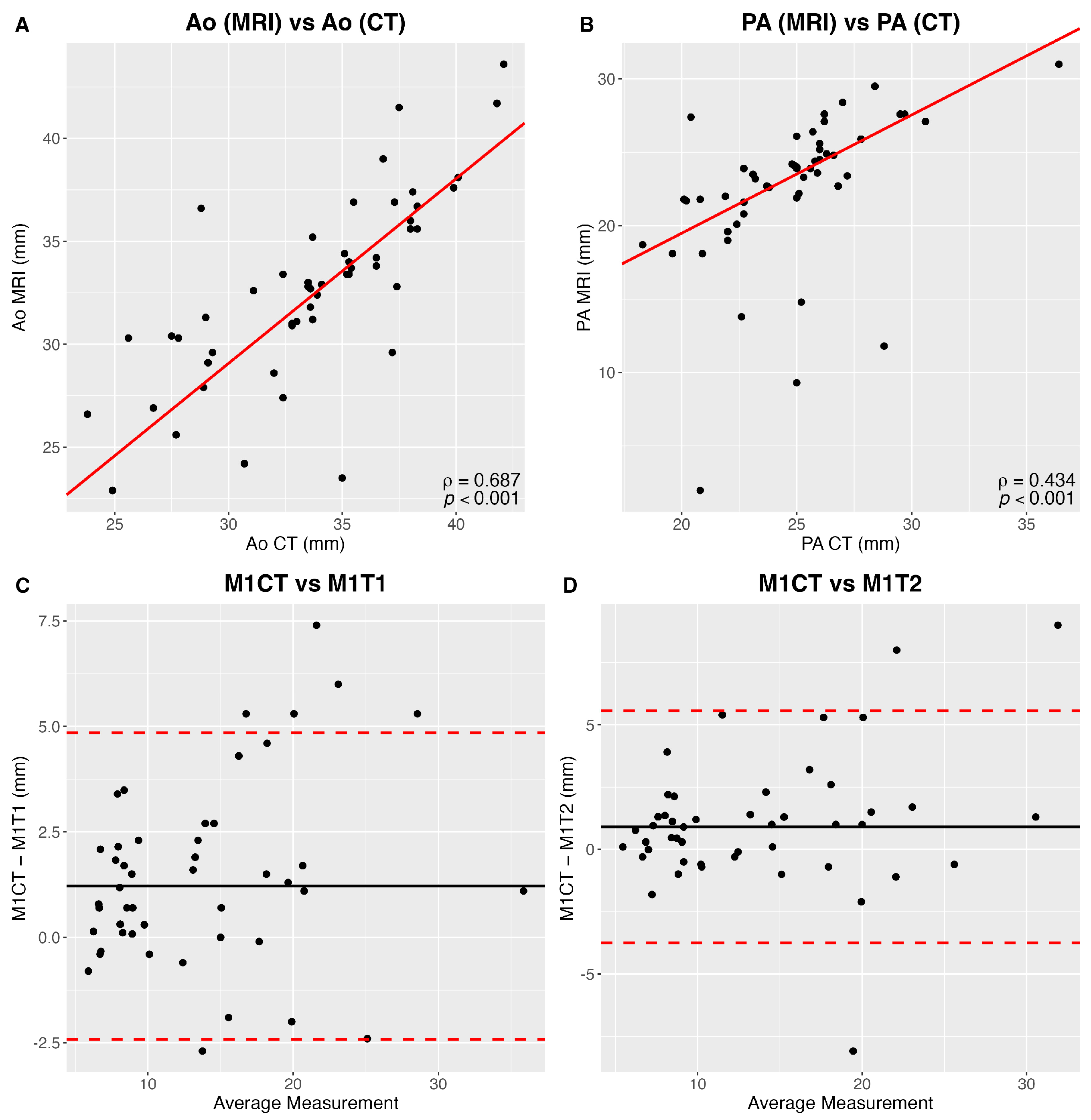
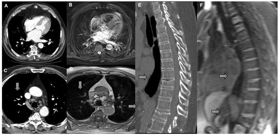
3.2. MR Findings
4. Discussion
5. Conclusions
Author Contributions
Funding
Institutional Review Board Statement
Informed Consent Statement
Data Availability Statement
Acknowledgments
Conflicts of Interest
Abbreviations
| MRI | magnetic resonance imaging |
| CT | computed tomography |
References
- Mazzone, P.J.; Lam, L. Evaluating the Patient With a Pulmonary Nodule: A Review. JAMA 2022, 327, 264–273. [Google Scholar] [CrossRef] [PubMed]
- Sanchez, F.; Tyrrell, P.N.; Cheung, P.; Heyn, C.; Graham, S.; Poon, I.; Ung, Y.; Louie, A.; Tsao, M.; Oikonomou, A. Detection of solid and subsolid pulmonary nodules with lung MRI: Performance of UTE, T1 gradient-echo, and single-shot T2 fast spin echo. Cancer Imaging 2023, 23, 17. [Google Scholar] [CrossRef]
- Periaswamy, G.; Arunachalam, V.K.; Varatharajaperumal, R.; Kalyan, G.; Selvaraj, R.; Mehta, P.; Cherian, M. Comparison of Ultrashort TE Lung MRI and HRCT Lungs for Detection of Pulmonary Nodules in Oncology Patients. Indian J. Radiol. Imaging 2022, 32, 497–504. [Google Scholar] [CrossRef]
- Cieszanowski, A.; Lisowska, A.; Dabrowska, M.; Korczynski, P.; Zukowska, M.; Grudzinski, I.P.; Pacho, R.; Rowinski, O.; Krenke, R. MR Imaging of Pulmonary Nodules: Detection Rate and Accuracy of Size Estimation in Comparison to Computed Tomography. PLoS ONE 2016, 11, e0156272. [Google Scholar] [CrossRef]
- Stolzmann, P.; Veit-Haibach, P.; Chuck, N.; Rossi, C.; Frauenfelder, T.; Alkadhi, H.; von Schulthess, G.; Boss, A. Detection Rate, Location, and Size of Pulmonary Nodules in Trimodality PET/CT-MR. Investig. Radiol. 2013, 48, 241–246. [Google Scholar] [CrossRef]
- Jamil, A.; Kasi, A. Lung Metastasis. In StatPearls [Internet]; StatPearls Publishing: Treasure Island, FL, USA, 2024. Available online: https://www.ncbi.nlm.nih.gov/books/NBK553111/ (accessed on 9 January 2023).
- Hausmann, D.; Jochum, S.; Utikal, J.; Hoffmann, R.C.; Zechmann, C.; Neff, K.W.; Goerdt, S.; Schoenberg, S.O.; Dinter, D.J. Comparison of the diagnostic accuracy of whole-body MRI and whole-body CT in stage III/IV malignant melanoma. JDDG J. Der Dtsch. Dermatol. Ges. 2011, 9, 212–221. [Google Scholar] [CrossRef]
- Chassagnon, G.; Martin, C.; Ben Hassen, W.; Freche, G.; Bennani, S.; Morel, B.; Revel, M.P. High-resolution lung MRI with Ultrashort-TE: 1.5 or 3 Tesla? Magn. Reson. Imaging 2019, 61, 97–103. [Google Scholar] [CrossRef] [PubMed]
- Shroff, G.S.; Agrawal, R.; Sartin, S.L.; Erasmus, J.J.; Truong, M.T.; Strange, C.D.; Vlahos, I. Atypical Pulmonary Metastases: Patterns and Clinical Significance. RadioGraphics 2025, 45, e240202. [Google Scholar] [CrossRef] [PubMed]
- Liu, M.; Li, M.; Zheng, R.; Wen, X.; Zhang, X.; Jiang, C.; Liu, Y.; Liang, X.; Li, L.; Qiu, B.; et al. Comparison of 10-year Survival Outcomes between CT Surveillance and Surgery for Ground-Glass Nodules. Radiology 2025, 317, e250366. [Google Scholar] [CrossRef] [PubMed]
- Eisenhauer, E.A.; Therasse, P.; Bogaerts, J.; Schwartz, L.H.; Sargent, D.; Ford, R.; Dancey, J.; Arbuck, S.; Gwyther, S.; Mooney, M.; et al. New response evaluation criteria in solid tumours: Revised RECIST guideline (version 1.1). Eur. J. Cancer 2009, 45, 228–247. [Google Scholar] [CrossRef] [PubMed]
- Dell, T.; Feisst, A.; Ramig, O.; Layer, Y.; Mesropyan, N.; Isaak, A.; Pieper, C.; Kupczyk, P.; Luetkens, J.; Thomas, D.; et al. MRI based volumetric lung nodule assessment—A comparison to computed tomography. Front. Med. 2025, 12, 1491960. [Google Scholar] [CrossRef] [PubMed] [PubMed Central]
- Zhu, L.; Li, Q.; von Stackelberg, O.; Triphan, S.M.F.; Biederer, J.; Weinheimer, O.; Eichinger, M.; Vogelmeier, C.F.; Jörres, R.A.; Kauczor, H.-U.; et al. Longitudinal MRI in comparison to low-dose CT for follow-up of incidental pulmonary nodules in patients with COPD—a nationwide multicenter trial. Eur. Radiol. 2025, 35, 6336–6349. [Google Scholar] [CrossRef] [PubMed] [PubMed Central]
- Delacoste, J.; Dunet, V.; Dournes, G.; Lovis, A.; Rohner, C.; Elandoy, C.; Simons, J.; Long, O.; Piccini, D.; Stuber, M.; et al. MR Volumetry of Lung Nodules: A Pilot Study. Front. Med. 2019, 6, 18. [Google Scholar] [CrossRef]
- Sommer, G.; Tremper, J.; Koenigkam-Santos, M.; Delorme, S.; Becker, N.; Biederer, J.; Kauczor, H.-U.; Heussel, C.P.; Schlemmer, H.-P.; Puderbach, M. Lung nodule detection in a high-risk population: Comparison of magnetic resonance imaging and low-dose computed tomography. Eur. J. Radiol. 2014, 83, 600–605. [Google Scholar] [CrossRef]
- Cavion, C.C.; Altmayer, S.; Forte, G.C.; Andrade, R.G.F.; Hochhegger, D.Q.d.R.; Francisco, M.Z.; Camargo, C.; Patel, P.; Hochhegger, B. Diagnostic Performance of MRI for the Detection of Pulmonary Nodules: A Systematic Review and Meta-Analysis. Radiol. Cardiothorac. Imaging 2024, 6, e230241. [Google Scholar] [CrossRef]
- Pastorino, U.; Buyse, M.; Friedel, G.; Ginsberg, R.J.; Girard, P.; Goldstraw, P.; Johnston, M.; McCormack, P.; Pass, H.; Putnam, J.B. International Registry of Lung Metastases: Long-term results of lung metastasectomy: Prognostic analyses based on 5206 cases. J. Thorac. Cardiovasc. Surg. 1997, 113, 37–49. [Google Scholar] [CrossRef]
- Khokhar, S.; Vickers, A.; Moore, M.S.; Mironov, S.; Stover, D.E.; Feinstein, M.B. Signif-icance of non-calcified pulmonary nodules in patients with extrapulmo-nary cancers. Thorax 2006, 61, 331–336. [Google Scholar]
- Mery, C.M.; Pappas, A.N.; Bueno, R.; Mentzer, S.J.; Lukanich, J.M.; Sugarbaker, D.J.; Jaklitsch, M.T. Relationship between a history of antecedent cancer and the probability of malignancy for a solitary pulmonary nodule. Chest 2004, 125, 2175–2181. [Google Scholar] [CrossRef]
- Yang, Q.; Wang, Y.; Ban, X.; Wu, J.; Rong, D.; Zhao, Q.; Xie, C.; Zhang, R. Prediction of pulmonary metastasis in pulmonary nodules (≤10 mm) detected in patients with primary extrapulmonarymalignancy at thin-section staging CT. Radiol. Med. 2017, 122, 837–849. [Google Scholar] [CrossRef]
- Araujo-Filho, J.A.B.; Halpenny, D.; McQuade, C.; Puthoff, G.; Chiles, C.; Nishino, M.; Ginsberg, M.S. Management of Pulmonary Nodules in Oncologic Patients: AJR Expert Panel Narrative Review. AJR Am. J. Roentgenol. 2021, 216, 1423–1431. [Google Scholar]
- Mohammed, T.-L.H.; Chowdhry, A.; Reddy, G.P.; Amorosa, J.K.; Brown, K.; Dyer, D.S.; Ginsburg, M.E.; Heitkamp, D.E.; Jeudy, J.; Kirsch, J.; et al. ACR Appropriateness Criteria® screening for pulmonary metastases. J. Thorac. Imaging 2011, 26, W1–W3. [Google Scholar] [CrossRef]
- Patel, T. Lung Metastases Imaging [Internet]. Medscape. 2023. Available online: https://emedicine.medscape.com/article/358090-overview?form=fpf (accessed on 20 September 2024).
- Sodhi, K.S.; Ciet, P.; Vasanawala, S.; Biederer, J. Practical protocol for lung magnetic resonance imaging and common clinical indications. Pediatr. Radiol. 2022, 52, 295–311. [Google Scholar] [CrossRef] [PubMed] [PubMed Central]
- Allen, B.D.; Schiebler, M.L.; Sommer, G.; Kauczor, H.-U.; Biederer, J.; Kruser, T.J.; Carr, J.C.; Hazen, G. Cost-effectiveness of lung MRI in lung cancer screening. Eur. Radiol. 2019, 30, 1738–1746. [Google Scholar] [CrossRef]
- Caraiani, C.; Pop, A.; Calin, A.; Ciobanu, L.; Militaru, C.; Berghe, A.; Badea, R. Incidental findings during follow-up scans in oncological patients. Clujul. Med. 2018, 91, 293–299. [Google Scholar] [CrossRef] [PubMed] [PubMed Central]






| Total Patients Patient Age (Years) | 241 |
|---|---|
| mean | 59.3 |
| median | 60 (18–95) |
| Extrathoracic neoplasm | |
| Breast Cancer | 63 |
| Clear Cell Carcinoma | 32 |
| Colon Cancer | 50 |
| Melanoma | 30 |
| Renal Cell Carcinoma | 35 |
| Sarcoma | 31 |
| Pulmonary Nodules Detected | 154 |
| Malignant | 37 |
| Benign | 117 |
| Nodule Location | |
| RUL | 40 |
| ML | 26 |
| RLL | 39 |
| LUL | 23 |
| LLL | 4 |
| Average Nodule Size (mm) | 11.5 mm (3.9–29.1) |
| M1 CT | 12.57 |
| M2 CT | 10.46 |
| M1 T1 | 11.79 |
| M2 T1 | 10.23 |
| M1 T2 | 12.1 |
| M2 T2 | 10.49 |
| CT | MRI | Sensitivity | Specificity | Accuracy | |
|---|---|---|---|---|---|
| Nodules Detected (total) | |||||
| True Positive | 154 | 144 | 0.9351 | 1 | 0.9585 |
| True Negative | 87 | 87 | |||
| False Positive | - | 0 | |||
| False negative | - | 10 | |||
| Nodules Detected (>5 mm) | |||||
| True Positive | 144 | 144 | 1 | 1 | 1 |
| True Negative | 97 | 97 | |||
| False Positive | - | 0 | |||
| False negative | - | 0 | |||
| Nodule Malignancy (DWI) | |||||
| True Positive | 37 | 37 | 1 | 0.9159 | 0.9375 |
| True Negative | 107 | 98 | |||
| False Positive | - | 9 | |||
| False negative | - | 0 | |||
| Adenopathy | |||||
| True Positive | 7 | 4 | 0.5714 | 0.9829 | 0.971 |
| True Negative | 234 | 230 | |||
| False Positive | - | 4 | |||
| False negative | - | 3 | |||
| Cardiomegaly | |||||
| True Positive | 5 | 4 | 0.8 | 0.9959 | 0.9917 |
| True Negative | 236 | 235 | |||
| False Positive | - | 1 | |||
| False Negative | - | 1 | |||
| Pleural Effusion | |||||
| True Positive | 4 | 4 | 1 | 0.9831 | 0.9834 |
| True Negative | 237 | 233 | |||
| False Positive | - | 4 | |||
| False Negative | - | 0 | |||
| Pericardial Effusion | |||||
| True Positive | 0 | 0 | - | 1 | 1 |
| True Negative | 241 | 241 | |||
| False Positive | - | 0 | |||
| False Negative | - | 0 | |||
| Vertebral Fracture | |||||
| True Positive | 8 | 8 | 1 | 0.9959 | 0.996 |
| True Negative | 233 | 232 | |||
| False Positive | - | 1 | |||
| False Negative | - | 0 | |||
| Mean Ao (mm) | 33.6 | 29.38 | |||
| Mean Pa (mm) | 25.3 | 21.48 | |||
Disclaimer/Publisher’s Note: The statements, opinions and data contained in all publications are solely those of the individual author(s) and contributor(s) and not of MDPI and/or the editor(s). MDPI and/or the editor(s) disclaim responsibility for any injury to people or property resulting from any ideas, methods, instructions or products referred to in the content. |
© 2025 by the authors. Licensee MDPI, Basel, Switzerland. This article is an open access article distributed under the terms and conditions of the Creative Commons Attribution (CC BY) license (https://creativecommons.org/licenses/by/4.0/).
Share and Cite
Kundalia, R.; Gemmell, J.; Griffin, I.; Acevedo, A.; Prodigios, J.; Bertani, S.; Carvalho, A.R.S.; Rodrigues, R.S.; Mehta, H.J.; Hochhegger, B. Magnetic Resonance of Pulmonary Nodules in Oncological Patients: Are We Ready to Replace Chest CT in Detecting Extrathoracic Cancer? Curr. Oncol. 2025, 32, 710. https://doi.org/10.3390/curroncol32120710
Kundalia R, Gemmell J, Griffin I, Acevedo A, Prodigios J, Bertani S, Carvalho ARS, Rodrigues RS, Mehta HJ, Hochhegger B. Magnetic Resonance of Pulmonary Nodules in Oncological Patients: Are We Ready to Replace Chest CT in Detecting Extrathoracic Cancer? Current Oncology. 2025; 32(12):710. https://doi.org/10.3390/curroncol32120710
Chicago/Turabian StyleKundalia, Ronak, Jessica Gemmell, Ian Griffin, Amanda Acevedo, Joice Prodigios, Sandro Bertani, Alysson Roncally Silva Carvalho, Rosana Souza Rodrigues, Hiren J. Mehta, and Bruno Hochhegger. 2025. "Magnetic Resonance of Pulmonary Nodules in Oncological Patients: Are We Ready to Replace Chest CT in Detecting Extrathoracic Cancer?" Current Oncology 32, no. 12: 710. https://doi.org/10.3390/curroncol32120710
APA StyleKundalia, R., Gemmell, J., Griffin, I., Acevedo, A., Prodigios, J., Bertani, S., Carvalho, A. R. S., Rodrigues, R. S., Mehta, H. J., & Hochhegger, B. (2025). Magnetic Resonance of Pulmonary Nodules in Oncological Patients: Are We Ready to Replace Chest CT in Detecting Extrathoracic Cancer? Current Oncology, 32(12), 710. https://doi.org/10.3390/curroncol32120710

